Download PDF
ads:
UNIVERSIDADE FEDERAL DE CIÊNCIAS DA SAÚDE DE PORTO ALEGRE
Programa de Pós-Graduação em Patologia
CARLO DOMÊNICO MARRONE
ANÁLISE CLÍNICO – LABORATORIAL DE 26 PACIENTES COM DISTROFIA
MUSCULAR DE DUCHENNE NO RIO GRANDE DO SUL
Porto Alegre,
2008
ads:
Livros Grátis
http://www.livrosgratis.com.br
Milhares de livros grátis para download.
CARLO DOMÊNICO MARRONE
ANÁLISE CLÍNICO – LABORATORIAL DE 26 PACIENTES COM DISTROFIA
MUSCULAR DE DUCHENNE NO RIO GRANDE DO SUL
ORIENTADORA
Lígia Maria Barbosa Coutinho, PhD
CO-ORIENTADORA
Denise Cantarelli Machado, PhD
Dissertação apresentada como requisito para
obtenção do grau de Mestre, pelo Programa de
Pós-Graduação em Patologia do Centro de
Pesquisa e Pós-graduação Heitor Cirne Lima da
Universidade Federal de Ciências da Saúde de
Porto Alegre.
Porto Alegre,
2008
ads:
DADOS INTERNACIONAIS
DE CATALOGAÇÃO NA P
UBLICAÇÃO (CIP)
Rosária Maria Lúcia Prenna Geremia
Bibliotecária CRB10/196
M361p Marrone, Carlo Domênico
Análise clínico-laboratorial de 26 pacientes com distrofia muscular de
Duchenne no Rio Grande do Sul / Carlo Domenico Marrone; orient. Ligia
Maria Barbosa Coutinho; co-orient. Denise Cantarelli Machado. Porto
Alegre: UFCSPA; 2008.
128 f.: il. tab.
Inclui 2 artigos científicos.
Dissertação ( Mestrado ) – Universidade Federal de Ciências da Saúde
de Porto Alegre. Faculdade de Medicina. Pós-Graduação em Patologia
do Centro de Pesquisa e s-graduação Heitor Cirne Lima. Mestrado em
Patologia.
1. D
ISTROFIA MUSCULAR DE DUCHENNE
. 2. D
IAGNÓSTICO CLÍNICO
. 3.
TÉCNICAS E PROCEDIMENTOS DE LABORATÓRIO
.
4.
DISTROFINA
.
5.
IMUNOISTOQUÍMICA
.
6.
REAÇÃO EM CADEIA DA POLIMERASE
.
7.
ESTUDOS
TRANSVERSAIS
.
8.
EPIDEMIOLOGIA DESCRITIVA
.
I.
Coutinho,
Ligia Maria
Barbosa. II. Machado, Denise Cantarelli.
III. Título.
C.D.D. 616.748
C.D.U. 616.74-007.23(816.5)(043.3)
N.L.M. WE 559
A COISA
A gente pensa uma coisa, acaba escrevendo outra e
o leitor entende uma terceira coisa... e, enquanto se
passa tudo isso, a coisa propriamente dita começa a
desconfiar que não foi propriamente dita.
Mario Quintana (Caderno H)
Ao meu inesquecível pai, Domênico, símbolo de dedicação, amor,
humildade e simplicidade a quem devo simplesmente tudo
À minha mãe, Giuseppina, cuja fibra e obstinação mostrou-me que
desistir não é uma palavra adequada a ser usada; nem vivida
À Rosana, a “maninha” que qualquer irmão gostaria de ter
À Giane, esposa, mulher e companheira pelo amor, compreensão e,
especialmente, porto seguro
À Paola e Matteo, dois pequenos diamantes que são a razão da
minha vida
AGRADECIMENTOS
À Drª Lígia Coutinho, por ter acreditado em mim em momentos difíceis de
minha carreira
Às Drªs Denise Machado e Rosane Scheibe, pois sem a ajuda de ambas
esta dissertação seria inviável
A Tiago Giuliani Lopes, técnico em patologia pelo esforço e pela dedicação
A Renato Junges, fiel companheiro e meu braço direito.
Em especial aos pacientes e familaires, com certeza a razão maior de
nossos esforços
SUMÁRIO
LISTA DE ABREVIATURAS................................................................................. IX
LISTA DE TABELAS ............................................................................................ XI
LISTA DE FIGURAS E ILUSTRAÇÕES.............................................................. XII
RESUMO.............................................................................................................XIV
ABSTRACT..........................................................................................................XV
1 INTRODUÇÃO E JUSTIFICATIVA................................................................... 16
1.1 HISTÓRICO................................................................................................................................ 17
1.2 PROTEÍNA DISTROFINA.......................................................................................................... 22
1.3 EXPRESSÃO DA DISTROFINA NOS TECIDOS...................................................................... 27
1.4 O GENE E AS ANORMALIDADES ESTRUTURAIS ................................................................ 28
1.5 EPIDEMIOLOGIA ...................................................................................................................... 32
1.6 CLÍNICA..................................................................................................................................... 34
1.7 EXAMES LABORATORIAIS ..................................................................................................... 41
1.7.1 Creatinofosfoquinase........................................................................................................... 41
1.7.2 Eletroneuromiografia ........................................................................................................... 43
1.7.3 Biópsia Muscular ................................................................................................................. 44
1.7.4 Análise Molecular ................................................................................................................ 50
1.8 ASPECTOS GENÉTICOS ......................................................................................................... 54
1.8.1 Herança ............................................................................................................................... 54
1.8.2 Aconselhamento Genético................................................................................................... 56
1.9 CRITÉRIOS DIAGNÓSTICOS................................................................................................... 57
1.9.1 Critérios Diagnósticos para DMD - ENMC .......................................................................... 58
1.9.1.1 Elementos Diagnósticos ............................................................................................... 58
1.9.1.2 Laboratoriais: ................................................................................................................ 60
4 CONSIDERAÇÕES FINAIS.............................................................................. 61
5 REFERÊNCIAS BIBLIOGRÁFICAS................................................................. 63
6 ANEXOS ........................................................................................................... 74
ANEXO A. ARTIGO EM PORTUGUÊS........................................................................................... 75
ANEXO B. ARTIGO EM INGLÊS .................................................................................................... 90
ANEXO C. Dados dos pacientes referente a idade na primeira consulta no ambulatório e
elevação do nível de CPK apresentada. .................................................................................... 105
ANEXO D. Resultado do rastreamento das deleções. ............................................................. 106
ANEXO E. Freqüência de Deleções por regiões de “Hot Spot” no Gene da Distrofia.......... 107
ANEXO F. Protocolo para Biópsia Muscular, Estudo Anatomopatologico e Imunoistoquimica
de Músculo.................................................................................................................................... 108
ANEXO G. Protocolo para Análise Molecular............................................................................ 110
ANEXO H. Protocolo Clínico - Diagnóstico de Pacientes com DMD ...................................... 113
ANEXO I. Termo de Consentimento Livre e Esclarecido do Paciente.................................... 126
ix
LISTA DE ABREVIATURAS
AchR Receptores de acetilcolina
ADP Adenosino-di-fosfato
ATP Adenosina-tri-fosfato
ATPase Adenosina Tri-Fosfatase
C-terminal Porção carboxi-terminal da distrofina
COX Citocromo C Oxidase
CPK Creatinofosfoquinase sérica
DAGs Glicoproteínas Ligadas à Distrofina
DMB Distrofia muscular de Becker
DMD Distrofia Muscular de Duchenne
DOVAM-S (método robotizado que virtualmente detecta todas as
mutações de ponto)
ENMC European Neuromuscular Centre
ENMG Eletroneuromiografia
FAPERGS Fundação de Apoio a Pesquisa do Rio Grande do Sul
FEE Fundação de Economia e Estatística do RGS
FISH Hibridização “in situ” por fluorescência
HE Hematoxilina/Eosina
HSL-PUCRS Hospital São Lucas da PUCRS
LGMD 2D Distrofia Muscular de Cinturas dos Membros Recessiva
2D
MLPA “Multiple ligation-dependente probe amplification”
N-terminal Porção amino-terminal da distrofina
NADH Nicotinamida Adenina Dinucleotídeo Redutase
NCL-β-SARC β-sarcoglicano
NCL-δ-SARC δ-sarcoglicano
NCL-α-SARC α-sarcolglicano
NCL-DYS1 Centro da distrofina)
NCL-DYS2 Porção C-terminal da distrofina
NCL-DYS3 Porção N-terminal da distrofina
NCL-SPEC-1 Espectrina
NVM Nascimentos vivos masculinos
x
ORO Oil red O”
PAS ácido Periódico de Schiff
PCR Reação em cadeia da polimerase
PCR-RT transcrição reversa da PCR
pERT análise de segmentos derivados da reassociação de
moléculas de DNA
PTT Teste da proteína truncada
RFLP Restriction Fragment Lenght Polymorphism”
RGS Rio Grande do Sul
SDH Succinato Desidrogenase
SSCP Polimorfismo conformacional de fita simples
XLDCM Cardiomiopatia dilatada ligada ao X
Xp21 Braço curto do cromossoma X, lócus 2 1
xi
LISTA DE TABELAS
Tabela 1. Éxons estudados nesta pesquisa e sua porção correspondente na
Distrofina ........................................................................................ 31
Tabela 2. Estimativa de doentes com DMD no Brasil e RGS por faixa etária.. 33
xii
LISTA DE FIGURAS E ILUSTRAÇÕES
Figura 1. Desenho representando o levantar de um menino com DMD (Sinal de
Gowers).......................................................................................... 19
Figura 2. Desenho de músculo distrófico segundo Wilhelm Heirich Erb. ........ 19
Figura 3. Distrofina ligando a actina à face interna do sarcolema. .................. 23
Figura 4. Estrutura da Distrofina e suas interações......................................... 25
Figura 5. Complexo Distrofina e DAGs (Glicoproteínas associadas à distrofina)
na membrana, com as resultantes patologias. ............................... 26
Figura 6. (A) Diagrama dos vários mRNAs do gene da distrofina. .................. 27
Figura 7. O gene da distrofina localizado no braço curto do cromossoma X com
demais patologias verificadas nesse sítio....................................... 28
Figura 8. Desenho representando um menino com DMD. .............................. 35
Figura 9. Características musculares da DMD. ............................................... 36
Figura 10. Sinal de Gowers. ............................................................................ 37
Figura 11. Ilustração que mostra o aumento de volume das panturrilhas,
escápulas aladas e hiperlordose. ................................................... 38
Figura 12. Ciclo evolutivo da patologia............................................................ 39
Figura 13. Complicações clínicas da DMD...................................................... 40
Figura 14. Esquema eletromiográfico para padrões normal, neuropático e
miopático. ....................................................................................... 44
xiii
Figura 15. Processo distrófico em paciente com DMD. Tricrômio de Gomori
Modificado. 10x. Acervo do autor. .................................................. 48
Figura 16. Herança ligada ao X nos casos familiares...................................... 54
Figura 17. Herança genética na DMD. ............................................................ 55
Figura 18. Herança genétca, alteração no DNA e repercussão na fibra
muscular......................................................................................... 55
xiv
RESUMO
A distrofia muscular de Duchenne é a doença neuromuscular mais
freqüente na infância causada pela disfunção da proteína Distrofina que se
situa na região subsarcolemal das fibras musculares. Essa proteína é o produto
do gene localizado no braço curto do cromossoma X (Xp21), afetando
recessivamente meninos através de fraqueza muscular progressiva com
parada da deambulação antes dos 13 anos de idade. O presente estudo
avaliou 26 pacientes procedentes do estado mais ao sul do Brasil,
correspondendo a cerca de 10% da prevalência estimada. A época da primeira
anormalidade clínica notada pelos pais ou responsáveis foi, em média, de 48
meses, a queixa principal na consulta médica foi “dificuldade para deambular”
em 57,69% das vezes, enquanto que os pacientes eram oriundos de 15
cidades do RGS, sendo a capital com 42% e os demais predominantemente
entre o norte e o noroeste do estado. A creatinofosfoquinase esteve
aumentada, em média, 49 vezes acima do normal e presença de padrão
miopático à eletroneuromiografia em todos os pacientes. A análise do DNA
através da técnica por PCR realizada em todos os pacientes mostrou deleção
em 73%. A biópsia muscular, realizada em 07 pacientes que não mostraram
alteração à PCR, evidenciou 84,72% de pacientes com padrão distrófico e
14,28% com miopatia em estagio final. O estudo imunoistoquímico para a
porção carboxi-terminal da distrofina (C-terminal) revelou que (100%)
mostraram anormalidades na Distrofina, sendo ausente em 04 casos e raras
fibras positivas (1 a 3) em 03 casos.
xv
ABSTRACT
Duchenne’s muscular dystrophy is the most frequent neuromuscular disease in
childhood, caused by a dysfunction of the dystrophin protein which is located in
the subsarcolemma region of muscle fibers. This protein is the product of the
gene located on the short arm of chromosome X (Xp21), recessively affecting
boys by progressive muscle weakness making it impossible to walk about by
the age of 13 years. The present study assessed 26 patients from the
southernmost state in Brazil, corresponding to about 10% of the estimated
prevalence. The first clinical abnormality was observed by parents or
caregivers, on average, at 48 months; the main complaint at the medical visit
was “difficulty in walking” 57.69% of the time, while the patients came from 15
towns and cities in RGS (Rio Grande do Sul), the capital with 42% and the
others predominantly between the north and northwest of the state. The
creatinophosphokinase was raised, an average of 49 times above normal, and
a myopathic presence was found at electroneuromyography in all patients. DNA
analysis using PCR, performed in all patients, showed a deletion in 73%.
Muscle biopsy, performed in 07 patients who did not show any change at PCR,
provided evidence of 84.72% of patients with a dystrophic pattern and 14.28%
with end stage myopathy. The immunohistochemical study for the carboxy-
terminal portion of dystrophin (C-terminal) revealed that 100% showed
dystrophin abnormalities, which were absent in 04 cases, and rare positive
fibers (1 to 3 fibras) in 03 cases.
16
1 INTRODUÇÃO E JUSTIFICATIVA
A Distrofia Muscular de Duchenne (DMD) é uma das enfermidades
neuromusculares causadas pela mutação do gene da distrofina localizado no
cromossoma X, locus p21
1
. A DMD afeta meninos, tornando-os impossibilitados
de deambular na infância (entre 09 e 11 anos, geralmente não passando dos
13 anos) e conduzindo à morte na adolescência ou adulto jovem. Além dos
indivíduos afetados, as mulheres da família podem ser portadoras da doença,
podendo gerar filhos afetados e filhas portadoras.
A proteína alterada está localizada na face interna da membrana
plasmática das fibras musculares
2
, ligando os constituintes contráteis (actina)
às glicoproteínas no sarcolema
3
.
As mutações no gene da distrofina podem provocar deleções,
duplicações ou mutações de ponto
4
, mas a severidade clínica não está
correlacionada com a localização e o tamanho das mutações, dependendo, na
grande maioria das vezes, do efeito na matriz de leitura genômica
5,6
.
Na esteira da DMD foram descritas outras patologias relacionadas com
a distrofina, todas denominadas como distrofinopatias. O espectro de cada
uma dessas doenças musculares varia de muito leve a severo. A forma mais
leve seria o fenótipo de elevação assintomática de creatinofosfoquinase sérica
(CPK) e a síndrome câimbra e mialgia, manifestando-se por câimbras e
mioglobinúria. A forma mais severa seria a DMD, estando no espectro médio a
grave a distrofia muscular de Becker (DMB). Esta última é uma doença alélica
à DMD, clinicamente mais leve, com início mais tardio e com parada na
deambulação variável depois dos 16 anos de idade
7,8
. Entre a DMD e a DMB
uma categoria intermediária (“outlier”) com sobreposição entre esses dois
fenótipos, com os pacientes parando de deambular entre 13 e 16 anos de
idade
9
. Aliado a essas, uma forma distinta de distrofinopatia, a
cardiomiopatia dilatada ligada ao X (XLDCM), que. afeta homens entre 20 e 40
anos e mulheres em idade mais avançada com insuficiência cardíaca
17
congestiva, sem miopatia esquelética ou podendo ser descrita como DMB
subclínica e anormalidades no lócus Xp21
10
.
Exceto a DMD, as outras não serão alvos desta dissertação,
mencionadas eventualmente quando necessário.
Este é um estudo transversal e descritivo, mostrando o perfil clínico-
laboratorial de 26 pacientes com DMD no Rio Grande do Sul. Foi realizado no
Ambulatório de Doenças Neuromusculares do Serviço de Neurologia do
Hospital São Lucas da PUCRS (HSL-PUCRS) entre os anos de 2001 a 2004.
Teve apoio da Fundação de Apoio a Pesquisa do Rio Grande do Sul
(FAPERGS - SDE 9816577), aprovado pelos Comitês de Ética e Pesquisa do
Hospital São Lucas da PUCRS (HSL-PUCRS - 00/667) e da Universidade
Federal de Ciências da Saúde de Porto Alegre (195/06).
Em 1994, Alho
11
realizou estudo epidemiológico e molecular das DMD
e DMB no sul do Brasil, porém sem a utilização de biópsia muscular com
estudo imunoistoquímico para distrofina (padrão ouro para o diagnóstico).
Assim, a inexistência de um estudo com as características do atual no nosso
estado e os avanços mundiais em relação a esta patologia justifica a realização
deste trabalho.
1.1 HISTÓRICO
A Distrofia Muscular de Duchenne (DMD) é a patologia infantil de
herança genética mais letal da espécie humana, além de ser a doença
neuromuscular mais freqüente em crianças
12,13
.
A DMD foi a primeira miopatia a ser claramente caracterizada. Os
primeiros relatos foram feitos por Edward Meryon, em 1852, quando descreveu
uma moléstia que acometia 09 meninos afetados e, posteriormente outros 05,
com grandes detalhes (início da caminhada tardiamente, sem deambulação
normal, dificuldade para subir escadas, parando de caminhar por volta dos 11
18
anos e com falecimento aos 16 anos de idade). percebia que havia
predileção pelo sexo masculino, de certa forma de origem familiar e ligada à
mãe. Ele também notara que a doença era de origem muscular (não como
Duchenne inicialmente pensou vide abaixo -) devido ao fato de ter analisado
e comparado histologicamente medula de paciente autopsiado com a de outro
jovem saudável falecido devido a acidente. Foi realizado exame microscópico
do músculo estriado e verificaram-se fibras destruídas, substituídas por
gordura, sendo interpretado como degeneração gordurosa causada por
deficiência nutricional. Porém sinalizava também que “o sarcolema ou a
túnica das fibras elementares havia sido rompida e destruída” (135 anos antes
do defeito primário ter sido mostrado)
14,15.
Em 1861 e posteriormente em 1868, Duchenne, cujo nome serviu de
epônimo à doença, usou, respectivamente, os termos “paraplégie
hypertrophique” e “paralysie musculaire pseudohypertrophique”, pensando que
a hipertrofia seria de origem cerebral. Posteriormente propõe origem muscular
e contribuiu para o delineamento da doença através da introdução da análise
em biópsia de sculo
7,15,16
. Porém foi Gowers que em 1879, e
posteriormente em 1886, apresentou dados esclarecedores quanto às
características clínicas de indivíduos afetados pela DMD. Descreveu a
manobra ou sinal que levou seu nome mostrando o modo como às crianças se
escalam laboriosamente sobre si mesmas para poderem ficar em em
decorrência de fraqueza muscular proximal (Figura 1)
15
. Em 1891, Erb cunhou
o termo distrofia muscular progressiva após revisar 89 casos de distrofia, sendo
10 deles sugerindo ser DMD, além de descrever as anormalidades histológicas
no músculo (Figura 2)
15
.
19
Figura 1. Desenho representando o levantar de um menino com DMD (Sinal de
Gowers).
Figura 2. Desenho de músculo distrófico segundo Wilhelm Heirich Erb.
Uma patologia com as mesmas características da DMD, embora com
curso clínico mais benigno e lento, foi identificada em 1955 por Becker e Kiener
e denominada Distrofia Muscular de Becker (DMB). Inicia mais tardiamente (no
mínimo depois dos 05 anos de idade) e parando de caminhar somente depois
dos 16 anos
7
.
20
Em relação à anatomopatologia, somente a partir de 1960 as fibras
necróticas, em regeneração e hialinas foram descritas na DMD. A partir de
estudos dessa época compostos por Rowland e colaboradores através de
níveis séricos de enzimas musculares surge à hipótese de que o sarcolema
poderia estar alterado
17
. Em 1975 foram demonstradas as primeiras
evidências eletromicroscópicas que havia lesão estrutural na membrana
plasmática das fibras musculares através de anormalidades em forma de
cunha sobre a superfície da fibra. A membrana plasmática (sarcolema)
apresentava ponto de ruptura, embora com a membrana basal intacta. Isto
sugeria uma barreira celular deficiente que permitiria o ingresso de líquido
extracelular para dentro da célula, iniciando a degeneração
18
. Houve
confirmação posterior desse fenômeno em uma grande proporção de fibras não
necróticas de pacientes com DMD por Bodensteiner e Engel em 1978, inferindo
que o defeito na membrana plasmática levaria ao influxo de cálcio na célula e a
posterior degeneração
19
.
Em consonância com a história, houve avanço extremamente
importante para o conhecimento da causa da DMD, somente possível devido
às descobertas genéticas abaixo relatadas.
As primeiras evidências quanto à localização do locus da DMD em uma
porção específica do cromossomo X resultaram de estudos da década de 70
(1977), em casos raros de meninas que manifestaram sintomas compatíveis
aos quadros de DMD. Estas meninas apresentavam translocações
balanceadas X;autossomo nas quais o ponto de quebra sempre ocorria na
porção 21 do braço curto do cromossoma X, não apresentando preferência
pelo ponto de quebra no autossomo. Tais achados permitiram concluir que a
região Xp21 estaria envolvida no quadro de DMD
20,21
, o que foi confirmado em
estudos posteriores
22-25
.
Uma vez a DMD tendo sido localizada citogeneticamente, houve a
necessidade de determinar os genes envolvidos. Devido a isto, Botstein e
colaboradores, em 1980, propuseram a base teórica para identificar o produto
de um gene ainda não conhecido (“Restriction Fragment Lenght Polymorphism
RFLP”)
26
. Em 1985, Francke e colegas, através da análise de um paciente
21
com DMD (BB) que apresentava também doença granulomatosa crônica,
retinite pigmentosa, síndrome de McLeod e retardo mental, usaram a técnica
de “Southern blot”. Assim, foram utilizadas 20 sondas de cópias simples,
mapeadas no braço curto do comossoma X e identificaram a falta de uma delas
(sonda nº 754). Este estudo permitiu fornecer o mapa citológico para os
fenótipos ligados ao cromossoma X
27
.
O paciente BB analisado acima, mais uma vez contribuiu com análise
de seu material genético para o uso de hibridização por subtração no DNA,
com análise de segmentos derivados da reassociação de moléculas (pERT) de
DNA clonado, demonstrando que quatro (5%) dos fragmentos do DNA humano
estavam ausentes nesse paciente. Os quatro clones estavam localizados em
três regiões ao redor da banda 21 do braço curto do cromossoma X humano
normal e estavam ligados a marcadores de doenças que afetavam BB
28
.
Com o mesmo grupo de pesquisadores, Monaco em 1987, através da
técnica “chromossome walking” (usando seleção de clones superpostos
permitindo que se “caminhasse” ao longo de um cromossomo aum gene em
perspectiva) obteve o mapeamento de deleções e translocações em pontos de
quebra. Assim, os pontos físicos e genéticos foram detalhadamente mostrados
para um grande lócus da distrofia muscular ligada ao cromossoma X
29
.
Finalmente, em 1987 após os conhecimentos adquiridos acima,
Koening e muitos dos outros colaboradores que haviam participado das
descobertas prévias (ex.: Monaco, Bertelson, Kunkel, etc. Ref nº)
demonstraram que deleção de parte ou todo o locus da DMD seria uma das
maiores causas da DMD. Esses pesquisadores descobriram, preliminarmente,
que o cDNA da DMD era codificado por 60 éxons em 2 milhões de pares de
base no braço curto do cromossoma X. A codificação do DNA nesse lócus
representa aproximadamente 1/1000 do total do DNA humano e que a
clonagem completa do cDNA representa cerca de 1/3 do total do genoma da E.
coli. Apesar de tão grande, a maioria das deleções estava concentrada em um
pequeno segmento genômico, correspondente a 2 kb do transcrito
30
.
No mesmo ano Hoffman e colegas identificaram a proteína do gene da
DMD (genética reversa; em que primeiro o gene e após a proteína são
22
identificados), sendo produzidos anticorpos que foram utilizados contra
músculo humano. Demonstrou-se que havia anormalidade na detecção dos
mesmos em pacientes com DMD e também em DMB, sugerindo doenças
genéticas homólogas. Foi dado o nome de DISTROFINA a essa proteína
31,32
.
1.2 PROTEÍNA DISTROFINA
A distrofina está presente no sculo esquelético normal, constituindo
0,002% do total de proteínas musculares e 5% do citoesqueleto da membrana.
Tem formato de bastão, sendo formada por 3685 aminoácidos, organizados em
quatro domínios, com peso molecular de 427 kd
31,32
.
A distrofina (Figura 3) recobre a fibra muscular (face interna da
membrana plasmática) onde forma uma malha com cerca de 15 µm no
plasmalema. Conecta os sarcômeros ao sarcolema, sem estar diretamente
inserida na membrana. Existe maior quantidade nos costômeros (citoesqueleto
com a linha Z), na junção neuromuscular e miotendinosa, em contigüidade com
os túbulos T. Na vida fetal, é detectada nos miotúbulos por volta da nona
semana e ao redor da décima sexta semana pode ser verificada em fibras
musculares imaturas
33
.
23
Figura 3. Distrofina ligando a actina à face interna do sarcolema.
Na imunoistoquímica formação de uma camada fina e contínua na
periferia das fibras musculares, que não é observada nas células intersticiais,
capilares ou componentes intracelulares
34
.
A distrofina, com os seus 3685 amioácidos, forma 04 domínio
separados que são os seguintes
35
:
1. Domínio N Terminal (terminal amino), ligado a actina
(citoesqueleto), sendo a porção proximal (5’), contendo 240 aminoácidos.
2. Domínio “Rod” (bastão) é a maior porção da proteína, formada por
sucessão de 25 a 26 segmentos com 100 aminoácidos cada, sendo cada um
deles de múltiplas regiões de tríplices hélices similares aos domínios da
espectrina.
3. Domínio rico em cisteína tendo 280 aminoácidos (porção entre os
aminoácidos 3080 a 3360), apresentando 15 moléculas de cisteína.
4. Domínio terminal C na região distal (3’) consistindo de 420
aminoácidos
24
A distrofina, em especial os domínios ricos em cisteína e o “C” terminal
está ligada a um complexo que faz junção com a membrana plasmática e a
lâmina basal, as Glicoproteínas Ligadas à Distrofina (DAGs em inglês)
36
.
Essas DAGs formam um complexo oligomérico, compacto, que está
intimamente ligado à membrana plasmática das fibras musculares. A distrofina
se liga às α, β1 e β2 sintrofinas e distrobrevina, todas presas firmemente a β-
distroglicano que se une ao α-distroglicano, na face externa da membrana
plasmática, em comunicação com o extraceular. Esta última se acopla com a
laminina α-2 (merosina) na membrana basal extracelular. Existe ainda um
importante grupo de proteínas que se liga ao β-distroglicano, os sarcoglicanos
(α, β, δ, etc.) ao nível do sarcolema (Figuras 4 e 5).
Todo esse complexo (distrofina incluída) dá estabilidade à superfície
das fibras musculares durante a contração-relaxamento muscular. Assim,
pode-se explicar que determinados pacientes antes dentro do grupo das
“Distrofias Musculares Autossômicas Recessivas” ou “Duchenne – like” possam
ser enquadradas em patologias bem definidas [Ex.: Sarcoglicanopatia tipo α
(Adalinopatia) ou também chamada de Distrofia Muscular de Cinturas dos
Membros Recessiva 2D (LGMD 2D)]. Dentre estas, os sarcoglicanos e a
merosina, cujas alterações produzem quadros clínicos semelhantes à DMD,
denominadas miopatia de cinturas
37,38
.
25
Figura 4. Estrutura da Distrofina e suas interações.
(a) Diagrama da distrofina mostrando os principais domínios: N-Terminal (Nt);
“Rod” com 24 repetições de tripla-hélice e 4 dobradiças (“Hinges”: H1 – 4); e
subdomínios do C-terminal (WW, EF, ZZ, DCC). Estão indicados a localização
dos sítios de ligação para a actina, B-distroglicano, sintrofinas e distrobrevinas.
(b) Diagrama da localização da distrofina e das glicoproteínas associadas a
Distrofina. A distrofina forma uma ligação entre a actina e a matriz extracelular
via distroglicanos. Sarcospan e sarcoglcanos estabilizam o complexo da
membrana. Um complexo intra-celular incluindo as sintrofinas e a distrobrevina
em conjunto com a distrofina estabilizam a sinalização molecular do óxido
nítrico neuronal (nNOS) na posição subsarcolemal. Portanto, a distrofina e as
proteínas associadas podem ter papel estrutural e sinalizatório na fibra
muscular. A perda do complexo resultante de mutações na distrofina ou nas
proteínas associadas leva a distrofia muscular.
26
Figura 5. Complexo Distrofina e DAGs (Glicoproteínas associadas à distrofina)
na membrana, com as resultantes patologias.
Na análise imunoistoquímica, tanto a ausência de Distrofina quanto das
demais DAGs, podem levar, reciprocamente, a redução das atividades dessas
proteínas (exemplo: na DMD com ausência total de Distrofina poderá haver
redução da imunofluorescência da α-sarcoglicano e vice versa (Figuras 4 e
5)
40
.
Em relação às funções da distrofina, ainda não foram esclarecidas
devidamente, mas sugerem-se ações mecânicas e funcionais. Dentre as
mecânicas encontram-se a estabilização da membrana durante os movimentos
de contração e relaxamento musculares, além de parte da ligação entre o
citoesqueleto intracelular e a matriz extracelular. Em relação às ações
funcionais, estaria inserida na habilidade das fibras musculares se
diferenciarem em fibras glicolíticas rápidas e na organização da membrana
pós-sináptica e nos receptores de acetilcolina (AchR)
41
. Também estão sendo
cada vez mais postuladas as ações de estabilizar a sinalização molecular da
sintetase do óxido nítrico na posição subsarcolemal, além de regulação da
sobrevivência celular (Figuras 4 e 5)
42
.
Para analisarmos a abundância de distrofina presente em uma amostra
muscular, utiliza-se a técnica de “Western Blotting”, sendo que nos pacientes
com DMD verifica-se entre zero e 3% com raros casos isolados com 10% da
27
quantidade de distrofina normal. Já em paciente com DMB há descrição de a
5% da quantidade normal, mas com proteína ainda parcialmente funcional. Em
geral, nesses pacientes com DMB a quantidade é superior a 30-40%, podendo
chegar a 70%
43
.
1.3 EXPRESSÃO DA DISTROFINA NOS TECIDOS
As maiores taxas de transcrição do gene DMD ocorrem na musculatura
esquelética normal, decrescendo gradualmente nos músculos lisos viscerais e
vasculares, cardíaco e nos outros tecidos, sendo que o nível mais baixo é
encontrado no cérebro
44
.
A diferença entre os transcritos do sculo e cérebro é o sítio do início
da transcrição localizado nos primeiros éxons do gene, e regulado por
promotores diferentes (Figura 6). O promotor cerebral é ativo somente nos
neurônios, enquanto que a expressão do promotor muscular pode ocorrer em
diferentes células
45,46
.
Figura 6. (A) Diagrama dos vários mRNAs do gene da distrofina.
Observe a presença de vários promotores, que resultam na produção de várias
isoformas da proteína, de expressão diferenciada entre os tecidos. (B)
Diagrama dos quatro domínios da distrofina e distribuição das isoformas (de
cima para baixo), distrofina expressa em linfócitos, córtex, músculo e células de
Purkinje; retina; sistema nervoso central; células de Schwann e expressão
geral.
28
1.4 O GENE E AS ANORMALIDADES ESTRUTURAIS
O gene da DMD é o maior gene conhecido da espécie humana,
ocupando aproximadamente 2.300 Kb o que equivale a 1,5% do cromossomo
X (Figura 7)
47,48
. Para se colocar este valor em perspectiva, o gene da DMD é
100x maior que um gene usual qualquer, 1000x maior que o gene da β-globina;
e corresponde à metade do tamanho de todo genoma da E. coli. Estudos
posteriores determinaram que a seqüência gênica completa contém 2,5 Mb e
79 exons. Em média os éxons tem tamanho de 200 pb (pares de base) e os
íntrons de aproximadamente 35 Kb, e o mRNA cerca de 14 Kb
49-51
.
Figura 7. O gene da distrofina localizado no braço curto do cromossoma X com
demais patologias verificadas nesse sítio.
(De: Color Atlas of Genetics, Ed. E. Passarge. Thieme Edit. 1995.
As alterações que a estrutura protéica da distrofina pode apresentar
são conseqüências de segmentos que foram traduzidos diferentemente devido
a deleções gênicas ou alterações na molécula (duplicações ou mutações de
ponto na seqüência do gene). A organização do complexo intron-exon que
ocupa 2,5 milhões de pares de base, permite uma alta taxa de mutação,
29
particularmente entre os grandes introns das seqüências responsáveis pelas
regiões N-terminal e do bastão central, onde se encontra a quase totalidade
das deleções. A correlação entre o fenótipo e genética da DMD é seguida, na
maioria das vezes, pela teoria da matriz de leitura. Ou seja, baseia-se no fato
de que deleções de um ou mais éxons podem alterar a leitura da trinca de
códons de modo parcial (“open reading frame in frame”) ou total (“out-of-
frame”). No caso da deleções “in frame” como ocorre na manutenção da
matriz de leitura mesmo que defeituosa, geralmente resulta uma molécula de
distrofina truncada e semifuncional, verificando-se um fenótipo mais brando
(DMB). Tal situação em geral ocorre nas deleções entre os éxons 45 a 51 (em
especial éxons 45 a 48) que mantém a matriz de leitura com preservação do
terminal carboxila e a região distal do domínio “Rod”. Esse tipo de
anormalidade genômica fará com que cerca de 40 a 70% da distrofina normal
seja produzida. Porém, se houver envolvimento do terminal amino produzirá
distrofina com cerca de 10% do normal, verificando-se um fenótipo mais grave
de DMB
52,53
. Deleções nos segmentos do domínio C-terminal e rico em
cisteína produzem fenótipos de DMD
54
. As deleções com a perda da matriz de
leitura (“out-of-frame”) são geralmente encontradas nos éxons 45 a 50 e fazem
com que a proteína seja inativa ou não funcionante com perda dos domínios c-
terminal e rico em cisteína, produzindo fenótipos de DMD
51
. Não existe;
portanto, correlação entre a extensão das deleções e a gravidade do fenótipo,
pois pequenas deleções podem mostrar fenótipos DMD e fenótipos mais leves
(DMB) podem ser originados de grandes deleções
55
. Existem exceções à
teoria da matriz de leitura, pois cerca de 75 a 95% das vezes o modelo acima
descrito funciona
51,56,57
. Algumas ocorrem nas anormalidades entre os éxons 3
a 7 e no 45, sendo mutações “out-of-frame”, mas podem resultar em fenótipos
tanto DMD, com DMB ou até formas intermediárias, tendo produção de
distrofina em cerca de 10 – 20% do normal
58
.
Portanto, com as considerações acima, nota-se que regiões próximas a
actina (proximal) podem resultar em fenótipos mais leves (DMB), inclusive
podendo estar inteiramente ausente o domínio n-terminal e/ou parcialmente
ausente as primeiras 22 das 24 unidades de repetição do domínio “Rod”. o
30
comprometimento dos domínios c-terminal e rico em cisteína (deleções
terminais) resultam em DMD
51
.
As anormalidades estruturais do gene da distrofina refletem mutações
que podem ter grandes rearranjos do DNA (deleções e duplicações) ou
pequenas mutações (mudanças simples de uma base ou microdeleções). Para
as anormalidades maiores são utilizadas as técnicas de PCR (reação em
cadeia da polimerase), “Southern Blotting”, transcrição reversa da PCR (PCR-
RT) e hibridização “in situ” por fluorescência (FISH)
13,59,60
. as pequenas
mutações são verificadas pelas técnicas de polimorfismo conformacional de fita
simples (SSCP), teste da proteína truncada (PTT), entre outras. Porém, tais
deleções são mais difíceis e custosas de serem analisadas em séries clínicas,
não sendo práticas no dia a dia do diagnóstico
61,62
.
As deleções intragênicas, nos casos de DMD, são detectadas em cerca
de 65 - 70% e as duplicações em torno de 5% dos casos
30,63
. Os demais 30 a
35 % dos pacientes com DMD apresentam pequenas mutações (substituições
de nucleotídeos, deleções e inserções pequenas), sendo mais difíceis de
encontrar devido ao tamanho enorme do gene.
No caso das grandes mutações, as mesmas são distribuídas
desigualmente ao logo do gene, apresentando duas claras regiões de maior
freqüência, as chamadas regiões quentes (“hotspot”). Em torno de 30% das
vezes na região proximal (próximo ao domínio n-terminal, ligada à actina,
compreendendo os primeiros 20 éxons) e por volta de 70% na região distal,
próximo domínio “rod” (central) e domínios c-terminal e rico em cisteína
(ligação com as DAGs subsarcolemais sintrofinas e distroglicanos) entre os
éxons 44 – 53
30,63
.
As deleções podem ser de um único éxon ou em múltiplos éxons,
variando a porcentagem de autor para autor, sendo para Banerjee 60 e 40%
respectivamente. para Nicholson a porcentagem é de 20 para 80%
43,64
. Os
éxons mais envolvidos em deleções únicas são as seguintes: 50 (16,1%), 45
(14,5%), 48 (14,5%) e 51 (14,5%). Os envolvidos em ltiplas deleções são os
47 (11.1%), 48 (5,3%), 49 (13%) e 50 (9,7%)
64,65
. Também existem deleções
muito grandes que afetam quase todo o comprimento do gene (ex.: do éxon 10
31
até o 60) dando fenótipo de DMD
66
. Porém, não é a localização, nem o
tamanho da deleções que se correlacionam com o fenótipo de DMD ou DMB,
como mostrou Angelini para paciente com DMB
67
.
Em termos práticos, a análise das mutações da DMD e também da
DMB, é feita através da reação em cadeia da polimerase (PCR) pela avaliação
dos éxons dos sítios “hotspot” conforme Beggs e Chamberlain
59,60
. Esse tipo de
exame é comercialmente viável (apesar de ainda ser caro para os padrões
nacionais) e mostra que cerca de 98% das deleções intragênicas podem ser
captadas. Ou seja, como as deleções intragênicas correspondem ao redor de
65 70% das mutações dos pacientes com DMD, 98% delas são captadas
pelos chamados “sets” de Beggs e Chamberlain. Os éxons analisados nesta
pesquisa correspondem aos desses conjuntos com pequenas variações. Tais
éxons estão descritos na Tabela 1:
Tabela 1. Éxons estudados nesta pesquisa e sua porção correspondente na
Distrofina
Éxons Porção
1, 3, 4, 6, 8, 12, 13, 17, 19 n-terminal (proximal) do gene
43, 44, 45, 46, 47, 48, 50, 51, 52, 60
central (“rod”) e do c-terminal
As mutações menores, ao contrário das maiores, têm uma distribuição
mais uniforme ao longo do gene, não apresentando regiões “hotspot”. Verifica-
se que tais anormalidades se encontram fora das áreas comumente afetadas,
tais como cerca de 40% de pequenas mutações no éxon 55, éxon 76, etc. São
geralmente únicas para cada paciente e apresentam, em 93% das vezes,
término prematuro da proteína devido a mutações “nonsense” (em geral
truncamento da distrofina em parte ou toda região do c-terminal devido ao alto
número de códons CGA “stop codons”
66
. Em 2005, Buzin e colaboradores
pela primeira vez analisaram taxas relativas e absolutas dos pontos de
mutação da distrofina. Estudaram, via DOVAM-S (método robotizado que
virtualmente detecta todas as mutações de ponto), pacientes com DMD que
são negativos para grandes deleções via PCR multiplex e encontraram 90%
32
dos pacientes com esse tipo de mutação (70% mutação de ponto com
truncamento da proteína, 13% duplicações e 7% deleções não detectadas a
PCR multiplex convencional). Em relação às microdeleções, verificou-se, como
em outros trabalhos, transição nos nucleotídeos CpG
68
.
1.5 EPIDEMIOLOGIA
Dados estatísticos mostram a incidência de um indivíduo com DMD a
cada 3500 nascimentos masculinos vivos
13
. Destes, cerca de 65% dos casos
são familiais e o restante decorrente de mutações novas com uma taxa de
mutação calculada de 10
-4 69,70
. A prevalência da doença é de 50-70/10
6
em
algumas series e 31,6/10
6
em outras
71,72
.
Não há relatos epidemiológicos abrangentes sobre a freqüência de
pacientes com distrofia muscular de Duchenne no Brasil, mas tomando-se por
base dados demográficos do Instituto Brasileiro de Geografia e Estatística
pesquisados em março de 2008
73
, no Brasil houve, de 1984 até 2006,
31.017.889 nascimentos vivos masculinos (NVM), sendo que a média nesses
23 anos foi de 1.348.603. A incidência mundialmente aceita para essa
patologia, sendo que não foi constatada predominância por raça ou situação
geográfica, é em torno de 1:3500 NVM como foi colocado acima. Assim, no
Brasil o número médio estimado de novos pacientes por ano com DMD é ao
redor de 385.
no RGS, nesse período, o de NVM foi de 1.855.611, com média
de 80.678 por ano; portanto o estimado de novos pacientes por ano é por
volta de 23.
Segundo os dados da Fundação de Economia e Estatística do RGS
(FEE)
74
, a população masculina em 2006 (últimos dados disponíveis) até, por
exemplo, os 14 anos era de 1.354.333 e até os 19 anos era de 1.811.903. Os
dados da FEE são mostrados de 5 em 5 anos, assim, dos 10 aos 14, dos 15
aos 19 anos, por exemplo.
33
Nos parágrafos a seguir registrou-se a quantidade estimada de
pacientes com DMD num dado momento (ex.: 2006), inicialmente para crianças
e adolescentes masculinos e posteriormente na população em geral.
Se tomarmos a incidência estimada de DMD como descrito acima e
multiplicarmos pela duração da doença em anos (até a suposta época da morte
dos pacientes, sem nenhuma perda por outros motivos nesse período),
segundo o número de crianças e adolescentes do sexo masculino, a
quantidade de possíveis doentes no Brasil e RGS seriam os descritos na tabela
2.
Tabela 2. Estimativa de doentes com DMD no Brasil e RGS por faixa etária.
Idade Brasil RGS
Até 14 anos 5390 322
Até 15 anos 5775 343
Até 19 anos 7315 437
Até 20 anos 7700 460
Portanto, no RGS o número estimado de pacientes com DMD até 14
anos (322) corresponde a 0,023% dessa população. para 19 anos (437)
corresponde a 0,024% dessa população. Se, por pura suposição, com os
dados acima, nos perguntar-mos quantos pacientes teríamos em 1.000.000 de
jovens até 14 anos, a resposta seria 237 pacientes (23,7 / 100.000) e para
jovens até 19 anos seria de 241 (24,1 / 100.000).
A amostra avaliada neste trabalho (26 pacientes), significaria o
correspondente a 113% da média de novos casos estimados para os últimos
23 anos no RGS e a 10,9% do número estimado de DMD se os pacientes
sobrevivessem até os 14 anos, enquanto que se os pacientes sobrevivessem
até os 19 anos, a prevalênica estimada seria de 10,7%.
Para a população masculina e feminina de 10.867.102 em 2006, a
prevalência de pacientes sobreviventes até 14 anos (322) seria
34
29,63/1.000.000 e para sobreviventes a 19 anos (437) seria de
40,21/1.000.000.
No Rio Grande do Sul, Alho
11
, em 1994 na sua dissertação de
mestrado, fez o primeiro e importante trabalho sobre estudo epidemiológico de
pacientes com DMD e DMB, estudando o correspondente a 17% da população
de estimados afetados do RGS. Não foi utilizada avaliação por biópsia
muscular, pois, à época, ainda não estavam disponíveis estudos
imunoistoquímcos para detecção da distrofina. Porém o uso da análise do
sangue através da PCR apresentou eficiência de 49% (20 deleções em 41
probandos). Verificou-se que a proporção entre as deleções proximais e distais
nos casos esporádicos foi de 1:3 e nos casos familiares de 1:1,5.
O presente estudo pretende, entre outros objetivos, engrandecer esta
estatística, além de realizar análise da distrofina no sculo (padrão ouro) em
pacientes sem deleção à análise molecular. Porém não pretende ser estudo
epidemiológico de amplo espectro (população em geral do RGS). Para tanto,
usando ferramentas estatísticas para estimar prevalencia de 50/1 000 000
(prevalência média mundialmente aceita vide acima) com uma margem de
erro de 25/ 1 000 000 (errar um valor correspondente a metade da prevalencia
é o erro máximo aceitável para não ser um trabalho muito ruim) e um intervalo
de confiança de 95%, considerando uma população total de 10 000 000
(arredondando a população do RGS), seriam necessários estudar 298.139
sujeitos. Obviamente impraticável devido a logística complexa e custos
extremamente elevados.
1.6 CLÍNICA
A DMD é caracterizada clinicamente como uma doença progressiva,
degenerativa, tendo sua história natural e curso clínico bem delimitados,
levando inexoravelmente à morte.
7
A seguir será descrito o acometimento
clínico segundo importantes autores.
7,11,15,12,71,75-79
35
A patologia acomete meninos com início clínico notado por volta dos 4
anos de idade, envolvendo as cinturas pélvica e escapular, geralmente com
pseudohipertrofia de panturrilhas. A fraqueza muscular é progressiva e leva à
incapacidade de deambular por volta dos 10 anos de idade. Os pacientes
apresentam contraturas sculo-tendinosas e deformidade na coluna vertebral
(Figura 8). A morte normalmente ocorre na ou década, devido à falha
respiratória ou, menos frequentemente, falha cardíaca.
Figura 8. Desenho representando um menino com DMD.
Nota-se a lordose, abdomen e panturrilhas proeminentes. (De: Myology, 2ª
Ed., vol.II, Engel & Franzini-Armstrong. 1994).
Ao nascer, o menino com DMD não apresenta anormalidade, tendo o
desenvolvimento neuropsicomotor adequado, exceto pelo fato de haver, em
alguns casos, um discreto alenteciento na aquisição do início da caminhada
(por volta dos 18 meses) e da aquisição da fala, mas ainda dentro do aceitável.
A partir dos 18 meses, em geral, iniciam com quedas mais freqüentes ao
caminhar, discreta maior dificuldade que outras crianças da mesma idade para
correr e se erguer do chão, assim como para subir escadas. Na maioria das
vezes tais acontecimentos são interpretados pelos pais como “normal de
criança”, não sendo notados como sinais de alguma doença, nem por eles e
nem por muitos médicos (geralmente pediatras ou ortopedistas). Com o passar
do tempo verifica-se que alguns pacientes com DMD caminham na ponta dos
pés e têm, desproporcionalmente, aumento das panturrilhas.
36
Os sinais mais marcantes da doença são identificados por fraqueza
muscular da cintura pélvica (músculos pelvifemurais, extensores da coxa e dos
joelhos e dorsiflexores do tornozelo), freqüentemente resultando em lordose
lombar exagerada (Figura 9). Evolui progressivamente para cintura escapular,
afetando os grupos musculares de forma simétrica, porém desigual entre
agonista e antagonista, levando a uma desarmonia de força e provocando
movimentos compensatórios. A criança tenta alargar a base de apoio durante a
marcha, desenvolvendo uma forma de andar que se assemelha a um andar
tipo “pato” (marcha anserina).
Figura 9. Características musculares da DMD.
Conforme a fraqueza muscular progride, aumentam as quedas ao
chão, forçando a criança a exercer um movimento laborioso de escalada sobre
o próprio corpo, denominado de sinal de Gowers (Figura 10), sendo indicativo
de fraqueza muscular proximal (fraqueza nos flexores e extensores da coxa).
37
Figura 10. Sinal de Gowers.
Acontecem posteriormente contraturas e retrações tendinosas, como
no tendão de Aquiles, obrigando a criança a andar na ponta dos pés. O centro
de gravidade da coluna desloca-se, fazendo com que a tarefa de manter o
tronco na posição ereta dependa mais dos flexores do que dos extensores da
bacia. Esta lordose ocorre como resposta à tentativa compensatória de
alinhamento do centro de gravidade anterior ao fulcro de articulação do joelho e
posterior ao de articulação do quadril, permitindo uma estabilidade máxima a
ambas as articulações. As panturrilhas, os quadríceps e os deltóides apesar de
fracos, encontram-se hipertrofiados e mais firmes que o normal, devido à
substituição dos músculos esqueléticos por tecido conjuntivo e adiposo.
38
Figura 11. Ilustração que mostra o aumento de volume das panturrilhas,
escápulas aladas e hiperlordose.
A progressão da DMD segue padrão e seqüência comum à maioria dos
pacientes como as descritas abaixo (Figura 11). As variações que ocorrem
podem estar associadas com diferenças individuais, com graus de
comprometimento cardíaco ou intelectual ou com intervenções médicas.
As alterações mais importantes são as derivadas dos músculos
esqueléticos, pois são oriundas da substituição das células musculares por
tecido adiposo e conjuntivo. Estas substituições que ocorrem nos tecidos
provocam complicações cardíacas, que muitas vezes são mascaradas pelas
outras complicações sistêmicas que ocorrem simultaneamente, sendo
caracterizada conforme a criança vai evoluindo.
39
Falta de Equilíbrio
Postura compensatória
Encurtamento muscular
Contratura muscularDeformidade óssea
Fraqueza muscular desigual
Hipotrofia muscular
Figura 12. Ciclo evolutivo da patologia.
Por volta dos seis ou sete anos os afetados começam a desenvolver as
atividades funcionais mais lentamente que as crianças normais (Figura 12).
Dificuldades para subir escadas, caminhar e levantar-se do chão, aparecendo a
primeira complicação no alinhamento postural, pois a criança como dito
anteriormente, obriga-se a realizar movimentos compensatórios, originando
assim uma postura caracterizada por:
Ombros e braços desajeitadamente para trás quando as crianças andam;
Os joelhos dobram-se para trás para suportarem o peso;
O tendão de Aquiles torna-se rígido, fazendo a criança andar na ponta do
pé;
O abdômen projeta-se para frente devido à fraqueza dos seus músculos;
As coxas ficam finas e flácidas principalmente na face anterior;
Ausência do balanço recíproco dos membros superiores;
40
Figura 13. Complicações clínicas da DMD.
Por volta dos nove ou onze anos as crianças perdem a capacidade de
deambular, necessitando de cadeira de rodas para locomoção, também se
queixam de fadiga. Quando a criança atinge a adolescência (12-14 anos), os
problemas gastrointestinais podem tornar-se clinicamente evidentes, por meio
das disfunções orofaríngeas, esofágicas e gástricas, ocorrendo comumente
halitose e constipação, por vezes sendo necessária colocação de gastrostomia
para poderem se alimentar. Podem também surgir os problemas cardiopáticos
de graus variáveis. Ao atingirem 15-17 anos as infecções respiratórias ficam
mais freqüentes, devido a menor força dos músculos respiratórios, podendo
restringir o adolescente ao leito.
Em relação ao comprometimento cognitivo, verifica-se algum grau de
déficit, em cerca de 30 a 50%, determinado pela provável deleção na porção
distal do gene da distrofina. Inicialmente havia sido pensado que as funções
verbais seriam mais afetadas, relacionadas a memória verbal de curta
duração
80
. Porém, a partir de estudos de Wicksell e colaboradores
81
em 2004
notou-se déficits particulares na memória (“active working memory”) e função
de execução, observando que esses déficits de memória ocorriam tanto no
conjunto visuoespacial como auditivo-verbal. Isso sugeria que as
anormalidades relatas na memória verbal previamente seria um artefato do
41
grande impacto da “active working memory” sobre os testes verbais. Assim, os
pacientes com DMD teriam déficits na memória de trabalho e nas funções
executivas.
1.7 EXAMES LABORATORIAIS
1.7.1 Creatinofosfoquinase
Enzimas de origem muscular podem detectar dano desse sistema ao
serem medidas no soro, compreendendo a creatinofosfoquinase (CPK), a
aldolase, as transaminases, a piruvatoquinase, etc. Mesmo atualmente, na era
molecular, é geralmente aceito que a mensuração da CPK é o mais específico
e mais sensível teste de triagem para doenças musculares
82
.
A creatinofosfoquinase é uma enzima que cataliza o caminho
metabólico entre a creatina e a creatinina. Tem como sua principal função
adicionar um grupo fosfato de alta energia à creatina para produzir
fosfocreatina que por sua vez pode ser utilizada como uma fonte de energia
rápida pelas células que intermitentemente necessitam de energia em alta
quantidade, ou seja, tem um papel chave no transporte de energia nas células
musculares. A CPK transfere um grupo fosfato da fosfocreatina para a
adenosino-di-fosfato (ADP), formando creatina e adenosina-tri-fosfato (ATP),
dotando o tecido de energia para ser utilizada quando necessário. Está
presente em grande volume nos músculos esquelético, cardíaco e no cérebro,
enquanto quantidades mínimas estão presentes no intestino e pulmões, muito
pouco nos eritrócitos e não se encontra no fígado
82-84
.
A CPK apresenta-se como um dímero composto por qualquer
combinação entre dois monômeros, um muscular (M) e outro cerebral (B).
Cada um tem um peso molecular de 43.000 e é codificado por um gene
distinto. Os tecidos humanos contêm três diferentes frações da CPK, a saber:
fração BB, MB e MM. A CPK dos músculos esqueléticos é quase
42
exclusivamente da fração MM (97-99%), sendo o restante composto pela
fração MB. A CPK do miocárdio é basicamente formada pela fração MM (75-
80%), porém com maiores quantidades da fração MB (15-20%). A CPK
cerebral é composta exclusivamente pela fração BB. No soro normal, a CPK
total é representada principalmente pela fração MM. Isso ocorre devido à
pequena massa de miocárdio e rebro comparada com a massa muscular
total. Além disso, a meia vida da CPK-BB e da CPK-MB é relativamente curta
comparada com a da CPK-MM. Durante as primeiras 6 semanas de vida fetal,
somente a CPK-BB é sintetizada, mas ao redor da décima segunda semana de
vida embrionária, a CPK-MM é predominante
84
.
A CPK depende do método que é analisado, tendo, em termos
numéricos, variação importante de laboratório para laboratório, além de variar
conforme a idade (quanto mais jovens, maior o valor), sexo (homens maior que
mulheres) e grupo étnico (negros com maior taxa que brancos ou orientais),
assim como na gravidez normalmente aumento desta enzima
82,85,86
. Nesta
pesquisa utilizou-se como padrão, não o valor numérico, devido à variação inter
laboratórios, mas quantas vezes acima do valor máximo normal através da
equação abaixo, sendo o número “1” correspondendo ao valor máximo normal
(ou seja, 01 vez):
87
CPK Obtida
_________________ – 1
CPK máxima aceita
Nos pacientes portadores de DMD, em uma série brasileira, Werneck
encontrou níveis de CPK elevados, em média, 32,5 vezes em relação ao nível
normal
87
. Zatz, em outro estudo nacional com repercussão internacional
mostrou pico máximo de 130 vezes acima no valor máximo normal
82,88
. Os
níveis da CPK estão importantemente elevados no período neonatal,
denotando atividade da doença mesmo sem sintomas clínicos, tendo como
pico máximo entre 0 e 5 anos de idade, decrescendo com o aumento do
43
processo distrófico, além de, em cerca de 70% dos casos, estar também
elevada em portadoras da DMD
88,89
.
1.7.2 Eletroneuromiografia
A eletroneuromiografia (ENMG) é um teste neurofisiológico que
complementa o exame neurológico. Tal procedimento é constituído de
neurocondução, eletromiografia e teste de estímulos repetitivos.
Avalia-se, conforme Dumitru
90
a integridade do sistema nervoso
periférico, desde o corno anterior da medula e gânglio sensitivo, passando
pelas raízes nervosas, plexos, tronco de nervos, junção neuromuscular e
chegando ao músculo.
Na neurocondução estimula-se eletricamente um determinado nervo,
verificando a latência do potencial, a amplitude, bem como a velocidade de
condução entre um ponto e outro. Com este exame pesquisa–se a integridade
da condução nervosa podendo estar alterada, por exemplo, em neuropatias
periféricas.
na eletromiografia os potenciais são captados pela inserção de um
eletrodo de agulha observando–se o comportamento do músculo,
primeiramente no repouso normal o silêncio mioelétrico) e após, na
movimentação voluntária. Quando existe o movimento voluntário analisa–se
amplitude, duração e freqüência de disparo de um potencial individual e o
recrutamento do conjunto dos potenciais, avaliando–se assim a unidade
motora. De uma forma geral, nesta parte do exame podemos distinguir três
padrões de comprometimento anormal: o miopático, o neuropático e o
neuromiopático. Respectivamente mostram afecção muscular primária,
anormalidade entre o corno anterior da medula e o nervo e, por último, lesão
mista.
O teste de estimulação repetitiva avalia a integridade da junção
mioneural, podendo ser encontrado, em caso anormal, alteração pré-sináptica
(ex: Miastenia Gravis) e pós-sináptica (ex: Síndrome Eaton-Lambert).
44
Na avaliação de uma criança com déficit de força, o teste
neurofisiológico atua como um exame de triagem. O encontro, à
eletromiografia, de potenciais polifásicos com duração e amplitudes diminuidas
aliado a recrutamento aumentado, caracteriza padrão miopático (Figura 14).
a verificação de anormalidade à neurocondução encaminha o diagnóstico para
longe de comprometimento muscular primário, pensando em, por exemplo,
neuropatia.
Uma vez diagnosticado comprometimento muscular primário a ENMG
pode ajudar na localização do melhor músculo a ser biopsiado, pois a presença
de maiores anormalidades miopáticas em um determinado músculo faz dele
candidato a local da retirada de espécime para análise anatomopatológica.
Figura 14. Esquema eletromiográfico para padrões normal, neuropático e
miopático.
1.7.3 Biópsia Muscular
A biópsia muscular é uma inestimável arma na avaliação de patologias
neuromusculares, sendo importante para revelar se existe miopatia primária ou
transtorno neurogênico, assim como em fraqueza ou mialgias não
diagnosticadas. É útil no diagnóstico de enfermidades específicas musculares,
45
tais como distrofias musculares, miopatias metabólicas ou de depósito, assim
como miopatias inflamatórias. Também sinaliza anormalidades crônicas e
agudas, bem como ativas e inativas. Em harmonia com outras áreas, auxilia
em estudos bioquímicos e/ou genéticos em tecido fresco ou congelado para
mensuração de nível de enzimas e estudos de DNA para determinadas
doenças genéticas
91-94
.
De um modo geral, não somente para a avaliação da DMD, mas para
as demais patologias em que este procedimento se faz necessário, a escolha
do músculo a ser biopsiado depende do quadro clínico do paciente e do
estadiamento do grau de força de determinados sculos, segundo a escala
de avaliação de força muscular pelo “Medical Research Council” (MRC).
Tal escala de força é muito usada por neurologistas, variando entre o
grau zero e o grau 5, sendo que grau 5 é o grau normal de força para idade e
sexo; o grau 4 quando o examinando opõe resistência, mas “perde” para o
examinador. No grau 3 o examinando sustenta a força contra a gravidade, mas
não contra o examinador; o grau 2 não sustenta força contra gravidade, mas
consegue mover o músculo ao se retirar a mesma. o grau 1 discretos
movimentos mesmo depois de retirada a gravidade e o grau zero não há
qualquer movimento.
Comumente é preconizado realizar a biópsia em músculo que está
afetado, mas não severamente fraco ou fibrótico, ou seja, em termos práticos,
retirar espécime de músculos em que a força muscular estiver entre os graus 3
- 4. Pode-se escolher qualquer sculo, mas dá-se preferência à musculatura
proximal dos membros (mais seriamente afetadas em transtornos musculares)
como o quadríceps ou o bíceps. Recomenda-se evitar retirar amostras
próximas a tendões, pois está área pode conter aumento de tecido conjuntivo
ou algum aumento de núcleos internos e variação de fibras musculares que
podem levar a um diagnóstico errôneo de miopatia
91
.
O congelamento através de nitrogênio liquido da amostra de sculo é
preferível à preparação em parafina, pois a última não permite avaliação de
inúmeras anormalidades estruturais pela histoquímica. As colorações
histológicas rotineiramente utilizadas (Hematoxilina/Eosina - HE, Tricrômio de
46
Gomori modificado, Ácido Periódico de Schiff - PAS para glicogênio, o “Oil red
O” ORO para lipídios, etc.), são importantes para demonstrar a morfologia
das fibras musculares, dos elementos não contrácteis como nervo, vasos,
tecido conjuntivo e adiposo, bem como núcleos. Estruturas anormais dentro ou
fora das fibras como, por exemplo, corpos nemalínicos, vacúolos, material
amilóide etc., também podem ser identificados por essas técnicas.
A histoquímica muscular necessita de congelação prévia do espécime
para “estacionar” as reações normais que ocorrem no músculo e, assim,
quando necessário, reativá-las por meio de substâncias (geralmente enzimas).
Pela introdução posterior de corantes que se ligam a produtos específicos
gerados pelas reações acima, pode – se avaliar diversas estruturas antes
“escondidas” das colorações histológicas. Utiliza-se pelo menos a avaliação de
Adenosina Tri-Fosfato (ATPase) em pH ácido e básico (4.3; 4.6 e 9.4) para
diferenciar o tipo de fibra (I, IIa,IIb,IIc), marcadores oxidativos como a
Nicotinamida Adenina Dinucleotídeo Redutase (NADH) para avaliação das
estruturas intermiofibrilares, assim como a Succinato Desidrogenase (SDH), a
Citocromo C Oxidase (COX), Mioadenilato Deaminase, Miofosforilase, etc. para
deficiência enzimática específica.
Portanto, a histoquímica tem três principais razões para ser
efetuada
87,95
.
a. A demonstração de tipo específico de fibra (tipo I aeróbica, tipo II
anaeróbica), evidenciando se há seletividade específica de algum dos tipos em
determinado processo patológico.
b. Pode mostrar uma ausência de enzima em particular (como é o caso
da miofosforilase na doença de McArdle) ou excesso de substrato (como o
caso do glicogênio das doenças de acúmulo).
c. Demonstra várias alterações estruturais decorrentes de deficiência
focal de enzimas como as fibras em sacabocado (“moth eaten”), turbilhão
(“whorled”), distribuição anormal de mitocôndrias, etc.
A biópsia muscular, apesar de invasiva, é um procedimento simples, de
preferência realizado a u aberto em detrimento da biópsia por agulha, para
47
colheita de maior quantidade de material. As peças retiradas são congeladas
em nitrogênio líquido em um período não superior a 30 45 minutos. Os
fragmentos retirados não afetam a função do músculo, sendo mergulhados
previamente em Isopentano® e o conjunto congelado em nitrogênio líquido á -
170ºC para posterior análise histológica, histoquímica, imunoistoquímica e por
“westernblot”, quando necessário.
Nos pacientes com fraqueza muscular a caracterização de processos
distróficos pelas técnicas acima mostra necrose em vários estágios,
desorganização no diâmetro das fibras, bem como substituição das mesmas
por tecido adiposo, além de aumento do tecido conjuntivo peri e endomisial.
Presença de fibras em regeneração, verificação de alterações estruturais como
fibras em segmentação. Além disso, é importante a presença normal de
enzimas específicas para descartar outras patologias como as descritas no
parágrafo anterior
95
.
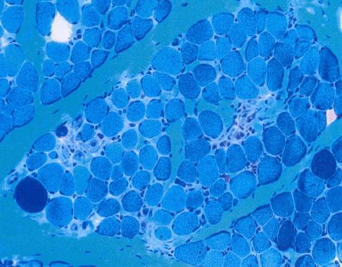
Em termos histológicos e histoquímicos, para avaliação rotineira das
biópsias musculares em nosso serviço, são utilizadas as colorações e reações
acima descritas, além da Esterase Inespecifica, Fosfatase Ácida e Alcalina.
Para a presente dissertação, a caracterização de processo distrófico foi feita
através de HE e Gomori do seguinte modo:
Para ser considerada distrofia muscular deverá apresentar pelo menos
03 dos seguintes critérios (Figura 15):
1) Aumento de tecido conjuntivo peri/endomisial
2) Substituição de fibras muscular por tecido adiposo
3) Necrose com fagocitose proporcional
4) Presença de fibras hipertróficas hipercontráteis hipercoradas
5) Presença de fibras basofílicas
48
Figura 15. Processo distrófico em paciente com DMD. Tricrômio de Gomori
Modificado. 10x. Acervo do autor.
A imunoistoquímica é um avanço considerável na interpretação das
anormalidades musculares, pois pode determinar com precisão a presença ou
ausência de uma dada estrutura.
No caso da DMD, o padrão-ouro para o diagnóstico é a o
observação da ligação adequada do anticorpo anti-distrofina, ou seja, a
ausência ou imunuoidentificação muito alterada dessa proteína no seu local
habitual (sarcolema). Deve–se ter em mente que outras patologias podem
afetar as proteínas constituintes da membrana plasmática (como os
sarcoglicanos), podendo confundir-se com a distrofia muscular de Duchenne,
necessitando ser realizado diagnostico diferencial através de imunoistoquímica
com anticorpo específico.
A imunoistoquímica para identificação da distrofina pode ser realizada
pela utilização de anticorpos contra o terminal carboxila (porção distal, ligada
às DAGs), a porção do bastão (“Rod”), sendo a porção central da proteína e
contra o terminal amino (n-terminal porção proximal ligada a actina). Alguns
autores preconizam a utilização de dois anticorpos diferentes
96
, mas a
utilização de somente um anticorpo, sendo este contra o terminal carboxila,
grande chance de diagnosticar DMD, como visto por Scola
97
, mostrando
49
sensibilidade de 96,07% e especificidade de 100% com a utilização desse
anticorpo. Opinião também expressa por outros autores
98-100
.
Existem diversos pesquisadores que criaram classificações para a
imunoidentificação da distrofina, tanto em DMD, DMB e portadoras como em
outras distrofias, porém no nosso serviço utilizamos a classificação utilizada por
Scola para imunoidentificação da distrofina através de imunofluorescência, que
por sua vez baseou-se nas propostas de outros autores
43,101,102
.
A intensidade da imunocoloração e o tipo de imunoidentificação da
distrofina nas fibras segundo a classificação de Scola estão descritas a seguir:
0 - Imunoidentificação da distrofina ausente (ausência de
imunoflourescência).
1 - Imunoidentificação da distrofina residual (alguns raros segmentos).
2 - Imunoidentificação da distrofina com fibras positivas (raras fibras com
distrofina positiva).
3 - Imunoidentificação da distrofina reduzida na maioria das fibras
(difusamente reduzida).
4 - Imunoidentificação da distrofina com falhas grandes e médias ou
padrão mosaico.
5 - Imunoidentificação da distrofina com falhas focais pequenas e
múltiplas formando rosário.
6 - Imunoidentificação da distrofina com falhas pequenas e raras.
7 - Imunoidentificação da distrofina normal.
A caracterização das distrofinopatias através da imunoidentificação da
imunofluorescência da distrofina, segundo Scola, mostra que os pacientes com
DMD estão incluídos entre os tipos 0, 1 ou 2. os pacientes com DMB estão
incluídos entre os tipos 3 e 5. Assim, as anormalidades patológicas estão entre
os tipos 0 a 5, sendo que a classificação tipo 6 está dentro da normalidade,
50
porém a alteração nas membranas das fibras musculares seria produzido por
defeito técnico devido aos cortes nas biópsias de congelação.
1.7.4 Análise Molecular
O teste genético escolhido pelo médico para determinado paciente é
frequentemente ditado pela natureza da suspeita do defeito genético. A maioria
das doenças genéticas são transtornos devidos a defeitos em um gene único
cujo diagnóstico molecular repousa, em última análise, em teste do gene
específico ou da proteína por ele codificada. Geralmente a mutação genética é
considerada mais específica do que anormalidades na proteína, pois alterações
quantitatvas na proteína podem ser primárias ou secundárias ao defeito
genético em questão. Contudo, em determinadas circunstâncias, como é o
caso da DMD / DMB, o teste para avaliação da proteína (“Western Blot” ou
imunoistoquímica) pode ser mais definitivo do que o teste genético
103
.
Conforme mencionado, através da análise de DNA foi verificado que
cerca de 65 % dos pacientes com DMD possuem deleções e 5% duplicações
em alguma região do gene hereditárias, enquanto os restantes 30%
apresentam mutações novas
30,63
.
As deleções e duplicações podem ser encontradas em cerca de 98%
dos casos pela cnica de PCR (Reação em Cadeia da Polimerase) com
amplificação de diferentes exons em uma única reação (PCR-Multiplex),
usando a cnica e os "primers" desenvolvidos por Beggs
60
e Chamberlain
59
e
ainda a SSCP-PCR que pode identificar deleções de a uma base na
seqüência nucleotídica. Dentre os locais passíveis de ocorrência das
mutações, pontos preferenciais (hot spots) foram identificados, um na região
proximal (extremidade 5´do gene) compreendendo os exons 2-20 (30%) e outro
mais distal, entre os exons 44-53 (70%). Nos casos em que a mutação não foi
identificada pela PCR, pode-se utilizar a técnica de Southern-blot para
determinar a existência de uma grande região de deleção ou duplicação, ou
que resultem em alteração do quadro de leitura (“frame-shifting”).
51
Como verificado no item “História”, a análise molecular foi de
importância crucial na carcterização da doença. Mas, em termos práticos, a
utilização de inúmeros métodos (tanto os acima descritos como outros mais
modernos) para total verificação do gigantesco gene da distrofina é
extemamente oneroso, tanto em termos financeiros, como em demanda de
tempo, além de não ser o padrão ouro (imunoistoquímica para distrofina).
Assim, em termos práticos, realização da reação em cadeia da polimerase, ou
de forma simples ou como “multiplex” auxilia, em muito, no diagnóstico (neste
trabalho utilizam-se os conjuntos semelhantes aos de Beggs e
Chamberlain)
59,60
.
O fato central que faz a PCR tão útil e que brindou seu descobridor
com o prêmio nobel de química em 1994 é o seguinte: todo o organismo vivo
possui sequências de nucleotídeos no DNA que são únicas e específicas para
cada espécie. A técnica, conforme referências no final desta secção, explora
função natural da enzima chamada de taq-polimerase, extraída da bactéria
resistente ao calor Thermus Aquaticus. Através da PCR é possível obter-se
cópias de uma parte do material genético em quantidade suficiente que permita
detectar e analisar a sequência que é alvo do estudo. Às vezes referida como
“fotocópia molecular”, a PCR pode amplificar qualquer sequência específica de
DNA, a partir de amostras de diferentes materiais biológicos como sangue,
urina e outros fluidos corporais, cabelo e cortes de peças (biópsias frescas ou
em blocos de parafina). Amostras de microorganismos, células animais ou
vegetais, alguns deles com milhares, possivelmente até milhões, de anos de
idade podem, também, ser detectadas.
Para a execução da técnica da PCR é preciso que se tenha
conhecimento prévio da sequência do ácido nucléico que se deseja amplificar,
dita “sequência alvo.” A partir disto, desenham-se dois iniciadores (“primers”)
para dar partida ao processo de síntese em um local específico. Um “primer”
serve para sintetizar a sequência alvo no sentido 3’- 5’e outro para o sentido
inverso, isto é, 5’- 3O “primer” é uma pequena sequência de nucleotídeos que
hibridiza no início da sequência alvo que se quer amplificar e da qual ele é
complementar. Ao reconhecer o “primer” a polimerase sintetiza uma cópia
complementar, obedecendo à informação contida na sequência de DNA que
52
será replicada (sintetizada). A PCR precisa ainda de deoxinucleosídeos
trifosfatados (dATP; dTTP; dGTP; dCTP) que são quatro componente químicos
diferentes que atuam como se fossem tijolos na construção da molécula de
DNA.
O primeiro passo para a realização de um PCR é a colheita da amostra
biológica. Para tanto, é importante levar em consideração o que se deseja
pesquisar. Por exemplo: um paciente com suspeita de DMD poderá ser
avaliado o sangue periférico ou mesmo material muscular decorrente de
biópsia.
O segundo passo consiste em extrair o DNA a partir do material
coletado. Esta extração segue um critério de metodologia sico que varia
dependendo da amostra utilizada. Preliminarmente utilizam-se substâncias
desproteinizantes como o fenol-clorofórmio, capazes de desnaturar e retirar as
proteínas que estão acopladas ao DNA. A adição posterior de etanol fará com
que o material genético precipite no tubo que posteriormente será solubilizado
em tampão apropriado para o uso na reação.
O terceiro passo consiste em preparar a mistura de reação. A mistura
de reação contém as substâncias necessárias para fazer novas cópias de DNA
no processo da PCR. Então, dentro de um tubo são colocados:
1) solução tampão para manter a mistura de reação no pH e condições
iônicas ideais para a reação;
2) os deoxinucleotídeos já mencionados;
3) os “primers.”
4) a Taq Polimerase
5) o DNA extraído da amostra.
O quarto passo consiste na reação em si que é feita em uma máquina
especial chamada de termociclador, que aquece e resfria o tubo em vários
ciclos consecutivos para amplificar o DNA. Primeiramente, o tubo é aquecido a
90-96 graus para que o DNA seja desnaturado (separação das fitas). Em
53
seguida, a temperatura do termociclador diminui para permitir a hibridização ou
anelamento; nesta fase, os “primers” se ligam especificamente às suas
sequências complementares no DNA. A próxima etapa é a síntese pela
polimerase. Após diversos ciclos (geralmente em torno de 30 ciclos) o DNA
estará amplificado em milhões de cópias.
Problemas técnicos podem surgir. O mais importante é a contaminação
da amostra com material genético estranho que pode gerar cópias de DNA não
relacionadas ao DNA que está sendo investigado e o resultado pode levar a
conclusões erradas. Para diminuir os riscos deste tipo de contaminação ao
mínimo possível, os laboratórios devem ter cuidado no manuseio da amostra,
utilizando luvas, tubos descartáveis, etc. O laboratório deve ter áreas
separadas para cada etapa do processo: para o preparo da amostra, da
mistura de reação, realização do processo da reação e análise. Outro problema
pode ser a presença na amostra de substâncias que, conhecidamente, inibem
a reação (como exemplo a hemoglobina). Para isso a amostra deve ser
devidamente tratada para “limpá-las” destas substâncias. O passo final é a
análise do produto de reação. Esta pode ser feita através de gel de
poliacrilamida posteriormente corado pela prata ou em gel de agarose, corado
por brometo de etídio. Em qualquer uma delas, o material amplificado é
visualizado como uma banda a ser analizada de acordo com o seu peso
molecular.
A tecnologia da reação em cadeia da polimerase também é bastante
flexível, permitindo uma série de modificações que possibilitam o seu emprego
na análise de uma grande variedade de amostras. Entre as principais técnicas
resultantes de modificações da reação em cadeia da polimerase, podemos citar
o RT-PCR, “nested” PCR, multiplex PCR, PCR a partir de primers
randômicos e PCR em tempo real. O RT-PCR utiliza uma enzima chamada
transcriptase reversa para converter uma amostra de RNA em cDNA antes da
etapa de amplificação por PCR, permitindo estudo de vírus de RNA e análises
de expressão gênica. PCR multiplex é uma reação de amplificação
desenhada para detectar múltiplas seqüências-alvo numa mesma amostra.
PCR a partir de primers randômicos utiliza seqüências curtas de
54
oligonucleotídeos para amplificar regiões repetitivas do DNA genômico e é
bastante empregado em estudos epidemiológicos.
Finalmente, PCR em tempo real permite que a amplificação e a
detecção ocorram simultaneamente, num sistema fechado, sendo necessário
para isto um termociclador que possua sistema de monitoramento de emissão
de fluorescência. Esta técnica é empregada tanto para quantificação de
amostras, como para testes de carga viral e monitoramento de doença residual
mínima, assim como para portadoras de DMD
103-105
.
1.8 ASPECTOS GENÉTICOS
1.8.1 Herança
A DMD é uma doença letal com padrão de herança recessivo ligado ao
cromossomo X e penetrância completa. Cerca de 2/3 dos casos são familiares
e o restante decorrente de mutações novas (Figuras 16, 17 e 18).
Figura 16. Herança ligada ao X nos casos familiares.
O filho recebe um cromossoma X anormal da mãe e o cromossoma Y do pai.
Não havendo outro cromossoma X para inativar o anormal haverá
desenvolvimento de DMD.
55
Figura 17. Herança genética na DMD.
A mãe poderá transmitir o cromossoma X anormal para um filho, havendo DMD
ou para uma filha (portadora). Caso transmita o cromossoma X normal, não
haverá alteração. Verifica-se o percentual da distribuição acima descrita.
Figura 18. Herança genétca, alteração no DNA e repercussão na fibra
muscular.
Mutação no gene da
distrofina no
cromossomo X, com
perda irreversível do
desgaste muscular.
Cromossomo
X recessivo
56
A grande maioria das mulheres portadoras o exibe qualquer
manifestação clínica, mas 70% têm um nível sérico de CPK elevado.
Entretanto, de acordo com a teoria da inativação aleatória do X, proposta por
Lyon
22
, o cromossoma X normal parece ser inativado numa proporção crítica
de lulas em algumas heterozigotas, e cerca de 8% das portadoras adultas
apresentam fraqueza muscular significativa, que em alguns casos leva à
incapacidade muscular proximal gra0ve
71
. Em exemplos raros, relataram-se
meninas com DMD; algumas apresentam translocações X;autossomo, outras
possuem apenas um cromossomo X (Síndrome de Turner) que carrega a
mutação
22
.
1.8.2 Aconselhamento Genético
Segundo as observações de Bushby em 2005
106
, o aconselhamento
genético é de elevada importância, junto com a maioria dos demais aspectos
dos critérios diagnósticos.
A prática do aconselhamento genético consiste em apresentar ao
paciente ou familiares de paciente com algum distúrbio hereditário, as
conseqüências da doença, a probabilidade de desenvolvê-la e transmiti-la, e os
métodos pelos quais a doença possa ser evitada ou atenuada. Esta prática
deve incluir um completo levantamento de dados, que serão utilizados pelo
geneticista clínico, na tomada de decisões e atitudes. De um modo geral, são
seguidas etapas que buscam conhecer os consulentes e a doença em questão,
confirmando e estabelecendo o diagnóstico e o padrão de herança na família,
permitindo a identificação de possíveis portadores e seus riscos. Ao final, o
geneticista apresenta suas conclusões, esclarece, orienta e acompanha os
consulentes.
Nas distrofias musculares, a mulher heterozigota apresenta 50% de
possibilidade de transmitir a doença aos filhos do sexo masculino. Esta
possibilidade torna-se ainda mais elevada considerando-se que a DMD é uma
doença intratável e incurável; portanto, o aconselhamento genético possui um
papel fundamental na prevenção de novos casos. É primordial, portanto, que o
57
médico tenha acesso ao que de melhor e mais moderno, às pesquisas em
andamento, e aos avanços da investigação genética.
As portadoras identificadas são classificadas da seguinte forma:
1. Obrigatórias, que possuem um filho afetado e outro parente afetado
na linha materna;
2. Prováveis, que possuem mais de um filho afetado;
3. Possíveis, que possuem um filho afetado (único caso na família e
linha materna) ou irmãs de um afetado.
A análise das enzimas musculares, em especial a CPK, na
investigação das portadoras é informativa quando estiver aumentada (como em
50-80% de jovens heterozigotas), mas pode estar dentro dos níveis normais
em mulheres mais maduras, e, nestes casos, apenas o exame de DNA será
informativo. rias metodologias diferentes são empregadas para o estudo do
DNA. Nesses caso o uso de Southern Blotpara análise quantitiva da proteína
é importante, havendo a utilizam-se marcadores (extra e intragênicos) para
detecção de heterozigotas, entre os casos onde o afetado não apresenta
deleção (cerca de 35%). Mais recentemente houve o desenvolvimento da
técnica de MLPA (“multiple ligation-dependente probe amplification”)
107
. O
diagnóstico de portadoras é mais preciso e exato nos casos em que
mutação intragênica, seja deleção ou duplicação
108
.
1.9 CRITÉRIOS DIAGNÓSTICOS
Os critérios diagnósticos são norteados por dados de clínica e
laboratório, tendo sido compilados pelo European Neuromuscular Centre
(ENMC)
109
e corroborados por artigos chancelados pelo mesmo centro como
descritos a seguir:
106
58
1.9.1 Critérios Diagnósticos para DMD - ENMC
1.9.1.1 Elementos Diagnósticos
1. Sintomas presentes antes dos 05 anos de idade.
2. Sinais clínicos compreendem fraqueza muscular simétrica; sculos
proximais mais do que distais; inicialmente somente nos membros
inferiores. Hipertrofia de panturrilhas está freqüentemente presente.
3. Exclusão: fasciculações, perda de sensibilidade.
4. Perda de deambulação não assistida antes da idade de 13 anos.
5. Aumento da creatinofosfoquinase (CPK) no mínimo 10 vezes o valor
máximo normal (de acordo com a idade e a mobilidade).
6. Biópsia muscular: variação anormal no diâmetro das fibras (atróficas e
hipertróficas), fibras necróticas e em regeneração (focos de), fibras
hialinas, aumento de tecido conjuntivo e adiposo.
7. Biópsia muscular: quase nenhuma distrofina demonstrável, exceto em
fibras ocasionais (menos de 5% das fibras).
8. DNA: Mutação tipo Duchenne dentro do gene da distrofina, idêntico
haplótipo envolvendo marcadores ligados proximamente como em casos
familiares prévios.
9. História familiar positiva compatível com herança recessiva ligada ao X.
Avaliação
O diagnóstico definitivo é feito quando ocorre o seguinte:
A – Primeiro caso na família:
a. Idade < 5 anos: elementos (2), 3, 5, 6, 7, (8) todos presentes
59
b. Idade entre 5 12 anos: 1, 2, 3, 4, 5 (no mínimo uma vez), 6, 7, (8)
todos presente
c. Idade > 12 anos: (1), 2, 3, 4, 5 (no mínimo uma vez), (ou 6 e 7) todos
presentes
B *Outro caso na família (de acordo com o elemento 9) preenchendo os
critérios sob o item A:
a. Idade < 5 anos: 5 e 9 presentes
b. Idade entre 5 12 anos: 1, 2, 3, 5 (no mínimo uma vez) todos
presentes
c. Idade > 12 anos: (1), 2, 3, 4, 5 (no mínimo uma vez) todos presentes
* = Quando a história familiar é positiva (de acordo com o elemento 9) e B não
é válida, deverá ser seguido como especificado no item A.
O diagnóstico é possível quando ocorre o seguinte:
a. Idade < 5 anos: (2), 3, 5, 6 todos presentes
b. Idade entre 5 12 anos: 1, 2, 3, (4), 5 (no mínimo uma vez), 6, todos
presentes.
Resumo do diagnóstico de DMD
Clínica (maiores detalhes na descrição clínica acima):
1. Sintomas presentes antes dos 05 anos de idade parada na
deambulação antes dos 13 anos de idade.
2. Fraqueza muscular proximal dos sculos das cinturas pélvica e
escapular, em especial a primeira, caracterizada por dificuldade para
correr, saltar, subir escadas e erguer-se do chão.
3. Histórico familiar positivo em cerca de 1/3 dos casos.
60
1.9.1.2 Laboratoriais:
1. Enzimas musculares, em especial a Creatinofosfoquinase (CPK) elevada
mais de 10 vezes acima do valor máximo do normal.
2. Eletroneuromiografia, caso se tenha dúvida de que se trate de uma
doença muscular ou neuropática, mostra à neurocondução (estimulação
dos nervos periféricos, tanto sensitivos quanto motores), de modo geral,
normalidade. Porém ao exame de agulha (eletromiografia) verificam-se
potenciais de unidade motora come durações e amplitudes reduzidas e
recrutamento precoce, com possibilidade de serem encontradas
fibrilações e ondas positivas, caracterizado padrão miopático. Assim
como a elevação das enzimas musculares, não se trata de
anormalidades específicas para DMD, mas encontradas em muitas
miopatia.
3. Exames genéticos que evidenciam mutações no gene da distrofina.
Geralmente se usa, em termos de diagnóstico de casos em geral, a PCR-
Multiplex com os sets de Beggs e Chamberlain. Detectam-se
anormalidades em cerca de 70% dos casos; portanto, um exame
negativo não exclui o diagnóstico.
4. Biópsia muscular com padrão distrófico e importante anormalidade na
análise imunoistoquímica para distrofina. Este é o padrão ouro, mas, por
ser invasivo, aconselha-se realizar primeiro o exame molecular analisado
conjuntamente com o quadro clínico e, caso esse seja negativo, fazer a
biópsia muscular como descrito acima.
61
4 CONSIDERAÇÕES FINAIS
No mundo atual de intensas mundanças, tanto culturais, quanto
políticas e científicas, temos cada vez mais a obrigação de oferecer o melhor
às pessoas. Isso inclui conservação da natureza, fornecimento de alimentos,
acesso à educação, desenvolvimento humano e tecnológico, etc.
Do ponto de vista da área da saúde, a mesma premissa se aplica.
Infelizmente o que se “deve e deseja”, nem sempre é realizável, podendo ser
até, em determinadas situações, incompatível com “o que se pode”. Seja por
dificuldades técnicas, seja por carência de material humano para realizá-las,
seja, especial e principalmente por falta de recursos monetários. Além disso, as
diferenças entre os paises em desenvolvimento (no caso do Brasil, em especial
o RGS), e desenvolvidos pode gerar situações díspares.
Apesar de absolutamente adequado e extremamente compreensível a
posição do ENMC de solicitar a realização de exame molecular e, em conjunto
com os dados clínicos, dar-se o diagnóstico de DMD ou DMB, pelo método
tradicionalmente realizado comercialmente (PCR), pelo menos 30% de
chance de normalidade nesse exame. Assim, deveria ser realizada a biópsia
muscular com estudo imunoistoquímico, encarecendo mais ainda o
diagnóstico. Sabe-se que, mesmo sendo invasivo, esse exame é o padrão ouro
para DMD/DMB, bem como podeavaliar outras patologias, abrindo o leque
diagnóstico. Portanto, em frente a paciente com possibilidade de distrofia
muscular o médico assistente deverá ter essas informações em mente e pesar
o que é mais conveniente do ponto de vista prático para realizar o diagnóstico.
Este trabalho mostrou o perfil dos pacientes com DMD que foram
atendidos no ambulatório de doenças neuromusculares do Serviço de
Neurologia do HSL-PUCRS, comparando-o a outros estudos realizados no
estado do RGS, no país e no exterior com metodologia semelhante. Com isso
auxiliar os pacientes, assim como seus familares, a equipe médica e o sistema
de saúde a diagnosticar essa patologia, pois houve adequada implementação
dos métodos acima descritos, deixando a possibilidade de realizar todos ou
62
escolher o que melhor servir para a ocasião. Alertar sobre doenças da mesma
espécie e diagnósticos diferenciais, bem como possibilitar ser trampolim para
outros estudos, tanto epidemiológicos, quanto clínico-laboratoriais, assim como
terapêuticos.
63
5 REFERÊNCIAS BIBLIOGRÁFICAS
1. Hoffman EP; Brown RH;Kunke, LM. Dystrophin: the protein produtc of the
Duchenne muscular dystrophy locus. Cell, 1987; 51:919-928.
2. Watkins SC; Hoffman EP; Slayer HS; Kunkel LM.
Immunoelectronmicroscopic localization of dystrophin in myofibres. Nature,
1988;333: 863-866.)
3. Tinsley JM, Blake DJ, Roche A, et al. Primary structure of dystrophin-
related protein. Nature 1992; 360: 591-593.
4. Den Dunne JT; Grootscholter PM; Bakker E, et al.Topography of the
Duchenne muscular distrophy (DMD) gene: FIGE and cDNA analysis of
194 cases reveals 115 deletions and 13 duplicatins. Am J Hum Gent 1989;
45: 835-847.
5. Monaco AP; Bertelson CJ; Liechti-Gallati S; Moser H; Kunkel LM. An
explanation for the phenotypic difference between patients bearing partial
deletions of the DMD locus. Genomics 1988; 2:90-95.
6. Passos Bueno MR; Rapaport D; Love D; Flint T; Bortolini ER; Zatz M;
Davies KE. Screening of deletions in the dystrophin gene with the cDNA
probes Cf23a, Cf56a and Cf115. J. Med. Genet. 1990; 27: 145 – 150.
7. Bakker, E. et al. Duchenne and Becker Muscular Distrophy (DMD and
BMD). In Alan Emery . Neuromuscular Disorders: Clinical and Molecular
Genetics. Ed. John Wiley & Sons Ltd; 1998.Cap 3: 59-85.
8. Kingston, H.M. et al. Localization of the gene for Becker Muscular
Dystrophy. Lancet, 1983; 1200.
9. Brooke MH; Fenichel GM; Griggs RC; Mendell JR; Moxley R; Miller JP;
Province MA. Clinical investigation in Duchenne dystrophy: 2.
Determination of the “power” of therapeutic trials base don the naturla
hystory. Muscle Nerve,1983; 6: 91 – 103.
10. Towbin JA; Hejtmancik JF;Brinck P; Gelb B; Zhu XM; Chamberlain JS;
McCabe ER; Swift M. X-linked dilated cardiomyopaty. Molecular genetic
64
evidence of linkage to the Duchenne muscular dystrophy (dystrophin) gene
at the Xp21 locus. Circulation 1993; 87: 1854 – 65.
11. Alho CS. Estudo epidemiológico e molecular das distrofias musculares de
Duchenne e Becker no sul do Brasil implicações para o aconselhamento
genético. Disertação de Mestrado no Curso de Pós-Graduação em
Genética e Biologia Molecular da Universidade Federal do Rio Grande do
Sul, Porto Alegre 1994.
12. Hoffmann, E. Clinical and hystopathological features of abnormalities of
the Dystrophyn-based membrane cytoesqueleton. Brain Pathology 1996;
6:49-61.
13. Van Essen, A. J., et al. The clinical and molecular genetic approach to
Duchenne and Becker muscular dystrophy: na updated protocol. J Med
Genet 1997; 34: 805-812.
14. Emery A; Emery M. A brief history of the Meryon Society. Neuromusc Dis
2007. 17: 723 – 724.
15. Engel AG; Yamammoto M; Fischbeck KH. Distrophynopathies. In Engel
AG; Franzini-Armstrong C. (2Ed). Myology. New York, McGraw-Hill, Inc.
1994. 41: 1133 – 1187.
16. Emery, A E and Emery, M.L.. Edward Meryon (1809-1880) and muscular
dystrophy. J Med Genet 1993; 30: 506-511.
17. Rowland LP; Osnos M; Hirsbergs F. Serum enzymes in the myopathies.
Trans. Am. Neurol. Assoc. 1960. 85: 15 – 18.
18. Mokri B; Engel AG. Duchenne dystrophy: electron microscopic finding to a
basic or early abnormlity in the plasma membrane of the muscle fiber.
Neurology. 1975; 25: 1111 – 1120.
19. Bodensteiner JB; Engel AG. Intracellular calcium ccumulation in Duchenne
dystrophy and other myopathies. A study of 567.000 muscle fibres in 114
biopsies. Neurology 1978; 28: 439 – 446.
20. Greensteein RM; Reardon MP; Chan TS. An X / autossome transcation in
the girl with Duchenne muscular dystrophy (DMD): Evidence for DMD
gene localization. Pedriatr Res (Abstr) 1977; 11:457.
65
21. Greensteein RM; Reardon MP; Chan TS. Middleton AB; Mulivor RA;
Greene AE; Coriell LL. An (X;11) translocation in a girl with Duchene
muscular dystrophy. Respository identification nº GM 1695. Cytogenet.
Cell. Genet. 1980; 27: 268.
22. Boyd Y., Buckle V., Holt S., Munro E., Hunter D., Craig I. () Muscular
Dystrophy in girls with X;autosome translocations. J Med Genet 1986; 23:
484.
23. Worton R.G.& Burghes A.H. Molecular Genetics of Duchenne and Becker
Muscular Dystrophy. Int Rev Neurol 1988; 29: 1-76.
24. Boyd, Y. & Buckle V.J. Cytogenetic heterogeneity of translocations
associated with Duchenne muscular dystrophy. Clin Genet 1986; 29: 108.
25. Ray P.N., Belfall B., Duff C., et al. Cloning of the breakpoint of an X:21
translocation associated with Duchenne muscular dystrophy. Nature 1985;
318: 672-675.
26. Botstein D; White RL. Skolnick M; Davis RW. Construction of a genetic
linkage map in man using restriction fragment length polymorphism. Am. J.
Hum. Genet. 1980; 32: 314 – 331.
27. Francke U; Ochs HD; De Martinvile B; Giacalone J; Lindgren V; Disteche
C; Pagon RA; Hofker MH; Van Ommen GJ; earson PL; Wedegwood R.
Minor XP21 chromossome deletion in male associated with expression of
Duchenne muscular dystrophy, chronic granulomatous disease, retinitis
pigmentosa, and McLeod syndrome. Am. J. Hum. Genet. 1985. 37: 250
267.
28. Kunkel LM; Monaco AP; Middlesworth W; Ochs HD; Latt AS. Specific
cloning of DA fragments absent from the DNA of a male patient with an X
chromossome deletion. Proc. Natl. Acad. Sci. 1985.82: 4778 – 4782.
29. Monaco AP; Bertelson CJ; Colleti-Feener C; Kunkel LM. Localization and
cloning of Xp21 deletions breakpoints involved in muscular dystrophy.
Hum Genet. 1987. 75: 221 – 227.
30. Koenig M; Mônaco AP; Hoffman EP; Bertelson CJ; Monaco AP; Feener C;
Kunkel LM. Complete cloning of the Duchenne muscular dystrophy (DMD)
cDNA and preliminar genomic organization of the DMD gene in normal and
affected individual. Cell. 1987. 50:509 – 517.
66
31. Hoffman EP;Brown RH;Kunke, LM. Dystrophin: the protein produtc of the
Duchenne muscular dystrophy lócus. Cell, 1987; 51:919-928.
32. Hoffman EP; Fishbeck KH; Brown RH; Johnson M; Medori R; Loike JD;
Harrris JB; Waterston R; Brooke M; Specht L; Kupsky W; Chamberlain J;
Caskey T; Shapiro F; Kunkel L. Caracterization of dystrophin in muscle-
biopsy specimens from patients with Duchenne’s or Becker’s muscular
dystrphy. N. Eng.J.Med. 1988. 318; 1361 – 1368.
33. Miranda AF, Bonilla E, Martucci G, Moraes CT, Hays AP, DiMauro S.
Immunocytochemical study of dystrophin in muscle cultures from patients
with Duchenne muscular dystrophy and unaffected control patients. Am. J.
Pathol., 1988. 132:410-416.
34. Arahata K; Hoffman EP; Kunkel LM; Ishiura S; Tsukahara T; Ishihara T;
Sunohara N; Nonaka; Ozawa E; Sugita H. Dystrophin diagnosis:
Comparison of dystrophin abnormalities by immnofluorescence and
immunoblot analyses. Proc. Natl. Acd. Sci. 1989. 88: 7154 – 7158
35. Koenig M; Mônaco AP; Kunkel LM. The complete sequence of dytrophin
predicts a rodshaped cytoskeletal protein. Cell. 1988. 53: 219 – 226.
36. Campbell KP; Kahn SD. Association of dystrophin and integral membrane
glycoprotein. Nature, 1989. 338: 259 – 262.
37. Roberds, S. L.; Anderson, R. D.; Ibraghimov-Beskrovnaya, O.; Campbell,
K. P. Primary structure and muscle-specific expression on the 50-kDa
dystrophin-associated glycoprotein (adhalin). J. Biol. Chem. 1993 268:
23739-23742.
38. Roberds, S. L.; Leturcq, F.; Allamand, V.; Piccolo, F.; Jeanpierre, M.;
Anderson, R. D.; Lim, L. E.; Lee, J. C.; Tome, F. M. S.; Romero, N. B.;
Fardeau, M.; Beckmann, J. S.; Kaplan, J.-C.; Campbell, K. P. Missense
mutations in the adhalin gene linked to autosomal recessive muscular
dystrophy. Cell. 1994. 78: 625-633.
39. Passos-Bueno, M. R.; Oliveira, J. R.; Bakker, E.; Anderson, R. D.; Marie,
S. K.; Vainzof, M.; Roberds, S. L.; Campbell, K. P.; Zatz, M. Genetic
heterogeneity for Duchenne-like muscular dystrophy (DLMD) based on
linkage and 50 DAG analysis. Hum. Molec. Genet. 1993 2: 1945-1947.
40. Vainzof M; Passos Bueno MR; Canovas M; Moreira ES; Pavanello RC;
Marie SK; Anderson LV; Bonnemann CG; McNaly EM; Nigro V; Kunkel
67
LM; Zatz M. The sarcoglycan complex in the six autossomal recessive
limb-girdle muscular dystrophies. Hum. Moll. Genet. 1996. 5: 1963 – 1996.
41. Sadoulet-Puccio HM; Kunkel LM. Dystrophin and Its Isoforms. Brain
Pathology; 1996; 6 (1), 25–35.
42. Rando T. The dystrophin-glycoprotein complex, cellular signaling, and the
regulation of the survival in the muscular dystrophies. Muscle Nerve; 2001.
24: 1575 – 1594.
43. Nicholson LV; Johnson MA; Bushby KM; Gardner-Medwin D; Curtis A;
Ginjaar IB; Den Dunnen JT; Welch JL; Butler TJ; Bakker E; Van Ommen
GT; Harris JB. Integrated study of 100 pacients with Xp21-linked muscular
dystrophy using clinical, genetic, immunochemical and histopathological
data. Part 1. Trends across the clinical groups. J. Med. Genet. 1993; 30:
728 – 736.
44. Chelly J., Marlhens F., Dutrillaux B. et al. Deletion proximal to DXS68
locus (L1 probe site) in a boy with Duchenne muscular dystrophy, glycerol
kinase deficiency and adrenal hypoplasiaq. Hum Genet 1988;78: 222.
45. Rapaport D., Passo-Bueno M.R., Brandão L. et al. Apparent association of
mental retardation and specific patterns of deletions screened with probes
cf56a and cf23a in Duchenne muscular dystrophy. Am J Med Genet
1991;39: 180.
46. Chelly J., Gilgenkrantz H., Lambert M. et al. Effect of dystrophin gene
deletions on mRNA levels and processing in Duchenne and Becker
muscular dystrophies. Cell 1990;63: 1239.
47. van Ommem G.J., Verkerk J.M., Hofker M.H. et al. A physical map of 4
million bp around the Duchenne muscular dystrophy gene on the human
X-chromosome. Cell 1986; 47: 499.
48. Burghes A.H., Logan C., Hu X., Belfall B. et al. A cDNA clone from
Duchenne-Becker muscular dystrphy gene. Nature 1987;328 :434-437.
49. Monaco A.P., Walker A.P., Millwood I., Larin Z. & Lehrach H. A yeast
artificail chromosome contig containing the complete Duchenne muscular
dystrophy gene. Genomics 1992; 12: 465.
68
50. Burmeister M., Monaco A.P., Gillard E.F.et al. A 10-megabase physical
map of human Xp21, including the Duchenne muscular dystrophy gene.
Genomics 1988; 2: 189.
51. Koenig M., Beggs A.H., Moyer M. et al The molecular basis for Duchenne
versus Becker muscular dystrophy: Correlation of severity with type of
deletion. Am J Hum Genet 1989; 45: 498-506.
52. Beggs AH; Hoffman EP; Snyder JR; Arahata K; Specht L; Shapiro G;
Angelini C; Sugita H; Kunkel LM. Exploring the molecular basis for
variability among patients with Becker muscular dystrophy: dystrophin
gene and protein studies. Am. J. Hum. Genet.1991; 49: 54 – 67.
53. Bushby KM; Gadner-Medwin D. The clinical, genetic and dystrophin
characteristic of Becker muscular dystrophy. I. Natural history. J. Neurol.
1993. 240: 98 – 104.
54. Matsumara K. Tomé FM; Ionasecu V; Ervarist JM; Anderson RD; Romero
NB; Simon D; Récan D; Kaplan JC. Fardeau M; Campbell KP. Deficiency
of dystrophin-associated proteins in Duchenne muscular dystrophy
patients lacking COOH-terminal domais of dystrophin. J. Clin. Invest. 1993;
92: 866 – 871.
55. Baumbach LL; Chamberlain JS; Ward PA; Farwell NJ; Caskey CT.
Molecular and clinical correlations of deletions leading to Duchene and
Becker muscular dystrophies. Neurology; 1989. 39: 465 – 474.
56. Gillard EF; Chamberlain JS; Murphy EG; Duff CL; Smith B; Burghes AH;
Thompson MW. Sutherland J. Oss I; Budrug SE; Klamut HJ; Ray PN;
Worton RG. Molecular and phenotypic analysis of patients with deletions
within the deletion-rich region of Duchenne muscular dystrophy (DMD)
gene. Am. J. Hum. Genet. 1989; 45: 507 – 520.
57. Den Dunnen JT; Grootscholten PM; Bakker E; Blonden LA; GInjar HB;
Wapenaar MC; Van Paassen HM; Van Breckhoven C; Pearson P; Van
Ommen GJ. Topography of the Duchenne muscular dystrophy (DMD)
gene: FIGE and cDNA abalysis of 119 cases reveals 115 deletions and 13
duplications. Am. J. Genet. 1989. 45: 835 – 847.
58. Winnard AV; Hsu YJ; Gibbs RA; Mendell JR; Burghes AH. Identification of
point mutation in DMD patients by revetant fiber analysis. Neurology; 1993;
43(suppl): 294.
69
59. Chamberlain JS; Gibbs RA; Ranier JE; Caskey CT. Deletions screening of
the Duchenne muscular dystrophy cus via multiplex DA amplification.
Nucleic Acids res. 1988. 6: 11141 – 11156.
60. Beggs AH; Koenig M; Boyce FM; Kunke LM. Detection of 98% of DMD /
DMB gene deletions by polymerase chain reaction. Hum. Genet. 1990. 86:
45 – 48.
61. Barbieri AM; Soriani N; Ferlini A; Michelato A; Ferrari M; Carrera P. Seven
noveladdition small mutations and a new alternative splicing in the human
dystrophin gene detected by heteroduplex analysis and restricted RT
PCR analysis of illegitimate transcript. Eur. J. Hum. Genet. 1996. 4: 183
187.
62. Kilimann MW; Pizzuti A; Grompe M. Caskey CT. Point mutations and
polymorphism in the human dystrophin gene identified in genomic DNA
sequence amplification by multiplex PCR. Hum. Genet. 1992. 89: 253
258.
63. Forrest SM; Cross GS; Flint T; Speer A. Robson KH; Davies KE. Further
studies of gene deletions that causes Duchenne and Becker muscular
dystrophies. Genomics; 1988. 2: 109 – 114.
64. Banerjee M; Verma IC. Are there ethnic differences in deletions dystrophyn
gene? Am. J. Med. Genet. 1997. 68: 152 – 157.
65. Florentin L; Mavrou A; Kekou K; Metaxotou C. Deletions patterns of
Duchenne and Becker muscular dystrophies in Greece. J. Med. Genet.
1995; 32: 48 – 51.
66. Prior TW; Claire B; Pearl DK; Papp AC; Snyder PJ; Sedra MS; Burghes
AH; Mendell JR. Am. J. Hum. Genet. 1995. 57: 22 – 33.
67. Angelini C; Beggs AH; Hoffman EP; Fanin M; Kunkel LM. Enormous
dystrophin in a patient with Beker muscular dystrophy. Neurology, 1990.
40: 808 – 812.
68. Buzin CH; Feng J; Yan J; Scaringe W; Liu Q; den Dunnen J; Mendell JR;
Sommer SS. Hum Mutat; 2005 25:177-188.
69. Greenberg C.R., Rohringer M., Jacobs H.K. Lancet 1988;2: 425.
70
70. Bushby K.M., Thambyayah M. & Gardner Medwin D. Prevalence and
incidence of Becker muscular dystrophy. Lancet 1991;337: 1022.
71. Emery A.E.H. In: Duchenne Muscular Dystrophy, 2
a
. ed., NewYork, Oxford
University Press, 1993.
72. Mostacciuolo ML, Lombardi A, Cambissa V, Danieli GA, Angelini C.
Population data on benign and severe forms of X-linked muscular
dystrophy.Hum Genet. 1987 Mar;75(3):217-20.
73. http://www.sidra.ibge.gov.br/bda/acervo/acervo2.asp.
74. http://www.fee.tche.br/sitefee/pt/content/estatisticas/pg_estimativa_popula
cao.php?ano_pesquisa=2006.
75. Angelini C et al. In Distrofie Muscolari. Le Malattie Neuromuscolari.
Angelini C. Ed.Piccin; 1994: 155-177.
76. Walton J; Gardner-Medwin D. The muscular dystrophies. In: Walton J;
Gardner-Medwin D. Disorders of voluntary muscle. 4ªEd. 1989. Cap 15,
519 – 568.
77. Zalaudek I, Bonelli RM, Koltringer P, Reisecker F, Wagner K. Early
diagnosis in Duchenne muscular dystrophy. Lancet. 1999. 353:1975.
78. Marshall PD and Galasko CS. No improvement in delay in diagnosis of
Duchenne muscular dystrophy [letter]. Lancet. 1995. 345:590-1.
79. Bushby KM. The limb-girdle muscular dystrophies—multiple genes,
multiple mechanisms. Hum Mol Genet. 1999. 8:1875-82.
80. Hinton VJ, De Vivo DC, Nereo NE, Goldstein E, Stern Y. Poor verbal
working memory across intellectual level in boys with Duchenne dystrophy.
Neurology. 2000. 54:2127-32.
81. Wicksell RK, Kihlgren M, Melin L, Eeg-Olofsson O. Specific cognitive
deficits are common in children with Duchenne muscular dystrophy. Dev
Med Child Neurol. 2004. 46:154-9.
82. Zatz M, Vainzof M, Passos-Bueno MR. Serum creatine kinase in
progressive muscular dystrophies. In Muscular Dystrophy Methods and
71
protocols. Bushby K, Anderson LVB. Humana Press Inc. New Jersey.
2001; 31 – 49. Cap 4.
83. Wallimann T, Wyss M, Brdiczka D, Nicolay K, Eppenberger HM.
Intracellular compartmentation, structure and function of creatine kinase
isoenzymes in tissues with high and fluctuating energy demands: the "PCr-
circuit" for cellular energy homeostasis. Biochem. J. 1992; 281, 21-40.
84. KATIRJI, B; AL-JABERI, M.M. Creatine Kinase Revisited. Journal of
Clinical Neuromuscular Disease 2001; 2: 158-163.
85. Passos-Bueno MR, Rabbi-Bortolini ER, Azevedo E, Zatz M. Racial effect
on serum creatine-kinase for females at-risk for Duchenne dystrophy. Clin
Chim Acta. 1989; 179: 153 – 168.
86. Zatz M, Karp LE, Rogatko A. Pyruvate-kinase (PK) and creatine-
phosphokinase (CPK) in normal pregnancy and its implication in genetic
counselling of Duchenne muscular dystrophy (DMD). Am J MedGenet.
1982; 13: 257 – 262
87. Werneck, L.C. - Estudo da Biópsia Muscular e sua correlação com
enzimas séricas e eletroneuromiografias nas doenças neuromusculares.
Tese para concurso de professor titular do Departamento de Clínica
Médica (Doenças do Sistema Nervoso) Setor de Ciências da Saúde da
Universidade Federal do Paraná. Curitiba/PR,1991.
88. Zatz M, Shapiro LJ, Campion DS, Oda E, Kaback MM. Serum pyruvato-
kinase (PK) and creatino-kinase in progressive muscular dystrophies. J
Neurol Sci. 1978. 36: 349 – 362.
89. Engel, A G. et al, in Myology. Muscular Dystrophies. Engel A G, Franzini-
Armstrong, C. 2ª . MacGrow-Hill. 1995; Cap. 41: 1133-1187. 17. Pegoraro
E, et al. Neurology 1995; 45: 677-690.
90. Dumitru, D. In Electrodiagnostic Medicine. MacGrow-Hill; 1995. Cap 20,
1067-1070
91. Jaradeh SS, Ho H. Muscle, nerve, and skin biopsy. Neurol Clin 22 (2004)
539–561.
92. Banker BQ, Engel AG. Basic reactions of muscle. In: Engel AG, Banker
BQ, editors. Myology. 2nd edition. New York: McGraw-Hill; 1993. p. 845–
907.
72
93. Bertorini TE, Horner LH. Histology and histochemistry of muscle and
nerve. In: Bertorini TE, editor. Clinical evaluation and diagnostic tests for
neuromuscular disorders. Amsterdam: Butterworth-Heinemann, Elesevier
Science; 2002. p. 595–691.
94. Griggs RC, Mendell JR, Miller RG. Evaluation of the patient with myopathy.
In: Evaluation and treatment of myopathies. Philadelphia: FA Davis; 1995.
p. 17–79.
95. Dubowitz, V . The muscular Dystrophies. In Muscle Biopsy - A practical
approach - 2nd ed., Ballière-Tindal; 1989. Cap 9 p., 291.
96. Nicholson LV; Johson MA; Bushby KM; Medwin D; Curtis A; Ginjaar IB;
Den Dunnen JT; Welch JL; Butler TJ; Bakeer E; Van Ommen GT; Harris
JB. Integrated study of 100 patients with Xp21-linked muscular dystrophy
using clinical, genetic, immunochemical and histopatological data. Part 2.
Correlations within individual patients. J. Med. Genet. 1993; 30: 737 -744.
97. Scola RH. Análise da Distrofina pelo método de imunocitoquímica. Estudo
de 517 casos. Tese apresentada na Faculdade de Medicina de Ribeirão
Preto da Universidade de São Paulo para obtenção de título de Doutor.
Ribeirão Preto, 1990, pág. 70. (verificar... a página certa??????)
98. Arahata K; Beggs AH; Honda H; Ito S; Tsukahara T; Ishiguro T; Eguchi C;
Orimo S; Arikawa W; Kaido M; Nonaka I; Sugita H; Kunkel LM.
Preservation of the C-terminus of the dystrophin molecule in the skeletal
muscle form Becker muscular dystrophy. J. Neurol. Sci. 1991; 101: 148
156.
99. Jay V; Becker LE; Ackerley C. Dystrophin analysis in the diagnosis of
childhood muscular dystrophy, na Immunohistochemical study of 75 cases.
Pediatric Pathol. 1993. 13: 635 – 657
100. Voit T; Stuettgen P; Cremer M; Goebel HH. Dystrophin as a diagnostic
marker in Duchenne and Becker muscular dystrophy. Correlation of
immunofluorecence and Westens blot. Neuropediatrics; 1991; 22: 152-
162.
101. Bonilla, E; Samitt CE; Miranda AF; Hays AP; Salviati G; Di Mauro S;
Kunkel LM; Hoffman EP; Rowland LP. Duchenne muscular dystrophy:
deficiency of dystrophin at the muscle cell surface. Cell, 1988; 54: 447
452.
73
102. Werneck LC; Bonilla E. Immunohistochemical alteration of dystrophin in
congenital muscular dystrophy. Arq. Neuropsiquiatr. 1995; 53: 416 – 423.
103. Gorospe JR, Hofmann EP. Basic medical genetics and molecular
diagnostics. In Muscular Dystrophy Methods and protocols. Bushby K,
Anderson LVB. Humana Press Inc. New Jersey. 2001; 693 – 738. Cap. 20.
104. Passos-Bueno MRS, Moreira, ES. Ferramentas básicas da genética
molecular humana. Genômica. São Paulo: Atheneu; 2004. p. 43-67.
105. Boxer M. Molecular techniques: divide or share. J Clin Pathol.
2000;53(1):19-21.
106. Bushby K; Bourke J; Bullock R; Eagle M; Gibson M; Quinby J. The
multidisciplinary manegment of Duchenne muscular dystrophy. Current
Paediatrics. 2005, 15, 292 – 300.
107. Gatta V, Scarciolla O, Gaspari AR, Palka C, De Angelis MV, Di Muzio A,
Guanciali-Franchi P, Calabrese G, Uncini A, Stuppia L. Identification of
deletions and duplications of the DMD gene in affected males and carrier
famales by multiple ligation probe amplificaion (MLPA. Hum Genet 2005.
Jun; 117(1): 92-8.
108. Laing N.G. Molecular genetics and genetic counselling for
Duchenne/Becker muscular dystrophy. In: Patridge T, ed. Molecular and
Cell Biology of Muscular Dystrophy. London: Chapman Hall, 1993:37-84.
109. Bekker E; Jennekens FGI; de Visser M; Wintzen AR. Duchenne and
Becker muscular dystrophies In Emery A; Diagnostic Criteria for
Neuromuscular Disorders. 2
nd
Ed. Royal Society of Medicine Press,
London. 1997; Cap 1, 1 – 4.
74
6 ANEXOS
75
ANEXO A. ARTIGO EM PORTUGUÊS
ANÁLISE CLÍNICO – LABORATORIAL DE 26 PACIENTES COM DISTROFIA
MUSCULAR DE DUCHENNE NO RIO GRANDE DO SUL
Carlo Domênico Marrone
1
; Lígia Maria Barbosa Coutinho
2
, Denise Cantareli
Machado
3
; Rosane Machado Scheib
3
; Cristiane Janssen de Freitas
4
, Caroline
A. G. do Amaral
3
; Mariana C. da Costa
3
,
1
Serviço de Neurologia do Hospital São Lucas da Pontifícia Universidade
Católica de Porto Alegre/RS
2
Pós Graduação em Patologia. Centro de pesquisa e pós-graduação Heitor
Cirne Lima da Universidade Federal de Ciências da Saúde de Porto Alegre.
3
Instituto Pesquisas Biomédicas Pontifícia Universidade Católica de Porto
Alegre/RS.
4
Centro Universitário Feevale - Instituto de Ciências A Saúde - Curso e
Biomedicina - Novo Hamburgo/Rs.
76
SUMÁRIO:
A distrofia muscular de Duchenne é a doença neuromuscular mais
freqüente na infância causada pela disfunção da proteína distrofina que se
situa na região subsarcolemal das fibras musculares. Essa proteína é o produto
do gene localizado no braço curto do cromossoma X (Xp21), afetando
recessivamente meninos através de fraqueza muscular progressiva com
parada da deambulação antes dos 13 anos de idade. O presente estudo
avaliou o perfil clínico-laboratorial de 26 pacientes oriundos do estado mais ao
sul do Brasil, correspondendo a cerca de 10% da prevalência estimada. A
época da primeira anormalidade clínica notada pelos pais ou responsáveis foi,
em média, de 48 meses, a queixa principal na consulta médica foi “dificuldade
para deambular” em 57,7% das vezes, enquanto que os pacientes eram
oriundos de 15 cidades do RGS, sendo a capital em 42% e os demais
originaram-se predominantemente entre o norte e o noroeste do estado. A
creatinofosfoquinase esteve aumentada, em média, 49 vezes acima do normal
e a presença de padrão miopático à eletroneuromiografia foi encontrada em
todos os pacientes. A análise do DNA através da técnica por PCR realizada em
todos os pacientes mostrou deleção em 73%. A biópsia muscular, realizada em
sete pacientes que não mostraram alteração à PCR, evidenciou 84,7% de
pacientes com padrão distrófico 14,3% com miopatia em estagio final. O estudo
imunoistoquímico para a porção carboxi-terminal da distrofina (C-terminal)
revelou que 100% dos pacientes mostraram anormalidades na Distrofina,
sendo ausente em 04 casos e raras fibras positivas em 03 casos.
77
INTRODUÇÃO
A Distrofia Muscular de Duchenne (DMD) é uma das enfermidades
neuromusculares do grupo das distrofinopatias causada pela mutação do gene
da proteína distrofina localizado no cromossoma X, locus p21. O gene tem 2,4
Mb, com 79 éxons e produz um mRNA de 14 Kb, tendo a proteína 427 kD
(1)
. O
padrão de herança é ligado ao X, afetando meninos, com incidência de 1:3500
nascimentos masculinos vivos
(2)
, prevalência de cerca de 31 70 / 10
6 (3)
,
sendo que 65% são casos familiares
(4)
.
O diagnóstico de DMD é dado pelo quadro clínico, elevação severa de
enzimas musculares, padrão miopático à eletroneuromiografia, mutações no
gene da distrofina (deleções, duplicações ou mutações de ponto)
(5)
. E, como
padrão ouro, importante anormalidade na detecção da distrofina através de
imunoistoquímica de biópsia muscular
(6)
.
O presente trabalho pretende mostrar o perfil clínico-laboratorial de 26
pacientes com DMD no Rio Grande do Sul (RGS).
OBJETIVOS
Analisar clínico-laboratorialmente pacientes com DMD quanto à época
da primeira anormalidade clínica notada (EPACN), queixa principal na consulta
(QP) e localização no RGS. O nível de elevação de creatinofosfoquinase (CPK)
e o padrão eletroneuromiográfico (ENMG). Analisar o padrão histológico (HE e
Gomori Modificado) e imunoistoquímico por distrofina (DIS) na biopsia
muscular e as anormalidades moleculares encontradas na reação em cadeia
da polimerase (PCR).
MATERIAL E MÉTODOS
O presente estudo de casos foi conduzido na forma de estudo
transversal. Foram analisados 26 meninos e jovens oriundos do RGS que
78
preencheram os critérios para DMD pelo European Neuromuscular Centre
(ENMC)
(7)
.
Os pacientes foram, ou encaminhados por outros profissionais do RGS,
ou vieram diretamente ao ambulatório de doenças neuromusculares do Serviço
de Neurologia do Hospital São Lucas da PUCRS (HSL-PUCRS) no período
entre 2001 a 2004. Houve assinatura de consentimento pós-informação por
parte de pais ou responsáveis com aprovação do Comitê de Ética e Pesquisa
do Hospital São Lucas - PUCRS (00/667), da Universidade Federal de Ciências
da Saúde de Porto Alegre (195/06) e apoio da Fundação de Apoio à Pesquisa
do Rio Grande do Sul (FAPERGS - SDE 9816577).
A CPK foi realiza em diversos laboratórios, sendo utilizada aquela
temporalmente mais próxima à primeira consulta e anotado quantas vezes
acima do valor máximo normal para a idade. A ENMG foi realizada em um
eletromiográfo Phasis II da EBNeuro (Florença / Itália) ), com técnicas padrões
de neurocondução e exame de agulha
(8)
.
A análise molecular deu-se pela extração de DNA de leucócitos de
sangue periférico pelo todo fenol/cloroformio
(9)
. A reação de PCR foi
executada de acordo com os métodos estabelecidos por Beggs e
Chamberlain
(10),(11)
, utilizando-se os seguintes éxons: 1, 3, 4, 6, 8, 12, 13, 17,
19, 43, 44, 45, 46, 47, 48, 50, 51, 52 e 60 através de PCR multiplex com
verificação de 3 a 6 éxons por vez. A análise dos produtos de reação foi feita
após eletroforese em gel de agarose (2,0%) com brometo de etídio e
visualizado sob luz ultravioleta.
A realização de biópsia muscular nos pacientes que não apresentaram
anormalidades ao estudo molecular, conforme ENMC, deu-se pela retirada de
espécime muscular através de biópsia a céu aberto em músculo quadríceps
conforme Werneck
(12)
. A amostra foi imersa em Isopentano, congelada e
estocada em nitrogênio líquido a -170ºC, sendo cortada posteriormente em
criostato em fragmentos de 4 - 6 micra e colocado sobre lamínulas, sendo
coradas por técnicas padrão para histologia (Hematoxilina e Eosina, Tricrômio
de Gomori modificado), também em sendo avaliadas por histoquímica muscular
(NADH-tetrazolium redutase, succinato desidrogenase, fosfatases alcalina e
ácida e esterase inespecífica). A imunoistoquímica para distrofina foi realizada
79
utilizado o anticorpo contra a porção C-terminal da distrofina (NCL-DYS2 /
Novocastra Laboratories Ltda), sendo suas diluições feitas de acordo com as
recomendações do fabricante. Foram consideradas como padrão distrófico as
biópsias musculares que apresentassem pelo menos 03 dos seguintes critérios
(13)
: a) Aumento de tecido conjuntivo peri/endomisial; b) Substituição fibras
muscular por tecido adiposo; c) Necrose com fagocitose proporcional; d)
Presença de Fibras Hipertróficas hipercontráteis; e) Presença de Fibras
Basofílicas. A classificação imunoistoquímica utilizada foi a de Scola
(14)
,
definindo as três seguintes categorias para DMD: 0 Imunoidentificação da
distrofina ausente (ausência de imunoflourescência); 1 Imunoidentificação da
distrofina residual (alguns raros segmentos); 2 - Imunoidentificação da
distrofina com fibras positivas (raras fibras com distrofina positiva).
RESULTADOS
A época da primeira anormalidade clínica notada pelos pais ou
responsáveis foi de 48 meses após o nascimento para média e mediana, sendo
que a idade mínima foi de 12 a máxima de 72 meses.
A queixa principal na consulta médica foi “dificuldade para deambular”
em 57,7% das vezes, seguido por “quedas freqüentes” com 19,2 %, “não
caminha” em 11,5%, “caminha na ponta dos pés” em 7,7% e fraqueza
generalizada em 3,8%.
Os pacientes do estudo eram oriundos de 15 cidades do RGS (figura 1),
sendo que a capital (Porto Alegre) foi o local de origem de 42% (11 pacientes),
seguido de Osório com 7,7% (02 pacientes) e as demais 13 cidades
contribuíram com 1 paciente cada (3,8%).
80
Figura 1. Mapa RGS e localização dos pacientes com DMD.
A creatinofosfoquinase (CPK) esteve aumentada, em média 49 vezes o
valor máximo normal, sendo que a elevação máxima foi de 231 vezes em
paciente com 5 anos e a mínima elevação se deu em um paciente com 18 anos
(01 vez).
A eletroneuromiografia (ENMG) foi realizada em todos os pacientes e,
como era esperado, mostrou padrão miopático em 100% dos casos (IC95%:
89,1 a 100%).
A biópsia muscular realizada em 07 pacientes que não mostraram
alteração à PCR, evidenciou 06 (84,7%) pacientes com padrão distrófico
(Figura 2) e 01 (14,3%) com miopatia em estagio final (importante infiltração
por tecido conjuntivo e adiposo com fibras musculares anormais e compatíveis
com miopatia). O estudo imunoistoquímico para a porção carboxi-terminal da
distrofina (C-3’ terminal) revelou que todos as biópsias (100%) mostraram
anormalidades na distrofina, sendo ausente em 04 casos (Figura 3) ou raras
fibras positivas (entre 1 a 3 fibras) em 03 casos. Ou seja, 57,2% de categoria
tipo zero e 42.8% de categoria tipo II.
81
a. b.
Figura 2. Padrão Distrófico ao Tricrômio de Gomori (a) e HE (b). Aumento 10x
a b
Figura 3. Imunoistoquímica por florescência da distrofina (C Terminal):
Controle - 40x (a) e Ausência de distrofina (b) - 10x.
A análise do DNA através da técnica por PCR (Figura 4) realizada em
todos os pacientes mostrou deleção em 73,1% (IC95%:53,9 a 87,4%) com um
total de 127 deleções. Houve 31,6% (6 pacientes) de deleções únicas e 68,4%
de múltiplas (13 pacientes). Na deleções únicas, 16,6% (1 paciente) estão no
segmento proximal (éxon 19) e 83,4% (5 pacientes) na porção central (entre os
éxons 44 a 51). A freqüência das deleções por região “Hot Spot” est[á expressa
na tabela 1.
82
Tabela 1. Freqüência de Deleções por regiões de “Hot Spot” no Gene da
Distrofia
Regiões “Hot
Spot”
Deleções
Nº e %
Deleções mais freqüentes
Nº e %
Exons 2 – 20
(5'-terminal)
39
30,7%
Exon 51 (13 = 17,1%) Exons 44 – 53
(região central)
76
59,8%
Exon 52 (13 = 17,1%)
Outros 12
9,4%
Total 127
Figura 4. Amplificação teste dos exons individuais. Colunas de 1 a 8
representam, respectivamente os amplicons dos exons, 6, 8, 12, marcador de
100 pb, 13, 17, 19 e branco de reação. Eletroforese em gel de agarose 2% (15
v/cm, 30 min) com brometo de etídeo, visualizado sob luz ultravioleta (OBS.
Cor de fundo invertido).
CONCLUSÃO E DISCUSSÃO
O presente estudo analisou o perfil clínico e laboratorial de 26 pacientes
provenientes do RGS no ambulatório de Doenças Neuromusculares do Serviço
de Neurologia do Hospital São Lucas da PUCRS entre os anos de 2001 e
2004, correspondendo a cerca de 10% da prevalência estimada no RGS.
1 2 3 4 5 6 7 8
83
A EPACN foi mais elevado que achados brasileiros de Araújo
(15)
em que
tais anormalidades foram notadas, em média, aos 36 meses, e internacionais.
Na Inglaterra
(16)
e México
(17)
foi aos 30 meses, na Áustria
(18)
aos 36 meses e no
Chile aos 18 meses
(19)
.
Em relação à QP na consulta médica, não relato, aonde pudemos
averiguar, deste tipo de dado na literatura médica. Porém, segundo Marshall e
Galasko
(20)
, os primeiros sintomas identificados pelos pais foram retardo motor
geral (42%), problemas na deambulação, incluindo caminhar persistentemente
na ponta dos dedos (30%), retardo na deambulação (20%), dificuldade de
aprendizado (5%) e problemas na fala (3%).
Quanto à procedência no RGS, as localidades fora da capital estão
situadas entre o noroeste, o norte e litoral norte. Isso pode ser devido a maior
quantidade de cidades e densidade populacional nessas regiões, porém este
estudo não foi desenhado para mapear a localização população com DMD no
estado. A comparação com os dados de Alho
(21)
e os atuais mostram
semelhança entre a capital (38,7% e 42%, respectivamente). Em relação ao
interior também foram semelhantes, porém não houve especificação de que
região interiorana do RS os pacientes com DMD de 1994
(21)
.
A CPK esteve elevada em 100% dos pacientes estudados. Na
comparação com estudos nacionais, os dados de elevação média encontrados
são semelhantes ao estudo de Alho
(21)
(entre 30 a 75 contra 49 vezes). em
Curitiba/PR, Werneck encontrou níveis de elevação média de CPK um pouco
menores (32,5 vezes)
(22)
. Zatz encontrou pico máximo de 130 vezes e em
nosso estudo o máximo foi de 232 vezes acima no valor máximo normal
(23)(24)
.
Os dados deste estudo condizem com a literatura nacional e internacional,
inclusive quanto à diminuição em relação à idade devido à eliminação de fibras
musculares distróficas que são a fonte da elevação da CPK
(25)
. O ENMC refere
aumento de pelo menos 10 vezes a concentração de CPK sérica acima do
normal para se incluir entre os dados do diagnóstico
(7)
.Tendo em vista que a
CPK está aumentada até antes do nascimento, poderia ser utilizado como
triagem para DMD (e outras patologias musculares) em recém nascido.
84
A ENMG mostrou padrão miopático em 100% dos nossos pacientes,
servindo para diferenciar entre padrão miopático e neuropático. Porém, tal
exame deverá ser solicitado quando realmente houver dúvida se processo
primariamente muscular ou de outra localização, pois é desagradável para
crianças e não dá informação etiológica
(8)
.
No estudo atual, a PCR mostrou dados semelhantes à literatura mundial
que, de um modo geral, apresenta cerca de 65 70% de deleções em
pacientes com DMD
(26),(27)
. Os nossos achados contrastam com os encontrados
por outro estudo realizado no RGS por Alho
(21)
em que 52% dos pacientes com
DMD apresentavam deleções e de 82,2% encontrados por Werneck
(28)
no
Paraná. Porém, este ultimo analisou DNA provenientes de amostras
musculares e não de leucócitos, sugerindo que a freqüência mais alta pode ter
se dado devido a mosaicismo somático ou de células germinativas. O mesmo
grupo de Werneck, mais tarde, em outro trabalho realizado em 2007
(29)
mostra
deleções em 71,7% quando a PCR foi analisada com DNA proveniente de
leucócitos. Outro estudo nacional também encontrou a mesma porcentagem de
deleção que o presente estudo
(15)
. Avaliações em diferentes paises em
desenvolvimento no mundo (ex.: Ásia, Índia e Turquia) mostraram semelhante
freqüência com relação às deleções
(30),(31)
.
As deleções podem ser de um único éxon ou em múltiplos éxons,
variando a porcentagem de autor para autor, sendo para Banerjee
(32)
60 e 40%
respectivamente. para Nicholson a porcentagem é de 20 para 80
,(33)
. No
nosso trabalho os éxons mais envolvidos em deleções únicas são os seguintes:
50 (16,1%), 45 (14,5%), 48 (14,5%) e 51 (14,5%). Os envolvidos em múltiplas
deleções são os 47 (11.1%), 48 (5,3%), 49 (13%) e 50 (9,7%)
(32)
. Também
existem deleções muito grandes que afetam quase todo o comprimento do
gene (ex.: do éxon 10 ao 60) dando fenótipo de DMD
(34)
. Porém, não é a
localização, nem o tamanho da deleções que se correlacionam com o fenótipo
de DMD ou DMB, como mostrou Angelini para paciente com DMB
(35)
.
A análise anatomo-patológica pura e simples da biópsia muscular,
apesar de não ser patognomômica, mostra, em pacientes com DMD,
numerosos focos de fibras necróticas com fagocitose proporcional e evidências
de regeneração. Tais achados são geralmente encontrados por volta dos 3 5
85
anos de idade quando comparado com estágios pré-clínico ou mais tardio. Nos
estágios mais avançados maior substituição de tecido muscular por tecido
adiposo e fibroso
(36)
. Nos nossos casos biopsiados todos mostraram
anormalidades distróficas, sendo que 1 caso havia estágio muito avançado da
doença devido à faixa etária em que foi realizada a biópsia muscular (11 anos e
não mais deambulava). Em relação à imunoistoquímica para distrofina,
dependendo do laboratório, em dia cerca de 40% das biópsias de DMD
mostram ausência de detecção de distrofina
(37)
, assim cerca de mais da
metade mostram algum tipo de expressão dessa proteína, geralmente
confinada a pequena proporção de células e, algumas vezes, espalhadas como
intensidade baixa de imunofluorescência. Vários autores
(7) (38)
encontraram que
o terminal carboxila mostra que a maioria dos pacientes tem ausência total de
detecção da Distrofina. Corroborando esse achado, Scola
(14)
encontrou,
quando utilizado somente esse local de análise para imunoistoquímica para
distrofina, 69,2% sem imunodetecção. No nosso caso houve semelhança com
tais resultados, pois 57,2% estavam na categoria tipo zero (ausência total de
distrofina) e 42.8% de categoria tipo II (raras fibras com distrofina positiva).
Novas tecnologias moleculares para o diagnóstico da DMD estão
surgindo, tais como: uso de IP-RP-HPLC (“íon-pair reversed-phase high-
performance liuid chromatography) acoplada a PCR-multiplex para diagnóstico
rápido pre-natal
(39)
e CSCE (“conformation sensitive capillary electrophoresis”)
associado a PCR Multilex fluorescente para triagem de deleções e duplicações
grosseiras
(40)
. Porém, nos tempos atuais e para a realidade da imensa maioria
dos laboratórios em todo o mundo, atualização das cnicas utilizadas neste
artigo associado ao conhecimento clínico, nos dão um adequado perfil dos
pacientes com DMD.
Neste novo milênio a possibilidade de tratamento parcial ou totalmente
definitivo de doenças neuromusculares está sendo vista com menos ceticismo
e até com esperança cada vez mais crescente. Um exemplo é a supressão de
stop codonse a conseqüente parada prematura da expressão gênica
(41) (42)
,
possibilitando, no caso de estudos pré-clínicos com ratos mdx, resgate da
função de musculatura estriada. Assim o conhecimento da dados básicos sobre
clínica e exames laboratoriais pode auxiliar muito na avaliação da real eficácia
86
das futuras terapêuticas propostas para esta devastante e infeliz doença,
podendo, assim, serem avaliadas terapêuticas contrapondo-se à história
natural da doença.
REFERÊNCIAS
1. Hoffman EP; Brown RH; Kunke, LM. Dystrophin: the protein produtc of the
Duchenne muscular dystrophy locus. Cell, 19:87; 51:919-928
2. Van Essen, A. J., et al. The clinical and molecular genetic approach to
Duchenne and Becker muscular dystrophy: na updated protocol. J Med
Genet 1997; 34: 805-812)
3. Emery A.E.H. In: Duchenne Muscular Dystrophy, 2
a
. ed., NewYork, Oxford
University Press, 1993)
4. Greenberg C.R., Rohringer M., Jacobs H.K. Lancet 1988;2: 425.
5. den Dunne JT; Grootscholter PM; Bakker E, et al.Topography of the
Duchenne muscular distrophy (DMD) gene: FIGE and cDNA analysis of 194
cases reveals 115 deletions and 13 duplicatins. Am J Hum Gent 1989; 45:
835-847.).
6. Voit T; Stuettgen P; Cremer M; Goebel HH. Dystrophin as a diagnostic
marker in Duchenne and Becker muscular dystrophy. Correlation of
immunofluorecence and Westens blot. Neuropediatrics; 1991; 22: 152-
162.).
7. Bekker E; Jennekens FGI; de Visser M; Wintzen AR. Duchenne and Becker
muscular dystrophies In Emery A; Diagnostic Criteria for Neuromuscular
Disorders. 2
nd
Ed. Royal Society of Medicine Press, London. 1997; Cap 1, 1
– 4).
8. Dumitru, D. In Electrodiagnostic Medicine. MacGrow-Hill; 1995. Cap 20,
1067-1070).
9. Sambrook J, Fritsch EF, Maniats T. Molecular cloning. 2Ed. New York:
Cold Spring Harbor Laboratory Press, 1989;2(16):9-19).
10. Chamberlain JS; Gibbs RA; Ranier JE; Caskey CT. Deletions screening of
the Duchenne muscular dystrophy lócus via multiplex DA amplification.
Nucleic Acids res. 1988. 6: 11141 – 11156.
87
11. Beggs AH; Koenig M; Boyce FM; Kunke LM. Detection of 98% of DMD /
DMB gene deletions by polymerase chain reaction. Hum. Genet. 1990. 86:
45 – 48).
12. Werneck LC. 1981. O valor da bióspia muscular em neurologia. Análise de
290 casos a fresco e pela histoquímica. Rev.Bras. Clin. Terap 10 (suppl): 2-
22)
13. Dubowitz, V . The muscular Dystrophies. In Muscle Biopsy - A practical
approach - 2nd ed., Ballière-Tindal; 1989. Cap 9 p., 291).
14. Scola RH. Análise da Distrofina pelo método de imunocitoquímica. Estudo
de 517 casos. Tese apresentada na Faculdade de Medicina de Ribeirão
Preto da Universidade de São Paulo para obtenção de título de Doutor.
Ribeirão Preto, 1990, pág. 46 – 47)
15. Araújo, APQC; de Deco, MC; Klôh, BS; da Costa MR; de Góis, FV;
Guimarães, AFCM. Rev. Bras. Saude Mater. Infant. 2004, vol. 4, no. 2, pp.
179-183)
16. Essex C, Roper H. Lesson of the week: late diagnosis of Duchenne's
Muscular Dystrophy presenting as global developmental delay. BMJ 2001;
323: 37-8.
17. Alvarez LM, Morales AA, Perez ZJA, Segura RS, Quiroz GMC, Paredes
GA. Relations between delayed diagnosis and forms of onset in Duchenne
Muscular Dystrophy. Gac Med Mex 1994; 130: 459-64).
)
18. Hauser E, Toifl K, Mad A, Bittner R. The incidence of Duchenne Muscular
Dystrophy in eastern Austria. The controversy regarding CK screening.
Wien Klin Wochenschr 1993;105: 433-6)
19. De los Angeles M, Kleinsteuber K, Herrera L, Carvallo P. Delayed diagnosis
of Duchenne Muscular Dystrophy in Chile. Rev Med Chil 1999; 127: 65-70).
20. Marshall PD and Galasko CS. No improvement in delay in diagnosis of
Duchenne muscular dystrophy [letter]. Lancet. 1995. 345:590-591.
21. Alho CS. Estudo epidemiológico e molecular das distrofias musculares de
Duchenne e Becker no sul do Brasil implicações para o aconselhamento
genético. Disertação de Mestrado no Curso de Pós-Graduação em
Genética e Biologia Molecular da Universidade Federal do Rio Grande do
Sul, Porto Alegre 1994
88
22. Werneck, L.C. - Estudo da Biópsia Muscular e sua correlação com enzimas
séricas e eletroneuromiografias nas doenças neuromusculares. Tese para
concurso de professor titular do Departamento de Clínica Médica (Doenças
do Sistema Nervoso) Setor de Ciências da Saúde da Universidade Federal
do Paraná. CTBA,1991
23. Zatz M, Shapiro LJ, Campion DS, Oda E, Kaback MM. Serum pyruvato-
kinase (PK) and creatino-kinase in progressive muscular dystrophies. J
Neurol Sci. 1978. 36: 349 – 362.
24. Zatz M, Vainzof M, Passos-Bueno MR. Serum creatine kinase in
progressive muscular dystrophies. In Muscular Dystrophy Methods and
protocols. Bushby K, Anderson LVB. Humana Press Inc. New Jersey. 2001;
31 – 49. Cap 4.)
25. Zatz M, Shapiro LJ, Campion DS, Oda E, Kaback MM. Serum pyruvato-
kinase (PK) and creatino-kinase in progressive muscular dystrophies. J
Neurol Sci. 1978. 36: 349 – 362
26. Koenig M; Monaco AP; Hoffman EP; Bertelson CJ; Mônaco AP; Feener C;
Kunkel LM. Complete cloning of the Duchenne muscular dystrophy (DMD)
cDNA and preliminar genomic organization of the DMD gene in normal and
affected individual. Cell. 1987. 50:509 – 517
27. Forrest SM; Cross GS; Flint T; Speer A. Robson KH; Davies KE. Further
studies of gene deletions that causes Duchenne and Becker muscular
dystrophies. Genomics; 1988. 2: 109 – 114.)
28. Werneck LC, Scola RH, Maegawa GH, Werneck MM. Comparative analysis
of PCR-deletion detection and immunohistochemestry in Brazilian
Duchenne and Becker muscular dystrophy patients. Am J Med Genet 2001;
103:115-120).
29. Freund AA, Scola RH, Arndt RC, Lorenzoni PJ, Kay CK, Werneck
LC.Duchenne and Becker muscular dystrophy. A molecular and
immunohistochemical approach. Arq Neuropsiquiatr 2007; 65(1):73-72)
30. Lai OS, Takeshima Y, Adachi K. Comparative study on deletions of the
dystrophin gene in three asian population. J Hum Genet (2002)47:552-555.
31. Önengüt S, Kavaslar GN, Battaloglu E, Serdaroglu P. Deletion pattern in
the Dystrophin gene in tursk and comparison with europeans and Indian,
Am Hum Genet. 2000.64, 33-40)
89
32. Banerjee M; Verma IC. Are there ethnic differences in deletions dystrophyn
gene? Am. J. Med. Genet. 1997. 68: 152 – 157.
33. Nicholson LV; Johnson MA; Bushby KM; Gardner Medwin D. Curtis A;
Ginjaar IB; Den Dunnen JT; Butler TJ; Bakker E; Van Ommen GT; Harris
JB. Integrated study of 100 patients with Xp21 linked muscular dystrophy
using clinical, genetic, immunochemical, and histopathological data. Part 1.
Trends across the clinical groups. J. Med. Genet. 1993; 30: 728 – 736)
34. Prior TW; Claire B; Pearl DK; Papp AC; Snyder PJ; Sedra MS; Burghes AH;
Mendell JR. Am. J. Hum. Genet. 1995. 57: 22 – 33)
35. Angelini C; Beggs AH; Hoffman EP; Fanin M; Kunkel LM. Enormous
dystrophin in a patient with Becker muscular dystrophy. Neurology, 1990.
40: 808 – 812)
36. Johnson MA. Histopathological diagnosis of muscular dystrophies. In
Muscular dystrophy – Methods and protocols. Bushby KMD, Anderson LVB.
Humana Press.Totowa, New Jersey.2001.15 – 30).
37. Johnson, M.A. Immunocytochemical analysis, chapter 21 in Methods in
Molecular Medicine, vol 43: Muscular Dystrophy: Methods and Protocols.
Humana Press, Totowa, NJ, 2001).
38. Arahata K; Beggs AH; Honda H; Ito S; Tsukahara T; Ishiguro T; Eguchi C;
Orimo S; Arikawa W; Kaido M; Nonaka I; Sugita H; Kunkel LM. Preservation
of the C-terminus of the dystrophin molecule in the skeletal muscle form
Becker muscular dystrophy. J. Neurol. Sci. 1991; 101: 148 – 156.
39. Huang WY, Hung CC, Lee CH, Su YN, Chen CP. Rapid prenatal diagnosis
of Duchene muscular dystrophy with gene duplication by ion-pais reversed-
phase high-perfomence liquid chromatography coupled with competitive
multiplex polymerase chain reaction strategy.Prenatal Diagn
2007.27(7):653-656)
40. Ashton EJ, Yau SC, Deans ZC, Abbs SJ. Simultaneous mutation scanning
for gross deletions, duplications and point mutations in the DMD gene. Eur
J Hum Genet.2008.16:53-61)
41. Welch EM, Barton ER, Zhuo J, et al. PTC124 targets genetic disorders
caused by nonsense mutations. Nature. 2007.447: 87 – 91.
42. Wilton S. PTC 124, nonsense mutations and Duchenne muscular
dystrophy. Neuromuscul Disord. 2007. 17: 719 – 720
90
ANEXO B. ARTIGO EM INGLÊS
ANALYSIS CLINICAL AND LABORATORIAL OF 26 PATIENTS WITH
DUCHENNE’S MUSCULAR DYSTROPHY IN RIO GRANDE DO SUL/BRAZIL.
Carlo Domênico Marrone
1
; Lígia Maria Barbosa Coutinho
2
, Denise Cantareli
Machado
3
; Rosane Machado Scheib
3
; Cristiane Janssen de Freitas
4
, Caroline
A. G. do Amaral
3
; Mariana C. da Costa
3
,
1
Serviço de Neurologia do Hospital São Lucas da Pontifícia Universidade
Católica de Porto Alegre/RS
2
Pós Graduação em Patologia. Centro de Pesquisa e Pós-graduação Heitor
Cirne Lima da Universidade Federal de Ciências da Saúde de Porto Alegre.
3
Instituto Pesquisas Biomédicas Pontifícia Universidade Católica de Porto
Alegre/RS.
4
Centro Universitário Feevale - Instituto de Ciências A Saúde - Curso e
Biomedicina - Novo Hamburgo/RS.
91
ABSTRACT
Duchenne’s muscular dystrophy is the most frequent neuromuscular
disease in childhood, caused by a dysfunction of the dystrophin protein which is
located in the subsarcolemma region of muscle fibers. This protein is the
product of the gene located on the short arm of chromosome X (Xp21),
recessively affecting boys by progressive muscle weakness making it
impossible to walk about by the age of 13 years. The present study assessed
26 patients from the southernmost state in Brazil, corresponding to about 10%
of the estimated prevalence. The first clinical abnormality was observed by
parents or caregivers, on average, at 48 months; the main complaint at the
medical visit was “difficulty in walking” 57.69% of the time, while the patients
came from 15 towns and cities in RGS (Rio Grande do Sul), the capital with
42% and the others predominantly between the north and northwest of the
state. The creatinophosphokinase was raised, an average of 49 times above
normal, and a myopathic presence was found at electroneuromyography in all
patients. DNA analysis using PCR, performed in all patients, showed a deletion
in 73%. Muscle biopsy, performed in 07 patients who did not show any change
at PCR, provided evidence of 84.72% of patients with a dystrophic pattern and
14.28% with end-stage myopathy. The immunohistochemical study for the
carboxy-terminal portion of dystrophin (C-terminal), revealed that 100% showed
abnormalities in dystrophin, which was absent in 04 cases, and rare positive
fibers in 03 cases.
INTRODUCTION
Duchenne’s Muscular Dystrophy (DMD) is one of the neuromuscular
diseases of the dystrophinopathy group caused by mutation of the dystrophin
protein located in chromosome X, locus p21. The gene has 2.4 Mb, with 79
exons and it produces an mRNA of 14 Kb, with protein 427 kD
(1)
. The pattern of
inheritance is linked to X, affecting boys, with an incidence of 1:3500 live male
births
(2)
, a prevalence of about 31 – 70 / 10
6 (3)
, 65% being familial cases
(4)
.
92
DMD is diagnosed by the clinical picture, severe elevation of muscle
enzymes, myopathic pattern at electroneuromyography, mutations in the
dystrophin gene (deletions, duplications, or point mutations)
(5)
. And, as a gold
standard, a major abnormality in dystrophin detection through
immunohistochemistry of a muscle biopsy
(6)
.
This study aims at showing a cross-sectional, descriptive study, with a
clinical and laboratory profile of 26 patients with DMD in Rio Grande do Sul
(RGS).
OBJECTIVES
To analyze clinical and laboratory aspects of patients with DMD as to
time when the first clinical abnormality was noted (EPACN), main complaint at
the visit (QP), and location in RGS, level of creatinophosphokinase (CPK)
elevation and electrononeuromyographic pattern (ENMG). To perform
laboratory tests for analyzing patients with DMD as to the histological pattern
(HE and Modified Gomori) and immunohistochemical by dystrophin (DYS)
pattern in muscle biopsy and the molecular abnormalities found in the
polymerase chain reaction (PCR).
MATERIAL AND METHODS
The present case report was conducted as a cross-sectional study;
Twenty-six boys and youths from RGS who fulfilled the criteria for DMD
according to the “European Neuromuscular Centre” (ENMC)
(7)
were analyzed.
The patients were either referred by other professionals in RGS, or they
came directly from the outpatient clinic of neuromuscular diseases of the
Neurology Service at Hospital o Lucas da PUCRS (HSL-PUCRS) between
2001 and 2004. The parents or caregivers signed post-information consent with
the approval of the Ethics and Research Committee at Hospital São Lucas -
PUCRS (00/667), of the Universidade Federal de Ciências da Saúde de Porto
Alegre (195/06) and the support of Fundação de Apoio à Pesquisa do Rio
Grande do Sul (FAPERGS - SDE 9816577).
93
The creatinophosphokinase was performed at different laboratories, and
the one used was that closest in time to the first visit; it was noted how many
times above the normal maximum value for age. ENMG was performed with a
Phasis II electromyographer of EBNeuro (Florence / Italy), using standard
techniques of neuroconduction and needle test
(8)
.
Molecular analysis was performed by DNA extraction from leukocytes of
peripheral blood using the phenol/chloroform method
(9)
. The PCR reaction was
carried out according to the methods established by Beggs & Chamberlain
(10),(11)
, using the following exons: 1, 3, 4, 6, 8, 12, 13, 17, 19, 43, 44, 45, 46, 47,
48, 50, 51, 52 and 60 through Multiplex PCR with verification of 3 to 6 exons at
a time. The analysis of the reaction products was performed after
electrophoresis in agarose gel (2.0%), with ethidium bromide and viewed under
ultraviolet light.
Muscle biopsy was performed in the patients who did not present
abnormalities in the molecular study according to ENMC, removing a muscle
specimen by open biopsy of the quadriceps muscle, according to Werneck
(12)
.
The sample was immersed in Isopentane, frozen and stored in liquid nitrogen at
-170ºC, and it was then cut in a cryostat into 4-6 micra fragments and placed on
coverdish stained by standard histology techniques (Hematoxilin and Eosin ,
modified Gomori’s Trichrome), and also evaluated by muscle histochemistry
(NADH-tetrazolium reductase, succinate dehydrogenase, alkaline and acid
phosphatases and unspecific esterase). The immunohistochemistry for
dystrophin was performed using the antibody against the C-terminal portion of
the dystrophin (NCL-DYS2 / Novocastra Laboratories Ltda), and the dilutions
were done according to the manufacturer’s recommendations. Muscle biopsies
that had at least 03 of the following criteria were considered as having a
dystrophic pattern
(13)
: a) Increased peri/endomisial connective tissue; b)
Substitution of muscle fibers by adipose tissue; c) Necrosis with proportional
phagocytosis; d) Presence of hypercontractile hypertrophic fibers; e) Presence
of basophilic fibers. Scolas’s
(14)
, immunohistochemical classification was used,
defining the three following categories for DMD: 0 Immunoidentification of the
absent dystrophin (absence of immunofluorescence); 1 Immunoidentification
of residual dystrophin (a few rare segments); 2 Immunoidentification of
dystrophin with positive fibers (rare fibers with positive dystrophin).
94
RESULTS
The time of the first clinical abnormality noticed by the parents or
caregivers was 48 months after birth for mean and median, and the minimum
age was from 12 to a maximum of 72 months.
The main complaint presented at the medical visit was “difficulty in
walking”, 57.7% of the times, followed by frequent falls” with 19,2 %, “does
not walk” in 11.5%, “walks on tiptoe” in 7.7% and general weakness, in 3.8%.
The patients in the study were from 15 towns in RGS (figure 1), and the
capital (Porto Alegre) was the place of origin of 42%. (11 patients), followed by
Osório with 7.7% (02 patients) and the other 13 towns contributed 1 patient
each (3.8%).
95
Figure 1. Map of RGS and location of DMD patients.
Creatinophosphokinase (CPK) was elevated, on average 49 times the
normal maximum value, and the maximum elevation was 231 times in a patient
aged 5 years, and the minimum elevation occurred in a patient aged 18 years
(0.1 times ) .
Electroneuromyography (ENMG) was performed in all patients, and as
expected, showed a myopathic pattern in 100% of the cases (CI95%): 89.1 to
100%).
The muscle biopsy performed in 07 patients who did not show a change
at PCR provided evidence of 06 (84.7%) patients with a dystrophic pattern
(Figure 2) and 01 (14,3%) with end stage myopathy (major infiltration of
connective and adipose tissue with abnormal muscle fibers and those
compatible with myopathy). The immunohistochemical study for the carboxy-
terminal portion of dystrophin (terminal C-3’) revealed that all biopsies (100%)
showed abnormalities in the dystrophin, absent in 04 cases (Figure 3), or rare
positive fibers (between 1 ad 3 fibers) in 03 cases. In other words, 57.2% of
type zero category and 42.8% of type II category.
96
a. b.
Figure 2. Dystrophic pattern with Gomori’s trichrome(a) and HE(b). 10x
magnification.
a b
Figure 3. Immunohistochemistry by dystrophin fluorescence (C-Terminal):
Control - 40x (a) and Absence of dystrophin (b) - 10x.
DNA analysis using the PCR technique (Figure 4) performed on all
patients showed deletion in 73.1% (CI95%: 53.9 to 87.4%) with a total of 127
deletions. There were 31.6% (6 patients) with single deletions and 68.4%
multiple ones (13 patients). In the single deletions, 16.6% (1 patient) are in the
proximal segment (exon 19) and 83.4% (5 patients) in the central portion
(between exons 44 to 51). The frequency of deletions per “Hot Spot” region is
expressed in table 1.
97
Table 1. Frequency of Deletions per “Hot Spot” region in the Dystrophy gene.
“Hot Spot”
Regions
Deletions
Nº and %
Most frequent deletions
Nº and %
Exons 2 – 20
(5'-terminal)
39
30.7%
Exon 51 (13 = 17.1%) Exons 44 – 53
(central region
76
59.8%
Exon 52 (13 = 17.1%)
Others 12
9.4%
Total 127
Figure 4. Test amplification of the individual exons. Columns 1 to 8 represent,
respectively, the amplicns of exons, 6, 8, 12, marker of 100 pb, 13, 17, 19 and
reaction blank. Electrophoresis in 2% agarose gel (15 v/cm, 30 min) with
ethidium bromide, viewed under ultraviolet light (OBS. Inverted background
color.)
CONCLUSION AND DISCUSSION
This study analyzed the clinical and laboratory profile of 26 patients from
RGS in the outpatient department of Neuromuscular Diseases in the Neurology
Service at Hospital São Lucas, PUCRS, between 2001 and 2004,
corresponding to about 10% of the estimated prevalence in RGS.
1 2 3 4 5 6 7 8
98
The EPACN was higher than the Brazilian findings of Araújo
(15)
where
these abnormalities were noted, in average at 36 months and the international
ones. In England
(16)
and Mexico
(17)
it was at 30 months, in Austria
(18)
at 36
months, and in Chile at 18 months
(19)
.
As to QP in a medical visit, there is no report, as far as we could find, of
this type of data in medical literature. However, according to Marshall &
Galasko
(20)
, the initial symptoms identified by the parents were general motor
retardation (42%), problems in walking, including walking persistently on tiptoe
(30%), retardation in walking (20%), learning problems (5%) and speech
problems (3%).
As to places of origin in RGS, the places outside the capital are located
in the Northwest , the North and the North Coast. This may be due to the
greater number of towns and population density in these regions, but this study
was not designed to map the location of the DMD population in the state.
Comparing the location of this population to the data from Alho
(21)
and current
data, the information about the capital (Porto Alegre) is similar in both studies
(38.7% and 42%, respectively). As to the interior, they were also similar, but it
was not specified from which region in the countryside of RS the 1994 DMD
patients were
(21)
.
CPK was elevated in 100% of the patients studied. Compared with
national studies, the mean elevation data found are similar to the study by
Alho
(21)
(between 30 to 75 against 49 times). On the other hand, in Curitiba/PR,
Werneck found mean elevation levels of CPK slightly below (32.5 times)
(22)
.
Zatz found a maximum peak of 130 times and in our study the maximum was
232 times above the maximum normal value
(23)(24)
.
The data in this study agree with the national and international literature.
This includes age due to the elimination of dystrophic muscle fibers that are the
source of the CPK elevation
(25)
. The ENMC mentions at least a 10-fold increase
in the serum CPK concentration above normal to be included among the
diagnostic data
(7)
. Considering that CPK is raised until before birth, it could be
used as triage for DMD (and other muscle pathologies) in the newborn.
ENMG showed a myopathic pattern in 100% of our patients, and serves to
distinguish myopathic from neuropathic patterns. However, this exam must be
requested when there is truly doubt as to whether there is a primarily muscular
99
process, or whether it is located elsewhere, since it is unpleasant for children
and it does not provide etiological information
(8)
.
In the current study, PCR showed data similar to those found in the world
literature, which in general presents about 65 70% deletions in patients with
DMD
(26),(27)
. Our findings are different from those found by another study
performed in RGS by Alho
(21)
, in which 52% of the patients with DMD
presented deletions and from 82.2% found by Werneck
(28)
in Paraná. However,
the latter analyzed DNA from muscle samples and not from leukocytes,
suggesting that the highest frequency could have occurred due to somatic or
germ cell mosaicism. The same group of Werneck later, in another study
performed in 2007
(29)
shows deletions in 71.7% when the PCR was analyzed
with DNA from leukocytes. Another national study also found the same
percentage of deletions as this study
(15)
. Evaluations in different developing
countries throughout the world (eg, Asia, India and Turkey) showed a similar
frequency of deletions
(30),(31)
.
The deletions may be of a single exon or multiple exons. The percentage
varies from author to author, and according to Banerjee
(32)
it is 60 and 40%
respectively. On the other hand, according to Nicholson the percentage is 20 to
80
(33)
. In our study the exons most involved in single deletions are: 50 (16.1%),
45 (14.5%), 48 (14.5%) and 51 (14.5%). The exons involved in multiple
deletions are 47 (11.1%), 48 (5.3%), 49 (13%) and 50 (9.7%)
(32)
. There are also
very large deletions that affect almost all the length of the gene (eg, from exon
10 to 60), producing a DMD phenotype
(34)
. However it is not the localization nor
the size of deletions that correlate with the DMD or DMB phenotype, as shown
by Angelini for a patient with DMB
(35)
.
In patients with DMD, the anatomopathological analysis of the muscle
biopsy, pure and simply, although not pathognomonic, shows many foci of
necrotic fibers with proportional phagocytosis and evidence of regeneration.
These findings are general found around the age of 3 to 5 years, compared with
the pre-clinical or later stages. In the more advanced stages, there is a greater
substitution of muscle tissue by adipose and fibrous tissue
(36)
. In the cases we
biopsied, all presented dystrophic abnormalities, and in one case the stage of
the disease was very advanced due to the age at which the muscle biopsy was
performed (11 years and the patient no longer walked). As to
100
immunohistochemistry for dystrophin, depending on the laboratory , on average
about 40% of the DMD biopsies showed some type of expression of this
protein
(37)
, generally confined to a small proportion of cells, and sometimes
scattered as low intensity of immunofluorescence. Several authors
(7),(38)
found
that the carboxyl terminal shows that most of the patients have a total absence
of Dystrophin detection. Corroborating this finding, Scola
(14)
when only this site
of analysis was used for dystrophin immunohistochemistry, found only 69.2%
without immunodetection. In our case the results were similar, since 57.2%
were in the type zero category (total absence of dystrophin) and 42.8% in the
type II category (rare fibers with positive dystrophin)..
New molecular technologies to diagnose DMD are appearing, such as: the
use of IP-RP-HPLC (“íon-pair reversed-phase high-performance liquid
chromatography) coupled to PCR-multiplex for quick prenatal diagnosis
(39)
and
CSCE (“conformation sensitive capillary electrophoresis”) associated with
fluorescent Multiplex PCR to screen for deletions and gross duplications
(40)
.
However, currently and in keeping with the reality of most laboratories
worldwide, updating the techniques used in this article associated with clinical
knowledge give us an adequate profile of patients with DMD.
In this new millennium, the possibility of partial or totally definitive
treatment of neuromuscular diseases is being seem less skeptically and even
with increasing hope. One example is the suppression of “stop codons” and the
consequent premature arrest of genic expression
(41)(42)
, which, in the case of
preclinical studies with mdx rats, allows salvaging the striated muscle function.
Thus, knowledge of basic data on clinical and laboratory tests can be very
helpful to evaluate the true efficacy of future treatments proposed for this
devastating, unfortunate disease, both for children and for young people who
have been affected and for their families, and thus therapies can be evaluated
as a counterpoint to the natural history of the disease
101
REFERENCES
1. Hoffman EP; Brown RH; Kunke, LM. Dystrophin: the protein produtc of the
Duchenne muscular dystrophy locus. Cell, 19:87; 51:919-928
2. Van Essen, A. J., et al. The clinical and molecular genetic approach to
Duchenne and Becker muscular dystrophy: na updated protocol. J Med
Genet 1997; 34: 805-812)
3. Emery A.E.H. In: Duchenne Muscular Dystrophy, 2
a
. ed., NewYork, Oxford
University Press, 1993)
4. Greenberg C.R., Rohringer M., Jacobs H.K. Lancet 1988;2: 425.
5. den Dunne JT; Grootscholter PM; Bakker E, et al.Topography of the
Duchenne muscular distrophy (DMD) gene: FIGE and cDNA analysis of 194
cases reveals 115 deletions and 13 duplicatins. Am J Hum Gent 1989; 45:
835-847.).
6. Voit T; Stuettgen P; Cremer M; Goebel HH. Dystrophin as a diagnostic
marker in Duchenne and Becker muscular dystrophy. Correlation of
immunofluorecence and Westens blot. Neuropediatrics; 1991; 22: 152-
162.).
7. Bekker E; Jennekens FGI; de Visser M; Wintzen AR. Duchenne and Becker
muscular dystrophies In Emery A; Diagnostic Criteria for Neuromuscular
Disorders. 2
nd
Ed. Royal Society of Medicine Press, London. 1997; Cap 1, 1
– 4).
8. Dumitru, D. In Electrodiagnostic Medicine. MacGrow-Hill; 1995. Cap 20,
1067-1070).
9. Sambrook J, Fritsch EF, Maniats T. Molecular cloning. 2Ed. New York:
Cold Spring Harbor Laboratory Press, 1989;2(16):9-19).
10. Chamberlain JS; Gibbs RA; Ranier JE; Caskey CT. Deletions screening of
the Duchenne muscular dystrophy lócus via multiplex DA amplification.
Nucleic Acids res. 1988. 6: 11141 – 11156.
11. Beggs AH; Koenig M; Boyce FM; Kunke LM. Detection of 98% of DMD /
DMB gene deletions by polymerase chain reaction. Hum. Genet. 1990. 86:
45 – 48).
102
12. Werneck LC. 1981. O valor da bióspia muscular em neurologia. Análise de
290 casos a fresco e pela histoquímica. Rev.Bras. Clin. Terap 10 (suppl): 2-
22)
13. Dubowitz, V . The muscular Dystrophies. In Muscle Biopsy - A practical
approach - 2nd ed., Ballière-Tindal; 1989. Cap 9 p., 291).
14. Scola RH. Análise da Distrofina pelo método de imunocitoquímica. Estudo
de 517 casos. Tese apresentada na Faculdade de Medicina de Ribeirão
Preto da Universidade de São Paulo para obtenção de título de Doutor.
Ribeirão Preto, 1990, pág. 46 – 47)
15. Araújo, APQC; de Deco, MC; Klôh, BS; da Costa MR; de Góis, FV;
Guimarães, AFCM. Rev. Bras. Saude Mater. Infant. 2004, vol. 4, no. 2, pp.
179-183)
16. Essex C, Roper H. Lesson of the week: late diagnosis of Duchenne's
Muscular Dystrophy presenting as global developmental delay. BMJ 2001;
323: 37-8.
17. Alvarez LM, Morales AA, Perez ZJA, Segura RS, Quiroz GMC, Paredes
GA. Relations between delayed diagnosis and forms of onset in Duchenne
Muscular Dystrophy. Gac Med Mex 1994; 130: 459-64).
)
18. Hauser E, Toifl K, Mad A, Bittner R. The incidence of Duchenne Muscular
Dystrophy in eastern Austria. The controversy regarding CK screening.
Wien Klin Wochenschr 1993;105: 433-6)
19. De los Angeles M, Kleinsteuber K, Herrera L, Carvallo P. Delayed diagnosis
of Duchenne Muscular Dystrophy in Chile. Rev Med Chil 1999; 127: 65-70).
20. Marshall PD and Galasko CS. No improvement in delay in diagnosis of
Duchenne muscular dystrophy [letter]. Lancet. 1995. 345:590-591.
21. Alho CS. Estudo epidemiológico e molecular das distrofias musculares de
Duchenne e Becker no sul do Brasil implicações para o aconselhamento
genético. Disertação de Mestrado no Curso de Pós-Graduação em
Genética e Biologia Molecular da Universidade Federal do Rio Grande do
Sul, Porto Alegre 1994
22. Werneck, L.C. - Estudo da Biópsia Muscular e sua correlação com enzimas
séricas e eletroneuromiografias nas doenças neuromusculares. Tese para
concurso de professor titular do Departamento de Clínica Médica (Doenças
103
do Sistema Nervoso) Setor de Ciências da Saúde da Universidade Federal
do Paraná. CTBA,1991
23. Zatz M, Shapiro LJ, Campion DS, Oda E, Kaback MM. Serum pyruvato-
kinase (PK) and creatino-kinase in progressive muscular dystrophies. J
Neurol Sci. 1978. 36: 349 – 362.
24. Zatz M, Vainzof M, Passos-Bueno MR. Serum creatine kinase in
progressive muscular dystrophies. In Muscular Dystrophy Methods and
protocols. Bushby K, Anderson LVB. Humana Press Inc. New Jersey. 2001;
31 – 49. Cap 4.)
25. Zatz M, Shapiro LJ, Campion DS, Oda E, Kaback MM. Serum pyruvato-
kinase (PK) and creatino-kinase in progressive muscular dystrophies. J
Neurol Sci. 1978. 36: 349 – 362
26. Koenig M; Monaco AP; Hoffman EP; Bertelson CJ; Mônaco AP; Feener C;
Kunkel LM. Complete cloning of the Duchenne muscular dystrophy (DMD)
cDNA and preliminar genomic organization of the DMD gene in normal and
affected individual. Cell. 1987. 50:509 – 517
27. Forrest SM; Cross GS; Flint T; Speer A. Robson KH; Davies KE. Further
studies of gene deletions that causes Duchenne and Becker muscular
dystrophies. Genomics; 1988. 2: 109 – 114.)
28. Werneck LC, Scola RH, Maegawa GH, Werneck MM. Comparative analysis
of PCR-deletion detection and immunohistochemestry in Brazilian
Duchenne and Becker muscular dystrophy patients. Am J Med Genet 2001;
103:115-120).
29. Freund AA, Scola RH, Arndt RC, Lorenzoni PJ, Kay CK, Werneck
LC.Duchenne and Becker muscular dystrophy. A molecular and
immunohistochemical approach. Arq Neuropsiquiatr 2007; 65(1):73-72)
30. Lai OS, Takeshima Y, Adachi K. Comparative study on deletions of the
dystrophin gene in three asian population. J Hum Genet (2002)47:552-555.
31. Önengüt S, Kavaslar GN, Battaloglu E, Serdaroglu P. Deletion pattern in
the Dystrophin gene in tursk and comparison with europeans and Indian,
Am Hum Genet. 2000.64, 33-40)
32. Banerjee M; Verma IC. Are there ethnic differences in deletions dystrophyn
gene? Am. J. Med. Genet. 1997. 68: 152 – 157.
104
33. Nicholson LV; Johnson MA; Bushby KM; Gardner Medwin D. Curtis A;
Ginjaar IB; Den Dunnen JT; Butler TJ; Bakker E; Van Ommen GT; Harris
JB. Integrated study of 100 patients with Xp21 linked muscular dystrophy
using clinical, genetic, immunochemical, and histopathological data. Part 1.
Trends across the clinical groups. J. Med. Genet. 1993; 30: 728 – 736)
34. Prior TW; Claire B; Pearl DK; Papp AC; Snyder PJ; Sedra MS; Burghes AH;
Mendell JR. Am. J. Hum. Genet. 1995. 57: 22 – 33)
35. Angelini C; Beggs AH; Hoffman EP; Fanin M; Kunkel LM. Enormous
dystrophin in a patient with Becker muscular dystrophy. Neurology, 1990.
40: 808 – 812)
36. Johnson MA. Histopathological diagnosis of muscular dystrophies. In
Muscular dystrophy – Methods and protocols. Bushby KMD, Anderson LVB.
Humana Press.Totowa, New Jersey.2001.15 – 30).
37. Johnson, M.A. Immunocytochemical analysis, chapter 21 in Methods in
Molecular Medicine, vol 43: Muscular Dystrophy: Methods and Protocols.
Humana Press, Totowa, NJ, 2001).
38. Arahata K; Beggs AH; Honda H; Ito S; Tsukahara T; Ishiguro T; Eguchi C;
Orimo S; Arikawa W; Kaido M; Nonaka I; Sugita H; Kunkel LM. Preservation
of the C-terminus of the dystrophin molecule in the skeletal muscle form
Becker muscular dystrophy. J. Neurol. Sci. 1991; 101: 148 – 156.
39. Huang WY, Hung CC, Lee CH, Su YN, Chen CP. Rapid prenatal diagnosis
of Duchene muscular dystrophy with gene duplication by ion-pais reversed-
phase high-perfomence liquid chromatography coupled with competitive
multiplex polymerase chain reaction strategy.Prenatal Diagn
2007.27(7):653-656)
40. Ashton EJ, Yau SC, Deans ZC, Abbs SJ. Simultaneous mutation scanning
for gross deletions, duplications and point mutations in the DMD gene. Eur
J Hum Genet.2008.16:53-61)
41. Welch EM, Barton ER, Zhuo J, et al. PTC124 targets genetic disorders
caused by nonsense mutations. Nature. 2007.447: 87 – 91.
42. Wilton S. PTC 124, nonsense mutations and Duchenne muscular
dystrophy. Neuromuscul Disord. 2007. 17: 719 – 720
105
ANEXO C. Dados dos pacientes referente a idade na primeira consulta no
ambulatório e elevação do nível de CPK apresentada.
Nº. Paciente 1ª Consulta CPK
1 6 anos 17
2 10anos 17
3 8 anos 28
4 10 anos 80
5 7 anos 80
6 5 anos 85
7 6 anos 36
8 7 anos 40
9 18 anos 1
10 6 anos 63
11 2 anos 64
12 5 anos 231
13 2 anos 35
14 11 anos 61
15 21 anos 1
16 11 anos 26
17 5 anos 22
18 4 anos 28
19 5 anos 37
20 8 anos 61
21 6 anos 28
22 8 anos 30
23 8 anos 35
24 7 anos 19
25 4 anos 91
26 2 anos 26
106
ANEXO D. Resultado do rastreamento das deleções.
Nº. Paciente Exon deletados
1 Não houve deleção
2 3,6
3 44
4 Não houve deleção
5 Não houve deleção
6 45,46
7 45
8 51
9 8,17,19,43,44,51,60
10 45,46,47,48,50,51
11 19
12 Não houve deleção
13 1,3,17,19,43,50,51
14 1,51,52
15 1,51,52
16 6,17,43,45,46,47,48,50,51
17 51
18 1,3,4,6,8,12,13,19,44,45,46,47,48,50,51,52,60
19 Não houve deleção
20 Não houve deleção
21 Não houve deleção
22 1,45,46,47,48,50,51
23 Não houve deleção
24 1,3,4,6,8,12,13,17,19,43,44,45,46,47,48,50,51,52,60
25 8,12,13,17,43,44,46,47,48,51,60
26 6,17,43,45,46,47,48,50,51
107
ANEXO E. Freqüência de Deleções por regiões de “Hot Spot” no Gene da
Distrofia
Regiões “Hot Spot”
Deleções
Nº e %
Deleções mais freqüentes
Nº e %
Exons 2 – 20
(5'-terminal)
39
30,7%
Exons 44 – 53
(região central)
76
59,8%
Exon 51 (13 = 17,1%)
Exon 52 (13 = 17,1%)
Outros
12
9,4%
Total 127
108
ANEXO F. Protocolo para Biópsia Muscular, Estudo Anatomopatologico e
Imunoistoquimica de Músculo
Será retirado espécime muscular (03 amostras de 0,5 x 0,5 x 0,5 cm )
através de biópsia a céu aberto em músculo quadríceps ou bíceps. A biópsia é
considerada uma cirurgia de pequeno porte e é realizada no sculo
quadríceps ou músculo bíceps através de incisão na pele por bisturi de lâmina
15, além de abertura de subcutâneo e fáscia com tesoura de ponta romba.
Retira-se 03 fragmentos de 0,5 x 0,5 x 0,5 que são colocados em gaze
embebida levemente em soro fisiológico. Após fechamento por planos com
fio absorvível 4-0 (fáscia e subcutâneo) e sutura da pele com fio inabsorvível 4-
0. A anestesia é realizada por médico especialista, usando Dormind® 0,75
mg/Kg 20 a 30 minutos antes da cirurgia. Em relação á anestesia, utiliza-se
Dormonid®0,75mg/Kg 20 minutos antes do início da cirurgia. Após é
cateterizada veia periférica através de ”scalp” e além de colocação de
aparelhos para monitorar o eletrocardiograma, a pressão arterial e a oximetria.
Neste ínterim o paciente está sendo anestesiado de forma endovenosa com
Fentanil® 3 a 5 mg/Kg e Propofol® 3mg/Kg, além de manter-se, via inalatória,
Oxigênio e Protóxido a 50% cada. Tal situação é atenuada lentamente no
momento em que se está fechando a pele. O paciente somente é liberado do
hospital após a recuperação completa da consciência (geralmente após 01 a
02 horas pós-cirurgia).
A amostra muscular será imersa em Isopentano (Merck 106036) e
congelada em nitrogênio líquido a -170ºC, e estocada em nitrogênio líquido a -
170ºC.
O material será cortado em criostato em fragmentos de 4 -7 micras e
colocadas sobre lamínulas. Serão utilizadas técnicas padrão para histologia e
histoquímica (Hematoxilina e Eosina, Tricrômio de Gomori modificado, NADH,
ATPase 9,4, 4,6 e 4,3, SDH, Esterase Inespecífica, Fosfatase Alcalina e Ácida,
PAS, ORO e Miofosforilase ).
As lamínulas serão montadas sobre lâminas com bálsamo ou gelatina
conforme a necessidade para cada coloração/reação histoquímica e
109
armazenadas em caixas plásticas apropriadas e analisadas conforme item A10
do Protocolo I.
A análise imunohistoquímica de biópsias musculares com anticorpos que
reconhecem a distrofina e outras proteínas, que estão diretamente
relacionadas com a distrofia muscular tem grande valor diagnóstico. Para tanto,
serão analisadas biópsias musculares congeladas. Cortes de 4 µm serão
colocados sob lâminas pré-tratadas com poli-L-lisina. Uma solução contendo o
anticorpo primário (20 uL) será colocada sobre o corte, e a lâmina será
incubada por 1 hora à 25
o
C. Após três lavagens de 10 min com tampão PBS,
serão adicionados 20 µl de anticorpo secundário marcado com HRP e a lâmina
será incubada por 1 hora à 25
o
C. A seguir, serão realizadas três lavagens com
tampão PBS. A solução contendo o substrato para a enzima marcadora do
anticorpo secundário será preparada dissolvendo-se um tablete de DAB
(diaminobenzidina-HCL) em 10 ml de tampão PBS e 0,01% de H
2
O
2
. Esta
solução (50 uL) será colocada sobre o corte e a lâmina incubada à temperatura
ambiente. Após 2-4 min, a lâmina será lavada várias vezes com H
2
O destilada
seguido por duas etapas de fixação em etanol 95% por 2 min e duas etapas de
fixação com etanol absoluto por 2 min. As lâminas serão incubadas em Xilol
por 2 min.e uma gota de Entellan® será colocada sob o corte. O material será
fechado com uma lamínula para observação em microscópio de luz direta.
Os anticorpos que serão usados no presente estudo serão: NCL-α-
SARC (α-sarcolglicano), NCL-β-SARC (β-sarcoglicano), NCL-δ-SARC (δ-
sarcoglicano), NCL-DYS1 (centro da distrofina), NCL-DYS2 (porção C-terminal
da distrofina), NCL-DYS3 (porção N-terminal da distrofina) e NCL-SPEC-1
(espectrina) que será usado como controle para a integridade dos cortes.
Todos os anticorpos serão obtidos do Novocastra Laboratories Ltd. e suas
diluições serão feitas de acordo com as recomendações do fabricante.
110
ANEXO G. Protocolo para Análise Molecular
Colheita da Amostra
Sangue total colhido em tubo tipo “vacutainer” com EDTA (tampa roxa) e
trazido ao laboratório imediatamente ou em até 6h após coleta, mantido a 4°C.
O tempo decorrido entre a coleta e o processamento não deverá exceder 24h.
Extração de DNA
A amostra de sangue colhida será centrifugada (5000 rpm, 5 min) e a
camada contendo leucócitos transferida para tubo de 1,5mL. Após lavagem
com PBS (tampão fosfato-salina), o DNA de leucócitos (em 200 µl PBS) será
extraído com 100 µl de tampão de lise (10 mM Tris, 100 mM EDTA, 0,5% SDS,
200 µg/ml de Proteinase K), 2,5% SDS, 25 mM EDTA pH 8,0, e incubado a
55°C por 3h. Seguindo-se a incubação, a amostra será extraída (2x) com
fenol:clorofórmio:álcool isoamílico (25:24:1). O DNA presente na porção
aquosa será precipitado pela adição de 0,1 volumes de acetato de sódio e 0,7
volumes de isopropanol e incubação a -20°C. O sedimento translúcido e
gelatinoso será dissolvido em 50 µl de água Milli-Q estéril, e mantido a -20°C
até o uso na reação de PCR.
111
Reação de Amplificação
A reação de PCR será executada de acordo com o método estabelecido por
Beggs e Chamberlain (39, 40) apresentados abaixo.
“The Chamberlain set”
exon Length
forward primer reverse primer Name
45 547 Aaacatggaacatccttgtggggac Cattcctattagatctgtcgccctac ex45-F/R
48 506 Ttgaatacattggttaaatcccaacatg Cctgaataaagtcttccttaccacac ex48-F/R
19 459 Gatggcaaaagtgttgagaaaaagtc Ttctaccacatcccattttcttcca ex19-F/R
17 416 Gactttcgatgttgagattactttccc aagcttgagatgctctcacCTTTTCC ex17-F/R
51 388 Gaaattggctctttagcttgtgtttc ggagagtaaagtgattggtggaaaatc ex51-F/R
8 360 Ggcctcattctcatgttctaattag gtcctttacacactttacCTGTTGAG Ex8-F/R
12 331 Gatagtgggctttacttacatccttc gaaagcacgcaacataagatacacct ex12-F/R
44 268 Cttgatccatatgcttttacctgca tccatcacccttcagaacctgatct ex44-F/R
4 196 Ttgtcggtctctctgctggtcagtg caaagccctcactcaaacatgaagc Ex4-F/R
46 148
GCTAGAAGAACAAAAGA
ATATCTTGTC
CTTGACTTGCTCAAGCTTTTCT
TTTAG
ex46-F/R
“The Beggs-set”
exon
Length forward primer reverse primer Name
1 535
GAAGATCtagacagtggatacataacaa
atgcatg
ttctccgaaggtaattgcctcccagatctgagtcc
Ex1-F/R
3 410 Tcatccatcatcttcggcagattaa caggcggtagagtatgccaaatgaaaatca ex3-F/R
43 357 Gaacatgtcaaagtcactggacttcatgg atatatgtgttacctacCCTTGTCGGTCC
ex43-F/R
50 271 Caccaaatggattaagatgttcatgaat tctctctcacccagtcatcacttcatag ex50-F/R
13 238 Aataggagtacctgagatgtagcagaaat
ctgacCTTAAGTTGTTCTTCCAA
AGCAG
ex13-F/R
6 202
CcacatgtagGTCAAAAATGTAA
TGAA
gtctcagtaatcttcttacCTATGACTATG
G
ex6-F/R
47 181 CgttgttgcatttgtctgtttcagTTAC
gtctaacCTTTATCCACTGGAGAT
TTG
ex47-F/R
60 139
AGGAGAAATTGCGCCTCTG
AAAGAGAACG
CTGCAGAAGCTTCCATCTGGT
GTTCAGG
ex60-F/R
52 113
AATGCAGGATTTGGAACAG
AGGCGTCC
TTCGATCCGTAATGATTGTTCT
AGCCTC
ex52-F/R
Inicialmente, de três a seis reações para cada amostra serão feitas
amplificando os diferentes éxons mostrados acima.: As misturas de reação (50-
µl total), contém 50 pmol de cada primer, 200 µM dNTPs, 2 U Taq polimerase,
DMSO 10%, tampão contendo 3,0 mM MgCl
2
, e 2 µl do DNA da amostra.
O programa de amplificação consiste de uma desnaturação inicial (94°C, 6
min), 26 ciclos de: desnaturação (94°C, 30 s), anelamento (53°C, 30 s) e
112
extensão (65°C, 7 min), e uma extensão final (72°C, 10 min). A análise dos
produtos de reação é feita após eletroforese em gel de agarose (2,0%) com
brometo de etídio e visualizado sob luz ultravioleta.
113
ANEXO H. Protocolo Clínico - Diagnóstico de Pacientes com DMD
1. IDENTIFICAÇÃO:
Data: / /
Nome: Sobrenome:
Idade: Sexo: Registro: :
Natural: Procedente:
Endereço: Fone p/ contato:
Médico assistente:
2. HISTÓRIA:
2.a) Queixa Principal:
2.b) HDA:
Início: Anos: Meses: Dias:
Fraqueza Muscular:
MsSs ( )
Proximal ( )
Distal ( )
MsIs ( )
Proximal ( )
Distal ( )
Sim ( ) Não ( )
Quedas Freqüentes: Sim ( ) Não ( ) Início:
Dificuldade para subir escadas: Sim ( ) Não ( ) Início:
Dificuldade para correr: Sim ( ) Não ( ) Início:
Dificuldade para erguer os braços: Sim ( ) Não ( ) Início:
Dificuldade na preensão com as mãos: Sim ( ) Não ( ) Início:
Dificuldade para extensão das mãos: Sim ( ) Não ( ) Início:
Dificuldade para dorsoflexão dos pés: Sim ( ) Não ( ) Início:
Dificuldade para extensão dos pés: Sim ( ) Não ( ) Início:
Anormalidade sensitiva: Sim ( ) Não ( ) Início:
2.c) Observações:
114
2.d) História Pregressa / Revisão de Sistemas:
Gestação e Parto:
À Termo: Sim ( ) Não ( ) Obs:
Parto Normal: Sim ( )
Não ( ) Obs:
Doenças Prévias:
Sim ( ) Não ( ) Obs:
Desenvolvimento neuropsicomotor:
Que idade firmou a cabeça?
Que idade sentou com apoio?
Que idade sentou sem apoio?
Que idade iniciou a caminhar?
Que idade iniciou a falar?
Qualidade das funções motoras antes de notado o início do quadro:
No início da deambulação tinha quedas
freqüentes?
Sim ( ) Não ( ) Obs:
Nas corridas geralmente chegava atrás dos
colegas da mesma idade?
Sim ( ) Não ( ) Obs:
Era mais “fraquinho” que os colegas da mesma
idade?
Sim ( ) Não ( ) Obs:
Subia em árvores ou assemelhados
(escorregador, muro, cadeiras etc..) ?
Sim ( ) Não ( ) Obs:
2.e) História Familiar:
Presença de caso semelhante na família? Sim ( ) Não ( ) Obs:
Presença de fraqueza muscular na família Sim ( ) Não ( ) Obs:
Heredograma:
Mulher . Homem . Afetado Probando
115
3. EXAME FÍSICO:
GERAL (Anormalidades)
ACV Sim ( ) Não ( )
Obs:
TGI Sim ( ) Não ( )
Obs:
PELE Sim ( ) Não ( )
Obs:
Outros Sim ( ) Não ( )
Obs:
AR Sim ( ) Não ( )
Obs:
116
NEUROLÓGICO:
3.1 SISTEMA MOTOR
A) INSPEÇÃO:
Obs: Atrofia 1. Hipertrofia 2. Fasciculação 3. Miotonia 4. Mioquimia 5.. Retração músculo–tendinosa 6. Escoliose 7. Cifose 8.
Lordose 9. Deformidades Ósteo-musculares 10. Movimentos Anormais 11. Cicatriz 12. Outros 13 (descrever).
Região / /
(1ªcsulta)
/ /
(2ªcsulta)
/ /
(3ªcsulta)
/ /
(4ªcsulta)
/ /
(4ªcsulta)
/ /
(5ªcsulta)
/ /
(6ªcsulta)
Dir Esq Dir Esq Dir Esq Dir Esq Dir Esq Dir Esq Dir Esq
Cervical
Cint.
Escap.
Braço
Antebraço
Mão
Tronco
Cint.
Pélvica
Coxa
Perna
Obs: Hipertrofia de panturrilhas: Sim ( ). Não ( ). Hipertrofia Ext. Curto Dedos: Sim ( ). Não ( ).
PSIQUISMO
117
B) TÔNUS :
Obs: Hipotonia, hipertonia (elástica, plástica ).
Região / /
(1ªcsulta)
/ /
(2ªcsulta)
/ /
(3ªcsulta)
/ /
(4ªcsulta)
/ /
(4ªcsulta)
/ /
(5ªcsulta)
/ /
(6ªcsulta)
Dir Esq Dir Esq Dir Esq Dir Esq Dir Esq Dir Esq Dir Esq
Cervical
Cint.
Escap.
Braço
Antebraço
Mão
Tronco
Cint.
Pélvica
Coxa
Perna
118
C) FORÇA: (Obs: Graduar segundo MRC):
Grau 5: Normal. Grau 4: Opõe resistência parcial ao examinador. Grau 3: Ganha da gravidade, mas perde do examinador.Grau 2:
Perde da gravidade, mas faz movimentos quando a mesma é omitida. Grau 1: Esboça movimentos, mesmo sem oposição de
gravidade. Grau Zero: Ausência de movimentos.
Região / / (1ªcsulta) / / (2ªcsulta) / / (3ªcsulta) / / (4ªcsulta) / / (4ªcsulta) / / (5ªcsulta) / / (6ªcsulta) / / (7ª csulta) / / (8ªcsulta)
Flexão Exten. Flexão Exten. Flexão Exten. Flexão Exten. Flexão Exten. Flexão Exten. Flexão Exten. Flexão Exten. Flexão Exten.
Cervical
Dir Esq Dir Esq Dir Esq Dir Esq Dir Esq Dir Esq Dir Esq Dir Esq Dir Esq
ECMT
Rombóide
Supra/Infraesp.
Deltóide
Bíceps
Flexores Punho
Exten. Punho
Flexores Dedos
Exten. Dedos
Abd. C. Poleg
Interósseo
Abd. 5° Dedo
Ileopsoas
Adutores Coxa
Quadríceps
Bíc. Cb. Longa
Bíc. Cb. Curta
Tibial Anterior
Fibular Longo
Gastrocnêmio
Ext. C. Dedos
Abd. Hállux
119
D) REFLEXOS
Obs: Graduação em cruzes (++).Descrever aumento da área reflexógena.
(0/+4): Arreflexia. (+/+4): Hiporreflexia. (++/+4): Reflexo Normal. (+++/+4): Hiperreflexia. (++++/+4): Hiperreflexia marcada.
Região / /
(1ªcsulta)
/ /
(2ªcsulta)
/ /
(3ªcsulta)
/ /
(4ªcsulta)
/ /
(4ªcsulta)
/ /
(5ªcsulta)
/ /
(6ªcsulta)
Dir Esq Dir Esq Dir Esq Dir Esq Dir Esq Dir Esq Dir Esq
Peitoral
Biciptal
Triciptal
Estilorrad
Pubiano
Adutor
Patelar
Aquiliano
Outro
E) MARCHA
Tipo Direita Esquerda Bilateral Obs:
Atípica
Espástica
Atáxica
Escarvante
Anserina
Festinante
Antálgica
Outras
* Sinal de Gowers: ( ) {1= Presente. 2= Presente parcialmente (descrever). 3= Ausente}
120
F) COORDENAÇÃO MOTORA (Descrever)
3.2 NERVOS CRANIANOS
Descrever alterações motoras (1=paralisia; 2=paresia).
Nervo
Motores
/ / / / / / / / / / / / / /
-x- Dir
Esq
Bil
Dir
Esq
Bil
Dir
Esq
Bil
Dir
Esq
Bil
Dir
Esq
Bil
Dir
Esq
Bil
Dir
Esq
Bil
III°
IV°
VI°
VII°
VIII°
IX°
XI°
XII°
Descrever outras alterações:
NERVOS / / / / / / / / / / / / / /
I°
II°
V°
VIII°
IX°
X°
XI°
121
3.3 SISTEMA SENSITIVO
Táctil e dolorosa (TD).
Vibratória (V)
Cinético-Postural (CP)
(Descrever)
122
3.4-EXAME FUNCIONAL
a) Deambulação: (assinalar a resposta mais executada e o tempo decorrido)
1) Normal
2) Levemente anserina, lordótica ou na ponta dos pés
3) Moderadamente anserina, lordótica ou na ponta dos pés
4) Marcadamente anseriana, lordótica ou na ponta dos pés
5) Caminha só com apoio
6) Fica de pé, mas não caminha
7) Confinado a cadeira de rodas
8) Tempo para caminhar 05 m: (....s)
b) Subir escadas (assinalar a resposta mais executada e o tempo decorrido)
1) Sobe sem ajuda
2) Apoia uma mão na coxa
3) Apoia ambas as mãos na coxa
4) Sobe em posição ereta, mas com ajuda ( corrimão, terceiros
etc)
5) Sobe apoiando-se (corrimão, terceiros etc) com as duas mãos
6) Grande dificuldade para subir poucos degraus (2 à 4)
7) Incapaz de subir escadas
8) Tempo para subir 04degraus (....s)
c) Erguer-se de uma cadeira (assinalar a resposta mais executada e o tempo
decorrido)
1) Normal
2) Sobre uma base ampla e/ou com dificuldade, mas sem apoio
3) Com apoio de uma mão, sem tocar em mais nada
4) Com apoio de ambos as mãos, sem tocar em mais nada
5) Com outros apoios (mesa, cadeira, terceiros etc)
6) Somente se totalmente carregado
7) Tempo para erguer-se da cadeira (....s)
d) Erguer-se da posição sentada no chão para posição de (assinalar a
resposta mais executada e o tempo decorrido)
1) Normal
2) Eleva primeiro a bacia apoiando-se com uma mão no chão
3) Eleva primeiro a bacia apoiando-se com as duas mãos no
chão
4) Apoia-se com uma mão na coxa
5) Apoia-se com as duas mãos na coxa
6) Ergue-se somente com ajuda de outros objetos ou pessoas
(Ex: mesa)
7) Incapaz de erguer-se
8) Tempo para erguer-se do chão (....s)
123
e) Membros superiores - região proximal (assinalar a resposta mais executada
e o tempo decorrido)
1) Partindo com os braços ao longo do corpo, eleva os mesmos
estendidos e tocar com ambas as palmas das os acima da
cabeça
2) Idem ao de cima, porém eleva um copo d'água (copo de
plástico de +/- 200 ml) até o nível dos olhos
3) Eleva os antebraços aa cabeça, mas flexiona os cotovelos
ou usa músculos acessórios
4) Não é capaz de elevar os braços ao nível dos olhos
5) Não é capaz de elevar os braços ao nível do ombros
6) Tempo para colocar uma blusa sem botões (....s)
124
4.Exames
4.1- Laboratório e ECG
CPK Normal( ) Aument( x) Obs:(CPK / CPK máx N) – 1
Hemograma Normal( ) Anormal( ) Obs:
TP Normal( ) Anormal( ) Obs:
KTTP Normal( ) Anormal( ) Obs:
ECG Normal( ) Anormal( ) Obs:
4.2 - ENMG
Normal
Pd Miopático
Pd Neuropático
Pd Neuromiopático
Outro
4.3 - Biópsia Muscular
A) Anátomo-Patológico e Histoquímica
A1)HE/Gomori
Parâmetro Normal Aumentado Observação
Tecido conjuntivo (.....)
L(...) M(...) I(...)
Peri Endo P/E
Tecido Adiposo (.....)
L(...) M(...) I(...)
Peri Endo P/E
Parâmetro Presente Ausente Observação
Vasos
Nervos
At < At O Hipert Variação Ø Fibras
%
%
%
Núcleos Periféricos
%
Núcleos Internos
%:
Necrose
L( ) M( ) I( )
Infiltração Inflamatória
Proporcional Necrose
L( ) M( ) I ( )
Infiltração Inflamatória
Desproporc. Necrose
L( ) M( ) I( )
Basofílicas
L( ) M( ) I( )
H. Hipercontráteis
L( ) M( ) I( )
Segmentação
L( ) M( ) I( )
Vacúolos
Marg( ) Ñmarg( )
Sacabocado (“Moth
eaten”)
Turbilhão (“Whorled”)
RRF
Outros
Obs: Para ser considerada distrofia muscular deverá apresentar pelo menos
03 dos seguintes critérios:
1) Aumento de tecido conjuntivo peri/endomisial
2) Substituição fibras muscular por tecido adiposo
3) Necrose com fagocitose
Proporcional
4) Presença de Fibras Hipertróficas hipercontráteis
5) Presença de Fibras
Basofílicas
Distrofia Muscular
Sim ( )
Não ( )
125
B) Imunohistoquímica
A intensidade da imunocoloração e o tipo de imunoidentificação da
distrofina nas fibras segundo a classificação de Scola está descrita a seguir:
0 – Imunoidentificação da distrofina ausente (ausência de imunoflourescência).
1 – Imunoidentificação da distrofina residual (alguns raros segmentos).
2 - Imunoidentificação da distrofina com fibras positivas (raras fibras com
distrofina positiva).
3 Imunoidentificação da distrofina reduzida na maioria das fibras (difusamente
reduzida).
4 - Imunoidentificação da distrofina com falhas grandes e médias ou padrão
mosaico.
5 - Imunoidentificação da distrofina com falhas focais pequenas e múltiplas
formando rosário.
6 - Imunoidentificação da distrofina com falhas pequenas e raras.
7 - Imunoidentificação da distrofina normal.
Diminuição da Reação Proteína Normal
0 1 2
Distrofina
C) Análise DNA
Deleção Mutação Ponto Normal ( )
Sítio: Sítio:
Obs:
126
ANEXO I. Termo de Consentimento Livre e Esclarecido do Paciente
Projeto: Identificação do Perfil da Distrofia Muscular de Duchenne em
Pacientes e seus Familiares no Rio Grande do Sul
I. A justificativa e objetivos da pesquisa.
A Distrofia Muscular de Duchenne é uma doença muscular que progressiva
que afeta meninos, aparecendo geralmente a partir dos 03-04 anos de idade. É
uma doença que pode ser transmitida pela mãe (que não tem doença) em 6-7
casos de 10 (60-70%).
O menino em questão apresenta fraqueza muscular que vem piorando com o
passar do tempo, necessitando de diagnóstico (saber o que está acontecendo
com ele). Esse diagnóstico servirá para sabermos se poderá haver algum tipo de
tratamento, assim como para podermos orientar a família em relação ao que
poderá ocorrer com ele ou com outras pessoas da família em relação a essa
doença.
Para isso será preciso realizar alguns tipos de exames que serão explicados
abaixo.
II. Os procedimentos a serem utilizados
III. Os desconfortos ou riscos esperados
IV. Os benefícios que se pode obter
Obs: Todos explicados abaixo.
1. Avaliação neurológica que constará de ouvirmos a história da doença, de
exame neurológico.
2.Exames de sangue onde serão coletadas amostras de sangue para verificar se
problemas musculares e exame de DNA para avaliarmos a possibilidade ou
não da existência da Distrofia Muscular de Duchenne.
3.Eletroneuromiografia
, que é um exame para avaliar o funcionamento dos
músculos e dos nervos. É feito através de um aparelho que emite pequenos
127
choques e a introdução de agulhas nos músculos do paciente, proporcionando um
desconforto discreto a moderado, sem maiores complicações, a não ser
sangramento pequeno no momento do exame e possível pequeno hematoma no
local da inserção da agulha.
4. Biópsia de músculo, que é a retirada de um fragmento muscular de um músculo
da coxa ou do braço, feito sob anestesia geral aos cuidados de um anestesista
especializado com os riscos de uma anestesia geral de uma cirurgia de pequeno
porte (pequena). A vantagem deste todo é que após a coleta do pedaço de
músculo será feita análise das estruturas musculares e será realizado um teste
específico que mostrará se o paciente tem ou não Distrofia Muscular de
Duchenne.
V. Os procedimentos alternativos que possam ser vantajosos
É importante ressaltar que riscos existem, como descritos acima, mas que são
raros e pequenos em comparação ao benefícios do diagnóstico para o paciente.
Esses procedimentos são de rotina no nosso serviço, realizados por profissionais
treinados para tal.
VI. Garantia de resposta a qualquer pergunta
VII. Liberdade de abandonar a pesquisa sem prejuízo para o paciente
VIII. Garantia de privacidade
Eu, ........................................, responsável pelo paciente ............................., fui
informado dos objetivos da pesquisa acima de maneira clara e detalhada. Recebi
informação a respeito do tratamento recebido e esclareci minhas dúvidas. Sei que
em qualquer momento poderei solicitar novas informações e modificar minha
decisão se assim eu o desejar. O Dr. .................................(pesquisador
responsável) certificou-me de que todos os dados desta pesquisa referentes ao
meu filho ( ou pessoa a qual sou responsável) serão confidenciais, bem como o
seu tratamento não será modificado em razão desta pesquisa e terei liberdade de
retirar meu consentimento de participação na pesquisa, face a estas informações.
128
IX. Compromisso com informação atualizada do estudo
X. Disponibilidade de tratamento médico e indenização em casos de danos
XI. Garantia de que custos adicionais serão absorvidos pelo orçamento da
pesquisa
Fui informado que, caso existam danos à minha saúde, causados diretamente
pela pesquisa, terei direito a tratamento médico e indenização conforme
estabelece a lei. Também sei que caso existam gastos adicionais, estes serão
absorvidos pelo orçamento da pesquisa.
Caso tiver novas perguntas sobre este estudo, posso chamar o Dr. Carlo
Domênico Marrone pelo telefone celular (51) 99815796 para qualquer pergunta
sobre os meus direitos como participante deste estudo ou se penso que fui
prejudicado pela minha participação, posso chamar o Dr. Gustavo Maia Gabellini,
neurologista especialista em doenças neuromusculares pelo celular 51
99153055.
Declaro que recebi cópia do presente Termo de Consentimento.
______________________
Assinatura do Responsável
Livros Grátis
( http://www.livrosgratis.com.br )
Milhares de Livros para Download:
Baixar livros de Administração
Baixar livros de Agronomia
Baixar livros de Arquitetura
Baixar livros de Artes
Baixar livros de Astronomia
Baixar livros de Biologia Geral
Baixar livros de Ciência da Computação
Baixar livros de Ciência da Informação
Baixar livros de Ciência Política
Baixar livros de Ciências da Saúde
Baixar livros de Comunicação
Baixar livros do Conselho Nacional de Educação - CNE
Baixar livros de Defesa civil
Baixar livros de Direito
Baixar livros de Direitos humanos
Baixar livros de Economia
Baixar livros de Economia Doméstica
Baixar livros de Educação
Baixar livros de Educação - Trânsito
Baixar livros de Educação Física
Baixar livros de Engenharia Aeroespacial
Baixar livros de Farmácia
Baixar livros de Filosofia
Baixar livros de Física
Baixar livros de Geociências
Baixar livros de Geografia
Baixar livros de História
Baixar livros de Línguas
Baixar livros de Literatura
Baixar livros de Literatura de Cordel
Baixar livros de Literatura Infantil
Baixar livros de Matemática
Baixar livros de Medicina
Baixar livros de Medicina Veterinária
Baixar livros de Meio Ambiente
Baixar livros de Meteorologia
Baixar Monografias e TCC
Baixar livros Multidisciplinar
Baixar livros de Música
Baixar livros de Psicologia
Baixar livros de Química
Baixar livros de Saúde Coletiva
Baixar livros de Serviço Social
Baixar livros de Sociologia
Baixar livros de Teologia
Baixar livros de Trabalho
Baixar livros de Turismo