Download PDF
ads:
UNIVERSIDADE FEDERAL DE SANTA MARIA
CENTRO DE CIÊNCIAS RURAIS
PROGRAMA DE PÓS-GRADUAÇÃO EM MEDICINA VETERINÁRIA
PATOGÊNESE DAS LESÕES
ASSOCIADAS À INTOXICAÇÃO POR
Ramaria flavo-brunnescens EM BOVINOS
DISSERTAÇÃO DE MESTRADO
Maria Elisa Trost
Santa Maria, RS, Brasil
2009
ads:
Livros Grátis
http://www.livrosgratis.com.br
Milhares de livros grátis para download.
PATOGÊNESE DAS LESÕES
ASSOCIADAS À INTOXICÃO POR
Ramaria flavo-brunnescens EM BOVINOS
por
Maria Elisa Trost
Dissertação apresentada ao Curso de Mestrado do Programa de
Pós-Graduação em Medicina Veterinária, Área de Concentração em
Patologia Veterinária, Universidade Federal de Santa Maria (UFSM, RS), como
requisito parcial para obtenção do grau de
Mestre em Medicina Veterinária.
Orientadora: Profª. Glaucia Denise Kommers
Santa Maria, RS, Brasil
2009
ads:
Trost, Maria Elisa, 1980-
T857p
Patogênese das lesões associadas à intoxicação por Ramaria
flavo-brunnescens em bovinos / por Maria Elisa Trost ;
orientador Glaucia Denise Kommers. - Santa Maria, 2009.
81 f. ; il.
Dissertação (mestrado) Universidade Federal de Santa
Maria, Centro de Ciências Rurais, Programa de Pós-Graduação
em Medicina Veterinária, RS, 2009.
1. Medicina veterinária 2. Bovinos 3. Doenças de bovinos 4.
Intoxicação por cogumelo 5. Ramaria flavo-brunnescens 6.
Defeito na ceratinização 7. Patologia veterinária I. Kommers,
Gláucia Denise, orient. II. Título
CDU: 619:636.2
Ficha catalográfica elaborada por
Luiz Marchiotti Fernandes – CRB 10/1160
Biblioteca Setorial do Centro de Ciências Rurais/UFSM
_________________________________________________________________________
C 2009
Todos os direitos autorais reservados a Maria Elisa Trost. A reprodução de partes ou do
todo deste trabalho só poderá ser feita com autorização por escrito do autor.
Endereço eletrônico: [email protected]
________________________________________________________________________
3
Universidade Federal de Santa Maria
Centro de Ciências Rurais
Programa de Pós-Graduação em Medicina Veterinária
A Comissão Examinadora, abaixo assinada,
aprova a Dissertação de Mestrado
PATOGÊNESE DAS LESÕES
ASSOCIADAS À INTOXICAÇÃO POR
Ramaria flavo-brunnescens EM BOVINOS
elaborada por
Maria Elisa Trost
como requisito parcial para obtenção do grau de
Mestre em Medicina Veterinária
COMISSÃO EXAMINADORA:
Glaucia Denise Kommers, PhD (UFSM)
(Presidente/Orientadora)
Ana Lucia Pereira Schild, Dra. (UFPEL)
Claudio Severo Lombardo de Barros, PhD (UFSM)
Santa Maria, 6 de fevereiro de 2009.
RESUMO
Dissertação de Mestrado
Programa de Pós-Graduação em Medicina Veterinária
Universidade Federal de Santa Maria
PATOGÊNESE DAS LESÕES ASSOCIADAS À INTOXICAÇÃO POR
Ramaria flavo-brunnescens EM BOVINOS
AUTORA: MARIA ELISA TROST
ORIENTADORA: GLAUCIA DENISE KOMMERS
Data e local da defesa: Santa Maria, 6 de fevereiro de 2009
O estudo da patogênese da intoxicação pelo cogumelo Ramaria flavo-brunnescens em bovinos foi
realizado através da avaliação retrospectiva de tecidos selecionados de nove casos espontâneos e quatro casos
experimentais. Para a investigação da patogênese das lesões observadas na língua, esôfago, casco e cauda, foram
avaliadas as alterações histopatológicas e aspectos histoquímicos e histoquímico-ultra-estruturais das lesões. As
técnicas histoquímicas utilizadas foram o Tricrômico de Masson e a oxidação seletiva da ceratina (OSC). O
estudo histoquímico-ultra-estrutural foi realizado através da técnica de Swift sob microscopia eletrônica de
transmissão. Os pelos da vassoura da cauda foram examinados sob microscopia de luz polarizada. Nos tecidos
examinados foram observados diferentes graus e estágios de lesões. Nos bovinos intoxicados espontaneamente
as lesões foram mais acentuadas que nos casos experimentais. Na língua, a grande maioria das lesões
histopatológicas observadas demonstrou defeitos na ceratinização como desaparecimento das papilas filiformes,
adelgaçamento, estratificação irregular, ceratinização lamelar focal e ceratinização individual de células
(disceratose) no epitélio de revestimento dorsal. No esôfago observaram-se adelgaçamento do epitélio superficial
e úlceras multifocais. Nos cascos havia alterações no estrato laminar, caracterizadas por graus variáveis de fusão,
encurtamento, múltiplas camadas de células não-ceratinizadas no topo, ceratinização irregular e descontínua com
persistência de núcleos, ceratinização individual e vacuolização citoplasmática de ceratinócitos das lâminas
epidérmicas. Na pele da região da vassoura da cauda, as alterações foram divididas em lesões da parede folicular
(nas bainhas radicular externa e interna) e alterações nos pelos propriamente ditos. As principais alterações
observadas no epitélio folicular foram desorganização, desalinhamento e disceratose de ceratinócitos da bainha
radicular externa. Nas seções histológicas, as principais alterações nas hastes pilosas demonstraram contornos
irregulares, tortuosidade e desintegração da haste. Alterações morfológicas semelhantes às descritas nas seções
histológicas e alterações no padrão de birrefringência foram observadas através do exame polaroscópico dos
pelos. Através da técnica do Tricrômico de Masson (com ácido pícrico) observou-se ceratinização dura
defeituosa das papilas filiformes linguais, das lâminas epidérmicas do casco e dos pelos da cauda. A técnica da
OSC revelou redução marcada do conteúdo de cistina, visualizado como fraca coloração sea dessas mesmas
estruturas. No estudo histoquímico-ultra-estrutural da cutícula pilosa, realizado através da técnica de Swift sob
microscopia eletrônica de transmissão, observou-se também um baixo conteúdo de cistina. Todas as alterações
observadas nas estruturas ceratinizadas estudadas, mas especialmente nas que sofrem ceratinização dura,
revelaram defeitos na ceratinização. Aliando ao estudo morfológico os resultados obtidos através da técnica da
OSC e da microscopia eletrônica/técnica de Swift pode-se associar os defeitos na ceratinização a uma redução na
quantidade de aminoácidos sulfurados (cistina), principalmente nas estruturas que sofrem ceratinização dura,
sendo este provavelmente o principal mecanismo patogenético na intoxicação por R. flavo brunnescens em
bovinos.
Palavras-chave: doenças de bovinos; intoxicação por cogumelo; Ramaria flavo-brunnescens; defeitos na
ceratinização; patologia veterinária.
ABSTRACT
MS Dissertation
Programa de Pós-Graduação em Medicina Veterinária
Universidade Federal de Santa Maria
PATOGENESIS OF LESIONS ASSOCIATED WITH POISONING BY
Ramaria flavo-brunnescens IN CATTLE
AUTHOR: MARIA ELISA TROST
ADVISER: GLAUCIA DENISE KOMMERS
Santa Maria, February 6, 2009
The pathogenesis of the lesions of the Ramaria flavo-brunnescens poisoning in cattle was studied
throughout a retrospective evaluation of selected tissues from nine spontaneous and four experimental cases of
the disease. The pathogenesis of lesions observed in the tongue, esophagus, hoof, and tail was investigated
analyzing microscopic lesions, histochemical and histochemical-ultrastuctural changes. Histochemical
techniques utilized were Masson’s Trichrome and Selective Oxidation of Keratin (SOK). The histochemical-
ultrastuctural study was acomplished throughout the Swift method under transmission electron microscopy. Hair
shafts of the tip of the tail were analyzed under polarized light. Lesions of varying degrees of severity were
observed. They were more severe in spontaneous than in experimental cases. In the tongue, most microscopic
lesions showed keratinization defects, such as loss of the filiform papillae, thinning, irregular stratification, focal
lamelar keratinization, and individual cell keratinization (dyskeratosis) in the dorsal epithelium. In the
esophagus, there were thinness of superficial epithelium and multifocal ulcers. In the hoof, lesions were in the
laminar stratum and characterized by different grades of fusion, shortness, multiple layers of non-keratinized
cells in the laminar tip, irregular and discontinuous keratinization with nuclear persistency, individual cell
keratinization with citoplasmic vacuolization of keratinocytes of the epidermal laminae. In the skin of the tip of
the tail, changes could by separated in follicular wall lesions (affecting the outer [ORS] and the inner root sheets
[IRS]) and changes of the hair shaft itself. The main changes observed in the follicular epithelium were
disorganization, misalignment, and disceratosis of keratinocytes of the ORS. On tissue sections, main changes in
the hair shafts showed irregular contour, tortuousness, and disintegration of shaft. Morphological changes similar
to the ones observed on tissue sections and changes in polarizing patterns were seen on polarized light
microscopy of hair shafts. Tissue sections stained by Masson’s Trichrome technique (with picric acid) revealed
defective hard keratinization of filliform papillae, of epidermal lamina of hoof, and of tail tip hair shafts.
Sections stained by the SOK technique revealed strong loss of cistine contents, visualized as light staining of
these same structures. On the histochemical-ultrastructural study of the hair cuticle, performed throughout the
Swift technique under transmission electron microscopy, a low content of cistine was also observed. All changes
observed in the keratinized structures studied, mostly in the hard keratin, showed defective keratinization. The
morphologic study and the results obtained with SOK and Swift techniques showed that the defective
keratinization results of low amounts of sulphur containing amino acids (cystine) in hard keratin structures. This
is probably the main pathogenetic mechanism of the lesions observed in R. flavo brunnescens poisoning in cattle.
Key words: cattle diseases; mushroom poisoning; Ramaria flavo-brunnescens; defective keratinization;
veterinary pathology.
LISTA DE FIGURAS
FIGURA 1 - Fórmula estrutural do aminoácido cisteína. Fonte: LENINGHER, 1978. ..........20!
FIGURA 2 - Representação esquemática de uma ponte dissulfeto (S—S) entre duas cisteínas.
Fonte: adaptado de LENINGHER, 1978..................................................................................20!
FIGURA 3 – Rompimento oxidativo das ligações cruzadas dissulfeto por oxidação com ácido
perfórmico. Fonte: adaptado de LEHNINGER, 1978. .............................................................23!
FIGURA 4 A) Corte sagital de digito bovino mostrando a parede do casco (1), a sola (2), o
períoplo (3), as falanges média (4) e distal (5), o sesamóide distal (6) e os ligamentos flexor
digital profundo (7) e extensor digital comum (8). B) Casco bovino; estrato médio. Observa-
se que a ceratina tubular é formada por ceratinócitos arranjados ao redor de uma medula
central clara (seta). Hematoxilina-eosina (HE), obj. 40x. C) Casco bovino; estrato laminar.
Observam-se lâminas epidérmicas (1), com ceratina laminar central (*), paralelas às lâminas
dérmicas (2). HE, obj. 20x........................................................................................................35!
FIGURA 5 A) Corte longitudinal da pele da cauda de um bovino mostrando pelo e folículo
piloso em fase anágena. Observam-se as estruturas principais do pelo e do folículo piloso:
papila dérmica (1); matriz pilosa (2); pelo (3); bainha radicular interna (BRI; 4); bainha
radicular externa (BRE; 5). Hematoxilina-eosina (HE), obj. 20x. B) Corte transversal da pele
da cauda de um bovino. Observa-se um pelo (1), a BRI (2) e a BRE (3). HE, obj. 20x. C)
Corte longitudinal de cauda bovina. Observam-se as células da camada cuticular do pelo
orientadas em direção à ponta do pelo (1) e as células da camada cuticular do folículo piloso
(2) orientadas em direção ao bulbo piloso. As células cuticulares pilosas e foliculares estão
separadas por um espaço (*) que é um artefato do processamento histológico. Tricrômico de
Masson (com ácido pícrico), obj. 40x. D) Cutícula da haste pilosa bovina. três células
cuticulares, nas quais se observa a exocutícula (1) e a endocutícula (2). Na exocutícula
observa-se a camada A (*). Microscopia eletrônica de transmissão, método de Swift, aumento
de 30.000 x. ..............................................................................................................................36!
7
FIGURA 6 - Método de encaminhamento do casco bovino para obtenção de seções do estrato
laminar. A) Corte transversal da ponta do dígito. A peça é fixada em um torno e o corte é
efetuado com uso de serrote. B) Fatia de casco obtida através de corte transversal da ponta do
casco. C) Identificação e separação do estrato laminar. D) Amostra da região laminar pronta
para processamento...................................................................................................................42!
FIGURA 7 - Representação esquemática do crescimento dos pelos durante o experimento
com demonstração da área de colheita de material para microscopia eletrônica (técnica de
Swift). .......................................................................................................................................43!
FIGURA 8 A) Espécimes de Ramaria flavo-brunnescens encontradas no solo de bosque de
eucalipto (propriedade onde ocorreu o surto B). B) Superfície dorsal, língua; Bovino 8.
Observa-se que há uma área ulcerada e deprimida e que não há papilas filiformes. C) Esôfago;
Bovino 5. A mucosa esofágica apresenta úlceras lineares multifocais. D) Cauda; Bovino 2. Há
ausência de pelos da vassoura da cauda. ..................................................................................50!
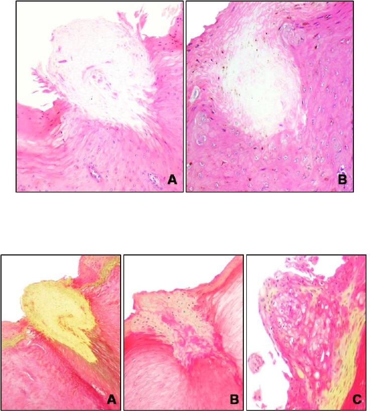
FIGURA 9 Papila filiforme lingual. A) Papila normal, Bovino 10 (controle). Hematoxilina-
eosina (HE), obj. 20x. B) Papila atenuada, Bovino 6, HE, obj. 20x. .......................................51!
FIGURA 10 Papila filiforme lingual. A) Papila normal, Bovino 10 (controle). Observa-se
que a porção central da papila é corada de amarelo-brilhante, Tricrômico de Masson, obj. 20x.
B) Papila atenuada, Bovino 6. A papila é menor, corada de amarelo menos intenso e áreas
centrais coradas em vermelho. Tricrômico de Masson (com ácido pícrico), obj. 20x. C) Papila
degenerada, Bovino 13. Observa-se alteração na morfologia (vacuolização citoplasmática) e
organização dos ceratinócitos da papila. Na área central, restam apenas pequenas áreas
amarelo-claras, Tricrômico de Masson, obj. 20x. ....................................................................51!
FIGURA 11 Papila filiforme lingual. A) Papila normal, Bovino 10 (controle). Observa-se
que a papila é corada de rosa-forte, Oxidação seletiva da ceratina (OSC), obj. 20x. B)
Resquício de papila, Bovino 8. Observa-se que permanece apenas o resquício da estrutura que
é corada de rosa-claro, OSC, obj. 20x. .....................................................................................52!
FIGURA 12– Superfície dorsal da língua. A) Observa-se área difusa de ulceração, Bovino 2,
Hematoxilina-eosina (HE), obj. 20x. B) Tecido fibrovascular subjacente à região parcialmente
ulcerada da superfície dorsal da língua, Bovino 9. Observa-se grande quantidade de tecido
conjuntivo rico em fibras de colágeno (coradas em azul) e numeroso vasos neoformados (em
vermelho), Tricrômico de Masson, obj. 40x. C) Epitélio dorsal, língua, Bovino 6. Observa-se
área de re-epitelização caracterizada por um fino epitélio que recobre área de tecido
fibrovascular, HE, obj. 4x.........................................................................................................53!
8
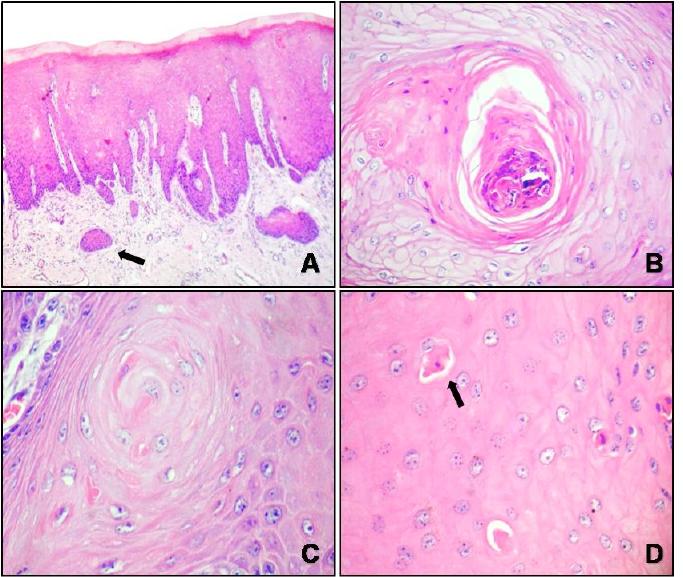
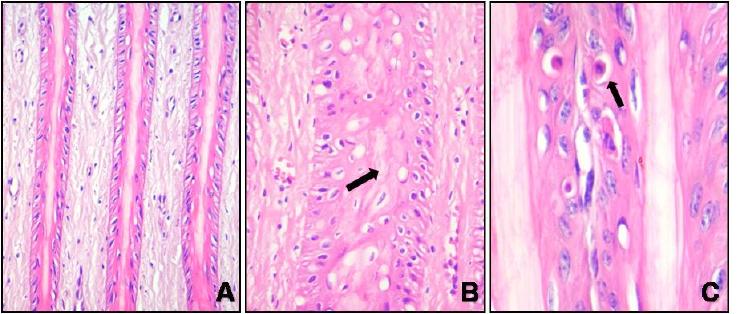
FIGURA 13– Epitélio dorsal lingual, Bovino 6, Hematoxilina-eosina. A) projeções
irregulares do epitélio para a lâmina própria com ninhos desconectados do epitélio (seta). Obj.
10x. B) Observa-se perda da orientação normal dos ceratinócitos e formações concêntricas.
Obj. 40x. C) Formação de ceratina lamelar concêntrica. Obj. 20x. D) Observa-se ceratinócitos
circundados por halo claro, com citoplasma fortemente eosinofílico e núcleo pequeno e
hipercromático (seta). Obj. 40x. ...............................................................................................54!
FIGURA 14 Epitélio esofágico. Hematoxilina-eosina (HE). A) Epitélio normal, Bovino 10
(controle). Obj. 20x. B) Redução expressiva da espessura epitelial, Bovino 6. Obj. 20x. C)
Ulceração acentuada, Bovino 4. Obj. 40x. D) Epitélio (re-epitelização) recobrindo área de
tecido fibrovascular, Bovino 5. Obj.40x. E) Projeções irregulares do epitélio para a lâmina
própria, Bovino 3. Obj. 20x. F) Epitélio com ceratinócitos com morfologia alterada e
vacuolização subcorneal, Bovino 6. Obj. 40x. .........................................................................55!
FIGURA 15 – Região laminar do casco. Hematoxilina-eosina (HE). A) Casco normal, Bovino
11 (controle). Obj. 20 x. B) Fusão do topo das lâminas epidérmicas, Bovino 6. Obj. 10x. C)
Encurtamento (*) e maior número de camadas de células não-ceratinizadas no topo das
lâminas (seta), Bovino 4. Obj. 20x. D) Vacuolização de ceratinócitos e acúmulos
intracitoplasmáticos eosinofílicos (seta), Bovino 6. Obj. 40x..................................................56!
FIGURA 16 Região laminar do casco. Hematoxilina-eosina (HE). A) Casco normal com
ceratinização laminar central homogênea, Bovino 11 (controle). Obj. 10x. B) Desorganização
na disposição dos ceratinócitos no epitélio laminar. Há várias camadas de ceratinócitos,
muitos deles vacuolizados, ausência da ceratinização ab-rupta do centro da lâmina e
persistência de núcleos na ceratina laminar (seta), Bovino 1. Obj. 20x. C) Ceratinização
individual de células (seta), Bovino 5. Obj. 40x. .....................................................................57!
FIGURA 17– Região laminar do casco. Tricrômico de Masson. A) Epitélio laminar normal,
Bovino 11 (controle). Observa-se a ceratina laminar contínua corada em amarelo. Obj. 20x.
B) Fragmentos de ceratina laminar são observados em amarelo, Bovino, 1. Obj. 20x............58!
FIGURA 18 Região laminar do casco. Técnica da oxidação seletiva da ceratina (OSC). A)
Ceratina laminar normal, Bovino 11 (controle). A ceratina é corada homogeneamente de rosa-
forte. Obj. 20x. B) Ceratina laminar defeituosa, Bovino 5. A ceratina é corada de rosa-claro.
Obj. 20x. ...................................................................................................................................59!
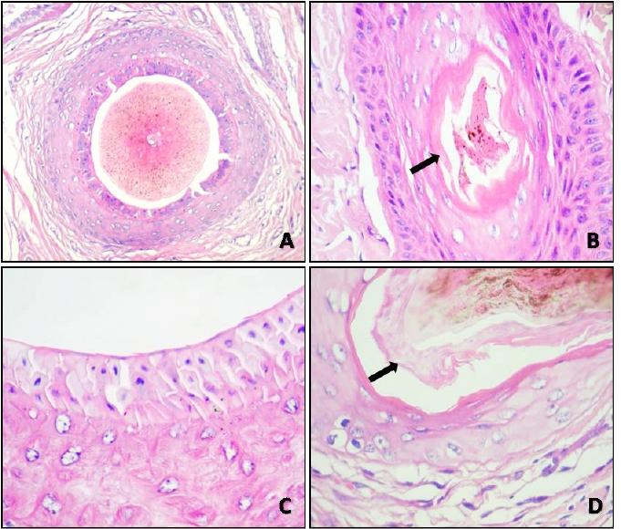
FIGURA 19 Folículos pilosos da pele da região da vassoura da cauda. A) Folículo piloso e
pelo normais, Bovino 12 (controle). Hematoxilina-eosina (HE), obj 20x. B) Folículo piloso
com contornos internos e externos irregulares, Bovino 9. HE Obj. 20x. C) desorganização
das células da bainha radicular externa e espessamento da bainha radicular fibrosa (seta),
9
Bovino 9. Tricrômico de Masson, obj. 20x. D) Espessamento da bainha radicular externa.
numerosos ceratinócitos disceratóticos (seta) na bainha radicular externa e haste pilosa
desintegrada na área central, Bovino 9. HE, Obj 20x...............................................................60!
FIGURA 20 Folículos pilosos da pele da região da vassoura da cauda. Hematoxilina-eosina
(HE). A) Folículo piloso e pelo normais, Bovino 12 (controle). Obj. 10x. B) Folículo com
bainha radicular interna (BRI) desintegrada. um pelo degenerado no centro do folículo
(seta), Bovino 1. Obj. 20x. C) BRI de folículo piloso normal em maior detalhe, Bovino 12
(controle). Obj. 40x. D) BRI degenerada (seta) e desprendimento da bainha radicular externa,
Bovino 1. Obj. 40x. ..................................................................................................................61!
FIGURA 21 – Pelos da pele da região da vassoura da cauda. A) Folículo piloso e pelo
normais, Bovino 12 (controle). Hematoxilina-eosina (HE), obj. 20x. B) Pelo com contorno
irregular, Bovino 13. HE, obj. 20x. C, D e E) Pelos com contornos irregulares, extremamente
tortuosos e desintegrados, Bovino 8, HE, obj. 40x, 20x e 20x respectivamente. F) Alteração
pilosa acentuada. Apenas um pequeno fragmento de pelo degenerado está corado em amarelo.
Tricrômico de Masson, obj. 40x...............................................................................................62!
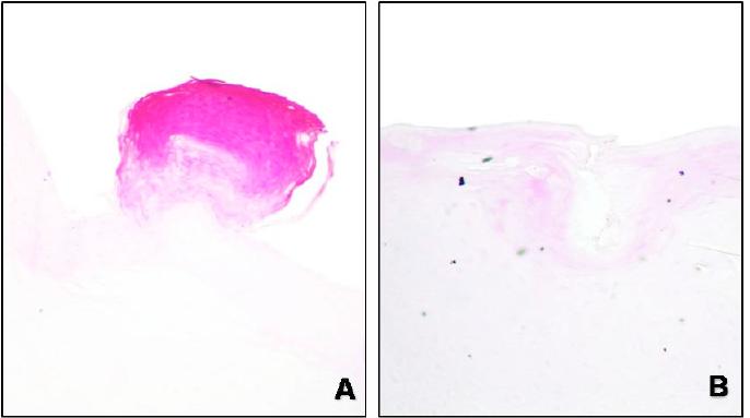
FIGURA 22 Folículos pilosos e pelos da pele da região da vassoura da cauda. Técnica da
oxidação seletiva da ceratina (OSC). A) Corte longitudinal de pelo normal, Bovino 12
(controle). O pelo é homogeneamente corado de rosa-forte. Obj. 20x. B) Corte longitudinal de
pelo, Bovino 8. O pelo é degenerado e apenas algumas porções são coradas de rosa-claro.
Obj, 20x. C) Corte transversal de pelo normal, Bovino 12 (controle). O pelo é
homogeneamente corado de rosa-forte. Obj, 40x. Corte transversal de pelo, Bovino 8.
restos de pelo corados de rosa claro. Obj. 20x. ........................................................................63!
FIGURA 23 – Alterações nas hastes pilosas de bovinos intoxicados por R. flavo-brunnescens.
Exame polaroscópico. Obj. 20x. A) Haste pilosa normal do Bovino 16 no dia 0. Observa-se
que a haste tem contornos e diâmetro regulares; além disso, uma variação gradual nas
cores. B) Haste pilosa com área achatada sem polarização. Bovino 7. C) Haste pilosa tortuosa
e ondulada. Bovino 16, dia 5. D) Haste pilosa com torção longitudinal do eixo. Bovino 16, dia
5. E) Haste pilosa com polarização irregular; nota-se um segmento escuro e opaco. Bovino 16,
dia 10. F) Haste pilosa com polarização ausente em segmento extenso. Bovino 16, dia 10....64!
FIGURA 24 - Fotomicrografia eletrônica das células cuticulares pilosas dos pelos da vassoura
da cauda do Bovino 16 intoxicado experimentalmente por Ramaria flavo-brunnescens. A) Dia
0. As células cuticulares não apresentam alterações. Aumento de 30.000 x. B) Dia 15.
Observa-se acentuada irregularidade da exocutícula (cabeça de seta), com inclusões cistina-
positivas, arredondadas ou irregulares (seta) na endocutícula. Aumento de 37.500 x............65!
10
LISTA DE TABELAS
TABELA 1 Dados de resenha dos bovinos e parâmetros avaliados em tecidos selecionados
dos casos de intoxicação espontânea por Ramaria flavo-brunnescens. ...................................38!
TABELA 2 Dados de resenha dos bovinos e parâmetros avaliados em tecidos selecionados
dos casos de intoxicação experimental por Ramaria flavo-brunnescens. ................................38!
TABELA 3 Principais alterações histopatológicas observadas na língua dos bovinos
intoxicados espontaneamente ou experimentalmente por Ramaria flavo-brunnescens...........44!
TABELA 4 Principais alterações histopatológicas observadas no esôfago dos bovinos
intoxicados espontaneamente ou experimentalmente por Ramaria flavo-brunnescens...........46!
TABELA 5 Principais alterações histopatológicas observadas no casco dos bovinos
intoxicados espontaneamente ou experimentalmente por Ramaria flavo-brunnescens...........47!
TABELA 6 Principais alterações histopatológicas observadas nos pelos e folículos pilosos
dos bovinos intoxicados espontaneamente ou experimentalmente por Ramaria flavo-
brunnescens. .............................................................................................................................48!
LISTA DE APÊNDICES
APÊNDICE A – Oxidação seletiva da ceratina (OSC) solução oxidante de ácido peracético 80!
APÊNDICE B Técnica de Swift (1967) para demonstração de cisteína em seções
transversais de pelo...................................................................................................................81!
APÊNDICE C - Reagente metenamina-nitrato de prata ..........................................................82!
SUMÁRIO
!
1 INTRODUÇÃO ...................................................................................................................14!
2 REVISÃO DE LITERATURA...........................................................................................15!
2.1 Intoxicação por Ramaria flavo-brunnescens em bovinos ..............................................15!
2.2 Processo de ceratinização.................................................................................................18!
2.2.1 Ceratinização normal.......................................................................................................18!
2.2.2 Ceratinização defeituosa..................................................................................................23!
2.2.2.1 Intoxicação crônica por selênio em bovinos.................................................................24!
2.2.2.2 Tricotiodistrofia (TTD).................................................................................................25!
2.2.2.3 Pili torti.........................................................................................................................26!
2.2.2.4 Outras alterações pilosas associadas a defeitos na ceratinização em humanos............27!
2.3 Aspectos histológicos dos tecidos estudados...................................................................28!
2.3.1 Língua..............................................................................................................................28!
2.3.2 Esôfago ............................................................................................................................29!
2.3.3. Casco ..............................................................................................................................29!
2.3.4 Folículos pilosos e pelos..................................................................................................32!
3 MATERIAIS E MÉTODOS...............................................................................................37!
3.1 Amostras............................................................................................................................37!
3.2 Estudo morfológico...........................................................................................................37!
3.3 Estudo histoquímico .........................................................................................................39!
3.3.1 Método de oxidação seletiva para a demonstração de ceratina (OSC): .........................39!
3.3.2 Tricrômico de Masson.....................................................................................................40!
3.3.3 Estudo histoquímico-ultra-estrutural ...............................................................................40
!
4 RESULTADOS E DISCUSSÃO ........................................................................................44!
4.1 Resultados..........................................................................................................................44!
4.2 Discussão............................................................................................................................66!
5 CONCLUSÕES....................................................................................................................72!
REFERÊNCIAS......................................................................................................................73!
1 INTRODUÇÃO
A intoxicação por Ramaria flavo-brunnescens em bovinos é atribuída ao consumo do
cogumelo fresco e altamente palatável encontrado no solo de bosques de eucalipto (SANTOS
et al., 1975). Na forma espontânea da intoxicação, os bovinos apresentam emagrecimento,
sialorréia, e alisamento e ulceração da superfície dorsal da língua. Os pelos longos da
vassoura da cauda se soltam facilmente quando tracionados (BARROS et al., 2006). Pode
haver hiperemia do rodete coronário e os animais relutam em se mover, ficando em decúbito.
hiperemia da conjuntiva ocular, hifema e opacidade da córnea. Alguns animais perdem o
revestimento córneo dos cascos, dedos acessórios e chifres (SANTOS, 1993). Lesões
semelhantes têm sido descritas nos casos experimentais (SANTOS et al., 1975; KOMMERS;
SANTOS, 1995; SCHONS et al., 2007)
As principais lesões envolvem epitélios e especialmente estruturas que sofrem algum
grau de ceratinização dura como papilas filiformes da língua, pelos (principalmente da
vassoura da cauda) e o estrato laminar do casco (KOMMERS; SANTOS, 1995; SCHONS et
al., 2007).
O princípio tóxico de R. flavo-brunnescens, não é totalmente conhecido até o presente
momento (TOKARNIA et al., 2000). duas hipóteses para a patogênese das lesões
observadas em bovinos (KOMMERS; SANTOS, 1995) e em ovinos (SALLIS et al., 2000). A
hipótese proposta para bovinos é de que o princípio tóxico interfira no metabolismo dos
aminoácidos sulfurados nos ceratinócitos, principalmente da cistina, resultando no
enfraquecimento da estrutura molecular da ceratina dura por deficiência de enxofre
(KOMMERS; SANTOS, 1995). O mecanismo proposto para os ovinos é de que ocorram
lesões vasculares e isquêmicas, semelhantes às do ergotismo (SALLIS et al., 2000).
Neste estudo de patogênese, que avalia simultaneamente casos espontâneos e
experimentais da intoxicação pelo cogumelo em bovinos, teve-se o objetivo de analisar
detalhadamente as alterações morfológicas observadas na língua, esôfago, casco e cauda e
avaliar através de técnicas histoquímicas e histoquímico-ultra-estruturais as alterações nas
propriedades estruturais e químicas da ceratina dura nos tecido lesados, a fim confirmar ou
não o mecanismo patogenético proposto para a intoxicação de bovinos por R. flavo-
brunnescens.
2 REVISÃO DE LITERATURA
2.1 Intoxicação por Ramaria flavo-brunnescens em bovinos
Ramaria flavo-brunnescens é um cogumelo pertencente à família Clavariaceae que
cresce em solos de bosques de eucalipto (TOKARNIA, 2000; RIET-CORREA ; MÉNDEZ,
2007). No Brasil é encontrado nos estados do Rio Grande do Sul, Santa Catarina, Paraná, São
Paulo e Minas Gerais. Também foi identificado em países como Uruguai, Argentina,
Paraguai, Estados Unidos, China, Índia e Austrália (FIDALGO; FIDALGO, 1970; NAUDÉ;
BERRY, 1997).
O cogumelo cresce em colônias numerosas e pode alcançar 11 cm de altura, é
amarelo-claro ou alaranjado, semelhante à couve-flor. É extremamente palatável, sendo,
inclusive, consumido por humanos após cocção (FIDALGO; FIDALGO, 1970). A ingestão
espontânea do cogumelo causa intoxicação em bovinos e ovinos e menos frequentemente em
equinos e suínos (BARROS, 2005). A intoxicação por Ramaria flavo-brunnescens foi
suspeitada em bubalinos (ROZZA et al., 2004). Embora talvez seja mesmo possível os
bubalinos se intoxicarem, a ocorrência de casos subsequentes aos descritos por Rozza et al.
(2004) porém na ausência do cogumelo, levam a crer que as lesões descritas na época teriam
outra causa (DRIEMEIER, 2008
!
).
Fatores como a alta palatabilidade do cogumelo, o acesso dos animais a bosques de
eucalipto, bem como o uso desses bosques como abrigo predispõe à intoxicação (SANTOS,
1993). No Sul do Brasil, os surtos ocorrem nos meses de outono, época que coincide com o
ciclo natural do cogumelo (KOMMERS, 1993; SANTOS, 1993; BARROS et al., 2006).
O princípio tóxico de R. flavo-brunnescens é desconhecido (TOKARNIA et al., 2000).
Na década de 60, pesquisadores isolaram um alcaloide volátil e termolábil de amostras frescas
do cogumelo e do fígado de um bovino intoxicado (BAUER et al., 1966). O princípio tóxico
também foi atribuído a um glicosídeo (FREITAS et al., 1966), no entanto pesquisas adicionais
não foram realizadas. Fidalgo & Fidalgo (1970) afirmam que in natura o princípio tóxico é
muito perigoso e tem efeito acumulativo. Resultados de estudos experimentais indicam
!
David Driemeier. Departamento de Patologia e Clínica Veterinária da Faculdade de Veterinária da
Universidade Federal do Rio Grande do Sul (UFRGS) (comunicação pessoal).
16
claramente que a toxicidade é perdida quando o cogumelo é dessecado (SALLIS et al., 2004)
ou cozido (FIDALGO; FIDALGO, 1970) e diminui bastante quando este é congelado
(KOMMERS, 1993; SALLIS et al., 2004).
Em bovinos intoxicados por R. flavo-brunnescens a taxa de morbidade pode chegar a
80% e a mortalidade a 50% (RIET-CORREA; MÉNDEZ, 2007). O consumo de 5 g/kg/dia do
cogumelo fresco durante cinco dias é suficiente para que os bovinos demonstrem sinais
clínicos (SANTOS et al., 1975).
Na forma espontânea da intoxicação, os bovinos apresentam emagrecimento,
sialorréia, e alisamento da superfície dorsal da língua, que em muitos casos tem úlceras
(BARROS et al., 2006). Os pelos longos da cauda e do dorso e lombo se soltam facilmente
quando tracionados. Muitas vezes hiperemia do rodete coronário e os animais relutam em
se mover, ficando deitados. Em alguns casos dermatite, principalmente nas áreas brancas
da pele, edemas subcutâneos do peito e dos membros, hiperemia da conjuntiva ocular, hifema
e opacidade da córnea. Alguns animais perdem o revestimento córneo dos cascos, dedos
acessórios e chifres (SANTOS, 1993).
Na intoxicação experimental, os sinais clínicos são menos intensos (KOMMERS;
SANTOS, 1995; SCHONS et al., 2007) que na espontânea (BARROS et al., 2006). Ocorre
apatia, anorexia, emagrecimento, salivação, hiperemia da mucosa oral, alisamento da
superfície dorsal da língua e queda dos pelos longos da vassoura da cauda quando levemente
tracionados (KOMMERS; SANTOS, 1995; SCHONS et al., 2007). Em alguns bovinos
hiperemia e aumento da sensibilidade da região coronária dos cascos, perda do revestimento
córneo dos chifres, perda de pelos do dorso, descarga nasal serosa, diminuição dos
movimentos ruminais e diarréia (KOMMERS; SANTOS 1995). Corrimento seroso ocular e
desidratação também foram descritos (SANTOS et al., 1975).
Os achados macroscópicos nos bovinos intoxicados por R. flavo-brunnescens são
característicos e correspondem aos sinais clínicos apresentados. A língua apresenta a
superfície dorsal lisa, com atrofia das papilas filiformes e em alguns casos com
desprendimento do epitélio lingual, que é recoberto por fibrina (BARROS et al., 2006).
Ocorre afrouxamento e perda dos pelos principalmente da extremidade da cauda, e nos casos
graves, afrouxamento e desprendimento dos cascos e chifres (SANTOS, 1993).
Alterações menos freqüentes incluem erosões e ulcerações lineares na mucosa
esofágica, muitas vezes recobertas por exsudato fibrinonecrótico e avermelhamento e
ulcerações na mucosa do abomaso (SANTOS, 1993). Alguns bovinos podem apresentar
abundante quantidade de líquido cefalorraquidiano à abertura do crânio e as leptomeninges do
17
encéfalo hiperêmicas. Os olhos dos bovinos intoxicados podem apresentar hifema, hipópion e
opacidade da córnea (BARROS et al., 2006).
Quanto às alterações microscópicas, na cauda as lesões se caracterizam por
hiperceratose ortoceratótica da epiderme. Nos folículos pilosos da derme superficial
formação de uma espessa camada de ceratina triquilêmica (tricolemal) e são vistas poucas
hastes de pelos nos folículos, que apresentam contorno irregular. Os folículos pilosos da
derme profunda apresentam intensa vacuolização dos ceratinócitos da parede, degeneração e
necrose da bainha radicular externa e entre os folículos pilosos mais afetados infiltrado
inflamatório de linfócitos e macrófagos (BARROS et al., 2006).
As lesões observadas na língua se caracterizam por atrofia ou ausência das papilas
filiformes, áreas focais de disceratose e áreas de espongiose da camada de células basais. No
casco observam-se fusão e encurtamento de lâminas epidérmicas, hiperplasia leve no topo das
lâminas epidérmicas com queratinização irregular e permanência dos núcleos. O esôfago pode
apresentar graus variados de necrose epitelial e inflamação, que também podem ser
observadas no abomaso. É descrita malacia focal simétrica no bulbo (BARROS et al., 2006).
Nos olhos hemorragia nas câmaras anterior e posterior, reação inflamatória linfocítica e
hemorragia da íris (SANTOS, 1993).
A patogênese da intoxicação por R. flavo-brunnescens tem sido investigada
principalmente através de estudos experimentais em bovinos (KOMMERS; SANTOS, 1995;
SCHONS et al., 2007) e ovinos (SALLIS et al., 2000, 2004).
Nos estudos experimentais realizados em bovinos foi proposto que a as lesões
observadas envolvem especialmente epitélios que sofrem algum grau de ceratinização dura,
onde alta concentração de aminoácidos sulfurados. Acredita-se que ocorra algum tipo de
interferência no metabolismo dos aminoácidos sulfurados nos ceratinócitos, principalmente da
cistina, levando ao enfraquecimento da estrutura molecular da ceratina dura (KOMMERS,
1993).
Essa hipótese parece bastante razoável quando se compara as lesões tegumentares
encontradas em bovinos intoxicados por R. flavo-brunnescens com as lesões da intoxicação
crônica por selênio em bovinos (O’TOOLE; RAISBECK, 1995). Nessa doença, também
conhecida como alkali disease, é proposto que, devido à semelhança entre os elementos
selênio e enxofre, ocorra a substituição do enxofre pelo selênio nos resíduos de cisteína (que
formariam uma molécula de cistina) das proteínas com alto teor de enxofre, levando a um
afrouxamento das ligações cruzadas das pontes dissulfeto nos ceratinócitos (O’TOOLE;
RAISBECK, 1995).
18
Vale salientar que as semelhanças entre a intoxicação por R. flavo-brunnescens e a
selenose crônica em animais domésticos não estão restritas às alterações epiteliais, visto que
as alterações descritas no bulbo (malacia focal simétrica) de bovinos intoxicados
espontaneamente pelo cogumelo (BARROS et al. 2006) assemelham-se às descritas na
medula espinhal na selenose em suínos (CASTEEL et al., 1985).
Em um estudo experimental de intoxicação em ovinos, sugeriu-se que as lesões
causadas por R. flavo-brunnescens decorriam da ação de uma substância vasoconstritora,
semelhante aos ergoalcaloides causadores do ergotismo (SALLIS et al., 2000). Essa
substância presente no cogumelo estimularia persistentemente a musculatura lisa de arteríolas,
provocando assim um espessamento da camada média (denominado miopaquinse). Como
conseqüência ocorreria vasoconstrição, necrose coagulativa e ulceração do epitélio irrigado
por esses vasos (SALLIS et al., 1993). No entanto, a ausência de miopaquinse nos vasos dos
bovinos intoxicados pelo cogumelo (KOMMERS; SANTOS, 1995; BARROS et al., 2006;
SCHONS et al. 2007), sugere que esse não seja o mecanismo patogenético da intoxicação por
R. flavo-brunnescens nessa espécie animal. Em estudos experimentais foi constatado que o
cogumelo dessecado perde a toxicidade e ocorre uma diminuição da toxicidade quando
congelado. Essa labilidade do princípio ativo de R. flavo-brunnescens não se observa nos
ergoalcaloides (SALLIS et al., 2004).
Com exceção de um estudo em que foram utilizadas as técnica de imuno-histoquímica
e de microscopia eletrônica de transmissão (SCHONS et al., 2007), os demais estudos
experimentais da intoxicação de bovinos por R. flavo-brunnescens avaliaram as alterações
morfológicas somente através da coloração de rotina (SANTOS et al., 1975; KOMMERS;
SANTOS, 1995). A técnica de microscopia eletrônica de transmissão foi utilizada em um
estudo de casos espontâneos (BARROS, 2005).
2.2 Processo de ceratinização
2.2.1 Ceratinização normal
Considerando que as alterações observadas nos casos de intoxicação de bovinos por
Ramaria flavo-brunnescens envolvem principalmente epitélios que sofrem algum grau de
19
ceratinização dura, torna-se importante revisar alguns aspectos da ceratinização fisiológica e
assim identificar e compreender as alterações neste processo.
A ceratinização é uma das funções metabólicas mais importantes da epiderme (VAN
SCOTT; FLESCH, 1954). Para o observador casual, a ceratinização é considerada um
processo puramente degenerativo e a ceratina simplesmente se origina de células epiteliais
degeneradas, desidratadas e mortas. Da mesma forma, a ceratina ao longo do tempo, foi mal
interpretada por muitos como uma substância simples e única, quando na verdade deveria ser
vista como uma mistura complexa de proteínas filamentosas e amorfas (MATOLTSY, 1976;
TOMLINSON et al., 2004).
As !-ceratinas são proteínas ricas em resíduos de cistina e pontes dissulfeto
encontradas em diversos tecidos de mamíferos e classificadas em ceratina mole e dura
(LEHNINGER, 1978; MARSHALL et al., 1991). Os termos dura e mole não designam
apenas sensações táteis, mas abrangem também marcadas diferenças relacionadas às
propriedades físicas e ao metabolismo de enxofre nesses dois tipos de ceratinas (EKFALCK
et al., 1990; TOMLINSON et al., 2004).
Ceratina mole é encontrada na epiderme e em membranas mucosas ceratinizadas,
enquanto a ceratina dura é encontrada em anexos (lã e pelos) e apêndices cutâneos como
unhas, garras, cascos e chifres (VAN SCOTT; FLESCH, 1954; BANKS, 1991; MARSHALL
et al., 1991), bem como nas papilas filiformes da língua de algumas espécies animais,
incluindo bovinos (BANKS, 1991). Com relação às propriedades físicas, a ceratina mole
descama continuamente e fragmenta-se facilmente. A ceratina dura forma estruturas rígidas
que não descamam (VAN SCOTT; FLESCH, 1954). A ceratina formada no processo de
ceratinização dura tem grande resistência e contém mais enxofre, principalmente na forma de
cistina que a ceratina mole (EKFALCK, 1990; TOMLINSON et al., 2004).
A porção filamentosa da !-ceratina é formada por cadeias polipeptídicas helicoidais e
paralelas, ordenadas em feixes denominados filamentos intermediários (FI), embebidos em
uma matriz protéica não-filamentosa rica em enxofre (LENINGHER, 1978; MARSHALL et
al., 1991).
As cadeias polipeptídicas de ceratina têm resíduos do aminoácido cisteína com
grupamentos sulfidril (–SH) livres (Figura 1) (MATOLTSY, 1976; ELLIOTT; ELLIOTT,
1997). Durante a ceratinização ocorre a oxidação desses grupamentos –SH e a formação de
ligações covalentes fortes entre dois grupamentos –SH, conhecidas como pontes dissulfeto ou
S—S (Figura 2) (VAN SCOTT; FLESCH, 1954; MATOLTSY, 1976). A formação das
pontes S—S é considerada o evento mais importante da ceratinização e a estrutura
20
tridimensional estabilizada por elas é responsável diretamente pela força mecânica,
propriedades elásticas e resistência química e biológica da ceratina (VAN SCOTT; FLESCH,
1954; MATOLTSY, 1976; MARSHALL et al., 1991)
Figura 1 - Fórmula estrutural do aminoácido cisteína. Fonte: LENINGHER, 1978.
Figura 2 - Representação esquemática de uma ponte dissulfeto (S—S) entre duas cisteínas. Fonte: adaptado de
LENINGHER, 1978.
A matriz protéica interfibrilar (uma substância densa e amorfa) na qual os filamentos
de ceratina estão embebidos, contém cerca de 10 vezes mais enxofre que o componente
filamentoso da célula e é responsável pela formação da maioria das pontes dissulfeto entre as
cadeias polipeptídicas da ceratina (MATOLTSY, 1976). A proteína homogênea rica em
cistina é encontrada em todas as ceratinas duras (MARSHALL et al., 1991).
Os filamentos de ceratina são responsáveis pela flexibilidade e elasticidade da camada
córnea (MATOLSTY, 1976) e tem função estrutural (TOMLINSON et al., 2004), enquanto a
matriz protéica associada aos filamentos é responsável pelo alinhamento, estabilização
adequada desses filamentos no citoplasma da célula e pela maior parte da resistência da
ceratina (MATOLTSY, 1976; TOMLINSON et al., 2004).
Além da matriz protéica associada aos filamentos de ceratina, a membrana celular do
ceratinócito também tem papel importante na resistência da ceratina. É uma estrutura
insolúvel, espessa e rica em enxofre que forma uma espécie de “exoesqueleto” rígido ao redor
21
do ceratinócito e confere ao estrato córneo como um todo grande estabilidade física e química
(MEYER et al., 2005).
Durante o processo de ceratinização substituição progressiva e contínua da maioria
do conteúdo dos ceratinócitos por polipeptídeos de ceratina. A organização desses
polipeptídeos em tonofilamentos e a formação de uma malha estrutural altamente insolúvel
num arranjo aleatório (em duas ou três dimensões) imersa em uma matriz protéica não-
filamentosa (MATOLTSY, 1976; PRICE et al., 1980; WEEDON, 2002, NORLÉN, 2004).
Na epiderme, as células do estrato basal (BANKS, 1991) são as únicas com potencial
de replicação. Análises do ciclo celular revelam que a cist(e)ina estimula a proliferação
celular em várias células (promove a progressão celular da fase G1 para a S) (BOURNE,
1960; NODA et al., 2002).
As células do estrato basal têm baixa densidade de filamentos e, à medida que se
movem em direção ao estrato córneo, têm seu conteúdo de tonofilamentos aumentado
drasticamente. O conteúdo de tonofilamentos continua a aumentar a taxas rápidas nas células
do estrato espinhoso quando então têm início uma série de alterações morfológicas que
transformam os ceratinócitos em células alargadas e depois achatadas (TOMLINSON et al.,
2004).
Também se tornam aparentes os grânulos de cerato-hialina que, na fase final do
processo de ceratinização, se dissolvem e formam a matriz na qual os filamentos de ceratina
estão imersos. Estruturas lamelares denominadas de cementossomos ou ceratinossomos estão
presentes no citoplasma das células do terço superior do estrato espinhoso (TOMLINSON et
al., 2004). Essas estruturas liberam seu conteúdo no meio intercelular e formam uma
substância PAS-positiva que atua unindo os ceratinócitos (MATOLTSY, 1976;
TOMLINSON et al., 2004).
À medida que as células se movem para as camadas mais externas, uma transição
abrupta para células típicas do estrato córneo, o que envolve o preenchimento do citoplasma
por ceratina e o desaparecimento do núcleo e de virtualmente qualquer organela
citoplasmática e conteúdo. Esse é o estágio terminal da diferenciação epidérmica e agregação
de filamentos de ceratina, quando ocorre a formação de ligações intermoleculares e os
ceratinócitos morrem (TOMLINSON et al., 2004).
A ceratinização pode ser resumida como um processo de síntese, agregação e
estabilização da proteína ceratina e síntese e exocitose da substância intercelular cimentante.
O processo da ceratinização foi comparado à construção de uma parede de tijolos, onde os
22
ceratinócitos são os tijolos e a substância intercelular cimentante, o cimento (TOMLINSON et
al., 2004).
Pode-se concluir que a flexibilidade e elasticidade da camada córnea protetora é
garantida por proteínas filamentosas (relativamente pobres em enxofre quando comparadas as
proteínas da matriz) e sua estabilidade por proteínas amorfas ricas em enxofre e essa
integridade é criticamente governada pela espessura da membrana celular (MATOLTSY,
1976).
A ceratina pode ser detectada em seções histológicas através de técnicas histoquímicas
específicas. Na detecção histoquímica da ceratina, as pontes dissulfeto da cistina são
especialmente reativas à oxidação por diferentes reagentes como ácido perfórmico
(LEHNINGER, 1978) e ácido peracético (Figura 3), uma técnica denominada de oxidação
seletiva da ceratina (OSC) (PEARSE, 1951). Quando o ácido peracético (uma mistura de
peróxido de hidrogênio e ácido acético mais estável que o ácido perfórmico) é utilizado como
agente oxidante, o peróxido de hidrogênio oxida a cistina (PEARSE, 1951; LILLIE;
BANGLE, 1954). O produto desta reação origem ao ácido cistéico que desenvolve a cor
rosa-forte quando o reagente de Schiff é adicionado (PEARSE, 1951). Nas estruturas
formadas por ceratina dura (como a haste pilosa, por exemplo) nas quais há grande quantidade
de cistina a reação intensa é traduzida pela cor rosa-forte que é desenvolvida. Já, nas
estruturas com menor quantidade de cistina e nas quais o enxofre existe principalmente na
forma de cisteína (epiderme, por exemplo) a reação é fraca e a cor resultante é rosa-claro
(PEARSE, 1951).
Além do método da OSC, a técnica do Tricrômico de Masson pode ser utilizada para a
demonstração de ceratina, geralmente corando-a de vermelho (BEHMER et al., 1976;
PROPHET et al., 1992). Devido às suas propriedades, a ceratina reage com algumas
substâncias químicas. As substâncias córneas são ricas em aminoácidos redutores,
especialmente o triptofano, a tirosina e a cistina. De acordo com o princípio de que as
substâncias redutoras tem uma afinidade toda especial para um forte oxidante, as substâncias
córneas (cornificadas) demonstram uma afinidade particular pelo ácido pícrico
(FERNANDES, 1949) que é amarelo.
23
Figura 3 Rompimento oxidativo das ligações cruzadas dissulfeto por oxidação com ácido perfórmico. Fonte:
adaptado de LEHNINGER, 1978.
A microscopia de luz polarizada é usada para examinar substâncias orgânicas e
inorgânicas rígidas e conspícuas como cristais de urato, amilóide, ésteres de colesterol, hastes
pilosas, ceratina, tonofibrilas, sílica e certos corpos estranhos (WOLMAN, 1975; SPERLING
& DiGIOVANNA, 2003; VALENTE et al., 2006; DONGRE et al., 2007). A ceratina é uma
repetição seqüencial de proteínas cristalinas que tem a capacidade de retardar a onda de luz
polarizada que a atravessa. Dessa forma, o cabelo aparece como um objeto luminoso e
colorido contra um fundo preto (MARLIANI et al., 1997). Em geral a microscopia de luz e de
luz polarizada das hastes pilosas conferem importantes pistas para o diagnóstico de defeitos
isolados da haste ou síndromes complexas (ITIN; FISTAROL, 2005).
2.2.2 Ceratinização defeituosa
Alterações como hiperplasia ou atrofia, ceratose, paraceratose, estratificação irregular
ou distúrbios na polarização das células, bem como ceratinização individual ou de pequenos
grupos celulares e redução da coesão epitelial, são atribuídos a distúrbios da maturação de
células epiteliais da mucosa oral em humanos, podendo muitas vezes preceder alterações
neoplásicas (MORGAN, 1992). De forma semelhante, a presença de grande número de
ceratinócitos disceratóticos, que aparecem como células arredondadas, circundadas por um
24
halo claro, com citoplasma fortemente eosinofílico e núcleo pequeno e hipercromático, são
associadas muitas vezes a defeito na diferenciação epitelial (YAGER; WILCOCK, 1994).
Nesta seção serão revisadas doenças e alterações nas quais ceratinização defeituosa
em estruturas ceratinizadas similares às observadas na intoxicação por R. flavo-brunnescens
(KOMMERS; SANTOS, 1995; SCHONS et al., 2007). As referidas condições são a
intoxicação crônica por selênio em bovinos (O’TOOLE; RAISBEK, 1995) e alterações
relacionadas aos pelos como a tricotiodistrofia (ITIN et al., 2001), pili torti (MARUYAMA et
al., 1994) entre outras alterações (MASAAKI, et al. 1984; MARUYAMA et al., 1994;
WEEDON, 2002; WHITING; DY, 2006) que ocorrem nas hastes pilosas em humanos.
2.2.2.1 Intoxicação crônica por selênio em bovinos
A forma crônica da intoxicação por selênio também é denominada de alkali disease
(AD) e é relatada em bovinos desde 1930 (O’TOOLE; RAISBECK, 1995). A intoxicação
cursa com quadro crônico de emaciação associada a lesões significativas confinadas ao
sistema tegumentar (O’TOOLE; RAISBECK, 1995; NÉSPOLI et al., 2001).
Os bovinos intoxicados cronicamente por selênio apresentam rachaduras na parede do
casco e separação do estrato laminar do estrato médio. Na avaliação histopatológica
hiperplasia, acantose e paraceratose do topo das lâminas e alterações ocasionais nas paredes
laterais das lâminas do casco. Em casos avançados, o epitélio germinativo do topo das
lâminas perde a aparência colunar normal e fica atenuado e desorganizado. Cristas de ceratina
paraceratótica podem estar parcialmente mineralizadas e separadas por ceratina ortoceratótica
derivada das paredes laterais das lâminas epidérmicas aparentemente normais (O’TOOLE;
RAISBECK, 1995).
Na cauda ocorre queda de pelos e é observada atrofia de folículos que estão
colapsados e na maioria dos casos não tem haste pilosa. ceratose folicular superficial e a
bainha radicular externa (BRE) do folículo piloso têm ceratinócitos pouco laminados, que
ocasionalmente estão disceratóticos. A bainha radicular interna (BRI) pode ser pouco
desenvolvida ou ausente e alguns autores sugerem que essa alteração ocorra devido à selenose
crônica induzir maturação terminal defeituosa dos ceratinócitos. A membrana vítrea é
25
espessada e enrugada e a bainha radicular fibrosa aparece espessada. Nos folículos menos
afetados há hastes pequenas e desproporcionais (O’TOOLE; RAISBECK, 1995).
Os epitélios dos folículos pilosos e do casco são semelhantes, particularmente no que
diz respeito à proporção de polipeptídeos de ceratina com pouco enxofre, proteínas ricas e
ultra-ricas em enxofre e proteínas ricas em glicina/tirosina. As proteínas ricas em enxofre do
pelo provavelmente formam uma matriz interfibrilar amorfa que separa filamentos ordenados
de ceratina. Devido à semelhança química entre o selênio e o enxofre, foi proposto que as
lesões epiteliais da AD resultem, da substituição de enxofre por selênio nos resíduos de
cisteína das proteínas ricas em enxofre, com concomitante enfraquecimento das ligações
dissulfeto (TRAUB-DARGATZ et al., 1986; O’TOOLE; RAISBECK, 1995).
O predomínio de alterações epiteliais nos cascos pode distinguir lesões induzidas por
selênio daquelas vistas na laminite crônica em bovinos, na qual há alterações proeminentes na
derme (córion) em adição à hiperplasia irregular do epitélio laminar. As lesões intradérmicas
típicas da laminite crônica bovina, como tecido de granulação, neovascularização, agregados
vasculares, inflamação e trombose são mínimas ou ausentes na intoxicação crônica por
selênio (O’TOOLE; RAISBECK, 1995)
2.2.2.2 Tricotiodistrofia
Quantidades reduzidas de proteínas ricas em cistina são associadas à fraqueza
estrutural da haste pilosa em condições como a tricotiodistrofia (TTD). A TTD é uma doença
genética autossômica recessiva e rara em humanos, caracterizada por síntese anormal de
proteínas ricas em enxofre (GUMMER et al., 1984; PRICE et al., 1980). Os cabelos de
pacientes com TTD exibem alterações clínicas, microscópicas e bioquímicas altamente
específicas (GUMMER et al., 1984; KHUMALO, 2005). São cabelos curtos, frágeis,
achatados e com ressecamento avançado da cutícula e perda das células cuticulares de
revestimento (GUMMER et al., 1984).
O diagnóstico de TTD é baseado nas alterações da composição química do cabelo
(baixo conteúdo de enxofre) associadas a defeitos estruturais (ITIN et al., 2001). O conteúdo
total de enxofre dos cabelos pode estar reduzido pela metade e a análise de aminoácidos
demonstra que o conteúdo de cistina é notavelmente baixo (PRICE et al., 1980).
26
Na microscopia de luz, cabelos de pacientes com TTD tem ondulações, contornos e
diâmetro irregulares (PRICE et al., 1980; ITIN et al., 2001). Além disso, podem apresentar
fraturas transversais da haste e pontos de dilatação ao longo da haste que quebram facilmente
(ITIN et al., 2001; WEEDON, 2002). Na microscopia de luz polarizada (exame
polaroscópico) observam-se bandas claras e escuras intercaladas que conferem à haste pilosa
aspecto de cauda tigrada ou zig-zag (ITIN et al., 2001; LIANG et al., 2006). Não está definido
o que determina o aspecto de cauda tigrada na TTD. Possíveis explicações seriam que a
estrutura química da ceratina do cabelo é anormal ou os tonofilamentos estão agrupados em
uma orientação anormal (SPERLING; DiGIOVANNA, 2003).
Quando tratados pela técnica de Swift (metenamina-nitrato de prata amoniacal) e
observados em microscópio eletrônico de transmissão, os cabelos de pacientes com TTD
apresentam uma redução total na intensidade da coloração quando comparados a cabelos de
pacientes sem TTD (GUMMER et al., 1984). Na cutícula de cabelos tricotiodistóficos, as
camadas A e a exocutícula podem estar ausentes ou descontínuas e glóbulos de material
eletrodenso (inclusões cistina positivas anormais) podem ser identificados na camada A e no
interior da endocutícula (GUMMER et al., 1984; KHUMALO et al., 2005). A técnica de
Swift é considerada um método histoquímico específico para a detecção do enxofre presente
no aminoácido cistina, pois há uma correlação estequiométrica positiva entre a intensidade da
coloração e a concentração de enxofre presente (SWIFT, 1967).
Ainda com relação à cutícula, pode haver arranjo anormal de microfibrilas e um
menor número de camadas de células cuticulares (ITIN et al., 2001; KUHMALO et al., 2005).
A ausência da exocutícula e da camada A (rica em enxofre) causa o ressecamento cuticular e
enfraquecimento capilar (ITIN et al., 2001). No córtex pode se observar uma redução na
matriz globular rica em cistina (GUMMER et al., 1984).
2.2.2.3 Pili torti
Pili torti (pelos tortuosos) é uma alteração rara, descrita em humanos, caracterizada
por defeitos estruturais na haste pilosa com formação de pelos com torções e achatamento em
intervalos irregulares ao longo do eixo da haste. Pode ocorrer como uma alteração isolada ou
em associação a outras síndromes, particularmente as do tipo ectodérmico (MARUYAMA et
al., 1994; WEEDON, 2002).
27
As alterações morfológicas visíveis na microscopia de luz e microscopia eletrônica de
varredura, além de hastes pilosas torcidas e achatadas, incluem quebras na cutícula e áreas de
invaginação de segmentos da superfície para o interior da haste (MARUYAMA et al., 1994).
O exame histopatológico revela alterações na BRE, ao nível suprabulbar, como
vacuolização de células, células eosinofílicas e picnóticas (disceratóticas) distribuídas pela
bainha, e espessura não uniforme desta estrutura. Na porção média do folículo são vistas
interdigitações da BRI com a haste pilosa e as células da BRI e da BRE podem estar
onduladas. Além disso, na porção superior do canal folicular formação de tampões de
ceratina ondulada (MARUYAMA et al., 1994).
As alterações na espessura e a presença de células eosinofílicas e picnóticas revelam
uma geração e diferenciação anormal das células das camadas da BRE. Acredita-se que a
irregularidade da estrutura da BRE tenha como conseqüências a deformidade seqüencial da
BRI e dos pelos, que neste nível folicular ainda são amolecidos pois não são totalmente
ceratinizados (MARUYAMA et al., 1994).
2.2.2.4 Outras alterações pilosas associadas a defeitos na ceratinização em humanos
Irregularidades na haste pilosa em humanos decorrentes de defeitos envolvendo a
ceratinização do córtex incluem: trichorrhexis invaginata, monilethrix e pili anulati.
Trichorrhexis invaginata ou cabelo de bambú ocorre em hastes pilosas de humanos
portadores da síndrome de Netherton. Nessa condição, ocorrem tumefações globosas
(semelhantes aos nós do bambú) ao longo da haste pilosa, correspondentes às áreas propensas
a fraturas (MASAAKI, et al., 1984; WEEDON, 2002). As tumefações são formadas por
invaginações da cutícula para o interior do córtex piloso e ocorrem em locais do córtex nos
quais existem defeitos intermitentes de ceratinização, resultantes de uma conversão
incompleta dos grupos –SH em grupos S—S. Esse defeito torna o córtex piloso amolecido e
propicia a formação dos nódulos visíveis no exame polaroscópico e na microscopia eletrônica
(MASAAKI, et al. 1984).
Monilethrix é uma alteração genética autossômica e recessiva das ceratinas duras dos
pelos descrita em humanos (WHITING; DY, 2006). É caracterizada por disfunções periódicas
na matriz pilosa que resultam em hastes com nodos intercalados com áreas de constrições
nodais (PEREIRA, 1997; WEEDON, 2002).
28
A alteração pilosa denominada pili anulati ocorre raramente em humanos. Nesta
condição as hastes pilosas, quando examinadas sob microscopia de luz, apresentam áreas
claras e escuras distribuídas ao longo da haste (WEEDON, 2002). É proposto que a alteração
seja decorrente de um defeito no metabolismo das proteínas envolvendo uma disfunção
parcial nos ribossomos das células do córtex e leva à falha na formação de fibras de ceratina
(MARUYAMA et al., 1994).
2.3 Aspectos histológicos dos tecidos estudados
Nesta seção serão revisados os aspectos histológicos de estruturas ceratinizadas
afetadas na intoxicação por Ramaria flavo-brunnescens, compreendendo língua, esôfago,
casco, folículos pilosos e pelos.
2.3.1 Língua
A língua é um órgão muscular recoberto por um epitélio escamoso estratificado cuja
estrutura e ceratinização variam conforme a região estudada, sendo mais espesso na superfície
dorsal e mais fino na superfície ventral (DELLMAN; BROWN, 1993; JUNQUEIRA;
CARNEIRO, 1999).
A superfície dorsal contém numerosas papilas, que diferem no formato e tamanho e
são nomeadas de acordo com suas características morfológicas. As papilas filiformes, cônicas
e lenticulares facilitam o movimento do alimento na cavidade oral; as papilas fungiformes,
valadas e foliadas contém corpúsculos gustativos, que são responsáveis pela sensação do
paladar (DELLMAN; BROWN, 1993).
As papilas filiformes são o tipo mais abundante (DELLMAN; BROWN, 1993). A
superfície dorsal da língua bovina contém numerosas papilas filiformes pontiagudas e
curvadas caudalmente (STEFLIK et al., 1983). Essas papilas se projetam além da superfície
da língua; têm em média 1,5 a 2 mm de altura e 0,5 mm de diâmetro na base (STEFLIK et al.,
1983). As papilas filiformes da língua bovina são estruturas altamente ceratinizadas, nas quais
predomina um centro de ceratina dura, parcialmente recoberto por uma fina camada de
29
ceratina mole (STEFLIK et al., 1983), sustentadas por um eixo de tecido conjuntivo altamente
vascularizado (DELLMAN; BROWN, 1993).
A língua é recoberta por um epitélio complexo, composto por populações de células
com várias funções distintas (MANABE et al., 1999). As porções laterais e ventral da língua
são recobertas por epitélio não-ceratinizado, cujas células, juntamente com as células do
aspecto lateral das papilas e da região interpapilar, expressam citoceratinas K4 e K13, o
mesmo tipo expresso pelas células do epitélio esofágico. As células que recobrem o topo das
papilas filiformes, bem como as que estão localizadas na base das mesmas expressam
citoceratina K1 e K10, o mesmo tipo expresso pelos ceratinócitos da pele. as células que
formam o centro da papila, expressam citoceratina dura e ácida, característica das células
diferenciadas dos pelos e unhas (MANABE et al., 1999).
Em termos gerais, o padrão duplo de ceratinização das papilas filiformes da língua
bovina se assemelha ao padrão de ceratinização que ocorre na haste do pelo (STEFLIK et al.,
1983), no qual o córtex exibe ceratinização dura e a bainha radicular interna, ceratinização
mole (STEFLIK et al., 1983). Acredita-se que a coexistência de diferentes programas de
expressão de ceratinas reflitam as exigências de que o epitélio da língua seja tanto duro como
flexível e assim resistente a fricção e a expansão que acompanham os movimentos da língua
durante a alimentação (MANABE et al., 1999).
2.3.2 Esôfago
O esôfago é um tubo muscular modificado para a movimentação voluntária e
involuntária de alimentos para dentro e para fora do estômago. O epitélio da mucosa é
pavimentoso estratificado. A ceratinização superficial é observada nas espécies que ingerem
alimentos duros e secos, como nos bovinos (BANKS, 1991).
2.3.3. Casco
O casco é um estojo córneo que envolve os tecidos internos e sensíveis da extremidade
distal dos membros dos animais ungulados (DELLMAN; BROWN, 1993). Os bovinos são
30
animais biungulados, ou seja, seu casco consiste de dois dígitos. Externamente, o casco
bovino apresenta as seguintes porções: coroa (região da junção do casco à pele do membro),
parede (porção do casco visível quando o dígito está em contato com o solo) e sola (região
ventral do casco que se apóia no solo) (STUMP, 1967). As principais estruturas internas do
casco bovino estão apresentadas na Figura 4A.
A parede do casco é uma continuação modificada da epiderme. No casco, essa
epiderme apresenta ceratinização dura, caracterizada pela ausência dos estratos granuloso
(formação de grânulos de cerato-hialina) e lúcido. O estrato basal é a camada mais profunda
da epiderme e consiste de uma única camada de células próxima ao córion. O estrato
espinhoso, com uma ou várias camadas, é formado por células que migraram do estrato basal
e sofrem ceratinização (STUMP, 1967).
A parede do casco é dividida em três camadas que de fora para dentro são: estrato
externo ou tectório, estrato médio e estrato interno ou laminar (BERTRAM; GOSLINE,
1987). O estrato externo é uma delgada camada que protege e reduz a perda de umidade do
casco (STUMP, 1967). É formado por ceratina tubular macia e escamosa, originada das
camadas germinativas da epiderme do períoplo (BERTRAM, 1987; DELMANN, 1993).
O estrato médio corresponde à maior porção e é a principal estrutura de sustentação da
parede do casco (BERTRAM; GOSLINE, 1987; DELLMAN; BROWN, 1993). É composto
por ceratina dura tubular e intertubular produzidas pelo estrato germinativo da epiderme que
reveste o sulco coronário (STUMP, 1967; BERTRAM; GOSLINE, 1987; MARSHALL et al.,
1991; DELLMAN; BROWN, 1993). Cada túbulo é contínuo desde sua origem no sulco
coronário até a superfície de contato com o solo (POLLITT, 2008) e é paralelo à superfície
externa do casco (BACHA JR; WOOD, 1990). Em seções transversais, os ceratinócitos dos
túbulos são arranjados ao redor de uma medula central oca (Figura 4B) em camadas não-
pigmentadas concêntricas. A porção tubular do casco, formada por ceratina dura é rica em
pontes dissulfeto e tem grande resistência física (POLLITT, 2008).
Os espaços entre a ceratina tubular são preenchidos por ceratina intertubular,
elaborada a partir do epitélio germinativo na região profunda das papilas epidérmicas
(BANKS, 1991). Os ceratinócitos amadurecem no casco intertubular e formam a matriz
celular ceratinizada na qual os túbulos estão embebidos. A ceratina intertubular é formada em
ângulos retos em relação à ceratina tubular e é responsável por grande parte da rigidez e
resistência do casco (POLLITT, 2008).
A camada mais interna da parede do casco, o estrato laminar, é constituído de séries de
lençóis epidérmicos ou lâminas epidérmicas aderidas à porção interna do estrato médio
31
(STUMP, 1967). Nessa região, as lâminas dérmicas e epidérmicas se interdigitam e formam
lâminas paralelas umas as outras (Figura 4C) que são orientadas perpendicularmente ao solo
(STUMP, 1967; BERTRAM; GOSLINE, 1987). O arranjo peculiar dessas lâminas forma uma
grande área de superfície que contribui na suspensão da terceira falange dentro da parede do
casco (STUMP, 1967).
As lâminas epidérmicas têm a camada basal composta por células colunares que
contém quantidades consideráveis de tonofilamentos e poucas organelas. Sua adesão à
camada espinhosa é marcada pela presença de numerosos desmossomos (STUMP, 1967;
BERTRAM; GOSLINE, 1987). O material córneo, ou seja, ceratina dura não tubular, é
elaborado em sentido perpendicular ao estrato médio ao qual se funde, auxiliando na
sustentação da parede do casco à pata (BANKS, 1991; BERTRAM; GOSLINE, 1987).
A camada germinativa da epiderme ao longo de todo o casco está em contato direto
com o córion que é uma continuação direta da derme da pele (STUMP, 1967). Ela forma a
camada de tecido conjuntivo rico em colágeno, elastina, vasos sanguíneos e nervos, que
suporte e fornece nutrientes para a epiderme (STUMP, 1967; TOMLINSON et al., 2004).
O córion do casco pode ser tanto papilado como laminado dependendo se a epiderme
adjacente contém ceratina papilada ou laminada respectivamente (MÜLLING et al., 1999). Os
córions perióplico, coronário e da sola são papiliformes na região da junção com a epiderme
enquanto que, o córion laminar forma lâminas que seguem paralelas umas as outras numa
direção proximal-distal. Isso funciona como uma estrutura de adesão entre o casco e as
estruturas mais profundas do dígito, isto é, a terceira falange e o tecido subcutâneo (STUMP,
1967).
A parede do casco cresce durante toda a vida do animal. A regeneração contínua da
parede do casco ocorre no sulco coronário, onde as células germinativas produzem
populações de células filhas que amadurecem, ceratinizam e são adicionadas continuamente a
parede proximal do casco (POLLITT, 2008). A ceratinização do casco é um processo
dinâmico, caracterizado por altas taxas de síntese de ceratina e substâncias intercelulares
cimentantes. Para tal, as células epidérmicas requerem um aporte de nutrientes, vitaminas e
minerais adequado e suficiente. Esse aporte é dado através da difusão desses elementos a
partir de vasos sanguíneos da derme adjacente (MÜLLING et al., 1999).
32
2.3.4 Folículos pilosos e pelos
O pelo é uma estrutura flexível e ceratinizada produzida pelo folículo piloso, estrutura
de origem ectodérmica que se desenvolve a partir de uma invaginação da epiderme
(DELLMAN; BROWN, 1993; ITIN; FISTAROL, 2005). O folículo piloso possui cinco
componentes principais: a papila dérmica do pelo, a matriz do pelo, o próprio pelo, a bainha
radicular interna (BRI) e a bainha radicular externa (BRE) (SCOTT; MILLER, 1996) (Figuras
5A e B).
Com propósitos descritivos, o folículo piloso longitudinalmente é dividido em três
regiões anatômicas distintas: a porção inferior que se estende da papila dérmica até a inserção
do músculo eretor do pelo; a porção média, ou istmo, que se estende desde a inserção do
músculo eretor do pelo até a entrada do canal sebáceo; e a porção superior, ou infundíbulo,
que compreende a porção entre a entrada do canal sebáceo até o orifício folicular (LEVER;
SCHAUMBURG-LEVER, 1991; SCOTT; MILLER, 1996).
A papila dérmica é um prolongamento do tecido conjuntivo dérmico delimitado por
uma continuação fina da membrana basal (BANKS, 1991). É considerada um componente
mesenquimal do folículo piloso e é recoberta por células pluripotenciais que formam a matriz
do pelo, de onde emerge a haste pilosa (SCOTT; MILLER, 1996). Na fase de crescimento
(anágena), as células da matriz se multiplicam e se diferenciam em vários tipos celulares que
dão origem ao pelo e à BRI (SCOTT; MILLER, 1996).
As duas bainhas epiteliais do folículo piloso, a BRI e a BRE, envolvem o eixo do pelo
na sua porção inicial (JUNQUEIRA; CARNEIRO, 1999). A BRI é originada das células
pluripotenciais da matriz do pelo e é composta por três camadas concêntricas que são de
dentro para fora, a cutícula da BRI, a camada de Huxley e a camada de Henle (DELLMAN;
BROWN, 1993; SCOTT; MILLER, 1996) e têm a função principal de envolver e modelar o
pelo (SCOTT; MILLER, 1996).
A cutícula da BRI é uma monocamada de células ceratinizadas sobrepostas,
semelhantes às da cutícula do pelo, à exceção de suas bordas livres, que estão orientadas na
direção oposta, ou seja, no sentido do bulbo do pelo (Figura 5C) (BANKS, 1991;
DELLMAN; BROWN, 1993). Essa disposição resulta em um perfeito encaixe entre a cutícula
do pelo e a cutícula da BRI, o que auxilia na firme fixação do pelo ao folículo durante o
crescimento progressivo do pelo (HAM; CORMACK, 1983; BANKS, 1991; LEVER;
SCHAUMBURG-LEVER, 1991; DELLMAN; BROWN, 1993; SCOTT; MILLER, 1996).
33
A camada de Huxley é composta por uma a três camadas de células nucleadas e
ceratinizadas ricas em grânulos de trico-hialina na região ceratogênica do folículo (LEVER;
SCHAUMBURG-LEVER, 1991; DELLMAN; BROWN, 1993; SCOTT; MILLER, 1996). A
camada mais externa, camada de Henle, é formada por uma camada única de células
ceratinizadas não-nucleadas que possuem grânulos de trico-hialina em sua emergência da
matriz pilosa (LEVER; SCHAUMBURG-LEVER, 1991; DELLMAN; BROWN, 1993;
SCOTT; MILLER, 1996). Os grânulos de trico-hialina são grânulos citoplasmáticos
eosinofílicos, cujo principal componente é protéico. A trico-hialina funciona como uma
proteína associada à ceratina e promove o alinhamento e a agregação lateral dos feixes
paralelos de filamentos intermediários nas células da BRI (SCOTT; MILLER, 1996).
A BRE é uma extensão da epiderme no sentido inferior e é composta por diversas
camadas de células semelhantes as do estrato espinhoso da epiderme (DELLMAN; BROWN,
1993; SCOTT; MILLER, 1996). É mais espessa perto da epiderme e gradualmente diminui de
espessura em direção ao bulbo do folículo. Em sua posição inferior (do istmo do folículo
piloso para baixo), ela é recoberta pela BRI (LEVER; SCHAUMBURG-LEVER, 1991) e não
sofre ceratinização (SCOTT; MILLER, 1996; GINN et al., 2007). As células da BRE
possuem citoplasma claro, vacuolizado, em virtude da considerável quantidade de glicogênio
(LEVER; SCHAUMBURG-LEVER, 1991). Na região do infundíbulo, a BRE sofre
ceratinização triquilêmica, ou seja, sem a participação de grânulos de cerato-hialina (SCOTT;
MILLER, 1996; GINN et al., 2007).
A parte epidérmica do folículo piloso está separada da derme por uma espessa lâmina
basal, correspondente à membrana basal da epiderme, associada a fibras reticulares que,
devido a sua aparência brilhosa, é denominada de membrana vítrea. O tecido conjuntivo que
envolve o folículo é composto de feixes espessos de colágeno e recebe o nome de bainha
radicular fibrosa (BRF) (LEVER; SCHAUMBURG-LEVER, 1991; JUNQUEIRA;
CARNEIRO, 1999; GINN et al., 2007).
A formação de pelos é a função primária das células dos folículos pilosos. Esse
processo é dinâmico e requer proliferação, movimentação e migração celulares, diferenciação
em várias linhagens celulares e degradação de células não utilizadas quando a formação do
pelo é completada (MARSHALL, 1991). Os pelos não crescem continuamente, e sim em
ciclos e o aspecto histológico dos folículos pilosos varia com os estágios do ciclo folicular
(SCOTT; MILLER, 1996; GINN et al., 2007). O ciclo do pelo consiste na fase de crescimento
anágena, a fase de transição ou involução (catágena) e a fase de repouso (telógena; GINN et
34
al., 2007). A taxa de crescimento do cabelo humano é de 0,4 mm/dia (HAM; CORMACK,
1983).
Um pelo típico é composto de três estruturas: medula, córtex e cutícula (BANKS,
1991). A medula é formada a partir das células centrais da matriz do pelo. É composta de
fileiras longitudinais de células cubóides ou achatadas, fracamente ceratinizadas e
vacuolizadas (BANKS, 1991; SCOTT; MILLER, 1996). Na região próxima à matriz do pelo
as células são compactas e o restante da haste contém vacúolos de ar e de glicogênio
(SCOTT; MILLER, 1996).
Ao redor da medula se diferenciam células mais ceratinizadas e com um arranjo mais
compacto que formam o córtex do pelo (JUNQUEIRA; CARNEIRO, 1999). As células
corticais, as mais abundantes da haste pilosa, são células fusiformes, completamente
cornificadas, que têm o eixo mais longo paralelo ao eixo da haste e contém o pigmento
melanina que confere cor ao pelo (MARSHALL et al., 1991; SCOTT; MILLER, 1996). A
ceratina dura é o componente principal das células corticais. Noventa por cento da célula
cortical é formada por filamentos intermediários de ceratina alinhados, associados à matriz
protéica interfibrilar (MARSHALL et al., 1991).
A cutícula, a camada mais externa do pelo, é formada por células retangulares,
achatadas, anucleadas, e fortemente ceratinizadas (MARSHALL et al., 1991; SCOTT;
MILLER, 1996; JUNQUEIRA; CARNEIRO, 1999). Essas células estão distribuídas como
telhas num telhado, cujas bordas, voltadas para a ponta do pelo, recobrem parcialmente as
células cuticulares adjacentes (MARSHALL et al., 1991; SCOTT; MILLER, 1996). O
número de camadas de células cuticulares varia de uma, na lã, a 35, na cerda de suíno
(MARSHALL et al., 1991).
As células cuticulares têm uma estrutura trilaminar composta pela epicutícula,
exocutícula e endocutícula, sendo as duas últimas ricas em enxofre (MARSHALL et al.,
1991) (Figura 5D).
A epicutícula tem cerca de 3 nm de espessura e não é visível em preparações padrão
para microscopia eletrônica. É a camada mais externa da cutícula e recobre cada célula
cuticular individualmente. No interior da exocutícula uma camada de proteína muito rica
em enxofre com uma espessura em torno de 40 nm que é denominada de camada A. Na
microscopia eletrônica de transmissão em que é usada metenamina-nitrato de prata, a
exocutícula é vista como uma camada eletrodensa enquanto que a endocutícula é
eletroluscente (KHUMALO, 2005).
35
Figura 4 A) Corte sagital de digito bovino mostrando a parede do casco (1), a sola (2), o períoplo (3), as
falanges média (4) e distal (5), o sesamóide distal (6) e os ligamentos flexor digital profundo (7) e extensor
digital comum (8). B) Casco bovino; estrato médio. Observa-se que a ceratina tubular é formada por
ceratinócitos arranjados ao redor de uma medula central clara (seta). Hematoxilina-eosina (HE), obj. 40x. C)
Casco bovino; estrato laminar. Observam-se lâminas epidérmicas (1), com ceratina laminar central (*), paralelas
às lâminas dérmicas (2). HE, obj. 20x.
36
Figura 5 A) Corte longitudinal da pele da cauda de um bovino mostrando pelo e folículo piloso em fase
anágena. Observam-se as estruturas principais do pelo e do folículo piloso: papila dérmica (1); matriz pilosa (2);
pelo (3); bainha radicular interna (BRI; 4); bainha radicular externa (BRE; 5). Hematoxilina-eosina (HE), obj.
20x. B) Corte transversal da pele da cauda de um bovino. Observa-se um pelo (1), a BRI (2) e a BRE (3). HE,
obj. 20x. C) Corte longitudinal de cauda bovina. Observam-se as células da camada cuticular do pelo orientadas
em direção à ponta do pelo (1) e as células da camada cuticular do folículo piloso (2) orientadas em direção ao
bulbo piloso. As lulas cuticulares pilosas e foliculares estão separadas por um espaço (*) que é um artefato do
processamento histológico. Tricrômico de Masson (com ácido pícrico), obj. 40x. D) Cutícula da haste pilosa
bovina. três lulas cuticulares, nas quais se observa a exocutícula (1) e a endocutícula (2). Na exocutícula
observa-se a camada A (*). Microscopia eletrônica de transmissão, método de Swift, aumento de 30.000 x.
3 MATERIAIS E MÉTODOS
3.1 Amostras
Para o estudo da patogênese da intoxicação por Ramaria flavo-brunnescens foram
utilizadas amostras provenientes de dois surtos (total de 9 bovinos; surto A com 6 bovinos
[Bovinos 1-6] e surto B com 3 bovinos [Bovinos 7-9]) e de dois estudos experimentais (total
de 4 bovinos; estudo A com 3 bovinos [Bovinos 13-15] e estudo B com 1 bovino [Bovino
16]). Dados epidemiológicos e clínico-patológicos dos casos espontâneos foram publicados
por Barros et al. (2006). Informações semelhantes referentes a três casos experimentais
(estudo A) foram publicadas por Schons et al. (2007).
As alterações clínicas e macroscópicas foram brevemente relatadas. Para a
investigação da patogênese das lesões observadas na língua, esôfago, casco e pele da cauda,
foram avaliadas as alterações histopatológicas e aspectos histoquímicos e histoquímico-ultra-
estruturais em tecidos selecionados.
Dados de resenha dos bovinos e parâmetros avaliados são apresentados nas Tabelas 1
(casos espontâneos) e 2 (casos experimentais). As técnicas histológicas e histoquímicas foram
realizadas em blocos de parafina existentes ou amostras provenientes de novos
encaminhamentos dos materiais fixados em formol a 10%.
3.2 Estudo morfológico
Dos casos espontâneos (surtos A e B) e do estudo experimental A, foram analisados os
seguintes tecidos: língua (região cranial), esôfago, casco (estrato laminar) e cauda (pelos
destacados e pele da região da vassoura da cauda). Do estudo experimental B, foram
avaliados os pelos da vassoura da cauda. Amostras dos mesmos tecidos estudados foram
obtidas de quatro bovinos (10, 11, 12 e 17) sem alterações nos locais avaliados e utilizadas
como controles.
38
Tabela 1 Dados de resenha dos bovinos e parâmetros avaliados em tecidos selecionados dos
casos de intoxicação espontânea por Ramaria flavo-brunnescens.
Dados do animal
Parâmetros avaliados
Número
Protocolo
Raça
Sexo
Idade
HE
OSC
Masson
Polarização
1
Vn 134/05
Mista
Macho
1 ano
"
"
"
"
2
Vn 141/05
Mista
Macho
18 meses
"
"
"
"
3
Vn 142/05
Mista
Macho
19 meses
"
"
"
"
4
Vn 143/05
Mista
Macho
18 meses
"
"
"
"
5
Vn 146/05
Mista
Macho
18 meses
"
"
"
"
6
Vn 150/05
Mista
Macho
18 meses
"
"
"
"
7
Vn 162/05
Mista
Macho
22 meses
"
"
"
"
8
Vn 163/05
Mista
Macho
22 meses
"
"
"
"
9
Vn 164/05
Mista
Macho
22 meses
"
"
"
"
10
Vn 331/07
Mista
Fêmea
4 anos
"
"
"
"
11
Vn 354/07
Mista
Fêmea
2 anos
"
"
"
"
12
Vn 357/07
Mista
Fêmea
2 anos
"
"
"
"
" = parâmetro avaliado (em seções selecionadas de língua, esôfago, casco, cauda ou hastes pilosas da vassoura
da cauda), HE: hematoxilina-eosina; OSC: oxidação seletiva da ceratina; Masson: Tricrômico de Masson.
Tabela 2 Dados de resenha dos bovinos e parâmetros avaliados em tecidos selecionados dos
casos de intoxicação experimental por Ramaria flavo-brunnescens.
Dados do animal
Parâmetros avaliados
Número
Protocolo
Raça
Sexo
Idade
HE
OSC
Masson
Polarização
H-ME
13
E287
Jersey
Macho
9 meses
"
"
"
-
-
14
E288
Jersey
Macho
9 meses
"
"
"
-
-
15
E289
Jersey
Macho
9 meses
"
"
"
-
-
16
Bovino G
Mista
Fêmea
8 meses
-
-
-
"
"
17
E4411
Jersey
Macho
9 meses
"
-
"
-
-
" = parâmetro avaliado (em seções selecionadas de língua, esôfago, casco, cauda ou hastes pilosas da vassoura
da cauda); - = parâmetro o avaliado; HE: hematoxilina-eosina; OSC: oxidação seletiva da ceratina; Masson:
Tricrômico de Masson; H-ME: método histoquímico-ultra-estrutural.
Para a avaliação histopatológica da língua, esôfago, casco e cauda, após a fixação em
formol a 10%, as amostras foram processadas e coradas rotineiramente para histopatologia
(hematoxilina-eosina). As técnicas histológicas foram realizadas em blocos de parafina
existentes no acervo e em blocos provenientes de novos encaminhamentos dos materiais
fixados em formol. Múltiplas seções de cada tecido foram avaliadas.
As amostras de língua foram obtidas a partir de seções transversais da porção cranial
da língua. As amostras do esôfago foram colhidas aleatoriamente e de áreas ulceradas.
As amostras do estrato laminar dos cascos com lesões e dos cascos usados como
controle foram obtidas conforme o protocolo descrito a seguir. Os dígitos dos bovinos foram
desarticulados ao nível da articulação da falange proximal e média e a ponta do casco foi
serrada para uma melhor penetração do fixador (formol a 10%). Após fixado, foi obtida uma
39
fatia de aproximadamente 0,3 cm de espessura paralela à ponta do casco serrada
anteriormente (Figuras 6A e B). A região laminar foi identificada e foi separada do osso da
falange distal e do estrato médio da parede do casco, com o auxílio de um bisturi (Figuras 6C
e D).
Para a avaliação das alterações dos pelos e folículos pilosos, seções transversais e
longitudinais foram obtidas da pele da região da vassoura da cauda. Foram avaliadas hastes de
pelos (que se desprenderam facilmente) tracionadas durante a avaliação clínica ou necropsia
dos casos espontâneos de intoxicação pelo cogumelo. As hastes foram fixadas em lâminas
histológicas com fita adesiva, deixando livre o segmento inferior, o qual foi examinado em
microscópio sob luz polarizada. Hastes de pelos do Bovino 16 (no dia 0) foram utilizadas
como controle para o exame polaroscópico.
3.3 Estudo histoquímico
O estudo histoquímico foi realizado em seções da língua, casco e cauda através do
método de oxidação seletiva da ceratina e do Tricrômico de Masson.
3.3.1 Método de oxidação seletiva para a demonstração de ceratina (OSC):
A técnica foi realizada de acordo com Pearse (1951), modificada por Lillie & Bangle
(1954). Blocos de parafina contendo seções de língua, casco e cauda foram cortados em 5#m.
As lâminas foram desparafinizadas e posteriormente imersas em solução oxidante de ácido
peracético (Apêndice A). Após, as lâminas foram lavadas por 3 min em água corrente e o
reagente de Schiff foi pingado sobre os cortes permanecendo sobre os mesmos por 30 min. As
lâminas foram lavadas em água corrente quente por 10 min, desidratadas em alcoóis,
clarificadas em xilol e montadas em resina sintética e lamínulas.
40
3.3.2 Tricrômico de Masson
A técnica de Tricrômico de Masson foi realizada utilizando-se o Kit EasyPath
Tricrômio de Masson (com azul de anilina; Erviegas, cód. EP-142051). Esse método inclui
ácido pícrico no protocolo.
3.3.3 Estudo histoquímico-ultra-estrutural
Cutículas de pelos da vassoura da cauda de um bovino (Bovino 16), intoxicado
experimentalmente conforme metodologia descrita por Kommers & Santos (1995), foram
avaliadas ultra-estruturalmente. Resumidamente, num período de 15 dias, o bovino recebeu
oito administrações de 20 g/kg de cogumelo fresco triturado em liquidificador através de
sonda oroesofágica. Para a determinação da região a ser avaliada pela microscopia eletrônica
de transmissão, antes da primeira administração (dia 0) os pelos da vassoura da cauda do
Bovino 16 (de pelagem branca) foram pintados com tintura para cabelos (Koleston-Wella) da
cor castanho-escura, tomando-se o cuidado para que a tintura atingisse a pele subjacente.
Após 40 minutos, a tintura foi removida com água e sabão glicerinado. Logo a seguir, foi
colhida a primeira amostra de pelos que serviu como controle. Hastes de pelos foram colhidas
no 5°, 10° e 15° dias subsequentes. Os pelos controle (dia 0) e os colhidos nos dias 5, 10 e 15
foram fixados em lâmina histológica com fita adesiva, deixando livre somente a parte branca
(não corada pela tintura) que correspondia, no dia 0, à porção do pelo que encontrava-se
dentro do folículo piloso e, no caso dos dias 5, 10 e 15, à porção que cresceu sob influência do
princípio tóxico do cogumelo. Esta porção foi medida com régua e observada diretamente sob
microscopia de luz polarizada.
Fragmentos de pelos colhidos nos dias 0, 5, 10 e 15 (cinco hastes com 2 mm de
comprimento) foram cortados (localização conforme a Figura 7), embebidos em éter etílico
por 24 horas (para desengordurar), desidratados em álcool absoluto (2 vezes de 30 minutos) e
incluídos em resina epóxi. Cortes semi-finos foram corados pelo azul de toluidina para exame
em microscopia de luz, visando selecionar os pelos para os cortes ultra-finos. Cortes ultra-
finos foram colocados em grades de ouro sobre os quais aplicou-se a técnica de Swift
(Apêndices B e C) para o estudo histoquímico-ultra-estrutural do conteúdo de cistina em
41
fotomicrografias (obtidas em microscópio Zeiss-EM 10) de seções transversais das células
cuticulares pilosas.
42
Figura 6 - Método de encaminhamento do casco bovino para obtenção de seções do estrato laminar. A) Corte
transversal da ponta do gito. A peça é fixada em um torno e o corte é efetuado com uso de serrote. B) Fatia de
casco obtida através de corte transversal da ponta do casco. C) Identificação e separação do estrato laminar. D)
Amostra da região laminar pronta para processamento.
43
Figura 7 - Representação esquemática do crescimento dos pelos durante o experimento com demonstração da
área de colheita de material para microscopia eletrônica (técnica de Swift).
4 RESULTADOS E DISCUSSÃO
4.1 Resultados
A intoxicação espontânea (surtos A e B) por Ramaria flavo-brunnescens (Figura 8A)
em bovinos cursou com alterações clínico-patológicas que incluíram alisamento da superfície
dorsal da língua, com perda das papilas filiformes e áreas de ulceração (Figura 8B); ulceração
esofágica multifocal (Figura 8C) e afrouxamento e queda dos pelos, principalmente da
vassoura da cauda (Figura 8D). Nos bovinos experimentais (estudo A), as lesões foram
semelhantes, porém mais brandas, não tendo sido observadas alterações esofágicas.
As principais alterações histopatológicas observadas na língua dos bovinos
intoxicados, tanto espontaneamente como experimentalmente envolveram a superfície dorsal
e tem sua distribuição e intensidade apresentadas na Tabela 3. Mais frequentemente
ocorreram adelgaçamento do epitélio, desaparecimento de papilas filiformes e ulceração
multifocal associada a tecido fibrovascular subjacente. Re-epitelização, projeções irregulares
do epitélio para a lâmina própria, estratificação irregular do epitélio, formação de ceratina
lamelar, ceratinização individual e vacuolização citoplasmática de ceratinócitos também
foram observadas.
Tabela 3 Principais alterações histopatológicas observadas na língua dos bovinos
intoxicados espontaneamente ou experimentalmente por Ramaria flavo-brunnescens.
Bovinos intoxicados
Alteração
1
2
3
4
5
6
7
8
9
13
14
15
Redução na espessura do epitélio
3
3
3
3
2
3
3
3
3
2
2
2
Desaparecimento de papilas filiformes
3
3
3
3
2
2
3
3
3
2
1
1
Ulceração
3
3
2
2
0
0
3
3
3
0
0
0
Tecido fibrovascular
3
3
2
2
0
1
3
3
2
0
0
0
Re-epitelização
1
1
0
2
0
2
0
0
2
0
0
0
Projeções irregulares do epitélio
2
0
3
2
1
2
0
0
1
0
0
0
Estratificação irregular do epitélio
0
0
0
2
0
2
0
0
0
0
0
0
Ceratinização lamelar focal
0
0
3
3
1
3
0
0
3
0
0
0
Ceratinização individual de células
1
0
1
2
1
2
0
0
3
1
0
0
Vacuolização de ceratinócitos
0
0
0
0
2
2
0
0
0
1
0
0
0 = ausente; 1= leve; 2= moderado; 3= acentuado
45
Uma alteração presente em todos os casos foi o adelgaçamento do epitélio da língua,
que em casos acentuados tinha cerca de 1/3 da espessura do epitélio de uma língua normal. A
diminuição na espessura do epitélio dos casos em que não havia ulceração envolveu a
totalidade da superfície dorsal da língua examinada. Porém, nos casos com ulceração,
observou-se que o adelgaçamento era ainda mais pronunciado nas áreas adjacentes às úlceras.
Quanto às papilas filiformes, as lesões variaram de leve atenuamento até o
desaparecimento total dessas estruturas (Figuras 9A e B). Observaram-se alterações
morfológicas inicialmente na base das papilas com desorganização dos ceratinócitos, muitos
deles com vacúolos e depósitos eosinofílicos densos intracitoplasmáticos.
Pela técnica do Tricrômico de Masson observou-se alteração na coloração das papilas
filiformes (mudança da coloração de amarelo para vermelho) quando comparadas às línguas
controle (Figuras 10A, B e C). Observou-se marcada redução na intensidade da coloração da
ceratina dura do centro das papilas filiformes (mudança de rosa-forte para rosa-claro),
evidenciada pela técnica de oxidação seletiva de ceratina (Figuras 11C e D).
As úlceras foram frequentemente observadas (7/12) e eram focais, multifocais ou
envolviam todo o epitélio dorsal. Eram recobertas por variável quantidade de fibrina e
agregados bacterianos basofílicos intralesionais e associadas a infiltrado inflamatório com
predomínio de neutrófilos, macrófagos, linfócitos e tecido fibrovascular (Figuras 12A e B). O
tecido fibrovascular na lâmina própria subjacente às regiões ulceradas era caracterizado por
proliferação de fibroblastos, acúmulo de colágeno (melhor visualizado pela técnica de
Tricrômico de Masson) e numerosos vasos sanguíneos neoformados (Figura 12B). Em muitas
áreas havia um epitélio estreito (re-epitelização) recobrindo área de tecido fibrovascular
(Figura 12C). Em uma língua (Bovino 1) foi observado um trombo em um vaso da
submucosa.
Em muitas línguas (6/12) foram observadas projeções irregulares do epitélio para a
lâmina própria (Figura 13A). Nas extremidades destas projeções (que às vezes eram
visualizadas como ninhos desconectados do epitélio), em muitos casos, havia ceratinização
lamelar central (Figura 13B).
Observou-se, ocasionalmente, estratificação irregular do epitélio lingual (Bovinos 4 e
6). Nessas áreas os ceratinócitos perdiam sua orientação normal e formavam pequenos grupos
em arranjo concêntrico (Figuras 13C).
Em metade das línguas analisadas havia ceratinização individual de células
caracterizada por ceratinócitos arredondados, circundados por um halo claro, com citoplasma
fortemente eosinofílico e núcleo pequeno e hipercromático (Figura 13D). Essas células eram
46
distribuídas aleatoriamente pelo epitélio, porém pareciam mais abundantes na região
suprabasal. Ocasionalmente havia ceratinócitos com vacúolos citoplasmáticos.
As principais alterações observadas no esôfago dos bovinos intoxicados por R. flavo-
brunnescens encontram-se na Tabela 4. Todos os esôfagos analisados apresentaram algum
grau de redução na espessura epitelial, sendo, na maioria dos casos, moderado (Figuras 14A e
B). Ulceração foi um achado muito frequente (6/12) (Figura 14C). As úlceras eram recobertas
por fibrina, debris celulares e neutrófilos íntegros e degenerados. Em muitos locais foram
observados agregados bacterianos basofílicos intralesionais. Em áreas subjacentes às úlceras
havia graus variáveis de proliferação de tecido fibrovascular e re-epitelização (Figura 14D).
Ocasionalmente observou-se epitélio exibindo projeções irregulares para a submucosa (Figura
14E) e áreas do epitélio com ceratinócitos com morfologia alterada e vacuolização (Figura
14F). Em um esôfago (Bovino 4), foi observado um trombo na lâmina própria.
Tabela 4 Principais alterações histopatológicas observadas no esôfago dos bovinos
intoxicados espontaneamente ou experimentalmente por Ramaria flavo-brunnescens.
Bovinos intoxicados
Alteração
1
2
3
4
5
6
7
8
9
13
14
15
Redução na espessura do epitélio
2
2
2
2
2
3
2
3
3
1
2
2
Ulceração
2
3
3
3
2
0
3
0
0
0
0
0
Tecido fibrovascular
2
2
2
2
3
0
2
0
0
0
0
0
Reepitelização
2
1
1
0
2
0
2
0
0
0
0
0
0 = ausente; 1= leve; 2= moderado; 3= acentuado
Nos cascos em que havia lesões (10/12) essas envolviam as lâminas epidérmicas do
estrato laminar que apresentavam graus variáveis de fusão, encurtamento, múltiplas camadas
de células não-ceratinizadas no topo, ceratinização irregular e descontínua com persistência
de núcleos, ceratinização individual e vacuolização de ceratinócitos. As principais alterações
observadas são apresentadas na Tabela 5.
Fusão de lâminas ocorreu em metade dos cascos analisados, em qualquer nível, no
entanto foram mais comuns no topo das lâminas (Figuras 15A e B). Da mesma forma, em
metade dos cascos avaliados observou-se encurtamento de lâminas epidérmicas (Figura 15C).
47
Tabela 5 Principais alterações histopatológicas observadas no casco dos bovinos
intoxicados espontaneamente ou experimentalmente por Ramaria flavo-brunnescens.
Bovinos intoxicados
Alteração
1
2
3
4
5
6
7
8
9
13
14
15
Fusão de lâminas epidérmicas
1
1
0
2
1
3
0
0
0
0
1
1
Lâminas epidérmicas encurtadas
1
2
0
2
1
3
0
0
2
0
0
0
Múltiplas camadas no topo das lâminas
2
1
0
1
0
3
0
2
0
0
0
0
Maior n° de camadas celulares nas lâminas
2
2
0
2
1
3
0
0
0
0
0
0
Ceratina laminar descontínua
2
2
0
1
1
3
0
1
2
1
0
0
Persistência de núcleos na ceratina
1
1
0
1
2
2
0
1
2
0
0
0
Ceratinização individual de células
1
1
0
1
2
2
0
0
0
1
0
1
Vacuolização de ceratinócitos
1
1
0
2
1
2
0
0
0
0
2
2
0 = ausente; 1= leve; 2= moderado; 3= acentuado
Em muitos cascos havia maior número de camadas de células no topo das lâminas
(Figura 15C) e muitos ceratinócitos apresentavam alterações morfológicas como vacuolização
e acúmulos citoplasmáticos eosinofílicos (Figura 15D). Alterações na ceratina laminar foram
vistas em vários casos (8/12). Estas alterações atingiram grupos de lâminas seqüenciais,
aleatórias ou ocorreram em todo o fragmento de casco analisado.
A partir da camada basal nas lâminas epidérmicas, havia uma desorganização na
disposição dos ceratinócitos e na sua diferenciação (Figuras 16A e B). Observavam-se várias
camadas de ceratinócitos, muitos deles vacuolizados, e ausência da ceratinização abrupta do
centro das lâminas. Persistência de núcleos era observada em meio à ceratina formada
defeituosamente (Figura 16B). Ceratinização individual de células (ceratinócitos circundados
por um halo claro, com contornos arredondados, citoplasma fortemente eosinofílico e núcleo
pequeno e hipercromático) foi vista em muitos casos (7/12) (Figura 16C) e ocorreu por todo o
epitélio laminar mesmo em regiões em que as alterações descritas anteriormente não foram
observadas.
Através do uso do Tricrômico de Masson observou-se que a ceratina laminar
defeituosa formada era irregular, fragmentada ou em casos graves, reduzida a pequenos
segmentos ceratinizados (Figuras 17A e B). A ceratina laminar defeituosa, observada pela
coloração de rotina, teve uma reação muito fraca pela técnica da oxidação seletiva da ceratina,
quando comparada a cascos normais (Figuras 18A e B).
As principais alterações observadas nos folículos pilosos e pelos da vassoura da cauda
dos bovinos intoxicados por R. flavo-brunnescens estão sumarizadas na Tabela 6.
48
Tabela 6 Principais alterações histopatológicas observadas nos pelos e folículos pilosos dos
bovinos intoxicados espontaneamente ou experimentalmente por Ramaria flavo-brunnescens.
Bovinos intoxicados
Alteração
1
2
3
4
5
6
7
8
9
13
14
15
Folículos sem haste pilosa
3
2
2
2
2
3
2
3
2
1
1
1
Folículos pilosos com contornos irregulares
3
2
2
2
2
2
2
3
2
1
1
1
Desorganização da BRE
3
2
2
2
2
2
2
3
2
1
0
0
Degeneração da BRI
3
2
2
2
2
2
2
3
2
0
0
0
Ceratinização individual de células
3
2
3
3
3
2
2
3
2
2
1
0
Vacuolização de células da parede folicular
2
1
1
2
2
1
1
2
3
1
0
0
Hastes pilosas degeneradas/desintegradas
3
2
2
3
3
3
2
3
3
0
0
0
Hastes pilosas com contornos irregulares
3
2
2
3
3
3
2
3
3
2
1
1
0 = ausente; 1= leve; 2= moderado; 3= acentuado. BRE: bainha radicular externa; BRI: bainha radicular interna.
Muitos folículos pilosos da cauda dos bovinos intoxicados por R. flavo-brunnescens
não tinham haste de pelo em seu interior (as vezes substituída por um plugue de ceratina
[ceratose folicular]) ou estavam em fase telógena. Virtualmente todos os folículos pilosos e
pelos apresentaram algum tipo de alteração. Nos casos de intoxicação experimental (Bovinos
13, 14 e 15), as alterações observadas foram mais sutis que na intoxicação espontânea.
As alterações morfológicas nos folículos pilosos, na maioria dos casos, eram
moderadas a severas e envolveram tanto a bainha radicular externa (BRE) quanto a bainha
radicular interna (BRI). Muitos folículos tinham os contornos internos e externos alterados
(Figuras 19A e B) e ocasionalmente havia espessamento da bainha radicular fibrosa (melhor
observada pela técnica do Tricrômico de Masson; Figura 19C). Em um grande número de
folículos observou-se que a BRE estava espessada e as células eram desalinhadas (Figura 19
C). Nesta estrutura, a ceratinização individual de células e ceratinócitos com vacúolos claros
intracitoplasmáticos foi um achado muito constante (Figura 19D).
Como na BRE, as alterações na BRI foram muito frequentes. Na maioria dos casos se
caracterizaram por arranjo irregular de células, células desintegradas e finalmente,
degeneração total da estrutura (Figuras 20A-D).
Em relação às alterações nas hastes pilosas, estas variaram de pelos com alterações
leves nos casos experimentais (Figuras 21A e B) a pelos com contornos irregulares,
extremamente tortuosos e desintegrados nos casos de intoxicação espontânea (Figuras 21C-
E). Nos casos de alterações pilosas acentuadas, a identificação da haste muitas vezes se tornou
difícil pela coloração de rotina. Nestes casos, a haste pilosa foi melhor visualizada através da
técnica do Tricrômico de Masson, na qual hastes e fragmentos de pelo coraram irregularmente
de amarelo (Figura 21F). Quando aplicada a técnica da OSC, os pelos dos bovinos
49
intoxicados demonstraram uma redução expressiva na intensidade da coloração e foram
identificados como estruturas coradas de rosa-claro, enquanto os pelos normais de bovinos
controle se coraram de rosa-forte (Figuras 22A-D).
Nas hastes de pelos coletadas dos bovinos intoxicados espontaneamente e do Bovino
16 (experimental), e observadas em microscopia de luz polarizada, haviam alterações tanto
morfológicas quanto no padrão de birrefringência. Quanto à morfologia, havia hastes de pelo
com contornos irregulares (Figura 23A e B), tortuosas e onduladas (Figura 23C). Em alguns
casos observou-se torção longitudinal do eixo da haste pilosa (Figura 23D). Em relação à
birrefringência, os pelos afetados apresentaram polarização irregular (Figura 23E) ou ausente
(Figura 23F) em algumas áreas, quando comparados aos pelos controle nos quais a
polarização era uniforme.
No experimento realizado com o Bovino 16 foi demonstrado que nos cinco primeiros
dias do experimento a taxa de crescimento dos pelos foi de aproximadamente 0,6 mm/dia
(totalizando 3mm de pêlo que cresceu após o início da administração do cogumelo) e que a
partir do dia os pelos eram arrancados facilmente ao ser efetuada uma leve tração. Nesta
etapa, notou-se que nas hastes pilosas havia apenas fragmentos de BRI aderidos. Nos dias 10
e 15 as medidas do comprimento dos pelos permaneceram inalteradas e neste período os
fragmentos de BRI aderidos às hastes se tornaram mais escassos ou ausentes.
O exame da cutícula pilosa do Bovino 16, através da técnica de microscopia eletrônica
de transmissão com o uso da técnica de Swift, revelou marcada modificação na morfologia da
exocutícula, porém, as alterações foram mínimas ou ausentes na camada A da exocutícula.
Foi observada irregularidade da exocutícula e inclusões anormais de cistina no interior da
endocutícula (Figuras 24A e B).
50
Figura 8 A) Espécimes de Ramaria flavo-brunnescens encontradas no solo de bosque de eucalipto
(propriedade onde ocorreu o surto B). B) Superfície dorsal, língua; Bovino 8. Observa-se que uma área
ulcerada e deprimida e que não há papilas filiformes. C) Esôfago; Bovino 5. A mucosa esofágica apresenta
úlceras lineares multifocais. D) Cauda; Bovino 2. Há ausência de pelos da vassoura da cauda.
51
Figura 9 Papila filiforme lingual. A) Papila normal, Bovino 10 (controle). Hematoxilina-eosina (HE), obj. 20x.
B) Papila atenuada, Bovino 6, HE, obj. 20x.
Figura 10 Papila filiforme lingual. A) Papila normal, Bovino 10 (controle). Observa-se que a porção central da
papila é corada de amarelo-brilhante, Tricrômico de Masson, obj. 20x. B) Papila atenuada, Bovino 6. A papila é
menor, corada de amarelo menos intenso e áreas centrais coradas em vermelho. Tricrômico de Masson (com
ácido pícrico), obj. 20x. C) Papila degenerada, Bovino 13. Observa-se alteração na morfologia (vacuolização
citoplasmática) e organização dos ceratinócitos da papila. Na área central, restam apenas pequenas áreas
amarelo-claras, Tricrômico de Masson, obj. 20x.
52
Figura 11 Papila filiforme lingual. A) Papila normal, Bovino 10 (controle). Observa-se que a papila é corada de
rosa-forte, Oxidação seletiva da ceratina (OSC), obj. 20x. B) Resquício de papila, Bovino 8. Observa-se que
permanece apenas o resquício da estrutura que é corada de rosa-claro, OSC, obj. 20x.
53
Figura 12Superfície dorsal da língua. A) Observa-se área difusa de ulceração, Bovino 2, Hematoxilina-eosina
(HE), obj. 20x. B) Tecido fibrovascular subjacente à região parcialmente ulcerada da superfície dorsal da língua,
Bovino 9. Observa-se grande quantidade de tecido conjuntivo rico em fibras de colágeno (coradas em azul) e
numeroso vasos neoformados (em vermelho), Tricrômico de Masson, obj. 40x. C) Epitélio dorsal, língua,
Bovino 6. Observa-se área de re-epitelização caracterizada por um fino epitélio que recobre área de tecido
fibrovascular, HE, obj. 4x.
54
Figura 13– Epitélio dorsal lingual, Bovino 6, Hematoxilina-eosina. A) Há projeções irregulares do epitélio para a
lâmina própria com ninhos desconectados do epitélio (seta). Obj. 10x. B) Observa-se perda da orientação normal
dos ceratinócitos e formações concêntricas. Obj. 40x. C) Formação de ceratina lamelar concêntrica. Obj. 20x. D)
Observa-se ceratinócitos circundados por halo claro, com citoplasma fortemente eosinofílico e núcleo pequeno e
hipercromático (seta). Obj. 40x.
55
Figura 14 Epitélio esofágico. Hematoxilina-eosina (HE). A) Epitélio normal, Bovino 10 (controle). Obj. 20x.
B) Redução expressiva da espessura epitelial, Bovino 6. Obj. 20x. C) Ulceração acentuada, Bovino 4. Obj. 40x.
D) Epitélio (re-epitelização) recobrindo área de tecido fibrovascular, Bovino 5. Obj.40x. E) Projeções irregulares
do epitélio para a lâmina própria, Bovino 3. Obj. 20x. F) Epitélio com ceratinócitos com morfologia alterada e
vacuolização subcorneal, Bovino 6. Obj. 40x.
56
Figura 15 Região laminar do casco. Hematoxilina-eosina (HE). A) Casco normal, Bovino 11 (controle). Obj.
20 x. B) Fusão do topo das minas epidérmicas, Bovino 6. Obj. 10x. C) Encurtamento (*) e maior mero de
camadas de células não-ceratinizadas no topo das lâminas (seta), Bovino 4. Obj. 20x. D) Vacuolização de
ceratinócitos e acúmulos intracitoplasmáticos eosinofílicos (seta), Bovino 6. Obj. 40x.
57
Figura 16 Região laminar do casco. Hematoxilina-eosina (HE). A) Casco normal com ceratinização laminar
central homogênea, Bovino 11 (controle). Obj. 10x. B) Desorganização na disposição dos ceratinócitos no
epitélio laminar. Há várias camadas de ceratinócitos, muitos deles vacuolizados, ausência da ceratinização ab-
rupta do centro da lâmina e persistência de núcleos na ceratina laminar (seta), Bovino 1. Obj. 20x. C)
Ceratinização individual de células (seta), Bovino 5. Obj. 40x.
58
Figura 17Região laminar do casco. Tricrômico de Masson. A) Epitélio laminar normal, Bovino 11 (controle).
Observa-se a ceratina laminar contínua corada em amarelo. Obj. 20x. B) Fragmentos de ceratina laminar são
observados em amarelo, Bovino, 1. Obj. 20x.
59
Figura 18 Região laminar do casco. Técnica da oxidação seletiva da ceratina (OSC). A) Ceratina laminar
normal, Bovino 11 (controle). A ceratina é corada homogeneamente de rosa-forte. Obj. 20x. B) Ceratina laminar
defeituosa, Bovino 5. A ceratina é corada de rosa-claro. Obj. 20x.
60
Figura 19 Folículos pilosos da pele da região da vassoura da cauda. A) Folículo piloso e pelo normais, Bovino
12 (controle). Hematoxilina-eosina (HE), obj 20x. B) Folículo piloso com contornos internos e externos
irregulares, Bovino 9. HE Obj. 20x. C) desorganização das células da bainha radicular externa e
espessamento da bainha radicular fibrosa (seta), Bovino 9. Tricrômico de Masson, obj. 20x. D) Espessamento da
bainha radicular externa. Há numerosos ceratinócitos disceratóticos (seta) na bainha radicular externa e haste
pilosa desintegrada na área central, Bovino 9. HE, Obj 20x.
61
Figura 20 Folículos pilosos da pele da região da vassoura da cauda. Hematoxilina-eosina (HE). A) Folículo
piloso e pelo normais, Bovino 12 (controle). Obj. 10x. B) Folículo com bainha radicular interna (BRI)
desintegrada. Há um pelo degenerado no centro do folículo (seta), Bovino 1. Obj. 20x. C) BRI de folículo piloso
normal em maior detalhe, Bovino 12 (controle). Obj. 40x. D) BRI degenerada (seta) e desprendimento da bainha
radicular externa, Bovino 1. Obj. 40x.
62
Figura 21 – Pelos da pele da região da vassoura da cauda. A) Folículo piloso e pelo normais, Bovino 12
(controle). Hematoxilina-eosina (HE), obj. 20x. B) Pelo com contorno irregular, Bovino 13. HE, obj. 20x. C, D e
E) Pelos com contornos irregulares, extremamente tortuosos e desintegrados, Bovino 8, HE, obj. 40x, 20x e 20x
respectivamente. F) Alteração pilosa acentuada. Apenas um pequeno fragmento de pelo degenerado está corado
em amarelo. Tricrômico de Masson, obj. 40x.
63
Figura 22 Folículos pilosos e pelos da pele da região da vassoura da cauda. cnica da oxidação seletiva da
ceratina (OSC). A) Corte longitudinal de pelo normal, Bovino 12 (controle). O pelo é homogeneamente corado
de rosa-forte. Obj. 20x. B) Corte longitudinal de pelo, Bovino 8. O pelo é degenerado e apenas algumas porções
são coradas de rosa-claro. Obj, 20x. C) Corte transversal de pelo normal, Bovino 12 (controle). O pelo é
homogeneamente corado de rosa-forte. Obj, 40x. Corte transversal de pelo, Bovino 8. restos de pelo corados
de rosa claro. Obj. 20x.
64
Figura 23 Alterações nas hastes pilosas de bovinos intoxicados por R. flavo-brunnescens. Exame
polaroscópico. Obj. 20x. A) Haste pilosa normal do Bovino 16 no dia 0. Observa-se que a haste tem contornos e
diâmetro regulares; além disso, uma variação gradual nas cores. B) Haste pilosa com área achatada sem
polarização. Bovino 7. C) Haste pilosa tortuosa e ondulada. Bovino 16, dia 5. D) Haste pilosa com torção
longitudinal do eixo. Bovino 16, dia 5. E) Haste pilosa com polarização irregular; nota-se um segmento escuro e
opaco. Bovino 16, dia 10. F) Haste pilosa com polarização ausente em segmento extenso. Bovino 16, dia 10.
65
Figura 24 - Fotomicrografia eletrônica das células cuticulares pilosas dos pelos da vassoura da cauda do Bovino
16 intoxicado experimentalmente por Ramaria flavo-brunnescens. A) Dia 0. As lulas cuticulares não
apresentam alterações. Aumento de 30.000 x. B) Dia 15. Observa-se acentuada irregularidade da exocutícula
(cabeça de seta), com inclusões cistina-positivas, arredondadas ou irregulares (seta) na endocutícula. Aumento
de 37.500 x.
4.2 Discussão
Alguns estudos têm descrito as alterações macroscópicas e microscópicas na
intoxicação por Ramaria flavo-brunnescens em animais domésticos, porém poucos trabalhos
tiveram também como objetivo investigar (KOMMERS; SANTOS, 1995; SALLIS et al.,
2000; SCHONS et al., 2007) ou discutir (BARROS et al., 2006) a patogênese das lesões.
Neste estudo, a patogênese da intoxicação foi investigada através da revisão de casos
espontâneos e experimentais pela histopatologia e por métodos auxiliares na avaliação de
defeitos da ceratinização na língua, esôfago, casco e cauda. Nos tecidos examinados foram
observados diferentes graus e estágios de lesões, o que é especialmente útil quando se tem o
objetivo de traçar a dinâmica das alterações provocadas por R. flavo-brunnescens. Nos
bovinos intoxicados experimentalmente, as lesões foram mais brandas, quando comparadas às
presentes nos casos espontâneos. Observação semelhante havia sido feita anteriormente
(KOMMERS; SANTOS, 1995). Explicações para esta diferença na intensidade das lesões
estão provavelmente relacionadas com as características de termolabilidade e volatilidade
relatadas para o princípio tóxico (BAUER et al., 1966; FIDALGO; FIDALGO, 1970;
KOMMERS, 1993; SALLIS et al., 2004). Foram observadas variações na toxicidade do
cogumelo em diferentes anos nos mesmos locais (SALLIS et al., 2000), bem como diferenças
na toxicidade do cogumelo após períodos intensamente chuvosos. Possíveis diferenças na
suscetibilidade individual dos animais intoxicados também têm sido aventadas (SCHONS et
al., 2007).
Na língua, a grande maioria das lesões histopatológicas observadas demonstrou
defeitos na ceratinização tais como desaparecimento das papilas filiformes, adelgaçamento,
estratificação irregular, ceratinização lamelar focal e ceratinização individual de células
(disceratose) no epitélio de revestimento dorsal.
As alterações relacionadas à ceratinização das papilas filiformes da língua dos bovinos
deste estudo, estruturas que normalmente sofrem ceratinização dura (BANKS, 1991),
puderam ser melhor observadas através da técnica do Tricrômico de Masson. Ao utilizar a
técnica do Tricrômico de Masson nas línguas controle deste estudo, observou-se que a
ceratina mole corava em vermelho e que a ceratina dura das papilas filiformes corava em
amarelo. A mesma coloração amarela foi observada na ceratina dura do casco e nos pelos da
cauda dos bovinos controles. Desta forma, além de ter sido uma ferramenta muito útil para
67
diferenciar os tipos de ceratina, os defeitos na ceratinização dura também puderam ser melhor
caracterizados. A coloração amarela das estruturas que sofrem ceratinização dura está
provavelmente relacionada com a presença do ácido pícrico no protocolo de Tricrômico de
Masson utilizado, pois as substâncias cornificadas demonstram grande afinidade por esse
ácido (FERNANDES, 1949). É importante lembrar que nem sempre o ácido pícrico está
presente nas variações da técnica do Tricrômico de Masson, sendo somente descrita a ceratina
como corada em vermelho por esta técnica, quando o ácido pícrico não estava presente entre
os reagentes dos protocolos (BEHMER et al., 1976; PROPHET et al., 1992). Com o uso desta
técnica ficou evidente que nas papilas filiformes remanescentes desestruturação e menor
quantidade de ceratina dura.
Quando a técnica da oxidação seletiva da ceratina (OSC), a qual revela o conteúdo de
cistina, principalmente na ceratina dura onde este é maior (PEARSE, 1951; LILIIE;
BANGLE, 1954), foi aplicada às papilas filiformes linguais, a intensidade da coloração foi
muito fraca, ficando evidente que há um baixo conteúdo de cistina na ceratina dura das
papilas filiformes dos bovinos intoxicados.
Quanto à espessura epitelial, houve redução em todas as línguas e esôfagos analisados,
no entanto essa redução foi mais marcada nos bovinos intoxicados espontaneamente, quando
comparada aos bovinos intoxicados experimentalmente neste estudo. O adelgaçamento na
espessura do epitélio lingual havia sido descrito na intoxicação espontânea (BARROS et al.,
2006) e na experimental (KOMMERS; SANTOS, 1995; SCHONS et al., 2007). Entretanto, o
adelgaçamento na espessura do epitélio esofágico, visto em todos os bovinos deste estudo,
não havia sido relatado na literatura consultada. Chamou a atenção o fato de que a redução na
espessura do epitélio foi mais dramática nas áreas adjacentes às úlceras, especialmente no
epitélio lingual. O atrito ao epitélio lesado e a infecção bacteriana secundária possivelmente
contribuem para o desenvolvimento das úlceras.
Algumas explicações têm sido propostas para justificar o adelgaçamento epitelial
lingual. Por um lado pensou-se na possibilidade de uma interferência na multiplicação dos
ceratinócitos linguais (KOMMERS; SANTOS, 1995). A base para esta possibilidade seria
que análises do ciclo celular revelaram que a cist(e)ina estimula a proliferação celular em
várias células (BOURNE, 1960; NODA et al., 2002). Como acredita-se que haja interferência
no metabolismo deste aminoácido na intoxicação por R. flavo-brunnescens (KOMMERS;
SANTOS, 1995), como será discutido posteriormente, essa possibilidade permanece
plausível. Schons et al. (2007) tentaram confirmar esta teoria através de imunomarcação com
Ki-67 (uma proteína que detecta células em proliferação), porém seus resultados foram
68
inconclusivos devido ao reduzido número de amostras analisadas. Por outro lado foi discutida
também a possibilidade de que haveria um marcado desgaste epitelial relacionado às
alterações degenerativas observadas no epitélio dorsal da língua (SCHONS et al., 2007). Essa
hipótese, também plausível, está baseada em achados de microscopia eletrônica (BARROS,
2005; SCHONS et al., 2007), nos quais observou-se diminuição nos tonofilamentos dos
ceratinócitos da camada espinhosa, talvez contribuindo para o aumento dos espaços
intercelulares, facilitando uma diminuição da adesão entre os ceratinócitos com posterior
desprendimento dos mesmos (SCHONS et al., 2007).
O tipo de avaliação morfológica realizada neste estudo confirmou a ocorrência do
adelgaçamento epitelial lingual, porém não contribuiu para determinar sua origem. Alterações
como estratificação irregular do epitélio associadas à ceratinização individual de células ou de
pequenos grupos de ceratinócitos no epitélio oral podem indicar distúrbios na maturação
celular (MORGAN, 1992). Da mesma forma, a presença de grande número de ceratinócitos
disceratóticos também é associada a alterações no processo de ceratinização, uma vez que é
um achado indicativo de defeito na diferenciação epitelial (YAGER; WILCOCK, 1994).
Na intoxicação espontânea pelo cogumelo, tem sido relatada a hiperemia do rodete
coronário, podendo ocorrer perda do revestimento córneo dos cascos (SANTOS, 1993). Nos
casos experimentais as lesões macroscópicas geralmente limitaram-se à hiperemia do rodete
coronário (KOMMERS; SANTOS, 1995) ou não havia alterações (SCHONS, et al., 2007).
Nos cascos dos bovinos aqui estudados havia somente alterações histológicas, observadas no
estrato laminar. Estas caracterizavam-se por graus variáveis de fusão, encurtamento, múltiplas
camadas de células não-ceratinizadas no topo, ceratinização irregular e descontínua com
persistência de núcleos, ceratinização individual e vacuolização de ceratinócitos das lâminas
epidérmicas. Todas estas alterações revelam defeitos na ceratinização, os quais foram
confirmados pelas técnicas de Tricrômico de Masson e OSC, conforme discutido para a
língua.
Uma das alterações mais consistentemente observadas tanto nos casos espontâneos
(BARROS et al., 2006) como nos experimentais foi o afrouxamento e queda dos pelos da
vassoura da cauda (KOMMERS; SANTOS, 1995; SCHONS et al., 2007), constituindo-se
num dos achados mais característicos desta intoxicação. Lesões semelhantes as da intoxicação
pelo cogumelo, principalmente as que envolvem a cauda e o casco, foram descritas na
intoxicação crônica por selênio (alkali disease) em bovinos (O’TOOLE; RAISBECK, 1995).
As lesões descritas no bulbo de bovinos intoxicados pelo cogumelo (BARROS et al., 2006)
assemelham-se às relatadas na medula espinhal de suínos (CASTEEL, et al., 1985). Nas
69
análises publicadas até o momento, não foram observados níveis tóxicos de selênio no
cogumelo (FREITAS et al., 1966) nem em tecidos de animais intoxicados (BAUER et al.,
1966). Vale salientar que essas análises do conteúdo de selênio foram realizadas mais de
40 anos.
Em seções histológicas da região da vassoura da cauda dos bovinos deste estudo, as
alterações puderam ser divididas, em lesões na parede folicular (bainhas radicular externa
[BRE] e interna [BRI]) e naquelas que envolveram os pelos propriamente ditos. As alterações
observadas no epitélio folicular, como desorganização e desalinhamento das células da BRE,
à semelhança do que é visto no epitélio lingual, podem indicar distúrbios na maturação celular
(MORGAN, 1992). Da mesma forma, a presença de grande número de células disceratóticas
indica defeito na diferenciação epitelial (MARUYAMA et al., 1994). Alterações foliculares
(telogenização, ceratinização, disceratose) semelhantes às descritas nos bovinos deste estudo
também foram relatadas na alkali disease (AD) em bovinos (O’TOOLE; RAISBECK, 1995).
Na patogênese proposta para a AD, devido à semelhança química entre o selênio (Se) e o
enxofre (S), acredita-se que as lesões epiteliais resultem da substituição do S pelo Se nos
resíduos de cisteína nas proteínas ricas em enxofre, com conseqüente enfraquecimento das
ligações dissulfeto (TRAUB-DARGATZ et al., 1986; O’TOOLE; RAISBECK, 1995).
Numa análise comparativa das lesões foliculares com as pilosas, observaram-se
indícios de que as duas se sobrepõe, de forma que as alterações na morfologia do pelo possam
ser resultantes tanto de defeitos no próprio pelo quanto decorrentes de uma parede folicular
defeituosa, que modela em seu interior um pelo deformado. Numa alteração rara em humanos
conhecida como pili torti, irregularidades da estrutura da BRE podem ter como consequências
deformidades sequenciais da BRI e do pelo, que dependendo do nível folicular não estão
totalmente ceratinizados (MARUYAMA et al.; 1994).
Nas seções histológicas, as principais alterações nas hastes pilosas demonstraram
contornos irregulares, tortuosidade e desintegração da haste. Nas hastes pilosas desintegradas
foi possível identificar, pela técnica do Tricrômico de Masson, somente fragmentos de hastes
pilosas coradas em amarelo, indicando ceratinização dura defeituosa. Pela técnica da OSC,
observou-se redução expressiva na coloração das hastes, confirmando a redução na
quantidade de cistina, como descrita para as papilas filiformes e para as lâminas epidérmicas
do casco.
O exame polaroscópico tem sido utilizado para identificar importantes alterações nas
hastes pilosas, especialmente em doenças de humanos (ITIN et al., 2001; SPERLING;
DiGIOVANNA, 2003). Vale salientar que na grande maioria destas doenças toda a haste
70
pilosa está afetada, pois muitas delas refletem defeitos congênitos no processo de
ceratinização. Para investigar possíveis defeitos na haste pilosa de bovinos intoxicados por R.
flavo-brunnescens fez-se necessário determinar a taxa aproximada de crescimento diário das
hastes pilosas, especialmente em torno do quinto dia de intoxicação, quando é melhor
detectado o afrouxamento dos pelos longos da vassoura da cauda (KOMMERS; SANTOS,
1995; SCHONS et al., 2007). Através do tingimento dos pelos da vassoura da cauda pôde-se
determinar que cerca de 3mm de pelo cresceram após a administração do cogumelo, dando
uma indicação de que as alterações observadas nesta porção estariam sob influência dos
princípios tóxicos do mesmo. Isto permitiu não somente a avaliação da área afetada através do
exame polaroscópico dos pelos do Bovino 16, como dos pelos de vários bovinos intoxicados
espontaneamente. É importante salientar que houve parada do crescimento dos pelos entre o
e 15° dias do experimento com o Bovino 16, talvez refletindo a deficiência de cistina na
replicação das células da matriz pilosa (NODA et al., 2002), como discutido para a língua.
O exame polaroscópico dos pelos (colhidos no exame clínico ou na necropsia)
permitiu uma boa identificação das alterações morfológicas e, adicionalmente, das alterações
no padrão de birrefringência dos pelos. Muitas alterações morfológicas observadas nos pelos
dos bovinos deste estudo foram semelhantes a condições que envolvem algum tipo de defeito
relacionado à ceratinização descrita em humanos. Dentre elas destacam-se ondulação,
achatamento e torção de hastes (MASAAKI et al., 1984; MARUYAMA et al.; 1994;
PEREIRA, 1997; WEEDON, 2002; WHITING; DY, 2006).
O pelo normal tem fibras ceratinizadas paralelas ao longo da haste e quando
examinado sob luz polarizada mostra variação gradual de cores ao longo de todo o seu
comprimento (SPERLING; DiGIOVANNA, 2003). Cabelos de pacientes humanos com
tricotiodistrofia (TTD), uma doença congênita na qual quantidade reduzida de proteínas
ricas em cistina, causando fraqueza estrutural da haste pilosa, exibem bandas escuras e claras,
alternadas ao longo de toda a haste no exame polaroscópico (ITIN et al., 2001). Não se sabe
se esse fenômeno ocorre devido a formação anormal das fibras de ceratina ou se os
tonofilamentos estão alinhados em padrão anormal (SPERLING; DiGIOVANNA, 2003).
Nos pelos dos bovinos intoxicados por R. flavo-brunnescens as alterações no padrão
de birrefringência (segmentos com ausência de polarização) são observadas nas áreas
suprabulbares, correspondendo à porção do pelo que cresceu sob influência do princípio
tóxico do cogumelo, e provavelmente refletem a redução do aminoácido cistina detectada nos
pelos pela técnica da OSC nas seções histológicas da cauda.
71
O exame da cutícula pilosa do Bovino 16, através da microscopia eletrônica de
transmissão com o uso da técnica de Swift, revelou marcada modificação na morfologia da
exocutícula, porém, as alterações foram mínimas ou ausentes na camada A da exocutícula.
Foi observada irregularidade da exocutícula e inclusões anormais de cistina no interior da
endocutícula. A técnica de Swift (metenamina-nitrato de prata amoniacal), sob microscopia
eletrônica de transmissão, é considerada como um método histoquímico específico para a
detecção do S presente no aminoácido cistina, havendo uma correlação estequiométrica
positiva entre a intensidade da coloração e a concentração de S presente (SWIFT, 1967). Na
cutícula de cabelos tricotiodistóficos, as camadas A e a exocutícula podem estar ausentes ou
descontínuas e glóbulos de material eletrodenso (inclusões cistina-positivas anormais) podem
ser identificados na camada A e no interior da endocutícula (GUMMER et al., 1984;
KHUMALO et al., 2005), como vistas na endocutícula do Bovino 16. Apesar de não terem
sido observadas alterações na camada A da exocutícula no Bovino 16, as demais alterações
são muito semelhantes às vistas na TTD, permitindo mais uma vez inferir que as alterações
pilosas vistas na intoxicação pelo cogumelo estão relacionadas a um baixo conteúdo de
cistina.
Em todos os tecidos avaliados não foram observadas lesões que corroborem com a
patogênese proposta para a intoxicação por Ramaria flavo-brunnescens em ovinos, onde a
doença foi comparada ao ergotismo (SALLIS et al., 2000).
Todas as alterações observadas nas estruturas ceratinizadas estudadas, mas
especialmente nas que sofrem ceratinização dura, revelaram múltiplos defeitos na
ceratinização. Aliando ao estudo morfológico os resultados obtidos através da técnica da OSC
e da microscopia eletrônica/técnica de Swift pode-se associar os defeitos na ceratinização a
uma redução na quantidade de aminoácidos sulfurados (cisteína/cistina) com resultante
enfraquecimento da estrutura molecular da ceratina dura.
5 CONCLUSÕES
1. A patogênese das lesões epiteliais na intoxicação por Ramaria flavo-brunnescens em
bovinos envolve distúrbios na ceratinização mole e dura (principalmente), ligados
possivelmente à proliferação, diferenciação e maturação de ceratinócitos, induzidos por
marcada redução na cistina.
2. As ulcerações observadas na língua e esôfago devem-se ao epiteliotropismo do
princípio tóxico do cogumelo, com conseqüente adelgaçamento do epitélio de
revestimento e ulcerações pelo atrito e infecção bacteriana secundária.
REFERÊNCIAS
BACHA JR, W. J.; WOOD, L. M. Integument. In:____Color atlas of veterinary histology.
Philadelphia: Lea & Febiger, 1990. cap. 12, p. 81-109.
BANKS, W. J. Histologia veterinária aplicada. 2. ed. São Paulo: Manole, 1991.
629 p.
BARROS, R. R. Intoxicação por Ramaria flavo-brunnescens (Clavariaceae). 2005. 53 f.
Dissertação (Mestrado em Medicina Veterinária) Universidade Federal de Santa Maria,
Santa Maria.
BARROS, R. R. et al. Intoxicação por Ramaria flavo-brunnescens (Clavariaceae) em
bovinos. Pesq. Vet. Bras., Rio de Janeiro. v. 26, n. 2, p. 87-96, 2006.
BAUER, A. G.; LARANJA, R. J.; SANTOS, A. G. Sobre a etiologia do chamado “Mal do
Eucalipto”. Arqs Inst. Vet. Desidério Finamor, v. 3, p. 85-90, 1966.
BEHMER, O. A.; TOLOSA, E. M. C.; FREITAS NETO, A. G. F. Manual de técnicas para
histologia normal e patológica. São Paulo: EDART, 1976. 241 p.
BERTRAM, J. E. A.; GOSLINE, J. M. Functional design of horse hoof keratin: the
modulation of mechanical properties through hydration effects. J. Exp. Biol., Cambridge. v.
130, n. x, p. 121-136, 1987.
BOURNE, G. An introduction to functional histology. Boston: Little and Brown, 1960, 196p.
CASTEEL S. W., et al. Selenium toxicosis in swine. J. Am. Vet. Med. Assoc., Tampa. v.
186, p. 1084-1085, 1985.
DELLMAN, H. D.; BROWN, E. M. Histologia veterinária. Rio de Janeiro: Guanabara
Koogan,1982. 397 p.
DONGRE, A.; BHISEY, P.; KHOPKAR, U. Polarized light microscopy. Indian Dermatol.
Venereol. Leprol., Mumbai. v. 73, n. 3, p. 206-208, 2007.
74
EKFALCK, A. et al. Distribution of labeled cystine and methionine in the matrix of the
stratum medium of the wall and in the laminar layer of the equine hoof. J. Vet. Med.,
Danvers. v. 37, p. 481–491, 1990.
ELLIOTT, W. H.; ELLIOTT, D. C. The structure of proteins. In:____Biochemistry and
molecular biology. Oxford: Oxford University Press, 1997. cap 2, p. 26-37.
FERNANDES, M. C. Métodos escolhidos de técnica microscópica. 2 ed. Rio de Janeiro:
Imprensa Nacional, 1949, 615 p.
FIDALGO, O.; FIDALGO, M. E. P. K. A poisonous Ramaria from southern Brazil. Rickia,
São Paulo, v. 5, p. 71-91, 1970.
FREITAS, J. et al. 1966. Comunicacion sobre uma enfermedad aparecida em ganados del
Uruguay em los últimos anos (Bocopa). In: CONGRESSO PANAMERICANO DE
MEDICINA VETERINÁRIA Y ZOOTECNIA, 5., 1966, Caracas. Anais... Caracas: 1966. p.
152-159.
GINN, P. E. et al. Skin and appendages. In: MAXIE, M. G.(Ed.). Jubb, Kennedy and
Palmer’s pathology of domestic animals. 5th ed. Philadelphia: Saunders Elsevier, 2007.
cap. 5, v.1. p. 553-781.
GUMMER, C. L.; DAWBER, R. P. R.; PRICE, V. H. Trichothiodystrophy: an electron-
histochemical study of the hair shaft. Br. J. Dermatol., Nottingham. v. 110, p. 439-449,
1984.
HAM, A. W.; CORMACK, D. H. The integumetary system (The skin and its appedanges).
In:____Histology. 8th. ed. Philadelphia: J. B. Lippincott Company, 1979, cap. 20, p . 614-
644.
ITIN, P. H.; SARASIN, A.; PITTELKOW, M. R. Trichothiodystrophy: update on the sulfur-
deficient brittle hair syndromes. J. Am. Acad. Dermatol., Charleston. v. 44, p. 891-920,
2001.
ITIN, P.; FISTAROL, S. K. Hair shaft abnormalities clues to diagnosis and treatment.
Dermatol., v. 211, p. 63-71, 2005.
JUNQUEIRA, L. C.; CARNEIRO, J. Pele e Anexos. In: JUNQUEIRA, L.C.; CARNEIRO,
L.C. (Org.) Histologia básica. 9 ed. Rio de Janeiro: Guanabara Koogan, 1999. Cap. 18, p.
303-314.
75
KHUMALO, N. P.; DAWBER, R. P. R.; FERGUSON, D. J. P. Apparent fragility of African
hair is unrelated to the cystine-rich protein distribution: a cytochemical electron microscopic
study. Exp. Dermatol., v. 14, p. 311–314, 2005.
KOMMERS, G. D. Intoxicação experimental por Ramaria flavo-brunnecens
(Clavariaceae) em bovinos: estudo da patogenia das lesões dos cascos, cauda, chifres e
língua. 1993. 63 f. Dissertação (Mestrado em Medicina Veterinária) - Universidade Federal
de Santa Maria, Santa Maria.
KOMMERS, G. D.; SANTOS, M. N. Experimental poisoning of cattle by the mushroom
Ramaria flavo-brunnescens (Clavariaceae): a study of the morphology and pathogenesis of
lesions in hooves, tail, horns and tongue. Vet. Hum. Toxicol., v. 37, p. 297-302, 1995.
LEHNINGHER, A. L. Bioquímica. São Paulo: Edgar Blücher, 1978, v. 1, 262 p.
LEVER, W. F.; SCHAUMBURG-LEVER, G. Histologia da pele. In:____Histopatologia da
pele. 7. ed. v. 1. São Paulo: Manole, 1991. cap. 3, p. 8-34.
LIANG, C. et al. Structural and molecular hair abnormalities in Trichothiodystrophy. J.
Invest. Dermatol., Dallas, v. 126, p. 2210–2216, 2006.
LILLIE, R. D.; BANGLE, R. The peracetic acid Schiff reaction of hair cortex. J. Histochem.
Cytochem., Washington, v. 2, n. 4, p. 300-310, 1954.
MANABE, M. et al., Architetural organization of filiform papillae in normal and black hairy
tongue epithelium. Arch. Dermatol., Chicago, v. 135, p. 177-180, 1999.
MARLIANI, A.; GIGLI, P.; SALIN, M. Trichological microscopy in polarized light. J. Eur.
Acad. Dermatol. Venereol., Nice. v. 9, (Supl. 1), p. 126, 1997.
MARSHALL, R. C.; ORWIN, D.F.G.; GILLESPIE, J.M. Structure and biochemistry of
mammalian hard keratin. Electron Microsc. Rev., v. 4, n. 1, p. 47-83, 1991.
MARUYAMA, T. et al. Pathogenesis in pili torti: morphological study. J. Dermatol. Sci.,
Nagoya. (Supl. 7), p. 5-12, 1994.
76
MASAAKI, I. et al. Pathogenesis in Trichorrhexis invaginata (bamboo hair). J. Invest.
Dermatol., Chapel Hill. v. 83, n. 4, p. 1-6, 1984.
MATOLTSY, A. G. Keratinization. J. Invest. Dermatol., Chapel Hill. v. 67, n. 1, p. 20–25,
1976.
MEYER, W. et al. Comparative distribution of sulphur, thiol and disulphides in the porcine
stratum corneum. Eur. J. Dermatol., Paris. v. 15, n. 4, p. 243-250, 2005.
MORGAN, P. R. Neoplasms and precancerous conditions of the oral mucosa. In: McGEE, J.
O.; ISAACSON, P. G.; WRIGHT, N. A (Orgs) Oxford textbook of pathology. 2nd. v. 2a.
Oxford: Oxford University Press, 1992. cap. 14, p. 1059-1067.
MÜLLING, C. K. W. et al. How structures in bovine hoof epidermis are influenced by
nutritional factors. Anat. Histol. Embryol., Munich, v. 28, p. 103-108, 1999.
NAUDÉ, T. W.; BERRY, W. L. Suspected poisoining of puppies by the mushroom Amanita
pantherina. Tydskr. S. Afr. Vet. Ver., Johannesburg. v. 68, p. 154-158, 1997
NÉSPOLI, P. B. et al. Aspectos clínico-patológicos da intoxicação experimental por selenito
de sódio em equinos. Pesq. Vet. Bras., Rio de Janeiro. v. 21, n. 3, p. 109-116, 2001.
NODA, T. et al. Exogenous cysteine and cystine promote cell proliferation in CaCo-2 cells.
Cell. Prolif., London. v. 35, p. 117-129, 2002.
NORLÉN, L.; AL-AMOUDIZ, A. Stratum corneum keratin structure, function, and
formation: the cubic rod-packing and membrane templating model. J. Invest. Dermatol.,
Chapel Hill. v. 123, n. 4, p. 715-732, 2004.
O’TOOLE, D.; RAISBECK, M. F. Pathology of experimentally induced chronic selenosis
(alkali disease) in yearling cattle. J. Vet. Diag. Invest., Athens. v. 7, p. 364-373, 1995.
PEARSE, A. G. E. The histochemical demonstration of keratin by methods involving
selective oxidation. Quart. J. Micr. Sci., London. v. 92, p. 393-402, 1951
PEREIRA, A. L. M. Moniletrix: relato de caso. An. Bras. Dermatol., São Paulo. v. 72, n. 5,
p. 455-457, 1997.
77
POLLITT, C. Update on the anatomy of the inner hoof wall. Disponível em: <http://
www.equipodiatry.com/update.pdf> Acesso em: 6. jul. 2008
PRICE, V. H. et al. Trichothiodystrophy - Sulfur-deficient brittle hair as marker for a
neuroectodermal symptom complex. Arch. Dermatol., Chicago. v. 116, p. 1375-1384, 1980.
PROPHET, E. B. et al. Laboratory methods in histotechnology. Washington: American
registry of pathology, 1992. 278 p.
RIET-CORREA, F.; MENDÉZ, M. D. C. Intoxicação por Plantas e Micotoxinas. In: RIET-
CORREA, F.; SCHILD, A. L.; LEMOS, R. A. A.; BORGES, J. R. J. (Org). Doenças de
Ruminantes e Eqüídeos. 3. ed. Santa Maria: Pallotti, 2007, v. 2, p. 99-221.
ROZZA, D. B. et al. Intoxicação por Ramaria flavo-brunnescens em búfalos. Pesq. Vet.
Bras., Rio de Janeiro. v. 24 (Supl.), p. 56-57, 2004.
SALLIS, E. S. V.; RIET-CORREA, F.; MÉNDEZ, M. C. Experimental intoxication by
Ramaria flavo-brunnescens in sheep. N. Zealand Vet. J., Palmerston North, v. 41, p. 224,
1993.
SALLIS, E. S. V.; et al. Experimental intoxication by the mushroom Ramaria flavo-
brunnescens in sheep. Vet. Human. Toxicol., Estados Unidos, v.42, n. 6, p. 321-324, 2000.
SALLIS, E. S. V.; RAFFI, M. B.; RIET-CORREA, F. Intoxicação experimental em ovinos
com Ramaria flavo-brunnescens congelada ou dessecada. Pesq. Vet. Bras., Rio de Janeiro, v.
24, n. 2, p.107-110, 2004.
SANTOS, M. N.; BARROS, S. S; BARROS, C. S. L. Intoxicação em bovinos pelo cogumelo
Ramaria flavo-brunnescens. Pesq. Agropec. Bras. Sér. Vet., Rio de Janeiro, v.10, p.105-109,
1975.
SANTOS, M. N. et al. Intoxicação por Ramaria flavo-brunnescens. In: RIET-CORREA, F. et
al. Intoxicações por plantas e micotoxicoses em animais domésticos. Pelotas: Editorial
Agropecuário Hemisfério Sul do Brasil, 1993. p. 309-318.
SCOTT, D. W.; MILLER, W. H. JR.; GRIFFIN, C. G. Dermatologia de pequenos animais.
5.ed. Rio de Janeiro: Interlivros, 1996. 1129 p. 671-686.
78
SCHONS, S. V. et al. Estudo histológico, imuno-histoquímico e ultra-estrutural das lesões
induzidas experimentalmente por Ramaria flavo-brunnescens (Clavariaceae) em bovinos.
Pesq. Vet. Bras., Rio de Janeiro, v, 27, n. 7, p. 269-276, 2007.
SCHONS, S. V. Intoxicação experimental por Ramaria flavo-brunnescens em bovinos:
estudo da patogenia. 2006. 44 f. Dissertação (Mestrado em Ciências) Universidade Federal
de Pelotas, Pelotas.
SPERLING, L. C.; DiGIOVANNA, J. J. “Curly” wood and tiger tails - An explanation for
light and dark banding with polarization in Trichothiodystrophy. Arch Dermatol., London. v.
139, p. 1189-1192, 2003.
STEFLIK, D. E., et al. Correlated TEM, SEM, and Histological observations of filiform
papillae of the cow tongue. Acta. Anat., London. v. 117, p. 21-30, 1983.
STUMP, J. E. 1967. Anatomy of the normal equine foot, including microscopic features of
the laminar region. J. Am. Vet. Med. Assoc., Tampa, v. 151, n. x, p. 1588-1598, 1967.
SWIFT, J. A. The electron histochemistry of cystine-containing proteins in thin transverse
sections of human hair. J. Royal Microsc. Soc., Oxford, v. 88, p. 449-469, 1967.
TOKARNIA, C. H., et al, Plantas tóxicas do Brasil. Rio de Janeiro: Helianthus, 2000. p.
206-209.
TOMLINSON, D. J.; MÜLLING, C. H.; FAKLER, T. M. Formation of keratins in the
bovine claw: roles of hormones, minerals, and vitamins in functional claw integrity. J. Dairy
Sci., Savoy, v. 87, n. 4, p. 797–809, 2004.
TRAUB-DARGATZ, J. L. et al. Selenium toxicity in horses. Commpend. Cont. Ed.,
Yardley, v. 8, n. 10, p. 771-776, 1986.
VALENTE, N. Y. S. et al. Polarized light microscopy of hair shafts aids in the differential
diagnosis of Chédiak-higashi and Griscelli-prunieras syndromes. Clinics., São Paulo, v. 61, n.
4, p. 327-332, 2006.
VAN SCOTT, E. J.; FLESCH, P. Sulfhydryl groups and disulfide linkages in normal and
pathological keratinization. Arch. Dermatol. Syphil., London. v. 70, n. 2, p. 141-151, 1954.
WEEDON, D. Skin pathology. 2nd ed. Philadelphia: Churchill Livingstone, 2002, 1158 p.
79
WHITING, D. A.; DY, L. C. Office diagnosis of hair shaft defects. Sem. Cutan. Med.
Surg.,v. 25, p. 24-34, 2006.
WOLMAN, M. Polarized light microscopy as a tool of diagnostic pathology. J. Histochem.
Cytochem., Salt Lake City. 23, n. 1, p. 21-50, 1975.
YAGER, J. A.; WILCOCK, B.P. Color atlas and text of surgical pathology of the dog and
cat. Dermatopathology and skin tumors. London: Wolfe, 1994. 320 p. v.1.
80
Apêndice A – Oxidação seletiva da ceratina (OSC) solução oxidante de
ácido peracético (LILLIE & BANGLE, 1954).
1) À 259 ml de peróxido de hidrogênio a 30% adicionar 95,6 ml de ácido acético glacial
2) Adicionar, à mistura, 2,2 ml de ácido sulfúrico concentrado
3) Deixar a solução na geladeira por 24 h.
4) Após, acrescentar 40 mg de fosfato dissódico (Na
2
HPO
4
)
5) A solução deve ser mantida sob refrigeração e permanece estável por algumas semanas.
81
Apêndice B – Técnica de Swift para demonstração de cistina em seções
transversais de pelo (SWIFT, 1967)
1) Desengordurar os pelos em éter etílico por 24 horas.
2) Desidratar em etanol e embeber em resina Epoxi.
3) Seções transversais de, aproximadamente 50-100 nm de espessura devem ser colhidas em
grade de ouro.
4) Colocar as grades em placa de Petri, cobrir com o reagente (APÊNDICE C), e colocar sob
luz, em estufa a 45°C.
5) Após 30 minutos lavar as grades em água destilada.
6) Observar em microscópio eletrônico de transmissão.
82
Apêndice C - Reagente metenamina-nitrato de prata
1) Solução A: 5 ml de nitrato de prata a 5% adicionados a 100 ml de hexametilenotetramina
(metenamina) a 3%.
2) Solução B: 10 ml de ácido bórico a 1,44% adicionados a 100 ml de bórax a 1,9%.
3) Solução de trabalho: 25 ml de solução A
5 ml da solução B
25 ml de água destilada
O reagente completo tem um pH de 9,2 e pode ser estocado por uma semana, em refrigerador
a 0°C.
Livros Grátis
( http://www.livrosgratis.com.br )
Milhares de Livros para Download:
Baixar livros de Administração
Baixar livros de Agronomia
Baixar livros de Arquitetura
Baixar livros de Artes
Baixar livros de Astronomia
Baixar livros de Biologia Geral
Baixar livros de Ciência da Computação
Baixar livros de Ciência da Informação
Baixar livros de Ciência Política
Baixar livros de Ciências da Saúde
Baixar livros de Comunicação
Baixar livros do Conselho Nacional de Educação - CNE
Baixar livros de Defesa civil
Baixar livros de Direito
Baixar livros de Direitos humanos
Baixar livros de Economia
Baixar livros de Economia Doméstica
Baixar livros de Educação
Baixar livros de Educação - Trânsito
Baixar livros de Educação Física
Baixar livros de Engenharia Aeroespacial
Baixar livros de Farmácia
Baixar livros de Filosofia
Baixar livros de Física
Baixar livros de Geociências
Baixar livros de Geografia
Baixar livros de História
Baixar livros de Línguas
Baixar livros de Literatura
Baixar livros de Literatura de Cordel
Baixar livros de Literatura Infantil
Baixar livros de Matemática
Baixar livros de Medicina
Baixar livros de Medicina Veterinária
Baixar livros de Meio Ambiente
Baixar livros de Meteorologia
Baixar Monografias e TCC
Baixar livros Multidisciplinar
Baixar livros de Música
Baixar livros de Psicologia
Baixar livros de Química
Baixar livros de Saúde Coletiva
Baixar livros de Serviço Social
Baixar livros de Sociologia
Baixar livros de Teologia
Baixar livros de Trabalho
Baixar livros de Turismo