Download PDF
ads:
DANIELA SALGADO ALVES VILELA
EFEITOS DA OXIGENOTERAPIA HIPERBÁRICA SOBRE A
REGENERAÇÃO HISTOLÓGICA DO NERVO FACIAL
EXTRATEMPORAL APÓS LESÃO POR ESMAGAMENTO:
ESTUDO EXPERIMENTAL EM COELHOS
São Paulo
2007
Tese apresentada ao curso de s-
graduação da Faculdade de Ciências
Médicas da Santa Casa de São Paulo para
obtenção do título de Mestre em Medicina.
ads:
Livros Grátis
http://www.livrosgratis.com.br
Milhares de livros grátis para download.
DANIELA SALGADO ALVES VILELA
EFEITOS DA OXIGENOTERAPIA HIPERBÁRICA SOBRE A
REGENERAÇÃO HISTOLÓGICA DO NERVO FACIAL
EXTRATEMPORAL APÓS LESÃO POR ESMAGAMENTO:
ESTUDO EXPERIMENTAL EM COELHOS
Tese apresentada ao curso de Pós-
graduação da Faculdade de Ciências
Médicas da Santa Casa de São Paulo para
obtenção do título de Mestre em Medicina
Área de Concentração: Otorrinolaringologia
Orientador: Prof. Dr. Paulo Roberto Lazarini
Co-orientador: Prof. Dr. Ciro Ferreira da Silva
São Paulo
2007
ads:
FICHA CATALOGRÁFICA
Preparada pela Biblioteca Central da
Faculdade de Ciências Médicas da Santa Casa de São Paulo
Vilela, Daniela Salgado Alves
Efeitos da oxigenoterapia hiperbárica sobre a regeneração
histológica do nervo facial extratemporal após lesão por
esmagamento: estudo experimental em coelhos./ Daniela Salgado
Alves Vilela. São Paulo. 2007.
Tese de Mestrado. Faculdade de Ciências Médicas da
Santa Casa de São Paulo – Curso de pós-
graduação em Medicina
Área de Concentração: Otorrinolaringologia
Orientador: Paulo Roberto Lazarini
Co-Orientador: Ciro Ferreira da Silva
1. Nervo facial 2. Oxigenoterapia 3. Oxigenação hiperbárica
4. Regeneração nervosa 5. Animais 6. Coelhos
BC-FCMSCSP/25-2007
O presente trabalho foi realizado com apoio financeiro da CAPES (Coordenação de
Aperfeiçoamento de Pessoal de vel Superior - bolsa na modalidade II) e do Fundo
de Amparo à Pesquisa da Fundação Arnaldo Vieira de Carvalho.
Aos meus pais, Maria Júlia e Douglas, que
com muito amor e dedicação me ensinaram
a tentar sempre fazer o melhor;
Ao meu irmão Dárcio e minha cunhada
Daniela, pelo companheirismo, amizade e
alegria constantes;
Ao meu marido Cristiano, meu maior
incentivador, que todos os dias me ajuda a
sonhar mais alto.
O segredo é não correr atrás das borboletas....
É cuidar do jardim para que elas venham até
você.
Mario Quintana
AGRADECIMENTOS ESPECIAIS
Ao Prof. Dr. Paulo Roberto Lazarini, professor do programa de pós-graduação e
professor instrutor do Departamento de Otorrinolaringologia da Santa Casa de São
Paulo, por ser um exemplo de busca incessante de conhecimento e aprendizado,
por não se abater pelas adversidades e sempre acreditar em novos desafios.
Ao Prof Dr Ciro Ferreira da Silva, Professor Livre Docente do Departamento de
Biologia Celular e do Desenvolvimento do Instituto de Ciências Biomédicas da
Universidade de São Paulo, pela co-orientação neste trabalho, e por ter permitido o
preparo do material histológico no Instituto de Ciências Biomédicas da USP.
AGRADECIMENTOS
À Faculdade de Ciências Médicas da Santa Casa de São Paulo e à Irmandade de
Santa Casa de São Paulo, que há15 anos me acolheram, e onde me sinto em casa.
Ao Prof. Dr. José Mandia Neto, Diretor Clínico da Irmandade da Santa Casa de
Misericórdia de São Paulo, e ao Prof. Dr. Décio Roveda Junior, Diretor do Serviço de
Diagnóstico por Imagem da Irmandade da Santa Casa de Misericórdia de São Paulo
por autorizarem a realização deste estudo.
Ao Dr Paulo Roberto Cavallaro Azevedo, Coordenador do Serviço de Oxigenoterapia
Hiperbárica da Irmandade da Santa Casa de Misericórdia de São Paulo, e aos
demais médicos do serviço, pelo estímulo e orientação para operação da câmara
hiperbárica.
Às Profas. Dras. Celina Siqueira Barbosa Pereira e Heloisa Juliana Zabeu Rossi
Costa, e aos Profs. Drs. Leonardo da Silva e Edson Ibrahim Mitre, pela participação
no exame de qualificação e pelas opiniões que enriqueceram este trabalho.
Ao Prof. Dr. José Eduardo Lutaif Dolci, Diretor do Departamento de
Otorrinolaringologia da Santa Casa de São Paulo, pela constante disposição e
entusiasmo, que torna tantos de seus alunos apaixonados pela rinologia.
Ao Prof. Dr. Otacílio Lopes Filho, Professor Titular do Departamento de
Otorrinolaringologia da Santa Casa de São Paulo, pelo invejável conhecimento e
disposição constante ao ensino.
Ao Prof. Dr. Henrique Olavo Olival Costa, Coordenador do Conselho do Programa
de Pós Graduação em Otorrinolaringologia da Faculdade de Ciências Médicas da
Santa Casa de São Paulo, grande encorajador dos trabalhos experimentais.
Ao Prof. Dr. Lídio Granato, Professor Adjunto do Departamento de
Otorrinolaringlogia da Santa Casa de São Paulo, modelo de ética e auxílio ao
próximo.
Ao Prof. Dr. Ney Penteado Castro Júnior, Professor Adjunto do Departamento de
Otorrinolaringlogia da Santa Casa de São Paulo, pelos ensinamentos na área de
otologia.
Ao Prof. Dr. Carlos Alberto Herrerias de Campos, Professor Adjunto do
Departamento de Otorrinolaringlogia da Santa Casa de São Paulo, quem primeiro
despertou meu interesse pela otorrinolaringologia.
Ao Prof. Dr. Ivo Bussoloti Filho, Professor Adjunto do Departamento de
Otorrinolaringlogia da Santa Casa de São Paulo, pela simpatia e pelos
ensinamentos na área de rinologia.
À estatística Ting, pelo auxílio na análise dos dados referentes a esse estudo.
Aos funcionários da técnica cirúrgica da Santa Casa de São Paulo, em especial à
veterinária Dra.Fernanda, pelo auxílio no contato com os animais.
Agradecimento especial à bióloga Andréa Bonnini, pela disposição e ajuda
inestimável na realização dos procedimentos cirúrgicos, e pelos muitos momentos
alegres e prazerosos compartilhados.
Ao Sr Gaspar, técnico do Instituto de Ciências Biomédicas da USP, pelo auxílio no
preparo do material histológico.
As secretária da pós-graduação Sônia e Celina, pela competência e disposição
constantes.
Aos assistentes, colegas e funcionários do Departamento de Otorrinolaringologia da
Santa Casa de São Paulo, em especial as secretárias Zélia e Ana, pela amizade e
convívio saudável.
ABREVIATURAS E SÍMBOLOS
Atm atmosfera
ATA atmosfera absoluta
CD disco compacto
CD 18 grupo de diferenciação 18
cm centímetro
º C grau Celsius
et al e outros
g grama
H
2
O
2
peróxido de hidrogênio
ICAM 1 molécula de adesão inter-celular 1
Kg quilograma
M molar
µm micrômetro
µm
2
micrômetro quadrado
mg/dia miligrama por dia
mg/Kg miligrama por kilograma
g/Kg/dia grama por quilograma por dia
µg/dia micrograma por dia
ml mililitro
ml/Kg mililitro por quilograma
mm milímetro
mmHg milímetros de mercúrio
OHB oxigenoterapia hiperbárica
paO
2
pressão parcial oxigênio no sangue arterial
PMN polimorfonucleares
u/dia unidade por dia
vol volume
SUMÁRIO
1. INTRODUÇÃO .....................................................................................................................................1
1.1 OXIGENOTERAPIA HIPERBÁRICA ........................................................................................... 4
1.2 REVISÃO BIBLIOGRÁFICA ...................................................................................................... 12
1.2.a Aspectos anatômicos, histológicos e fisiológicos do nervo facial ....................................... 12
1.2.b Mecanismos de lesão neural............................................................................................... 15
1.2.c Degeneração e regeneração neural.................................................................................... 17
1.2.d Graus de lesão neural ......................................................................................................... 19
1.2.e Modelos experimentais para avaliação da regeneração do nervo facial ............................ 20
1.2.f Métodos histológicos para a avaliação da regeneração neural ........................................... 23
1.2.g Efeitos da oxigenoterapia hiperbárica na regeneração de nervos periféricos .................... 26
1.2.h Indícios de efeitos da oxigenoterapia hiperbárica na regeneração do nervo facial ............ 31
2. OBJETIVO .........................................................................................................................................34
3. MATERIAL E MÉTODO.....................................................................................................................35
3.1 MATERIAL.................................................................................................................................. 35
3.1.a Local .................................................................................................................................... 35
3.1.b Animais ................................................................................................................................ 35
3.1.c Medicamentos...................................................................................................................... 36
3.1.d Material e instrumental cirúrgico.......................................................................................... 36
3.1.e Amostra ............................................................................................................................... 36
3.2 MÉTODO .................................................................................................................................... 37
3.2.a Grupos ................................................................................................................................. 37
3.2.b Técnica operatória ............................................................................................................... 38
3.2.c Cuidados pós-operatórios.................................................................................................... 42
3.2.d Oxigenoterapia hiperbárica ................................................................................................. 42
3.2.e Reoperação ......................................................................................................................... 44
3.2.f Tratamento dado à peça removida....................................................................................... 47
3.2.g Estudo histológico................................................................................................................ 47
3.2.h Estudo estatístico ................................................................................................................ 48
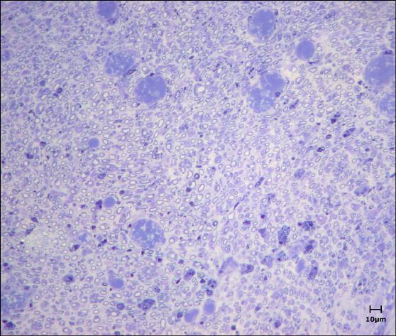
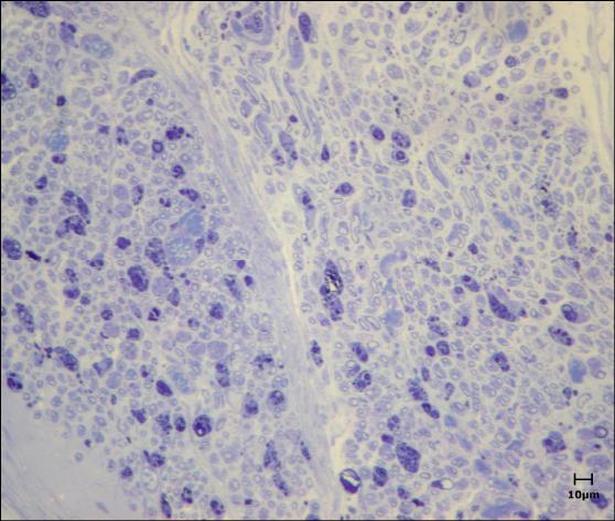
4. RESULTADOS...................................................................................................................................49
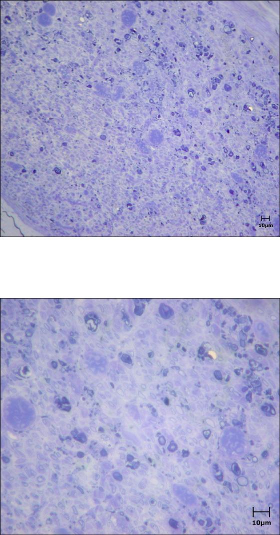
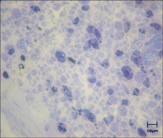
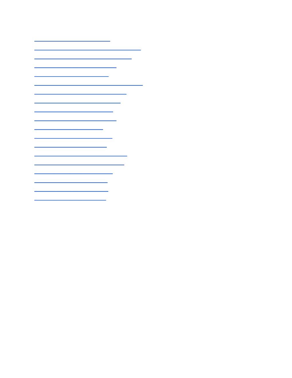
4.1 Análise histológica qualitativa ................................................................................................ 49
4.2 Análise histológica quantitativa .............................................................................................. 55
5. DISCUSSÃO ......................................................................................................................................61
5.1 Animal Escolhido...................................................................................................................... 62
5.2 Método ....................................................................................................................................... 63
5.2.a Técnica Cirúrgica................................................................................................................. 63
5.2.b Esquema de oxigenoterapia hiperbárica............................................................................. 66
5.2.c Avaliação histológica ........................................................................................................... 68
5.3 Resultados................................................................................................................................. 70
5.4 Comentários finais.................................................................................................................... 73
6. CONCLUSÕES ..................................................................................................................................75
7. ANEXOS ............................................................................................................................................76
8. REFERÊNCIAS BIBLIOGRÁFICAS .................................................................................................79
FONTES CONSULTADAS ....................................................................................................................85
RESUMO................................................................................................................................................86
ABSTRACT............................................................................................................................................88
APÊNDICES...........................................................................................................................................89
1
1. INTRODUÇÃO
O nervo facial é responsável pela atividade motora dos músculos da mímica
facial. Além dos movimentos musculares faciais voluntários, garante a manutenção
do tônus desta musculatura, e também os movimentos involuntários da expressão
facial. Sua paralisia, parcial ou total, independente da etiologia, é clinicamente
evidenciada pelo prejuízo na função motora facial, dificultando a realização de
atividades como piscar os olhos, elevar as sobrancelhas, comer, beber, falar, beijar e
sorrir adequadamente, causando grande prejuízo funcional, estético e psicológico
aos pacientes.
O nervo facial é o segundo nervo craniano mais acometido nos traumas de
cabeça e pescoço, devido a seu longo trajeto intratemporal, antecedido pelo nervo
olfatório (Turner, 1944). A paralisia facial traumática é a causa mais freqüente de
paralisia facial na infância e a segunda no adulto, sendo a primeira a paralisia de
Bell (Fisch, 1980). A porção situada dentro do canal do nervo facial é a mais
freqüentemente acometida. Na atualidade, o aumento do número de acidentes
automobilísticos, atropelamentos e ferimentos por arma de fogo faz da paralisia
facial periférica traumática uma afecção cada vez mais freqüente.
As lesões neurais, independente de sua etiologia, resultam em edema e
conseqüente aumento da pressão endoneural (Powell et al, 1979). Acredita-se que
esse aumento pressórico dentro do perineuro, pouco complacente, resulte no
bloqueio dos vasos epineurais e transperineurais, com interrupção do fluxo na vasa
nervorum e conseqüente lesão neural por isquemia (Powell et al, 1979; Powell,
Myers, 1986). Presume-se que nas neurites do nervo facial tanto de etiologia
traumática quanto infecciosa esses fenômenos, ocorrendo dentro do canal do nervo
2
facial, provocam facilmente compressão do sistema de irrigação do nervo facial,
causando isquemia e degeneração axonal (Powell et al, 1979).
As lesões neurais podem ser completas ou incompletas. Nas lesões
completas, com transecção neural, o ocorre recuperação espontânea, e as
técnicas de reparo neural devem ser aplicadas (Szal, Miller, 1975; Bento, Miniti,
1993). Nas lesões incompletas do nervo, o tratamento baseia-se na terapêutica
clínica e, portanto, depende do desenvolvimento de novas terapias e da descoberta
de novas drogas que inibam a degeneração ou auxiliem na regeneração neural
(Costa, 2003).
Na paralisia de Bell o tratamento ainda é realizado de forma empírica e
controversa. A teoria mais aceita na literatura, de provável etiologia viral relacionada
à paralisia, é fundamentada por estudos clínicos e experimentais (Murakami et al,
1996a; Murakami et al, 1996b; Wakisaka et al, 2002; Lazarini et al, 2006).
Independente da etiologia, na patogênese deste processo parece ocorrer
insuficiência vascular isquêmica e hipóxia do nervo facial (Adour et al, 1996). A
terapia habitual inclui o uso de antivirais e de corticóides, que pretendem diminuir a
pressão endoneural, ajudando na regressão da isquemia (Adour et al, 1996).
Entretanto, revisões sistemáticas de trabalhos que avaliaram os efeitos terapêuticos
dos corticóides e antivirais não obtiveram respostas conclusivas sobre sua real
eficácia (Williamson, Whelan, 1996; Ramsey et al, 2000; Grogan, Gronseth, 2001;
Salman, MacGregor, 2001).
Nas fraturas do osso temporal o nervo facial geralmente não é seccionado,
mas sim, comprimido por um fragmento ósseo ou pela formação de um hematoma
intraneural (Fisch, 1980). A descompressão cirúrgica do nervo facial também
pretende diminuir a pressão e edema endoneural, e com isso permitir uma melhor
3
irrigação e nutrição do nervo facial, facilitando sua regeneração (Fisch, 1980).
Kartush et al (1991) descreveram a descompressão do segmento meatal do canal do
nervo facial após a cirurgia para remoção de schwanoma do nervo facial como forma
de prevenir a paralisia facial decorrente do edema neural e compressão causados
após a manipulação cirúrgica. No caso da paralisia facial periférica idiopática, a
eficácia da descompressão cirúrgica também é questionada (
Grogan, Gronseth,
2001).
Nas lesões do nervo facial, tanto traumáticas quanto infecciosas, o edema
neural dentro do canal do nervo facial parece ser o causador da isquemia e
degeneração neural (Fisch, 1980; Adour et al, 1996).
Desde que a privação de oxigênio, decorrente da isquemia, parece ser o fator
patogênico crítico nestas afecções, é razoável se imaginar que o aumento na oferta
de oxigênio poderia ter papel na limitação ou regressão da lesão isquêmica neural.
A oxigenoterapia hiperbárica (OHB) é uma terapia regulamentada, com
aplicação clínica reconhecida em várias áreas da medicina. Seus efeitos sobre o
sistema nervoso central e sobre os nervos periféricos m sendo estudados. Alguns
autores demonstraram efeitos protetores desta terapêutica na degeneração
axonal e no auxílio ao processo de mielinização e de regeneração de nervos
periféricos em animais de experimentação, verificando aumento das áreas dos
axônios mielinizados e na espessura da bainha de mielina, redução do edema
neural, além de aceleração do crescimento axonal (Mukoyama et al, 1975; Liu, He,
1994; Kihara et al,1995; Bradshaw et al, 1996; Santos, 2000; Haapaniemi, 2001).
Poucos são os estudos sobre os efeitos da OHB nas afecções do nervo facial.
Um estudo prospectivo, duplo cego, comparou os efeitos da OHB com a prednisona
como tratamento de 79 pacientes com paralisia de Bell, verificando melhores
resultados no primeiro grupo (Racic,1997). Makishima et al (1998) relataram
4
resultados satisfatórios com emprego da OHB em 12 pacientes com paralisia de Bell
e 11 com síndrome de Ramsay Hunt.
Os resultados desses estudos sugerem uma influência benéfica da OHB no
processo de regeneração do nervo facial. Mas deve-se lembrar que, diante deste
pequeno número de estudos clínicos e da falta de pesquisas experimentais que
avaliem a influência da OHB no processo de degeneração e regeneração do nervo
facial, tornam-se necessárias maiores investigações sobre o tema.
1.1 OXIGENOTERAPIA HIPERBÁRICA
A literatura sobre a utilização da Oxigenoterapia Hiperbárica (OHB) para fins
terapêuticos surgiu no fim dos anos 30, quando a Marinha dos Estados Unidos e da
Inglaterra começaram estudos com a inalação de oxigênio a pressões elevadas
como a forma mais segura para descompressão de mergulhadores e como
tratamento da doença descompressiva e da embolia arterial gasosa (Jain, 1999).
Ainda na década de 60 os benefícios dessa nova terapia estavam limitados a
poucas doenças, como infecções, envenenamento por monóxido de carbono, além
da doença descompressiva (Boerema, 1960).
Em 1967 foi fundada a “Undersea and Hyperbaric Medical Society” e em 1976
foi criado o comitê executivo desta entidade. Desde então, seus membros reunem-
se anualmente para avaliar as pesquisas e informações técnicas que surgem a
respeito da OHB, suas novas indicações, eficiência clínica e segurança da terapia.
A prática da OHB está regulamentada no Brasil pelo Conselho Federal de
Medicina desde 1995 (Resolução C.F.M. 1457/95), sendo reconhecida sua
aplicação em várias situações clínicas (anexo 1).
5
Segundo essa regulamentação, a terapêutica com oxigênio hiperbárico
consiste na respiração de oxigênio 100% puro, estando o paciente dentro de uma
câmara inteiramente fechada, de paredes rígidas e resistente às pressões. A
pressão ambiente dentro da câmara é aumentada gradativamente pela injeção de ar
ou oxigênio, alcançando valores maiores que a pressão ao nível do mar,
correspondendo a pressões maiores que 1 atmosfera absoluta (ATA).
Segundo Jain (1999), para a compreensão dos princípios da OHB, é
necessária a compreensão de algumas leis da Física:
1.Lei de Boyle-Mariotti: “Se a temperatura permanece constante, o volume do
gás varia inversamente com a pressão nele exercida”;
2.Lei de Charles: “Se a pressão for constante, o volume do gás varia de forma
diretamente proporcional à temperatura”;
3.Lei de Henry: “A quantidade de gás que se dissolve num meio líquido, a
uma determinada temperatura, é diretamente proporcional à pressão do gás sobre o
líquido”;
4.Lei de Dalton: “A pressão exercida por uma mistura de gases é igual à soma
das pressões parciais de cada gás na mistura”.
Pensando nessas leis da Física aplicadas ao mergulho pode-se compreender
alguns fenômenos que ocorrem durante os períodos de compressão e
descompressão na câmara hiperbárica, fazendo sempre uma analogia com o que
ocorre no mergulho de profundidade.
Uma atmosfera de pressão corresponde à 760 mmHg, ou à pressão exercida
por uma coluna de 10 metros de água:
1 Atm = 760 mmHg = 10,1 m água salgada
6
A pressão absoluta (PA) corresponde à pressão atmosférica somada à
pressão hidrostática (da coluna de água):
PA = 1 + profundidade (metros)/10
O ar é composto por uma mistura de gases contendo 20,94 % de oxigênio,
78,08% de nitrogênio, 0,04 % de gás carbônico e traços de outros gases. Na
superfície, ou 1 ATA, esses valores correspondem a uma pressão parcial de
aproximadamente 0,2 para oxigênio e 0,8 para nitrogênio. Se aumentarmos a
pressão para 2 ATA, o que corresponde a um mergulho a 10 metros de
profundidade, as pressões parciais passam a 0,4 de oxigênio e 1,6 de nitrogênio
(Bassett, Bennett, 1977) (Tab.1).
TABELA 1. Variação da pressão parcial de oxigênio durante terapia hiperbárica
Pressão total
ATA
Pressão total
mmHg
Pressão oxigênio
ATA
Pressão oxigênio
mmHg
1 760 0,21 159,7
1,5 1140 0,31 239,4
2 1520 0,42 319,2
2,5 1900 0,53 394,0
3 2280 0,63 478,8
Fonte: Bassett , Bennett (1977)
O oxigênio é transportado no sangue através de sua ligação à hemoglobina e
em parte dissolvido no plasma. Respirando ar sob 1 ATA, a saturação da
hemoglobina alcança 97%, e uma pequena quantidade de oxigênio é transportada
dissolvida no plasma, correspondendo a 0,3 % do volume. Aumentando a pressão
7
para 3 ATA, a saturação da hemoglobina chega a 100%, e a quantidade de oxigênio
dissolvida no plasma chega a 6 % do volume. Isso significa que o oxigênio diluído no
plasma aumenta em 20 vezes nessa situação, ficando 20 vezes mais disponível
(Bassett, Bennett, 1977). (Tab. 2)
TABELA 2. Efeito da pressão na pressão parcial de oxigênio no sangue arterial
Pressão total Oxigênio dissolvido sangue arterial (% vol)
ATA mmHg Respiração ar Oxigênio 100%
1 760 0,32 2,09
1,5 1140 0,61 3,26
2 1520 0,81 4,44
2,5 1900 1,06 5,62
3 2280 1,31 6,80
Fonte: Basset, Bennett (1977)
A célula precisa de uma fração de 5-6 ml de oxigênio por 100 ml de sangue
arterial, que corresponde a 5-6% do volume. Assim, sob 3 ATA de pressão, a
quantidade de oxigênio dissolvido no plasma pode chegar a 6 % volume, o que seria
suficiente para manter as células vivas, sem a necessidade de transporte pela
hemoglobina. Esse fato foi comprovado experimentalmente em porcos, mantidos
vivos respirando oxigênio puro em uma câmara hiperbárica, sob 3 ATA, com um
nível de hemoglobina não compatível com a vida (<10%). Sobreviveram por 45
minutos, com pressão arterial e eletrocardiograma mantendo-se espontaneamente
normais. Os níveis de hemoglobina foram reduzidos praticamente a zero (0,4 %), e
mesmo assim, os animais permaneceram vivos por 15 minutos, graças ao oxigênio
transportado diluído no plasma (Boerema et al, 1960).
8
Bergo (1993)* avaliou os efeitos da inalação de oxigênio a 100% em ratos,
submetidos a pressões que variaram de 1 a 5 ATA, quanto ao fluxo sangüíneo
cerebral e efeitos cardiovasculares. Não verificou variação na pressão arterial média
dos animais, mas observou aumento da resistência vascular periférica. Postulou ser
a vasoconstrição um mecanismo protetor dos órgãos sadios à exposição excessiva
ao oxigênio, embora este efeito não ocorra em tecidos hipóxicos (citado por Jain,
1999).
A vasoconstrição e a redução do fluxo sangüíneo cerebral não produzem
efeitos clínicos deletérios em adultos saudáveis submetidos a pressões variando de
1,5 a 2 ATA, com sessões de 40 a 60 minutos de duração. Pressões maiores que 3
ATA por períodos prolongados podem causar convulsões, efeito da toxicidade do
oxigênio (Davis, 1983).
A hiperoxigenação tecidual, a partir do oxigênio do sangue arterial, provoca
vasoconstrição, que é uma ação direta do oxigênio sobre o vaso sangüíneo.
Secundariamente à vasoconstrição ocorre a redução do edema nas áreas
inflamadas. Nylander et al (1985) testaram os efeitos da OHB na redução do edema
produzido após 3 horas de isquemia na perna de 99 ratos. O grupo controle foi
formado por 45 ratos, e 54 ratos receberam OHB por 45 minutos sob 2,5 ATA, logo
após a retirada do torniquete. Realizaram biópsias musculares e verificaram redução
significante do edema após isquemia no grupo tratado com OHB.
Price et al (1986) verificaram que a hiperoxigenação provocou aumento da
elasticidade dos glóbulos vermelhos e diminuição da agregação plaquetária in vitro.
*Bergo GW. Cerebral blood flow distribution, systemic hemodynamics and acid-base balance during hyperoxic and
normoxic exposures to high ambient pressures. Tese (doutorado). Bergen: University of Bergen;1993 apud Jain KK. Physical,
Physiological and Biochemical Aspects of Hyperbaric Oxygenation In: Jain KK. Textbook of Hyperbaric Medicine. 3
rd
rev ed.
Seattle: Hogrefe & Huber Publishers;1999. p.18-21.
9
Postularam que esses efeitos, associados ao aumento do oxigênio transportado no
plasma, poderiam auxiliar na oxigenação de muitos tecidos hipóxicos, em várias
desordens circulatórias.
A hiperoxigenação do plasma mantém a oxigenação tecidual em níveis
adequados, por difusão, apesar do fluxo sangüíneo reduzido, oferecendo condições
para que os mecanismos de defesa locais voltem a atuar. Os processos normais de
reparação tissular, como proliferação de fibroblastos, neovascularização e formação
de colágeno estão facilitados no ambiente com altas tensões de oxigênio (Jain,
1999).
As aplicações da OHB são realizadas em sessões de 1 a 2 horas, conforme o
tipo da doença, do paciente e do protocolo utilizado. Ao término da sessão é
interrompida a oferta de oxigênio. Essa alternância entre períodos de hipóxia e
hiperóxia local é considerada um importante estímulo à neovascularização (Manson
et al, 1980). A concentração do oxigênio no sangue arterial cai rapidamente, mas
sua concentração nos tecidos permanece elevada por algumas horas (Sheridas,
Shanj, 1999).
Períodos de isquemia seguidos pela restituição do fluxo sangüíneo causam
injúria de reperfusão, um importante mecanismo de morte celular e lesão tecidual
descrito em várias situações como no infarto do miocárdio e no derrame cerebral. Os
mecanismos envolvidos nesse fenômeno seriam a interrupção abrupta do fluxo de
sangue na microcirculação, causando disfunção no metabolismo e homeostase
celular, devido à hipóxia e à hipoglicemia. A migração de polimorfonucleares (PMN)
para os tecidos lesados causa uma nova onda de lesão tecidual, devido à sua
adesão ao endotélio vascular lesado, causando bloqueio da circulação, e que parece
ser mediada pela produção de radicais livres de oxigênio, que podem ser gerados
10
tanto pelos tecidos lesados quanto pelos PMN recrutados na reperfusão
(Buras,2000).
Os radicais livres de oxigênio causam dano a vários componentes celulares,
principalmente aos fosfolípides que compõem as membranas celulares. A
peroxidação lipídica causaria dano à integridade das membranas celulares,
alterando sua permeabilidade (Ress et al, 1995). Entretanto, alguns estudos vêm
notando um efeito paradoxo da OHB: apesar do aumento na produção de radicais
livres de oxigênio, não ocorre aumento da peroxidação lipídica. Efeitos benéficos
vêm sendo notados também com a aplicação da OHB no tratamento da injúria de
reperfusão e os mecanismos envolvidos nesse processo vêm sendo melhor
compreendidos (Buras,2000).
Yusa et al (1987) descreveram um aumento na geração de radicais livres de
oxigênio no cérebro de 40 ratos submetidos à OHB a 100% de oxigênio, em
diferentes pressões (0,6, 1 e 3 ATA). Verificaram aumento progressivo da
concentração de peróxido de hidrogênio (H
2
O
2
) de acordo com o aumento da
pressão à que os ratos foram submetidos. Esse aumento chegou a ser 300% maior
no grupo submetido à OHB a 3 ATA, quando comparados ao grupo que respirou ar
ambiente.
Segundo Mink et al (1995a), após estudo experimental realizado em 9 coelhos
que receberam OHB por 75 minutos a 2,8 ATA, após isquemia cerebral, o aumento
na geração de radicais livres verificado não foi associado a um aumento na
peroxidação lipídica, quando comparado ao grupo controle (9 coelhos). Os achados
sugerem que a OHB administrada imediatamente após isquemia global, não
promove lesão cerebral.
11
Em outro estudo, Mink et al (1995b) avaliaram os efeitos da OHB na injúria do
cérebro de 22 coelhos após isquemia global. Realizaram oxigenoterapia a 100%,
com 2,8 ATA de pressão, durante 125 minutos. A avaliação após 4 horas da
isquemia revelou diminuição do fluxo sangüíneo cerebral, e redução da
permeabilidade vascular cerebral em cerca de 16%. A redução do fluxo sangüíneo
cerebral poderia ser causada pela elevação da PaO
2
associada à vasoconstrição
cerebral e, sua manutenção, devido aos altos níveis de O
2
tecidual que persistiram
após a OHB. Portanto, não foi verificado aumento da permeabilidade vascular
cerebral, como seria esperado pelo aumento na produção de radicais livres de
oxigênio, resultante da OHB.
Murakami et al (2001) avaliaram os efeitos da OHB sobre a isquemia na
medula espinhal de coelhos, que foram divididos em 4 grupos: sem isquemia (5
coelhos controle); isquemia por 15 minutos seguida de OHB por 1 hora, a 3 ATA,
aplicada 30 minutos após a reperfusão (6 coelhos); isquemia por 15 minutos seguida
de OHB por 1 hora, a 3 ATA, aplicada 6 horas após a reperfusão (7 coelhos);
isquemia por 15 minutos sem OHB (5 coelhos). Verificaram efeito protetor da OHB,
aplicada 30 minutos após a reperfusão, reduzindo a morte de neurônios motores da
medula espinhal. O tratamento aplicado 6 horas após a reperfusão não teve efeito
sobre a preservação neuronal.
Hong et el, em 2003, avaliaram o papel da OHB na lesão causada pela
reperfusão após isquemia em retalho músculo-cutâneo em 100 ratos. Verificaram um
aumento da sobrevida no grupo submetido à oxigenoterapia 100%, a 2,5 ATA, por
90 minutos. Verificaram também uma diminuição na expressão da molécula de
adesão intercelular no endotélio vascular (ICAM1). A lesão causada pela isquemia-
reperfusão aumenta a expressão de ICAM1 no endotélio vascular e CD18 na
12
superfície dos neutrófilos, que acarretam aumento da adesão dos neutrófilos ao
endotélio. A diminuição da ICAM1 pode estar relacionada a um efeito protetor da
OHB, interferindo diretamente na adesão dos PMN ao endotélio vascular, garantindo
o suprimento sangüíneo tecidual. Efeito semelhante da OHB (100% por 90 minutos),
inibindo o acúmulo de PMN no cérebro de ratos após intoxicação por monóxido de
carbono, sustenta esse mecanismo da ação da OHB, interferindo na adesão dos
PMN ao endotélio vascular (Buras, 2000).
Os efeitos protetores da OHB sobre a lesão de reperfusão parecem ocorrer
em múltiplos pontos, como na expressão das moléculas de adesão intercelular no
endotélio vascular, interferindo na adesão dos PMN, na peroxidação lipídica e no
fluxo sangüíneo microvascular (Buras, 2000).
1.2 REVISÃO BIBLIOGRÁFICA
1.2.a Aspectos anatômicos, histológicos e fisiológicos do nervo facial
De acordo com Kozma et al (1974), a anatomia topográfica do nervo facial
dos coelhos assemelha-se à do ser humano. O trajeto do nervo facial, desde seu
segmento intracraniano até sua porção extratemporal, inclusive a distribuição de
seus ramos é muito parecido com o da nossa espécie.
O nervo facial, sétimo nervo craniano, é um nervo misto, composto por 70%
de fibras motoras, mielinizadas, e por fibras amielínicas, com função sensorial e
autonômica (Diamond, 1979).
Os corpos celulares das fibras motoras no nervo facial estão localizados no
núcleo do nervo facial, na ponte. Ao emergir da ponte no ângulo ponto-cerebelar as
fibras motoras penetram no meato acústico interno, dentro do canal ósseo, e a
13
partir daí apresentam longo e tortuoso percurso intratemporal no ser humano
(Diamond, 1979).
Ao emergir pelo forame estilomastoídeo inicia-se a porção extratemporal do
nervo, exclusivamente motora. Assume trajeto anterior e penetra na glândula
parótida, separando-se nas divisões temporofacial, superior e cervicofacial, inferior.
Essas divisões primárias separam-se em ramos terminais: temporal, zigomático,
bucal, marginal da mandíbula e cervical, inervando fibras musculares da face e
pescoço (Diamond, 1979).
As três mais importantes dimensões de uma fibra neural para uma
transmissão sináptica adequada são: o diâmetro axonal, a espessura e o
comprimento da bainha de mielina, determinado pela distância entre as junções dos
nódulos de Ranvier. No ser humano adulto, o diâmetro dos axônios motores do
nervo facial varia entre m a 20µm, a maioria estando entre 7µm e 10µm, e os
nódulos de Ranvier são espaçados de 0,1 a 1,8 mm. Sua velocidade de condução é
de 70 a 110 metros por segundo. Quando uma lesão ao nervo resulta em
desmielinização e remielinização inadequadas das fibras, uma fina cobertura
mielínica se forma e as distâncias entre os dulos de Ranvier se alteram, o que
ocasiona desaceleração na velocidade de condução (May, 1986).
De acordo com Lundborg (1988), um maior diâmetro axonal está intimamente
relacionado com melhor recuperação funcional. Assim, após um trauma neural, a
preservação do calibre axonal propicia a preservação da velocidade de condução.
Cai et al (1998) observaram, sob microscopia de luz, o ramo bucal do nervo
facial de quatro coelhos. Verificaram que os axônios eram regularmente arranjados,
de diâmetros similares, e a bainha de mielina densa e homogênea. Os nódulos de
Ranvier não foram vistos.
14
Costa (2003) analisou qualitativamente e quantitativamente, sob microscopia
de luz, o tronco extratemporal do nervo facial de 20 coelhos. Verificou axônios
regularmente arranjados e de diâmetros similares, com bainha de mielina densa. As
células de Schwann eram bem distribuídas e seus núcleos celulares praticamente
idênticos em forma e tamanho. O perineuro apresentava-se como uma condensação
de tecido conjuntivo frouxo. O número total de axônios mielinizados do tronco
extratemporal do nervo facial normal de coelhos foi estimado ao redor de 7800
fibras.
Vascularização do nervo facial
Lundborg, Branemark (1968), descreveram a vasa nervorum, rica rede de
anastomoses arteriais e venosas, dividido como circulação extrínseca e intrínseca
neural. A circulação extrínseca consiste nas arteríolas e vênulas que alcançam a
região epineural, onde formam um plexo longitudinal epineural. A circulação
extrínseca se comunica com a circulação intrínseca, endoneural, através dos ramos
que atravessam obliquamente o perineuro (vasos transperineurais), alcançando o
espaço endoneural, onde na forma de capilares nutrem as fibras neurais. Os vasos
intrafasciculares se comunicam com os extrafasciculares através dessas
anastomoses que atravessam o perineuro. Portanto a circulação intrínseca
(endoneural) é diretamente derivada da circulação extríseca.
A vascularização do nervo facial também segue esse modelo. O suprimento
arterial é garantido pela artéria cerebelar ântero-inferior na fossa média craniana. No
interior do osso temporal o ramo petroso da artéria meníngea média e ramo
estilomastoídeo da artéria auricular posterior suprem sua irrigação. Na porção
15
extratemporal o nervo é irrigado por ramos anastomóticos das artérias auricular
posterior, temporal superficial e facial transversa (Diamond, 1979).
1.2.b Mecanismos de lesão neural
A partir do conhecimento anatômico da vasa nervorum, Lundborg, Rydevik
(1973) hipotetizaram o ¨mecanismo de válvula¨ existente na circulação
transperineural, onde a oclusão dos vasos oblíquos transperineurais prejudicaria o
fluxo sangüíneo endoneural. Em caso de isquemia ou trauma do nervo, haveria
quebra da barreira hemato-neural, resultando em extravasamento de substâncias no
espaço endoneural. O edema endoneural resultaria em oclusão dos vasos
transperineurais, pelo mecanismo de válvula descrito, formando uma espécie de
síndrome compartimental dentro do nervo.
Powell et al (1979) mensuraram a pressão endoneural após lesão por
esmagamento do nervo ciático de 84 ratos. Verificaram aumento gradual da pressão
na primeira semana após a lesão, alcançando valores 4 a 5 vezes maiores que o
normal. Os valores da pressão endoneural normalizaram na 3ª semana após a
lesão. A avaliação histológica mostrou edema de graus variados do ao 16º dia,
quando já haviam brotos de regeneração axonal.
Powell, Myers (1986) investigaram os efeitos de diferentes pressões na
compressão do nervo ciático de 91 ratos, avaliando a topografia da degeneração
axonal. O nervo foi envolto por um balão, numa extensão de 1 cm, que aplicou
pressões que variaram entre 10, 30 e 80 mmHg, por um período de 2 horas. Foi
realizada análise qualitativa e quantitativa em 1 campo, de área não descrita. As
análises foram realizadas em períodos que variaram de 4 horas até 28 dias após a
lesão. O grupo submetido à compressão de 80 mmHg apresentou edema visível das
16
4 horas até 28 dias após a lesão, mais pronunciado na região subperineural. A lesão
dos axônios também se concentrou na região subperineural. No grupo submetido a
pressão de 30mmHg, o achado predominante foi a desmielinização, verificada em
todos os nervos, principalmente na região subperineural. Os axônios também foram
afetados, mas num grau menor que os do grupo submetido a 80 mmHg. O grupo
submetido a 10mmHg apresentou esparsas áreas subperineurais com edema e
desmielinização. A degeneração axonal foi rara. Os autores sugeriram que os
achados de degeneração axonal, com edema acentuado e perda de axônios mais
evidente na região subperineural, seriam justificados pelo comprometimento da
circulação epineural pela compressão, mantido pelo edema neural, bloqueando os
vasos transperineurais. Mesmo cessada a compressão, os sinais de degeneração
axonal progressiva foram evidentes, sugerindo o papel da isquemia na patogênese
da lesão axonal.
Myers et al (1991) realizaram um experimento com 55 nervos ciáticos de
ratos, avaliando o papel da isquemia na lesão neural. Provocaram a isquemia
removendo 2 cm do epineuro (interrupção da circulação epineural) dos nervos.
Medidas do fluxo sangüíneo e da tensão de oxigênio no espaço epineural foram
realizadas antes e após a cirurgia, evidenciando redução de 58% do fluxo sangüíneo
neural e de 38% da tensão de oxigênio subperineural. A análise histológica realizada
2 a 7 dias após a cirurgia evidenciou edema endoneural, desmielinização e
degeneração axonal. Esse estudo demonstrou que a interrupção da vascularização
epineural provoca uma isquemia subperineural, sugerindo que essa isquemia é
responsável pelo processo de degeneração neural que se instalou após a cirurgia.
17
1.2.c Degeneração e regeneração neural
Degeneração neural
Fisch, Yamamoto (1975) avaliaram a degeneração do segmento distal do
tronco do nervo facial de 32 gatos, após lesão por compressão. Todos os animais
apresentaram sinais clínicos e elétricos de degeneração nas primeiras 24 horas
após a lesão.
De acordo com May (1986), após secção nervosa, o segmento distal do nervo
facial sofre degeneração walleriana, iniciando-se nas primeiras cinco horas, sendo
evidente após 12 horas e progressiva por 36 a 48 horas. Nesse processo, a bainha
de mielina fragmenta-se, as células de Schwann e macrófagos proliferam-se e
fagocitam os debris de mielina, principalmente nos primeiros 14 dias após a lesão. A
fagocitose completa-se em um a três meses após a lesão.
Powell, Myers (1986) investigaram o tempo de instalação da degeneração
axonal distal no nervo ciático de 91 ratos, após lesão por compressão. Verificaram
no grupo submetido à pressão de 80 mmHg, 4 horas após a compressão, edema
na região subperineural e sinais iniciais de degeneração, com acúmulo de
mitocôndrias e organelas densas no citoplasma. A necrose das células de Schwann,
seguida da desintegração da bainha de mielina e conseqüente desmielinização
tornou-se evidente a partir do dia após a lesão e as anormalidades morfológicas
dos axônios mantiveram-se até o 18º dia. Sinais de remielinização foram observados
a partir do 10º dia, sendo mais pronunciados do 14º ao 28º dias.
Nagamatsu et al (1996) avaliaram os efeitos da isquemia severa seguida de
reperfusão nos nervos ciático e tibial de 76 ratos. Realizaram diversas ligaduras
arteriais (aorta abdominal, artéria ilíaca comum, artéria glútea superior, artéria
pudenda interna, artéria ilíaca externa e artéria femoral), sendo os animais divididos
18
em 5 grupos: 1- controle, sem isquemia e sem reperfusão; 2- 3 horas de isquemia,
sem reperfusão; 3- 24 horas de isquemia, sem reperfusão; 4- 48 horas de isquemia,
sem reperfusão; 5- 3 horas de isquemia, 24 horas de reperfusão. Realizaram
medidas de fluxo sangüíneo, avaliação histológica por microscopia óptica (para
observar o edema neural e grau de degeneração) e análise das medidas de
hidroperóxidos lipídicos. Verificaram após 24 horas de isquemia sinais claros de
edema neural e degeneração. O grupo submetido à isquemia e reperfusão
apresentou edema 2 a 4 vezes maior que o grupo não reperfundido e aumento da
produção de hidroperóxidos lipídicos. Notaram que a degeneração isquêmica da
fibra neural ocorreu proporcionalmente ao grau de edema do nervo.
Regeneração neural
As células de Schwann são fundamentais na regeneração, devido a suas
propriedades fagocitárias, e por servirem como conduítes físicos dos axônios aos
seus órgãos alvo. No fim do processo degenerativo, os tubos endoneurais, formados
pela lâmina basal das células de Schwann, colapsam pela fagocitose de seus
componentes (mielina e constituintes axonais), e formam cordões chamados
"bandas de Büngner", que servem como pontes para a aderência do broto de
regeneração (Kreutzberg, 1979).
Mackinnon, Dellon (1988) descreveram a taxa de alongamento dos brotos
axonais como 1 a 4 mm por dia. No ser humano, uma lesão do nervo facial
intratemporal, distante cerca de 14 cm de sua extremidade, demoraria cerca de 140
dias, em condições favoráveis, para a completa regeneração. Lesões mais distais
teriam recuperação mais rápida.
19
1.2.d Graus de lesão neural
Seddon, em 1943, determinou três graus de lesão neural: neuropraxia,
axoniotmese e neurotmese.
A lesão de primeiro grau corresponde à neuropraxia, onde o bloqueio da
condução neural ocorre pelo aumento da pressão intraneural. A estrutura do nervo
permanece intacta, mas o condução do impulso elétrico além do ponto da
lesão. A função do nervo facial pode ser retomada imediatamente ou em até três
semanas após cessada a compressão (Seddon, 1943).
A lesão de segundo grau corresponde à axoniotmese, sendo causada por
uma pressão severa e/ou prolongada em qualquer porção do nervo. O mecanismo
de lesão consiste em obstrução da drenagem venosa com aumento da pressão
endoneural, ocasionando interrupção do fluxo de nutrientes pelas arteríolas
comprimidas, isquemia e lesão axonal. A integridade das células de Schwann
circundantes e lâmina basal dos axônios se mantém. Quando o processo é revertido
a recuperação ainda é completa, embora mais lenta, demorando de 3 semanas a 3
meses (Seddon, 1943).
As lesões de terceiro grau correspondem à neurotmese, quando a pressão
intraneural persiste, causando perda de tubos endoneurais. A recuperação dessas
lesões é incompleta, acompanhada por sincinesias, podendo demorar de dois a
quatro meses (Seddon, 1943).
Posteriormente foram descritos 5 graus de lesão neural por Sunderland
(1978), que subdividiu as lesões de terceiro grau em três grupos: terceiro, quarto e
quinto graus. A lesão do tubos endoneurais, com perineuro e epineuro íntegros,
corresponde à de terceiro grau. Quando a maioria dos tubos endoneurais é
interrompida, junto com o perineuro, temos uma transecção parcial do nervo, que
20
corresponde à uma lesão de quarto grau. A secção completa dos tubos endoneurais,
junto com o perineuro e epineuro, corresponde ao grau máximo de lesão, o quinto
grau (Sunderland,1978).
1.2.e Modelos experimentais para avaliação da regeneração do nervo
facial
Fisch, Yamamoto (1975) estudaram a regeneração do nervo facial de 32
gatos após lesão por compressão, envoltos por tubo de polietileno. Foi realizada
avaliação funcional, pelo reflexo de piscar, elétrica, pela eletroestimulação do
músculo orbicular dos olhos, e avaliação histológica. Verificaram que a
descompressão até 12 dias determinou regeneração adequada do nervo facial, com
recuperação clínica e elétrica completa, sem sincinesias. As descompressões
realizadas entre 14 e 21 dias apresentaram recuperação mais lenta, incompleta,
sincinesias e também recuperação parcial dos potenciais elétricos.
Ciges et al (1981) avaliaram a degeneração e regeneração do nervo facial de
18 coelhos após trauma por compressão, comparados com 12 coelhos controles. Os
nervos foram envolvidos por um tubo de teflon, removido após 10 dias. Foi realizada
análise histológica qualitativa, por microscopia de luz. A análise realizada após 30
dias observou fibras nervosas mielinicas e amielinicas com arquitetura normais, mas
ainda imaturas. Os axônios eram menores e a bainha de mielina mais delgada do
que no grupo controle. A análise após 75 dias evidenciou aspecto de regeneração
completa.
Bento, Miniti (1989) avaliaram a regeneração do nervo facial intratemporal em
30 gatos após secção, comparando a aproximação dos cotos, a sutura epineural e o
uso de cola de fibrina. Os resultados foram avaliados quanto à observação funcional
21
clínica, eletrofisiológica e análise histológica qualitativa (aspecto dos axônios,
presença de infiltrado inflamatório e fibrose). Os resultados clínicos do grupo tratado
com cola de fibrina foram semelhantes aos do grupo com sutura epineural, assim
como a avaliação histológica. A avaliação eletrofisiológica foi superior no grupo
tratado com cola de fibrina. Os resultados desses dois grupos foram superiores aos
do grupo sem anastomose.
Park et al (1995) avaliaram a regeneração do nervo facial em 15 macacos
após lesão por esmagamento do tronco extratemporal por 10 segundos com pinça
de ponta fina. Ocorreu degeneração Walleriana de todas as fibras. A avaliação
funcional revelou recuperação completa dos movimentos de vibrissas e de piscar
após 30 dias da lesão. Verificaram perda da organização somatotópica dos axônios
em relação ao núcleo do nervo facial, 3 meses após a lesão.
Cai et al (1998) avaliaram a regeneração do ramo bucal do nervo facial de 60
coelhos após 6 tipos de lesão: exposição, compressão, esmagamento, estiramento,
secção e secção com anastomose. Os resultados foram avaliados por
eletroneurografia e microscopia óptica. Notaram degeneração Walleriana do
segmento distal e reversa do segmento proximal. No grupo que sofreu apenas
exposição e compressão não ocorreu interrupção da condução elétrica, e a
recuperação foi rápida. O esmagamento e o estiramento provocaram interrupção na
condução elétrica. Correspondem à axoniotmese. A recuperação teve início com 15
dias, e se concluiu até 90 dias A bainha de mielina iniciou sua recuperação com 15
dias, e estava completa após 30 dias. Embora a recuperação tenha sido mais
lenta, foi completa nesse grupo. A secção com e sem sutura não atingiu recuperação
completa mesmo 6 meses após a lesão.
22
Spector et al (2000) avaliaram a regeneração do ramo bucal do nervo facial
em 24 coelhos, comparando dois tipos de lesão: transecção do nervo e sutura
imediata (reparo imediato); esmagamento do nervo com pinça por 60 segundos e,
após 4 semanas, transecção do nervo e sutura (reparo tardio). Foi realizada
avaliação funcional, pela observação da movimentação espontânea de vibrissas e
do lábio superior, e após estimulação percutânea , além de análise histológica
qualitativa e quantitativa (contagem do número total de axônios mielinizados). A
avaliação funcional após o esmagamento revelou recuperação parcial após 2
semanas e completa após 4 semanas da lesão. O grupo submetido ao
esmagamento e transecção e reparo cirúrgico após 4 semanas (reparo tardio),
apresentou recuperação funcional a partir da terceira semana, enquanto no grupo
submetido à transecção neural e reparo imediato, a recuperação funcional ocorreu a
partir da quinta semana. A análise histológica não demonstrou diferença na
contagem de axônios nos dois grupos, mas houve diferença no tipo de regeneração,
com número menor de axônios fora dos fascículos no grupo submetido ao
esmagamento, quando comparados ao grupo submetido a reparo imediato. Os
axônios intrafasciculares são essenciais à recuperação funcional. O grupo submetido
ao esmagamento teve 40%, e o grupo submetido ao reparo imediato apenas 12%
dos axônios intrafasciculares distais recuperados, diferença estatisticamente
significante entre os grupos.
Costa (2003) realizou estudo experimental sobre a regeneração do nervo
facial extratemporal de coelhos. Utilizou um modelo experimental de lesão por
esmagamento com pinça, durante 60 segundos, realizada em 20 coelhos, não
havendo transecção dos nervos. Esse estudo teve como objetivo estabelecer o
padrão de regeneração espontânea do nervo facial de coelhos, após esse trauma. A
23
regeneração neural foi acompanhada por meio de uma avaliação funcional e de
análise histológica dos nervos. Após a lesão observou perda completa do movimento
das vibrissas, diminuição do reflexo de piscar, além de queda do pavilhão auricular
do lado lesado. Após 2 semanas houve recuperação parcial do movimento das
vibrissas e completa do reflexo de piscar, e após 5 semanas todos os parâmetros
haviam normalizado. A análise histológica mostrou que, após degeneração
significativa do nervo facial, o processo de regeneração foi observado após 2
semanas da lesão. Regeneração avançada foi observada com 4 semanas (cerca de
70% das fibras regeneradas) e após 6 semanas foi observada regeneração
praticamente completa do nervo. Esse trabalho estabeleceu o padrão de
regeneração espontânea do nervo facial nessa espécie, após esse tipo de trauma.
Borin et al (2006) utilizaram 12 ratos para estabelecer um modelo
experimental de secção e sutura do nervo facial extratemporal. Realizaram avaliação
comportamental (movimentação das vibrissas e fechamento ocular) e análise
histológica qualitativa, por microscopia ótica, e quantitativa, avaliando o número de
axônios mielinizados em 3 campos randomizadas de 1,5 cm
2
. Os animais tiveram
seguimento de 9 semanas, sendo observada, tanto pela avaliação funcional quanto
histológica, recuperação próxima ao normal a partir da 7ª semana.
1.2.f Métodos histológicos para a avaliação da regeneração neural
Hursh (1939) correlacionou o diâmetro externo das fibras mielínicas (que
inclui o axônio e sua bainha de mielina) às suas propriedades funcionais, como a
velocidade de condução do impulso elétrico.
24
Szal, Miller (1975) utilizaram a contagem total do número de axônios
regenerados do ramo bucal do nervo facial de 47 coelhos a fim de comparar a
regeneração neural após diferentes tipos de reparo.
Mayhew, Sharma (1984), mediram o diâmetro externo das fibras mielinicas do
nervo tibial de 6 ratos, comparando as medidas de todas as fibras (número absoluto)
com diferentes técnicas de amostragem. Os autores verificaram que as amostras
randomizadas conferem o mesmo resultado que amostras simples, e que, a
amostragem correspondente a 6% da área de corte transversal do nervo foi a que
mais se aproximou aos valores reais (absolutos).
Atsumi, Miyatake (1987) realizaram análise morfométrica do nervo hipoglosso
removido de 13 necrópsias de pacientes portadores de esclerose lateral amiotrófica,
comparando com 5 controles. A análise foi realizada numa área de 0,24 mm
2
em
cada nervo, sendo contado o número de axônios mielinizados e medido o diâmetro
dos axônios. Verificaram decréscimo do número total de axônios mielinizados em
concordância com o grau de atrofia da língua: atrofia leve (65-75% do número de
axônios grupo controle); atrofia moderada (50-65% axônios); atrofia acentuada (30-
50% axônios), entretanto a redução foi notada principalmente em axônios de grande
diâmetro (maiores que 4,5 µm). O diâmetro médio do total de fibras mielínicas, em
todos os graus de degeneração, mostrou redução estatisticamente significante em
comparação com o grupo controle. Os autores concluíram que a redução do
diâmetro das fibras mielínicas se correlacionou melhor ao grau de atrofia da
musculatura da língua do que a média da contagem das fibras mielínicas.
Da Silva (1987) realizou a contagem total do número de axônios do nervo
ciático de ratos para avaliar a regeneração neural no interior de próteses tubulares.
25
Dellon, Mackinnon (1989) realizaram lesão por secção e sutura neural em 30
ratos, que foram divididos em 3 grupos, de acordo com os diferentes diâmetros dos
cotos axonais suturados: fibular comum-fibular comum (1:1); tibial posterior-fibular
comum (2,5:1); ciático-fibular comum (3,5:1). Esse trabalho teve por objetivo avaliar
quais seriam os parâmetros morfométricos mais apropriados para a avaliação da
regeneração neural. Após um ano do reparo neural foram realizados testes
eletrofisiológicos, avaliando a velocidade de condução dos impulsos elétricos, assim
como análise clínica, por meio da avaliação da função do nervo ciático pela
observação da caminhada-pegada dos animais (“walking-track analysis”). A
avaliação morfométrica foi realizada na região distal ao reparo cirúrgico, sendo
realizada a contagem dos axônios mielinizados e a medida do diâmetro das fibras
axonais. A média do diâmetro das fibras axonais foi significantemente maior no
grupo cujos cotos tinham o mesmo diâmetro: fibular comum-fibular comum: 6,6 ±
0,4µ; tibial posterior- fibular comum: 4,3 ± 0,4µ; ciático- fibular comum: 3,8 ± 0,5µ. O
número de axônios foi maior nos grupos tibial posterior- fibular comum e ciático-
fibular comum, inversamente ao notado quanto aos diâmetros axonais. A velocidade
de condução foi estatisticamente superior no grupo fibular comum-fibular comum
(1:1). Esses autores também concluíram que a velocidade de condução do impulso
está relacionada à espessura da bainha de mielina e ao diâmetro axonal, sendo
esses parâmetros melhores que a contagem axonal para a avaliação da
regeneração neural.
Holland et al (1996) avaliaram a regeneração do nervo lingual e corda do
timpano de 12 gatos, comparando a lesão por esmagamento com a transecção. A
análise histológica foi realizada pela contagem do número de axônios mielinizados
26
por microscopia eletrônica, após 12 semanas, por amostragem, em área
correspondente à 6% da área de corte transversal dos nervos.
Spector et al (2000), para avaliação da regeneração do nervo facial de
coelhos após lesão traumática, realizou análise histológica qualitativa e a contagem
do número total dos axônios mielinizados.
Prinz et al (2003) também utilizaram a análise quantitativa em uma área
neuronal definida (contagem de axônios numa área uniforme de 3600µm
2
) para
avaliar a regeneração do nervo ciático em 30 hamsters, após lesão por compressão.
Compararam áreas centrais (50% diâmetro do axônio) e periféricas (25% do
diâmetro) dos axônios. Na região distal à lesão foi observada redução de 40% dos
axônios, tanto nas regiões centrais quanto periféricas, sem diferença estatística
entre as regiões.
1.2.g Efeitos da oxigenoterapia hiperbárica na regeneração de nervos
periféricos
Os efeitos da oxigenoterapia hiperbárica sobre a regeneração neural vêm
sendo estudados em nervos periféricos, com resultados diversos.
Mukoyama et al (1975) relataram os efeitos protetores da OHB na
degeneração axonal e desmielinização do nervo tibial posterior de coelhos após
administração por via oral de clioquinol (0,4 g/Kg/dia, por 75 dias), droga causadora
de neuropatia medular. Sete coelhos receberam clioquinol e foram submetidos à
sessões diárias de OHB, à 100%, sob 2 ATA, durante 60 minutos, por 40 dias. Não
foi relatado com quantos dias após o término da droga foi iniciada a OHB. Os outros
12 coelhos receberam clioquinol, e não foram submetidos à OHB. Três coelhos
27
formaram o grupo controle, não receberam clioquinol, nem OHB. Biópsias dos
nervos foram realizadas, antes e após a administração de clioquinol, e após a OHB,
seriada, até 12 meses após a lesão. A análise histológica foi realizada pela medida
da distância internodal e do diâmetro de cada fibra nervosa, comparados no decorrer
dos meses. A diferença dessas medidas foi estatisticamente significante entre os
grupos não tratado e tratado com OHB. O grupo tratado com OHB apresentou
menos alterações histológicas quando comparado ao grupo que não recebeu OHB.
Os autores concluíram que a administração de OHB acelerou o processo de
regeneração neural.
Gingrass et al (1993) avaliaram os efeitos da OHB na recuperação funcional
do nervo ciático de 7 ratos após lesão por secção e sutura, comparados ao grupo
controle (7 ratos submetidos à mesma lesão e sem receberem OHB). A terapia foi
realizada 2 vezes ao dia, durante os 7 dias que se seguiram à cirurgia. O início das
sessões, sua duração e pressão alcançada não foram descritos no trabalho. A
avaliação funcional foi realizada semanalmente, durante 16 semanas, com análise
da caminhada-pegada dos animais, e cálculo do índice de função do nervo ciático
(índice calculado pelas medidas do comprimento das pegadas, distância entre oe
dedos e entre o e dedos). Notaram melhora significativa do índice de função
do nervo ciático a partir da semana, em relação ao grupo controle, sendo que a
diferença máxima foi atingida após 16 semanas.
Liu, He (1994) estudaram o efeito da OHB no nervo ciático de 20 ratos após
lesão por esmagamento durante 20 segundos. A OHB foi aplicada com 100% de
oxigênio, durante 90 minutos, sob 2 ATA, diariamente, no total de 14 sessões. Os
animais foram divididos em 3 grupos, com sessões tendo início no 1º, e 14º dias
após a lesão. A análise histológica foi realizada em 5 campos aleatórios, que
28
cobriam a maior parte da área de corte transversal do nervo, analisando a área da
bainha de mielina nas fibras neurais. Observaram, 30 dias após a lesão, aumento na
regeneração neural nos grupos submetidos à OHB, verificado pelo grau de
mielinização. O tratamento instalado precocemente mostrou benefícios, mas a
diferença entre os 3 grupos de tratamento não foi significante.
Santos et al (1995) avaliaram a recuperação funcional e o edema neural após
trauma por esmagamento do nervo fibular comum, unilateral, em 68 ratos,
distribuidos radomizadamente em dois grupos: submetidos à OHB a 100%, sob 2,5
ATA de pressão, durante 90 minutos, duas vezes ao dia, durante 1 semana; e não
submetidos à terapia. Não foi descrito o tempo para início da OHB. Foi realizada
avaliação funcional, que utilizou um modelo de medida do ângulo de dorsiflexão do
tornozelo durante o andar, e análise histológica, realizada pela medida da variação
do peso da água em um fragmento de 20mm de cada nervo fibular comum,
comparando o nervo do lado lesado com o lado não lesado, em cada animal, e
comparando-se os dois grupos. O grau de edema foi calculado pela variação do
peso da água, após 2, 4, 8 e 16 dias do esmagamento. Maior edema foi visto nos
nervos submetidos ao esmagamento quando comparados aos nervos normais
entretanto a OHB não mostrou influência na recuperação do edema neural, nem
interferência na recuperação funcional, quando comparados os dois grupos.
Kihara et al (1995
)
avaliaram efeitos da OHB em graus variados de isquemia
no nervo ciático de ratos por meio de microembolizações. Provocaram dois graus de
isquemia: moderada (36 ratos) e severa (13 ratos). Dezoito ratos do grupo de
isquemia moderada e sete do grupo de isquemia severa foram submetidos à OHB,
iniciada 30 minutos após a microembolização, sob 2,5 ATA, 2 horas por dia, durante
7 dias. Os animais foram sacrificados 7 dias após a lesão. Foi realizada avaliação
29
funcional (análise da caminhada-pegada) e eletrofisiológica (velocidade de condução
e amplitude do potencial de ação). Pela análise histológica, sob microscopia de luz,
foi realizada a contagem do número de fibras degeneradas e graduada a
degeneração neural (grau 1< 25%, grau 2= 25-50%, grau 3= 51-75%, grau4> 75%),
além do grau do edema neural (0= normal, 1= edema leve, 2= edema moderado, 3=
edema acentuado). Na isquemia de grau moderado, o grupo tratado com OHB
apresentou melhora significante na avaliação funcional, normalização do potencial
de ação, e redução da degeneração neural em relação ao grupo controle. Os
mesmos benefícios não foram identificados na isquemia em grau severo.
Zamboni et al (1995) avaliaram a recuperação funcional de 16 ratos,
submetidos à secção e sutura epineural do nervo ciático, seguida de OHB, iniciada 4
horas após a cirurgia, sendo realizada 2 vezes ao dia, durante 105 minutos, sob 2,5
ATA, a 100% oxigênio, durante 7 dias seguidos. Vinte coelhos formaram o grupo
controle (submetidos à secção e sutura, não receberam OHB). A avaliação funcional
foi realizada semanalmente, por 10 semanas, com análise da caminhada-pegada
dos ratos, sendo calculado o índice de função do nervo ciático. Este índice mostrou
melhora progressiva no grupo tratado com OHB no decorrer do tempo de análise,
sendo essa diferença estatisticamente significante a partir da semana de análise,
em comparação ao grupo controle.
Bradshaw et al (1996) avaliaram os efeitos da OHB iniciada 4 dias após lesão
traumática por esmagamento, durante 30 segundos, nos nervos ciáticos de 30
coelhos. Os animais foram submetidos a seis esquemas diferentes de
oxigenoterapia: respiração de ar ambiente sob 1 ATA; ar ambiente sob 2 ATA;
oxigênio a 100% sob pressões que variaram de 1 ATA, 2 ATA, 2,4 ATA e 3 ATA. As
sessões tiveram 90 minutos de duração, e foram realizadas cinco vezes por semana,
30
durante 7 semanas. Foi realizada análise histológica, por microscopia de luz,
avaliando o número de axônios e o tamanho da fibra nervosa, e por microscopia
eletrônica, avaliando o edema neural, a bainha de mielina, a prevalência de fibras
colágenas e vasos sangüíneos. Na análise histológica realizada sete semanas após
a lesão, não foi verificada diferença entre os grupos quanto à contagem dos axônios
mielinizados. Os 3 grupos submetidos a oxigenoterapia 100% em condições
hiperbáricas tiveram redução do edema neural, redução das fibras colágenas e
maior grau de mielinização, se assemelhando ao grupo controle.Verificaram pela
análise histológica indícios de que essa terapia pode acelerar o processo de
regeneração de nervos periféricos.
Tuma et al (1999) avaliaram os efeitos da OHB na recuperação funcional de
nervos ciáticos de 10 ratos, após lesão traumática por esmagamento, provocada por
pinça, por 5 segundos. Foi realizada OHB, com oxigênio a 100%, a 2,8 ATA, durante
30 minutos, 2 vezes ao dia, durante 3 dias consecutivos, iniciada 1 hora após a
lesão. Outros 10 ratos foram submetidos ao mesmo tipo de lesão, e formaram o
grupo controle. A avaliação funcional, obtida pela análise da caminhada-pegada dos
animais, foi realizada antes da cirurgia e 2, 15 e 30 dias após. Não foram notadas
diferenças estatísticas entre os dois grupos estudados.
Santos (2000) avaliou funcionalmente e histologicamente a recuperação de
48 ratos submetidos à lesão isquêmica por esmagamento do nervo fibular comum
durante 20 segundos, com pinça de ponta fina, associado à epineurectomia, a fim de
causar isquemia mais acentuada. Metade dos animais foi tratada com
oxigenoterapia a 100%, sob 2,5 ATA, durante 90 minutos, 2 vezes ao dia, durante 1
semana, e 1 vez ao dia por mais 7 dias. O tempo para início da OHB não foi
descrito. Foi realizada a avaliação funcional, utilizando um modelo de medida do
31
ângulo máximo de dorsiflexão do tornozelo durante o andar, e análise histológica por
microscopia de luz, estimando a área dos axônios, a contagem dos axônios
mielinizados e a espessura da bainha de mielina. No grupo tratado com OHB houve
diferença na avaliação funcional precoce, cinco dias após a lesão, com uma melhora
de 12% em relação ao grupo controle. Essa tendência de uma melhor função se
manteve na avaliação aos 10 dias, mas aos 20 dias todos os animais atingiram
recuperação completa. A avaliação histológica mostrou degeneração axonal nos
nervos lesados, com relativa preservação das áreas centro-fasciculares em relação
às áreas subperineurais. Os animais tratados com OHB apresentaram aumento das
áreas dos axônios mielinizados e da espessura da bainha de mielina, entretanto a
diferença com o grupo controle não foi estatisticamente significante. A contagem dos
axônios mielinizados foi semelhante nos dois grupos.
Haapaniemi et al (2001) estudaram os efeitos da OHB no crescimento axonal
nos nervos ciáticos de 13 ratos após transecção e enxerto neural, enxerto removido
do nervo ciático contralateral. Outros 22 animais foram operados pela mesma
técnica, e formaram o grupo controle. Uma hora após a cirurgia, os 13 ratos foram
submetidos a sessões de oxigenoterapia a 100%, a cada 8 horas, sob 3,2 ATA,
durante 45 minutos, 7 dias seguidos. A análise imunohistoquímica não revelou
diferença no número de axônios entre os grupos estudados, mas o crescimento
axonal foi significantemente maior nos animais tratados com a OHB.
1.2.h Indícios de efeitos da oxigenoterapia hiperbárica na regeneração
do nervo facial
Não existem estudos experimentais que avaliem os efeitos da OHB na
regeneração do nervo facial.
32
Racic et al (1997) realizaram estudo randomizado com 79 pacientes
portadores de paralisia de Bell, de graus moderado à severo, comparando os efeitos
da OHB com a prednisona. O grupo tratado com OHB foi composto por 42
pacientes. Foram realizadas duas sessões diárias de 60 minutos, a 2,8 ATA, com
oxigênio a 100%, 5 dias na semana, no máximo de 30 sessões, ou até a regressão
dos sintomas. Esses pacientes receberam placebo via oral. O grupo tratado com
prednisona foi composto por 37 pacientes. A dose total de prednisona via oral foi de
450 mg, divididos em 8 dias. Esses pacientes foram expostos a sessões de
oxigenoterapia a 7%, sob 2,8 ATA (equivalendo a 21% de oxigênio no ar ambiente).
Ao final do seguimento de 9 meses, 95,2% dos pacientes tratados com OHB tiveram
recuperação completa contra 75,7% dos pacientes do grupo tratado com
prednisona. O tempo médio para recuperação completa foi de 22 dias no grupo
tratado com OHB e de 34,4 dias no grupo tratado com prednisona, diferença
estatisticamente significante entre os grupos.
Makishima et al (1998) relataram sua experiência com uso de OHB e
administração concomitante de vasodilatador via oral (kallidinogenase: 150u/dia),
vitaminas B1 (75 mg/dia), B6 (75 mg/dia) e mecobalamina (1,500 µg/dia). Foram
avaliados 12 pacientes com paralisia de Bell e 11 pacientes com síndrome de
Ramsay Hunt. A OHB foi realizada diariamente, com oxigênio a 100%, 5 dias por
semana, sob 2,5 ATA, com 85 minutos de duração. Na maioria dos pacientes (17
dos 23 pacientes) a oxigenoterapia foi iniciada após o terceiro dia de paralisia.
Foram considerados resultados satisfatórios pacientes que atingiram graduação de
House I ou II após o tratamento, o que ocorreu em 83,8% dos pacientes com
paralisia de Bell e 63,6 % dos pacientes com Ramsay Hunt. O relato desse pequeno
número de pacientes não permite conclusões, embora tenha sido marcante a
33
melhora de um paciente com Ramsay Hunt que recebeu oxigenoterapia após 30
dias de paralisia.
34
2. OBJETIVO
O objetivo deste estudo é avaliar o efeito da oxigenioterapia hiperbárica no
processo de regeneração do nervo facial extratemporal de coelhos, após trauma por
esmagamento, por meio de análise histológica qualitativa, morfométrica e contagem
dos axônios mielinizados.
35
3. MATERIAL E MÉTODO
O projeto desse estudo foi aprovado pela Comissão de Ética Médica para
procedimentos em animais de experimentação da Santa Casa de Misericórdia de
São Paulo (apêndice 1).
3.1 MATERIAL
3.1.a Local
Os animais foram mantidos no biotério da Santa Casa de São Paulo.
As cirurgias foram realizadas no Departamento de cnica Cirúrgica
Experimental da Santa Casa de Misericórdia de São Paulo.
As sessões de OHB foram realizadas no Serviço de Medicina Hiperbárica da
Santa Casa de São Paulo.
O estudo histológico foi realizado no Instituto de Ciências Biomédicas da
Universidade de São Paulo, sob supervisão do Prof. Dr. Ciro Ferreira da Silva,
Professor Livre Docente do Departamento de Biologia Celular e do Desenvolvimento
do Instituto de Ciências Biomédicas da Universidade de São Paulo.
3.1.b Animais
Foram utilizados vinte coelhos da raça Nova Zelândia, brancos, machos,
adultos e sadios. O peso médio dos coelhos do início ao término do experimento foi
de 2000g (1800 a 2400g). Os animais permaneceram pelo menos 1 semana no
biotério para adaptação antes da cirurgia.
36
3.1.c Medicamentos
Anestésicos: cloridrato de xilazina a 2%, na dose de 10 mg/Kg de peso e
cloridrato de ketamina a 10% na dose de 50 mg/Kg de peso. A via utilizada foi a
intramuscular.
Analgésicos: Xylocaína 2%
®
no intra-operatório e dipirona (25mg/Kg de peso)
no pós-operatório.
Antibiótico: penicilina G procaína (dose de 0,1ml/ kg ).
Medicamento para sacrifício dos animais: Cloreto de potássio 19,1%
(1ampola/ animal) para uso intracardíaco.
3.1.d Material e instrumental cirúrgico
Os instrumentos e materiais utilizados nas cirurgias foram descartáveis ou
mantidos sob condições estéreis.
Foi utilizado microscópio de luz da marca DF-Vasconcelos
®
M90, com ocular
de aumento de 10 vezes e objetivas com aumento de 50X (lentes de 200 mm).
Pinça microcirúrgica modelo Anis (Incol
®
ref2545
) foi utilizada nas cirurgias
para a lesão do nervo facial.
3.1.e Amostra
A amostra do estudo foi composta por 40 fragmentos, de aproximadamente
0,5 cm de comprimento, da porção extratemporal dos nervos faciais dos 20 coelhos
investigados. O tamanho da amostra foi definido a partir dos valores normais da
contagem de axônios mielinizados do tronco extratemporal do nervo facial de
37
coelhos, e sua variabilidade (Costa, 2003). O poder do teste estatístico utilizado foi
de 85%, ou seja, repetindo-se a mesma metodologia, 85% de chance de
obtenção dos mesmos resultados. O teste definiu que grupos formados por pelo
menos 9 amostras permitiriam que uma diferença > 15% entre as amostras pudesse
ser identificada.
3.2 MÉTODO
3.2.a Grupos
Os 20 animais foram divididos em 4 grupos. A definição dos grupos foi
aleatória, através de sorteio.
O grupo 1 foi formado por cinco animais que, após operados, não foram
submetidos à OHB, sendo sacrificados 14 dias após a lesão do nervo facial.
Formaram o grupo controle de 2 semanas.
O grupo 2 foi formado por outros cinco animais que, após serem operados
não foram submetidos à OHB, sendo sacrificados 28 dias após a lesão do nervo
facial. Formaram o grupo controle de 4 semanas.
O grupo 3 foi formado por cinco animais que, após serem operados, foram
submetidos à OHB, sendo sacrificados 14 dias após a lesão do nervo facial.
Formaram o grupo tratamento de 2 semanas.
O grupo 4 foi formado por cinco animais que, após serem operados, foram
submetidos à OHB, sendo sacrificados 28 dias após a lesão do nervo facial.
Formaram o grupo tratamento de 4 semanas.
38
3.2.b Técnica operatória
A técnica cirúrgica utilizada foi padronizada no estudo anterior realizado por
Costa (2003). O modelo experimental escolhido foi considerado de fácil
reprodutibilidade e de possível execução no Departamento de Técnica Cirúrgica
Experimental da Santa Casa de São Paulo, sendo reproduzido nesse estudo.
Foi realizado um pré-estudo com 3 coelhos para treino da técnica operatória.
Os animais foram operados pelo mesmo cirurgião, utilizando a técnica
cirúrgica padronizada, descrita a seguir:
Após a anestesia do animal, realizou-se tricotomia na região cervical,
bilateralmente. O animal foi posicionado na mesa cirúrgica, sendo feita antissepsia.
Realizou-se incisão arciforme na pele da região cervical, do processo mastóide à
metade do corpo da mandíbula, seguindo a curvatura do ângulo da mandíbula
(Fig.1).
FIGURA 1: Animal na mesa operatória para cirurgia em nervo facial esquerdo.
Vermelho: sculo esternocleidomastoídeo; linha preta: ângulo da mandíbula;
verde: processo mastóideo.
39
A dissecção por planos do tecido subcutâneo, fáscia e músculo permitiu a
exploração da região entre o ramo da mandíbula e o processo mastóideo, local de
emergência do nervo facial (Fig 2).
FIGURA 2: Isolamento do tronco extratemporal do nervo facial esquerdo de coelho.
Após a identificação do tronco extratemporal do nervo facial, realizou-se uma
lesão por esmagamento (Fig.3).
40
FIGURA 3: Lesão do tronco extratemporal do nervo facial de coelho.
A lesão foi padronizada a cerca de 0,2 cm da emergência do nervo facial pelo
forame estilomastóideo, realizada por pinça de ponta fina, reta e lisa, com dois pinos
de apoio, posicionada transversalmente ao nervo, na posição de fechamento
completo durante 60 segundos. Os dois pinos de apoio garantiram o fechamento
máximo e completo durante o procedimento. Utilizou-se a mesma pinça em todas as
cirurgias. Uma alça com fio mononylon preto 8.0, envolvendo frouxamente o local da
compressão, ajudou a localização do nervo no momento da reoperação (Fig.4). O
fechamento da pele com pontos simples de mononylon 4.0 encerrou a cirurgia.
41
FIGURA 4: Aspecto do tronco extratemporal do nervo facial de coelho
imediatamente após esmagamento e reparo com fio mononylon 8.0.
Analgesia complementar com Xylocaína 2%
®
foi necessária em alguns casos.
O padrão respiratório dos animais foi observado durante o procedimento, sendo
mantida respiração espontânea em todas as cirurgias.
Inicialmente operou-se o lado esquerdo, seguido pela cirurgia do lado direito
do mesmo animal.
42
3.2.c Cuidados pós-operatórios
Realizou-se antibioticoterapia profilática com penicilina G procaína por 3 dias,
sendo iniciada no pós-operatório imediato, além de analgesia com dipirona durante 3
dias.
Os animais receberam cuidados dos cnicos no biotério. Permaneceram em
gaiolas com grades de metal, sendo alimentados com ração padrão (Primor
®
) e água
ad libitum. Permaneceram em temperatura ambiente de 22º C, com iluminação
artificial por lâmpada fluorescente (modelo luz do dia de 40 watts), sendo o
fotoperíodo de 12 horas claro e 12 horas escuro, considerando o período de luz das
7:00 às 19:00 horas.
3.2.d Oxigenoterapia hiperbárica
Entre os 20 coelhos operados, 10 foram submetidos a sessões de OHB,
(grupos 3 e 4). As sessões foram realizadas em câmara “monoplace” (Sechrist
®
).
Os coelhos foram colocados sem sedação em caixas plásticas e juntos
submetidos a sessões diárias de oxigenoterapia a 100%, iniciadas no máximo 5
horas após a lesão (Fig.5, Fig.6). As sessões tiveram 90 minutos de duração,
alcançando 2,5 ATA, com incrementos na razão de 1 ATM a cada 2 minutos. As
sessões foram diárias, sendo realizadas no mínimo 14 sessões e no máximo 21
sessões.
43
FIGURA 5: Preparo dos coelhos para realização de sessão de oxigenoterapia
hiperbárica em câmara “monoplace”, marca Sechrist.
FIGURA 6: Coelhos durante a realização de sessão de oxigenoterapia hiperbárica.
44
As sessões foram executadas e acompanhadas por um mesmo observador,
apto ao manuseio do equipamento e reconhecimento de sinais que demonstrassem
desconforto dos animais ou toxicidade durante a terapia (apêndice 2).
Os 10 coelhos que formaram os grupos controles 1 e 2 ficaram expostos
apenas ao ar ambiente.
3.2.e Reoperação
Os coelhos foram reoperados para retirada dos fragmentos de nervo facial
para estudo histológico, sendo depois sacrificados.
A anestesia e os passos cirúrgicos para a exploração do nervo facial foram
iguais à técnica utilizada para a lesão do nervo.
Após identificação da região do nervo facial a ser estudada, facilitada pelo fio
de mononylon, foi realizada a fixação do nervo in situ, ainda com o animal vivo
(Fig.7). O fixador utilizado era composto por glutaraldeído a 2% e paraformaldeído a
1%, em solução tampão de fosfato de sódio 0,1 M e a ph 7,3.
45
FIGURA 7: Fixação do nervo facial extratemporal de coelho in situ, na reoperação.
Após pingar o fixador sobre o nervo, durante 20 minutos, removemos o
fragmento de nervo facial a ser estudado, com cerca de 0,5 cm, distal à região do
esmagamento, antes do sacrifício do animal (Fig.8). As cirurgias foram realizadas
bilateralmente em 20 coelhos, portanto obtivemos 40 fragmentos de nervo facial
para análise.
FIGURA 8: Fragmento do nervo facial extratemporal de coelho removido para
estudo histológico.
Os animais foram sacrificados por injeção intracardíaca de cloreto de potássio
19,1%.
46
47
3.2.f Tratamento dado à peça removida
Após a fixação inicial, realizou-se a pós fixação em tetróxido de ósmio a 2%,
desidratação com banhos gradativos de etanol, infiltração com óxido de propileno e
inclusão em resina Epoxi
®
até a polimerização.
Com auxílio de um ultramicrótomo (LEICA
®
ultracut-R) com navalhas de
diamante (DIATOME
®)
obtivemos cortes transversais semifinos de 0,4 µm de
espessura, que posteriormente foram corados com azul de toluidina a 1%.
3.2.g Estudo histológico
As lâminas foram observadas por microscopia de luz, com microscópio Nikon
®
modelo Eclipse E 600. Posteriormente fotografadas com câmera fotográfica digital,
Nikon
®
, modelo Coolpix E 955, gravadas em CD e transportadas para computador.
Utilizou-se o software Sigma Scan Pro 5.0, específico para contagem celular, para
análise das lâminas.
1- Análise Histológica Qualitativa
Na análise histológica qualitativa observou-se a arquitetura geral do nervo, a
organização tecidual e grau de remielinização, com atenção à espessura do
epineuro, características do estroma, grau de neoangiogênese, quantidade de
axônios mielinizados, aspecto da bainha de mielina e diâmetro axonal.
2- Análise Histológica Quantitativa
Na análise histológica quantitativa identificou-se o mero de fibras mielínicas
dos nervos faciais, no segmento distal à lesão. Avaliou-se cinco campos aleatórios e
não sobrepostos por lâmina, de área correspondente a 185000 µm
2
, cerca de 40%
48
da área total dos nervos. Contou-se os axônios que apresentavam o seu centro
dentro dos cinco campos delimitados, ou seja, as fibras que o tinham seu centro
dentro do campo foram excluídas, a fim de se evitar viés.
3. Análise da maturação das fibras mielínicas
Realizou-se medidas do menor diâmetro externo (isto é, incluindo a bainha de
mielina) das fibras num campo aleatório de área correspondente a 37.000 µm
2
,
cerca de 6% da área total dos nervos, nos grupos que apresentaram diferença pela
avaliação qualitativa das lâminas.
3.2.h Estudo estatístico
Os dados referentes ao número de fibras mielínicas dos nervos faciais foram
submetidos à avaliação estatística, com auxílio do software SPSS 13.0 para sistema
Windows. Um estatístico colaborador com o programa de pós-graduação da
Faculdade de Ciências Médicas da Santa Casa de São Paulo, supervisionou o
processo.
A análise descritiva dos dados foi apresentada em formato de tabela,
contendo as medidas resumo, e pelo “boxplot”.
Inicialmente aplicou-se o teste de Kruskal-Wallis, para comparar os grupos
estudados. Posteriormente realizaram-se comparações múltiplas entre os grupos
pelo teste Mann Whitney (teste não paramétrico).
Foram comparados os grupos 1 e 3 em relação ao menor diâmetro externo
das fibras mielínicas, sendo também empregado o teste Mann Whitney.
O nível de significância nesse estudo foi de 0,05.
49
4. RESULTADOS
Os 20 coelhos mantiveram-se saudáveis durante o estudo. Não se observou
infecção da ferida cirúrgica ou a presença de úlceras neuro-distróficas. Os animais
submetidos à OHB não tiveram variação de peso em relação ao grupo controle.
A análise histológica foi realizada em um total de 39 amostras. Um nervo do
grupo 3 foi excluído da análise por má qualidade do material histológico obtido.
4.1 Análise histológica qualitativa
Os nervos analisados eram compostos por um a cinco fascículos, envoltos
por epineuro com fibroblastos de aspecto fusiforme.
Dos 10 nervos do grupo 1 analisados, sete apresentaram aspectos muito
semelhantes, entre eles a rarefação e a irregularidade dos axônios denotando um
período inicial de mielinização. Os nervos tinham epineuro e perineuro pouco
espessos e pequena quantidade de axônios mielinizados. A bainha de mielina era
delgada, o diâmetro dos axônios pequeno e o estroma pouco denso (Fig.9, Fig.10).
A contagem de fibras nessas lâminas requereu maior atenção e maior gasto de
tempo em função destas particularidades. Dentro desse grupo, três nervos
apresentaram axônios pouco mais regulares e de maior diâmetro comparados à
maioria.
50
FIGURA 9: Corte histológico corado com azul de toluidina 1% de nervo facial de
coelho após 2 semanas de lesão (200X) - Grupo 1
FIGURA 10: Corte histológico corado com azul de toluidina 1% de nervo facial de
coelho após 2 semanas de lesão (400X) - Grupo 1
51
Os nervos do grupo 3 (Fig.11, Fig.12), submetidos a OHB, apresentaram
epineuro e perineuro pouco espessos, mas os axônios mielinizados alcançaram fase
mais avançada de mielinização, com diâmetros axonais maiores e bainha de mielina
pouco mais espessa em comparação ao grupo 1.
Esses achados foram similares em todas as amostras do grupo.
FIGURA 11: Corte histológico corado com azul de toluidina 1% de nervo facial de
coelho após 2 semanas de lesão e tratamento com OHB (200X) - Grupo 3
52
FIGURA 12: Corte histológico corado com azul de toluidina 1% de nervo facial de
coelho após 2 semanas de lesão e tratamento com OHB (400X) - Grupo 3.
Nos nervos do grupo 2 (Fig.13, Fig.14), o epineuro e perineuro encontravam-
se mais espessos. Evidenciou-se um número maior de axônios mielinizados, com
diâmetros maiores, ainda variáveis, mas mais regulares quando comparados
àqueles de 2 semanas (grupos 1 e 3). Os núcleos das células de Schwann foram
vistos em maior quantidade. Além disso, a bainha de mielina encontrava-se mais
espessa, o estroma mais denso, com maior grau de neoangiogênese.
Das nove amostras que compuseram esse grupo, oito apresentaram essas
características. Uma amostra apresentou sinais de maior degeneração, com poucos
axônios, muito irregulares e de menor diâmetro.
53
FIGURA 13: Corte histológico corado com azul de toluidina 1% de nervo facial de
coelho após 4 semanas de lesão (200X) - Grupo 2
FIGURA 14: Corte histológico corado com azul de toluidina 1% de nervo facial de
coelho após 4 semanas de lesão (400X) - Grupo 2
54
Nos nervos do grupo 4, submetidos à OHB, os achados foram semelhantes
ao grupo 2, sem tratamento, também avaliado 4 semanas após a lesão.
Evidenciamos um número maior de axônios mielinizados, com diâmetros
maiores, bainha de mielina mais espessa e estroma mais denso, em todas as
amostras do grupo (Fig.15, Fig.16).
FIGURA 15: Corte histológico corado com azul de toluidina 1% de nervo facial de
coelho após 4 semanas de lesão e tratamento com OHB (200X) - Grupo 4
55
FIGURA 16: Corte histológico corado com azul de toluidina 1% de nervo facial de
coelho após 4 semanas de lesão e tratamento com OHB (400X) - Grupo 4
4.2 Análise histológica quantitativa
A análise descritiva dos resultados esapresentada na tabela 3, que contém
os dados referentes à contagem de axônios mielinizados, com a média, desvio
padrão, mediana, valores mínimos e máximos para cada grupo.
56
TABELA 3. Valores referentes à contagem dos axônios mielinizados do nervo facial
extratemporal de coelhos, em área correspondente a 185000 µm
2,
após lesão por
esmagamento e submetidos ou não a oxigenoterapia hiperbárica (2,5 ATA).
Grupo
n Média
Desvio
padrão
Mediana
Mínimo
Máximo
1
10
1865,2
664,68452
1754,50
1103
2913
2
10
2495,1
479,41897
2401,50
1980
3447
3
9
2026,3
302,91459
1942,00
1709
2483
4
10
2359,9
473,77783
2475,00
1794
3336
Grupo 1: grupo controle após 2 semanas do trauma
Grupo 2: grupo controle após 4 semanas do trauma
Grupo 3: grupo tratado com OHB, avaliado após 2 semanas do trauma
Grupo 4: grupo tratado com OHB, avaliado após 4 semanas do trauma
n: número da amostra
Nota-se que a média de axônios mielinizados dos grupos sacrificados com 4
semanas foi maior do que a dos grupos sacrificados com 2 semanas. Observa-se
que o menor valor está presente no grupo controle de 2 semanas.
Uma variabilidade menor dos dados no grupo 3 é evidenciada quando
comparados ao grupo 1. Seu desvio padrão é cerca da metade do grupo 1, o que
reflete ser um grupo mais homogêneo. O valor mínimo do grupo 3 encontra-se
próximo à mediana do grupo 1.
Comparando os grupos 2 e 4, verifica-se uma variabilidade semelhante da
amostra, sendo a mediana do grupo 4 pouco maior que a mediana do grupo 2.
57
Os resultados estão representados esquematicamente na Figura 17.
FIGURA 17: Desenho esquemático (Boxplot) do número de axônios mielinizados do
nervo facial de coelhos, nos campos estudados, de acordo com os quatro grupos.
Pelo teste de Kruskal-Wallis diferença entre os grupos (p=0,023). Isso
significa que existe diferença entre pelo menos 2 grupos. Para identificar quais
grupos são diferentes, aplicaram-se comparações múltiplas, utilizando o teste de
Mann-Whitney (Tab.4).
58
TABELA 4. Comparação entre os grupos, referente à média da contagem dos
axônios mielinizados do nervo facial extratemporal de coelhos, utilizando o teste de
Mann-Whitney.
Mann-Whitney
Grupos p
1-2 0,029
1-3 0,497
2-4 0,393
3-4 0,035
Grupo 1: grupo controle após 2 semanas do trauma
Grupo 2: grupo controle após 4 semanas do trauma
Grupo 3: grupo tratado com OHB, avaliado após 2 semanas do trauma
Grupo 4: grupo tratado com OHB, avaliado após 4 semanas do trauma
p
: nível de significância
A distribuição do número de fibras mielínicas do grupo 1 (controle 2 semanas)
diferiu significantemente da distribuição do grupo 2 (controle 4 semanas) (p=0,029).
Quando comparamos os dois grupos submetidos à OHB, a diferença também foi
significante entre os grupos 3 (OHB 2 semanas) e 4 (OHB 4 semanas) (p=0,035).
Apesar do número de fibras mielínicas do grupo 3 ser maior que do grupo 1, a
diferença entre os grupos não foi estatisticamente significante (p=0,497). A
distribuição do número de fibras mielínicas também foi semelhante nos 2 grupos
avaliados 4 semanas após a lesão (grupos 2 e 4) (p=0,393).
A tabela 5, e as figuras 18 e 19, representam as medidas referentes aos
diâmetros axonais dos grupos 1 e 3. O grupo 1 apresentou um diâmetro axonal
médio de 2,34 µm (DP=0,66 µm), e o grupo 3 de 2,81 µm (DP=1,04 µm). O teste
Mann Whitney detectou diferença significativa no diâmetro axonal médio entre os
grupos, p<0,000.
59
TABELA 5. Medidas resumo referentes ao diâmetro dos axônios mielinizados do
nervo facial extratemporal de coelhos após 2 semanas de lesão traumática, sem (1)
ou com (3) a administração de OHB.
grupo n média Desvio
padrão
mediana nimo máximo
1 3153 2,3463 0,6649 2,2618 1,0021 5,6155
3 3168 2,8189 1,0469 2,6691 1,0705 9,1827
Grupo 1: grupo controle após 2 semanas do trauma
Grupo 3: grupo tratado com OHB, avaliado após 2 semanas do trauma
n: número da amostra
.
0
0,5
1
1,5
2
2,5
3
diâmetros externos (µm)
Grupo 1
Grupo 3
FIGURA 18: Gráfico da média do diâmetro externos dos axônios mielinizados do
nervo facial extratemporal de coelhos após 2 semanas de lesão traumática, sem (1)
ou com (3) a administração de OHB.
p<0,000
60
No histograma da figura 19 observa-se que os diâmetros axonais do grupo 1
(controle) variaram entre 1,00 µm e 5,61 µm.
O grupo 3 (OHB) apresentou uma variação de diâmetros maior, com axônios
atingindo até 9,18 µm, o que na dia entre os grupos representou uma diferença
significativa (<0,000).
Figura 19: Distribuição de freqüência do diâmetro dos axônios mielinizados do nervo
facial extratemporal de coelhos após 2 semanas de lesão traumática, nos grupos 1
(controle) e 3 (OHB).
61
5. DISCUSSÃO
O longo trajeto do nervo facial o faz particularmente susceptível a vários tipos
de trauma. Por ser um nervo predominantemente motor (Diamond, 1979), as
seqüelas, decorrentes da regeneração neural incompleta após algum tipo de lesão,
são evidenciadas por assimetria na movimentação dos músculos da mímica facial,
acarretando prejuízos não apenas funcionais, mas estéticos e psicológicos muitas
vezes acentuados.
As lesões do nervo facial podem ocorrer em qualquer ponto deste longo
trajeto: próximo ao tronco cerebral, na região intratemporal ou extratemporal. As
lesões traumáticas são muito freqüentes, ocorrendo após acidentes automobilísticos,
lesões por arma de fogo, fraturas do osso temporal ou acidentes de outra natureza,
levando à secção completa ou parcial do nervo, esmagamento ou compressão por
fragmento ósseo, ou ainda, hematoma intraneural (Fisch, 1980). Lesões traumáticas
iatrogênicas, exérese de tumores ou neurocirurgias, também podem causar lesão
por secção ou estiramento do nervo facial.
A paralisia de Bell, mais aceita como de etiologia viral (Murakami et al, 1996a;
Murakami et al, 1996b; Wakisaka et al, 2002; Lazarini et al, 2006), é a causa mais
freqüente de lesão do nervo facial. Tanto na etiologia traumática quanto viral,
postula-se que o edema endoneural seja responsável pela isquemia secundária que
se instala no nervo, por bloqueio dos vasos sangüíneos que atravessam o perineuro
e garantem o fluxo de nutrientes e oxigênio ao tecido neural (Powell, Myers,1986).
Esses vasos, ao atravessarem obliquamente o perineuro, alcançando o
espaço endoneural, tornam-se pontos fáceis de obliteração, por pequenos aumentos
de pressão endoneural (Lundborg, Branemark, 1968). Esse mecanismo foi descrito
62
como “mecanismo de válvula” dos vasos transperineurais (Lundborg, Rydevik,
1973).
Nas lesões neurais completas, traumáticas, com transecção neural, uma
recuperação espontânea não ocorre, e as técnicas de reparo neural devem ser
aplicadas. A sutura é a técnica mais descrita na literatura para reparação de lesões
completas (Szal, Miller, 1975). No caso das lesões intratemporais do nervo facial, a
cola de fibrina tem sido usada para realização da anastomose com resultados
similares à sutura. (Bento, Miniti, 1989).
O tratamento para as lesões incompletas do nervo se baseia na terapêutica
clínica, e portanto depende do desenvolvimento de novas terapias, e descoberta de
novas drogas, que inibam a degeneração ou auxiliem na regeneração neural.
Existe um estudo clínico randomizado na literatura comparando o uso da OHB
com a prednisona na paralisia facial idiopática, mostrando resultados favoráveis no
emprego da OHB (Racic et al, 1997), além do relato de resultados satisfatórios em
uma série de 23 pacientes (Makishima et al, em 1998). Existem trabalhos
experimentais na literatura avaliando o uso da OHB na regeneração de nervos
periféricos (Mukoyama et al, 1975; Gingrass et al, 1993; Liu, He, 1994; Kihara et al,
1995;
Santos et al, 1995; Zamboni et al, 1995; Bradshaw et al, 1996; Tuma et al,
1999; Santos, 2000; Haapaniemi et al, 2001), alguns mostrando bons resultados,
mas nenhum estudo experimental com o nervo facial. Essa foi a motivação para este
estudo.
5.1 Animal Escolhido
A literatura dispõe de modelos experimentais variados para a pesquisa da
regeneração do nervo facial. Utilizam diferentes espécies animais, como coelhos,
63
gatos, macacos e ratos (Fisch, Yamamoto, 1975; Ciges et al, 1981; Bento, Miniti,
1989; Park et al, 1995; Cai, 1998; Spector, 2000, Costa, 2003, Borin et al, 2006).
Kozma et al (1974) descreveram o trajeto do nervo facial do coelho, desde a
sua raiz intracraniana até a sua porção extratemporal, inclusive a distribuição de
ramos, com estreita relação com a forma anatômica da espécie humana. O tronco
extratemporal do nervo facial do coelho é de fácil localização, e a técnica cirúrgica
também de fácil execução, como descrito por Costa (2003). Portanto, pela facilidade
de obtenção dos animais, pela anatomia semelhante, o favorável manejo cirúrgico e
o fato do nervo facial deste animal ser objeto de estudo em outros trabalhos
gerados na linha de pesquisa sobre a regeneração do nervo facial, da qual este
trabalho faz parte, o coelho foi o animal escolhido.
5.2 Método
5.2.a Técnica Cirúrgica
A lesão por esmagamento foi escolhida por ser um método de lesão neural
que utiliza uma pressão intensa, de curta duração, capaz de produzir uma lesão
axonal, mas preservando a lâmina basal dos axônios. Esse método foi descrito em
trabalhos anteriores (Park et al,1995; Cai et al,1998; Spector et al, 2000; Costa,
2003) e reproduzido nesse estudo. Determina uma axoniotmese, considerada lesão
neural de segundo grau, conforme descrito por Costa (2003). Ocorre interrupção da
condução elétrica e degeneração axonal, mas preservação dos tubos endoneurais, o
que permite uma recuperação completa num período curto de tempo (3 semanas a 3
meses).
64
Seddon (1943) descreveu o mecanismo de lesão na axoniotmese, após uma
pressão severa e/ou prolongada em qualquer porção do nervo, como obstrução da
drenagem venosa, com aumento da pressão intraneural e conseqüente interrupção
do fluxo de nutrientes pelas arteríolas comprimidas. O aumento da pressão
endoneural persistente causaria isquemia e lesão axonal.
Esse tipo de lesão simularia o que ocorre em muitos casos de fratura de
ossos temporais, onde é mais freqüente a compressão ou esmagamento do nervo
facial do que sua secção (Fisch, 1980) e poderíamos ainda supor que o edema que
se segue à lesão mecânica do nervo, causando isquemia secundária, seria
semelhante ao que ocorre em neuropatias de outras etiologias.
Uma lesão de segundo grau, levando à degeneração completa axonal, mas
permitindo a regeneração guiada pelos tubos endoneuronais (Seddon, 1943) é o
pretendido para avaliação mais precisa da eficácia da terapia. Nas lesões neurais de
terceiro grau, o aumento da pressão endoneural persistente causa perda dos tubos
endoneurais e uma recuperação espontânea não é esperada antes de dois a quatro
meses (Sunderland, 1978). O alongamento axonal é lento, cerca de 1 a 4 mm por
dia (Mackinnon, Dellon, 1988). As lesões neurais completas, além de tempo longo
para recuperação, risco de regeneração incompleta e sincinesias (Szal, Miller, 1975),
sofrem interferência direta das técnicas de reparo empregadas, nem sempre sendo
método adequado de comparação.
A lesão na porção extratemporal do nervo facial foi reproduzida seguindo o
modelo adotado por Costa (2003), por ser ponto anatômico de fácil localização,
favorecendo a execução da lesão.
Não apenas o tipo de lesão mas, no caso das lesões traumáticas, a força e o
tempo de sofrimento do nervo também interferem no processo de degeneração e
65
regeneração. Fisch, Yamamoto (1975) verificaram que com uma compressão neural
prolongada, com baixa intensidade, por 12 dias, o nervo facial ainda foi capaz de
atingir recuperação completa. Park et al, em 1995, produzindo compressão severa,
mesmo por curto tempo (esmagamento com pinça de ponta fina, por 10 segundos),
obteve recuperação funcional completa após 30 dias, mas notou, 3 meses após,
perda da organização somatotópica dos axônios em relação ao núcleo do nervo
facial, o que pode ter como significado a lesão de alguns tubos endoneurais.
Utilizou-se, para esse trabalho, o modelo experimental desenvolvido por
Costa (2003), que realizou um trauma por esmagamento, durante 60 segundos, com
pinça de ponta fina e com pressão constante, no nervo facial extratemporal de
coelhos, não havendo transecção do nervo. Neste estudo verificou-se degeneração
neural completa pela análise funcional, no primeiro dia após a lesão, e sinais
iniciais de regeneração neural com 2 semanas, pela avaliação funcional e
histológica. Após 4 semanas, pela análise histológica, foi descrita regeneração
avançada do nervo facial (cerca de 70% das fibras regeneradas) e praticamente
completa após 6 semanas. Os achados histológicos de regeneração avançada do
nervo facial após 4 semanas, e praticamente completa após 6 semanas, aliados à
recuperação funcional de início precoce (a partir da semana), são condizentes
com a descrição de axoniotmese por Seddon (1943). Seguindo esse modelo
experimental, em 2 semanas o processo de regeneração já teria iniciado, e o tempo
ideal para realização de oxigenoterapia e para o sacrifício dos animais para a
análise histológica pôde ser definido.
66
5.2.b Esquema de oxigenoterapia hiperbárica
A degeneração do segmento distal do nervo facial em gatos, após lesão por
compressão, foi descrita por Fisch, Yamamoto (1975) como ocorrendo nas primeiras
24 horas, pelas alterações clínicas observadas, aliadas à avaliação eletrofuncional.
Não existem trabalhos experimentais na literatura que avaliem a lesão por
esmagamento do nervo facial num período tão precoce. Pelo trabalho de Costa
(2003), sabe-se que o processo de degeneração vem ocorrendo nas primeiras 2
semanas e, a partir daí, um processo inicial de regeneração foi notado.
A lesão por esmagamento associa o trauma mecânico do tecido neural com a
isquemia, resultado do edema neural secundário ao trauma, acentuada pela
interrupção da circulação na vasa nervorum (Powell et al, 1979). Quando analisamos
outros trabalhos, com mecanismos de lesão diferentes, mas possivelmente
agregados ao trauma por esmagamento, supomos que as alterações neurais podem
ser muito precoces.
A isquemia já foi relacionada em trabalhos experimentais com alterações
axonais precoces como edema neural, desmielinização e degeneração axonal
notados a partir de 24 horas (Nagamatsu et al, 1996) até 2 a 7 dias após a lesão
(Myers et al,1991).
Após a secção do nervo facial, foi evidenciada degeneração do segmento
distal (degeneração walleriana) nas primeiras 5 horas após a lesão, sendo evidente
após 12 horas e progressiva por 36 a 48 horas (May, 1986). Spector et al (2000)
descreveram a fragmentação da bainha de mielina nas primeiras 24 horas após a
lesão neural, e a participação das lulas de Schwann e dos macrófagos na
fagocitose dos debris de mielina, principalmente nos primeiros 14 dias após a lesão.
67
De acordo com esses dados da literatura decidiu-se iniciar precocemente o OHB, no
máximo 5 horas após a lesão.
Estudos usando OHB na regeneração de nervos periféricos tiveram
divergência quanto ao tempo de início das sessões, que variou de 30 minutos
(Kihara et al, 1995) a 14 dias após a lesão (Liu, He, 1994), e quanto ao número de
sessões, de 3 sessões (Tuma Jr et al, 1999) a 49 sessões (Bradshaw et al, 1996).
As pressões utilizadas variaram entre 2 ATA e 3,2 ATA. Esses esquemas diversos
dificultam a comparação dos resultados.
O esquema que foi aqui escolhido é similar ao usado na prática clínica
(oxigenoterapia a 100%, sessões com 90 minutos de duração, alcançando 2,5 ATA,
realizadas diariamente) (Jain, 1999).
Pressões maiores que 3 ATA, durante mais de 3 horas, mais que 2 x dia são
consideradas potencialmente tóxicas (Davis, 1983).
Alguns trabalhos testaram pressões diferentes de oxigenoterapia, não
verificando diferença de resultados entre os esquemas que variaram entre 1,5 ATA a
3 ATA (Bradshaw et al, 1996).
Alguns trabalhos não relataram o tempo para o início da OHB, entretanto na
maioria dos trabalhos este é precoce, até 8 horas após a lesão neural. O efeito da
OHB, aumentando a pressão parcial de oxigênio no sangue e nos fluidos
intersticiais, melhoraria a perfusão em áreas isquêmicas e reduziria a formação do
edema, pelo efeito vasoconstritor conferido à terapia (Nylander et al,1985). Portanto
o emprego da OHB em períodos iniciais da isquemia poderia ter melhores
resultados, que a isquemia, secundária ao trauma e bloqueio dos vasos
transperineurais, é um mecanismo conhecido de lesão neural (Powell, Myers, 1986;
Myers et al, 1991). Entretanto, um estudo avaliando a regeneração do nervo ciático
68
de ratos após esmagamento não verificou diferença entre os grupos que iniciaram a
terapia no 1º, 5° ou 14º dia após a lesão (Liu, He, 1994).
Neste estudo foi viável realizar a OHB uma vez por dia. Os trabalhos são
bastante variados quanto ao esquema de terapia, variando entre sessões diárias,
realizadas 5 ou 7 vezes por semana; sessões 2 vezes ao dia (Mukoyama et al, 1975;
Gingrass et al,1993; Santos et al, 1995; Zamboni et al,1995; Tuma Jr et al, 1999;
Santos, 2000), ou até 3 vezes ao dia (Haapaniemi et al, 2001). A maioria dos
trabalhos mantém a OHB num período de 7 a 14 dias, entretanto decidimos manter a
terapia por até 3 semanas, principal período em que acreditamos ocorrer a
degeneração axonal, de acordo com os dados da literatura. Sinais de
desmielinização e degeneração axonal foram notados entre 2 e 7 dias após lesão
neural (Myers, 1991), quando o edema neural alcançou valores 4 a 5 vezes maiores
que o normal. (Powell et al, 1979). As alterações morfológicas dos axônios,
indicando degeneração, se mantiveram a o 1 dia após lesão neural (Powell,
Myers, 1986).
5.2.c Avaliação histológica
Neste estudo associou-se a análise qualitativa com a contagem do número de
axônios mielinizados e a mensuração do diâmetro axonal para avaliar o grau de
regeneração neural.
A análise histológica com contagem do número de axônios mielinizados é um
método amplamente utilizado na literatura mundial em coelhos, gatos, ratos e
hamsters (Szal e Miller, 1975; Powell e Myers, 1986; Da Silva, 1987; Holland et al,
1996; Spector et al, 2000; Costa, 2003; Prinz et al, 2003, Borin et al, 2006), sendo
considerado pela maioria dos autores um método objetivo de estudo da regeneração
69
neural. Alguns definem uma área neural constante (Powell e Myers, 1986; Holland et
al, 1996; Prinz et al, 2003, Borin et al, 2006), e outros comparam o número total de
axônios dos nervos (Szal e Miller, 1975; Da Silva, 1987; Spector et al, 2000; Costa,
2003).
A análise neural qualitativa, avaliando o aspecto geral do tecido neural em
relação à estrutura, ao tamanho dos axônios e ao processo inflamatório após a lesão
também foi utilizada em muitos trabalhos (Ciges et al, 1981; Powell e Myers, 1986;
Bento, Miniti, 1989; Costa, 2003; Prinz et al, 2003; Borin et al, 2006).
O número total de axônios no tronco extratemporal do nervo facial de coelhos
foi estimado por Costa (2003) como contendo 7800 fibras. A contagem e
mensuração do total de fibras demandaria trabalho e tempo exagerados, sendo
optado pelo uso de técnica de amostragem, que foi mostrada por outros autores
como eficaz para a representação do que ocorre em todo o nervo. Utilizamos para
contagem 5 campos aleatórios de área de 37000µm , que no total corresponderam a
cerca de 40% da área de corte transversal do nervo. Mayhew, Sharma (1984)
verificaram que as amostras randomizadas, correspondentes a 6% da área de corte
transversal do nervo, aproximaram-se aos valores absolutos, sendo representativas
do nervo. Prinz et al, em 2003, não evidenciaram diferença entre a contagem de
axônios mielinizados nas regiões central e periférica dos nervos após lesão por
compressão. Powell, Myers (1986) evidenciaram degeneração axonal mais
pronunciada na região subperineural após lesão por compressão do nervo ciático de
ratos. Devido à essas divergências existentes na literatura, neste estudo, mesmo se
tratando da lesão por esmagamento, os cinco campos utilizados para análise
histológica englobaram regiões centrais e periféricas dos axônios.
70
5.3 Resultados
No ser humano o processo de degeneração neural é mais acentuado nas
primeiras duas semanas após secção neural, com atuação de células de Schwann e
macrófagos na fagocitose dos debris de mielina (May, 1986). A partir do 10º dia,
após lesão neural (compressão do nervo ciático de ratos), são notados sinais de
remielinização, que se tornam mais pronunciados do 14º ao 28º dia (Powell, Myers,
1986). Concordando com esses dados, verificamos no grupo controle de 2 semanas
poucos axônios, irregulares, com bainha de mielina fina, dados compatíveis com
degeneração axonal e fase inicial de remielinização. Costa (2003) obteve os
mesmos achados, após o mesmo tipo de lesão em coelhos.
Quatro semanas após a lesão os axônios estavam mais regulares, tinham
maior diâmetro, mielina mais espessa e as lulas de Schwann eram
identificadas. Esses achados se aproximaram ao aspecto normal do nervo facial de
coelhos, caracterizado em trabalhos anteriores por axônios regularmente arranjados,
de diâmetros similares, com mielina densa, células de Schwann bem distribuídas,
com núcleos celulares de tamanho e forma regulares (Cai et al.1998; Costa, 2003).
A contagem dos axônios mielinizados do tronco extratemporal do nervo facial
de coelhos, numa área correspondente a 40% da área de corte transversal do nervo,
apresentou em média 1800 axônios após 2 semanas e 2500 axônios na avaliação
realizada 4 semanas após a lesão. O número total de fibras foi estimado, em média,
como 6250 fibras, 4 semanas após a lesão. Notamos que a média do grupo
sacrificado com 4 semanas foi maior do que a do grupo sacrificado com 2 semanas,
o que era esperado, já que tiveram tempo maior para regeneração. Esses dados são
similares aos descritos por Costa (2003) que, 4 semanas após a lesão, verificou uma
recuperação de cerca de 70% das fibras mielinizadas e, 6 semanas após a lesão,
71
recuperação quase completa. Estimou o número total de axônios mielinizados como
7800. Ciges et al (1981) também descreveram regeneração neural acentuada 30
dias após a lesão, mas que só foi completa após 75 dias.
O número de fibras mielínicas do grupo submetido a OHB e sacrificado com 2
semanas foi maior do que no grupo controle de 2 semanas, entretanto essa
diferença entre os grupos não foi estatisticamente significante.
A média do número de fibras mielinicas também não diferiu estatisticamente
entre o grupo controle e o submetido à OHB, avaliados 4 semanas após a lesão. Os
dois grupos apresentaram comportamento semelhante, com desvio padrão similar.
Estágio avançado de regeneração espontânea era esperado nesse período (Costa,
2003), o que pode ter contribuído para essa semelhança entre os grupos. A
preservação dos tubos endoneurais, pretendida pelo modelo experimental, guia a
regeneração, prevenindo a morte neuronal (Kreutzberg, 1979). Portanto, ao longo do
experimento, regeneração semelhante era esperada nos dois grupos.
Nossos resultados são semelhantes a alguns trabalhos, que embora tenham
indícios de melhora da regeneração neural não evidenciaram um aumento no
número de axônios. (Bradshaw et al, 1996; Haapaniemi et al, 2001).
A comparação do grupo controle com o grupo tratado com OHB após 4
semanas da lesão também não apresentou diferença pela avaliação qualitativa. Os
axônios já estavam maiores e mais regulares nos dois grupos, com bainha de
mielina espessa, diâmetros semelhantes e estroma denso.
Quando comparamos qualitativamente os grupos sacrificados 2 semanas
após a lesão, notamos uma diferença nítida entre os dois grupos. Os axônios
maiores, mais regulares, e com bainha de mielina mais espessa notados no grupo
que recebeu OHB denotam fase mais avançada de regeneração.
72
No ser humano o diâmetro dos axônios motores do nervo facial varia entre 3
e 20 µm (May, 1986). Não temos dados na literatura referentes aos diâmetros dos
axônios do nervo facial de coelhos. Lundborg (1988), correlacionou o maior diâmetro
axonal com melhor recuperação funcional. Portanto realizamos as medidas dos
diâmetros axonais nos grupos sacrificados 2 semanas após a lesão neural.
A mensuração do diâmetro axonal externo nos grupos sacrificados após 2
semanas, revelou diferença estatisticamente significante entre os grupos,
confirmando as diferenças notadas na avaliação qualitativa das lâminas. Esses
dados quantificaram o efeito da OHB acelerando a regeneração do nervo facial ou
inibindo o processo de degeneração.
Os grupos 2 e 4, avaliados 4 semanas após a lesão, não apresentaram
diferença na análise qualitativa das lâminas, portanto a mensuração dos diâmetros
externos não foi realizada.
O diâmetro externo da fibra nervosa (axônio e bainha de mielina) parece estar
mais relacionado às suas propriedades funcionais (Hursh, 1939). May (1986)
descreveu o diâmetro axonal, a espessura, e o comprimento da bainha de mielina
como as principais dimensões de uma fibra neural para uma transmissão sináptica
adequada. Atsumi, Miyatake (1987) correlacionaram o grau de atrofia da língua de
pacientes com esclerose lateral amiotrófica, à redução do diâmetro das fibras do
nervo hipoglosso, e não com o número de fibras. Dellon, Mackinnon (1989) também
relacionaram a velocidade de condução dos impulsos elétricos com a espessura da
bainha de mielina e o diâmetro axonal, concluindo serem esses parâmetros
melhores que a contagem axonal para a avaliação da regeneração neural.
Sendo assim nossos resultados vão de acordo com os dados disponíveis na
literatura. Não evidenciamos aumento no número de fibras mielínicas, mas sim
73
efeitos da OHB positivos no processo de mielinização e maturação das fibras
neurais. A OHB parece ter agido na fase inicial, talvez limitando o edema neural e
assim inibindo o processo de degeneração de algumas fibras e/ou acelerando a
regeneração de outras. Efeitos da OHB acelerando a maturação neural também
foram relacionados em outros trabalhos, observando-se os diâmetros axonais
(Mukoyama et al, 1975) e o grau de mielinização (Liu, He, 1994). Santos (2000),
embora tenha notado efeitos da OHB aumentando as áreas dos axônios
mielinizados e a espessura da bainha de mielina, não encontrou nível de
significância em seus achados, resultado contrário aos dos estudos acima descritos,
e aos nossos resultados.
5.4 Comentários finais
Nas últimas décadas vários estudos foram realizados a fim de se obter
métodos mais eficazes de reparo do nervo facial e tratamentos que auxiliem no seu
processo de regeneração após uma lesão. Isso demonstra as dificuldades de se
garantir uma recuperação funcional satisfatória do nervo facial após uma lesão.
Os indícios dos efeitos da OHB nas primeiras duas semanas após a lesão
neural, inibindo a degeneração de algumas fibras do nervo facial e/ou acelerando
seu processo de regeneração, pode exercer papel fundamental no nue limite entre
uma regeneração neural satisfatória e a ocorrência de sincinesias. Sabemos que
outros estudos são necessários, acrescentando dados clínicos e eletrofisiológicos
aos nossos achados.
A transposição dos achados experimentais para o ser humano, a descoberta
de novos indícios que confirmem a utilização da OHB como uma terapia capaz de
auxiliar no processo de regeneração do nervo facial, é um caminho animador na
74
procura de novas soluções que auxiliem a cura e evitem seqüelas a tantos pacientes
acometidos pela paralisia facial periférica.
75
6. CONCLUSÕES
A oxigenoterapia hiperbárica, aplicada em sessões diárias, com 90 minutos
de duração, por até 21 dias, alcançando 2,5 atmosferas de pressão absoluta,
utilizando oxigênio a 100%, iniciadas no máximo 5 horas após lesão por
esmagamento, durante 60 segundos, do tronco extratemporal do nervo facial em
coelhos machos adultos:
1. Inibiu a degeneração e/ou acelerou a regeneração neural no grupo
avaliado duas semanas após a lesão por esmagamento, em relação ao grupo
controle, enquanto entre os grupos avaliados quatro semanas após a lesão, não
determinou diferença no padrão de regeneração neural pela avaliação qualitativa por
microscopia ótica das lâminas;
2. Promoveu aumento do diâmetro dos axônios mielinizados e aumento da
espessura da bainha de mielina no grupo avaliado duas semanas após a lesão por
esmagamento, em relação ao grupo controle;
3. Não promoveu um aumento no número de axônios mielinizados, calculado
pela contagem por microscopia ótica em área correspondente à 40% da área total
de corte transversal do nervo, quando comparado ao grupo controle.
76
7. ANEXOS
Anexo 1
Resolução C.F.M. nº 1457/95
O Conselho Federal de Medicina, no uso de suas atribuições que lhe confere
a Lei nº 3268, de 30 de setembro de 1957, regulamentada pelo Decreto nº 44045, de
19 de julho de 1958, e
CONSIDERANDO que o Conselho Federal de Medicina, em conjunto com os
Conselhos Regionais de Medicina constitui o órgão supervisor e fiscalizador do
desempenho profissional dos médicos de todo o país;
CONDIDERANDO o surgimento de novas técnicas e procedimentos de
pesquisa em Medicina cuja aplicação implica na fiel observância aos preceitos
contidos no Código de Ética Médica;
CONSIDERANDO a necessidade de se estabelecer uma correta definição
sobre as características e fundamentos da Medicina Hiperbárica;
CONSIDERANDO a Oxigenoterapia Hiperbárica (OHB) como procedimento
terapêutico consagrado nos meios científicos e incorporado ao acervo de recursos
médicos, de uso corrente em todo o país;
CONSIDERANDO o decidido na Reunião Plenária de 15/09/1995;
RESOLVE:
Adotar as seguintes técnicas para o emprego de OHB:
1- Disposições Gerais
1.1 - A oxigenoterapia hiperbárica (OHB) consiste na inalação de oxigênio
puro, estando o indivíduo submetido a uma pressão maior do que a
atmosférica, no interior de uma câmara hiperbárica;
1.2 - As câmaras hiperbáricas são equipamentos resistentes a pressão e
podem ser de dois tipos: multipaciente (de maior porte, pressurizadas
com ar comprimido e com capacidade para várias pessoas
77
simultaneamente), e monopaciente (que permite apenas acomodação do
próprio paciente, pressurizada, em geral, diretamente com oxigênio).
1.3 - Não se caracteriza como oxigenoterapia hiperbárica (OHB) a inalação
de 100% de oxigênio em respiração espontânea ou através de
respiradores mecânicos em pressão ambiente, ou a exposição de
membros ao oxigênio por meio de bolsas ou tendas, mesmo que
pressurizadas, estando a pessoa em ar ambiente.
2- Indicação
2.1 - A indicação da oxigenoterapia hiperbárica é de exclusiva competência
médica.
3- Aplicação
3.1- A aplicação da oxigenoterapia hiperbárica deve ser realizada pelo médico
ou sob sua supervisão
4- As aplicações clínicas atualmente reconhecidas da oxigenoterapia
hiperbárica são as seguintes:
4.1- Embolias gasosas;
4.2- Doença descompressiva;
4.3- Embolia traumática pelo ar;
4.4- Envenenamento por monóxido de carbono ou inalação de fumaça;
4.5- Envenenamento por cianeto ou derivados cianídricos;
4.6- Gangrena gasosa;
4.7- Síndrome de Fournier;
4.8- Outras infecções necrotizantes de tecidos moles: celulites, fasciites, e
miosites;
4.9- Isquemias agudas traumáticas: lesão por esmagamento, síndrome
compartimental, reimplantação de extremidades amputadas e outras;
4.10- Vasculites agudas de etiologia alérgica, medicamentosa ou por toxinas
biológicas (aracnídeos, ofídios e insetos);
4.11- Queimaduras térmicas e elétricas;
4.12- Lesões refratárias: úlceras de pele, pés diabéticos, escaras de decúbito,
úlceras por vasculites auto-imunes, deiscências de suturas;
78
4.13- Lesões por radiação: radiodermite, osteoradionecrose e lesões actínicas
de mucosas;
4.14- Retalhos ou enxertos comprometidos ou de risco;
4.15- Osteomielites;
4.16- Anemia aguda, nos casos de impossibilidade de transfusão sanguínea.
79
8. REFERÊNCIAS BIBLIOGRÁFICAS
Adour KK, Ruboyianes JM, Von Doersten PG. Bell’s palsy treatment with acyclovir
and prednisone compared with prednisone alone: a double-blind, randomized,
controlled trial. Ann Otol Rhinol Laryngol. 1996;105:371-8.
Atsumi T, Miyatake T. Morphometry of degenerative process in the hypoglossal
nerves in amyotrofic lateral sclerosis. Acta Neuropathol. 1987;73:25-31.
Basset BE, Bennett PB. Introduction to the physical and physiological bases of
hyperbaric therapy. In: Davis JC, Hunt TK editors. Hyperbaric oxygen therapy.
Undersea Medical Society. Bethesda;1977.
Bento RF, Miniti A. Comparison between fibrin tissue adhesive, epineural suture and
natural union in intratemporal facial nerve of cats. Acta Otolaryngol Supl. 1989;
465:1-36.
Bento, RF, Miniti A. Anastomosis of the intratemporal facial nerve using fibrin tissue
adhesive. Ear Nose Throat J. 1993;72:663-71.
Boerema I, Meyne NG, Brummelkamp WK, Bouma S, Mensch MH, Kamemans F,
Stern Hanf M, Van Aalderen W. Life without blood: A study of the influence of high
atmospheric pressure and hypothermia on dilution of the blood. J Cardiovasc Surg.
1960; 1:133-46.
Borin A, Toledo RN, Faria SD, Testa JRG, Cruz OLM. Modelo experimental
comportamental e histológico da regeneração do nervo facial em ratos. Rev Bras
Otorrinolaringol. 2006;72:776-85.
Bradshaw PO, Nelson AG, Fanton JW, Yates T. Effect of hyperbaric oxygenation on
peripheral nerve regeneration in adult male rabbits. Undersea Hyperb Med. 1996;
23(2):107-13.
Buras J. Basic mechanisms of hyperbaric oxygen in the treatment of isquemia-
reperfusion injury. Int Anesthesiol Clin. 2000;38(1):91-109.
Cai Z, Yu G, Ma D, Tan J, Yang Z, Zhang X. Experimental studies on traumatic facial
nerve injury. J Laryngol Otol. 1998; 112:243-7.
Ciges M, Diaz Flores L, Lopez Aguado D. Degeneration and regeneration processes
in experimental facial nerve paralysis. Acta Otolaryngol. 1981;91(5-6):487-96.
Costa HJZR. Estudo experimental sobre a regeneração pós traumática do nervo
facial em coelhos. Tese (Mestrado). o Paulo: Faculdade de Ciências Médicas da
Santa Casa de São Paulo; 2003.
Da Silva,CF. Estudo experimental da regeneração de nervos no interior de próteses
tubulares. Tese (Livre Docência). São Paulo: Universidade de São Paulo; 1987.
80
Davis JC. Hyperbaric oxygen therapy: a committee report. Undersea Medical
Society. Bethesda: [s.n.]; 1983.
Dellon AL, Mackinnon SE. Selection of the appropriate parameter to measure neural
regeneration. Ann Plast Surg. 1989;23:197-202.
Diamond C. Anatomy and physiology. In : The facial nerve. USA. Hardcover;
1979.p3-21.
Fisch U. Management of intratemporal facial nerve injuries. J Laryngol Otol. 1980;
94:129-34.
Fisch U, Yamamoto E. Experimentally induced facial nerve compression in cats. Acta
Otolaryngol. 1975;79:390-5.
Gingrass M, Brown RE, Zamboni WA, Roth A, Mather A, Stephenson L. The effect of
high tension oxygen on nerve regeneration in a nerve graft model. J Reconstr
Microsurg. 1993;9:158.
Grogan P M, Gronseth G S. Practice parameter: steroids, acyclovir, and surgery for
Bell's palsy (an evidence-based review). Report of the quality standards
subcommittee of the American academy of neurology. Neurology. 2001;56(7):830-
836.
Gundersen HJG. Notes on the estimation of the numerical density of arbitrary
profiles: the edge effect. J Microsc. 1977; 111:219-23.
Haapaniemi T, Nishiura Y, Dahlin LB. Effects of hyperbaric oxygen treatment on
axonal outgrowth in sciatic nerve grafts in rats. Scand J Plast Reconstr Hand Surg.
2001; 35:7-11.
Holland GR, Robinson PP, Smith KG, Pehowich E.A quantitative morphological study
of the recovery of cat lingual nerves after transection or crushing. J Anat.
1996;188:289-97.
Hong JP, Kwon H, Chung YK, Jung SH. The effect of hyperbaric oxygen on
ischemia-reperfusion injury: an experimental study in a rat musculo cutaneous flap.
Ann Plast Surg. 2003 Nov;51(5):478-87.
Hursh JB. Conduction velocity and diameter of nerve fibers. Am J Physiol.
1939:127,131-9.
Jain KK. Physical, Physiological and Biochemical Aspects of Hyperbaric
Oxygenation In: Jain KK. Textbook of Hyperbaric Medicine. 3
rd
rev ed. Seattle:
Hogrefe & Huber Publishers;1999. p.11-27.
Kartush JM, Graham MD, Larouere MJ. Meatal decompression following acoustic
neuroma resection: minimizing delayed facial palsy. Laryngoscope. 1991; 101:674-
76.
81
Kihara M, Mcmanis PG, Schmelzer JD, Kihara Y, Low PA. Experimental ischemic
neuropathy: salvage with hyperbaric oxygenation. Ann Neurol. 1995; 37:89-94.
Kozma C, Macklin W, Cummings LM, Mauer R. Anatomy, physiology and
biochemistry of the rabbit. In: Weisbroth SH, Flatt RE, Kraus AL. The biology of the
laboratory rabbit. Academic; 1974. p50-5.
Kreutzberg GW. Neurobiological factors influencing regeneration of facial motor
neurons. Clin Plast Surg. 1979;6(3):389-95.
Lazarini PR, Viana MF, Alcântara MPA, Scalia RA, Caiaffa FOHH. Pesquisa do vírus
herpes simples na saliva de pacientes com paralisia facial periférica de Bell. Rev
Bras Otorrinolaringol. 2006;72(1):7-11.
Liu QL, He BP. Effects of hyperbaric oxygen therapy on rat sciatic nerve injury.
Undersea Hyperb Med. 1994 Sep;21(3):341-3.
Lundborg G. Nerve injury and repair. New York: Churchill Livingtstone;1988;149-87.
Lundborg G, Branemark PI. Microvascular structure and function of peripheral
nerves. Vital microscopic studies os the tibial nerve in the rabbit. Adv Microcirc.
1968;1:66.
Lundborg G, Rydevik B. Effects of stretching the tibial nerve of the rabbit. A
preliminary study of the intraneural circulation and the barrier function of the
perineurium. J Bone Jt Surg. 1973;55B:390-402.
Mackinnon SE, Dellon AL. Anatomy and physiology of the peripheral nerve. In:
Surgery of the peripheral nerve. New York, Thieme, 1988; 1-33.
Makishima K, Yoshida M, Kuroda Y, Konda N, Ikebe E. Hyperbaric oxygenation as a
treatment for facial palsy. In: Yanagita N, Nakashima T, editors. Hyperbaric Oxygen
Therapy in Otorhinolaryngology. Adv Otorhinolaryngol. Basel: Karger; 1998. p.110-8.
Manson PN, Im MJ, Myers RA, Hoopes IE. Improved capillaries by hyperbaric
oxygen in skin flaps. Surg Forum 1980;31:564-7.
May M. Microanatomy and pathophysiology of the facial nerve. In: The Facial Nerve.
New York, Thieme Inc, 1986; 63-73.
Mayhew TM, Sharma AK. Sampling schemes for estimating nerve fibre size.
Methods for nerve trunks of mixed fascicularity. J Anat. 1984; 139(1): 45-58.
Mink RB, Dutka AJ. Hyperbaric oxygen after global cerebral ischemia in rabbits does
not promote brain lipid peroxidation. Crit Care Med. 1995a;23:1398-404.
82
Mink RB, Dutka AJ. Hyperbaric oxygen after global cerebral ischemia in rabbits
reduces brain vascular permeability and blood flow. Stroke. 1995b;26(12):2307-12.
Mukoyama M, Iida M, Sobue I. Hyperbaric oxygen therapy for peripheral nerve
damage induced in rabbits with clioquinol. Exp Neurol. 1975; 47:371-80.
Murakami S, Hato N, Mizobuchi M, Doi T, Yanagihara N. Role of herpes simplex
vírus infection in tha pathogenesis of facial paralysis in mice. Ann Otol Rhinol
Laryngol. 1996a;105:49-53.
Murakami S, Mizobuchi M, Nakashiro Y, Doi T, Hato N, Yanagihara N. Bell palsy and
herpes simplex virus: identification of viral DNA in endoneurial fluid and muscle. Ann
Intern Med. 1996b;124(1Pte1):27-30.
Murakami N, Horinouchi T, Sakurai M, Ejima Y, Matsukawa S, Kato M, Tabayashi K.
Hyperbaric oxygen therapy given 30 minutes after spinal cord ischemia attenuates
selective motor neuron death in rabbits. Crit Care Med. 2001 Apr;29(4):814-8.
Comment in: Crit Care Med 2001 Apr;29(4):906-8.
Myers RR, Heckman HM, Galbraith JA,Powell HC. Subperineurial Demyelination
Associated with Reduced Nerve Blood Flow and Oxygen Tension After Epineurial
Vascular Stripping. Lab Invest. 1991; 65(1):41-50.
Nagamatsu M, Schmelzer JD, Zollman PJ, Smithson IL, Nickander KK, Low PA.
Isquemic reperfusion causes lipid peroxidation and fiber degeneration. Muscle Nerve.
1996;19:37-47.
Nylander G, Lewis D, Nordstrom H, Larsson J. Reduction of post- isquemic edema
with hyperbaric oxygen. Plast Reconstr Surg. 1985;76:596-601.
Park HJ, Kim HN, Kim KM. Redistribution of facial nerve motor neurons after
recovery from nerve crushing injury in the gerbil. Acta Otolaryngol. 1995
Mar;115(2):273-5.
Powell HC, Myers RR, Costello ML, Lampert PW. Endoneurial fluid pressure in
Wallerian degeneration. Ann Neurol. 1979;5:550-7.
Powell HC, Myers RR. Pathology of experimental nerve compression. Lab Invest.
1986;55:91-100.
Price RA, Ogston D, MacDonald AG. Effect of high pressure on platelet aggregation
in vitro. Undersea Biomed Res. 1986;14:63-75.
Prinz RA, Nakamura-Pereira M, De-Ary-Pires B, Fernandes DS, Fabiao-Gomes BD,
Bunn PS, Martinez AM, Pires-Neto MA, Ary-Pires R. Experimental chronic
entrapment of the sciatic nerve in adult hamsters: an ultrastructural and
morphometric study. Braz J Med Biol Res. 2003 Sep;36(9):1241-5.
83
Racic G, Denoble PJ, Sprem N, Bojic L, Bota B. Hyperbaric oxygen as a therapy of
Bell’s palsy. Undersea Hyperb Med. 1997; 24(1):35-8.
Ramsey M J, DerSimonian R, Holtel M R, Burgess L P. Corticosteroid treatment for
idiopathic facial nerve paralysis: a meta-analysis. Laryngoscope. 2000;110 (3 Part
1):335-41.
Ress AM, Babovic S , Angel MF, Im MJ, Dellon AL, Manson PN. Free radical
damage in acute nerve compression. Ann Plast Surg. 1995;34(4):388-95.
Rocco M, Antonelli M, Letizia V, Alampi D, Spadetta G, Passariello M, Conti G,
Serio P, Gasparetto A. Lipid peroxidation, circulating cytokine and endothelin 1 levels
in healthy volunteers undergoing hyperbaric oxygenation. Minerva Anestesiol. 2001
May;67(5):393-400.
Salman M S, MacGregor D L. Should children with Bell's palsy be treated with
corticosteroids: a systematic review. J Child Neurol. 2001;16(8):565-8.
Santos PM. A functional model system of an hypoxic nerve injury and its evaluation.
Laryngoscope. 2000; 110:845-53.
Santos PM, Williams SL, Covey J. Peroneal motor nerve crush injury and hyperbaric
oxygen effect. Laryngoscope. 1995; 105:1061-5.
Seddon HJ. Three types of nerve injury. Brain. 1943;66:237- 88.
Sheridas RL, Shanj E. Hyperbaric oxygen treatment: a brief overview of a
controversial topic. J Trauma. 1999;47(2):426-30.
Spector JG, Lee P, Derby A. Rabbit facial nerve regeneration in autologous nerve
grafts after antecedent injury. Laringoscope. 2000;110:660-7.
Sunderland S. Nerve and nerve injuries. 2 ed. London, Churchill-Livingston, 1978;
88-9, 96-7, 133.
Szal GL, Miller T. Surgical repair of facial nerve branches. An analysis of different
sheating and suturing techniques. Arch Otolaryngol. 1975;101:160-5.
Tuma JR P, Dias MD, Arrunategui G, Duarte GG, Wada A, Cunha AA, Ferreira MC.
Effect of hyperbaric oxygen on the regereration of experimental crush injuries of
nerves. Rev.Hosp.Clin.Fac.Med.S.Paulo. 1999; 54(3):81-4.
Turner JWA. Facial palsy in closed head injuries. Lancet. 1944; 246:756-7.
Wakisaka H, Hato , Honda N, Takahashi H, Kisaki H, Murakami S, Gyo K, Mominoki
K, Kobayashi N, Matsuda S. Demylination associated with HSV-1-induced facial
paralysis. Exp Neurol. 2002;178:68-79.
Williamson I G, Whelan T R. The clinical problem of Bell's palsy: is treatment with
steroids effective?. B J Gen Pract. 1996;46(413):743-7.
84
Yusa T, Beckman JS, Crapo JD, Freeman BA. Hyperoxia increases H
2
O
2
production
by brain in vivo. J Appl Physiol. 1987;63(1):353-8.
Zamboni WA, Brown RE, Roth AC, Mathur A, Stephenson LL. Functional evaluation
os peripheral-nerve repair and the effect of hyperbaric oxygen. J Reconstr Microsurg.
1995;11:27-9.
85
FONTES CONSULTADAS
1. Faculdade de Ciências Médicas da Santa Casa de São Paulo. Pós-
Graduação Normatização para apresentação de dissertações e teses. São
Paulo, Faculdade de Ciências Médicas da Santa Casa de São Paulo, 2004. 26p.
2. Ferreira ABH. Aurélio século XXI: o dicionário da ngua portuguesa. 3.ed. Rio
de Janeiro, Nova Fronteira, 1999. 2128p.
3. Jain KK. Textbook of Hiperbaric Medicine. Toronto: Hogrefe & Huber
Publishers, 1990.
4. Lazarini PR, Fouquet ML. Paralisia Facial: avaliação, tratamento, reabilitação.
São Paulo: Lovise, 2006.
5. Lopes Filho OC, Campos CAH (eds). Tratado de Otorrinolaringologia. São
Paulo: Roca,1994.
6. National Library of Medicine Index Medicus List of journals indexed in Index
Medicus. Maryland, National Library of Medicine, 2006. Disponível pela Internet
<ftp//nlmpubs.nlm.nih.gov/online/journals/ljiweb.pdf>.
7. X Curso de Extensão Universitária em Medicina Hiperbárica. Serviço de
Oxigenoterapia Hiperbárica. Hospital das Clínicas da Faculdade de Medicina da
Universidade de São Paulo, 2005.
86
RESUMO
Introdução: A paralisia facial periférica traumática é uma afecção freqüente. As
lesões incompletas, tratadas de modo conservador, dependem do emprego de
drogas e terapias que auxiliem a regeneração neural Objetivo: Avaliar os efeitos da
oxigenoterapia hiperbárica na recuperação histológica do nervo facial de coelhos
após lesão traumática. Material e método: Foi realizada lesão traumática por
esmagamento durante 60 segundos no tronco extratemporal do nervo facial de 20
coelhos. Dez coelhos foram submetidos a sessões de oxigenoterapia a 100%,
iniciadas no máximo cinco horas após a lesão. As sessões tiveram 90 minutos de
duração, alcançando 2,5 atmosferas de pressão absoluta, e foram realizadas
diariamente, no máximo de 21 sessões. Os coelhos foram sacrificados em dois
períodos: duas semanas e quatro semanas após a lesão, sendo extraídos 40
fragmentos de 0,5 cm do nervo facial para análise. Após a fixação, foram realizados
cortes semifinos de 0,4 µm de espessura, corados com azul de toluidina a 1% e
avaliados em microscópio de luz acoplado a sistema analisador de imagens. Foi
realizada análise morfológica qualitativa, medida dos diâmetros externos axonais, e
avaliação quantitativa, pela contagem do número de fibras mielínicas em cinco
campos aleatórios por lâmina, de área correspondente a 185000 µm
2
,
correspondente a cerca de 40% da área total dos nervos. Resultados: A análise
histológica qualitativa mostrou aumento da área dos axônios mielinizados e bainha
de mielina mais espessa no grupo tratado com oxigenoterapia hiperbárica por duas
semanas, comparado ao grupo controle. A mensuração dos diâmetros externos
axonais confirmou a diferença entre os grupos. O diâmetro axonal médio do grupo
controle de duas semanas foi 2,34µm, e do grupo tratamento foi 2,81µm, diferença
estatisticamente significante. A média do número de fibras mielínicas do grupo
controle de duas semanas foi de 1865,2± 664, e do grupo tratamento foi de 2026,3±
302. Essa diferença entre os grupos não foi estatisticamente significante.O grupo
controle de quatro semanas apresentou média de 2495,1± 479 fibras mielínicas,
enquanto o grupo tratamento 2359,9±473 fibras mielínicas. O número de fibras
mielínicas também foi semelhante nos dois grupos avaliados quatro semanas após a
lesão. Conclusão: A oxigenoterapia hiperbárica promoveu aumento no diâmetro
axonal médio do grupo avaliado após terapia por duas semanas, o que sugere um
87
processo mais avançado de regeneração. Entretanto, o número de fibras mielínicas
do nervo facial de coelhos foi semelhante nos quatro grupos estudados.
88
ABSTRACT
Introduction: Traumatic peripheral facial paralysis is a common disease. In
incomplete nerve injuries, systemic drugs or other therapies can act on regenerative
process of facial nerve. Objective: To evaluated the hyperbaric oxygen (HBO)
treatment on histological pattern of the facial nerve in rabbits exposed to a nerve
crush injury. Methods: Twenty rabbits were exposed to a facial nerve trunk crush
injury for 60 seconds. Ten rabbits were treated with hyperbaric oxygen 100%. The
first session began at least 5 hours after the crush injury and last 90 minutes, at 2,5
ATA pressure. We did daily sessions and no more than 21 sessions. The animals
were sacrificed at the second week and fourth weeks. Forty facial nerves fragments
of 0,5 cm length were collected and the material was fixed. Semithin sections of 0,4
µm were obtained, colored in 1% toluidine blue and evaluated with a light microscope
combined with an image analyzing system. The histological analysis, measurement
of external axon diameters and the count of the myelinated fibers of the facial nerve
were performed in five arbitrary square test areas with 185000 µm
2
that represents
40 % of the total area. Results: The histologycal analysis showed a greater axonal
area and myelin thickness on second week HBO treatment group. The mean axonal
diameters was 2,34µm on control group and 2,81 µm on treatment group. There was
a statistical difference of axon diameters between the groups. The 2 weeks control
group presented an average of 1865,2± 664 myelinated fibers and the second week
HBO treatment group presented 2026,33± 302 myelinated fibers. The total number of
myelinated fibers was similar at the second week on both groups. The fourth week
control group presented an average of 2495,1± 479 myelinated fibers, and the fourth
week HBO treatment group presented 2359,9±473 myelinated fibers. The total
number of myelinated fibers was similar on both groups. Conclusion: The
histological analysis on second week HBO treatment group suggests a better nerve
regeneration, with greater axon diameters. However the total number of facial nerve
myelinated fibers in rabbits was similar on both control and HBO treatment groups.
89
APÊNDICES
Apêndice 1
90
Apêndice 2
Livros Grátis
( http://www.livrosgratis.com.br )
Milhares de Livros para Download:
Baixar livros de Administração
Baixar livros de Agronomia
Baixar livros de Arquitetura
Baixar livros de Artes
Baixar livros de Astronomia
Baixar livros de Biologia Geral
Baixar livros de Ciência da Computação
Baixar livros de Ciência da Informação
Baixar livros de Ciência Política
Baixar livros de Ciências da Saúde
Baixar livros de Comunicação
Baixar livros do Conselho Nacional de Educação - CNE
Baixar livros de Defesa civil
Baixar livros de Direito
Baixar livros de Direitos humanos
Baixar livros de Economia
Baixar livros de Economia Doméstica
Baixar livros de Educação
Baixar livros de Educação - Trânsito
Baixar livros de Educação Física
Baixar livros de Engenharia Aeroespacial
Baixar livros de Farmácia
Baixar livros de Filosofia
Baixar livros de Física
Baixar livros de Geociências
Baixar livros de Geografia
Baixar livros de História
Baixar livros de Línguas
Baixar livros de Literatura
Baixar livros de Literatura de Cordel
Baixar livros de Literatura Infantil
Baixar livros de Matemática
Baixar livros de Medicina
Baixar livros de Medicina Veterinária
Baixar livros de Meio Ambiente
Baixar livros de Meteorologia
Baixar Monografias e TCC
Baixar livros Multidisciplinar
Baixar livros de Música
Baixar livros de Psicologia
Baixar livros de Química
Baixar livros de Saúde Coletiva
Baixar livros de Serviço Social
Baixar livros de Sociologia
Baixar livros de Teologia
Baixar livros de Trabalho
Baixar livros de Turismo