Download PDF
ads:
UNIVERSIDADE ESTADUAL PAULISTA “JULIO DE MESQUITA FILHO”
FACULDADE DE CIÊNCIAS AGRÁRIAS E VETERINÁRIAS
CAMPUS DE JABOTICABAL
Bacillus thuringiensis var. israelensis SPS1: CARACTERIZAÇÃO
DA REGIÃO PROMOTORA DE GENES cry E EFEITO EM LARVAS
DE
Aedes aegypti
(L.) (DIPTERA: CULICIDAE)
Juliana Regina Rossi
Bióloga
JABOTICABAL – SÃO PAULO – BRASIL
Julho de 2007
ads:
Livros Grátis
http://www.livrosgratis.com.br
Milhares de livros grátis para download.
UNIVERSIDADE ESTADUAL PAULISTA “JULIO DE MESQUITA FILHO”
FACULDADE DE CIÊNCIAS AGRÁRIAS E VETERINÁRIAS
CAMPUS DE JABOTICABAL
Bacillus thuringiensis var. israelensis SPS1: CARACTERIZAÇÃO
DA REGIÃO PROMOTORA DE GENES cry E EFEITO EM LARVAS
DE Aedes aegypti (L.) (DIPTERA: CULICIDAE)
Juliana Regina Rossi
Orientador: Prof. Dr. Manoel Victor Franco Lemos
Dissertação apresentada à Faculdade de Ciências
Agrárias e Veterinárias Unesp, Campus de
Jaboticabal, como parte das exigências para
obtenção do título de Mestre em Agronomia
(Genética e Melhoramento de Plantas).
JABOTICABAL – SÃO PAULO – BRASIL
Julho de 2007
ads:
Rossi, Juliana Regina
R
831b
Bacillus thuringiensis var. israelensis SPS1: caracterização da
região promotora de genes cry e efeito em larvas de Aedes aegypti
(L.) (Diptera: Culicidae) / Juliana Regina Rossi. – – Jaboticabal, 2007
xii, 78 f. : il. ; 28 cm
Dissertação (mestrado) - Universidade Estadual Paulista,
Faculdade de Ciências Agrárias e Veterinárias, 2007
Orientador: Manoel Victor Franco Lemos
Banca examinadora: Cristina Lacerda Soares Petrarolha Silva,
Sérgio Antonio de Bortoli
Bibliografia
1. Bacillus thuringiensis var. israelensis SPS1. 2. Região
promotora. 3. Bioensaio. I. Título. II. Jaboticabal-Faculdade de
Ciências Agrárias e Veterinárias.
CDU 576.858:595.7
Ficha catalográfica elaborada pela Seção Técnica de Aquisição e Tratamento da Informação –
Serviço Técnico de Biblioteca e Documentação - UNESP, Campus de Jaboticabal.
DADOS CURRICULARES DA AUTORA
JULIANA REGINA ROSSI nascida em 09 de dezembro de 1980, na cidade de
Jaboticabal SP, é Bióloga, graduada no curso de Ciências Biológicas (Licenciatura
Plena e Bacharelado com ênfase em Ciências Ambientais) pelo Centro Universitário de
Araraquara (UNIARA), Araraquara SP, título este concedido em março de 2004. Foi
bolsista de Treinamento Técnico-I da Fundação de Amparo à Pesquisa do Estado de
São Paulo (FAPESP) pela Instituição: Universidade Estadual Paulista “Julio de
Mesquita Filho” (FCAV/UNESP), no qual contribui para a Implantação do Centro
Brasileiro de Estocagem de Clones (BCCCenter), no período de 2000/2002, e bolsista
de Iniciação Científica da FAPESP pela instituição (FCAV/UNESP), em 2003. Em março
de 2005, ingressou no Programa de Pós-Graduação em Agronomia (Genética e
Melhoramento de Plantas), da Faculdade de Ciências Agrárias e Veterinárias,
Universidade Estadual Paulista “Júlio de Mesquita Filho”, Campus de Jaboticabal,
desenvolvendo a pesquisa da dissertação como bolsista da Coordenação de
Aperfeiçoamento de Pessoal de Nível Superior (CAPES). Em 2006, realizou Estágio
Docência junto ao Curso de Ciências Biológicas (FCAV/UNESP), ministrando aulas na
disciplina de Genética Básica. É membro do grupo de pesquisa responsável pelo
desenvolvimento do Projeto Temático intitulado Manejo de pragas com a utilização de
genes cry de Bacillus thuringiensis”, financiado pela FAPESP. Recentemente, foi
aprovada no Curso de Doutorado na mesma área e instituição em que realizou o
Mestrado, com início em agosto de 2007.
“Mestre não é quem sempre ensina, mas quem de repente aprende”.



“... ainda que eu falasse a língua dos anjos, sem amor, eu nada seria ...”



À Deus
À DeusÀ Deus
À Deus
péSG G G GG G UG uéGG
G G ð G G G UG z G
G G  G G   SG éG
a G G éG ç G¡  SG  Gq SG G
Gz  GGz   SG ç G G GGç G
GGUG

       

} ð G GSG G G GSG  Gq G
ç G  G G UG {   G ç G  G
 GGG í G ç GG UG} ð G
 G G  G G  G SG  G q G ç G
 G G UG uéG G  G G
G a GGq GG ù  Gï GUG
v G  G  G G G  SG G G
  G G G  UG h G ç  G
G ï G G ð G G G G
 G G G G z  G UG k G G
 G ð G  G G a G q G éG
 SGGG í éG ç G UG
h GG  S
Arlindo Rossi
Arlindo RossiArlindo Rossi
Arlindo Rossi
G
Sônia Ap. Agostinho Rossi
Sônia Ap. Agostinho RossiSônia Ap. Agostinho Rossi
Sônia Ap. Agostinho Rossi
GGéG GG GGG  G ù  UG
k  GG  GGð SG  GG G
  G SG  G GSG   SG  SG
ç SG  GG H G} G GG
 GGGGGù G GG  UG
{  GGG  GG G G  í éGGG
   G Gð U
AMO VOCÊS!!!
AMO VOCÊS!!!AMO VOCÊS!!!
AMO VOCÊS!!!
h GG éS
André Luís Rossi
André Luís RossiAndré Luís Rossi
André Luís Rossi
,
G G  G
 SG  GG  G G G  GG
G ¡  U
G
AMO VOCÊ DÉ!!!
AMO VOCÊ DÉ!!!AMO VOCÊ DÉ!!!
AMO VOCÊ DÉ!!!
klkpjv
klkpjvklkpjv
klkpjv
AGRADECIMENTOS
À Deus pelo dom da vida e por iluminar meu caminho.
Ao Prof. Dr. Manoel Victor Franco Lemos, pela orientação, amizade, confiança,
disponibilidade, pelas oportunidades de crescimento profissional concedidas e pela sua
preocupação em me ensinar Ciência de maneira ética, séria e honesta.
À Profa. Dra. Janete Apparecida Desidério Sena, pela amizade, profissionalismo
e apoio na realização deste trabalho.
Aos amigos Ana Maria Guidelli Thuler e Irlan Leite de Abreu, pelas preciosas
contribuições na elaboração do projeto e no desenvolvimento deste estudo, pelo
profissionalismo e pela amizade. Muito obrigada dupla dinâmica!
Ao pesquisador Paulo Sarmanho da Costa Lima da EMBRAPA Meio Norte
(Teresina-PI), pela elaboração dos oligonucleotídeos iniciadores utilizados nesta
pesquisa e pelas valiosas sugestões dadas no decorrer deste trabalho.
Ao Controle de Vetores e Zoonoses da Prefeitura Municipal de Jaboticabal -SP,
pela cessão das larvas de Aedes aegypti utilizadas no bioensaio.
À Eliane Cristina da Cunha Alves, pela amizade, profissionalismo e ajuda
indispensável para a concretização deste trabalho.
Às doutorandas Elaine Silva Cícero e Juliana Regina Vieira da Costa, pelo auxílio
primordial durante a realização do bioensaio e pela amizade. Obrigada meninas!
Ao Prof. Dr. José Carlos Barbosa, pela disponibilidade em ajudar e pelo auxílio
na interpretação das análises estatísticas.
À mestranda Camila Chiaradia Davolos pela valiosa colaboração nas análises
estatísticas, pelas sugestões no aperfeiçoamento da redação deste trabalho (mesmo
em seu dia de descanso....lembra-se como trabalhamos no feriado?), e pela amizade.
À Profa. Dra. Maria Inês Tiraboschi Ferro e à Profa. Dra. Eliana Gertrudes
Macedo Lemos, por permitirem o uso de equipamentos de seus respectivos laboratórios
durante a execução dos experimentos, pelo profissionalismo e pela amizade.
Aos membros do Exame Geral de Qualificação, Profa. Dra. Lúcia Maria Carareto
Alves e Prof. Dr. Odair Aparecido Fernandes, pela participação e sugestões científicas
que muito contribuíram para esta dissertação.
Aos membros da Comissão Examinadora, Profa. Dra. Cristina Lacerda Soares
Petrarolha Silva e Prof. Dr. Sérgio Antonio de Bortoli, pela disponibilidade, pelas
valiosas sugestões e pelo esmero na correção deste trabalho.
À Faculdade de Ciências Agrárias e Veterinárias da Universidade Estadual
Paulista “Júlio de Mesquita Filho” (FCAV/UNESP), ao Programa de Pós-Graduação em
Agronomia (Genética e Melhoramento de Plantas) e aos docentes desta instituição,
pelas disciplinas ministradas, pelo conhecimento intelectual adquirido, exemplo
profissional e pela oportunidade de realizar este trabalho.
Ao Prof. Dr. Rinaldo César de Paula, que coordenou o curso de Pós-Graduação
em Agronomia (Genética e Melhoramento de Plantas), pela disponibilidade, amizade e
pelo auxílio sempre que precisei.
Ao Departamento de Biologia Aplicada à Agropecuária (FCAV/UNESP), pela
concessão do espaço físico e infra-estrutura de suas dependências para realização
desta pesquisa.
À todos os amigos e colegas que atualmente fazem parte do Laboratório de
Genética de Bactérias e Biotecnologia Aplicada (LGBBA), Ana Maria, Eliane, Irlan,
Marta, Juliana Costa, Janaína, Viviane, Larissa, Elaine, Camila, Michele, Paula, Vivian,
Najara, Juliana Xavier, Sandra, Flávia, Rebeca, Suzana, Emeline, Fernanda, Lúcia,
Daniel, Daiane, e por aqueles que passaram por aqui, Maila, Mateus, Lucília, Cácia,
Paulo Fenerich, Simone, Fernanda Rondon, Natália Leitão, Natália Saiyuri, Nidiane,
Camila Fernandes, Liliam, Antônio Roberto, André, Maria Eliane, Rafael, Denise,
Priscilla, Mônica, Fernanda, Daniela Rodrigues, Daniela Gomes, pela amizade, troca de
conhecimentos e experiências e pelos momentos que passamos juntos.
À grande amiga Poliana Bento Bejo, pela amizade imediata e sincera, pela
alegria e disposição diante de qualquer situação, pelas palavras de otimismo, orações,
e pela torcida ao meu sucesso profissional. TE

Às amigas Daniela Oliveira, Maria das Graças Sant’Anna Ferreira dos Santos,
Rafaela Josemara Barbosa Queiroz e Joseane Guadanhim, pela valiosa amizade,
incentivo, carinho e torcida. E como diz a música: Amigo é coisa pra se guardar, do
lado esquerdo do peito....”, saibam que vocês sempre estarão presentes no meu
coração, independente da distância. 
Aos colegas do Grupo de Jovens Atuação da Matriz de São Benedito, em
especial aos amigos: Pe. Paulo César Mazzi, Letícia Carregari, Matheus Vilhena
Parenti, Alessandra Cristina Niero Ferreira, Tiago Máximo da Silva e Natali Elisa
Sant’Anna Ferreira, pela amizade, atenção, torcida e orações.
Aos meus amigos de Graduação, Daniele Jovino, Júlio Bortolossi e Juliana
Vantini, pela amizade, apoio e eventual ajuda. VOCÊS SÂO AMIGOS ESPECIAIS!!!
À TODOS os amigos e colegas de Pós-Graduação, pela amizade, troca de
experiências, pelos ensinamentos e bons momentos partilhados.
Aos funcionários do Departamento de Biologia Aplicada à Agropecuária, em
especial à Maria Lucina de Oliveira Moraes da Silva e Aldo Antônio de Souza pela
amizade e paciência nos dias de limpeza.
Aos funcionários da Seção de Pós-Graduação e da Biblioteca da Faculdade de
Ciências Agrárias e Veterinárias, Campus de Jaboticabal, pela disponibilidade na
prestação de serviços.
À toda minha família, pelo incentivo, carinho e por acreditarem nesse sonho.
À Coordenação de Aperfeiçoamento de Pessoal de Nível Superior (CAPES), pela
concessão da bolsa de estudos.
Nada na vida conquistamos sozinhos. Sempre precisamos de outras pessoas
para alcançar nossos sonhos e objetivos. Muitas vezes, um simples gesto pode mudar
nossa vida e contribuir para nosso sucesso. Por isso, a todos que, direta ou
indiretamente, colaboraram para a realização deste trabalho...
 
SUMÁRIO
Página
RESUMO.........................................................................................................................xi
SUMMARY..................................................................................................................... xii
1. INTRODUÇÃO ...........................................................................................................01
2. REVISÃO DE LITERATURA ......................................................................................05
2.1. Dengue: aspectos gerais.................................................................................05
2.2. A espécie Aedes aegypti (Linnaeus, 1762) .....................................................07
2.3. O agente de controle biológico Bacillus thuringiensis......................................12
2.4. A bactéria Bacillus thuringiensis var. israelensis (díptero-específico) .............14
2.4.1. Toxinas inseticidas e seu modo de ação......................................................16
2.5. Caracterização de bactérias entomopatogênicas............................................23
3. MATERIAL E MÉTODOS...........................................................................................27
3.1. Linhagens e isolado de Bacillus thuringiensis .................................................27
3.2. Condições de cultivo das células bacterianas .................................................28
3.3. Extração e quantificação do DNA genômico ...................................................28
3.4. Purificação do DNA plasmidial por ultracentrifugação em gradiente de cloreto
de césio com brometo de etídeo ....................................................................................30
3.5. Reação em Cadeia da Polimerase da região promotora de genes cry de
Bacillus thuringiensis var. israelensis ............................................................................32
3.5.1. Síntese de oligonucleotídeos iniciadores específicos...................................32
3.5.2. Amplificação do DNA plasmidial com oligonucleotídeos iniciadores ............33
3.6. Hibridização da região promotora dos genes cry4Aa, cry4Ba e cry11Aa pela
técnica de "Southern blotting" ........................................................................................34
3.7. Bioensaio com larvas de Aedes aegypti..........................................................37
4. RESULTADOS E DISCUSSÃO..................................................................................40
4.1. Separação do material genético de Bacillus thuringiensis var. israelensis em
gradiente de densidade de cloreto de césio...................................................................40
x
4.2. Amplificação da região promotora dos genes cry4Aa, cry4Ba e cry11Aa de
Bacillus thuringiensis var. israelensis por PCR ..............................................................43
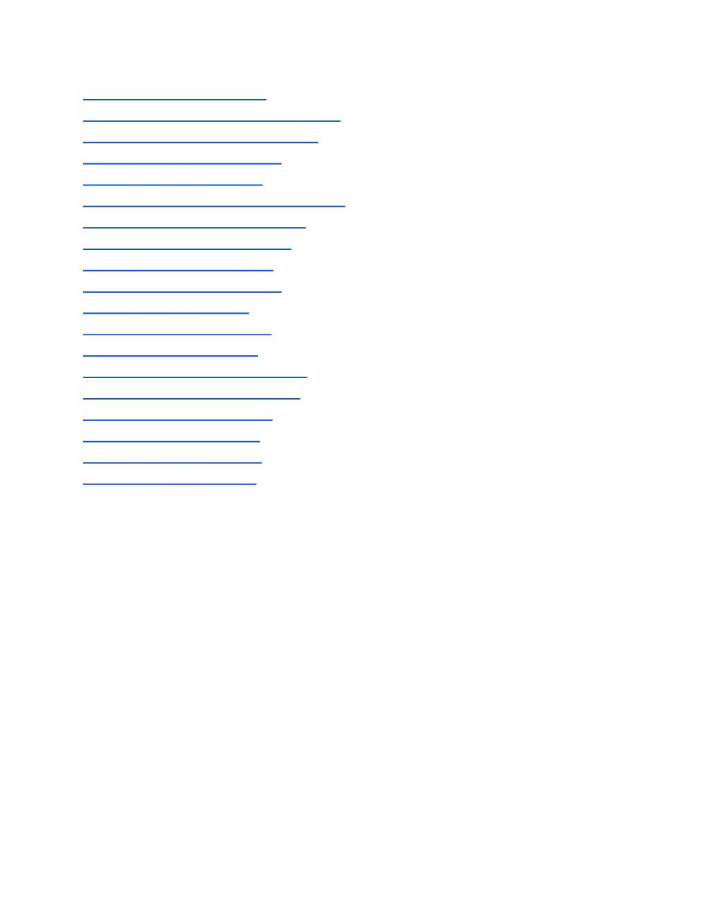
4.3. Análise da região promotora de genes cry do isolado Bacillus thuringiensis var.
israelensis SPS1 pelo método de "Southern blotting"....................................................44
4.4. Avaliação do teste de patogenicidade em larvas de Aedes aegypti................49
5. CONCLUSÕES ..........................................................................................................56
6. REFERÊNCIAS..........................................................................................................57
Bacillus thuringiensis var. israelensis SPS1: CARACTERIZAÇÃO DA REGIÃO
PROMOTORA DE GENES
cry
E EFEITO EM LARVAS DE
Aedes aegypti
(L.)
(DIPTERA: CULICIDAE)
RESUMO Dentre os microrganismos empregados no controle de mosquitos, a
bactéria Bacillus thuringiensis var. israelensis (Bti) se destaca por apresentar atividade
tóxica contra insetos da ordem Diptera, na qual produz inclusões cristalinas compostas
pelas proteínas Cry, que são codificadas por genes cry presentes em um único
plasmídeo. A produção dessas proteínas em grande escala está relacionada a
mecanismos transcricionais, como por exemplo, a expressão de um gene sob o controle
de um promotor forte. Tendo em vista que a bactéria Bti SPS1 (Patente PI0200228-0)
foi isolada do território brasileiro e que possui potencial para o controle de vetores por
produzir uma maior quantidade de esporos/cristais em menor tempo, este trabalho teve
por finalidade a caracterização da região promotora dos genes cry4Aa, cry4Ba e
cry11Aa de Bti SPS1 pelas técnicas de PCR e “Southern blotting”. Em associação a
estas técnicas, foi realizado bioensaio para a verificação da mortalidade de larvas de
Aedes aegypti. Os resultados das análises moleculares indicaram homologia no perfil
de hibridização da região promotora da linhagem padrão Bti T14-001 e do isolado Bti
SPS1. A quantificação das suspensões em espectrofotômetro (DO
600nm
) e a leitura de
esporos em câmara de Neubauer, revelaram que o isolado Bti SPS1 produz uma maior
quantidade de esporos/cristais em relação à linhagem padrão Bti T14-001. O bioensaio
apresentou elevados índices de mortalidade. Estes resultados tornam a bactéria Bti
SPS1 uma fonte promissora para novas formulações visando o controle de vetores.
Palavras-Chave: Bacillus thuringiensis var. israelensis, bioensaio, controle biológico,
“Southern blotting”
xii
Bacillus thuringiensis var. israelensis SPS1: CHARACTERIZATION OF THE cry
GENES PROMOTOR REGION AND EFFECT ON
Aedes aegypti
(L.) (DIPTERA:
CULICIDAE) LARVAE
SUMMARY Among the microorganisms used for mosquitoes’ control the
bacterium Bacillus thuringiensis var. israelensis (Bti) is frequently considered since it
presents toxic activities’ against Diptera, producing crystal inclusions including Cry
proteins, which are coded by a sole plasmid borne set of genes. The production of
these proteins in large scale is related to transcriptional mechanisms, as an example, a
particular gene expression controlled by a strong promoter. Since the Bti bacterial
isolate SPS1 (Patent PI0200228-0) was isolated within the Brazilian territory and
exhibits potential for the control of vector insects due to a higher crystal production
ability in shorter time period, this work had as objective the characterization of the
promotion region for the genes cry4Aa, cry4Ba e cry11Aa using PCR and “Southern
blotting” techniques. Also some bioassays using Aedes aegypti larvae were carried out.
The results from the molecular analysis have indicated homology for the hybridization
profile from the promoter region from the type strain of Bti T14-001 and that of the SPS1
isolate. Spectrofotometric (OD
600nm
) and Neubauer chamber measures have revealed
that the SPS1 isolate produces a higher amount of spore/crystal as compared to the Bti
T14-001 strain. The bioassay presented higher mortality levels. These results seem to
indicate that the isolate SPS1 is a promising bacterial strain to be used on formulations
able to control insect vector pests.
Keywords: Bacillus thuringiensis var. israelensis, bioassay, biological control, “Southern
blotting”
1
1. INTRODUÇÃO
A dengue é uma doença re-emergente que se tornou um grave problema de
saúde pública, sendo responsável por elevados índices de morbidade e mortalidade no
Brasil, assim como em outras localidades do mundo. No entanto, a constante
transmissão da doença aumentou a preocupação da opinião pública e das autoridades
nos diferentes níveis de governo (TAUIL, 2002).
É uma arbovirose causada pelo vírus do gênero Flavivírus, do qual são
conhecidos quatro sorotipos. A transmissão do agente etiológico ao homem suscetível
se pela picada do mosquito da espécie Aedes aegypti (Linnaeus, 1762) (Diptera:
Culicidae), principal vetor, infectado pelo vírus. É um mosquito de hábitos doméstico e
diurno, utilizando-se preferencialmente de depósitos de água limpa para deposição dos
ovos (BRASIL, 2001).
A doença se apresenta clinicamente sob duas formas: dengue clássica e a
dengue hemorrágica. O processo infeccioso desencadeado pelo vírus da dengue possui
um amplo quadro clínico, podendo variar desde uma simples infecção inaparente
(assintomática), até quadros mais graves, nos quais se verificam hemorragias, abrupto
aumento da permeabilidade vascular e desenvolvimento de choque hipovolêmico
(WORLD HEALTH ORGANIZATION, 1997).
2
A eliminação de mosquitos e vetores de endemias é realizada na grande maioria
das vezes, pela utilização de inseticidas sintéticos altamente tóxicos e de amplo
espectro de ação, que resulta em conseqüências graves ao ser humano e ao meio
ambiente, além de causar o aparecimento de populações de insetos resistentes
(VILARINHOS et al., 1998). Isto indica a necessidade de se reduzir o consumo destes
produtos através do emprego de alternativas de controle mais eficazes e seguras. Com
isso os agentes de controle biológico aparecem como uma alternativa econômica e
ecologicamente viável.
Dentre os microrganismos empregados no controle biológico de mosquitos, a
bactéria Bacillus thuringiensis var. israelensis se destaca por apresentar atividade tóxica
contra insetos da ordem Diptera (culicídeos e simulídeos), a qual possui vantagens
como a especificidade em relação ao inseto-alvo, não polui o ambiente, não é nociva a
fauna e a flora, e não apresenta toxicidade ao homem (LERECLUS et al., 1993).
É uma bactéria Gram-positiva, aeróbia e tem como característica principal a
produção de inclusões protéicas bioinseticidas (proteínas Cry) durante a esporulação, o
que confere a ela a característica entomopatogênica (GLARE & O´CALLAGHAM, 2000).
As proteínas Cry desta espécie bacteriana são codificadas por genes cry, que estão
presentes em um único plasmídeo de 72 MDa (LERECLUS et al., 1989).
A patogenicidade e a especificidade de uma dada linhagem de B. thuringiensis é
determinada pelos tipos de genes cry funcionais que a mesma possui, ou seja, a
atividade inseticida da bactéria B. thuringiensis var. israelensis é resultante da ação de
quatro genes principais (cry4Aa, cry4Ba, cry11Aa e cyt1Aa), todos localizados em um
único plasmídeo (CRICKMORE et al., 1998). É importante salientar que as toxinas de B.
thuringiensis var. israelensis agem sinergisticamente, ou seja, quando isoladas têm seu
efeito reduzido. Este número de toxinas reduz a probabilidade do desenvolvimento da
resistência (BELTRÃO & SILVA-FILHA, 2007).
A bactéria B. thuringiensis var. israelensis SPS1 utilizada neste trabalho, foi
isolada em território brasileiro e patenteada (Patente PI0200228-0) por LEMOS & SENA
(2002) pois produz uma maior quantidade de esporos/cristais se comparada com outra
3
linhagem de B. thuringiensis var. israelensis e apresenta atividade tóxica a insetos da
ordem Diptera.
A produção em grande escala destas proteínas Cry pela bactéria B. thuringiensis
está relacionada a mecanismos transcricionais e pós-transcricionais. Um dos
mecanismos transcricionais envolvidos neste processo consiste na expressão de um
gene, sob o controle de um promotor forte (AGAISSE & LERECLUS, 1995).
Atualmente, vários estudos são desenvolvidos baseados nas técnicas de biologia
molecular visando à caracterização de microrganismos, nos quais são conhecidas
várias aplicações da tecnologia do DNA recombinante no controle biológico de insetos,
sendo que a maioria dos exemplos provem de bactérias, principalmente empregando B.
thuringiensis e espécies correlatas (AZEVEDO, 1998).
A variabilidade genética existente entre diferentes isolados de B. thuringiensis é
estudada principalmente através da utilização de técnicas que tem como base a
Reação em Cadeia da Polimerase (PCR) e tem como característica a amplificação
exponencial de uma determinada seqüência de ácido nucléico in vitro, através da
utilização de oligonucleotídeos iniciadores (MULLIS & FALLONA, 1987). Associada a
esta, a técnica de “Southern blotting” é empregada visando à hibridização de genes que
codificam o cristal tóxico (sondas), com o DNA em estudo, de modo a comparar,
geneticamente, isolados pouco conhecidos de B. thuringiensis, além de identificar o
potencial inseticida de uma determinada toxina (BROWN, 2003).
Em adição às técnicas moleculares, a verificação da atividade tóxica de
linhagens de B. thuringiensis em insetos-alvo também é realizada por meio de testes de
patogenicidade, onde uma população é infectada pelo patógeno e o efeito é avaliado
através da morte ou pelo surgimento de sintomas (HABIB & ANDRADE, 1998).
Tendo em vista que a dengue é uma doença de grande importância mundial e
que a procura por todos mais eficientes e seguros de controle dos vetores desta é
constante, tornam-se necessários a realização de estudos mais detalhados em relação
a bactérias entomopatogênicas como o isolado de B. thuringiensis var. israelensis SPS1
(díptero-específico), visto que ele foi descrito e patenteado como sendo uma bactéria
4
que esporula mais rapidamente, ou seja, produz um número maior de células (esporo +
cristal) quando comparada a outra linhagem já estudada.
Dessa forma, o presente trabalho teve por objetivo a caracterização molecular da
região promotora dos genes cry4Aa, cry4Ba e cry11Aa do isolado de Bacillus thuringiensis
var. israelensis SPS1 pelo emprego das técnicas de PCR eSouthern blotting”, e a
realização do teste de patogenicidade (bioensaio) com larvas de 3
o
e 4
o
ínstar de A.
aegypti, visando a comparação da eficiência das proteínas Cry presentes na linhagem
padrão de B. thuringiensis var. israelensis T14-001 e no isolado de B. thuringiensis var.
israelensis SPS1.
5
2. REVISÃO DE LITERATURA
2.1. Dengue: aspectos gerais
A dengue é hoje a arbovirose mais importante do mundo, sendo endêmica em
todos os continentes, exceto na Europa (TAUIL, 2002; CLARO et al., 2004).
Aproximadamente 2,5 bilhões de pessoas encontram-se sob o risco de se infectarem,
principalmente em países tropicais onde as condições climáticas são favoráveis à
proliferação do mosquito vetor (TAUIL, 2002).
Dentre as doenças virais de transmissão vetorial, ela é a que mais causa impacto
em termos de morbidade e mortalidade na população mundial atualmente e também
exige esforços e investimentos cada vez mais intensos dos serviços de saúde pública
(GUBLER, 2002; TAUIL, 2002). É uma doença cujo agente infeccioso é um arbovírus
(vírus assim denominado por ser transmitido por inseto), do Gênero Flavivírus, Família
Flaviviridae, do qual são conhecidos quatro diferentes sorotipos (DEN - 1, 2, 3 e 4)
(WORLD HEALTH ORGANIZATION, 1997; BRASIL, 2001; TAUIL, 2001).
A doença se manifesta clinicamente sob duas formas: dengue clássica (DC),
também descrita como febre da dengue (FD - “dandy fever”) e a dengue hemorrágica
(DH) ou febre hemorrágica da dengue (FHD) (MORAIS, 1998). As características
clínicas da dengue variam de acordo com a idade do paciente. Os jovens e as crianças
6
podem apresentar febre com sintomas não específicos e os adultos podem ter
síndrome febril suave ou sintomas clássicos da doença que são: febre alta inicial
abrupta, dor de cabeça, dor atrás dos olhos, dores musculares e nas articulações e
erupção cutânea. A dengue hemorrágica é uma complicação que pode levar a morte.
Seus sintomas são a febre alta, fenômenos hemorrágicos, freqüentemente a
dilatação do fígado e, em casos severos, falhas na circulação. A doença normalmente
começa com uma ascensão repentina da temperatura acompanhada de uma
indisposição que começa com um aumento súbito da temperatura seguida por tremor
facial e outros sintomas não específicos. A febre geralmente permanece por dois a sete
dias, podendo a temperatura corporal atingir 40-41°C, levando o indivíduo a convulsões
febris e hemorragia (WORLD HEALTH ORGANIZATION, 1997; BRASIL, 2001).
A dengue ocorre principalmente nas regiões tropicais e sub-tropicais,
predominantemente em áreas urbanas e semi-urbanas, e o agente patogênico se
dissemina em um ciclo que envolve: homem
A. aegypti
homem (COSTA, 2001;
BRASIL, 2002; OLIVEIRA, 2006).
Entre os fatores associados à emergência da dengue e da dengue hemorrágica
nas Américas estão o acelerado crescimento e as urbanizações populacionais,
associados à insuficiência no controle do vetor e ao aumento do trânsito de pessoas
entre os países. A urbanização, rápida e desordenada, associada a uma distribuição
desequilibrada dos níveis de renda, conduz a uma proporção cada vez maior de
pessoas vivendo em áreas onde o abastecimento de água, esgotamento sanitário e
coleta de lixo são precários ou inexistentes (GUBLER
& CLARK, 1994 e 1996; TAUIL,
2001). Como a água é indispensável à sobrevivência, a população que habita esses
locais vê-se obrigada a armazenar água em depósitos domésticos, que servem como
criadouros do vetor. Da mesma forma, como o acúmulo de lixo é incompatível com a
vida, seu depósito em áreas peridomiciliares leva ao acúmulo de recipientes que
servem de reservatórios do vetor, particularmente nos meses chuvosos do ano (CLARO
et al., 2004).
7
2.2. A espécie Aedes aegypti (Linnaeus, 1762)
A ordem Diptera compreende cerca de 130.000 espécies conhecidas,
subdivididas em 125 famílias, agrupadas em duas subordens Brachycera e
Nematocera, sendo que na segunda encontra-se a família Culicidae (mosquitos e
pernilongos) com aproximadamente 3.000 espécies, na qual estão incluídos os
mosquitos dos gêneros Aedes, Anopheles e Culex, principais vetores transmissores de
patógenos de endemias no Brasil, causadores respectivamente da dengue e febre
amarela, malária e filariose. Estes insetos possuem ampla distribuição estando
presentes nos diferentes habitats: florestais, rurais e urbanos (MARCONDES, 2001).
No Brasil, o principal transmissor do agente etiológico da dengue é o mosquito
Aedes aegypti (Linnaeus, 1762), pertencente ao Filo Arthropoda, Ordem Diptera,
Família Culicidae, Gênero Aedes (Figura 1).
Figura 1.
Adulto de Aedes aegypti (Linnaeus, 1762) (Diptera: Culicidae). Fonte
:
LEONARD E. MUNSTERMANN. Yale University School of Medicine, 1995.
8
A espécie A. aegypti é originária da África e é considerada cosmopolita, pois
atualmente encontra-se distribuída dentro de zonas isotermais de 20°C em regiões
tropicais, subtropicais e temperadas (BRASIL, 2001). Acredita-se que o A. aegypti foi
introduzido no Brasil no período colonial, provavelmente durante o tráfego de escravos
provenientes de regiões onde o mosquito já existia (BELTRÃO, 2006).
Em território brasileiro este vetor foi erradicado na década de 1950, mas nas
décadas de 60 e 70 ele voltou a colonizar o país, vindo dos países vizinhos que não
haviam conseguido promover a sua total erradicação. O A. aegypti desenvolveu em sua
trajetória evolutiva um comportamento estritamente sinantrópico e antropofílico, sendo
reconhecido entre os culicídeos como a espécie mais associada ao homem (NATAL,
2002). Devido a sua importância como vetor da dengue (arbovirose de grande impacto
em saúde pública), pesquisadores americanos seqüenciaram recentemente o genoma
do mosquito A. aegypti, obtendo uma seqüência genômica com tamanho de
aproximadamente 1,38 Gbp.
É um mosquito com ciclo de vida curto variando de 08 a 12 dias, e possui um
ciclo biológico que compreende as seguintes fases: ovo, quatro estádios larvais, pupa e
adulto (BRASIL, 2001; FORATTINI, 2002) (Figura 2).
Os ovos do A. aegypti medem aproximadamente 1 mm de comprimento,
possuindo formato alongado e fusiforme. São depositados pela fêmea, individualmente,
nas paredes dos depósitos que servem como criadouros, próximos à superfície da
água. No momento da postura os ovos são brancos, mas rapidamente adquirem a cor
escura brilhante (BRASIL, 2001).
Como o A. aegypti é um inseto holometabólico, a fase larval é um período de
nutrição e desenvolvimento pelo qual as larvas passam a maior parte do tempo se
alimentando de matéria orgânica acumulada nas laterais ou no fundo de recipientes. As
larvas possuem quatro estádios evolutivos. A duração desta fase depende da
temperatura, disponibilidade de alimento e densidade das larvas no criadouro. Elas são
compostas por cabeça, tórax e abdômem. Possuem movimento em forma de serpente,
movendo-se em S ao se deslocarem. São sensíveis a movimentos bruscos na água e
sob feixe de luz deslocam-se com rapidez buscando refúgio no fundo do recipiente
9
(fotofobia). Para respirar as larvas vêm à superfície onde permanecem em posição
vertical (BRASIL, 2001).
as pupas possuem o aspecto de vírgula e é nesta fase que elas cessam a
alimentação, devido ao período de metamorfose do estágio larval para o adulto. São
divididas em cefalotórax e abdômem. Normalmente ficam paradas na superfície da
água e se movimentam ativamente quando perturbadas (BRASIL, 2001; MARCONDES,
2001).
O mosquito quando adulto é escuro com faixas brancas nas pernas e no corpo,
em um desenho em forma de “lira” na parte dorsal do tórax. O adulto do A. aegypti é a
fase reprodutora do inseto, sendo neste estágio dependente da ingestão de
carboidratos para o aumento da atividade metabólica e conseqüente longevidade. As
fêmeas são preferencialmente hematófagas, sendo que o repasto sangüíneo está
intimamente relacionado à maturação dos ovos. Os machos alimentam-se de
carboidratos extraídos dos vegetais (seiva) (BRASIL, 2001; MARCONDES, 2001).
MOSQUITO ADULTO
OVO
PRIMEIRO EST
ÁDIO
DA LARVA
SEGUNDO
EST
ÁDIO
DA LARVA
TERCEIRO
EST
ÁDIO
DA LARVA
QUARTO ESTÁDIO
DA LARVA
PUPA
Figura 2.
Estágios de desenvolvimento do Aedes aegypti
. Fonte:
<http://www.ohiomosquitocontrol.org/about.html>. 10 maio 2007.
10
A transmissão do agente patogênico da dengue ao homem ocorre através da
picada da fêmea de A. aegypti infectada com um dos quatro sorotipos do vírus
(MONATH, 1994; DONALÍSIO & GLASSER, 2002). Depois de incubado por 8-10 dias, a
fêmea infectada é capaz, durante o repasto sanguíneo, de transmitir o vírus a indivíduos
suscetíveis. Uma vez infectados, os mosquitos podem transmitir o vírus durante todo o
seu ciclo de vida, inclusive aos seus descendentes por transmissão vertical ou
transovariana (JOSHI et al., 1996; WORLD HEALTH ORGANIZATION, 1997). Além da
transmissão de doenças, os mosquitos causam grande incômodo e irritação tanto para
o homem como aos animais, pelo fato das fêmeas serem hematófagas e, em alguns
casos, antropofílicas (alimentam-se exclusivamente de sangue humano)
(MARCONDES, 2001).
Este inseto possui hábitos domésticos, com atividade hematofágica diurna
(SILVA et al., 2002; FORATTINI & BRITO, 2003). Vive e se reproduz em ambientes
com água limpa próximos a habitação humana, embora tenha sido observado também
em ambientes poluídos (CLEMENTS, 1999). Coloca seus ovos na parede de
recipientes com água, como: vasos de plantas, tambores, pneus, caixas d’água,
garrafas, e também em ambientes naturais como poças, lagoas, buracos em árvore,
bromélias, internódios de bambu, entre outros (CONSOLI & OLIVEIRA, 1994; CLARO
et al., 2004). O A. aegypti tem revelado grande capacidade de adaptação a diferentes
situações ambientais desfavoráveis (TAUIL, 2002; WORLD HEALTH ORGANIZATION,
2002).
Dentre os fatores que podem estar disseminando o rus da dengue, cabe
considerar: a intensificação das trocas comerciais entre os países; os movimentos
migratórios; a alta densidade populacional nas áreas metropolitanas; o crescimento
desordenado das cidades, onde o abastecimento irregular da água e a inadequada
coleta e armazenamento do lixo facilitam a proliferação de mosquitos; a produção do
sistema industrial moderno que resulta na fabricação de grande quantidade de
recipientes descartáveis como plásticos, latas e outros materiais, cujo destino
inadequado também contribuem para a disseminação do inseto transmissor do vírus
(GUBLER, 1997; TAUIL, 2001).
11
Fatores extrínsecos como precipitação pluviométrica, temperatura, altitude,
topografia e umidade relativa, condicionam a sobrevivência e reprodução desses
vetores (FORATTINI, 2002; RIBEIRO et al., 2006). A incidência de A. aegypti eleva-se
significativamente nos primeiros meses do ano, alcançando maior magnitude de março
a maio, seguida de redução brusca destas taxas a partir de junho. Este padrão sazonal,
que nem sempre é observado em outros países, tem sido explicado pelo aumento na
densidade das populações do A. aegypti em virtude do aumento da temperatura e
umidade, que são registradas em grandes extensões de nosso território, durante o
verão e o outono (VILARINHOS et al., 1998; TEIXEIRA et al., 2002).
vários anos a dengue é um dos mais sérios problemas de saúde pública do
Brasil, causando preocupação no governo e na população de várias partes do país. A
principal tática adotada para o combate do mosquito é o uso maciço e desordenado de
produtos químicos (organofosforados, carbamatos e piretróides) (TUN-LIN et al., 1995;
WORLD HEALTH ORGANIZATION, 1997; WORLD HEALTH ORGANIZATION, 2002)
para o controle de adultos e larvas (LIMA et al., 2003; LIMA et al., 2006), bem como
medidas sanitárias para eliminar as condições ambientais favoráveis à proliferação dos
mosquitos vetores.
Devido ao seu amplo espectro de ação, os inseticidas atingem espécies não-alvo
provocando um grande impacto ambiental. Entretanto, o uso intensivo de agentes
químicos aumenta o custo de controle, pode afetar a saúde pública devido a sua
toxicidade, causam desequilíbrio nos ecossistemas, contaminam alimentos, solo e
água, e podem promover o desenvolvimento de populações de insetos resistentes
(VILARINHOS et al., 1998), visto que a resistência de mosquitos a inseticidas químicos
é atualmente uma questão de interesse mundial (SINA & AULTMAN, 2001). Diante
deste cenário negativo, faz-se necessário a busca por agentes de controle de insetos
mais eficazes e sobretudo seguros. Com isso os agentes de controle biológico
aparecem como uma alternativa econômica e ecologicamente viável.
12
2.3. O agente de controle biológico Bacillus thuringiensis
Dentre os agentes de controle biológico, os microrganismos se destacam por
apresentarem uma série de vantagens, tendo-se como uma das principais, o seu cultivo
facilitado em larga escala (RUAS-NETO, 1984; ZINIU & LONGSHENG, 1990). As
bactérias são os microrganismos que mais chamam a atenção de pesquisadores e
industriais em todo o mundo, devido principalmente ao seu modo de ão e
especificidade (FEITELSON et al., 1992). As principais bactérias entomopatogênicas
pertencem às famílias Bacillaceae, Paenibacillaceae, Streptococaceae e
Achromobacteriaceae (ARONSON et al., 1986).
Entre as bactérias de importância econômica, o agente entomopatogênico
Bacillus thuringiensis destaca-se dentre os organismos empregados no controle
biológico, por apresentar atividade tóxica contra insetos das ordens Lepidoptera,
Diptera e Coleoptera, estando nelas inclusas importantes pragas agrícolas como
Spodoptera frugiperda (Smith, 1797) (Lepidoptera: Noctuidae), Diatraea saccharalis
(Fabricius, 1794) (Lepidoptera: Crambidae) e Anticarsia gemmatalis (Hübner, 1818)
(Lepidoptera: Noctuidae) e vetores de doenças de importância mundial pertencente aos
gêneros Culex, Aedes e Anopheles (LERECLUS et al., 1993), além de atingir outros
organismos como nematóides (FEITELSON et al., 1992).
A primeira menção em doenças a insetos causada por este tipo de bactéria data
de 1901, quando o biólogo S. Ishiwata, no Japão, isolou uma bactéria esporulante que
causava mortalidade em bicho-da-seda (Bombyx mori) (Linnaeus, 1758) (Lepidoptera:
Bombycidae), sendo esta denominada como “sotto-disease”. Em 1911, Berliner
descreveu pela primeira vez um bacilo isolado a partir de Anagasta kuehniella (Zeller,
1879) (Lepidoptera: Pyralidae) e, em 1915, o batizou de B. thuringiensis, nome
concedido em homenagem à província da Thuringia (Alemanha) (GLARE &
O´CALLAGHAM, 2000).
É uma bactéria Gram-positiva, catalase positiva, aeróbia, podendo também
crescer em anaerobiose (GLARE & O´CALLAGHAM, 2000), quimioheterotrófica, cuja
temperatura ideal de crescimento é em torno de 3C ± 2
o
C (MORAES & CAPALBO,
13
1986). Suas células vegetativas possuem forma de bastonete, medindo cerca de 1,0 a
2,0 µm de largura por 3,0 a 5,0 µm de comprimento. Esta bactéria é geralmente móvel,
possuindo flagelos peritríquios.
A espécie B. thuringiensis é um microrganismo encontrado em solos, insetos
mortos, plantas, produtos armazenados, que se diferencia dos demais por produzir,
durante o processo de esporulação, uma inclusão protéica (cristal) composta por
subunidades com poder tóxico (proteínas Cry), tendo atividade contra mais de 300
espécies de insetos e ácaros pertencentes a 15 ordens, o que confere a esta bactéria a
característica entomopatogênica (GLARE & O’CALLAGHAM, 2000). Estes cristais
quando solubilizados em condições específicas de pH atuam no sistema digestivo dos
insetos e as pró-toxinas são convertidas em
δ
-endotoxinas. As toxinas hidrolisadas
cruzam a membrana peritrófica, ligam-se de maneira irreversível a receptores
específicos nas células colunares do intestino médio formando poros que aumentam a
permeabilidade da membrana, interferindo no gradiente iônico e balanço osmótico da
membrana apical. O aumento na absorção de água causa lise celular e eventual ruptura
e desintegração das células do intestino médio (HOFTE & WHITELEY, 1989;
KNOWLES, 1994; COPPING & MENN, 2000).
As proteínas Cry por sua vez são codificadas por genes cry, que podem estar
presentes tanto no cromossomo como em grandes plasmídeos (40-200 MDa) ou em
ambos (GONZÁLEZ et al., 1982; SANCHIS et al., 1988).
Os produtos à base de B. thuringiensis não são prejudiciais a mamíferos, não
atingindo a fauna ou a flora, não sendo poluentes e, devido a sua grande
especificidade, não atingem os inimigos naturais dos insetos-alvo (SMITS, 1997). Estes
fatos propiciam sua utilização há mais de 40 anos em programas de controle biológico
em todo o mundo. Atualmente, tais produtos representam mais de 90% de todo o
controle biológico de insetos efetuado no mundo e cerca de 2% do mercado de
agrotóxicos (VALADARES-INGLIS et al., 1998; DIAS et al., 2002).
14
2.4. A bactéria Bacillus thuringiensis var. israelensis (díptero-específico)
No início da década de 1970, a bactéria entomopatogênica B. thuringiensis era
usada exclusivamente no controle de insetos-praga na agricultura. Posteriormente, a
descoberta em Israel de um isolado patogênico a pteros, denominado de B.
thuringiensis var. israelensis (DE BARJAC, 1978; BECKER, 2000) por GOLDBERG &
MARGALIT (1977), iniciou o uso dessa bactéria no controle de vetores de doenças de
importância mundial, pertencentes aos gêneros Culex, Aedes, Anopheles e Simulium
(LERECLUS et al., 1993; HABIB & ANDRADE, 1998; CAVADOS et al., 2001; REGIS et
al., 2001; LUNA et al., 2004). A cepa de B. thuringiensis var. israelensis foi isolada a
partir do intestino de larvas moribundas de Culex, sendo posteriormente caracterizada
pelo método do antígeno-H como sorovariedade H-14 (DE BARJAC, 1978). O B.
thuringiensis var. israelensis é uma bactéria encontrada naturalmente no solo, em
ambientes aquáticos e em cadáveres larvais de insetos (ALY et al., 1985).
O interesse comercial pelo desenvolvimento de produtos para o controle
biológico de insetos teve início por volta de 1950, quando pesquisadores perceberam a
possibilidade de manipular microrganismos causadores de epizootias em insetos
suscetíveis, sem danificar espécies benéficas. Bactérias esporulantes podem ser
utilizadas no desenvolvimento de produtos, inclusive em escala industrial, envolvendo
as seguintes etapas: fermentação, recuperação do ingrediente ativo e formulação
(MORAES et al., 1998).
Dentre os processos fermentativos empregados para B. thuringiensis var.
israelensis, o comumente usado é o processo submerso descontínuo, onde utiliza-se o
meio nutritivo líquido para suspender e propagar a biomassa bacteriana. Na etapa final
da fermentação as fases de nutrientes se tornam limitantes, promovendo a esporulação
e posterior liberação de cristais e esporos no meio de cultura (BRYANT, 1994). O passo
seguinte consiste em recuperar o princípio ativo, podendo ser utilizados os métodos de
centrifugação, micro filtração ou floculação visando a recuperação dos esporos e
cristais protéicos que se encontram misturados no meio (LUNA et al., 2003).
15
A utilização desta bactéria no controle biológico de mosquitos tem se destacado
entre as diversas estratégias que compõe os Programas de Manejo Integrado de
Pragas (MIP) do mundo, por apresentar diferentes modos de ação (STEVENS et al.,
2004) devido à atuação dos produtos em mais de um processo bioquímico e/ou
fisiológico, matando o inseto de diferentes maneiras, e também por possuir vantagens
como a especificidade em relação ao inseto-alvo, não sendo nociva a flora e a fauna,
além de não poluir o meio ambiente. Além disso, B. thuringiensis var. israelensis não é
tóxica a humanos (LUNA et al., 2004), uma característica muito importante, pois os
agentes de controle são geralmente aplicados em áreas urbanas, com pessoas
próximas à aplicação (POLANCZYK et al., 2003).
Os produtos à base de B. thuringiensis var. israelensis possuem inúmeras
formulações e o usados contra diversas espécies de mosquitos (NAYAR et al., 1999;
BATRA et al., 2000), com um preço um pouco superior aos produtos tradicionalmente
utilizados, mas competitivos quando considerados os custos sociais e ambientais do
uso de inseticidas não seletivos em ecossistemas aquáticos (VILARINHOS et al., 1998).
Atualmente, a bactéria B. thuringiensis var. israelensis é comercializada em larga
escala para o controle de mosquitos e borrachudos, e um grande número de produtos
eficientes estão disponíveis no mercado. No Brasil o B. thuringiensis var. israelensis
teve grande relevância pois este biolarvicida foi integrado no combate ao vetor da
dengue no âmbito do “Programa de Controle do A. aegypti(PCA), conduzido em vários
municípios afetados pela doença (BRAGA et al., 2004). Nos estados do Rio de Janeiro,
Ceará e Rio Grande do Norte foi recomendada a substituição do inseticida temephos
(organofosforado) por biolarvicidas à base de B. thuringiensis var. israelensis
considerado um dos agentes de controle biológico mais eficazes contra culicídeos
(BRASIL, 2000). Segundo BECKER et al. (2000), o emprego desta bactéria no controle
de Aedes vexans, Culex pipiens e outras espécies de mosquitos por mais de 15 anos
na Alemanha, foi um modelo de grande sucesso. Tais formulações também têm sido
utilizadas em programas de controle de países como França, Espanha, Hungria, Suíça,
Rússia, Itália, Eslovênia, Iugoslávia e Estados Unidos (BECKER & MARGALIT, 1993).
16
2.4.1. Toxinas inseticidas e seu modo de ação
A patogenicidade e a especificidade de uma linhagem de B. thuringiensis são
determinadas pelos tipos de genes cry funcionais que a mesma possui, sendo estes
codificadores das proteínas Cry (LI et al., 1991).
A eficácia da bactéria B. thuringiensis var. israelensis no controle biológico deve-
se a presença de proteínas situadas em corpos paraesporais (cristais) (CHARLES &
NIELSEN-LEROUX, 2000; REGIS et al., 2001). Estes cristais são sintetizados na forma
de pró-toxinas durante a fase estacionária, no final do crescimento da forma vegetativa,
e constituídos por polipeptídeos que recebem a denominação de proteínas Cry. São
acumulados na célula mãe esporulada (YAMAMOTO & DEAN, 2000), sendo liberados
juntamente com os esporos no momento da lise celular (Figura 3). A atividade tóxica
destas proteínas está associada ao componente N-terminal, enquanto que o
componente C-terminal determina a formação da estrutura do cristal (LI et al., 1991).
Resultante do processo de esporulação, além da produção das proteínas Cry, tem-se a
presença de um endósporo dormente, que sob condições favoráveis pode germinar
dando origem a uma célula vegetativa (MORAES et al., 1998).
O potencial inseticida da linhagem de B. thuringiensis var. israelensis (díptero-
específico) resulta da ação de quatro genes principais, sendo que três codificam para
proteínas Cry (Cry4Aa, Cry4Ba e Cry11Aa), e um codifica uma citolisina (Cyt1Aa -
toxina com atividade citolítica e hemolítica) (CRICKMORE et al., 1998), todos
localizados em um único plasmídeo de 72 MDa (GONZALEZ & CARLTON, 1984;
LERECLUS et al., 1989). Estes plasmídeos são moléculas de DNA circular,
extracromossômicos, que têm origem de replicação autônoma, encontrados em
bactérias. Geralmente, eles são constituídos por genes que conferem vantagens
adaptativas e são habitualmente empregados na engenharia genética, principalmente
como veículos de clonagem (AZEVEDO, 2003).
17
É interessante notar que as toxinas produzidas por B. thuringiensis var.
israelensis agem sinergisticamente, ou seja, quando isoladas têm menor efeito do que
juntas (cristal nativo) (GILL et al., 1992; CRICKMORE et al., 1995; HUGHES et al.,
2005; BELTRÃO & SILVA-FILHA, 2007). Em estudo realizado para avaliação da
Figura 3.
Fotografia de Bacillus thuringiensis var. israelensis (Bti
) em microscópio.
Microscopia de fase (A), microscopia eletrônica de varredura (B)
, microscopia eletrônica
de transmissão (C). A)
Células vegetativas em fase de esporulação. A multiplicação
ocorre por divisão, formando assim uma longa cadeia de bactérias contento esporos (s)
e cristais (c). B) Cristais purificados. C)
Bactéria em fase de esporulação e produção de
inclusões cristalinas. Após a ruptura da célula, o esporo e o cristal são liberados no
meio. O potencial larvicida de Bti ad
vem das proteínas que constituem o cristal (visível
pelos diferentes tons de cinza). Fonte: BOISVERT & LACOURSIÉRE (2004).
18
toxicidade do B. thuringiensis var. israelensis para Chironomus tepperi (Skuse, 1889)
(Diptera: Chironomidae), constatou-se que a toxicidade do cristal nativo era superior do
que quando as frações tóxicas eram utilizadas separadamente (HUGHES et al. 2005).
Esta ação sinérgica ocorre normalmente quando são usados mais de um agrotóxico
(DELÉCLUSE et al., 2000). Este grande número de toxinas reduz a probabilidade do
desenvolvimento da resistência (BECKER, 2000; WIRTH et al., 2000; REGIS et al.,
2001).
As proteínas Cry4Aa e Cry4Ba são ativas contra dípteros (culicídeos e
simulídeos). Os genes cry4A e cry4B foram isolados de estirpes de B. thuringiensis var.
israelensis e codificaram proteínas de 135 e 128 kDa, respectivamente, que se
agregaram com o produto de 27 kDa de cyt1A, formando cristais complexos de forma
ovóide (HÖFTE & WHITELEY, 1989) ou composta (esférica ou retangular) (LERECLUS
et al., 1989). A forma do cristal é determinada pelo número de proteínas Cry presentes,
e uma relação parcial entre a composição da proteína e sua estrutura molecular foi
estabelecida por LERECLUS et al. (1993) e GLARE & O’CALLAGHAM (2000). As
proteínas Cry4A e Cry4B apresentam similaridade de 40% entre suas porções N-
terminal e são proteoliticamente convertidas a fragmentos tóxicos entre 53 e 78 kDa
(BRAVO & QUINTERO, 1993; LERECLUS et al., 1993).
Apenas uma proteína da classe Cry10 (Cry 10Aa) que tem atividade contra
dípteros é conhecida. Esse gene foi isolado da estirpe de B. thuringiensis var.
israelensis e codificou uma proteína de 78 kDa. Semelhante a Cry10, os genes
codificantes das proteínas Cry11Aa e Cry11Ba também foram isolados a partir de B.
thuringiensis var. israelensis e codificaram proteínas respectivamente de 72 e 81 kDa
que são ativas contra dípteros (HÖFTE & WHITELEY, 1989).
A produção em grande escala das proteínas Cry pela bactéria B. thuringiensis
está relacionada a mecanismos transcricionais e pós-transcricionais. Um dos
mecanismos transcricionais consiste na expressão de um gene, sob o controle de um
promotor forte, em uma célula que o sofrerá nenhum tipo de divisão. Em B.
thuringiensis, as proteínas Cry são sintetizadas durante a fase de esporulação e a
19
maioria dos genes cry está sob o controle de promotores ativados nesta fase (AGAISSE
& LERECLUS, 1995).
Estudos da regulação gênica de Bacillus subtilis revelaram que o processo de
esporulação é controlado espacial e temporalmente pela ativação sucessiva de 6
fatores sigma () (ADAMS et al., 1991). O primeiro fator sigma a ser ativado é A,
específico da fase vegetativa. Os demais fatores expressos na fase de esporulação são
chamados de H, F, E, G e K, apresentados de acordo com a ordem de ativação
(AGAISSE & LERECLUS, 1995). Os genes cry4A, cry4B e cry11A, assim como o gene
cyt1A, também são transcritos por promotores múltiplos e ativados pelos fatores 28 e
35 (BROWN & WHITELEY, 1990; DERVYN et al., 1995).
Um fator pós-transcricional regulando a expressão de genes cry foi observado
em B. thuringiensis var. israelensis. ADAMS et al. (1989) observaram que a presença
de um fragmento de 0,8 kb “upstream” ao gene cyt era essencial para sua elevada
expressão. Análises deste fragmento revelou a presença de uma ORF (“Open Reading
Frame”) que codifica para uma proteína de 20 kDa. A presença desta região, tanto em
cis como em trans, promoveu um aumento na quantidade de proteína Cyt produzida,
entretanto, não houve aumento significativo no seu RNA mensageiro, indicando que o
efeito da proteína de 20 kDa é pós-transcricional. Estes autores detectaram ainda que o
início da transcrição da proteína de 20 kDa ocorre 2 horas antes da transcrição da
proteína Cyt e que a partir deste ponto ambas as proteínas são produzidas (SALLES &
BALDANI, 1998).
O número de cópias de um gene também influencia a sua expressão. Desta
forma, genes localizados em plasmídeos são normalmente expressos em maior
quantidade devido ao elevado número de cópias destas estruturas na célula. Em B.
thuringiensis, o número de plasmídeos pode variar de 1 a 16, sendo que eles ainda
variam quanto ao tamanho. A maioria dos genes cry estão localizados em plasmídeos
de alta massa molecular de baixo número de cópias. A estirpe de B. thuringiensis
subsp. aizawai possui 2 cópias do gene cry1Ab, uma cópia localizada em um plasmídeo
de 45 MDa e outra no cromossomo. os genes cry1C e cry1D estão próximos e
localizados no cromossomo, assim como o gene cry1Aa (LERECLUS et al., 1989). Ao
20
contrário desta, a estirpe de B. thuringiensis var. israelensis contém todos os genes
localizados em um plasmídeo de 72 MDa. Outra característica que deve ser
mencionada é a associação existente entre os genes cry e os elementos genéticos
móveis, como exemplo, as seqüências de inserção (IS) e transposons, o que pode
justificar em parte a diversidade e complexidade do espectro de atividade de B.
thuringiensis (LERECLUS et al., 1993).
Em relação ao mecanismo de atuação das proteínas Cry de B. thuringiensis var.
israelensis, sabe-se que os polipeptídeos de 72 kDa, chamados de pró-toxinas, sofrem
transformações em pH alcalino, típico do estômago e intestino dos insetos-alvo, pela
ação de proteases, transformando-se em toxinas de aproximadamente 30 a 35 kDa
(PFANNENSTIEL et al., 1986).
A ão do B. thuringiensis var. israelensis envolve inicialmente a ingestão dos
cristais, em suspensão na água, pelas larvas aquáticas de mosquitos. Após a ingestão,
os cristais são solubilizados em meio alcalino do intestino médio e as pró-toxinas são
liberadas, quando ainda não exibem atividade biológica e a ativação proteolítica
necessária. As proteases do intestino desdobram as pró-toxinas e produzem uma
proteína ativada de menor tamanho. Os fragmentos resultantes desta clivagem variam
de 40-44 KDa para os polipeptídeos de 125-135 kDa, 30-35 kDa para os de 68 kDa, e
25 kDa para os de 28 kDa (ANGSUTHANASOMBAT et al., 1992). Esta toxina tem que
passar pela membrana peritrófica para ser reconhecida por receptores específicos
presentes nas microvilosidades apicais do intestino médio. Após a ligação com o
receptor, a toxina cria poros que interferem no sistema de transporte de íons pela
membrana do tecido. Este processo causa lise do epitélio do intestino médio e/ou
interrompe a secreção normal, baixando o pH do lúmem, favorecendo a germinação
dos esporos que acarretará na septicemia e morte do inseto (GLARE &
O'CALLAGHAM, 2000). A inibição da alimentação pode ocorrer logo após a ingestão do
esporo e da toxina do B. thuringiensis, provocando a morte do inseto (HOFTE &
WHITELEY, 1989; KNOWLES, 1994; COPPING & MENN, 2000; GLARE &
O'CALLAGHAM, 2000) (Figura 4).
21
O tempo requerido para a expressão máxima é de 24 horas de exposição das
larvas ao B. thuringiensis var. israelensis, sendo que estudos sobre a sua toxicidade
destacam a susceptibilidade do Culex quinquefasciatus (Say, 1823) (Diptera: Culicidae)
e do A. aegypti, bem como sua inocuidade para a fauna não alvo encontrada nos
criadouros destas espécies (GARCIA et al., 1980).
Interior do tubo digestivo
Cavidade do corpo (hemocele)
Extremidades do tubo digestivo
Ânus
Tubo digestivo
Células
Hemocele
Boca
Figura 4.
Representação esquemática do modo de ação dos cristais de
Bacillus
thuringiensis var. israelensis no intestino da larva do mosquito (A).
Após a ingestão, os
cristais são dissolvidos no líquido alcalino do tubo digestivo (1
), liberando longas
cadeias de proteínas (2
), que são seguidamente separadas por enzimas para produzir
os fragmentos tóxicos (3). Estas toxinas fixam-
se sobre receptores específicos
localizados na membrana das células contidas na parede do tudo digestivo (4
).
Provocado pelo desequilíbrio bioquímico induzido pela atividade das toxinas, as células
afetadas inflam-se (5 e 6) se rompem (7
) causando a perfuração da parede do tubo
digestivo. Isto provoca a passagem do suco digestivo para a hemocele (cavidade do
corpo) () e o movimento oposto da hemolinfa o sangue do inseto (
). O rompimento
do tubo digestivo causa a morte do inseto.
Fonte:
BOISVERT & LACOURSIÉRE
(2004).
22
Devido ao seu modo de ão, B. thuringiensis var. israelensis apresenta uma
potência biológica alta quando comparado aos inseticidas químicos. FEITELSON et al.
(1992) estimaram que B. thuringiensis var. israelensis aplicado em proporções da
ordem de 25 x 10
20
moléculas/ha é 300 vezes mais potente que piretróides sintéticos e
80 000 vezes mais potente que organofosforados. Segundo SEBESTA & HORSKA
(1970), as proteínas presentes nestes cristais também afetam os insetos durante suas
metamorfoses, impedindo a pupação e também, em alguns casos, causando o
envenenamento de insetos adultos. De acordo com LECADET & MARTOURET (1967),
a susceptibilidade de insetos-alvo depende da suas habilidades em pré-digerir (ativar)
as toxinas em questão, além do fato das atividades destas toxinas variarem quantitativa
e qualitativamente, de acordo com a linhagem que dará origem ao biocida.
Estudos realizados com a estrutura tridimensional das moléculas das toxinas
Cry1Aa (ativa para lepidópteros), Cry3A (ativa para coleópteros) e Cry2Aa (ativa para
dípteros e lepidópteros) demonstraram semelhanças significativas entre elas. As toxinas
apresentam três domínios: domínio I (relacionado à inserção e formação de poros na
membrana), domínio II (responsável pelo reconhecimento do receptor e, portanto, pela
especificidade da toxina para o inseto) e domínio III (envolvido com as funções dos
domínios I e II, além de ser responsável pela estabilidade da toxina) (DE MAAGD et al.,
2003).
Trabalhos desenvolvidos com as toxinas Cry11Aa e Cry4Ba de B. thuringiensis
var. israelensis mostraram que esses três domínios encontram-se em regiões de alta
homologia de aminoácidos entre as proteínas Cry: o domínio I consiste de uma região
formada por sete
α
hélices correspondentes à região N-terminal; o domínio II é formado
por folhas
β
e uma alfa hélice; e o domínio III apenas por folhas
β
, correspondendo à
região C-terminal da toxina (REVINA et al., 2004). As estruturas tridimensionais das
pró-toxinas Cry4Aa e Cry4Ba foram descritas recentemente e evidenciou-se a presença
dos mesmos domínios estruturais, confirmando assim uma estrutura típica de toxinas
que agem via reconhecimento de receptores nos insetos-alvo (ANGSUTHANASOMBAT
et al., 2004; BOONSERM et al., 2005). No caso da toxina Cry11Aa a hélice α-8 do
domínio II é um importante epítopo envolvido no reconhecimento do receptor, sendo
23
isso responsável pela seletividade (FERNÁNDEZ et al., 2005). O receptor Cry11Aa foi
recentemente caracterizado a partir do intestino de A. aegypti como sendo uma
fosfatase alcalina de 65 kDa (FERNÁNDEZ et al., 2006).
A bactéria Bacillus thuringiensis var. israelensis SPS1 (díptero-específico) foi
isolada em território brasileiro, sendo posteriormente patenteada (Patente PI0200228-0)
(LEMOS & SENA, 2002) por produzir uma maior quantidade de esporos/cristais em
menor tempo, se comparada com a linhagem padrão de B. thuringiensis var.
israelensis. Este isolado encontra-se armazenado na coleção de Bacillus
entomopatogênicos do Laboratório de Genética de Bactérias e Biotecnologia Aplicada
(LGBBA), UNESP, Jaboticabal-SP.
2.5. Caracterização de bactérias entomopatogênicas
O estudo qualitativo e quantitativo de caracteres que definem um microrganismo
denomina-se caracterização. A caracterização de um microrganismo pode ser realizada
para a identificação de caracteres morfológicos, fisiológicos, comportamentais e
genéticos (SOSA-GÓMEZ et al., 1998). Muitas vezes esta metodologia também auxilia
no processo de reconhecimento, a nível específico, quando uma dada linhagem não
está bem definida (FRUTOS et al., 1994).
As técnicas de diagnóstico molecular foram inicialmente utilizadas na taxonomia
de microrganismos e têm sido intensamente aplicadas em programas de melhoramento
genético. Além disso, tem por objetivo revelar a variabilidade ao nível de DNA e,
conseqüentemente, detectar diferenças entre indivíduos (MARQUES et al., 2002).
Atualmente, são conhecidas várias aplicações da tecnologia do DNA
recombinante no controle biológico de insetos, sendo que a maioria dos exemplos
provem de bactérias, principalmente empregando B. thuringiensis e espécies correlatas
(AZEVEDO, 1998). Com a caracterização é possível discriminar os diversos isolados de
B. thuringiensis através do conhecimento de seus padrões de comportamento e do seu
genoma (distribuição dos genes cry) (FRUTOS et al., 1994).
24
Avanços na biologia molecular permitiram o desenvolvimento de métodos
baseados no DNA, capazes de diferenciação inter e intraespecífica de B. thuringiensis.
Tais métodos podem diferenciar cepas e isolados, podendo também ser empregados
na determinação da presença/ausência de certos genes cry (POLANCZYK & ALVES,
2003). Segundo ARANTES et al. (2002), a evolução no conhecimento da genética
molecular de B. thuringiensis na década de 1980, permitiu a diversificação das
estratégias de sua utilização no controle biológico.
A variabilidade genética existente entre diferentes isolados de B. thuringiensis foi
estudada principalmente através da utilização de técnicas que tem como base a
Reação em Cadeia da Polimerase (PCR). A tecnologia da PCR foi desenvolvida por
Kary Mullis, em meados da década de 80 (MULLIS & FALLONA, 1987; MULLIS, 1990),
e tem como característica a amplificação exponencial de uma determinada seqüência
de ácido nucléico in vitro, através da utilização de oligonucleotídeos sintéticos
(iniciadores). Os passos essenciais para a realização de uma PCR são: 1)
desnaturação do DNA a amplificar; 2) hibridação dos dois oligonucleotídeos iniciadores
(pequenas moléculas de DNA de fita simples) a cada uma das cadeias de DNA
desnaturado; e 3) extensão dos oligonucleotídeos iniciadores mediante um DNA
polimerase estável (DUCASSE, 1999).
Esta técnica apresenta aplicações tais como: a determinação da persistência da
bactéria no ambiente, que segundo BOURQUE et al. (1993), pode ser evidenciada pela
presença de genes cry, detectada por iniciadores específicos a partir de insetos mortos
provenientes de culturas tratadas com bioinseticidas e a predição da atividade tóxica de
uma linhagem pela determinação do tipo de genes cry, muitas vezes evidenciando a
presença de genes desconhecidos e direcionando os trabalhos de bioensaio (CAROZZI
et al., 1991; KALMAN et al., 1993; CHAK et al., 1994; CÉRON et al., 1995; BRAVO et
al., 1998; VILAS-BÔAS et al., 2000; LIMA et al., 2002; VILAS-BÔAS, 2002).
Vários trabalhos que utilizam a técnica de PCR, diretamente ou de técnicas dela
derivadas, foram publicados desde a sua descoberta (SCHEINERT et al., 1996; CHEN
& TSEN, 2002; LIMA et al., 2002; PORCAR & JUÁREZ-PÉREZ, 2003). Tais trabalhos
permitiram avanços significativos tanto em áreas básicas, que procuram o entendimento
25
de processos biológicos fundamentais, como também em áreas aplicadas, na
identificação de genótipos, no diagnóstico de doenças, em estudos filogenéticos, no
melhoramento genético de microrganismos, plantas e animais (ANDERSON &
STASOVSKI, 1992; OUELLET & SEIFERT, 1993).
A técnica de PCR tem sido ainda empregada em combinação com a técnica de
hibridização por “Southern blotting” (SOUTHERN, 1975), visando a hibridização de
genes que codificam o cristal tóxico (sondas), com o DNA em estudo, de modo a
comparar, geneticamente, isolados pouco conhecidos de B. thuringiensis, além de
identificar o potencial inseticida de uma determinada toxina (VISSER, 1989; BROWN,
2003).
A metodologia de “Southern blotting” foi desenvolvida baseada nas propriedades
de hibridação dos ácidos nucléicos, visando a detecção e isolamento de seqüências
específicas destas moléculas. Nesta técnica, o DNA é digerido com uma ou mais
enzimas de restrição e os fragmentos resultantes separados por eletroforese num gel
de agarose. Os fragmentos de DNA dupla fita são visualizados por coloração com
brometo de etídeo, desnaturados e transferidos para uma membrana por capilaridade.
Tais condições permitem que o DNA seja retido na membrana no ponto de contacto
entre o gel e a membrana, criando uma réplica do gel. O DNA é covalentemente ligado
à membrana usando-se calor ou luz ultravioleta. Sondas de ácidos nucléicos podem ser
utilizadas para hibridizar com o DNA fixado na membrana e a posição na qual a ligação
específica ocorrer pode ser detectada no momento da revelação, pelo uso de marcação
com sonda quente (materiais radioativos) ou por marcação com sonda fria (reagentes
quimioluminescentes) (MICKOLS et al., 2005).
Em adição às técnicas de PCR e “Southern blotting”, outras metodologias como
ensaios de patogenicidade (bioensaios) têm sido utilizadas para análise de genes cry e
suas toxinas. Dessa forma, a determinação da patogenicidade de um microrganismo ou
do nível de suscetibilidade de uma população de insetos a um determinado agente
patogênico é realizada, na maioria das vezes, através de bioensaios em laboratório,
onde uma população é infectada pelo patógeno e o efeito é avaliado, normalmente,
26
através da morte, ou então através do surgimento de outros sintomas (HABIB &
ANDRADE, 1998).
Diversos estudos têm sido realizados para encontrar a ão sinérgica
combinadas entre patógeno-patógeno ou patógeno-inseticida para controlar insetos-
praga, em especial utilizando-se o B. thuringiensis (GOVINDARAJAM et al., 1976;
RICHTER & FUXA, 1984; LIU & TABASHNIK, 1997; BRODERICK et al., 2000;
BRICKLE et al., 2001). A verificação da atividade tóxica em insetos-alvo também é
utilizada quando se pretende desenvolver produtos à base de B. thuringiensis, sendo que
o bioensaio deve ser feito para garantir a qualidade do produto final, servindo como
parâmetro para a continuidade das etapas posteriores do processo (HABIB & ANDRADE,
1998).
27
3. MATERIAL E MÉTODOS
Os experimentos do presente estudo foram realizados no Laboratório de
Genética de Bactérias e Biotecnologia Aplicada (LGBBA), do Departamento de Biologia
Aplicada à Agropecuária, Faculdade de Ciências Agrárias e Veterinárias (FCAV),
Universidade Estadual Paulista (UNESP), Campus de Jaboticabal, SP.
3.1. Linhagens e isolado de Bacillus thuringiensis
Para a realização das análises moleculares e bioensaio foram utilizadas as
linhagens padrão de Bacillus thuringiensis var. israelensis T14-001 (controle positivo)
(díptero-específico) e de Bacillus thuringiensis var. kurstaki (HD-1) (controle negativo)
(lepidóptero-específico) e o isolado de Bacillus thuringiensis var. israelensis SPS1
(Patente PI0200228-0) (díptero-específico). As linhagens e o isolado empregados neste
estudo pertencem à coleção do LGBBA, do Departamento de Biologia Aplicada à
Agropecuária, Faculdade de Ciências Agrárias e Veterinárias, UNESP, Campus de
Jaboticabal, SP.
28
3.2. Condições de cultivo das células bacterianas
As linhagens e o isolado de B. thuringiensis deste trabalho estão estocados na
forma de fitas de papel filtro impregnadas com suspensões de esporos e mantidas em
BOD a 1C. Para o início dos experimentos, fitas foram submersas em tubos com
tampa de rosca contendo água Milli-Q estéril no dia anterior à repicagem, obtendo-se
uma suspensão de esporos (solução trabalho), que foram mantidas em BOD a 10ºC.
Para o cultivo das células bacterianas, uma alíquota da solução trabalho foi
adicionada em placas de Petri contendo meio de cultura “Nutriente Agar” (NA) (extrato
de carne 3 g/L; peptona bacteriológica 5 g/L e ágar 15 g/L) (GORDON et al., 1973) e
semeada com o auxílio de uma alça de Drigalsky esterilizada, sendo posteriormente
incubadas em estufa a 30ºC por 16 h. As colônias obtidas foram inoculadas com auxílio
de uma alça de platina estéril em 50 ml de caldo de infusão de cérebro e coração (BHI)
Biobrás
(peptona 10 g/L; glicose 2 g/L; cloreto de sódio 5 g/L e fosfato dissódico 2,5
g/L) e submetidas a agitação a 200 rpm, por 4 h e 30 min, a 30ºC.
3.3. Extração e quantificação do DNA genômico
A metodologia utilizada para extração do DNA genômico das linhagens padrão
de B. thuringiensis var. israelensis T14-001 e B. thuringiensis var. kurstaki (HD-1), e do
isolado de B. thuringiensis var. israelensis SPS1, seguiu o protocolo descrito por
MARMUR (1961).
As culturas bacterianas provenientes de 50 ml de meio BHI foram centrifugadas
a 7.740 x g, por 15 min, a 20ºC. Os precipitados bacterianos obtidos por centrifugação
pesavam em média 0,5 g, os quais foram ressuspendidos em 6 ml de solução salina
[0,15 M NaCl; 0,1 M EDTA, (pH 8,0)] adicionada de lisozima (20 mg/ml), e incubados
por 1h e 30 min, a 37ºC. Em seguida, adicionou-se 500
µ
l de dodecil sulfato de sódio
(SDS) 25% agitando-se suavemente as preparações. Posteriormente acrescentou-se
acetato de sódio 2,5 M até a concentração final de 1 M.
29
As desproteinizações foram feitas utilizando-se clorofórmio/álcool isoamílico
(24:1v/v) e em seguida foram centrifugadas a 9.800 x g, por 15 min, a 4ºC. Os
sobrenadantes foram coletados após a centrifugação e em seguida foram adicionados 2
volumes de etanol absoluto gelado. Os precipitados obtidos por centrifugação a 12.100
x g, por 15 min, a C foram dissolvidos em TE [10 mM Tris HCl, 1 mM EDTA (pH 7,4)],
ao qual foi adicionado 25
µ
l de RNAse (10 mg/ml) e incubados por 1h, a 37ºC. As
amostras de DNA foram submetidas novamente ao tratamento com clorofórmio/álcool
isoamílico (24:1v/v), e em seguida foram reprecipitadas com 2 volumes de etanol
absoluto, sendo após ressuspendidas em 1 ml de TE e estocadas a -20ºC até o
momento do uso.
As amostras contendo DNA genômico foram quantificadas em espectrofotômetro
BECKMAN
(modelo DU-640B), medindo-se a absorbância em contraste com uma
amostra de TE, nos comprimentos de onda de 260 e 280 nm, sendo a relação 260/280
nm calculada. Para estimar a concentração do DNA total obtido, foi utilizado o padrão
em que uma unidade de absorbância a 260 nm equivale a 50 µg de DNA por ml de
solução. A razão entre a leitura a 260 nm e 280 nm (DO
260
/DO
280
) demonstra uma
estimativa de pureza da preparação de ácido nucléico. Preparações puras de DNA têm
valores para este coeficiente no intervalo de 1,8 a 2,0 (SAMBROOK & RUSSEL, 2001).
Para análise da qualidade dos ácidos nucléicos, uma alíquota das amostras foi
misturada com 3
µ
l de tampão de amostra (“loading buffer” - 0,5% de azul de
bromofenol em glicerol 50%) e aplicada em gel de agarose 0,8% contendo brometo de
etídeo (0,5 µg/ml), sendo submetida à eletroforese com tampão TEB 1X [Tris 89 mM,
EDTA 2,5 mM e Ácido Bórico 89 mM (pH 8,3)], a 70 V, por 2 horas, e após visualizadas
sobre luz UV e fotodocumentadas em equipamento fotodocumentador (GEL DOC2000 -
Bio-Rad
), através do software Quantity-one. Em todas as eletroforeses foi utilizada
uma amostra de DNA com fragmentos de tamanhos conhecidos, múltiplos de 1kb “1kb
Plus DNA ladder” produzida pela INVITROGEN
, servindo como referência de migração
eletroforética.
30
3.4. Purificação do DNA plasmidial por ultracentrifugação em gradiente de
cloreto de césio com brometo de etídeo
A separação do DNA plasmidial e cromossômico foi realizada de acordo com o
protocolo proposto por SAMBROOK & RUSSEL (2001). Para a realização do método de
ultracentrifugação por gradiente de cloreto de césio e brometo de etídeo, foram
utilizadas as amostras de DNA genômico da linhagem padrão de B. thuringiensis var.
israelensis T14-001 e do isolado de B. thuringiensis var. israelensis SPS1 extraídas
pelo protocolo de MARMUR (1961), como descrito no item 3.3, na qual obtiveram uma
quantificação em torno de 1500 ng/µl de DNA.
Para a preparação das amostras, adicionou-se 1 ml de DNA, 840
µ
l de água
Milli-Q estéril, 160
µ
l de solução de brometo de etídeo (10 mg/ml) e 2 g de CsCl
2
sólido,
perfazendo um volume de 2 ml de uma solução de DNA/cloreto de césio. A densidade
final da solução deve ter 1,55 g/ml e a concentração de brometo de etídeo deve-se
aproximar a 740
µ
g/ml. Em seguida as amostras foram colocadas em tubos plásticos de
ultracentrífuga Beckman
(TL-100) e centrifugados em um rotor TLA-100.3 a 264.000 x
g, por 20 h, a 20ºC.
Após a ultracentrifugação foi possível visualizar através de luz ultravioleta a
presença de duas bandas, sendo a superior referente ao DNA cromossômico e a
inferior ao DNA plasmidial. Para a visualização das bandas obtidas neste procedimento
de centrifugação, foram utilizados equipamentos como óculos e placa de proteção à luz
UV. Posteriormente realizou-se a coleta das bandas de DNA com auxílio de uma
micropipeta, sendo que estas foram colocadas em tubos do tipo “eppendorf”
separadamente.
Em seguida foram realizadas lavagens sucessivas para a retirada do brometo de
etídeo, nas quais utilizaram-se volumes de N-butanol 1 (saturado com água ou álcool
isoamílico) que, após foram misturadas rapidamente em agitador do tipo “vortex” e
submetidas a centrifugação a 239 x g, por 3 min, à 25ºC.
A remoção do cloreto de césio das amostras foi realizada através de lavagens no
qual adicionou-se 3 volumes de água Milli-Q estéril e 2 volumes de etanol absoluto a
31
C, que após foram suavemente homogeneizadas e centrifugadas a 10621 x g, por 15
min, a C. Posteriormente, os plasmídeos foram ressuspendidos em 30 µl de TE
[10mM Tris HCl, 1 mM EDTA (pH 7,4)] e os cromossomos em 50 µl do mesmo tampão.
As amostras contendo DNA plasmidial e cromossômico foram quantificadas em
espectrofotômetro BECKMAN
(modelo DU-640B), medindo-se a absorbância em
contraste com uma amostra de TE, nos comprimentos de onda de 260 e 280 nm, sendo
a relação 260/280 nm calculada (SAMBROOK & RUSSEL, 2001).
Para verificação da integridade das amostras de plasmídeo e cromossomo e de
seus respectivos perfis, uma alíquota de DNA destes foi adicionada em 3
µ
l de tampão
de amostra (“loading buffer” - 0,5% de azul de bromofenol em glicerol 50%) e aplicada
em gel de agarose 0,7% Low Melting Pointcontendo brometo de etídeo (0,5
µ
g/ml),
sendo posteriormente submetida à eletroforese com tampão TAE 1X [40 mM Tris-
Acetato, 1 mM EDTA (pH 8,3)], a 24 V, por 12 horas, sendo posteriormente visualizadas
sobre luz UV e fotodocumentadas em equipamento fotodocumentador (GEL DOC2000 -
Bio-Rad
), através do software Quantity-one. Para estas eletroforeses foi adotado o
emprego de uma amostra de DNA com fragmentos de tamanhos conhecidos, múltiplos
de 1kb “1kb Plus DNA ladder” (INVITROGEN
), servindo como referência de migração
eletroforética e também aplicou-se uma amostra de DH5 como padrão de banda
cromossômica.
32
3.5. Reação em Cadeia da Polimerase da região promotora de genes cry de
Bacillus thuringiensis var. israelensis
3.5.1. Síntese de oligonucleotídeos iniciadores específicos
Para a síntese dos oligonucleotídeos iniciadores (“primers”) utilizou-se as
seqüências FASTA referentes à região promotora dos genes: cry4Aa (YOSHISUE et al.,
1993a e YOSHISUE et al., 1997), cry4Ba (YOSHISUE et al., 1993b) e cry11Aa
(DERVYN et al., 1995). Os oligonucleotídeos iniciadores foram elaborados por LIMA
(2006)* (comunicação pessoal), de acordo com os seguintes parâmetros: diminuição da
concentração de A e T, presença de GC nas extremidades 5e 3’, TM dos “primers” a
60°C (MITSUHASHI, 1996; DIEFFENBACH & DVEKSLER, 2003). Os iniciadores foram
sintetizados pela empresa BIONEER
. Os oligonucleotídeos iniciadores e suas
seqüências encontram-se descritos na Tabela 1.
Tabela 1. Oligonucleotídeos iniciadores da região promotora dos genes cry4Aa, cry4Ba
e cry11Aa de Bacillus thuringiensis var. israelensis.
Iniciadores
Seqüências Produto (pb)
pcry4Aa
5’ GCTGGTTGATTGTCAAAAAATGACGC 3’(d)
5’
TGTTCCTCCCATACTCAATTTAGATAC 3’(r)
447
pcry4Ba
5’ CCACTAACGATATGTATGGAAAATTAT 3’(d)
5’ CTCCCATATTCACATTGGATACAATC 3’(r)
400
pcry11Aa
5’ GTTTTTTTAGTCAAAGATACATT 3’(d)
5’ CCACCTTTTATTGAATTTTTTTAT 3’(r)
805
(d): direito; (r): reverso
* LIMA, P. S. C. (2006): Pesquisador da Empresa Brasileira de Pesquisa Agropecuária
(EMBRAPA), Centro de Pesquisa Agropecuária do Meio Norte, Teresina – PI.
33
3.5.2. Amplificação do DNA plasmidial com oligonucleotídeos iniciadores
Para as reações de PCR utilizou-se como DNA molde para as amplificações, o
DNA plasmidial da linhagem padrão de B. thuringiensis var. israelensis T14-001
(controle positivo) e o DNA genômico da linhagem padrão de B. thuringiensis var.
kurstaki (HD-1) (controle negativo).
As reações de amplificação para os distintos pares de oligonucleotídeos
iniciadores (pcry4Aa, pcry4Ba e pcry11Aa) foram conduzidas em um volume de 20
µ
l
contendo: 30 ng de DNA molde; 250
µ
M de uma solução de dNTPs (10mM); 2,0 mM de
MgCl
2
; 0,5
µ
M de cada oligonucleotídeo iniciador; 1,0 U da enzima Taq DNA polimerase
(Invitrogen
); 2
µ
l da solução tampão para a reação de PCR (10X) [200 mM Tris; 500
mM KCl (pH 8,4)] e água destilada Milli-Q previamente esterilizada (q.s.p. 20
µ
l). Em
todos os lotes de reação foi realizado um controle negativo no qual a quantidade de
DNA foi substituída por água Milli-Q, previamente esterilizada. Para as reações de PCR
foi realizada uma mistura, onde se multiplica a quantidade, em microlitros, de cada
reagente, com exceção do DNA, pelo número de amostras. Os reagentes foram
misturados até completa homogeneização e 17 µl da mistura foram distribuídos em
cada um dos tubos para PCR, e em seguida 3 µl das amostras de DNA foram
adicionados nos tubos.
As reações de amplificação foram realizadas em aparelho termociclador (PTC-
100 Programmable Thermal Controller” - MJ Research, Inc.), equipado com circuito
“Hot Bonnet”, onde foi utilizado o seguinte programa: um passo inicial de desnaturação
de 5 min a 95ºC e 31 ciclos consistindo de um passo de desnaturação a 95ºC por 1
min; pareamento dos oligonucleotídeos a 58ºC por 1 min e extensão a 72ºC por 1 min
e, ao final dos ciclos, um passo extra de extensão a 72ºC por 5 min. Ao fim do
programa foi adicionado um passo para a manutenção da amostra a 1C até a retirada
dos tubos do termociclador.
Após a realização das amplificações, adicionou-se às amostras 3
µ
l de tampão
de amostra (“loading buffer” - 0,5% de azul de bromofenol em glicerol 50%). Um volume
34
de 15
µ
l de cada amostra foi aplicado em gel de agarose a 1,5%, contendo brometo de
etídeo (0,5
µ
g/ml) e submetido à eletroforese, por 2 h, a 70 V, conduzida em tampão
TEB 1X [Tris 89 mM, EDTA 2,5 mM e Acido Bórico 89 mM (pH 8,3)]. Em todas as
eletroforeses realizadas foi adotado o emprego de uma amostra de DNA, com
fragmentos de tamanhos conhecidos, múltiplos de 1kb “1kb DNA ladder”, produzida
pela Invitrogen
, a qual serviu como referência de migração eletroforética para
verificação dos tamanhos dos fragmentos obtidos nas reações de amplificação.
Posteriormente, os géis de agarose foram visualizados sob luz UV e fotodocumentados
em equipamento fotodocumentador (GEL DOC2000 - Bio-Rad
), através do software
Quantity-one.
3.6. Hibridização da região promotora dos genes cry4Aa, cry4Ba e cry11Aa
pela técnica de “Southern blotting”
As amostras de DNA plasmidial e cromossômico da linhagem padrão de B.
thuringeinsis var. israelensis T14-001 e do isolado de B. thuringiensis var. israelensis
SPS1 foram submetidas a digestão com a enzima de restrição do tipo I EcoRI.
As preparações foram feitas em um volume total de 10 µl, sendo que para os
plasmídeos foram utilizados: 230 ng do DNA, 10% do volume total da reação de tampão
da enzima, 10 U de enzima de restrição EcoRI e o volume restante foi completado com
água Milli-Q estéril. Para as reações com cromossomo, utilizou-se 150 ng do DNA, 10%
do volume total da reação de tampão da enzima, 10 U de enzima de restrição EcoRI e
volume foi completado com água Milli-Q estéril. As reações foram incubadas a 37ºC,
durante 2 h e 30 min, em aparelho termociclador (PTC-100 MJ Research, Inc.).
Posteriormente, foram adicionados às reações 3
µ
l de tampão de amostra
(“loading buffer” - 0,5% de azul de bromofenol em glicerol 50%) e após aplicados em gel
de agarose a 0,8%, contendo brometo de etídeo (0,5 µg/ml), o qual foi submetido à
eletroforese, por 2 horas, a 50 V, conduzida em tampão TEB 1X [Tris 89 mM, EDTA 2,5
mM e Acido Bórico 89 mM (pH 8,3)], adicionado de brometo de etídeo (0,5
µ
g/ml). Foi
35
adotado o emprego de uma amostra de DNA, com fragmentos de tamanhos
conhecidos, múltiplos de 1kb “1kb DNA ladder”, produzida pela Invitrogen
, a qual
serviu como referência de migração eletroforética para verificação dos tamanhos dos
fragmentos obtidos nas reações de amplificação. Utilizou-se também uma amostra de
DNA (“DNA control”) pertencente ao Kit “Gene Images
TM
AlkPhos Direct
TM
labelling
and detection system” (Amersham Biosciences
), como controle negativo e o DNA
cromossômico das amostras como fonte para comparações. Posteriormente, os géis de
agarose foram visualizados sob luz UV e fotodocumentados em equipamento
fotodocumentador (GEL DOC2000 - Bio-Rad
), através do software Quantity-one.
Em seguida, o gel foi desnaturado em 100 ml da solução de desnaturação (765
µ
l HCl 0,25N, 100 ml água Milli-Q) por 15 min. Transcorrido este período, o gel foi
rapidamente lavado com água Milli-Q e neutralizado com 100 ml de solução de
neutralização (10 g NaOH, q.s.p. 1 L água Milli-Q) por 30 min.
A transferência dos DNA plasmidiais e cromossômicos contidos no gel de
agarose ocorreu por capilaridade em uma membrana de náilon carregada positivamente
Hybond-N
+
(Amersham Biosciences
), sendo as hibridizações conduzidas conforme
protocolo descrito por SOUTHERN (1975) e SAMBROOK & RUSSEL (2001) (Figura 5).
Os fragmentos de DNA amplificados a partir do DNA plasmidial da linhagem
padrão de B. thuringiensis var. israelensis T14-001 por PCR com a utilização dos
primers pcry4Aa, pcry4Ba e pcry11Aa, foram utilizados separadamente como sondas
frias em uma concentração de 100 ng/µl, feita a partir do Kit “Gene Images
TM
AlkPhos
Direct
TM
labelling and detection system” (Amersham Biosciences
) que é baseado no
sistema de quimioluminescência, e contém o reagente de detecção quimioluminescente
“CDP-Star
TM
”.
As amplificações contendo diferentes “primers” foram transferidas para tubos do
tipo “eppendorf” e desnaturadas por 5 min a 95ºC em aparelho termociclador (PTC-100
MJ Research, Inc.). Imediatamente após a desnaturação, os DNAs foram resfriados em
gelo por 5 min. Um volume de 10
µ
l do tampão de reação, 2
µ
l do reagente de
marcação e 10
µ
l da solução “cross-linker” (Kit “Gene Images
TM
AlkPhos Direct
TM
36
labelling and detection system” (Amersham Biosciences
) foram então adicionados aos
tubos contendo DNA e estes foram gentilmente misturados. Após incubação por 30 min
a 37ºC em aparelho termociclador (PTC-100 MJ Research, Inc.), a sonda foi utilizada
para hibridização.
DNA
Peso
Membrana
de náilon
Suporte
Solução
Gel
Transferência por
capilaridade
Revelação
Figura 5.
todo de “Southern blotting”. O DNA é extraído, digerido com enzimas de
restrição e os fragmentos são separados por eletroforese.
O material do gel é
transferido para membrana e hibridizado com a sonda marcada. Após a revelação as
bandas são observadas. Fonte: FARAH (2007).
37
Após este período, as membranas de náilon juntamente com o tampão de
hibridização foram transferidas para garrafas de hibridização e submetidos ao
aquecimento a 58ºC. Em seguida, as sondas marcadas foram adicionadas às garrafas
de hibridização, e estas permaneceram a 58ºC por 12 h em forno de hibridização
(Fisher Biotech
- modelo FBHI10), sob agitação lenta.
Transcorrido o período de hibridização, as membranas foram lavadas duas vezes
com tampão de lavagem primário, pré-aquecido a 58ºC, por um período de 10 min em
cada lavagem. Em seguida, as membranas foram lavadas duas vezes com tampão de
lavagem secundário à temperatura ambiente, sendo a primeira lavagem realizada por
10 min, e a segunda por 30 min. As soluções foram preparadas de acordo com
instruções do fabricante (“Gene Images
TM
AlkPhos Direct
TM
labelling and detection
system” (Amersham Biosciences
).
Após as lavagens, as membranas foram transferidas para um recipiente plástico
onde foram adicionados 40 µl/cm
2
do reagente de detecção “CDP-Star
TM
(Kit “Gene
Images
TM
AlkPhos Direct
TM
labelling and detection system” (Amersham Biosciences
)
sobre toda à superfície da membrana. Após 20 min em contato com este reagente, as
membranas foram envolvidas em filme plástico e, juntamente com o filme de raio-X
(Kodak Scientific Imaging Film - Kodak
), foram fixadas em um cassete de revelação,
sendo após levadas para uma sala escura. Após 12 h os filmes foram revelados.
3.7. Bioensaio com larvas de Aedes aegypti
A verificação da eficiência das proteínas Cry presentes nas linhagens padrão e
no isolado deste estudo foi realizada através do teste de patogenicidade em larvas de
3
o
e 4
o
ínstar de A. aegypti. O bioensaio foi conduzido no Laboratório de Genética de
Bactérias e Biotecnologia Aplicada (LGBBA), do Departamento de Biologia Aplicada à
Agropecuária (FCAV/UNESP - Jaboticabal). As larvas de A. aegypti utilizadas no
bioensaio foram obtidas junto ao Controle de Vetores e Zoonoses da Prefeitura
Municipal de Jaboticabal, SP.
38
Para o preparo das suspensões de esporos/cristais, as linhagens padrão de B.
thuringiensis var. israelensis T14-001 e de B. thuringiensis var. kurstaki (HD-1) e o
isolado de B. thuringiensis var. israelensis SPS1 foram previamente inoculados em
placas de Petri contendo meio de cultura Nutriente Agar (GORDON et al., 1973) e
incubados a 30°C por 12 h.
Posteriormente, foram feitas as pré-culturas onde colônias isoladas foram
inoculadas em tubo Falcon
(50 ml) esterilizado contendo 10 ml de meio C
2
[glicose 1%,
peptona 0,2%, caseína hidrolisada 0,5%, extrato de levedura 0,2%, 15mM
(NH
4
)
2
SO
4
,
23 mM KH
2
PO
4
, 27 mM K
2
HPO
4
, 1mM MgSO
4
.7H
2
O, 600
µ
M CaCl
2
, 250
µ
M MnCl
2
, 17
µ
M ZnSO
4
, 17
µ
M CuSO
4
.7H
2
O, 2
µ
M FeSO
4
(pH 7,0)] com auxílio de pinça e palito
estéreis e submetidas a agitação a 200 rpm, por 12 h, a 30°C.
Após o crescimento bacteriano, quantificou-se a densidade óptica 600 nm
(DO
600nm
) das amostras em espectrofotômetro BECKMAN
(modelo DU-640B),
igualando-as a uma mesma DO
600nm
, que em seguida foram inoculadas em 200 ml de
meio C
2
e submetidas a agitação a 200 rpm, por 5 dias, a 30°C, para completa
esporulação. Posteriormente, as culturas bacterianas foram quantificadas na DO
600nm
em espectrofotômetro BECKMAN
(modelo DU-640B) e pela leitura de esporos em
câmara de Neubauer, de modo que as suspensões fossem padronizados a uma
concentração de 3 x 10
6
esporos/ml (ALVES & MORAES, 1998).
Em B. thuringiensis existe uma relação em que a produção de um esporo no
citoplasma da célula corresponde à respectiva produção de um cristal. Dessa forma, a
concentração de esporos permite inferir a existência equivalente de inclusões cristalinas
na biomassa, resultando na atividade inseticida.
Para o bioensaio foram utilizados os seguintes tratamentos: (1) B. thuringiensis
var. israelensis T14-001 (controle positivo), (2) B. thuringiensis var. israelensis SPS1,
(3) suspensão contendo igual proporção entre B. thuringiensis var. israelensis T14-001
e B. thuringiensis var. israelensis SPS1, (4) B. thuringiensis var. kurstaki HD-1 (controle
negativo) e (5) água mineral (testemunha). O delineamento experimental foi
inteiramente casualizado sendo constituído de 5 tratamentos e 4 repetições, com 20
larvas de 3
o
e 4
o
ínstar de A. aegypti por repetição, totalizando 80 larvas por tratamento.
39
O bioensaio foi realizado em uma sala com temperatura a 25
±
C. As larvas de
A. aegypti foram acondicionadas com auxílio de pipeta Pasteur em copos plásticos
descartáveis (com capacidade de 200 ml) contendo água mineral e após
ambientalização no recipiente, foram adicionadas as suspensões totalizando um volume
de 100 ml (água mineral + suspensão). A primeira avaliação de mortalidade das larvas
foi iniciada após 30 min da aplicação das suspensões. Avaliações sucessivas foram
realizadas a cada 30 min perfazendo um total de 2 h. A mortalidade média das larvas foi
submetida ao teste de Tukey ao nível de 5% de significância pelo software ESTAT*.
* ESTAT Sistema de Análise Estatística. Departamento de Ciências Exatas.
Faculdade de Ciências Agrárias e Veterinárias (UNESP).
40
4. RESULTADOS E DISCUSSÃO
4.1. Separação do material genético de B. thuringiensis var. israelensis em
gradiente de densidade de cloreto de césio
Os ácidos nucléicos são extraídos das células dos microrganismos por diferentes
métodos de extração. Quando o interesse está na separação de partículas com
diferentes densidades, como é o caso do DNA cromossômico e plasmidial, o método
que resulta em amostras de qualidade é a ultracentrifugação em gradiente de cloreto de
césio (CsCl), conhecida também como ultracentrifugação isopícnica. Quando o DNA
genômico de determinado organismo é submetido a esta metodologia, as moléculas de
DNA presentes movem-se em um gradiente até encontrarem o ponto isopícnico,
flutuando em um colchão” formado pelo gradiente de CsCl. Este ponto de flutuação,
denominado também como densidade boiante, é a razão entre a densidade da
molécula e a densidade do CsCl (AZEVEDO, 2003).
O DNA plasmidial e cromossômico apresentam densidades de flutuação
próximas e por isso não podem ser separados facilmente. Com isso, é necessária a
41
adição do brometo de etídeo (EtBr) à solução de CsCl. O EtBr é um análogo de base
que se intercala à dupla fita de DNA emitindo fluorescência quando este é excitado com
luz ultravioleta (UV) (GITAHY et al., 2005).
A realização da técnica de ultracentrifugação em gradiente de cloreto de césio
com brometo de etídeo teve como objetivo a purificação do material genético da
linhagem padrão de B. thuringiensis var. israelensis T14-001 e do isolado de B.
thuringiensis var. israelensis SPS1 para posterior utilização nas técnicas de PCR e
“Southern blotting”.
A purificação do DNA genômico da linhagem padrão de B. thuringiensis var.
israelensis T14-001 e do isolado de B. thuringiensis var. israelensis SPS1 resultou na
separação de duas bandas, sendo a superior referente ao DNA cromossômico e a
inferior referente ao DNA plasmidial. Na Figura 6 é possível, com auxílio do
transiluminador, a visualização dos tubos de ultracentrífuga contendo as duas bandas
de DNA, que foram ultracentrifugadas em gradiente de cloreto de césio e coradas com
brometo de etídeo.
Figura 6.
Visualização da separação do material genético da linhagem padrão de
B.
thuringiensis var. israelensis (tubos 1, 2 e 3) e do isolado de B. thuringiensis
var.
israelensis
SPS1 (tubos 4, 5 e 6) por ultracentrifugação em gradiente de cloreto de
césio com brometo de etídeo. As setas indicam: seta superior (CR) refere-
se à banda
de DNA crom
ossômico e a seta inferior (PL) corresponde à banda de DNA plasmidial.
CR
PL
1 2 3 4 5 6
42
Estes dados estão de acordo com os obtidos por GITAHY et al. (2005), que
purificaram as estirpes de B. thuringiensis var. kurstaki (HD-1) e de B. thuringiensis var.
kurstaki (S76) por este mesmo método e também obtiveram a formação de 2 bandas
distintas.
As bandas de DNA obtidas pela ultracentrifugação foram coletadas
separadamente com o auxílio de uma micropipeta de modo que não houvesse
nenhuma contaminação entre plasmídeos e cromossomo. Após os procedimentos de
retirada do brometo de etídeo e do cloreto de césio, as amostras foram quantificadas
em espectrofotômetro, sendo que os plasmídeos apresentaram uma concentração em
torno de 200 ng/µl e os cromossomos em torno de 2500 ng/µl. Em seguida, uma
alíquota destes materiais foi submetida à eletroforese em gel de agarose 0,7% “Low
Melting Point” e sob uma corrente de 24 V por 12h, na qual pode-se verificar o perfil
plasmidial e cromossômico da linhagem padrão e do isolado (Figura 7).
MM DH5
α
αα
α
1 2 3 4
1.000
5.000
650
850
2.000
12.000
Figura 7.
Perfil plasmidial e cromossômico da linhagem padrão de B. thuringiensis
var.
israelensis T14-001 e do isolado de B. thuringiensis var. israelensis SPS1. Canaleta 1
:
plasmídeo de Bti; 2: plasmídeo de Bti SPS1; 3: cromossomo Bti; 4: cromossomo
Bti
SPS1. MM - marcador molecular (1kb Plus DNA Ladder
); DH5
α
-
referência de banda
cromossômica.
43
A análise das amostras de DNA plasmidial e cromossômico por eletroforese
demonstrou que a linhagem padrão e o isolado utilizados apresentam perfis plasmidiais
semelhantes.
4.2. Amplificação da região promotora dos genes cry4Aa, cry4Ba e cry11Aa
de B. thuringiensis var. israelensis por PCR
Os oligonucleotídeos iniciadores elaborados a partir da região promotora dos
genes cry4Aa, cry4Ba e cry11Aa da linhagem de B. thuringiensis var. israelensis e
utilizados nas reações de PCR, resultaram na amplificação de fragmentos únicos
(amplicons) com tamanhos esperados (Tabela 1). As amplificações com os diferentes
oligonucleotídeos iniciadores estão representadas na Figura 8.
Figura
8
.
Eletroforograma dos p
rodutos de amplificação da região promotora dos genes
cry4Aa, cry4Ba e cry11Aa de B. thuringiensis var. israelensis
obtidos por PCR. Canaleta
1: DNA plasmidial da linhagem padrão de B. thuringiensis var. israelensis T14-
001; 2:
DNA genômico da linhagem padrão de
B. thuringiensis
var.
kurstaki
(HD-
1) (controle
negativo); 3: CN (controle negativo da reação). MM - marcador molecular (1k
b DNA
Ladder
).
cry4Aa cry4Ba cry11Aa
MM 1 2 3
MM 1 2 3 MM 1 2 3
250 pb
500 pb
447 pb
750 pb
250 pb
500 pb
400 pb
750 pb
805 pb
500 pb
1000 pb
750 pb
44
4.3. Análise da região promotora de genes cry do isolado de B.
thuringiensis
var.
israelensis
SPS1 pelo método de “Southern blotting”
A técnica de “Southern blotting” foi realizada com o DNA plasmidial e
cromossômico da linhagem padrão de B. thuringiensis var. israelensis T14-001 (controle
positivo) e do isolado de B. thuringiensis var. israelensis SPS1, visando a comparação
da região promotora dos genes cry4Aa, cry4Ba e cry11Aa de ambas as estirpes, sendo
estes genes encontrados no plasmídeo destas bactérias. Como controle negativo
utilizou-se uma alíquota de DNA lambda pertencente ao Kit “Gene Images
TM
AlkPhos
Direct
TM
labelling and detection system” (Amersham Biosciences
).
O DNA plasmidial e cromossômico da linhagem padrão e do isolado citados
acima foram digeridos com a enzima de restrição EcoRI de modo a gerar fragmentos
pequenos que fossem facilmente transferidos para a membrana de náilon. Após a
corrida eletroforética do material digerido, realizou-se o “blotting”, transferindo-se o DNA
clivado presente no gel de agarose para a membrana de náilon, que após foram
hibridizadas com as sondas. Foram utilizadas como sondas os produtos obtidos através
das reações de PCR realizadas com o DNA plasmidial da linhagem padrão de B.
thuringiensis var. israelensis T14-001, sendo que estas foram marcadas com o reagente
quimioluminescente “CDP-Star
TM
do kit “Gene Images
TM
AlkPhos Direct
TM
labelling and
detection system” (Amersham Biosciences
).
Os fragmentos gerados na digestão com a enzima EcoRI foram hibridizados com
as sondas separadamente e posteriormente revelados. As Figuras 9, 10 e 11 ilustram
as digestões e os resultados obtidos nas hibridizações por “Southern blotting”
realizadas com as sondas da região promotora dos genes cry4Aa, cry4Ba e cry11Aa,
sendo possível a verificação de várias bandas tanto no DNA plasmidial como também
no cromossômico.
45
7
50 pb
1
5
0
0 pb
5
0
0 pb
10000 pb
250 pb
100
0 pb
2
000
pb
MM 1 2 3 4 5
MM 1 2 3 4 5
A
B
Figura
9
.
Análise eletroforética
da digestão do material genético com a enzima Eco
RI
(A)
e resultado da hibridização por Southern blotting com a sonda da região promotora
do gene cry4Aa
(B)
. Canaleta 1: DNA cromossômico da linhagem Bti
; 2: DNA
cromossômico do isolado Bti
SPS1; 3: DNA lambda; 4: DNA plasmidial da linhagem
Bti; 5: DNA plasmidial do isolado Bti SPS1. MM -
marcador molecular (1kb DNA
Ladder
).
7
50 pb
1
5
0
0 pb
10000 pb
250 pb
5
0
0 pb
100
0 pb
2
000
pb
MM 1 2 3 4 5
MM
1 2 3 4 5
A
B
Figura 10.
Análise eletroforética da digestão
do material genético com a enzima
EcoRI (A) e resultado da hibridização por Southern blotting com a sonda
da região
promotora do gene cry4Ba (B). Canaleta 1: DNA cromossômico da linhagem Bti
; 2:
DNA cromossômico do isolado Bti
SPS1; 3: DNA lambda; 4: DNA plasmidial da
linhagem Bti; 5: DNA plasmidial do isolado Bti SPS1. MM - marcador molecular (1k
b
DNA Ladder
).
46
A hibridização do DNA cromossômico com as sondas produzidas a partir do DNA
plasmidial dos genes cry está relacionada a presença de plasmídeos abertos no
material cromossômico. Estes resultados confirmam os relatos feitos por PRIMROSE &
TWYMAN (2006), que descreveram uma purificação realizada com DNA de Escherichia
coli, pelo método de centrifugação isopícnica em gradiente de cloreto de césio, da qual
foi possível a obtenção de duas bandas distintas, sendo a banda superior relativa ao
DNA cromossômico juntamente com plasmídeos abertos (forma linear), e a banda
inferior composta por DNA plasmidial circular (forma fechada), sugerindo que esta
metodologia não separa totalmente plasmídeos de cromossomo (Figura 12).
MM 1 2 3 4 5
MM 1 2 3 4 5
A
B
7
50 pb
1
5
0
0 pb
5
0
0 pb
100
0 pb
10000 pb
250 pb
2
000
pb
Figura
11
.
Análise eletroforética da digestão
do material genético com a enzima
EcoRI (A) e resultado da hibridização por Southern blotting com a sonda
da região
promotora do gene cry11Aa (B). Canaleta 1: DNA cromossômico da linhagem Bti
; 2:
DNA cromossômico do isolado Bti SPS1; 3: DNA lambd
a; 4: DNA plasmidial da
linhagem Bti; 5: DNA plasmidial do isolado Bti SPS1. MM - marcador molecular (1k
b
DNA Ladder
).
47
Em relação aos resultados obtidos na hibridização das sondas com o DNA
plasmidial pode-se afirmar que os genes cry4Aa, cry4Ba e cry11Aa estão localizados
tanto no plasmídeo da linhagem padrão de B. thuringiensis var. israelensis T14-001
como também no DNA plasmidial do isolado de B. thuringiensis var. israelensis SPS1, e
que a hibridização da região promotora deles com vários fragmentos resultantes da
digestão do material plasmidial com a enzima EcoRI deve-se ao fato da presença de
várias cópias do plasmídeo na célula bacteriana e conseqüentemente a existência de
vários promotores neste material genético, os quais o necessários para a expressão
dos genes. Dessa forma, pode-se afirmar que a região promotora da linhagem padrão
de B. thuringiensis var. israelensis T14-001 e do isolado de B. thuringiensis var.
israelensis SPS1 possui homologia em relação à seqüência de nucleotídeos dos
promotores que constituem cada um deles, pelo fato de ambos terem hibridizado a
mesma região.
Figura 12.
Ilustração da purificação do DNA plasmidial de Col E1 Kan
R
por
centrifugação isopícnica em gradiente de CsCl-EtBr. Fonte:
PRIMROSE & TWYMAN
(2006).
48
BERRY et al. (2002) buscando o conhecimento da seqüência completa e
organização de um megaplasmídeo (pBtoxis) presente na linhagem de B. thuringiensis
var. israelensis 4Q2-72, desenvolveram estudos utilizando as técnicas de separação
por gradiente de cloreto de césio com brometo de etídeo, seqüenciamento, análises de
comparação de seqüências em banco de dados e PCR. Como resultado desta
pesquisa, os autores identificaram uma série de seqüências vinculadas às diversas
funções da bactéria B. thuringiensis var. israelensis e dentre estas, várias seqüências
relacionadas a transcrição dos genes cry, ou seja, dos seus promotores.
Em B. thuringiensis var. kurstaki, dois pontos de iniciação da transcrição do gene
cry1A(a) mapeados por WONG et al. (1983) foram definidos como dois promotores com
seqüências sobrepostas e que o ativados de maneira seqüencial. O primeiro
promotor (BTI) é utilizado a partir do estágio II da esporulação e é reconhecido pela
RNA polimerase associada ao
35
(BROWN & WHITELEY, 1988). o BTII é
reconhecido pelo complexo E
28
a partir do III estágio da esporulação (BROWN &
WHITELEY, 1990).
ADAMS et al. (1991) através da clonagem e seqüenciamento dos genes que
codificam os fatores sigmas abordados acima, obtiveram seqüências de nucleotídeos
com homologia de 88% e 85% em relação aos fatores
E
e
K
de B. subtilis,
respectivamente. O alto grau de similaridade e habilidade em realizar a transcrição a
partir destes promotores de B. subtilis indicam uma homologia funcional entre os
respectivos pares de fatores sigma (
E
,
35
,
K
,
28
e
A
).
Regiões similares contendo os dois tipos de promotores anteriormente
mencionados são encontradas “upstream” aos genes cry1, cry2, cry4 e cyt. O alto nível
de expressão, em perfeita coordenação com a esporulação, faz da bactéria B.
thuringiensis um modelo notável da regulação gênica em bactérias Gram-positivas
capazes de esporular (HABIB & ANDRADE, 1998).
49
4.4. Avaliação do teste de patogenicidade em larvas de A. aegypti
A eficiência das proteínas Cry contra larvas de 3
o
e 4
o
ínstar de A. aegypti foi
obtida através do desenvolvimento de bioensaio utilizando-se a linhagem padrão de B.
thuringiensis var. israelensis T14-001 (controle positivo) e o isolado de B. thuringiensis
var. israelensis SPS1, ambos díptero-específicos. A linhagem padrão de B.
thuringiensis var. kurstaki (HD-1) foi utilizada como controle negativo por ser uma
linhagem lepidóptero-específico e utilizou-se como testemunha água mineral.
Visando a comparação dos padrões de crescimento da linhagem padrão de B.
thuringienisis var. israelensis T14-001, do isolado de B. thuringiensis var. israelensis
SPS1 e da linhagem padrão de B. thuringiensis var. kurstaki (HD-1), inoculou-se igual
quantidade de células bacterianas em meio C
2
para o preparo das pré-culturas, que
após o crescimento, foram monitoradas por determinação da densidade óptica a 600
nm (DO
600nm
). Após este procedimento, a DO
600nm
das pré-culturas foram igualadas a
1,17 Abs, por meio do acréscimo de meio C
2
estéril. Em seguida, estas foram
inoculadas novamente em meio C
2
para o preparo das suspensões bacterianas do
bioensaio, como mencionado no item 3.7. Posteriormente, quantificou-se a DO
600nm
dos
inóculos e, concomitantemente, realizou-se a quantificação dos esporos presentes nas
culturas bacterianas através da leitura em câmara de Neubauer, sendo estes valores
listados na Tabela 2.
Tabela 2. Quantificação das suspensões bacterianas em espectrofotômetro e em
câmara de Neubauer.
Linhagem / Isolado DO
600nm
N
o
de esporos
B. thuringiensis var. israelensis T14-001
0.8140 Abs 824
B. thuringiensis var. israelensis SPS1
1.1266 Abs 1681
B. thuringiensis var. kurstaki HD-1
1.2512 Abs 2354
(Abs): absorbância
50
Os resultados obtidos com a quantificação em espectrofotômetro e pela leitura
de esporos em câmara de Neubauer indicaram que o isolado de B. thuringiensis var.
israelensis SPS1 produz uma maior quantidade de esporos/cristais em relação a
linhagem padrão de B. thuringiensis var. israelensis T14-001. Estes dados corroboram
com os obtidos por LEMOS & SENA (2002) (Patente PI0200228-0), no qual relataram
que a quantidade de esporos/cristais obtida para o isolado de B. thuringiensis var.
israelensis SPS1 foi maior que a da linhagem padrão de B. thuringiensis var.
israelensis, obtidas em iguais condições de cultivo e análise. Além desta, foram
realizadas observações no que diz a respeito à esporulação destas bactérias,
concluindo-se que o isolado de B. thuringiensis var. israelensis SPS1 parece esporular
mais rapidamente que a linhagem padrão, resultando num maior número de células e
conseqüentemente, maior produção de proteína cristal em menor tempo.
O bioensaio foi realizado através da aplicação dos seguintes tratamentos sobre
as larvas de A. aegypti: (1) B. thuringiensis var. israelensis T14-001 (controle positivo),
(2) B. thuringiensis var. israelensis SPS1, (3) suspensão de B. thuringiensis var.
israelensis T14-001 com B. thuringiensis var. israelensis SPS1, (4) B. thuringiensis var.
kurstaki (HD-1) (controle negativo) e (5) testemunha (Figura 13). Todas as suspensões
foram padronizadas a uma concentração de 3 x 10
6
esporos/ml e realizou-se as
avaliações de mortalidade das larvas em diferentes momentos (Tabela 3).
51
A primeira avaliação foi realizada após 30 min da exposição das larvas de A.
aegypti aos diferentes tratamentos. Nesta avaliação, constatou-se que a maior
mortalidade foi causada pela suspensão contendo igual proporção da linhagem padrão
de B. thuringiensis var. israelensis T14-001 com o isolado de B. thuringiensis var.
israelensis SPS1. A média referente a esse tratamento diferiu significativamente das
demais pelo teste de Tukey ao nível de 5% de probabilidade (Tabela 3).
Figura 13.
Bioensaio com larvas de 3
o
e 4
o
ínstar de Aedes aegypti
submetidas aos
tratamentos com linhagens e isolado de Bacillus thuringiensis.
52
Para a avaliação realizada aos 60 min pode-se observar que os tratamentos
constituídos por B. thuringiensis var. israelensis T14-001, B. thuringiensis var.
israelensis SPS1 e pela suspensão composta por B. thuringiensis var. israelensis T14-
001 e B. thuringiensis var. israelensis SPS1 não diferiram entre si pelo teste de Tukey
ao nível de 5%, mostrando que a aplicação em conjunto do isolado de B. thuringiensis
var. israelensis SPS1 e da linhagem padrão de B. thuringiensis var. israelensis é viável
para o controle de larvas em um curto período (controle imediato).
Na terceira avaliação (90 min) pode-se observar aumento da mortalidade nos
tratamentos de B. thuringiensis var. israelensis T14-001, B. thuringiensis var. israelensis
SPS1 e da suspensão de B. thuringiensis var. israelensis T14-001 com B. thuringiensis
var. israelensis SPS1 quando comparados com a segunda avaliação (60 min). No
entanto, essas médias não foram significativamente diferentes entre si quando
submetidas ao mesmo teste, mostrando que a atuação das suspensões de
esporos/cristais ocorre logo após a aplicação.
A quarta avaliação (120 min) mostrou um perfil idêntico à terceira, indicando que
a mortalidade das larvas de A. aegypti estabilizou-se aos 90 minutos posteriores da
aplicação dos tratamentos. A mortalidade total (100%) das larvas de A. aegypti foi
alcançada, decorridas 12 horas a partir da quarta avaliação, tanto para os tratamentos
com a linhagem padrão de B. thuringiensis var. israelensis T14-001 e do isolado de B.
thuringiensis var. israelensis SPS1 como para a suspensão contendo a mistura de B.
thuringiensis var. israelensis T14-001 e B. thuringiensis var. israelensis SPS1.
Além dos tratamentos com B. thuringiensis var. israelensis T14-001, B.
thuringiensis var. israelensis SPS1 e a suspensão contendo B. thuringiensis var.
israelensis T14-001 e B. thuringiensis var. israelensis SPS1 foram empregados outros
dois tratamentos, o tratamento 4 representado pela linhagem padrão de B. thuringiensis
var. kurtaki (HD-1) e o tratamento 5 constituído da testemunha. Ambos apresentaram
resultados satisfatórios, pois não foi constatada mortalidade de nenhuma larva de A.
aegypti. Portanto, as médias representadas por esses, diferiram significativamente das
demais em todas as avaliações pelo teste de Tukey ao nível de 5% de probabilidade
(Tabela 3).
53
Juntamente a análise estatística descrita anteriormente foi realizada uma análise
que relacionou a mortalidade de larvas em função do tempo. Para isto o tratamento
primário ficou definido como sendo as suspensões de B. thuringiensis e o tratamento
secundário constituiu-se dos diferentes tempos de avaliação que foram realizadas após
a aplicação das suspensões. Nesta análise pode-se verificar que apenas o primeiro
tratamento secundário (30 min) foi estatisticamente diferente dos demais (60 min, 90
min e 120 min), sendo que isto ocorreu para todos os tratamentos primários (Tabela 3).
Tabela 3. Mortalidade de larvas de Aedes aegypti após a aplicação das linhagens e
isolado de Bacillus thuringiensis.
Mortalidade Média (%)
Tratamentos
30 min 60 min
90 min 120 min
1- B. thuringiensis var. israelensis T14-001
43,75 Bb 98,75 Aa 98,75 Aa 98,75 Aa
2- B. thuringiensis var. israelensis SPS1
37,50 Bb 93,75 Aa 97,50 Aa 97,50 Aa
3- Bti T14-001 + Bti SPS1
72,50 Ab 96,25 Aa 97,50 Aa 97,50 Aa
4- B. thuringiensis var. kurstaki (HD-1)
0,00 Ca 0,00 Ba 0,00 Ba 0,00 Ba
5- Testemunha
0,00 Ca 0,00 Ba 0,00 Ba 0,00 Ba
Coeficiente de variação da parcela (%) 13,70
Coeficiente de variação da subparcela (%)
8,99
Erro padrão da média do tratamento principal
0,31
Erro padrão da média do tratamento secundário
0,21
Médias seguidas de mesma letra, maiúscula nas linhas (tratamentos) e minúscula nas colunas
(tempo), não diferem entre si pelo teste de Tukey (P>5%).
No decorrer do bioensaio, algumas mudanças foram observadas em relação ao
comportamento das larvas tais como: redução gradativa dos movimentos quando
comparadas aos grupos-controle; mudança na coloração corporal, sendo que as larvas
ficaram mais escuras; e diminuição do tamanho larval.
54
Segundo HABIB & ANDRADE (1998), a morte das larvas aquáticas de Diptera
(culicídeos e simulídeos), ocorre rapidamente (vinte minutos à três horas) quando
ingerem a bactéria B. thuringiensis var. israelensis H-14, fenômeno este diferente do
observado em larvas da ordem Lepidoptera quando infectadas por B. thuringiensis H-
3a:3b, cuja morte ocorre dois a três dias após a infecção. Estes autores mencionam
ainda, como exemplo, as larvas de Culex declarator (Dyar & Knab, 1906) (Diptera:
Culicidae) que ao ingerirem o patógeno B. thuringiensis var. israelensis perdem
gradativamente sua agilidade, sendo constatada também a redução rápida nos
movimentos das peças bucais, que revelam a perda de apetite ou dificuldade de
alimentação, resultando na parada total da ingestão. Paralelamente, convulsões
esporádicas ocorrem no início do processo, sendo que seu ritmo aumenta
gradativamente, indicando possíveis efeitos no sistema neuromuscular da larva. A
velocidade destes sintomas está relacionada com a dosagem do patógeno, idade e
grau de suscetibilidade do inseto infectado.
Em estudos realizados com larvas de quarto estágio de C. declarator, HABIB
(1982) observou que após 30 min da infecção as larvas começam a perder sua
capacidade de flutuação, podendo, porém, retornarem à superfície. À medida que a
doença avança, as larvas perdem a capacidade de flutuação, permanecendo por mais
tempo no fundo do recipiente. Contudo, larvas maiores morrem sempre no fundo do
recipiente, enquanto que as pequenas morrem flutuando com o sifão emerso (peso
menor) e afundam facilmente a qualquer toque ou movimento na água.
Em relação ao envolvimento da toxemia, os sintomas desta indicam uma alta
possibilidade da morte das larvas de C. declarator ser também devido a asfixia e não
apenas pela ação letal das -endotoxinas produzidas por B. thuringiensis var.
israelensis. Sabe-se que as larvas de pernilongo respiram o ar atmosférico através do
sifão. Quando uma toxina afeta o sistema nervoso e o muscular destas, incapacita as
mesmas de permanecerem junto à superfície da água com o sifão projetado para fora,
onde estas larvas irão afundar e morrer por falta de O
2
e excesso de CO
2
e ácido
carbônico nos tecidos (HABIB, 1982 e 1983).
55
RUIZ et al. (2004) em estudos realizados com larvas de A. aegypti, Anopheles
albimanus (Wiedemann, 1820) (Diptera: Culicidae) e C. quinquefasciatus expostas à
toxina Cry11Bb de B. thuringiensis var. medellin, descreveram sérias mudanças
histopatológicas como vacuolização do citoplasma, hipermetrofia das células epiteliais e
de seus núcleos, desintegração celular e formação de vesículas apicais que liberavam
seu material no lúmen intestinal.
Ensaios realizados por BARRETO et al. (2006) mostraram a princípio uma
redução da mobilidade de larvas de A. aegypti submetidas à atividade larvicida do
extrato etanólico, extraído a partir da casca do fruto de Sapindus saponaria, sendo
posteriormente analisadas por microscopia, das quais resultaram em alterações morfo-
histológicas, tais como: destruição total ou parcial de células; alta vacuolização do
citoplasma; hipersecreção das células epiteliais e pavimentação do epitélio. Foram
feitas também observações em relação aos movimentos larvais, sendo que estas
começaram a apresentar movimentos mais lentos após 30 minutos do início dos testes
e tornaram-se lentas ou imóveis após 3 h.
Os resultados obtidos neste bioensaio revelam que a utilização de B.
thuringiensis var. israelensis SPS1 no controle de larvas de vetores importantes em
saúde publica é muito promissora, pois foi comprovado através deste trabalho que essa
bactéria promove um controle rápido e eficaz e que possui um grande potencial por
produzir uma maior quantidade de esporos/cristais que a linhagem padrão de B.
thuringiensis var. israelensis T14-001. Diante destes resultados, torna-se necessário a
realização de estudos mais detalhados sobre a toxicidade deste isolado, visto que a
implantação do mesmo como um bioinseticida implica em reduções no custo de
aplicação devido a sua eficácia anteriormente citada, além de não provocar impactos
ambientais nos locais onde são empregados e também em relação aos organismos que
ali habitam.
56
5. CONCLUSÕES

A linhagem padrão de B. thuringiensis var. israelensis T14-001 e o isolado de B.
thuringiensis var. israelensis SPS1 são semelhantes no padrão de bandas;

As regiões promotoras dos genes cry4Aa, cry4Ba e cry11Aa do isolado de B.
thuringiensis var. israelensis SPS1 e da linhagem padrão de B. thuringiensis var.
israelensis T14-001 apresentam alta similaridade genética;

O isolado de B. thuringiensis var. israelensis SPS1 produz uma maior quantidade
de esporos/cristais que a linhagem padrão de B. thuringiensis var. israelensis
T14-001;

O isolado de B. thuringiensis var. israelensis SPS1 e a linhagem padrão de B.
thuringiensis
var.
israelensis
T14-001 causam índices excelentes de mortalidade
para larvas de Aedes aegypti após 60 minutos da aplicação;
57
6. REFERÊNCIAS
ADAMS, L. F.; VISICK, J. E.; WHITELEY, H. R. A 20-kilodalton protein is required for
efficient production of the Bacillus thuringiensis subsp. israelensis 27-kilodalton crystal
protein in Escherichia coli. Journal of Bacteriology, Washington, v. 171, n. 1, p. 521-
530, 1989.
ADAMS, L. F.; BROWN, K. L.; WHITELEY, H. R. Molecular cloning and characterization
of two genes encoding sigma factors that direct transcription from a Bacillus
thuringiensis crystal protein gene promoter. Journal of Bacteriology, Washington, v.
173, n. 12, p. 3846-3854, 1991.
AGAISSE, H.; LERECLUS, D. How does Bacillus thuringiensis produce so much
insecticidal crystal protein? Journal of Bacteriology, Washington, v. 177, n. 21, p.
6027-6032, 1995.
ALVES, S. B.; MORAES, S. B. Quantificação de inóculo de patógenos de insetos. In:
ALVES, S. B. (Ed.). Controle microbiano de insetos. Piracicaba: FEALQ, 1998. p.
765-778.
58
ALY, C.; MULLA, M. S.; FEDERICO, B. A. Sporulation and toxin production by Bacillus
thuringiensis var. israelensis in cadavers of mosquito larvae (Diptera: Culicidae).
Journal
of Invertebrate Pathology, San Diego, v. 46, n. 3, p. 251-258, 1985.
ANDERSON, J. B.; STASOVSKI, E. Molecular phylogeny of northern hemisphere
species of Armillaria. Mycologia, Bronx, v. 84, n. 4, p. 505-516, 1992.
ANGSUTHANASOMBAT, C.; CRICKMORE, V.; ELLAR, D. J. Comparison of Bacillus
thuringiensis subsp. israelensis CryIVA and CryIVB cloned toxins reveals synergism in
vivo. FEMS Microbiology Letters, Amsterdam, v. 73, n. 1-2, p. 63-68, 1992.
ANGSUTHANASOMBAT, C.; UAWITHYA, P.; LEETACHEWA, S.; PORNWIROON, W.;
OUNJAI, P.; KERDCHAROEN, T.; KATZENMEIER, G. R.; PANYIM, S. Bacillus
thuringiensis Cry4A and Cry4B mosquito-larvicidal proteins: homology-based 3D model
and implications for toxin activity. Journal of Biochemistry and Molecular Biology,
Yeoksam-dong, v. 37, n. 3, p. 304-313, 2004.
ARANTES, O. M. N.; VILAS-BÔAS, L. A.; VILAS-BÔAS, G. F. L. T. Bacillus
thuringiensis: Estratégias no controle biológico. In: SERAFINI, L. A.; BARROS, N. M.;
AZEVEDO, J. L. (Org.). Biotecnologia: avanços na agricultura e agroindústria. Caxias
do Sul: EDUSC, 2002. p. 269-293.
ARONSON, A. I.; BECKMAN, W.; DUM, P. Bacillus thuringiensis and related insect
pathogens. Microbiological Reviews, Washington, v. 50, n. 1, p. 1-24, 1986.
AZEVEDO, J. L. Engenharia genética aplicada ao controle microbiano de insetos. In:
ALVES, S. B. (Ed.).
Controle microbiano de insetos
. Piracicaba: FEALQ, 1998. p.
239-268.
59
AZEVEDO, M. O. Centrifugação. In: AZEVEDO, M. O.; FELIPE, M. S. S.; BRÍGIDO, M.
M.; MARANHÃO, A.; DE-SOUZA, M. T. (Ed.).
Técnicas básicas em biologia
molecular. Brasília: UnB, 2003. p. 21-34.
BARRETO, C. F.; CAVASIN, G. M.; SILVA, H. H. G.; SILVA; I. G. Estudo das alterações
morfo-histológicas em larvas de Aedes aegypti (DIPTERA: CULICIDAE) submetidas ao
extrato bruto etanólico de Sapindus saponaria Lin (SAPINDACEAE).
Revista de
Patologia Tropical, Goiânia, v. 35, n. 1, p. 37-57, 2006.
BATRA, C. P.; MITTAL, P. K.; ADAK, T. Control of Aedes aegypti breeding in desert
coolers and tires by use of Bacillus thuringiensis var. israelensis formulation. Journal of
the American Mosquito Control Association
, Fresno, v. 16, n. 4, p. 321-323, 2000.
BECKER, N. Bacterial control of vector-mosquitoes and black flies. In: CHARLES, J. F.
DELÉCLUSE, A.; NIELSEN-LEROUX, C. (Ed.). Entomopathogenic bacteria: from
laboratory to field application. Dordrecht: Kluwer Academic Publishers, 2000. p. 383-
398.
BECKER, V.; MARGALIT, J. Use of Bacillus thuringiensis israelensis against
mosquitoes and blackflies. In: ENTWISTLE, P. F.; CORY, M. J.; HIGGS, S. (Ed.).
Bacillus thuringiensis, an environmental biopesticide: theory and practice. Londres:
John Wiley & Sons, 1993. p. 147-169.
BELTRÃO, H. B. M. Interação das toxinas Cry do Bacillus thuringiensis var.
israelensis com o mesêntero de larvas do vetor Aedes aegypti (Diptera:
Culicidae). 2006. 57 f. Dissertação (Mestrado em Saúde blica) - Centro de
Pesquisas Aggeu Magalhães, Fundação Oswaldo Cruz, Recife, 2006.
60
BELTRÃO, H. B. M.; SILVA-FILHA, M. H. N. L. Interaction of Bacillus thuringiensis svar.
israelensis Cry toxins with binding sites from Aedes aegypti (Diptera: Culicidae) larvae
midgut. FEMS Microbiology Letters, Amsterdam, v. 266, n. 2, p. 163-169, 2007.
BERRY, C.; O’NEIL, S.; BEN-DOV, E.; JONES, A. F.; MURPHY, L.; QUAIL, M. A.;
HOLDEN, M. T. G.; HARRIS, D.; ZARITSKY, A.; PARKHILL, J. Complete sequence and
organization of pBtoxis, the toxin-coding plasmid of Bacillus thuringiensis subsp.
israelensis. Applied and Environmental Microbiology, Washington, v. 68, n. 10, p.
5082-5095, 2002.
BOISVERT, J.; LACOURSIÈRE, J. Le Bacillus thuringiensis var. israelensis et
controle des insectes piqueurs au Quebec
. Quebec: Ministère de l’Environnement,
2004. 101 p. (Document l’Environnement - ENV/2004/0278).
BOONSERM, P.; DAVIS, P.; ELLAR, D. J.; LI, J. Crystal structure of the mosquito-
larvicidal toxin Cry4Ba and its biological implications. Journal of Molecular Biology,
London, v. 348, n. 2, p. 363-382, 2005.
BOURQUE, S. N.; VALERO, J. R.; MERCIER, J.; LAVOIE, M. C.; LEVESQUE, R. C.
Multiplex polymerase chain reaction for detection and differentiation of the microbial
insecticide Bacillus thuringiensis. Applied and Environmental Microbiology,
Washington, v. 59, n. 2, p. 523-527, 1993.
BRAGA, I. A.; LIMA, J. B.; SOARES, S.; VALLE, D. Aedes aegypti resistance to
temephos during 2001 in several municipalities in the states of Rio de Janeiro, Sergipe
and Alagoas, Brazil. Memórias do Instituto Oswaldo Cruz, Rio de Janeiro, v. 99, n. 2,
p. 199-203, 2004.
61
BRASIL. Ministério da Saúde. Fundação Nacional de Saúde (FUNASA).
Monitoramento da resistência das populações de
Aedes aegypti
do país.
Brasília,
2000.
BRASIL. Ministério da Saúde. Fundação Nacional de Saúde (FUNASA). Dengue
instruções para pessoal de combate ao vetor: manual de normas técnicas. 3. ed.
Brasília, 2001. 84 p. Disponível em:
<http://www.bvsde.paho.org/bvsasv/p/fulltext/manual/manual.pdf>. Acesso em: 02
agosto 2007.
BRASIL. Ministério da Saúde. Fundação Nacional de Saúde (FUNASA). Dengue:
aspectos epidemiológicos, diagnóstico e tratamento. Brasília, 2002. 20 p. Disponível
em: <http://www.defesacivil.sp.gov.br/documentos/cartilha_dengue.pdf>. Acesso em: 02
agosto 2007.
BRAVO, A.; QUINTERO, R. Importancia y potencial del Bacillus thuringiensis en el
control de plagas
. Santiago de Chile: Oficina Regional de la FAO para America Latina
y el Caribe: Red de Cooperación Técnica en Biotecnología Vegetal (REDBIO), 1993. 58
p.
BRAVO, A.; SARABIA, S.; LOPEZ, L.; ONTIVEROS, H.; ABARCA, C.; ORTIZ, A.;
ORTIZ, M.; LINA, L.; VILLALOBOS, F. J.; PEÑA, G.; NUÑEZ-VALDEZ, M. E.;
SOBERÓN, M.; QUINTERO, R. Characterization of cry genes in a mexican Bacillus
thuringiensis strain collection. Applied and Environmental Microbiology, Washington,
v. 64, n. 12, p. 4965-4972, 1998.
BRICKLE, D. S.; TURNIPSEED, S. G.; SULLIVAN, J. Efficacy of insecticides of different
chemistries against Helicoverpa zea (Lepidoptera: Noctuidae) in transgenic Bacillus
thuringiensis and conventional cotton. Journal of Economic Entomology, Lanham, v.
94, n. 1, p. 86-92, 2001.
62
BRODERICK, A. N.; GOODMAN, K. F.; RAFFA, K. F.; HANDELSMAN, J. Synergy
between Zwittermicin A and Bacillus thuringiensis subsp. kurstaki against gypsy moth
(Lepidoptera: Lymantriidae). Environmental Entomology, Lanham, v. 29, n. 1, p. 101-
107, 2000.
BROWN, K. L.; WHITELEY, H. R. Isolation of the Bacillus thuringiensis RNA polymerase
capable of transcribing crystal protein genes.
Proceedings of the National Academy
of Sciences of the United States of America, Washington, v. 85, n. 12, p. 4166-4170,
1988.
BROWN, K. L.; WHITELEY, H. R. Isolation of the second Bacillus thuringiensis RNA
polymerase that transcribes from a crystal protein gene promoter.
Journal of
Bacteriology, Washington, v. 172, n. 12, p. 6682-6688, 1990.
BROWN, T. A. Clonagem gênica e análise de DNA: uma introdução. Porto Alegre:
Artmed, 2003. 376 p.
BRYANT, J. E. Commercial production and formulation of Bacillus thuringiensis.
Agriculture, Ecosystems & Environment, Amsterdam, v. 49, n. 1, p. 31-35, 1994.
CAROZZI, N. B. ; KRAMER, V. C. ; WARREN, G. W. ; EVOLA, S. ; KOZIEL, M. G.
Prediction of insecticidal activity of Bacillus thuringiensis strains by polymerase chain
reaction product profiles. Applied and Environmental Microbiology, Washington, v.
57, n. 11, p. 3057-3061, 1991.
CAVADOS, C. F. G.; FONSECA, R. N.; CHAVES, J. Q.; RABINOVITCH, L.; ARAÚJO-
COUTINHO, C. J. P. C. Identification of entomopathogenic Bacillus isolated from
Simulium (Diptera: Simuliidae) larvae. Memórias do Instituto Oswaldo Cruz, Rio de
Janeiro, v. 96, n. 7, p. 1017-1021, 2001.
63
CERÓN, J.; ORTÍZ, A.; QUINTERO, R.; GUERECA, L.; BRAVO, A. Specific PCR
primers directed to identify cryI and cryIII genes within a Bacillus thuringiensis strain
collection. Applied and Environmental Microbiology, Washington, v. 61, n. 11, p.
3826-3831, 1995.
CHAK, K. F.; CHAO, D. C.; TSENG, M. Y.; KAO, S. S.; TUAN, S. J.; FENG, T. Y.
Determination and distribution of cry-type genes of Bacillus thuringiensis isolates from
Taiwan. Applied and Environmental Microbiology, Washington, v. 60, n. 7, p. 2415-
2420, 1994.
CHARLES, J. F.; NIELSEN-LEROUX, C. Mosquitocidal bacterial toxins: diversity, mode
of action and resistance phenomena.
Memórias do Instituto Oswaldo Cruz
, Rio de
Janeiro, v. 95, suppl. 1, p. 201-206, 2000.
CHEN, M. L.; TSEN, H. Y. Discrimination of Bacillus cereus and Bacillus thuringiensis
with 16S rRNA and gyrB gene based PCR primers and sequencing of their annealing
sites.
Journal of Applied Microbiology
, Oxford, v. 92, n. 5, p. 912-919, 2002.
CLARO, L. B. L.; TOMASSINI, H. C. B.; ROSA, M. L. G. Prevenção e controle do
dengue: uma revisão de estudos sobre conhecimentos, crenças e práticas da
população. Cadernos de Saúde Pública, Rio de Janeiro, v. 20, n. 6, p. 1447-1457,
2004.
CLEMENTS, N. A. The biology of mosquitoes. Wallinford: CABI Publications, 1999. v.
2, 740 p.
CONSOLI, R. A. G. B.; OLIVEIRA, R. L.
Principais mosquitos de importância
sanitária no Brasil. Rio de Janeiro: FIOCRUZ, 1994. 225 p.
64
COPPING, L. G.; MENN, J. J. Biopesticides: a review of their action, applications and
efficacy.
Pest Management Science
, Sussex, v. 56, n. 8, p. 651-676, 2000.
COSTA, M. A. R. A ocorrência do Aedes aegypti na região noroeste do Paraná: um
estudo sobre a epidemia da dengue em Paranavaí - 1999, na perspectiva da geografia
médica. 2001. 214 f. Dissertação (Mestrado em Geografia) Faculdade de Ciências e
Tecnologia, Universidade Estadual Paulista, Presidente Prudente, 2001.
CRICKMORE, N.; BONE, E. J.; WILLIAMS, J. A.; ELLAR, D. J. Contribution of the
individual components of the -endotoxin crystal to the mosquitocidal activity of Bacillus
thuringiensis var. israelensis. FEMS Microbiology Letters, Amsterdam, v. 131, n. 3, p.
249-254, 1995.
CRICKMORE, N.; ZEIGLER, D. R.; FEITELSON, J.; SCHNEPF, E.; VAN RIE, J.;
LERECLUS, D.; BAUM, J.; DEAN, D. H. Revision of the nomenclature for the Bacillus
thuringiensis pesticidal crystal proteins. Microbiology and Molecular Biology
Reviews
, Washington, v. 62, n. 3, p. 807-813, 1998.
DE BARJAC, H. A new subspecies of Bacillus thuringiensis very toxic for mosquitoes:
Bacillus thuringiensis var. israelensis serotype 14. Comptes Rendus de l'Académie
des Sciences, Paris, v. 286, n. 10, p. 797-800, 1978.
DELÉCLUSE, A.; PÉREZ, V. J.; BERRY, C. Vector-active toxins: structure and diversity.
In: CHARLES, J. F.; DELÉCLUSE A.; NIELSEN-LEROUX, C. (Ed.).
Entomopathogenic bacteria: from laboratory to field application. Dordrecht: Kluwer
Academic Publishers, 2000. p. 101-126.
65
DE MAAGD, R. A.; BRAVO, A.; BERRY, C.; CRICKMORE, V.; SCHNEPF, H. E.
Structure, diversity, and evolution of protein toxins from spore-forming
entomopathogenic bacteria. Annual Review of Genetics, Palo Alto, v. 37, p. 409-433,
2003.
DERVYN, E.; PONCET, S.; KLIER, A.; RAPOPORT, G. Transcriptional regulation of the
cryIVD gene operon from Bacillus thuringiensis subsp. israelensis.
Journal of
Bacteriology, Washington, v. 177, n. 9, p. 2283-2291, 1995.
DIAS, D. G. S.; SILVA, S. F.; MARTINS, E. S.; SOARES, C. M. S; FALCÃO, R.;
GOMES, A. C. M. M.; PRAÇA, L. B.; DIAS, J. M. C. S.; MONNERAT, R. G. Prospecção
de estirpes de
Bacillus thuringiensis
efetivas contra mosquitos
. Brasília: Embrapa
Recursos Genéticos e Biotecnologia, 2002. 26 p. (Boletim de Pesquisa e
Desenvolvimento, 30).
DIEFFENBACH, C. W.; DVEKSLER, G. S. PCR Primer: a laboratory manual. 2. ed.
New York: Cold Spring Harbor Laboratory Press, 2003, 520 p.
DONALÍSIO, M. R.; GLASSER, C. M. Vigilância entomológica e controle de vetores do
dengue. Revista Brasileira de Epidemiologia, São Paulo, v. 5, n. 3, p. 259-272, 2002.
DUCASSE, D. A. La reacción en cadena de la polimerasa (PCR). In: DOCAMPO, D. M.;
LENARDÓN, S. L. (Ed.). Métodos para detectar patógenos sistémicos. Córdoba:
Instituto de Fitopatologia y Fisiologia Vegetal (IFFIVE) – INTA-JICA, 1999. p. 57.
FARAH, S. B. DNA: segredos & mistérios. 2. ed. São Paulo: Sarvier, 2007, p. 111.
FEITELSON, J. S.; PAYNE, J.; KIM, L. Bacillus thuringiensis: insects and beyond.
Bio/Technology, New York, v. 10, n. 3, p. 271-275, 1992.
66
FERNANDEZ, L. E.; PÉREZ, C.; SEGOVIA, L.; RODRÝGUEZ, M. H.; GILL, S. S.;
BRAVO, A.; SOBERÓN, M. Cry11Aa toxin from Bacillus thuringiensis binds its receptor
in Aedes aegypti mosquito larvae through loop a-8 of domain II. FEBS Letters,
Amsterdam, v. 579, n. 17, p. 3508-3514, 2005.
FERNANDEZ, L. E.; AIMANOVA, K. G.; GILL, S. S.; BRAVO, A.; SOBERÓN, M. A GPI-
anchored alkaline phosphatase is a functional midgut receptor of Cry11Aa toxin in
Aedes aegypti larvae. The Biochemical Journal, London, v. 394, n. 1, p. 77-84, 2006.
FORATTINI, O. P. Culicidologia médica: identificação, biologia e epidemiologia. São
Paulo: Edusp, 2002. v. 2, 860 p.
FORATTINI, O. P.; BRITO, M. Reservatórios domiciliares de água e controle do Aedes
aegypti. Revista de Saúde Pública, São Paulo, v. 37, n. 5, p. 676-677, 2003.
FRUTOS, R.; FEDERICI, B. A.; REVET, B.; BERGOIN, M. Taxonomic studies of
Rickettsiella, Rickettsia, and Chlamydia using genomic DNA.
Journal of Invertebrate
Pathology, San Diego, v. 63, n. 3, p. 294-300, 1994.
GARCIA, R.; DES ROCHERS, B.; TOZER, W. Studies on the toxicity of Bacillus
thuringiensis var. israelensis against organisms found in association with mosquito
larvae.
Proceedings of the Annual Conference of the California
Mosquito and
Vector Control Association, Sacramento, v. 48, p. 33-36, 1980.
GILL, S. S.; COWLES, E.; PIETRANTONIO, P. The mode of action do Bacillus
thuringiensis endotoxins. Annual Review of Entomology, Palo Alto, v. 37, p. 615-634,
1992.
67
GITAHY, P. M.; LIMA, G. M. S.; ARAÚJO, J. L. S.; DE-SOUZA, M. T.; BALDANI, J. I.
Purificação de DNA plasmidial de
Bacillus thuringiensis
por ultracentrifugação em
gradiente de cloreto de césio. Seropédica: Embrapa Agrobiologia, 2005. 20 p.
(Boletim de Pesquisa e Desenvolvimento, 8).
GLARE, T. R.; O’CALLAGHAN, M. Bacillus thuringiensis: biology, ecology and safety.
Chichester: John Wiley & Sons, 2000. 350 p.
GOLDBERG, L. J.; MARGALIT, J. A bacterial spore demonstrating rapid larvicidal
activity against Anopheles sergentii, Uranotaeia unguiculata, Culex univatattus, Aedes
aegypti and Culex pipens. Mosquito News, Aliso Viejo, v. 37, n. 3, p. 355-358, 1977.
GONZALEZ, J. M. J.; BROWN, B. S.; CARLTON, B. C. Transfer of Bacillus thuringiensis
plasmids coding for -endotoxin among strains of Bacillus thuringiensis and Bacillus
cereus. Proceedings of the National Academy of Sciences of the United States
American, Washington, v. 79, n. 22, p. 6951-6955, 1982.
GONZALEZ, J. M.; CARLTON, B. C. A large transmissible plasmid is required for crystal
toxin production in Bacillus thuringiensis variety israelensis. Plasmid, New York, v. 11,
n. 1, p. 28-38, 1984.
GORDON, R. E.; HAYVES, W. C.; PANG, C. H. N.
The Genus
Bacillus. Washington
DC: Agriculture Research Service, US Departament of Agriculture, 1973. 283 p.
(Agriculture Handbook, n. 427).
GOVINDARAJAN, R.; JAYARAJ, S.; NARAYANAN, K. Mortality of the tobacco
caterpillar, Spodoptera litura (F.) when treated with Bacillus thuringiensis combinations
with boric acid and insecticides. Phytoparasitica, Rehovot, v. 4, n. 3, p. 193-196, 1976.
68
GUBLER, D. J. Dengue and dengue hemorrhagic fever: Its history and resurgence as a
global health problem. In: GUBLER, D. J.; KUNO, G. (Ed.).
Dengue and dengue and
hemorragic fever. London: CAB International, 1997. p. 1-22.
GUBLER, D. J. Epidemic dengue/denguehemorrhagic fever as a public health, social,
and economic problem in the 21
st
century. Trends in Microbiology, London, v. 10, n. 2,
p. 100-103, 2002.
GUBLER, D. J.; CLARK, G. G. Community-based integrated control of Aedes aegypti: a
brief overview of current programs. American Journal of Tropical Medicine and
Hygiene, Mclean, v. 50, supl. 6, p. 50-60, 1994.
GUBLER, D. J.; CLARK, G. G. Community involvement in the control of Aedes aegypti.
Acta Tropica, Amsterdam, v. 61, n. 2, p. 169-179, 1996.
HABIB, M. E. M. Patogenicidade de duas variedades de Bacillus thuringiensis
Berliner para larva de Lepidoptera e Diptera
. 1982. 163 f. Tese (Livre-Docência) -
Instituto de Biologia, Universidade Estadual de Campinas, Campinas, 1982.
HABIB, M. E. M. Potency of Bacillus thuringiensis var. israelensis (H-14) against some
aquatic dipterous insects. Zeitschrift fur Angewandte Entomologie, Berlin, v. 95, n. 4,
p. 368-376, 1983.
HABIB, M. E. M.; ANDRADE, C. F. S. Bactérias entomapatogênicas. In: ALVES, S. B.
(Ed.). Controle microbiano de insetos. Piracicaba: FEALQ, 1998. p. 383-446.
HOFTE, H.; WHITELEY, H. R. Insecticidal crystal proteins of Bacillus thuringiensis.
Microbiological Reviews, Washington, v. 53, n. 2, p. 242-255, 1989.
69
HUGHES, P. A.; STEVENS, M. M.; PARK, H. W.; FEDERICI, B. A.; DENNIS, E. S.;
AKHURST, R. Response of larval Chironomus tepperi (Diptera: Chironomidae) to
individual Bacillus thuringiensis var. israelensis toxins and toxin mixtures. Journal of
Invertebrate Pathology, San Diego, v. 88, n. 1, p. 34-39, 2005.
JOSHI, V.; SINGHI, M.; CHAUDHARY, R. C. Transovarial transmission of dengue 3
virus by Aedes aegypti.
Transactions of the Royal Society of Tropical Medicine and
Hygiene, London, v. 90, n. 6, p. 643-644, 1996.
KALMAN, S.; KIEHNE, K. L.; LIBS, J. L.; YAMAMOTO, T. Cloning of a novel cryIC-type
gene from a strain of Bacillus thuringiensis subsp. galleriae. Applied and
Environmental Microbiology
, Washington, v. 59, n. 4, p. 1131-1137, 1993.
KNOWLES, B. H. Mechanism of action of Bacillus thuringiensis insecticidal
δ
-
endotoxins. Advances in Insect Physiology, New York, v. 24, n. 2, p. 275-308, 1994.
LECADET, M. M.; MARTOURET, D. Enzymatic hidrolysis of the crystal of B.
thuringiensis by the proteases of Pieris brassicae. II. Toxicity of the different fractions of
the hydrolysate for larvae of Pieris brassicae. Journal of Invertebrate Pathology, San
Diego, v. 9, n. 3, p. 322-330, 1967.
LEMOS, M. V. F.; SENA, J. A. D. Bioinseticida baseado no emprego de inclusões
cristalinas de proteínas bioinseticidas, Patente n
O
PI0200228-0, 28 janeiro 2002.
Disponível em: <http://www.inpi.gov.br/>. Acesso em: 02 agosto 2007.
LERECLUS, D.; DELECLUSE, A.; LECADET, M. M. Diversity of Bacillus thuringiensis
toxins and genes. In: ENTWISTLE, P. F.; CORY, J. S.; BAILEY, M. J.; HIGGS, S. (Ed.).
Bacillus thuringiensis an environmental biopesticide: theory and practice.
Chichester: John Wiley & Sons, 1993. p. 37-70.
70
LERECLUS, D.; BOURGOIN, C. LECADET, M. M.; KLIER, A.; RAPOPORT, G. Role,
structure and molecular organization of the genes coding for the parasporal delta-toxins
of Bacillus thuringiensis. In: SMITH, I.; SLEPECKY, R. A., SETLOW, P. (Ed.).
Regulation of prokaryotic development. Washington: American Society for
Microbiology, 1989. p. 255-276.
LI, J.; CARROLL, J.; ELLAR, D. J. Crystal structure of insecticidal -endotoxin from
Bacillus thuringiensis at 2.5 resolution. Nature, London, v. 353, n. 6347, p. 815-821,
1991.
LIMA, A. S. G.; GUIDELLI, A. M.; ABREU, I. L.; LEMOS, M. V. F. Identification of new
isolates of Bacillus thuringiensis using rep-PCR products and -endotoxin electron
microscopy. Genetics and Molecular Biology, Ribeirão Preto, v. 25, n. 2, p. 225-229,
2002.
LIMA, E. P.; OLIVEIRA FILHO, A. M.; LIMA, J. W. O.; JÚNIOR, A. N. R.; CAVALCANTI,
L. P. G.; PONTES, R. J. S. Resistência do Aedes aegypti ao Temefós em Municípios do
Estado do Ceará. Revista da Sociedade Brasileira de Medicina Tropical, Rio de
Janeiro, v. 39, n. 3, p. 259-263, 2006.
LIMA, J. B. P.; PEREIRA-DA-CUNHA, M.; CARNEIRO-DA-SILVA JR., R.; GALARDO,
A. K. R.; SOARES, S. S.; BRAGA, I. A.; RAMOS, R. P.; VALLE, D. Resistance of
Aedes aegypti to organophosphates in several municipalities in the state of Rio de
Janeiro and Espírito Santo, Brazil. American Journal of Tropical Medicine and
Hygiene, Mclean, v. 68, n. 3, p. 329-333, 2003.
LIU, Y. B.; TABASHNIK, B. E. Synergism of Bacillus thuringiensis by ethylenediamine
tetraacetate in susceptible and resistant larvae of diamondback moth (Lepidoptera,
Plutellidae). Journal of Economic Entomology, Lanham, v. 90, n. 2, p. 287-292, 1997.
71
LUNA, C. L.; LOPES, C. E.; MASSARANI, G. Recovery of Bacillus sphaericus 2362
spores from growth medium by flocculatiuon/sedimentation.
Bioprocess and
Biosystems Engineering, Berlin, v. 25, n. 4, p. 213-216, 2003.
LUNA, C. L.; SILVA, G. R.; RIOS, E. M. M. M. Bacillus thuringiensis var. israelensis
production involving re-use of the supernatant. Biotechnology Letters, Dordrecht, v.
26, n. 2, p. 143-145, 2004.
MARCONDES, C. B. Entomologia médica e veterinária. São Paulo: Atheneu, 2001. p.
59-103.
MARMUR, J. A. Procedure for the isolation of deoxyribonucleic acid from
microorganisms. Journal of Molecular Biology, London, v. 3, p. 208-218, 1961.
MARQUES, E. Q.; IKUTA, N.; LUNGE, V. R.; FONSECA, A. S. K. Diagnóstico molecular
e biotecnologia. In: SERAFINI, L. A.; BARROS, N. M.; AZEVEDO, J. L. (Org.).
Biotecnologia:
avanços na agricultura e agroindústria. Caxias do Sul: EDUSC, 2002. p.
110-130.
MICKLOS, D. A.; FREYER, G. A.; CROTTY, D. A. A Ciência do DNA. Porto Alegre:
Artmed, 2005. 576 p.
MITSUHASHI, M. Technical report: Part 2. Basic requirements for designing optimal
PCR primers. Journal of Clinical Laboratory Analysis, New York, v. 10, n. 5, p. 285-
293, 1996.
MONATH, T. P. Dengue: the risk to developed and developing countries.
Proceedings
of the National Academy of Sciences of the United States of America, Washington,
v. 91, n. 7, p. 2395-2400, 1994.
72
MORAES, I. O.; CAPALBO, D. M. F. Produção de bactérias entomopatogênicas. In:
ALVES, S. B. (Ed.).
Controle microbiano de insetos
. Piracicaba: Manole, 1986. p. 127-
170.
MORAES, I. O.; CAPALBO, D. M. F.; ARRUDA, R. O. M. Produção de bactérias
entomopatogênicas. In: ALVES, S. B. (Ed.). Controle microbiano de insetos.
Piracicaba: FEALQ, 1998. p. 815-843.
MORAIS, J. G. M. Considerações críticas sobre os modelos de intervenção sobre
o Aedes aegypti: perspectivas do plano de erradicação em PE. 1998. 42 f. Monografia
(Programa de Residência em Medicina Preventiva e Social) - Universidade de
Pernambuco, Recife, 1998.
MULLIS, K. B. The unusual origin of the polymerase chain reaction. Scientific
American, New York, v. 262, n. 4, p. 56-65, 1990.
MULLIS, K. B.; FALLONA, F. A. Specific synthesis of DNA in vitro via a polymerase
catalyzed chain reaction. Methods in Enzymology, San Diego, v. 155, p. 335-350,
1987.
NATAL, D. Bioecologia do Aedes aegypti. O Biológico, São Paulo, v. 64, n. 2, p. 205-
207, 2002.
NAYAR, J. K.; KNIGHT, J. W.; ALI, A.; CARLSON, D. B.; O’BRYAN, P. D. Laboratory
evaluation of biotic and abiotic factors that may influence larvicidal activity of Bacillus
thuringiensis serovar israelensis against two Florida mosquito species. Journal of the
American Mosquito Control Association
, Fresno, v. 15, n. 1, p. 32-42, 1999.
73
OLIVEIRA, M. M. F. Condicionantes sócio-ambientais urbanos da incidência da
dengue na cidade de Londrina/PR
. 2006. 169 f. Dissertação (Mestrado em Geografia)
– Setor de Ciências da Terra, Universidade Federal do Paraná, Curitiba, 2006.
OUELLET, T.; SEIFERT, K. A. Genetic characterization of Fusarium graminearum
strains using RAPD and PCR amplification. Phytopathology, Saint Paul, v. 83, n. 9, p.
1003-1007, 1993.
PFANNENSTIEL, M. A.; COUCHE, G. A.; ROSS, E. J.; NICKERSON, K. W.
Immunological relationships among proteins making up the Bacillus thuringiensis subsp.
israrelensis crystalline toxin. Applied and Environmental Microbiology, Washington,
v. 52, n. 4, p. 644-649, 1986.
POLANCZYK, R. A.; ALVES, S. Bacillus thuringiensis: uma breve revisão. Agrociência,
Montevidéu, v. 7, n. 2, p. 1-10, 2003.
POLANCZYK, R. A.; GARCIA, M. O.; ALVES, S. B. Potencial de Bacillus thuringiensis
israelensis Berliner no controle de Aedes aegypti. Revista de Saúde Pública, São
Paulo, v. 37, n. 6, p. 813-816, 2003.
PORCAR, M.; JUÁREZ-PÉREZ, V. PCR-based identification de Bacillus thuringiensis
pesticidal crystal genes.
FEMS Microbiology Reviews
, Amsterdam, v. 26, n. 5, p. 419-
432, 2003.
PRIMROSE, S. B.; TWYMAN, R. M. Principles of gene manipulation and genomics.
Victoria: Blackwell publishing, 2006. p. 59-61.
REGIS, L.; SILVA-FILHA, M. H; NIELSEN-LEROUX, C.; CHARLES, J. F. Bacteriological
larvicides of dipteran disease vectors. Trends in Parasitology, Oxford, v. 17, n. 8, p.
377-380, 2001.
74
REVINA, L. P.; KOSTINA, L. I.; GANUSHKINA, L. A.; MILKHAILOVA, A. L.; ZALUIN, I.
A.; CHESTUKHINA, G. G. Reconstruction of Bacillus thuringiensis ssp. israelensis
Cry11A endotoxin from fragments corresponding to N- and C- moieties restores its
original biological activity. Biochemistry, Washington, v. 69, n. 2, p. 181-187, 2004.
RIBEIRO, A. F.; MARQUES, G. R. A. M.; VOLTOLINI, J. C.; CONDINO, M. L. F.
Associação entre incidência de dengue e variáveis climáticas.
Revista de Saúde
Pública, São Paulo, v. 40, n. 4, p. 671-676, 2006.
RICHTER, A. R.; FUXA, J. R. Pathogen-pathogen and phatogen-insecticide interactions
in velvetbean caterpillar (Lepidoptera: Noctuidae). Journal of Economic Entomology,
Lanham, v. 77, n. 6, p. 1559-1564, 1984.
RUAS-NETO, A. L. Bacillus thuringiensis var. israelensis como alternativa no controle
de simulídeos no Rio Grande do Sul: susceptibilidade a campo. Boletim da Saúde,
Porto Alegre, v. 11, n. 2, p. 21-26, 1984.
RUIZ, M. L.; SEGURA, C.; TRUJILLO, J.; ORDUZ, S. In vivo binding of the Cry11bB
toxin of Bacillus thuringiensis subsp. medellin to the midgut of mosquito larvae (Diptera:
Culicidae). Memórias do Instituto Oswaldo Cruz, Rio de Janeiro, v. 99, n. 1, p. 73-79,
2004.
SALLES, J. F.; BALDANI, J. I. Bacillus thuringiensis como agente de controle
biológico. Seropédica: Embrapa Agrobiologia, 1998. 31 p. (Documentos, 54)
SAMBROOK, J.; RUSSEL, D. W. Molecular cloning: a laboratory manual. 3. ed. New
York: Cold Spring Harbor Laboratory Press, 2001, 999 p.
75
SANCHIS, V.; LERECLUS, D.; MENOU, G.; CHAUFAUX, J.; LECADET, M. M.
Multiplicity of delta-endotoxin genes with different specificities in Bacillus thuringiensis
aizawai 7.29. Molecular Microbiology, Oxford, v. 2, n. 3, p. 393-404, 1988.
SCHEINERT, P.; KRAUSSE, R.; ULLMANN, U.; RAINER, S.; KRUPP, G. Molecular
differentiation of bacteria by PCR amplification of the 16S-23S rRNA spacer. Journal of
Microbiological Methods
, Amsterdam, v. 26, n. 1, p. 103-117, 1996.
SEBESTA, K.; HORSKA, K. Mechanims of inhibiton of DNA dependent RNA
polymerase by exotoxin of Bacillus thuringiensis. Biochimica et Biophysica Acta,
Amsterdam, v. 209, n. 2, p. 357-376, 1970.
SILVA, I. G.; SILVA, H. H. G.; GUIMARÃES, V. P.; ELIAS, C. N.; LIMA, C. G. Atividade
de espécies de culicíneos sinantrópicos em uma cidade brasileira com transmissão de
dengue. Entomologia y Vectores, Salta, v. 9, n. 1, p. 15-24, 2002.
SINA, B. J.; AULTMAN, K. Resisting resistance.
Trends in Parasitology
, Oxford, v. 17,
n. 7, p. 305-306, 2001.
SMITS, P.H. Insect pathogens: their suitability as biopesticides. In: EVANS, H. F. (Ed.).
Microbial insecticides: novelty or necessity? Nottingham: Major Design & Production,
1997, p.21-28.
SOSA-GÓMEZ, D. R.; TIGANO, M. S.; ARANTES, O. M. N. Caracterização de
entomopatógenos. In: ALVES, S. B. (Ed.). Controle microbiano de insetos.
Piracicaba: FEALQ, 1998. p. 731-763.
SOUTHERN, E. M. Detection of specific sequences among DNA fragments separated
by gel electrophoresis. Journal of Molecular Biology, London, v. 98, n. 3, p. 503-517,
1975.
76
STEVENS, M. M.; AKHURST, R. J.; CLIFTON, M. A.; HUGHES, P. A. Factors affecting
the toxicity of Bacillus thuringiensis var. israelensis and Bacillus sphaericus to fourth
instar larvae of Chironomus tepperi (Diptera: Chironomidae). Journal of Invertebrate
Pathology, San Diego, v. 86, n. 3, p. 104-110, 2004.
TAUIL, P. L. Urbanization and dengue ecology. Cadernos de Saúde Pública, Rio de
Janeiro, suppl. 17, p. 99-102, 2001.
TAUIL, P. L. Aspectos críticos do controle do dengue no Brasil. Cadernos de Saúde
Pública, Rio de Janeiro, v. 18, n. 3, p. 867-871, 2002.
TEIXEIRA, M. G.; COSTA, M. C. N.; GUERRA, Z.; BARRETO, M. L. Dengue in Brazil:
situation-2001 and trends. Bulletin of the World Health Organization, Geneva, v. 26,
p. 70-76, 2002.
TUN-LIN, W.; KAY, B. H.; BARNES, A. Understanding productivity, a key to Aedes
aegypti surveillance.
American Journal of Tropical Medicine and Hygiene
, Mclean,
v.
53, n. 6, p. 595-601, 1995.
VALADARES-INGLIS, M. C. C.; SOUZA, M. T.; SHILER, W. Engenharia genética de
microorganismos agentes de controle biológico. In: MELLO, I. S.; AZEVEDO, J. L. (Ed.).
Controle biológico
. Jaguariúna: EMBRAPA, 1998. p. 102-225.
VILARINHOS, P. T. R.; DIAS, J. M. C. S.; ANDRADE, C. F. S.; ARAÚJO-COUTINHO,
C. J. P. C. Uso de bactérias para o controle de culicídeos e simulídeos. In: ALVES, S. B.
(Ed.). Controle microbiano de insetos. Piracicaba: FEALQ, 1998. p. 447-480.
77
VILAS-BÔAS, G. F. L. T. Diversidade e estrutura genética de populações de
Bacillus thuringiensis
e
Bacillus cereus. 2002. 102 f. Tese (Doutorado em
Microbiologia) - Faculdade de Ciências Agrárias e Veterinárias, Universidade Estadual
Paulista, Jaboticabal, 2002.
VILAS-BÔAS, L. A.; VILAS-BÔAS, G. F.; SARIDAKIS, H. O.; LEMOS, M. V.;
LERECLUS, D.; ARANTES, O. M. Survival and conjugation of Bacillus thuringiensis in a
soil microcosm. FEMS Microbiology Ecology, Amsterdam, v. 31, n. 3, p. 255-259,
2000.
VISSER, B. A screening for the presence of four different crystal protein gene types in
25 Bacillus thuringiensis strain.
FEMS Microbiology Letters
, Amsterdam, v. 58, n. 2-3,
p. 121-124, 1989.
ZINIU, Y.; LONGSHENG, Y. Large-scale field evaluation of larvicidal preparation of
Bacillus thuringiensis H-14 for mosquito control in town and rural environment in China.
Bulletin of the Society of Vector Ecologists
, Santa Ana, v. 15, n. 2, p. 189-195, 1990.
WIRTH, M. C.; FEDERICI, B. A.; WALTON, W. E. Cyt1A from Bacillus thuringiensis
synergizes activity of Bacillus sphaericus against Aedes aegypti (Diptera: Culicidae).
Applied and Environmental Microbiology, Washington, v. 66, n. 3, p. 1093-1097,
2000.
WONG, H. C.; SCHNEPF, H. E.; WHITELEY, H. R. Transcriptional and translational
start sites for the Bacillus thuringiensis crystal protein gene. The Journal of Biological
Chemistry, Bethesda, v. 258, n. 3, p. 1960-1967, 1983.
78
WORLD HEALTH ORGANIZATION, WHO. Dengue haemorrhagic fever: diagnosis,
treatment, prevention and control. 2. ed. Geneva, 1997. 84 p. Disponível em:
<http://www.who.int/csr/resources/publications/dengue/Denguepublication/en/>. Acesso
em: 02 agosto 2007.
WORLD HEALTH ORGANIZATION, WHO. Dengue prevention and control. In: World
Health Assembly 55., 2002, Geneva.
Report by the Secretariat
. p. 1-3. Disponível em:
<http://www.who.int/gb/ebwha/pdf_files/WHA55/ea5519.pdf>. Acesso em: 02 agosto
2007.
YAMAMOTO, T.; DEAN, D. H. Insecticidal proteins produced by bacteria pathogenic to
agriculturas pests. In: CHARLES, J. F.; DELÉCLUSE, A.; NIELSEN-LEROUX, C. (Ed.).
Entomopathogenic bacteria : from laboratory to field application. Dordrecht: Kluwer
Academic Publishers, 2000. p. 81-100.
YOSHISUE, H.; FUKADA, T.; YOSHIDA, K. I.; SEN, K.; KUROSANA, S. I.; SAKAI, H.;
KOMANO, T. Transcriptional regulation of Bacillus thuringiensis subsp. israelensis
mosquito larvicidal crystal protein gene cryIVA. Journal of Bacteriology, Washington,
v. 175, n. 9, p. 2750-2753, 1993a.
YOSHISUE, H.; NISHIMOTO, T.; SAKAI, H.; KOMANO, T. Identification of a promoter
for the crystal protein-encoding gene cryIVB from Bacillus thuringiensis subsp.
israelensis. Gene, Amsterdam, v. 137, n. 2, p. 247-251, 1993b.
YOSHISUE, H.; SAKAI, H.; SEN, K.; YAMAGIWA, M.; KOMANO, T. Identification of a
second transcriptional start site for the insecticidal protein gene cryIVA of Bacillus
thuringiensis subsp. israelensis. Gene, Amsterdam, v. 185, n. 2, p. 251-255, 1997.
Livros Grátis
( http://www.livrosgratis.com.br )
Milhares de Livros para Download:
Baixar livros de Administração
Baixar livros de Agronomia
Baixar livros de Arquitetura
Baixar livros de Artes
Baixar livros de Astronomia
Baixar livros de Biologia Geral
Baixar livros de Ciência da Computação
Baixar livros de Ciência da Informação
Baixar livros de Ciência Política
Baixar livros de Ciências da Saúde
Baixar livros de Comunicação
Baixar livros do Conselho Nacional de Educação - CNE
Baixar livros de Defesa civil
Baixar livros de Direito
Baixar livros de Direitos humanos
Baixar livros de Economia
Baixar livros de Economia Doméstica
Baixar livros de Educação
Baixar livros de Educação - Trânsito
Baixar livros de Educação Física
Baixar livros de Engenharia Aeroespacial
Baixar livros de Farmácia
Baixar livros de Filosofia
Baixar livros de Física
Baixar livros de Geociências
Baixar livros de Geografia
Baixar livros de História
Baixar livros de Línguas
Baixar livros de Literatura
Baixar livros de Literatura de Cordel
Baixar livros de Literatura Infantil
Baixar livros de Matemática
Baixar livros de Medicina
Baixar livros de Medicina Veterinária
Baixar livros de Meio Ambiente
Baixar livros de Meteorologia
Baixar Monografias e TCC
Baixar livros Multidisciplinar
Baixar livros de Música
Baixar livros de Psicologia
Baixar livros de Química
Baixar livros de Saúde Coletiva
Baixar livros de Serviço Social
Baixar livros de Sociologia
Baixar livros de Teologia
Baixar livros de Trabalho
Baixar livros de Turismo