Download PDF
ads:
Elenice Mantovani
Identificação do agente etiológico da Doença de
Lyme-símile brasileira (Síndrome Baggio-Yoshinari)
Tese apresentada à Faculdade de Medicina da
Universidade de São Paulo para obtenção do título de
Doutor em Ciências
Programa de Ciências Médicas
Área de concentração: Processos Imunes e Infecciosos
Orientador: Prof. Dr. Natalino Hajime Yoshinari
São Paulo
2010
ads:
Livros Grátis
http://www.livrosgratis.com.br
Milhares de livros grátis para download.
ads:
Dedico este trabalho ao meu pai, que apesar de não estar mais presente
entre nós, será sempre o meu alicerce, meu motivo de orgulho e exemplo de
vida a seguir. Tenho certeza de que de onde ele estiver, estará aplaudindo
minha conquista, com o maior orgulho do mundo, como sempre fez.
À minha mãe e à minha avó por todo o amor, pela paciência e por estarem
ao meu lado em todos os momentos da minha vida.
Ao meu grande amor, Glauber, pela dedicação, paciência e carinho
prestados em período integral neste trabalho e principalmente na minha
vida, acreditando e incentivando sempre cada passo dado.
Agradecimentos
Ao meu orientador Prof. Dr. Natalino Hajime Yoshinari pela confiança,
paciência e dedicação prestadas durante todos esses anos, sendo essencial
para minha formação profissional e concretização deste trabalho.
À Profa. Dra. Eloísa Dutra de Oliveira Bonfá, Titular da Disciplina de
Reumatologia da Faculdade de Medicina da Universidade de São Paulo por
ter autorizado o meu ingresso na pós-graduação.
Ao Laboratório de Imunologia Celular, por ter cedido a cultura de células
HUVEC, em especial à Solange Carrasco pelos ensinamentos e amizade.
À Prof. Dra. Elvira Mª Mendes do Nascimento (Setor de Riquétsias do
Instituto Adolfo Lutz), por ter cedido a alíquota da cultura de Chlamydia
pneumoniae, a qual foi usada como controle positivo nos ensaios.
Ao Prof. Dr. Jorge Timenetsky do ICB-USP, por ter cedido a cultura de
Mycoplasma fermentans, a qual foi usada como controle positivo nos
ensaios.
Ao Laboratório de Oncologia Experimental (LIM-24) pelo sistema de
fotodocumentação utilizado durante este trabalho, e em especial às
funcionárias Fátima Solange Pasini e Flavia Regina Rotea Mangone, por
toda a paciência e ensinamentos que possibilitaram o aperfeiçoamento das
técnicas de biologia molecular.
À Embrapa Gado de Corte (MS), em especial à Dra. Grácia Maria Soares
Rosinha por ter proporcionado o estágio em biologia molecular, o qual foi de
extrema importância no desenvolvimento desta tese, não esquecendo de
agradecer a todos de sua equipe, principalmente à Dra. Renata Madureira
pelos ensinamentos e companheirismo prestados.
Ao Prof. Dr. Marcelo Bahia Labruna do Departamento de Medicina
Veterinária Preventiva e Saúde Animal (VPS) da Faculdade de Medicina
Veterinária e Zootecnia da USP (FMVZ-USP) por ter cedido a alíquota da
cultura de Borrelia anserina, a qual foi usada como controle positivo nos
ensaios e também pela colaboração na interpretação dos sequenciamentos.
À todas da equipe do Laboratório de Síndrome Baggio-Yoshinari, Dra.
Giancarla Gauditano pelo envio dos pacientes com suspeita de SBY para
realização da pesquisa; à Virgínia Lucia N. Bonoldi pela paciência e por
todos os ensinamentos prestados no laboratório durante todos esses anos; a
Dra. Roberta Gonçalves Marangoni pela amizade e acima de tudo pela
colaboração na fase final do projeto; à Marcela Helena Gambim pela
amizade e pela ajuda nos momentos que precisei.
À amiga Mariana Granziera Spolidorio pelos bons momentos de amizade
compartilhados ao longo destes anos e pelo apoio no decorrer deste
trabalho.
Aos amigos Mayra Fernanda Alves e Guilherme Anselmo, pela amizade e
por toda a colaboração técnica durante o período em que estiveram
presentes no laboratório.
À equipe do Laboratório de Matriz Extracelular, em especial a Dra. Walcy P.
Rosolia Teodoro por ter me incentivado nos momentos mais difíceis,
colaborando sempre que possível. A aprimoranda Natalia Cristina Borsonello
pela amizade e, principalmente por toda a ajuda prestada no período em que
esteve no laboratório.
À todas as pessoas que trabalham na Disciplina de Reumatologia da
FMUSP e que de alguma forma colaboraram para a realização deste
trabalho.
A todos os pacientes e controles que participaram deste protocolo, pois sem
eles não seria possível a realização desta pesquisa.
À Fundação de Apoio à Pesquisa do Estado de o Paulo (FAPESP), pelo
auxílio financeiro, concedendo-me a bolsa de doutorado direto.
Normatização adotada
Esta tese está de acordo com as seguintes normas, em vigor no momento
desta publicação:
Referências: adaptado de International Committee of Medical Journals
Editors (Vancouver)
Universidade de o Paulo. Faculdade de Medicina. Serviço de Biblioteca e
Documentação. Guia de apresentação de dissertações, teses e monografias.
Elaborado por Anneliese Carneiro da Cunha, Maria Julia de A. L. Freddi,
Maria F. Crestana, Marinalva de Souza Aragão, Suely Campos Cardoso,
Valéria Vilhena. ed. São Paulo: Serviço de Biblioteca e Documentação;
2005.
Abreviaturas dos títulos dos periódicos de acordo com List of Journals
Indexed in Index Medicus.
Sumário
Lista de Figuras
Lista de Tabelas
Lista de abreviaturas
Resumo
Summary
1. INTRODUÇÃO .......................................................................................... 1
1.1. Doença de Lyme ............................................................................... 2
1.2. Histórico da pesquisa da DL no Brasil .............................................. 3
1.3. Síndrome Baggio-Yoshinari .............................................................. 4
1.3.1. Etiologia ..................................................................................10
1.3.2. Vetores ...................................................................................10
1.3.3. Reservatórios e hospedeiros .................................................12
1.3.4. Quadro clínico ........................................................................13
1.3.5. Diagnóstico ............................................................................17
1.3.6. Tratamento .............................................................................20
2. JUSTIFICATIVA DO ESTUDO..................................................................23
3. OBJETIVOS ..............................................................................................27
4. MATERIAIS E MÉTODOS.........................................................................30
4.1. Casuística.................................................................................31
4.2. Coleta e armazenamento dos materiais...................................40
4.3. Microscopia de campo escuro .................................................41
4.4. Meio de cultura SP-4 ...............................................................41
4.5. Detecção de anticorpos anti Borrelia burgdorferi (WB)............43
4.6. Detecção de anticorpos anti Borrelia burgdorferi (ELISA)........43
4.7. Detecção de anticorpos anti Mycoplasma pneumoniae pelo
método de ELISA............................................................................ 44
4.8. Detecção de anticorpos anti Chlamydia spp (IFI).....................45
4.9. Cultura de células endoteliais ..................................................45
4.10. Coloração de Borrelia burgdorferi cultivadas em meios BSK e
SP-4 modificado...............................................................................46
4.11. Extração de DNA....................................................................48
4.12. PCR.........................................................................................48
4.13. Sequenciamento ....................................................................55
5. RESULTADOS..........................................................................................56
5.1. Sorologia para B. burgdorferi ...................................................57
5.2. Sorologia para Mycoplasma pneumoniae.................................58
5.3. Imunofluorescência para Chlamydia spp..................................58
5.4. Microscopia de campo escuro .................................................59
5.5. Cultura de espiroquetídeos em meio SP-4...............................60
5.6. Microscopia eletrônica .............................................................61
5.7. Coloração .................................................................................68
5.8. Biologia molecular ....................................................................71
6. DISCUSSÃO .............................................................................................77
7. CONCLUSÃO............................................................................................95
8. ANEXOS....................................................................................................97
8.1. Aprovação da CAPPesq.............................................................98
9. REFERÊNCIAS BIBLIOGRÁFICAS..........................................................99
10. APÊNDICES
10.1. Comprovante de submissão do artigo para publicação
10.2. Artigo para publicação
Listas de figuras
Figura 1 -
Paciente com sorologia positiva (IgG) para Chlamydia spp.......
59
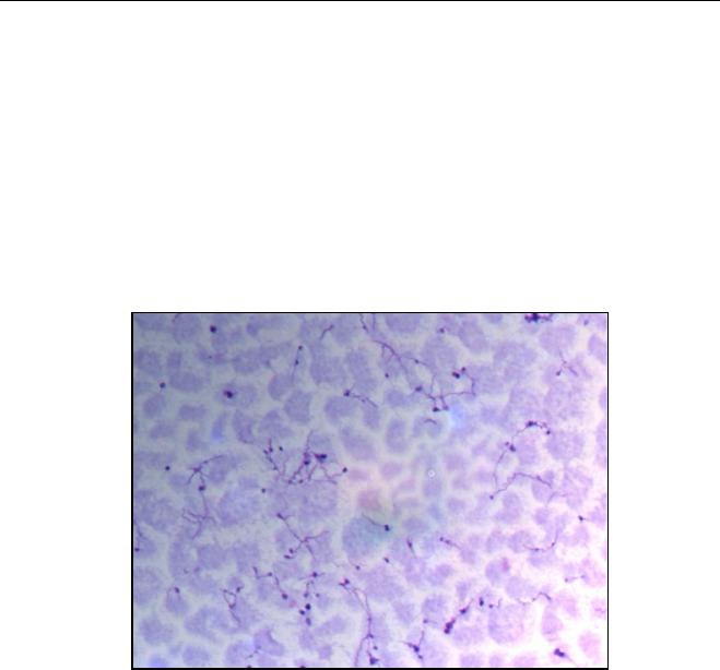
Figura 2 - Crescimento de estruturas sugestivas de espiroquetídeos
após inoculação de sangue de paciente com SBY em meio
SP-4............................................................................................
61
Figura 3 -
Estruturas que lembram Chlamydia spp, espiroquetas,
Mycoplasma spp e Archaebacteria spp, em sangue periférico
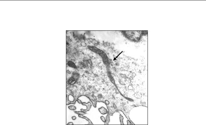
de paciente com SBY, analisado à ME......................................
62
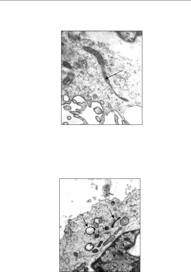
Figura 4 -
Estruturas que sugerem espiroquetas e Mycoplasma spp à
ME, em sangue de paciente com SBY semeado em SP-4........
63
Figura 5 - Estruturas que lembram espiroquetas à ME, no sangue
periférico de paciente com SBY semeado em meio SP-4..........
63
Figura 6 -
Estruturas que sugerem espiroquetas e Mycoplasma spp à
ME, em sangue de paciente com SBY semeado em SP-4........
64
Figura 7 - Estrutura que lembra espiroqueta à ME, no sangue periférico
de paciente com SBY semeado em meio SP-4..........................
64
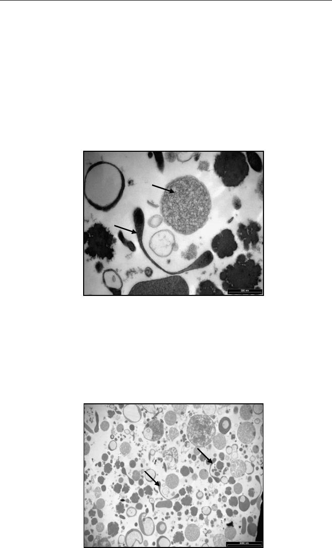
Figura 8 - Visualização de espiroquetídeo no interior de célula endotelial
à ME, após incubação com meio de cultura SP-4 contendo
espiroquetídeos em suspensão..................................................
65
Figura 9 -
Cultura de Borrelia burgdorferi inoculada inicialmente em meio
SP-4 por 3 dias e a seguir semeada em cultura de células
endoteliais...................................................................................
66
Figura 10 -
Borrelia burgdorferi foi semeada em meio BSK e a seguir
inoculada em cultura contendo células endoteliais....................
67
Figura 11 -
Borrelia burgdorferi mantida em cultivo no meio BSK, a seguir
inoculada em cultura de células endoteliais mantidas em meio
199..............................................................................................
67
Figura 12 -
Cultura de B. burgdorferi em meio BSK, corada com Acridine
orange e Azul de Evans..............................................................
68
Figura 13 -
Cultura de B. burgdorferi em meio SP-4, corada pelo método
de Acridine orange e Azul de Evans...........................................
69
Figura 14 -
Cultura de B. burgdorferi semeada em meio SP-4 e corada
pelo Panótico..............................................................................
70
Figura 15 - PCR realizada para identificar fragmento genético do
plasmídeo cp32-4.......................................................................
72
Figura 16 -
PCR para o fragmento do gene flgE...........................................
74
Figura 17 -
PCR para o fragmento do gene flgE...........................................
74
Figura 18 - Alinhamento das sequências das amostras positivas com o
gene da Borrelia burgdorferi flagellar hook protein (flgE)...........
75
Figura 19 -
Formação de estruturas císticas em cultura de B. burgdorferi
após exposição aos antibióticos.................................................
88
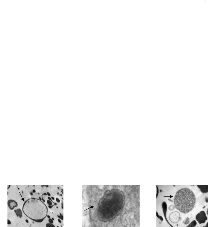
Figura 20 - Amostras de pacientes com SBY visualizadas à ME................. 89
Figura 21 -
Formação de ”blebs” e grânulos em cultura de B. burgdorferi
após 24 horas de incubação com ceftriaxona............................
90
Figura 22 -
Cultura de B. burgdorferi semeada em meio SP-4, corada pelo
Panótico......................................................................................
90
Figura 23 -
Microscopia eletrônica mostrando Borrelia burgdorferi
penetrando em células endoteliais.............................................
91
Figura 24 -
Cultura de Borrelia burgdorferi (cultivada em BSK) e inoculada
posteriormente em células endoteliais.......................................
92
Figura 25 -
Microscopia Eletrônica de B. burgdorferi inoculada em tecido
tonsilar........................................................................................
95
Lista de tabelas
Tabela 1 - Critério diagnóstico para SBY adotado pelo LIM-17 do
HCFMUSP...............................................................................
17
Tabela 2 - Frequência dos parâmetros maiores no grupo de 68
pacientes pertencentes ao grupo A com diagnóstico de
SBY..........................................................................................
32
Tabela 3 - Frequência dos parâmetros menores no grupo de 68
pacientes pertencentes ao grupo A com diagnóstico de
SBY..........................................................................................
32
Tabela 4 -
Aspectos epidemiológicos, clínicos e sorologia para Borrelia
burgdorferi G39/40 de origem americana nos 10 pacientes
do grupo B com SBY...............................................................
34
Tabela 5 - Tempo de evolução da doença desde o início da
enfermidade, tratamento com antibióticos e sorologia para
Borrelia burgdorferi nos 10 pacientes do grupo B com SBY
na época da coleta do sangue................................................
35
Lista de abreviaturas
ACA Acrodermatite Crônica Atrófica
Bb
Borrelia burgdorferi
BSK
Barbour-Stoenner-Kelly
CAPPesq Comissão de Ética para Análise de Projetos de
Pesquisa
CWDB
cell wall deficient bacteria
DL Doença de Lyme
DLSB Doença de Lyme-Símile Brasileira
DMARDs
Disease-modifying antirheumatic drugs
DMSO Dimetilsulfóxido
DNA
Deoxyribonucleic acid
EDTA
Ethylenediamine tetraacetic acid
ELISA
Enzyme Linked Immuno Sorbent Assay
EM Eritema migratório
EUA Estados Unidos da América
EV Endovenosa
FAN Fator antinuclear
FMUSP Faculdade de Medicina da Universidade de
São Paulo
HCFMUSP Hospital das Clínicas da Faculdade de
Medicina da Universidade de São Paulo
IFI Imunofluorescência indireta
Ig Imunoglobulina
LCR Líquido cefalorraquidiano
LIM-17 Laboratório de Investigação Médica em
Reumatologia
ME Microscopia eletrônica
MMII Membros inferiores
MO Microscopia óptica
Osps
Outer surface proteins
PCR
Polymerase Chain Reaction
SBY Síndrome Baggio-Yoshinari
SFC Síndrome da Fadiga Crônica
SIRLS Síndrome Infecto-Reacional Lyme-símile
SP-4
Spiroplasma mirum base
SSZ sulfassalazina
STARI Southern Tick Associated Rash Illness
TAPOS Tick Associated Poly-Organic Syndrome
TNF
Tumor necrosis factor
UFRRJ Universidade Federal Rural do Rio de Janeiro
UNICAMP Universidade Estadual de Campinas
VO Via oral
WB
Western Blotting
Mantovani E. Identificação do agente etiológico da Doença de Lyme-símile
brasileira (Síndrome Baggio-Yoshinari) [tese]. São Paulo: Faculdade de
Medicina, Universidade de São Paulo; 2010. 117p.
A Doença de Lyme-símile brasileira ou Síndrome Baggio-Yoshinari
(SBY) é uma zoonose emergente, transmitida por carrapatos e até o
momento, de descrição restrita ao território brasileiro. O agente etiológico da
SBY era desconhecido até o presente trabalho. O objetivo principal do
estudo foi identificar a etiologia da SBY. Selecionamos 2 grupos de
pacientes: grupo A (n=68) composto por pacientes com suspeita diagnóstica
de SBY, a maioria na fase latente da doença; grupo B (n=10), composto por
pacientes com diagnóstico de SBY, que apresentaram obrigatoriamente
eritema migratório e que encontravam-se sintomáticos no momento da
coleta. Foi utilizado também um grupo controle composto por indivíduos
saudáveis e com epidemiologia negativa (n=50). Foram coletadas amostras
de sangue, nas quais realizamos sorologias, culturas, análises
microscópicas (óptica e eletrônica) e reação de cadeia da polimerase (PCR)
para diferentes micro-organismos (Mycoplasma spp, Chlamydia spp e
Borrelia spp). Além disso, foi realizado um estudo preliminar, através da
PCR para Borrelia spp em 47 amostras de carrapatos oriundos de áreas de
risco do Espírito Santo (sendo 17 Rhipicephalus microplus e 30
Rhipicephalus sanguineus), 27 bovinos e 26 equinos, animais estes oriundos
da Universidade Federal Rural do Rio de Janeiro. Os resultados mostraram
que a SBY não se trata de uma zoonose causada por um conjunto de micro-
organismos como pensado inicialmente e sim pela Borrelia burgdorferi sensu
lato. Descoberta essa que foi possível empregando-se novos primers
amplificadores do principal gene envolvido na síntese do gancho flagelar da
Borrelia, chamado flgE. Confirmamos a positividade para flgE em 6
pacientes do grupo B, 2 carrapatos, 1 bovino e 1 equino, os quais
apresentaram homologia de 99% com o gene da proteína do gancho flagelar
da Borrelia burgdorferi (flgE) depositada no GenBank (L43849). Esta
importante descoberta, associada às pesquisas anteriores, permitiu definir a
SBY como zoonose emergente e própria do país, causada pela bactéria B.
burgdorferi na apresentação morfológica atípica, transmitida por carrapatos
não pertencentes ao complexo Ixodes ricinus, responsável por
manifestações clínicas semelhantes à Doença de Lyme, exceto pela grande
frequência de sintomas recorrentes.
Descritores: Doença de Lyme, Doença de Lyme-símile, Borrelia burgdorferi,
Spirochaetales, bactérias forma-L, Síndrome Baggio-Yoshinari, Brasil
Mantovani E. Identification of the causative agent of Brazilian Lyme disease-
like illness (Baggio-Yoshinari Syndrome) [thesis]. São Paulo: “Faculdade de
Medicina, Universidade de São Paulo”; 2010. 117p
Brazilian Lyme disease-like illness (BLDL) or Baggio-Yoshinari
Syndrome (BYS) is an emerging zoonosis, transmitted by ticks and so far,
restricted to the description of the Brazilian territory. The causative agent of
BYS was unknown until now. The main objective of this study was to identify
the etiology of BYS. We have selected two groups of patients: group A (n =
68) consisting of patients suspected of BYS, mostly in the latent stage of
disease; group B (n = 10), composed of patients diagnosed with BYS, who
had compulsorily erythema migrans and that were symptomatic at the time of
blood collection. We also used a control group composed of healthy
individuals with negative epidemiology (n = 50). Blood samples were
collected, in which we performed serology, cultures, microscopic analysis
(optical and electron) and polymerase chain reaction (PCR) for different
microorganisms (Mycoplasma spp, Chlamydia spp and Borrelia spp). In
addition, a preliminary study was conducted by PCR for Borrelia spp in 47
samples of ticks from risk areas at Espirito Santo State (being 17
Rhipicephalus microplus and 30 Rhipicephalus sanguineus), 27 cattle and 26
horses, being these animals from the Universidade Federal Rural do Rio de
Janeiro. The results showed that BYS is not a zoonosis caused by a set of
microorganisms as initially thought, but by Borrelia burgdorferi sensu lato.
These findings were possible after employing new primers that are able to
amplify portions of the main genes involved in the synthesis of the Borrelia
flagellar hook protein, called flgE. We confirmed positivity for the flgE in 6
patients from group B, 2 ticks, a cow, and a horse, which showed 99%
homology with the gene of Borrelia burgdorferi flagellar hook protein (flgE)
deposited in GenBank (L43849). This important discovery, coupled with
previous research, helped to define BYS as an emerging zoonosis particular
from Brazil, caused by B. burgdorferi of atypical morphologic presentation,
transmitted by ticks outside the Ixodes ricinus complex, responsible for
clinical signs similar to Lyme disease, except for the high frequency of
relapsing symptoms.
Descriptors: Lyme disease, Lyme disease-like, Borrelia burgdorferi,
Spirochaetales, L-form bacteria, Baggio-Yoshinari Syndrome, Brazil
1. Introdução
Introdução
2
1.1. DOENÇA DE LYME
A Doença de Lyme (DL) foi descoberta em 1975 na comunidade de
Old Lyme nos Estados Unidos da América (EUA), por Allen C. Steere, ao
reportar casos sugestivos de artrite idiopática juvenil, antecedidos por picada
de carrapatos e formação de lesão de pele denominada eritema migratório
(EM) (Steere et al., 1977). O agente etiológico da DL foi identificado em 1982
por Willy Burgdorfer sendo denominado Borrelia burgdorferi (Burgdorfer et
al.,1982). Contudo, convém lembrar que, pesquisadores europeus
conheciam diferentes aspectos da enfermidade desde o início do século XX,
incluindo conhecimentos sobre o EM e a acrodermatite crônica atrófica
(ACA), assim como queixas neurológicas como a Síndrome Bannwarth
(meningopolirradiculite)
(Lipschultz, 1913; Herxheimer, 1905; Lennoff, 1949).
Define-se a DL como zoonose encontrada nos EUA e Eurásia,
transmitida por carrapatos do complexo Ixodes ricinus, causada por
espiroquetas do grupo Borrelia burgdorferi sensu lato, constituída pela B.
burgdorferi sensu stricto encontrada nos EUA e Eurásia e a B. garinii e B.
afzelii observadas na Europa, que causam inúmeras manifestações clínicas
sistêmicas. Esta diversidade etiológica é responsável pelas diferenças
clínicas e laboratoriais regionais. A B. burgdorferi sensu stricto causa em
cerca de 80% dos casos nos EUA, EM e comprometimento articular (Steere,
2001). A B. garinii tem maior tendência de causar sintomas neurológicos e a
B. afzelii é responsável pela lesão de pele conhecida como acrodermatite
crônica atrófica (ACA).
Introdução
3
No sul dos EUA existe uma apresentação conhecida como doença de
Masters ou STARI (Southern Tick Associated Rash Illness) (Masters et al.,
1998), caracterizada pelo desenvolvimento de “rash” semelhante ao EM, na
ausência de sintomatologia sistêmica, sendo transmitida pelo Amblyomma
americanum e causada pela B. lonestari, a qual é incultivável em meio BSK
e, recentemente tornou-se cultivável em lulas de carrapatos (Varela et al.,
2004).
O carrapato transmissor da DL nos EUA e Eurásia pertence ao
complexo Ixodes ricinus. Nos EUA encontra-se o I. scapularis e o I.
pacificus; na Europa o I. ricinus e na Ásia o I. persulcatus. A DL é uma
zoonose, onde os pequenos mamíferos como os roedores silvestres, assim
como os grandes vertebrados como o veado nos EUA, participam do ciclo de
transmissão da enfermidade. Larvas e ninfas de carrapatos infestam e
contraem a infecção ao se alimentarem nos pequenos roedores, enquanto
os artrópodes adultos acasalam-se nos mamíferos de grande porte. O
homem contrai a zoonose adentrando no ecossistema propício, ao ser
picado principalmente pelas ninfas dos carrapatos, que pelo seu tamanho
diminuto, nem sempre são percebidos. Este aspecto é muito importante, pois
a enfermidade só se desenvolve no homem, se o carrapato não for removido
nas primeiras 24 horas. Nos vetores existe ainda a transmissão
transovariana de espiroquetas (Spach et al., 1993; LoGiudice et al., 2003;
Mladenović et al., 2010; Hamer et al., 2010).
A DL evolui por estágios. Na fase primária, em cerca de 80% dos
casos norte-americanos, surge no local da picada, uma lesão de pele
Introdução
4
expansiva característica, conhecida como EM, geralmente de centro claro e
borda avermelhada, que costuma durar dias a meses. A lesão pode assumir
outros aspectos, como ser inteiramente eritematosa ou ser confluente a
partir de minúsculas lesões menores. Quando a enfermidade é restrita à pele
é chamada de localizada, e quando as borrélias disseminam no sangue,
originam manifestações clínicas flu-like, com presença de mal-estar, febre,
cefaléia, artralgia, mialgia, calafrios e adenomegalia. Neste estágio podem
surgir novas lesões de pele menos expansivas chamadas de anulares
secundárias (Steere et al., 1980; Steere, 2001).
Nos pacientes não tratados na fase aguda, surge o estágio
secundário da DL, semanas ou meses do contágio inicial, com envolvimento
articular, neurológico ou cardíaco. Em relação ao aparelho locomotor, a
artrite ocorre em cerca de 60% dos pacientes norte-americanos, geralmente
de grandes articulações, em especial, com envolvimento do joelho. Os
surtos de artrite podem ser recorrentes e durar semanas a meses. A biópsia
da sinóvia e os achados do líquido sinovial são semelhantes aos observados
na artrite reumatóide. Cerca de 10% dos pacientes com artrite de Lyme
evoluem para artrite crônica com formação de cistos e erosões ósseas
(Steere et al., 1988; Steere, 2001).
Sintomas neurológicos secundários da DL ocorrem em cerca de
15% dos casos nos EUA, e incluem sintomas da tríade: meningite, neurite
craniana e radiculite periférica. A meningite é de padrão linfomonocitária com
discreta proteinorraquia. Os sintomas o frustros e frequentemente
diagnosticados apenas após punção e análise laboratorial do líquido
Introdução
5
cefalorraquidiano. Qualquer nervo craniano pode ser envolvido, mas o facial
é o mais frequente, e quando de ocorrência bilateral é altamente sugestivo
de DL. A neuropatia periférica pode ser sensitiva e/ou motora, e outras
manifestações neurológicas podem ser reconhecidas na DL como a
Síndrome de Guillain-Barré e encefalites (Oschmann et al., 1998; Steere,
2001).
Queixas cardíacas o raras, presentes em cerca de 8% dos
pacientes com DL e manifestam-se na forma de arritmias ou miocardites. As
arritmias, mesmo na forma de bloqueio átrio-ventricular completo não
necessitam de marca-passo e regridem com tratamento clínico. A miocardite
pode ser grave se houver invasão tecidual por espiroquetas (Steere, 1989;
Steere, 2001).
A DL crônica decorre dos surtos recorrentes de artrite ou são
complicações tardias da borreliose não tratada precocemente. Assim na
neuroborreliose crônica descrevem-se as síndromes desmielinizantes,
encefalopatias e ataxias. Na Europa existe a acrodermatite crônica atrófica
(ACA), que é lesão de pele atrófica semelhante à esclerodermia e causada
pela B. afzelii, e exemplos de recuperação de borrélias a partir da pele
em lesões com duração de muitos anos (Logigian et al., 1990; Strle et al.,
1999; Steere, 2001).
A síndrome pós-DL ou TAPOS (Tick Associated Poly-Organic
Syndrome) é uma entidade clínica observada nos EUA, bastante controversa
e indefinida, que surge nos pacientes com DL tratados com antibióticos.
Caracteriza-se pelo desenvolvimento de sintomas persistentes, com duração
Introdução
6
superior a 6 meses, como mialgia, artralgia, dor radicular, disestesias,
sintomas neurocognitivos e intensa fadiga (Asch et al., 1994; Clarissou et al.,
2009).
O diagnóstico da DL no Hemisfério Norte baseia-se na presença de
sintomas clínicos, como o EM ou queixas sistêmicas articulares,
neurológicas ou cardíacas, associado à sorologia positiva para B.
burgdorferi. Nas áreas de risco, a simples constatação do EM é diagnóstico.
O ensaio imunoenzimático (ELISA) é a prova laboratorial de triagem e na
dúvida realiza-se o Western blotting (WB). O WB para ser considerado
positivo para anticorpos das classes IgG ou IgM, necessita mostrar
determinado padrão de reatividade, tanto numérica como qualitativa, em
relação às bandas protéicas das borrélias expressas no immunoblotting. A
PCR é raramente utilizada na prática clínica, pois além de dispendioso,
necessita que existam borrélias circulantes ou em tecidos (Grodzicki e
Steere, 1988; Mandell et al., 1989; Dressler et al.,1993; Magnarelli, 1995).
O tratamento da DL baseia-se no emprego de antibióticos. Na fase
aguda, as drogas indicadas são a doxiciclina na dose de 100 mg duas vezes
ao dia ou amoxicilina 500 mg 6/6 h ou azitromicina 500 mg/dia pelo período
de 3 semanas. Pacientes com envolvimento neurológico podem receber
ceftriaxone 2g/EV/dia pelo período de 3 semanas.
No Hemisfério Norte não é aceito a persistência de espiroquetas no
hospedeiro após uso adequado de antibióticos (Feder et al., 2007). Assim
não se admite a hipótese de recorrência clínica e novo tratamento com
antibióticos, com exceção de recidivas articulares que são interpretadas
Introdução
7
como manifestações de autoimunidade (Steere et al., 2001). Neste sentido,
a denominação DL crônica é empregada para designar casos clínicos de
diagnóstico tardio, que não foram tratados precocemente com antibióticos.
1.2. HISTÓRICO DA PESQUISA DA DL NO BRASIL
A pesquisa da DL no Brasil teve inicio em 1989 (Yoshinari et al., 1989)
e após intensa divulgação do tema à classe dica brasileira, foram
identificados os primeiros casos da enfermidade em 1992 na cidade de
Itapevi, Estado de São Paulo (Yoshinari et al., 1992).
À medida que novos pacientes foram descobertos, verificaram-se
grandes diferenças entre a DL descrita no Hemisfério Norte e no Brasil
(Yoshinari et al., 1995; Yoshinari et al., 1997a; Yoshinari et al., 1999a; Costa
et al., 2001; Yoshinari et al., 1999b). Do ponto de vista epidemiológico, não
se identificavam carrapatos do complexo Ixodes ricinus hematófago para o
homem nas áreas de risco, considerados vetores transmissores
preferenciais da DL (Barros-Battesti et al., 2000). Clinicamente, apesar da
ocorrência do clássico EM e das complicações sistêmicas habituais
encontradas na DL, a enfermidade brasileira cursava com recorrências,
especialmente se o tratamento com antibióticos demorasse mais que três
meses do início da infecção. Laboratorialmente, em nenhum momento foram
isoladas bactérias do complexo B. burgdorferi sensu lato nos fluidos
biológicos e em tecidos. A pesquisa de anticorpos contra B. burgdorferi de
Introdução
8
origem americana ou europeia (Pirana et al., 2000), embora relevante para o
diagnóstico, revelava títulos baixos e oscilantes, desaparecendo
rapidamente no sangue ou líquido cefalorraquidiano. Os doentes no Brasil,
também exibiam alta frequência de autoanticorpos dirigidos contra diferentes
constituintes celulares (Gauditano et al., 2000).
Assim, a enfermidade identificada no país, passou a receber inúmeras
denominações como DL-símile, Síndrome Infecto-Reacional Lyme símile
(SIRLS) (Mantovani et al., 2007a) ou Doença de Lyme símile Brasileira, com
intuito de diferenciá-la da clássica DL.
O grande desafio na pesquisa da SIRLS era a identificação do agente
etiológico. Ao contrário do observado nos EUA e Eurásia, a espiroqueta
brasileira jamais fora cultivada em meio BSK, mesmo que após inúmeras
modificações, a partir do sangue, líquido cefalorraquidiano ou amostras de
pele (EM) (Costa et al., 2002; Mantovani et al., 2007a; Yoshinari et al., 2009)
e nem tampouco a partir de carrapatos e do sangue de animais silvestres
coletados em áreas de risco (Barros-Battesti et al., 2000; Abel et al., 2000).
Curiosamente, quando se analisava o sangue periférico de pacientes
com SIRLS, assim como materiais biológicos provenientes de carrapatos e
animais silvestres, identificavam-se estruturas pouco veis com
semelhanças às espiroquetas (espiroquetídeos), que não se desenvolviam
em meio BSK, mas que cresciam temporariamente em meio chamado SP-4,
ideal para o desenvolvimento de Spiroplasma spp, gênero de Mycoplasma
que compõe o grupo dos Mollicutes, que são bactérias desprovidas de
parede celular e tem membrana rica em colesterol.
Introdução
9
No intuito de pesquisar estes espiroquetídeos, realizou-se
microscopia eletrônica (ME) em pequeno número de amostras de pacientes
com SIRLS, que exibiam estes espiroquetídeos. De forma surpreendente,
identificaram-se micro-organismos com estruturas morfológicas semelhantes
à Mycoplasma spp, Chlamydia spp e espiroquetídeos sem flagelos
(Mantovani et al., 2007a). Neste momento, aventou-se a hipótese da SIRLS
ser causada por uma plêiade de micro-organismos de comportamento
latente, e a hipótese de tratar-se de borreliose ficou enfraquecida.
Aos poucos, nasceu a concepção da existência de uma nova zoonose
brasileira, que imitava a DL, causada por agente etiológico ainda indefinido,
que reproduzia a maioria das alterações clínicas encontradas na DL.
Contudo, haviam inúmeras particularidades observadas na SIRLS, como a
impossibilidade de cultivo do agente etiológico em meio BSK; ausência de
isolamento de espiroquetas na morfologia espiralada helicoidal típica; a
baixa resposta imunológica contra a B. burgdorferi e grande ocorrência de
recorrências clínicas e de distúrbios imunoalérgicos.
O conjunto das informações altamente inusitadas e complexas de
serem interpretadas, observadas apenas no território brasileiro e, portanto,
difícil de serem transmitidas à classe médica do país, trouxe grande
preocupação aos pesquisadores do LIM-17 do HCFMUSP. Decidiu-se que,
seria necessário negar a existência da clássica DL no país, e propor a
existência de uma zoonose inédita e emergente transmitida por carrapatos,
chamada de Síndrome Baggio-Yoshinari (SBY). Este procedimento
justificou-se pela existência de inúmeras diferenças nos aspectos
Introdução
10
epidemiológicos, etiológicos, clínicos, laboratoriais e terapêuticos, em
relação à DL clássica.
1.3. SÍNDROME BAGGIO-YOSHINARI
1.3.1. Etiologia
A definição inicial da SBY (Gauditano et al. 2005) foi a de ser uma
enfermidade de origem infecciosa, transmitida por carrapatos não
pertencentes ao complexo I. ricinus, causada por micro-organismo(s)
aparentemente de comportamento latente, ainda não identificado(s),
possivelmente espiroquetas, que causava o EM e complicações clínicas
sistêmicas semelhantes às observadas na DL, exceto pela grande
frequência de recorrências e de desordens imunológicas, ao longo da
prolongada evolução clínica.
Contudo, para a completa caracterização da SBY, faltava identificar o
agente etiológico. Não bastava dizer que havia uma plêiade de micro-
organismos que simulavam Mycoplasma spp, Chlamydia spp e
espiroquetídeos. Intrigava o fato dos pacientes com SBY, apesar das
divergências citadas, reproduzirem a totalidade dos achados clínicos e
laboratoriais da DL.
1.3.2. Vetores
Introdução
11
Pesquisas de campo realizadas em localidades onde houve casos de
SBY mostraram a ocorrência de carrapatos pertencentes às espécies
Amblyomma cajennense e Ixodes loricatus (Barros-Battesti et al., 2000).
O gênero Amblyomma é o mais comum capaz de picar humanos no
Brasil, mas outras espécies de carrapatos podem também desempenhar um
papel relevante na ecologia e epidemiologia da SBY no Brasil. Acredita-se
que o A. cajennense participe do ciclo epidemiológico da SBY, pois houve
relato de enfermidade que aconteceu após picada acidental por esta espécie
de carrapato (Yoshinari NH - comunicação pessoal).
Outros carrapatos podem ser vetores da SBY. Neste contexto, o
carrapato mais comum no gado é o Rhipicephalus (Boophilus) microplus, um
carrapato comum no Brasil que se alimenta predominantemente em
hospedeiros não-humanos, podendo participar potencialmente do ciclo
epidemiológico (bactérias / vetor / hospedeiro), mantendo os agentes
infecciosos na natureza. Muitos agentes bacterianos foram detectados em R.
microplus, incluindo Anaplasma marginale, Ehrlichia spp., Coxiella burnetti e
B. theileri (agente etiológico da borreliose bovina) (Yparraguirre et al., 2007).
Além disso, os carrapatos da espécie R. microplus foram igualmente
sugeridos como vetores da SBY, pois foi observada coexistência de
anticorpos para B. burgdorferi e Babesia bovis em doentes com SBY, sendo
este carrapato o agente responsável pela transmissão da babesiose em
bovinos (Yoshinari et al., 2003).
Salienta-se que, no Brasil, nas áreas geográficas estudadas não se
encontrou histórico de picadas em humanos por carrapatos do complexo I.
Introdução
12
ricinus, vetores essenciais na transmissão da DL clássica nos EUA e Eurásia
(Guglielmone et al., 2006).
1.3.3. Reservatórios e hospedeiros
Pesquisas de campo em áreas de ocorrência da SBY mostraram a
presença de roedores silvestres e marsupiais, considerados como potenciais
animais reservatórios no Brasil, pois muitas vezes, visualizaram-se
espiroquetídeos, que igualmente não se desenvolveram em meios de
culturas BSK, e não foram identificados pela PCR, a exemplo do que ocorre
em carrapatos e doentes com SBY (Costa et al., 2002; Abel et al., 2000).
Várias espécies de carrapatos podem coabitar no mesmo hospedeiro.
Cães que entram na mata ou que compartilham seu ambiente com a fauna
silvestre (Szabó et al., 2001), podem apresentar infestações mistas, por
exemplo, A. cajennense, A. ovale e R. sanguineus. Da mesma forma,
pequenos mamíferos silvestres que vivem próximos aos domicílios também
podem apresentar dupla infestação. As capivaras e os gambás apresentam
uma grande infestação por carrapatos do gênero Amblyomma (Perez et al.,
2008).
Particularmente no Estado de Espírito Santo, existe uma importante
associação entre a ocorrência de casos de SBY e a presença de capivaras,
sugerindo que carrapatos que parasitam estes roedores, possam participar
no ciclo epidemiológico da SBY. Igualmente importante é o surgimento de
Introdução
13
sintomas clínicos da SBY após contato com animais domésticos como
cavalos, cachorros e bovinos (Spolidorio, 2009).
1.3.4. Quadro clínico
No Brasil, os pacientes são diagnosticados no seu estágio inicial ou
latente (recorrência). Na fase aguda, definida arbitrariamente como
enfermidade com menos de 3 meses de evolução após picada por
carrapatos, nota-se que em cerca de 50% surge lesão macular ou papular,
de crescimento centrífugo, de bordas eritematosas e centro mais claro,
chamada de eritema migratório (Yoshinari et al., 1997a; Costa et al., 2001).
Outras vezes, a lesão é homogeneamente avermelhada, e noutras
situações, surge pelo coalescimento de ltiplas e minúsculas lesões
puntiformes.
O período de incubação entre a picada e o desenvolvimento da lesão
pode variar de 3 dias a semanas, sendo a média de 10 dias (Yoshinari et al.,
1992; Yoshinari et al., 1997a; Costa et al., 2001). A lesão de pele costuma
durar em dia 30 dias, havendo casos em que o EM persiste por vários
meses. Na fase de disseminação dos micro-organismos, ocorre surgimento
de febre e outros sintomas flu-like. Neste estágio, podem aparecer novas
lesões de pele, múltiplas e menos expansivas que a inicial, chamadas de
anulares secundárias.
Introdução
14
A fase de latência ou recorrência acontece quando não houve
diagnóstico na fase aguda ou quando o tratamento convencional com
antibióticos foi inadequado ou ineficiente, originando complicações
secundárias cutâneas, neurológicas, articulares e cardíacas. O período
entre a contaminação e o início das complicações sistêmicas é variável,
oscilando de semanas a anos. No Brasil, as complicações articulares e
neurológicas ocorrem em aproximadamente 35% dos casos e as cardíacas
em 5% (Yoshinari et al., 1992; Yoshinari et al., 1997a; Yoshinari et al.,
1999b). A artrite inicial é geralmente de padrão oligoarticular de grandes
articulações, especialmente de joelhos. O surto inflamatório dura de
semanas a meses, a biópsia da sinóvia revela inflamação inespecífica e o
fluido sinovial exibe padrão inflamatório com elevado número de leucócitos
(Yoshinari et al., 1995). Surtos iniciais de artrite tendem a regredir
espontaneamente, mas nas fases de recidivas, existe a tendência ao
desenvolvimento de poliartrite de caráter aditivo, com envolvimento de
pequenas e grandes articulações, sem períodos de melhora, lembrando
manifestações articulares da artrite reumatóide.
O quadro neurológico da SBY, a exemplo da DL, é caracterizado pela
tríade: meningite linfomonocitária, neurite craniana e radiculopatia periférica,
havendo descrição de casos de encefalite e/ou encefalomielite e distúrbios
psiquiátricos (Shinjo et al., 2009).
A manifestação característica do envolvimento cardíaco é a arritmia,
que pode durar meses, e costuma não necessitar de implantação de marca-
Introdução
15
passo (Yoshinari et al., 1997b; Yoshinari et al., 1999a; Yoshinari et al.,
1999b).
Aspecto clínico distintivo da SBY é a alta frequência de recidivas, que
ocorre em cerca de 75% dos casos, especialmente quando os doentes não
são diagnosticados e tratados precocemente na fase aguda (Yoshinari et al.,
1995; Shinjo et al., 2009). Importante salientar que, episódios de
recorrências geralmente não são diagnosticados pelos médicos, pois os
dados epidemiológicos ocorridos no passado, não são inquiridos ou
associados com sintomas atuais. Ademais, manifestações cutâneas e
sintomas flu-like tendem a desaparecer ao longo da prolongada evolução
clínica, dificultando ainda mais o diagnóstico dos casos de evolução
prolongada (Shinjo et al., 2009). Apesar das dificuldades, o médico frente a
um paciente suspeito de SBY em fase latente, deve estar atento e interrogar
sobre acontecimentos ocorridos há anos ou décadas como: histórico prévio
de picada por carrapatos, convivência anterior nas matas com animais
silvestres e episódios pregressos de febre sem etiologia definida, lesões de
pele (EM, lesão anular secundária), artrite, meningite, neuropatias cranianas
ou periféricas, uveíte, distúrbios psiquiátricos etc.
Descreve-se a seguir, as principais manifestações clínicas observadas
na SBY:
1- Cutâneas: eritema migratório, eritema anular secundário, linfocitoma
benigno (Yoshinari et al., 2007), acrodermatite crônica atrófica
(Mantovani et al., 2007a), paniculite (Mantovani et al., 2007a) e lesões
Introdução
16
de pele semelhantes à esclerodermia no local inicial da picada
(Fonseca et al., 2005).
2- Ósteo-musculares: artrite, artralgia, miosite, Síndrome da Fadiga
Crônica (SFC). Esta Síndrome é definida como cansaço físico ou
mental com duração superior a 6 meses que não melhora com
repouso, e é exacerbado por atividades físicas. Define-se SFC na
presença de 4 dos seguintes sintomas: fadiga prolongada, cefaléia,
mialgia, diminuição de memória ou concentração, artralgia, dor de
garganta, adenomegalia cervical e distúrbio do sono.
3- Neurológicas: meningite linfomonocitária; neurite de nervos cranianos
(paralisia facial, diplopia, surdez, disfagia, dislalia, nevralgia do
trigêmeo); radiculopatias periféricas sensitivo-motoras; síndrome de
Guillain-Barré; mononeurite multiplex, convulsões, encefalomielite,
encefalopatia, disfunção esfincteriana (Shinjo et al., 2009).
4- Distúrbios cardíacos como arritmias e insuficiência cardíaca por
cardiomegalia (Yoshinari et al., 1997b; Yoshinari et al., 1999a;
Yoshinari et al., 1999b).
5- Distúrbios psiquiátricos como depressão grave, tentativas de suicídio,
síndrome do pânico, transtorno bipolar, esquizofrenia (Shinjo et al.,
2009).
6- Distúrbios de adequação social como fuga de escolas, busca de
isolamento, abandono de empregos (Shinjo et al., 2009).
7- Distúrbios oculares intrínsecos como uveíte, corioretinite e arterite
retiniana (Sato et al., 2003).
Introdução
17
8- Distúrbios do cognitivo que incluem diminuição de memória,
dificuldade de expressão, distúrbios do sono, dificuldades de
concentração, memorização ou raciocínio (Shinjo et al., 2009).
9-
Disfunções imunoalérgicas como maior sensibilidade a drogas e
alimentos, urticárias e sintomas graves como edema angioneurótico
adquirido (Yoshinari et al., 1995).
1.3.5. Diagnóstico
O diagnóstico da SBY é difícil, especialmente na fase latente e o LIM-
17 do HCFMUSP preconiza um guia diagnóstico baseado na presença de
parâmetros maiores e menores (Tabela 1) (Mantovani et al., 2007a).
Tabela 1 - Critério diagnóstico para SBY adotado pelo LIM-17 do HCFMUSP
PARÂMETROS MAIORES PARÂMETROS MENORES
Epidemiologia compatível quando do início da infecção: picada,
visita às áreas de risco, visualização de carrapatos no ambiente
ou animais, animais doentes no local.
Episódios de recorrência
Sorologia positiva para Borrelia burgdorferi (ELISA ou WB) nos
padrões adotados no LIM-17 do HCFMUSP
Visualização de "espiroquetídeos"
à MO
Clínica pertinente: EM ou complicação sistêmica (articular,
neurológica, cardíaca ou ocular)
Síndrome da Fadiga crônica
FONTE: Mantovani et al., 2007a
NOTA: Considera-se caso positivo na presença de três critérios maiores ou dois maiores e dois menores
simultaneamente.
Introdução
18
Os dados laboratoriais devem ser interpretados com cuidado. Exames
que indicam atividade inflamatória aguda como a velocidade de
hemossedimentação, proteína C reativa e mucoproteínas podem estar
negativos, mesmo na vigência de processos inflamatórios como artrite,
meningite ou neurite (Yoshinari et al., 1995). Esta dissociação clínico-
laboratorial é um aspecto importante da SBY, e mostra indiretamente, o
quanto os micro-organismos estão adaptados ao hospedeiro. Enfermos com
anemia, leucopenia, elevação de transaminases ou bilirrubinas podem ter
coinfecções com outras zoonoses transmitidas por carrapatos como a
babesiose e a ehrlichiose. Doentes que desenvolvem torpor, confusão
mental ou coma, na vigência de exantema cutâneo, devem ser pesquisados
para rickettsioses, como a febre maculosa brasileira ou novas rickettsioses
ditas brandas, causadas por Rickettsia parkeri, R. amblyommii, R. felis, R.
bellii, R. rhipicephali.
O procedimento sorológico para demonstrar anticorpos anti B.
burgdorferi foi modificado no LIM-17 do HCFMUSP (Costa, 1998; Barros,
2000), e o médico deve estar atento ao fato de que os títulos dos ensaios no
país são baixos e flutuantes, com riscos de se encontrar casos falsos
positivos e negativos. Na falta do isolamento do agente brasileiro, emprega-
se a B. burgdorferi cepa G39/40 de origem americana nos ensaios
sorológicos (ELISA e WB). Dentre as enfermidades que cursam com
sorologia falso-positiva temos a sífilis; leishmaniose visceral; doenças auto-
imunes como lúpus eritematoso sistêmico, esclerodermia, artrite reumatóide;
infecções virais; rickettsioses agudas; neuropatias crônicas (Yoshinari et al.,
Introdução
19
1999b; Yoshinari et al., 1997b). Doentes com SBY desenvolvem sorologia
positiva (ELISA ou WB) para B. burgdorferi em aproximadamente 65% dos
casos, enquanto nos indivíduos normais, a frequência de positividade é de
aproximadamente 16% (Mantovani et al., 2007b). Na fase aguda da zoonose
ocorre predomínio de anticorpos da classe IgM e na convalescência de IgG,
mas esta distinção tende a desaparecer nos surtos de recorrências
(Yoshinari et al., 1995). As pequenas oscilações de títulos ou de resultados
não indicam que houve modificações na evolução clínica. Vale ressaltar que
a interpretação dos resultados de sorologias realizadas com metodologias
adaptadas ao nosso meio é diferente das realizadas nos EUA e Eurásia.
O ELISA é realizado com antígeno sonicado total de B. burgdorferi
cepa G39/40 de origem americana e segue metodologia adotada nos EUA.
Em contrapartida, a interpretação do WB no Brasil é diferente da
preconizada no Hemisfério Norte, pois valoriza-se a quantidade de bandas
presentes e não a ocorrência de bandas específicas, como é preconizada
nos outros continentes. A pesquisa de anticorpos anti B. burgdorferi (ELISA)
no líquido cefalorraquidiano (LCR) pode ser útil quando houver suspeita de
acometimento neurológico na SBY, mas tem as mesmas restrições do
estudo sorológico. Em geral, indivíduos normais não apresentam anticorpos
anti Borrelia no LCR, mas o teste ELISA pode ser positivo em inúmeras
enfermidades infecciosas ou autoimunes (Yoshinari et al., 1995).
Pesquisas recentes realizadas no LIM-17 do HCFMUSP indicam que
pacientes com SBY desenvolvem autoanticorpos ao longo da prolongada
evolução clínica (Yoshinari et al., 1995; Gauditano et al., 2000). Outros
Introdução
20
dados ainda não publicados indicam que cerca de 50% dos pacientes com
SBY apresentam autoanticorpos contra extrato de membrana de neurônios
humanos, confirmando estudos anteriores, que haviam revelado
existência de anticorpos contra proteína de núcleo caudado de coelhos em
doentes com SBY (Gauditano et al., 2000). Outras desordens imunológicas
também foram descritas no Brasil, como surgimento dos anticorpos contra
fator antinuclear (FAN) e anticardiolipina, hipergamaglobulinemia e elevação
de IgE (Yoshinari et al., 1995).
1.3.6. Tratamento
O tratamento depende do estágio da SBY, aspecto nem sempre fácil
de ser definido, exceto quando defrontamos com paciente com histórico
agudo, que desenvolveu EM após picada por carrapato e que frequentou
área de risco recentemente. Em geral, os doentes procuram o médico na
vigência de complicações tardias, e nestas condições, como foi salientado
anteriormente, o diagnóstico e tratamento são extremamente complexos.
A infecção primária da SBY é tratada com doxiciclina 100 mg duas
vezes ao dia pelo prazo mínimo de 30 dias. Crianças podem receber
amoxilina ou azitromicina pelo mesmo período. Surtos recorrentes iniciais
podem ser medicados com os mesmos antibióticos pelo período prolongado
de três meses, mas os resultados da terapêutica são inconstantes
(Mantovani et al., 2007).
Introdução
21
Na presença de complicações neurológicas como meningite,
encefalite, neurite, ou na vigência de artrite recorrente, pode-se empregar
ceftriaxona 2g/EV/dia por 30 dias, seguido de dois meses adicionais de
doxiciclina 100 mg duas vezes ao dia. Nesta fase costuma-se associar
hidroxicloroquina na dose de 400 mg/dia por tempo prolongado, embora não
esteja totalmente demonstrado, se esta opção terapêutica seria mais
eficiente, que o uso isolado da doxiciclina pelo período de três meses.
Sintomas como fadiga crônica e distúrbios de cognição respondem pouco ao
uso de antibióticos e costumam merecer outras formas de abordagem
terapêutica (Mantovani et al., 2007; Shinjo et al., 2009).
Não existe um consenso sobre o tratamento da SBY de evolução
clínica prolongada com episódios de recidivas. casos de boa resposta
aos antibióticos, assim como os não responsivos. No Serviço de
Reumatologia do HCFMUSP, os doentes com envolvimento articular
prolongado, no estágio poliarticular e recorrente, recebem o mesmo
tratamento preconizado aos pacientes com artrite reumatóide, ou seja, são
tratados com anti-inflamatórios e drogas modificadoras da evolução da artrite
reumatóide (DMARDs). Recomenda-se prudência no emprego de terapia
biológica com anti TNF, pois houve caso de agravamento da SBY quando se
empregou esta modalidade de tratamento em paciente com artrite recorrente
sem resposta ao uso de outros DMARDS (Yoshinari NH - comunicação
pessoal).
Novas pesquisas estão em desenvolvimento no LIM-17 do HCFMUSP
como a de entender o papel dos autoanticorpos na patogênese da SBY.
Introdução
22
Existe a busca de novos marcadores sorológicos que permitam distinguir
neuropatia ou artrite crônica da SBY das demais afecções consideradas
específicas como a esclerose múltipla, artrite reumatóide ou
espondiloartrites. Com frequência, o médico frente ao paciente com SBY
recorrente, fica indeciso em saber o momento exato de parar de insistir com
antibióticos e buscar novas alternativas terapêuticas.
Em resumo, com exceção das apresentações iniciais da SBY, que
costumam responder bem aos antibióticos, não um consenso sobre o
tratamento das formas latentes e recorrentes da SBY. Convém salientar que,
mesmo no Hemisfério Norte não há unanimidade de opinião sobre diferentes
aspectos da DL, incluindo o modo de tratamento dos pacientes com TAPOS
(Tick Associated Poly-Organic Syndrome) e DL crônica (Clarissou et al.,
2009).
2. Justificativa do estudo
Justificativa do estudo
24
O maior desafio no conhecimento da SBY refere-se à identificação do
agente etiológico, o qual é incultivável no Brasil. Mantovani et al. (2007)
haviam descrito a presença de micro-organismos latentes com morfologias
de Mycoplasma spp, Chlamydia spp e espiroquetas sem flagelos observados
na microscopia eletrônica em pequena amostra de pacientes. Na época
desta descoberta, acreditava-se que estes micro-organismos de
comportamento latente fossem os agentes etiológicos da SBY.
Contudo, a existência de enormes semelhanças entre a DL e a SBY
continuava a intrigar pesquisadores do LIM-17 do HCFMUSP, pois a
hipótese desta nova zoonose ainda ser uma borreliose, não estava
totalmente afastada. A equipe estava convencida que novas pesquisas
deveriam enveredar para o caminho da biologia molecular, pois o agente
etiológico era incultivável no país. Assim, pensou-se no estudo de novos
genes bacterianos, potencialmente preservados e essenciais às funções de
infectividade e sobrevivência deste(s) micro-organismo(s) em hospedeiros
vertebrados e invertebrados.
No caso da espiroqueta B. burgdorferi, sabemos que seu genoma é
composto por um cromossomo linear e mais de 20 plasmídeos entre lineares
e circulares. (Wang et al., 1999). Ainda é desconhecido o porquê desta
segmentação genômica, mas os plasmídeos são essenciais na produção de
diferentes proteínas da Borrelia, como as enzimas que lhes permitem
sobreviver às diferentes condições adversas “in vivo” (Stewart
et al., 2005),
desempenhando funções na resistência a antibióticos, infectividade etc.
Justificativa do estudo
25
Purser e Norris (2000) tentaram identificar plasmídeos associados à
infectividade em B. burgdorferi cepa B31 usando painel de 19 isolados
clonais. O plasmídeo lp25 exibiu uma correlação direta com a virulência e
estava presente em todos os clones com níveis altos e intermediários de
infectividade e ausente nos clones de baixa infectividade. Verificaram que o
lp 28-1 também estava relacionado com virulência.
Os genes do complexo cp32 estão preservados na maioria das cepas
de B. burgdorferi e caracterizam-se também por estarem presentes na febre
recorrente causada pela espiroqueta B. hermsii, sugerindo que podem ser
essenciais para a sobrevivência das borrelias (Stewart
et al., 2005). Além
disso, plasmídeos não são facilmente perdidos, durante o deslocamento
bacteriano do seu ambiente natural (reservatório ou carrapato) para os seres
humanos (Iyer et al., 2003).
Ao longo das pesquisas, outro fato chamou a nossa atenção. Foi a
presença da banda de 41Kda no WB de pacientes com SBY, indicativo de
presença de anticorpos contra aparelho flagelar bacteriano, a despeito de
pesquisas prévias sugerirem inexistência de espiroquetas flageladas no
país.
Contudo, recentes publicações demonstraram que a estrutura do
flagelo periplasmático é composta de um corpo basal, um gancho e um
filamento contendo uma proteína flagelar (flagelina) maior (FlaB) e uma
menor (FlaA) (Barbour e Hayes, 1986; Ge et al., 1998). A síntese do flagelo
é regulada por uma cascata de eventos, envolvendo a expressão de vários
genes (Aldridge e Hughes, 2002; Sal et al.,2008).
Justificativa do estudo
26
Assim, na tentativa de elucidar as diferentes vidas surgidas,
propomos a realização da pesquisa com os seguintes objetivos:
3. Objetivos
Objetivos
28
1- Pesquisar se ocorre infecção por Mycoplasma spp, Chlamydia spp e
Borrelia spp em grupo de pacientes com SBY externos ao complexo
HCFMUSP (grupo A; N=68), através de procedimentos sorológicos e
moleculares (PCR).
2- Analisar novas amostras de sangue periférico de pacientes com SBY
à microscopia eletrônica, no intuito de confirmar a presença de micro-
organismos de morfologia latente, que lembram Mycoplasma spp,
Chlamydia spp e bacteroides sem flagelos.
3- Estudar aspectos do comportamento microbiológico dos agentes
etiológicos da DL e SBY, como capacidade de crescimento dos micro-
organismos aos diferentes meios de cultivos, adequados ou
impróprios, analisando-se modificações morfológicas e as
características tintoriais dos micro-organismos. Bactérias visualizadas
em pacientes com SBY serão também inoculadas em culturas de
células endoteliais, para testar o potencial infectante destas
estruturas.
4- Insistir na identificação do agente etiológico da SBY, com emprego de
novos primers, provenientes de genes potencialmente preservados
entre as diferentes cepas de borrelias. Neste estudo abordou-se dois
grupos de pacientes com SBY: grupo A (N=68) composto por
pacientes externos ao complexo HC e grupo B (N=8) formado por
Objetivos
29
doentes com eritema migratório e dados epidemiológicos recentes.
5- Testar se possível e de forma preliminar, primers efetivos no
reconhecimento do agente etiológico da SBY, em amostras de
carrapatos e sangue de animais domésticos, oriundos de áreas de
risco.
4. Materiais e Métodos
Materiais e Métodos
31
4.1. Casuística
4.1.1. Grupo A
Foram selecionados 68 pacientes com SBY (sendo 19 agudos e 49
latentes), que preencheram o critério diagnóstico adotado no LIM-17 do
HCFMUSP (Tabelas 2 e 3), entre os pacientes externos ao complexo
Hospital das Clínicas, encaminhados no período compreendido entre maio
de 2005 a janeiro de 2007, para a realização de sorologias para
B.burgdorferi. Nesta casuística, 23 pacientes eram do sexo masculino
(33,8%) e 45 do sexo feminino (66,2%), com idades que variaram de 08 a 71
anos, sendo que a média de idade foi de 44 anos e o desvio padrão de 15,1
anos. Convém lembrar que, apesar de 35,3% terem referido EM, este
achado geralmente esteve ausente no dia da coleta do sangue, sendo
portanto, dado de história pregressa.
Cinquenta indivíduos normais também foram selecionados como
grupo controle, sendo 15 do sexo masculino (30%) e 35 do sexo feminino
(70%), com idades que variaram de 18 a 54 anos, sendo que a dia de
idade foi de 31,8 anos e o desvio padrão de 10,5 anos. Todos relataram não
terem sido picados por carrapatos e nem frequentar áreas de risco.
Materiais e Métodos
32
Tabela 2 - Frequência dos parâmetros maiores no grupo de 68 pacientes
pertencentes ao grupo A com diagnóstico de SBY
Parâmetros maiores Pacientes
(N=68)
Frequência
%
História prévia de picada por carrapato
43
63,2%
Contato com animais e/ou visita às áreas de risco 65 95,6%
Eritema migratório 24 35,3%
Artrite 5 7,3%
Cardiopatia 8 11,7%
Neuropatia 20 29,4%
Sorologia positiva para Bb (ELISA ou WB) 44 64,7%
Tabela 3 - Frequência dos parâmetros menores no grupo de 68 pacientes
pertencentes ao grupo A com diagnóstico de SBY
Parâmetros menores Pacientes
(N=68)
Frequência
%
Episódios recorrentes 49 72%
Fadiga 40 58,8%
Mialgia 28 41,2%
Artralgia 46 67,6%
Desordens do cognitivo 11 16,2%
Parestesia de extremidades 1 1,5%
Campo escuro (n=52)
49 94,2%
Materiais e Métodos
33
4.1.2. Grupo B
No período compreendido entre novembro/2008 a outubro/2009,
foram selecionados 10 pacientes com diagnóstico de SBY, que
apresentaram obrigatoriamente eritema migratório (EM) e que estavam
sintomáticos, sendo 6 do sexo feminino e 4 do sexo masculino. As idades
variaram de 10 a 68 anos, sendo a média de 39,6 anos e o desvio padrão de
22,9 anos.
Neste grupo, todos relataram visita prévia às áreas de risco para a
zoonose e 50% haviam sido picados por carrapato. Nove doentes
desenvolveram sintomas flu-like na fase aguda, como febre, cefaléia,
mialgia, calafrios e fadiga. Queixas ósteoarticulares foram reportadas em 8
casos e em 4 foi observada artrite durante o seguimento clínico evolutivo. A
sorologia para B.burgdorferi mostrou positividade em 40% dos casos,
considerando-se o ensaio de ELISA e Western blotting na época da coleta
do sangue (Tabela 4).
Materiais e Métodos
34
Tabela 4 - Aspectos epidemiológicos, clínicos e sorologia para Borrelia
burgdorferi G39/40 de origem americana nos 10 pacientes do
grupo B com SBY
Dados Nº de casos
Frequência
Visita às áreas de risco 10
100%
Picada por carrapato 5
50%
Sintomas gripais (mialgia, calafrios, cefaléia, fadiga,
febre)
9
90%
Eritema 10
100%
Artrite 4
40%
Artralgia 8
80%
Sorologia positiva para Borrelia burgdorferi 4
40%
Cinco pacientes apresentavam história aguda, com tempo de
evolução da enfermidade de até 90 dias do início do contágio, enquanto
outros 5 estavam na fase latente (de 105 dias a 1440 dias), mas com
queixas de pele ou artrite. Quatro pacientes estavam em tratamento com
antibióticos no momento da coleta de sangue (Tabela 5).
Materiais e Métodos
35
Tabela 5 - Tempo de evolução da doença desde o início da enfermidade,
tratamento com antibióticos e sorologia para Borrelia burgdorferi
nos 10 pacientes do grupo B com SBY na época da coleta do
sangue
NOME IDADE TEMPO DE EVOLUÇÃO TRATAMENTO Sorologia
(na coleta de sangue) para Bb
FM
68 9 dias cefalexina por 4 dias -
MAS
51 30 dias não -
DFS
31 60 dias cefalexina por 3 dias +
JS
67 11 dias não +
CCM
30 105 dias não -
ORG
60 270 dias não +
PMCP
11 270 dias
p
enicilina benzatina há 10 dias -
ABPLS
15 30 dias tetraciclina por 7 dias -
GHP
10 360 dias não -
MAOO
53 1440 dias não +
4.1.2.1. Descrição detalhada dos pacientes do grupo B com SBY
FM: feminino, 68 anos. Foi picada por carrapato em uma pousada em São
Roque, onde havia um bambuzal. Apresentou EM, artralgia, sintomas
gripais. Estava tomando cefalexina 4 dias. Compareceu ao laboratório
após 9 dias após o início dos sintomas para coleta de sangue. Sorologia
negativa para Borrelia burgdorferi.
MAS: feminino, 51 anos. Picada por carrapato em Ubatuba no tornozelo. Na
região, havia muitos animais circulando entre as pessoas (ex: cães com
carrapatos). Desenvolveu EM, artralgia (joelho e mãos), calafrios, cefaléia,
nucalgia, gânglios na região inguinal (causando dores na coxa).
Compareceu ao laboratório após 30 dias do início dos sintomas para coleta
de sangue. Sorologia negativa para Borrelia burgdorferi.
Materiais e Métodos
36
DFS: feminino, 31 anos. Viajou para Juquitiba para participar de um evento.
Durante sua estadia, o viu carrapatos e nem teve picadas. Após 14 dias
da viagem, começou a apresentar: febre diária de 37,5ºC, poliartralgia
(migratória em membros superiores) e múltiplas manchas. Após 23 dias,
artrite em joelhos, pés e mãos, muita fadiga, artralgia, febre e manchas
recorrentes (poucas). Tomou 3 dias de cefalexina. Compareceu ao
laboratório após 60 dias do início dos sintomas para coleta de sangue.
Sorologia positiva para Borrelia burgdorferi (WB: 1 banda para IgG / 3
bandas para IgM).
JS: masculino, 67 anos. Foi picado por carrapato 11 dias antes da coleta de
exame, na região de Vinhedo (SP) com desenvolvimento de EM. Sorologia
positiva para Borrelia burgdorferi (WB: 2 bandas para IgM).
CCM: feminino, 30 anos. Fez visita à Ilha Grande. Sintomas apareceram
após 15 dias, incluindo sintomas gripais, sensação de febre (calafrios),
fadiga, artrite importante nos dedos das mãos, mialgia e nucalgia.
Apresentou ainda artrite em joelhos e cotovelos. Vem desenvolvendo lesões
de pele, as quais são recorrentes, nas pernas, pés, braços e abdômen. As
lesões eritematosas tem caráter expansivo e escurecem. Sorologia negativa
para Borrelia burgdorferi.
ORG: masculino, 60 anos. Contraiu a infecção quando trabalhava na
Floresta Amazônica, desenvolvendo na época, EM na perna D e sintomas
Materiais e Métodos
37
gripais. Procurou infectologista na cidade de Manaus, que fez o diagnóstico
de DL e prescreveu doxiciclina 100 mg de 12/12h por 15 dias. Após
aproximadamente 8 meses, desenvolveu artrite, quando a sorologia para
Borrelia burgdorferi realizada no LIM-17 do HCFMUSP foi positiva (WB: 4
bandas para IgG).
PMCP: masculino, 11 anos. Adquiriu a enfermidade na cidade litorânea de
Ubatuba, SP, após adentrar na Mata Atlântica e sofrer picadas de insetos,
que não soube precisar. Desenvolveu EM na hemiface E acompanhado de
febre baixa, cefaléia e poliartralgia. Após cinco meses, apresentou artrite em
joelhos, febre e dificuldade de movimento em braços e dedos das mãos.
Devido à persistência dos sintomas foi medicado com penicilina benzatina
1.200.000 U. Sorologia negativa para Borrelia burgdorferi.
ABPLS: feminino, 15 anos. Viajou para Bonito (MS), onde foi picada por
carrapatos (região da Serra da Bodoquena), e após 3 dias iniciou quadro de
febre até 38,9ºC, EM em braço esquerdo, acompanhado de fraqueza, enjoo,
dores nas pernas e braços, cefaléia e dor de estômago. Ao retornar à SP,
procurou serviço médico e foi medicada com tetraciclina por 7 dias.
Compareceu ao LIM-17 do HCFMUSP após 30 dias do início do quadro para
realizar exames, e devido a persistência de sintomas como distúrbios do
cognitivo (raciocínio, sonolência), cefaléia, mialgia e fraqueza, foi orientada a
tomar doxiciclina 100 mg/2x ao dia por no mínimo mais 2 meses. Sorologia
negativa para B. burgdorferi.
Materiais e Métodos
38
GHP: masculino, 10 anos. Frequentou sítio na região de Itatiba (SP), onde
teve contato com animais infestados por carrapatos. Após 10 dias do retorno
da viagem, iniciou quadro de prurido generalizado intermitente, persistente e
diário, com lesões eritematosas expansivas em tronco e MMII,
acompanhado por febre, artralgias generalizadas, cefaléia e mialgia. Iniciou
tratamento com corticóides (administrado devido a edema angioneurótico),
antialérgicos (sem remissão das lesões) e anti-inflamatórios, referindo
melhora das dores com o uso regular das drogas. Após 6 meses, sem
melhora das lesões, iniciou quadro de poliartrite acompanhada por febre
baixa. Iniciou tratamento com anti-inflamatório não hormonal e antitérmico,
com melhora do quadro na vigência da medicação. Compareceu ao LIM-17
do HCFMUSP para coleta de exames, cerca de 360 dias após o início dos
sintomas, sem uso de antibióticos e apresentava-se sintomático com lesões
de pele e artrite. Sorologia negativa para B. burgdorferi.
MAOO: feminino, 53 anos. Refere que cerca de 4 anos, após entrar em
mata (Caconde-MG) para colocar apiários, notou carrapato fixado na região
abdominal E, com surgimento de eritema e prurido local. Retirou o parasito
com álcool, tendo notado que a lesão eritematosa não melhorava. Após
cerca de um s, a lesão aumentou ao redor da origem da picada,
mantendo-se eritematosa, não pruriginosa. Na mesma época iniciou cefaléia
holocraniana, de duração contínua, de 2 a 3 dias, de difícil controle, tendo
usado analgésicos. Nega febre. Refere desde então artralgias em joelhos D
e E, quadril D, com uso regular de anti-inflamatório não hormonal, com
Materiais e Métodos
39
melhora das dores. Após seis meses, sem melhora da lesão, procurou
dermatologista, tendo aplicado pomada local com pouca melhora da
vermelhidão cutânea. Refere que a lesão aumentou centrifugamente tendo
permanecido estável em tamanho com cerca de 10 cm de diâmetro por 5 de
largura, mudando de cor e ficando mais endurecida. Após três anos sem
melhora procurou o ambulatório de Reumatologia por artralgias tendo sido
solicitada avaliação do serviço de dermatologia, e feito biópsia no local da
lesão. Na avaliação ambulatorial a paciente apresentava lesão eritematosa
localizada em flanco E de cerca de 10 X 5 cm de circunferência, espessada,
com bordas bem regulares e acentuadas pelo eritema. Apresentava dores
em joelhos com discreta sinovite. Foram realizados exames gerais e
específicos para afastar outras infecções e doenças autoimunes, todos
negativos. Foi encaminhada para o Serviço de Reumatologia, quando a
minuciosa revisão da história clínica, dados epidemiológicos, sintomas
compatíveis e sorologia positiva para B. burgdorferi, permitiram concluir
tratar-se de SBY. Foi medicada com ceftriaxona, 2g EV, seguida do uso de
doxaciclina, havendo melhora do tamanho da lesão e do eritema, do
espessamento de pele, da cefaléia e das artralgias. Foi solicitada avaliação
da dermatologia, que realizou biópsia de pele que mostrou dermatite
perivascular edematosa com raros eosinófilos e aumento de colágeno
sugestivo de esclerodermia. Após seis meses do início de tratamento e dois
meses, em uso de difosfato de cloroquina evoluiu com dor aguda em quadril
D, com dificuldade para deambular, com febre baixa não medida. Feito
novamente sorologia para B. burgdorferi que mostrou-se positiva, sendo
Materiais e Métodos
40
medicada com nova rie de ceftriaxona 2g/EV/dia por 30 dias, com
remissão da dor, porém com dificuldade de deambulação. Feito nova série
de doxiciclina, com orientação de não entrar em mata, e mudança de
medicação de manutenção, de cloroquina para sulfassalazina (SSZ).
Paciente permanece em acompanhamento há dois anos mantém-se
medicada com SSZ 2g VO/dia com melhora importante dos sintomas
articulares, porém com persistência das lesões de pele, no mesmo local do
original e aumento das lesões cutâneas em tronco. Quando a paciente ficou
assintomática, sem quadro articular ou cefaléia, mantendo apenas a lesão
de pele, foi suspensa medicação e solicitada nova sorologia para B.
burgdorferi que resultou positiva (WB: 2 bandas para IgM). Neste estágio
realizou nova biópsia de pele com extração de DNA para PCR.
4.2. Coleta e armazenamento dos materiais
Os pacientes suspeitos dos grupos A e B foram encaminhados ao
LIM-17 do HCFMUSP, pelos médicos de outras Instituições como o Instituto
de Infectologia Emílio Ribas ou outras Universidades Públicas (UNICAMP,
Ribeirão Preto), para a coleta de sangue para pesquisa de anticorpos anti B.
burgdorferi. No dia da coleta foi preenchido um breve questionário contendo
dados clínicos e epidemiológicos, que junto com os dados sorológicos
permitiram ou não a inclusão do enfermo no grupo da SBY.
Materiais e Métodos
41
O trabalho foi aprovado pela Comissão de Ética (CAPPesq
0895/05) (Anexo 8.1.) e os pacientes e controles assinaram o termo de
consentimento informado.
Amostras de sangue foram coletadas em tubos seco e com EDTA. O
tubo seco foi centrifugado para a obtenção do soro, o tubo com EDTA foi
utilizado para a realização de PCR para pesquisa de Mycoplasma spp e
Chlamydia spp (somente para o grupo A) e Borrelia spp (para os grupos A e
B). Outros procedimentos incluíram preparo de lâminas para microscopia de
campo escuro e em alguns casos a semeadura do sangue em meio de
cultura SP-4, além de envio de amostras para a microscopia eletrônica
(somente para o grupo A).
4.3. Microscopia de campo escuro
Colocou-se numa lâmina 1 a 2 gotas de soro, homogeneizado com
uma pequena quantidade de hemácias, apoiando uma lamínula sobre a
lâmina. Procedeu-se a leitura em microscópio de campo escuro.
4.4. Meio de cultura Spiroplasma mirum base SP-4 (modificado)
Seguiu-se o seguinte protocolo para o preparo do meio de cultura
SP-4:
Materiais e Métodos
42
- PPLO broth base: 13g
- Bacto-tryptone (Difco): 10g
- Bacto-peptone (Difco): 5g
- Phenol red: 20g
- Água deionizada: 615mL
Autoclavou-se os reagentes acima a 121ºC por 15-20 minutos.
Após esterilização, filtrou-se e adicionou-se os seguintes reagentes:
- CMRL 1066 (10x), 4,9g: 50mL
- Yeastolate solution (2%), 2g: 100mL
- Soro fetal bovino: 170mL
Foram feitas alíquotas do meio de aproximadamente 6mL em tubo de
vidro para cultura com tampa de rosca. Armazenou-se a -20ºC.
Para o cultivo, descongelou-se a alíquota em banho-maria, deixando-
a atingir a temperatura de 36ºC.
O tubo contendo o meio foi aberto próximo ao bico de Bunsen,
passando a extremidade do tubo sobre o mesmo.
Adicionou-se ao meio aproximadamente 1mL de sangue total. O tubo
foi fechado e levado à estufa (36ºC).
A análise foi realizada após 72 horas. No caso de um bom
crescimento de estruturas, uma alíquota foi enviada para Microscopia
Eletrônica e/ou adicionada a uma cultura de células endoteliais.
Materiais e Métodos
43
4.5. Detecção de anticorpos anti Borrelia burgdorferi pelo Western
blotting (Dressler et al., 1993; Costa, 1998; Barros, 2000).
Para realização do WB procedeu-se a eletroforese vertical do extrato
total de B. burgdorferi cepa G39/40 (obtido através do sonicado total da B.
burgdorferi cepa G39/40, de origem americana, inicialmente isolada de
carrapatos Ixodes scapularis, conservado congelado em nitrogênio líquido),
reduzido com dithiothreitol (Bio Rad) em gel de poliacrilamida a 10%.
As proteínas do gel foram transferidas para o papel de nitrocelulose
com porosidade de 0,2 µm. Após transferência do antígeno, o papel de
nitrocelulose foi corado com Ponceau (por 10 minutos) e lavado com água
destilada para retirar o excesso do corante e cortado em tiras, as quais
foram bloqueadas (tampão Tris (TBS) Tween 0,1% - leite desnatado 5%
pH 7,4), lavadas, incubadas com as amostras (diluição 1:100), lavadas,
incubadas com conjugado (anti-IgM ou anti-IgG humano conjugado à enzima
fosfatase alcalina), lavadas e reveladas.
4.6. Detecção de anticorpos anti Borrelia burgdorferi pelo método
imunoenzimático (ELISA) (Grodzicki e Steere, 1988; Mandell et al., 1989;
Costa, 1998; Barros, 2000)
As placas, Immulon 1B (Thermo Electron Corporation, USA), foram
sensibilizadas, com 100µl de sonicado total de Borrelia burgdorferi cepa G
Materiais e Métodos
44
39/40 na concentração de 15µg/ml diluído em tampão carbonato pH 9,6 e
mantidas a C em câmara úmida durante a noite. Lavou-se as placas 3
vezes com tampão fosfato (PBS) com 0,05% de Tween 20, pH 7,4.
Após sensibilização, os sítios inespecíficos das placas foram
bloqueados com 100µl por poço de solução protéica feita com leite
desnatado à 5%, diluído em tampão fosfato com 0,5% de Tween 20, pH 7,4.
Incubou-se as placas por 1 hora, à temperatura ambiente. Então, as placas
foram lavadas 3 vezes com tampão fosfato (PBS) com 0,05% de Tween 20,
pH 7,4.
As amostras foram diluídas em PBS Tween com 5% de leite
desnatado pH 7,4 na proporção 1/400 para IgG e 1/100 para IgM.
As placas foram incubadas durante 1 hora. Lavou-se as placas 3
vezes, e adicionou-se 100µl / poço de anti-IgM ou anti-IgG humano
conjugado à enzima fosfatase alcalina (Sigma), diluído 1/1000 em PBS-
Tween- leite desnatado pH 7,4, incubando-se por 1 hora. As placas foram
lavadas novamente 3 vezes como descrito acima e adicionou-se 100µl por
poço de substrato p-nitro-fenil-fosfato na concentração de 1 mg/ml diluído
em tampão glicina pH 10,5 para leitura em espectrofotômetro para ELISA
(Labsystems Multiskan MS) em comprimento de onda de 405 nm.
4.7. Detecção de anticorpos anti Mycoplasma pneumoniae pelo todo
imunoenzimático (ELISA)
Materiais e Métodos
45
Foram utilizados kits ImumnoWELL™ - Mycoplasma pneumoniae
antibody (IgG e IgM) da GenBio (San Diego, CA), para realização deste
procedimento.
Toda a metodologia seguiu os padrões recomendados pelo fabricante
do kit.
4.8. Detecção de anticorpos anti Chlamydia spp pelo método de
imunofluorescência indireta (IFI)
Foram utilizados kits de Imunofluorescência Indireta - Chlamydia
Antibody Test System (IgG e IgM) da Bion Enterprises (USA) para a
realização destes ensaios.
A metodologia seguiu os padrões citados no manual do fabricante do
kit.
4.9. Cultura de células endoteliais
Linhagens de células HUV-EC-C (Umbilical cord, human – ATCC CRL
1730), foram cultivadas em garrafas de 25cm² contendo meio 199 (GIBCO
BRL), suplementado com 10% de soro fetal bovino inativado, 1% penicilina +
estreptomicina. Logo após a confluência foi adicionado 1ml de cultura de
sangue de paciente inoculada em SP-4 por 72 horas. Após 24 horas dessa
Materiais e Métodos
46
inoculação, foi realizada a troca do meio (meio 199 suplementado com 10%
de soro fetal bovino inativado - sem antibiótico). Essa cultura de células foi
mantida por 10 dias em estufa de CO2, fazendo-se a manutenção através da
troca do meio de cultivo.
Após esse período, as células foram tripsinizadas. A seguir adicionou-
se meio 199 (GIBCO BRL) com 20% de soro fetal bovino para bloquear a
ação da tripsina. Posteriormente, as células foram lavadas com PBS. Uma
alíquota dessas células (aproximadamente 1ml) foi enviada para a
microscopia eletrônica em glutaraldeído 2% na proporção 1:1, no intuito de
verificar se as células endoteliais foram infectadas pelos micro-organismos.
4.10. Coloração de Borrelia burgdorferi cultivadas em meios BSK e
SP-4 modificado
Estes experimentos tiveram como objetivo verificar se a B. burgdorferi
cepa G39/40 de origem americana, seria capaz de sobreviver em meio SP-4,
teoricamente inadequado para o seu desenvolvimento, analisando-se o seu
crescimento e mudanças morfológicas e tintoriais. Algumas amostras de
sangue de pacientes do grupo A foram semeadas em meio de cultura BSK
ideal para crescimento de B. burgdorferi sensu lato e em meio SP-4 e
coradas por diferentes metodologias.
Materiais e Métodos
47
4.10.1. Acridine orange
Borrelia burgdorferi cepa G39/40 de origem americana, conservada
congelada em nitrogênio líquido foi inoculada em meio BSK e, após
crescimento, uma lâmina desta cultura foi preparada, deixando-a secar em
temperatura ambiente e, posteriormente, a mesma foi fixada com etanol
absoluto gelado por 10 minutos. Após terem sido fixadas, colocou-se uma
gota da seguinte solução:
- Acridine orange (1X) em PBS (1:150)
Adicionou-se 10µl de Azul de Evans (10mg) em 100 µl da solução preparada
acima (1:10).
Colocou-se esta solução final sobre a lâmina, cobriu-se com uma
lamínula, levando-a em seguida para leitura em microscópio de
fluorescência.
A cultura de B. burgdorferi semeada em meio SP-4 foi realizada da
mesma forma e a coloração seguiu o mesmo procedimento acima.
4.10.2. Panótico
As lâminas foram preparadas conforme procedimento descrito
anteriormente para a coloração com Acridine orange. Após a secagem em
temperatura ambiente, procedeu-se a coloração conforme instruções do
fabricante do kit Panótico Rápido (Laborclin).
Materiais e Métodos
48
4.11. Extração de DNA
Para facilitar e agilizar as extrações de DNA das amostras de sangue
total, foram utilizados os kits comerciais DNeasy Blood & Tissue Kit
(Qiagen GmbH) para pequenos volumes (a200µl) e o QIAamp DNA
Blood Midi Kit (Qiagen GmbH), para volumes maiores (até 2 mL). Os
procedimentos seguiram as recomendações do fabricante.
4.12. PCR
4.12.1.Gradientes
Gradientes de temperatura foram realizados para determinar a
temperatura ideal de anelamento das amostras em todos os primers
utilizados.
4.12.2. Primers e ciclos de temperatura
4.12.2.1. Borrelia spp (gene FlaB - flagelina) (Stromdahl et al., 2003)
Para a reação num volume final de 50µl foram utilizados 5µl da
amostra de DNA extraído, 2µl de cada primer (1.0µM), 5µl Tris-HCl (10mM),
Materiais e Métodos
49
3µl MgCl2 (1.5 mM), 8µl dNTP mix (1,25mM), 0.25µl TaqDNA polimerase
(1.5U) e 24,75µl de H
2
O Milli Q.
FLA LL (5’- ACA TAT TCA GAT GCA GAC AGA GGT – 3’)
FLA RL (5’-GCA ATC ATA GCC ATT GCA GAT TGT – 3’)
Para Borrelia spp (gene flagelina), os ciclos de temperatura e tempo
para a reação consistiram em uma desnaturação inicial por 3 minutos a
95ºC, seguida de 40 ciclos, cada um consistindo em uma desnaturação a
95ºC por 1 minuto, anelamento a 65ºC por 1 minuto (obtido após gradiente
de temperatura) e extensão a 75ºC por 1 minuto.
4.12.2.2. Borrelia spp (gene 16S rRNA) ( baseado no trabalho de Rich et
al., 2001).
Para a reação num volume final de 50µl foram utilizados 5µl da
amostra de DNA extraído, 2µl de cada primer (1.0µM), 5µl Tris-HCl (10mM),
3µl MgCl2 (1.5 mM), 8µl dNTP mix (1,25mM), 0.4µl TaqDNA polimerase
(2U) e 24,6µl de H
2
O Milli Q.
Iniciadores para amplificação parcial do gene 16S rRNA
16borTF ( 5’ – GAG TCT GCG TCT TAT TAG CTA – 3’)
16borTR (5’ - AAC AAG GGT TGC GCT CGT TG – 3’)
Materiais e Métodos
50
Para Borrelia (gene 16S rRNA), os ciclos de temperatura e tempo
para a reação consistiram em uma desnaturação inicial por 3 minutos a
94ºC, seguida de 35 ciclos, cada um consistindo em uma desnaturação a
94ºC por 1 minuto, anelamento a 68ºC por 1 minuto e extensão a 72ºC por 1
minuto e 30 segundos.
4.12.2.3. Chlamydia spp (Messmer et al., 1997)
Para a reação num volume final de 50µl foram utilizados 5µl da
amostra de DNA extraído, 1µl de cada primer (0.2µM), 5µl Tris-HCl (10mM),
3µl MgCl2 (2.5 mM), 8µl dNTP mix (1,25mM), 0.25µl TaqDNA polimerase
(1.25U) e 26,75µl de H
2
O Milli Q.
Chlamy 1 (5’- ACG GAA TAA TGA CTT CGG – 3’)
Chlamy 2 (5’- TAC CTG GTA CGC TCA ATT – 3’)
Para Chlamydia spp, os ciclos de temperatura e tempo da reação
consistiram em uma desnaturação inicial por 2 minutos a 95ºC, seguida de
35 ciclos, cada um consistindo em uma desnaturação a 94ºC por 1 minuto,
anelamento a 54ºC por 30 segundos (obtido após gradiente de temperatura)
e extensão a 72ºC por 1 minuto.
4.12.2.4. Mycoplasma spp (Smith et al., 2004)
Materiais e Métodos
51
Para a reação num volume final de 50µl foram utilizados 5µl da
amostra de DNA extraído, 2,5µl de cada primer (0.5µM), 5µl Tris-HCl
(10mM), 1,5µl MgCl2 (1.5 mM), 8µl dNTP mix (1,25mM), 0.4µl TaqDNA
polimerase (2U) e 25,1µl de H
2
O Milli Q.
Myco – F (5’- GGG AGC AAA CAG GAT TAG ATA CCC T – 3’)
Myco – R (5’- TGC ACC ATC TGT CAC TCT GTT AAC CTC – 3’)
Para Mycoplasma spp, os ciclos de temperatura e tempo da reação
consistiram em uma desnaturação inicial por 4 minutos a 95ºC, seguida de
40 ciclos, cada um consistindo em uma desnaturação a 94ºC por 45
segundos, anelamento a 64ºC por 1 minuto (obtido após gradiente de
temperatura) e extensão a 72ºC por 2 minutos.
4.12.2.5. Mollicutes (Cordova e Cunha et al., 2002)
Para a reação num volume final de 50µl foram utilizados 5µl da
amostra de DNA extraído, 2 µl de cada primer (0.3µM), 5µl Tris-HCl (10mM),
3µl MgCl2 (2.5 mM), 8µl dNTP mix (1,25mM), 0.2µl TaqDNA polimerase
(1U) e 24,8µl de H
2
O Milli Q.
MGSO (5’-TGC ACC ATC TGT CAC TCT GTT AAC CTC – 3’)
GPO1 (5’- ACT CCT ACG GGA GGC AGC CGTA – 3’)
Materiais e Métodos
52
Para Mollicutes, os ciclos de temperatura e tempo da reação
consistiram em uma desnaturação inicial por 5 minutos a 95ºC, seguida de
30 ciclos, cada um consistindo em uma desnaturação a 95ºC por 30
segundos, anelamento a 66ºC por 1 minuto e 30 segundos (obtido após
gradiente de temperatura) e extensão a 72ºC por 1 minuto e 30 segundos.
4.12.2.6. Plasmídeos lp25 e lp28-1 (Iyer et al., 2003)
Para a reação num volume final de 50µl foram utilizados 5µl da
amostra de DNA extraído, 6 µl de cada primer (10pmoles), 5µl Tris-HCl
(10mM), 1,5µl MgCl2 (2.5 mM), 1,25µl dNTP mix (10mM), 0.25µl TaqDNA
polimerase e 25µl de H
2
O Milli Q.
lp25a (5’- AGAATTATGTCGGTGGCGTTGT – 3’)
lp25b (5’-ATTAAAGCCGCCTTTTCCTTGGT -3’)
lp28-1c (5’- AGTAGTACGACGGGGAAACCA – 3’)
lp28-1d (5’- ACTTTGCGAACTGCAGAC – 3’)
Para lp25, os ciclos de temperatura e tempo da reação consistiram
em uma desnaturação inicial por 2 minutos a 94ºC, seguida de 35 ciclos,
cada um consistindo em uma desnaturação a 94ºC por 30 segundos,
anelamento a 67ºC por 30 segundos (obtido após gradiente de temperatura)
e extensão a 72ºC 30 segundos.
Materiais e Métodos
53
Para lp28-1, os ciclos de temperatura e tempo da reação consistiram
em uma desnaturação inicial por 2 minutos a 94ºC, seguida de 35 ciclos,
cada um consistindo em uma desnaturação a 94ºC por 30 segundos,
anelamento a 59,5ºC por 30 segundos (obtido após gradiente de
temperatura) e extensão a 72ºC 30 segundos.
4.12.2.7. Plasmídeos cp32-4 e cp32-2/7 (Iyer et al., 2003)
Para a reação num volume final de 50µl foram utilizados 5µl da
amostra de DNA extraído, 6 µl de cada primer (10pmoles), 5µl Tris-HCl
(10mM), 1,5µl MgCl2 (2.5 mM), 1,25µl dNTP mix (10mM), 0.25µl TaqDNA
polimerase e 25µl de H
2
O Milli Q.
cp32-4a (5’- AGATCCTCAAAATAGTTTAACCAG – 3’)
cp32-4b (5’- TTAATATTGGCAGAGAGTCTACAG – 3’)
cp32-2/7a (5’ - GGAATGTATTAATTGATAATTCAG – 3’)
cp32-2/7b (5’ – GCGAAATAAATAGTGCCTTATGGG-3’)
Para cp32, os ciclos de temperatura e tempo da reação consistiram
em uma desnaturação inicial por 2 minutos a 95ºC, seguida de 35 ciclos,
cada um consistindo em uma desnaturação a 94ºC por 30 segundos,
anelamento a 52ºC por 30 segundos (obtido após gradiente de temperatura)
e extensão a 72ºC 30 segundos.
Materiais e Métodos
54
4.12.2.8. Borrelia spp (gene flgE gancho flagelar) (baseado em Sal et al.,
2008)
Para a primeira reação num volume final de 50µl, foram utilizados 5µl
da amostra de DNA extraído, 2µl de cada primer (5pmoles), 5µl Tris-HCl
(10mM), 3µl MgCl2 (1.5 mM), 8µl dNTP mix (1,25mM), 0.25µl TaqDNA
polimerase (1.5U) e 24,75µl de H
2
O Milli Q. Adicionou-se 1,5µl de DMSO por
amostra (concentração final 3%). Para a segunda reação (PCR/PCR),
utilizou-se 0,5µl do produto da reação, 2µl de cada primer (5pmoles), 5µl
Tris-HCl (10mM), 3µl MgCl2 (1.5 mM), 8µl dNTP mix (1,25mM), 0.25µl
TaqDNA polimerase (1.5U) e 29,25µl de H
2
O Milli Q. Adicionou-se 1,5µl de
DMSO por amostra (concentração final 3%).
flgE 470 FW (5’- CGCCTATTCTAACTTGACCTGAAT – 3’)
flgE 470 Rev (5’- CAACTCTAAGCTCAAGAACACCAA – 3’)
Para este primer, os ciclos de temperatura e tempo para a reação
consistiram em uma desnaturação inicial por 3 minutos a 95ºC, seguida de
um de 35 ciclos, cada um consistindo em uma desnaturação a 95ºC por 45
segundos, anelamento a 64ºC por 45 segundos e extensão a 72ºC por 45
segundos.
Para todas as reações, independente do primer, foi utilizado um
controle positivo (DNA do micro-organismo) e um controle negativo (mix). O
Materiais e Métodos
55
produto final das reações foi analisado em gel de agarose, corado por SYBr
Gold (Invitrogen) e visualizado à trans-iluminação pela ultravioleta.
4.13. Sequenciamento
As amostras que apresentaram positividade nas reações de PCR
foram purificadas com o QIAEX®II Gel Extraction Kit (Qiagen GmbH) e o
sequenciamento foi realizado com o BigDye Terminator Cycle Sequencing
kit, version 3.1 (Applied Biosystems), e analisado pelo ABI Prism 3730 DNA
analyzer (Applied Biosystems). As sequências obtidas foram submetidas à
análise utilizando o Basic Local Alignment Search Tool (BLAST - NCBI)
(Altschul et al., 1990).
5. Resultados
Resultados
57
5.1. Sorologia para Borrelia burgdorferi
5.1.1. Grupo A
Das 68 amostras de soros de pacientes com SBY do grupo A,
analisadas pelo método de ELISA, 23 (33,8%) foram positivas. Foram
submetidas também ao teste 50 amostras de indivíduos normais, sendo que
6 (12%) foram consideradas positivas.
Pelo método de WB, das 68 amostras de SBY, 40 (58,8%) foram
consideradas positivas. Das 50 amostras de indivíduos normais que
realizaram WB, apenas 06 foram positivas (12%). A partir dos resultados
obtidos, das 68 amostras de pacientes com SBY, 44 (64,7%) tiveram
sorologia positiva (ELISA ou WB) para B. burgdorferi. Das 50 amostras
oriundas de indivíduos normais, 8 (16%) foram consideradas positivas
(ELISA e WB), diferença estatisticamente significante pelo teste de t-Student
( P<0,05 )(intervalo de confiança de 95%). A análise estatística foi realizada
pelo programa SPSS 14.0 for Windows.
Confirmou-se a baixa sensibilidade dos testes sorológicos, em torno
de 65%, mesmo com a inclusão dos dois métodos laboratoriais (ELISA e
WB) em conjunto, e que, a especificidade dos ensaios, quando calculada
baseada em indivíduos normais, que não frequentavam áreas de risco foi de
84%.
Resultados
58
5.1.2. Grupo B
Das 10 amostras de soros de pacientes com SBY do grupo B,
analisadas pelo método de ELISA, nenhuma apresentou positividade.
pelo método de WB, 4 (40%) foram consideradas positivas.
5.2. Sorologia para Mycoplasma pneumoniae
Das 68 amostras dos pacientes com diagnóstico de SBY do grupo A,
31 (45,6%) foram consideradas positivas, e das 50 amostras de indivíduos
normais, 21 (42%) foram positivas. Estes dados indicam que a frequência de
positividade de anticorpos para M. pneumoniae foi semelhante nos dois
grupos, confirmado estatisticamente pelo teste t-student ( P>0,05 )(intervalo
de confiança de 95%). A análise estatística foi realizada pelo programa
SPSS 14.0 for Windows.
5.3. Imunofluorescência Indireta (IFI) para Chlamydia spp
Das 68 amostras de pacientes com SBY do grupo A, 56 (82,35%)
foram consideradas positivas para anticorpos da classe IgG (Figura 1). Das
50 amostras de indivíduos normais, 44 (88%) foram positivas. A análise
estatística realizada pelo teste t-Student, mostrou-se não significante
Resultados
59
(P>0,05) (intervalo de confiança de 95%). A análise estatística foi realizada
pelo programa SPSS 14.0 for Windows.
Figura 1 - Paciente com sorologia positiva (IgG) para Chlamydia spp (400X)
5.4. Microscopia de campo escuro
1:40
Controle Positivo
1:160
1:640
Controle negativo
1:2560
Resultados
60
Foram analisadas 52 amostras de sangue de pacientes com SBY do
grupo A ao microscópio de campo escuro, dos quais 49 (94,2%) foram
consideradas positivas, apresentando estruturas sugestivas de espiroquetas.
Das 50 amostras de indivíduos normais, 10 (20%) apresentaram
espiroquetídeos, e esta diferença foi estatisticamente significante pelo teste
t-Student, (P<0,05) (intervalo de confiança de 95%). A análise estatística dos
foi realizada pelo programa SPSS 14.0 for Windows.
5.5.Cultura de espiroquetídeos visualizados no sangue em meio SP-4
As amostras de sangue provenientes de pacientes com SBY foram
selecionadas através da análise em microscopia de campo escuro, sendo
que ao apresentar uma quantidade significativa de espiroquetídeos, a
amostra foi semeada em meio SP-4.
Das 68 amostras de pacientes com SBY do grupo A, foram
selecionadas 19 amostras mais ricas em espiroquetídeos identificados à
microscopia de campo escuro, e que foram semeadas em meio SP-4. Em 14
amostras (73,7%) houve crescimento de estruturas após 72 horas de cultivo,
visualizada em microscopia de campo escuro (Figura 2).
Resultados
61
Figura 2 - Crescimento de estruturas sugestivas de espiroquetas após
inoculação de sangue de paciente com SBY em meio de cultura SP-4.
Visualização em microscopia de campo escuro. Aumento 1000X.
5.6. Microscopia eletrônica
Foram analisadas à microscopia eletrônica, amostras de 08 pacientes
com diagnóstico de SBY do grupo A. Incluiu-se ainda, amostras de 01
indivíduo normal, 03 controles de células endoteliais, 01 amostra de B.
burgdorferi cultivada em meio SP-4 e 01 amostra de B. burgdorferi cultivada
em meio BSK. As amostras selecionadas para análise à microscopia
eletrônica, apresentavam-se ricas em espiroquetídeos no sangue periférico
ou em culturas no meio SP-4.
A primeira amostra escolhida foi proveniente de 1ml de sangue total
de paciente com SBY, que apresentava grande quantidade de estruturas à
microscopia de campo escuro. Na microscopia eletrônica, visualizaram-se
Resultados
62
estruturas sugestivas de Chlamydia spp, Mycoplasma spp, espiroquetas e
Archaebacteria spp (Figura 3).
A B
Figura 3 - Visualização de estruturas que lembram Chlamydia spp,
espiroquetas, Mycoplasma spp e Archaebacteria spp, em material
proveniente do sangue periférico de paciente com SBY, analisado à
microscopia eletrônica. Aumento de 24000X em A, B e C e 30000X em D.
Onde: Ch: Chlamydia spp; E: Espiroqueta; My: Mycoplasma spp; Ac:
Archaebacteria spp.
A segunda e terceira amostras foram provenientes do cultivo de 1ml
de sangue total de pacientes com SBY, semeados em meio SP-4 e mantidos
por três dias. Utilizou-se alíquotas de 1ml da bactéria em suspensão neste
Ch
E
My
Ac
C D
Resultados
63
meio para análise à microscopia eletrônica. Houve identificação de
estruturas sugestivas de espiroquetas e Mycoplasma spp na segunda
amostra (Figuras 4 e 5), assim como na terceira amostra (Figuras 6 e 7).
Figura 4 - Visualização de estruturas que sugerem espiroquetas e
Mycoplasma spp à microscopia eletrônica, em sangue de paciente com SBY
semeado em meio de cultura SP-4. Aumento de 24000X. Onde: E:
Espiroquetídeo; My: Mycoplasma sp.
Figura 5 - Visualização de estruturas que lembram espiroquetas à
microscopia eletrônica, no sangue periférico de paciente com SBY semeado
em meio SP-4. Aumento de 6200X.
My
E
Resultados
64
Figura 6 - Visualização de estruturas que sugerem espiroquetas e
Mycoplasma spp à microscopia eletrônica, em sangue de paciente com SBY
semeado em meio de cultura SP-4. Aumento de 24000X. Onde: E:
Espiroquetídeo; My: Mycoplasma spp.
Figura 7 - Visualização de estrutura que lembra espiroqueta à microscopia
eletrônica, no sangue periférico de paciente com SBY semeado em meio
SP-4. Aumento de 65000X.
A quarta amostra também foi proveniente do cultivo de 1ml sangue
total de paciente com SBY, semeado em meio SP-4 por três dias, sendo
utilizado uma alíquota de 1ml da bactéria em suspensão neste meio para
análise à microscopia eletrônica. Houve identificação de estruturas
sugestivas de espiroquetas.
My
E
Resultados
65
A quinta e a sexta amostras enviadas à ME, eram amostras de 1 ml
de plasmas, provenientes de dois pacientes com SBY. Entretanto nestes
casos não houve identificação de micro-organismos, provavelmente devido
ao tipo de material (plasma).
A sétima e a oitava amostras de sangue com espiroquetídeos foram
empregadas para serem semeadas em cultivo de células endoteliais.
Semeou-se inicialmente 1 ml de sangue total de pacientes com SBY,
contendo espiroquetídeos em meio SP-4, e após 3 dias, uma alíquota de 1
ml da suspensão contendo espiroquetídeos, foi adicionada em frascos de
cultura contendo células endoteliais aderidas. Após 10 dias de incubação, as
células endoteliais foram removidas e levadas à microscopia eletrônica,
quando se observou presença de espiroquetídeos no interior de células
endoteliais da sétima amostra (Figura 8), enquanto a oitava foi negativa.
Figura 8 - Visualização de espiroquetídeo no interior de célula endotelial à
microscopia eletrônica, após incubação com meio de cultura SP-4 contendo
espiroquetídeos em suspensão. Aumento de 15000X.
Foi inoculado também 1 ml de sangue total de individuo controle
normal, positivo à microscopia de campo escuro para a presença de
Resultados
66
espiroquetídeos em meio SP-4. Após 3 dias de cultivo, uma alíquota em
suspensão foi colocada em cultura de lulas endoteliais. Após 10 dias a
amostra foi encaminhada à microscopia eletrônica, e não foi visualizada a
presença de estruturas no interior das células endoteliais.
Amostras controles de cultura de lulas endoteliais (sem inoculação
de bactérias) foram mantidas em meio 199 durante 10 dias e depois
encaminhadas à microscopia eletrônica. Não foi visualizado nenhum sinal de
inclusão bacteriana nestas células.
Amostras de cultura de Borrelia burgdorferi também foram enviadas
para análise ao microscópio eletrônico, sendo uma inoculada em meio SP-4
(Figura 9) e outra em BSK e posteriormente em células endoteliais (Figuras
10 e 11). As fotos mostram borrelias que perderam sua morfologia habitual
espiralada, aparentemente sem flagelo, e outras morfologias que lembravam
cistos.
Figura 9 - Cultura de Borrelia burgdorferi inoculada inicialmente em meio SP-
4 por três dias e a seguir semeada em cultura de células endoteliais.
Amostra de células endoteliais cultivadas por 26 dias e enviada à ME, exibe
estruturas que lembram cistos. A cultura foi centrifugada para concentração
dos micro-organismos, antes do envio do material para análise à ME.
Aumento de 10000X.
Resultados
67
Figura 10 - Borrelia burgdorferi foi semeada em meio BSK e a seguir
inoculada em cultura contendo células endoteliais. Amostras de lulas
endoteliais foram coletadas após 3 dias e analisadas à ME, visualizando-se
estruturas que lembram borrelias que perderam morfologia espiralada e
aparentemente sem flagelos. Aumento de 7200X.
Figura 11 - Borrelia burgdorferi mantida em cultivo no meio BSK, a seguir
inoculada em cultura de células endoteliais mantidas em meio 199. Após 3
dias, coletou-se amostras de células endoteliais que foram enviadas à ME,
onde visualiza-se estruturas que sugerem espiroquetas não espiraladas com
morfologia bacteroide e outras estruturas que lembram cistos. Aumento de
4200X.
5.7. Coloração
Resultados
68
5.7.1. Coloração de cultura de Borrelia burgdorferi em BSK com
Acridine orange
A cultura de B.burgdorferi realizada em meio BSK, próprio para cultivo
desta, ao atingir seu nível de crescimento ideal, mostrou espiroquetas com a
morfologia esperada, ou seja, espiraladas e longas, quando coradas com
Acridine orange e Azul de Evans, que marcam o material genético (Figura
12).
Figura 12 - Cultura de B. burgdorferi em meio BSK, corada com Acridine
orange e Azul de Evans (1000X).
5.7.2. Coloração de cultura de Borrelia burgdorferi semeada em meio
SP-4 com Acridine orange
Quando a B. burgdorferi foi semeada em meio SP-4 (modificado), não
adequado ao desenvolvimento de borrelias, as bactérias cresceram pouco e
houve mudança na morfologia das espiroquetas, que exibiram diferentes
formas e tamanhos, algumas simulando cistos (Figura 13).
Resultados
69
Figura 13 - Cultura de B. burgdorferi em meio SP-4, corada pelo método de
Acridine orange e Azul de Evans (1000X).
5.7.3. Coloração da B. burgdorferi semeada em meio BSK pelo
Panótico
Foi realizada a coloração da cultura de B. burgdorferi semeada em
meio BSK com Panótico Rápido, que mostrou espiroquetas de morfologia
preservada.
5.7.4. Coloração da B. burgdorferi semeada em meio SP-4 pelo
Panótico
Resultados
70
Borrelia burgdorferi quando cultivada em meio SP-4 e corada pelo
Panótico, mostra transformação de sua morfologia para formas atípicas,
algumas simulando cistos (Figura 14).
Figura 14 - Cultura de B. burgdorferi semeada em meio SP-4 e corada pelo
Panótico (1000X).
5.7.5. Coloração pelos todos de Panótico Rápido e Acridine orange
dos espiroquetídeos visualizados em sangue de pacientes com
SBY semeado em meio SP-4
Não houve sucesso na tentativa de coloração pelo todo de
Panótico Rápido das estruturas (espiroquetídeos) visualizadas através de
MO no sobrenadante da cultura de sangue dos pacientes com SBY
inoculadas em meio SP-4.
Resultados
71
Pelo método de Acridine orange, os resultados também não foram
promissores. Raras estruturas sugestivas de cistos foram coradas.
5.8. Biologia Molecular
5.8.1. PCR
5.8.1.1. Grupo A
Das 68 amostras de pacientes com SBY do grupo A, 54 (79,4%)
tinham sangue total armazenado e, consequentemente, foram testadas com
os primers: Borrelia spp (gene flagelina e 16S rRNA), Chlamydia spp,
Mycoplasma spp e Mollicutes sendo que todas apresentaram-se negativas
nestas reações. Das 50 amostras do grupo controle, 49 (98%) foram
testadas para os mesmos primers que o grupo de SBY, apresentando-se
negativas também.
As reações de PCR que amplificam fragmentos dos genes dos
plasmídeos lp25 e lp28-1 apresentaram-se negativas, tanto para o grupo
SBY quanto para o grupo controle.
Com os primers para detecção de plasmídeos circulares cp 32, 4 das
54 amostras do grupo A (SBY) (7,4%) foram positivas quando testadas com
os primers cp32-2/7 e 9 (16,6%) quando testadas com os primers cp 32-4
(Figura 15).
Resultados
72
Figura 15 - PCR realizada para identificar fragmento genético do plasmídeo
cp32-4, onde: PM=peso molecular (50bp); C+ =controle positivo B.
burgdorferi ; A= amostra paciente SBY.
Porém, ao enviar o material para sequenciamento, observou-se
existência de dois picos distintos de nucleotídeos. Este dado indica que no
gel haveria duas bandas indistinguíveis entre si (muito próximas uma da
outra), uma delas possivelmente relacionada com gene da borrelia e a outra
homóloga ao cromossomo humano. Em resumo, primers derivados do
complexo cp32 não permitiriam a identificação do agente etiológico da SBY,
pois havia cruzamento com genes de cromossomos humanos.
O emprego dos primers para o gene flgE apresentou resultados
negativos tanto para o grupo A como para o grupo controle.
5.8.1.2. Grupo B
Repetiu-se a PCR realizada com o gene flgE no grupo de 10
pacientes com histórico de EM e em atividade de doença, comparado com
M
A
PM C+ A
Resultados
73
49 controles de indivíduos normais. O teste também foi estendido de forma
preliminar à 47 amostras de carrapatos oriundos de áreas de risco do
Espírito Santo (sendo 17 R. microplus e 30 R. sanguineus), 27 bovinos e 26
equinos, animais estes oriundos da Universidade Federal Rural do Rio de
Janeiro (UFRRJ).
A PCR foi positiva (Figura 16 e 17) em 06 pacientes SBY (60%), 2
carrapatos (sendo 1 R. sanguineus e 1 R. microplus), 01 equino e 01 bovino.
Estas amostras foram sequenciadas e apresentaram, uma similaridade de
99% com Borrelia burgdorferi flagellar hook protein (flgE) gene (L43849).
Figura 16 - PCR com flgE onde: PM = peso molecular (50bp); C+ = B. garinii;
A= amostra paciente SBY; B= amostra carrapato
PM
C+
A
C+
B
Resultados
74
Figura 17 - PCR flgE onde: PM = peso molecular (50bp); C+ = B. garinii; C- =
controle normal; 1 ao 4= pacientes SBY
Salientamos que em todas as reações realizadas, o controle positivo
utlizado foi a B. garinii, que quando sequenciado, apresentou uma homologia
de 94% com Borrelia burgdorferi flagellar hook protein (flgE) gene (L43849) e
de apenas 92% com a sequência das nossas amostras, eliminando assim,
qualquer possibilidade de contaminação nas etapas dos procedimentos.
Todas as amostras do grupo controle apresentaram-se negativas para
estes primers.
O fragmento sequenciado em nossas amostras, composto por 329pb,
foi depositado no GenBank (acesso HM 245929) e este possui 2 bases
diferentes (em azul na Figura 18) do fragmento depositado (L43849)
correspondente à Borrelia burgdorferi flagellar hook protein (flgE).
2 PM C+ C- 1 3
4
Resultados
75
Figura 18 - Alinhamento das sequências das amostras positivas com o gene
da Borrelia burgdorferi flagellar hook protein (flgE) (L43849) realizado no
BLAST
Foi realizada também a PCR para Borrelia spp com os primers para
os genes FlaB e 16S rRNA, as quais apresentaram resultados negativos
para as 10 amostras de pacientes do grupo B.
6. Discussão
Discussão
78
O principal objetivo do estudo foi alcançado, pois identificamos o
agente etiológico da SBY, graças à analise do Western Blotting que indicava
a presença de anticorpos contra proteínas flagelares da B. burgdorferi de PM
41 Kda.
O flagelo tem sua síntese regulada por uma cascata de eventos
transcricionais, envolvendo a expressão ordenada de genes das classes 1, 2
e 3 (Aldridge e Hughes, 2002). A expressão dos genes de classe 1 dirige a
transcrição dos genes da classe 2, os quais codificam as proteínas
estruturais envolvidas na síntese do corpo basal e do gancho (exemplos:
flgM, σ28, flgE), bem como proteínas reguladoras específicas. Estas
proteínas reguladoras controlam a expressão dos genes da classe 3,
incluindo aqueles que codificam a flagelina e a quimiotaxia (FlaA e FlaB) (Sal
et al., 2008). Assim, imaginamos que a Borrelia brasileira poderia ter
deficiência nos genes reguladores da flagelina (FLaA e FLaB) (previamante
demonstrado no LIM-17 do HCFMUSP), mas que teria conservado ativo o
gene responsável pela síntese do gancho flagelar (flgE).
Os resultados preliminares com o flgE trouxeram grandes surpresas.
Conseguimos identificar a presença do fragmento deste gene em 06
amostras de pacientes com SBY do grupo B. Acreditamos que a positividade
esteve presente neste grupo pelo fato da doença estar em atividade no
momento da coleta de sangue e, possivelmente, as borrelias estarem
circulantes, diferentemente do grupo A, onde a maioria dos pacientes estava
em estágio latente. Este dado é de grande relevância clínica, pois mostra
que o primer flgE embora útil no descobrimento do agente etiológico da SBY,
Discussão
79
não seria apropriado no auxílio diagnóstico laboratorial da maioria dos casos
da zoonose, que na grande maioria, são identificados na fase latente da
enfermidade.
Além disso, a PCR para flgE apresentou-se positiva em 02 amostras
de carrapatos, 01 de equino e 01 de bovino. Todas as amostras positivas
apresentaram no sequenciamento uma homologia de 99% com Borrelia
burgdorferi flagellar hook protein (flgE) gene (L43849). Este dado, leva-nos
a supor que, podemos estar frente a uma nova espécie de Borrelia, muito
próxima a Borrelia burgdorferi, que a diferença entre a sequência
brasileira e a da B. burgdorferi é de apenas 2 pares de bases, diferença esta
que se repete em todas as nossas amostras, seja ela de humanos,
carrapatos ou animais.
A descoberta dos primers flgE propiciou também o avanço no
conhecimento da epidemiologia da SBY, pois conseguimos identificar de
forma preliminar, o agente etiológico da SBY em carrapatos Rhipicephalus
sanguineus e Rhipicephalus microplus, confirmando que os vetores no Brasil
não pertencem aos carrapatos do complexo Ixodes ricinus.
Devido ao fato de alguns animais (1 equino e 1 bovino) provenientes
da Universidade Federal Rural do Rio de Janeiro terem sido positivos para
estes primers e apresentarem a mesma homologia de 99% com a B.
burgdorferi, como os humanos e carrapatos, contribui de modo relevante na
compreensão da epidemiologia da SBY, pois indica a possibilidade dos
animais como cães, equinos e bovinos participarem como animais
reservatórios no país.
Discussão
80
Discutiremos a seguir, o porquê da SBY ser tão diferente da DL,
quanto aos aspectos epidemiológicos,clínicos, laboratoriais e terapêuticos,
uma vez que a B. burgdorferi é o mesmo agente de ambas as enfermidades,
existindo inclusive uma homologia de 99% no gene flgE. Saliente-se que
esta é a primeira descrição da B. burgdorferi no Hemisfério Sul, e que os
pesquisadores ainda não admitiram a existência da clássica DL nesta área
do planeta.
Quando o presente estudo foi iniciado, partimos do princípio de que a
SBY seria uma enfermidade, causada por um conjunto de micro-organismos
latentes, incluindo-se uma espiroqueta ainda indefinida, Mycoplasma spp e
Chlamydia spp, como havia sido sugerido os achados preliminares da
microscopia eletrônica realizados por Mantovani et al. (2007).
Mas, após a conclusão dos ensaios sorológicos para estes agentes,
vimos que as frequências de sorologias positivas para Mycoplasma
pneumoniae e para Chlamydia spp, foram semelhantes no grupo de
pacientes SBY e controles normais.
A literatura aponta que a positividade na IFI para Chlamydia spp
pode representar uma infecção aguda (IgM) ou exposição passada à
Chlamydia (IgG) ou aquisição passiva de anticorpos por transfusão
sanguínea, transplante de órgãos ou transferência placentária. Muitas
infecções por Chlamydia são assintomáticas ou com o mínimo de
sintomatologia (Swartz e Kraus, 1979). As infecções por C. pneumoniae e
M. pneumoniae não são geralmente identificadas na população saudável,
pois a etiologia das infecções respiratórias é investigada apenas em uma
Discussão
81
pequena parcela de pacientes, especialmente em casos prolongados, onde
falha com a terapia convencional ou quando a pneumonia requer
hospitalização (Tuuminen et al., 2000). Estas informações podem explicar
então a frequência semelhante das sorologias nos dois grupos (SBY e
normais).
Os dados da sorologia para Chlamydia spp e Mycoplasma
pneumoniae acrescidos dos resultados de Biologia Molecular (PCR), que
foram negativos para estes micro-organismos, abriram possibilidades
diferentes na interpretação dos resultados observados em nosso estudo.
Com base nas informações da literatura, sugeriu-se então que estas
diferentes estruturas de morfologias semelhantes à Mycoplasma spp e
Chlamydia spp, poderiam representar morfologias atípicas exibidas por
espiroquetas, na tentativa de sobreviverem em meios inadequados de cultivo
(Butler e Blakey, 1975; Murgia e Cinco, 2004). Nestas condições, as
bactérias assumem diferentes morfologias como as bactérias na forma L,
também conhecida como CWDB (Cell Wall Deficient Bacteria); corpos
densos de dupla membrana; bacteroides sem flagelos ou esporos (blebs).
As bactérias na forma L são desprovidas de parede celular e do ponto
de vista morfológico, são idênticas aos Mycoplasma spp (Clasener, 1972;
Onwuamaegbu et.al ,2005; Young, 2007); os corpos densos de dupla
membrana são semelhantes às Chlamydia spp, e os bacteroides lembram
espiroquetídeos. Dentre as condições desfavoráveis de cultivo, que induzem
o surgimento destas estruturas, citam-se as mudanças de nutriente, pH e
presença de antibióticos (Butler e Blakey, 1975; Murgia e Cinco, 2004).
Discussão
82
Estas bactérias de morfologia atípica, geralmente não são
patogênicas (Domingue e Woody, 1997; Brorson e Brorson, 1998) e
costumam reverter à morfologia original, quando as condições do meio
ambiente voltam a ser favoráveis (Charache,1970).
Fato intrigante foi o encontro pela análise em microscopia óptica (MO)
de campo escuro, no sangue periférico dos indivíduos normais (grupo
controle), a presença de micro-organismos (espiroquetídeos) em cerca de
20% das amostras. Estas estruturas quando analisadas à ME, exibem
formações que lembram Mycoplasma spp, e na verdade, representam
bactérias desprovidas de parede celular (CWDB) (Yoshinari et al., 2009).
A Literatura Médica registra que qualquer bactéria em condições
inadequadas de crescimento, pode sofrer transformação para a forma L,
contudo, a visualização destes micro-organismos na apresentação CWDB
não havia sido registrada ainda em indivíduos normais. Yoshinari et al.
(2009), descreve pela primeira vez, através de microscopia de campo
escuro, estruturas de comportamento latente no sangue periférico de
animais de laboratório e de funcionários do Centro de Bioterismo da FMUSP.
Estas estruturas que lembram espiroquetas, quando analisadas à
microscopia eletrônica, revelaram bactérias com características de
Mycoplasma spp, ou seja, CWDB. Desde que estas formas L de bactérias
não são patogênicas, sugeriu-se que os animais e funcionários do Centro de
Bioterismo, estavam contaminados por micro-organismos latentes saprófitas.
Verificou-se também, que a frequência de contaminação por espiroquetídeos
no sangue periférico estava dependente das condições de higiene locais.
Discussão
83
Assim, quando visualizamos grande quantidade de espiroquetídeos no
sangue periférico de pacientes com SBY (frequência de cerca de 90%),
assumimos que, parte dos micro-organismos, são CWDB oriundos de
bactérias da flora saprofítica normal, possivelmente derivados do trato
digestivo e/ou vias respiratórias. Contudo, acreditamos que parte dos
espiroquetídeos visualizados nos pacientes com SBY seja de fato B.
burgdorferi na apresentação atípica. É possível também que, a disfunção
imunológica observada na SBY contribua para o surgimento dos
espiroquetídeos.
Outras formas de bactérias em apresentação vegetativa são descritas
na Literatura Médica, quando espiroquetas são cultivadas em condições
adversas de pH, temperatura ou na presença de antibióticos (Kersten et al.,
1995; Murgia e Cinco, 2004; Austrauskiene e Bernotiene, 2007). As
bactérias desenvolvem alterações estruturais que variam de minúsculos
pontos ou esporos, conhecidos como blebs, até formações que lembram
bactérias alongadas (espiroquetas desprovidas de flagelos?) ou estruturas
semelhantes a corpos densos de dupla membrana semelhantes à Chlamydia
spp (Kersten et al., 1995). É interessante comentar que, morfologias atípicas
de borrelias, têm sido descritas no parênquima cerebral de doentes com
neuroborreliose e em tonsilas (Miklossy et al., 2008; Duray et al., 2005).
As alterações morfológicas encontradas na B. burgdorferi podem
estar associadas com a perda ou inativação de determinados genes
(mutações), que regulam a síntese de flagelos ou lipoproteínas de superfície
(Osp). Embora as mutações nas borrelias sejam raras, existem inúmeras
Discussão
84
descrições na Literatura (Sadziene et al., 1993; Yang et al., 2000; Malawista
et al., 2000; Motaleb et al., 2004; Derdáková e Lencáková, 2005; Fingerle et
al., 2007).
Por outro lado, modificações genéticas e da expressão proteica
transitórias, ocorrem espontaneamente com a B. burgdorferi, nas fases que
infectam diferentes hospedeiros mamíferos ou carrapatos. Esta variabilidade
na expressão gênica e proteica exibidas pelas borrelias quando da sua
passagem pelos diferentes hospedeiros, são de cunho adaptativo, de modo
a permitir a sua sobrevivência e disseminação nos diferentes organismos
infectados (Gilmore et al., 2001; Tilly et al., 2006). Por exemplo, a B.
burgdorferi quando infecta hospedeiro mamífero é capaz de sintetizar um
fator proteico, que neutraliza a ação lítica bactericida do sistema
complemento (Babb et al., 2006).
Espiroquetas do complexo B. burgdorferi sensu lato mantêm estreita
relação de dependência com carrapatos do complexo Ixodes ricinus, tanto
que todas as espécies de vetores transmissores da DL nos EUA e Eurásia
pertencem ao gênero Ixodes (Krupka et al., 2007; Hovius et al., 2007). Como
comentado anteriormente, existem inúmeras interações em níveis
moleculares entre a B. burgdorferi e os hospedeiros vertebrados e
invertebrados, especialmente quanto à expressão ou supressão das
lipoproteínas da membrana externa (Osp A, B, C, D, E, F) (Gilmore et al.,
2001; Tilly et al., 2006; Barbour et al., 2006; Krupka et al., 2007; Palmer et
al., 2009).
Discussão
85
É possível supor então que, a falta de vetores do gênero Ixodes,
habitualmente presentes no Hemisfério Norte, tenha originado borrelias de
morfologia atípica, adaptadas à sobreviver em condições geográficas e de
biodiversidade próprias do território brasileiro.
Embora de maneira preliminar, demonstramos que no Brasil, temos
carrapatos dos gêneros Rhipicephalus infectados com B. burgdorferi,
confirmados através da PCR. Interessante que, nos EUA é descrita a
enfermidade de Masters ou STARI, causada por B. lonestari, incultivável em
meio BSK, e transmitida pelo Amblyomma americanum. A diferença é que a
zoonose americana causa apenas lesão de pele (EM), enquanto a SBY
origina lesões cutâneas e complicações sistêmicas.
Mutações em determinados genes implicam na ausência ou na
síntese incompleta de determinadas proteínas como as de flagelo e as de
membrana externa (outer superface proteinsOsp) (Sal et al., 2008). O fato
dos pacientes com SBY terem sido negativos nos ensaios de PCR para
gene flagelina da Borrelia spp (FlaB), pode justificar porque a B. burgdorferi
encontrada no país encontra-se na forma bacteroide sem flagelos, visto que
espiroquetas desprovidas deste gene perdem a morfologia helicoidal, típica
das borrelias (Motaleb et al., 2000).
A parede bacteriana, assim como a camada externa da B. burgdorferi,
constituída de peptideoglicanos contribuem na contenção do citoplasma e
são fatores importantes que determinam a morfologia bacteriana (Denome et
al., 1999). Portanto, o insucesso em corar espiroquetídeos vistos nas nossas
culturas e no sangue periférico, estaria ligado também à este fator, pois os
Discussão
86
métodos de Gram, Panótico e Rosenfeld são utilizados para a coloração de
parede (constituída de peptideoglicanos) e, na ausência desta, os resultados
acabam sendo negativos. Este achado reforça a hipótese de que, os
espiroquetídeos visualizados à microscopia de campo escuro nos indivíduos
normais e com SBY, sejam estruturas desprovidas de parede celular, a
exemplo dos Mycoplasma spp. Justifica também, porque crescem em meio
SP-4, ideal para desenvolvimento de Spiroplasma spp, que pertencem ao
grupo dos Mollicutes, ou seja, micro-organismos desprovidos de parede e
com membrana celular rica em colesterol. Estudos anteriores realizados no
LIM-17 do HCFMUSP por Costa (1998) e Barros (2000) haviam mostrado
que primer derivado do gene codificador da proteína OspA, fora ineficaz para
identificar B. burgdorferi no Brasil. Este dado reforça a hipótese de que a B.
burgdorferi presente no país, seria deficiente em constituintes da membrana
externa da espiroqueta.
A hipótese de que a SBY seja causada pela B. burgdorferi de
morfologia atípica, sem flagelos e desprovida de inúmeros constituintes da
membrana externa, possivelmente consequente à deleção ou repressão
gênica, também explica a baixa sensibilidade dos testes sorológicos para a
B. burgdorferi de origem americana. Como mostramos no presente trabalho,
verificamos que apenas 65% dos doentes do grupo A foram positivos, contra
16% de positividade do grupo controle. Estes resultados mostram que,
embora úteis, do ponto de vista prático, os testes de ELISA e WB devem ser
interpretados com muita cautela, pela ocorrência de falsos negativos e
positivos.
Discussão
87
No intuito de estudar o comportamento das borrelias quando
semeadas em diferentes meios, resolvemos cultivar B. burgdorferi G39/40
de origem americana, em meio BSK e em meio SP4, considerando-se o
primeiro como adequado e o segundo impróprio ao desenvolvimento de
borrelias. As bactérias cultivadas em meio BSK cresceram bastante e foram
coradas adequadamente com Panótico e Acridine orange. a cultura de
B. burgdorferi G39/40 semeada em meio SP-4, não atingiu o nível de
crescimento esperado, e a morfologia das bactérias apresentou-se alterada,
com surgimento de formações atípicas de diferentes formas e tamanhos.
Este experimento reproduz in vitro, a grande capacidade das borrelias se
modificarem morfologicamente e de se adaptarem aos meios inadequados
de cultivo, transformando-se em formas vegetativas, como as formas
císticas.
Consideramos que, a B. burgdorferi encontrada no Brasil, seja o
resultado de mutações que originaram bactérias morfologicamente atípicas,
com expressões gênicas e proteicas diferentes da encontrada no Hemisfério
Norte. Estas modificações foram necessárias, objetivando a adaptação das
espiroquetas às condições de sobrevida em hospedeiros vertebrados e
invertebrados encontrados no país. Neste sentido, Derdáková e Lencáková
(2005) comentam que variações geográficas e ecológicas, podem
determinar o surgimento de diferentes genoespécies de B. burgdorferi,
consequente à ocorrência de grande variabilidade de hospedeiros
vertebrados e carrapatos, determinando a múltipla diversidade quanto à
Discussão
88
patogenicidade, manifestação clínica, procedimentos diagnósticos
laboratoriais e mecanismos de transmissão.
A antibioticoterapia com penicilina, doxiciclina e ceftriaxona é um
procedimento considerado adequado ao tratamento da borreliose de Lyme.
Apesar da sobrevivência de borrelias após antibioticoterapia ser negada por
maioria de pesquisadores, em alguns pacientes, tem sido mostrado que a
borrelia pode sobreviver nos tecidos, fazendo com que estes pacientes
tenham um quadro de recidiva da doença. Um trabalho realizado por Kersten
et al.(1995), mostrou os diferentes modos de degeneração da B. burgdorferi,
que se segue após a inoculação de vários antibióticos in vitro, obtendo a
formação de grânulos e estruturas sticas durante a exposição aos
medicamentos (Figura 19).
Figura 19 - Formação de estruturas císticas em cultura de B. burgdorferi
após exposição aos antibióticos, onde: A- Formação de vesículas (forma L)
após 24 horas de exposição ao ceftriaxona; B-Desenvolvimento de corpo
esférico após 96 horas de exposição à doxiciclina (cisto); C- Vesícula (forma
L) aderindo em outra superfície da espiroqueta após 24 horas de exposição
à penicilina (Kersten et al., 1995).
A
C
B
Discussão
89
As fotos da Figura 19 quando comparadas com os nossos resultados
à ME (Figura 20), são praticamente idênticas do ponto de vista morfológico,
mostrando que as diferentes estruturas encontradas no sangue periférico de
pacientes com SBY, representariam estágios morfológicos distintos da
Borrelia spp. O fato da B. burgdorferi presente no Brasil jamais ter sido
cultivada ou isolada na sua forma espiralada e nem ser identificada através
de técnicas de biologia molecular preconizadas no Hemisfério Norte, sugere
que o micro-organismo responsável pela SBY, seja uma bactéria mutante
estável, que incorporou em definitivo as modificações genéticas, bioquímicas
e morfológicas, adquiridas para a sua sobrevivência no país.
Figura 20 - Amostras visualizadas à ME onde: A- Sangue de paciente com
SBY semeado em SP-4, na qual pode-se visualizar a formação de vesícula
(cisto); B-Sangue periférico de paciente com SBY, onde visualiza-se a
formação de um corpo esférico denso semelhante à Chlamydia spp; C-
Sangue de paciente com SBY semeado em SP-4, onde pode-se observar
uma formação semelhante à Mycoplasma spp acima de uma espiroqueta.
Preac-Mursic et al. (1986) observaram em culturas de B. burgdorferi
contendo antibióticos, formação de “blebs” (expansões circulares originadas
de espiroquetas), estruturas esféricas e grânulos (Figura 21).
A
C
B
Discussão
90
Figura 21 - Formação de ”blebs” e grânulos em cultura de B. burgdorferi
após 24 horas de incubação com ceftriaxona (Preac-Mursic et al., 1986).
A imagem acima pode ser comparada com a nossa cultura de B.
burgdorferi semeada em meio SP-4, não apropriado para o crescimento
bacteriano, que mostra a formação de corpos arredondados presos às
espiroquetas (Figura 22). Interessante que, estas formas císticas (“blebs”)
representam uma forma de defesa do micro-organismo, pois em condições
adequadas de cultivo, cada um destes cistos pode reproduzir uma nova
espiroqueta.
Figura 22 - Cultura de B. burgdorferi semeada em meio SP-4, corada pelo
Panótico (1000X).
“bleb”
Discussão
91
As formas atípicas vegetativas de borrelias e treponemas podem
estar associadas com infecções de caráter crônico e recorrente, pelo fato
destas estruturas serem resistentes aos antibióticos e serem capazes de
burlar o sistema imunológicos dos hospedeiros, pois tem sobrevida
intracelular (Clasener, 1972). Balfour em 1911 relatava a presença de
formas císticas intracelulares em punções de fígado, baço e pulmão de aves
com espiroquetose, enquanto outros estudos mais recentes mostram que as
borrelias são micro-organismos com capacidade de infectar diferentes
células, como as endoteliais (Figura 23) (Comstock et al., 1989; Thomas et
al., 1989; Ma et al., 1991), mononucleares e fibroblastos (Georgilis et al.,
1991).
Figura 23 - Microscopia eletrônica mostrando Borrelia burgdorferi penetrando
em células endoteliais (HUVEC), onde: A e B - Células HUVEC em
monocamadas com borrelias intracelulares; C -Borrelia entrando na lula.
As setas indicam a membrana da HUVEC (Comstock et al., 1989).
Ao semearmos a B.burgdorferi G39/40 de origem americana em
células endoteliais, confirmamos os resultados acima mostrados. Outro fato
notável foi a mudança da morfologia da borrelia inoculada, que perdeu o seu
aspecto helicoidal (Figura 24).
C
Discussão
92
Figura 24 - Cultura de Borrelia burgdorferi (cultivada em BSK) e inoculada
posteriormente em células endoteliais. Visualiza-se espiroqueta de
morfologia atípica no interior da lula endotelial (Enviada à ME após 3 dias
de inoculação das borrélias na cultura de células endoteliais. Aumento de
7200X.)
Muito interessante foi o estudo realizado por Duray et al. (2005), que
ao inocular B. burgdorferi em cultura de tecido tonsilar, observou que as
bactérias invadem e colonizam as células, originando espiroquetas de
morfologia modificada, incluindo presença de estruturas císticas (Figura 25).
Discussão
93
Figura 25 - Microscopia Eletrônica de B. burgdorferi inoculada em tecido
tonsilar. Setas indicam numerosas espiroquetas de morfologia anômala (A) e
formas císticas de B. burgdorferi presentes no interior de células (Duray et
al., 2005).
Resolvemos então cultivar lulas endoteliais, para torná-las
substrato de crescimento dos espiroquetídeos, na tentativa de simular tecido
humano vivo, visto que, os espiroquetídeos identificados nos pacientes com
SBY, não se desenvolviam em meio BSK ou cresciam por pequeno período
de tempo no meio SP-4.
Conseguimos demonstrar que, a inoculação direta de espiroquetídeos
visualizados nos sangue periférico de pacientes com SBY, assim como os
previamente semeados em meio SP-4, conseguiram invadir células
endoteliais. Curiosamente, assumiram morfologias de micro-organismos que
Discussão
94
lembravam espiroquetas, Mycoplasma spp e Chlamydia spp, na verdade,
morfologias atípicas da Borrelia spp, conforme comentado anteriormente.
O fato do sequenciamento mostrar que a Borrelia causadora da
SBY pertence ao complexo Borrelia burgdorferi sensu lato, aliado ao fato de
jamais termos conseguido o isolamento das bactérias em meio BSK,
sugerem fortemente a hipótese de que no Brasil, a enfermidade é causada
por espiroquetas na apresentação latente. Além da visualização de
morfologias na apresentação vegetativas à ME, os dados clínicos,
laboratoriais e terapêuticos corroboram com esta descoberta inusitada.
Definimos hoje a Síndrome de Baggio-Yoshinari como zoonose
emergente, até o momento, encontrada apenas no Brasil, causada pela
Borrelia burgdorferi na apresentação morfológica atípica, transmitida por
carrapatos não pertencentes ao complexo Ixodes ricinus, responsável pelo
desenvolvimento de manifestações clínicas semelhantes à Doença de Lyme,
exceto pela grande frequência de sintomas recorrentes e complicações
imuno-alérgicas. Este conceito implica em afirmar que, uma mesma bactéria,
quando submetida às diferentes condições de sobrevivência, como, por
exemplo, a biodiversidade da fauna ou variações geográficas, pode
desencadear enfermidades distintas.
A presente pesquisa tem o mérito de elucidar o agente etiológico da
SBY, porém aborda temas altamente polêmicos, jamais comentados
anteriormente. Acreditamos que a SBY seja um modelo de enfermidade
extremamente importante no conhecimento da relação hospedeiro-infecção
e sua conexão com o desencadeamento de mecanismos autoimunes.
7. Conclusões
Conclusões
96
1- A Borrelia burgdorferi sensu lato é o agente etiológico da Síndrome
Baggio-Yoshinari.
2- Embora preliminar, podemos dizer que os vetores transmissores da
SBY não pertencem ao complexo Ixodes ricinus, pois a PCR realizada
com fragmento do gene flgE mostrou-se positiva em carrapatos do
gênero Rhipicephalus.
3- Embora preliminar, podemos dizer que os animais domésticos como
cavalos e bovinos representam potenciais animais reservatórios da
Borrelia burgdorferi no Brasil.
4- Na SBY os achados epidemiológicos, clínicos, laboratoriais e de
terapêutica são muito distintos da DL, permitindo afirmar que, no
Brasil existe uma nova zoonose emergente transmitida por
carrapatos.
5- Sugere-se que a SBY seja causada por espiroquetas na morfologia
atípica, de vida intracelular, justificando a longa persistência do micro-
organismo no homem e explicando os episódios de recorrência
clínica.
6- O emprego dos primers para identificação do fragmento do gene flgE,
responsável pela síntese do gancho flagelar, permitiu a identificação
do agente etiológico da SBY, mas não é procedimento laboratorial útil
no auxílio diagnóstico.
8. Anexos
Anexos
98
8.1. Aprovação da CAPPesq
9. Referências bibliográficas
Referências bibliográficas
100
Abel IS, Marzagão G, Yoshinari NH, Schumaker TT. Borrelia-like spirochetes
recovered from ticks and small mammals collected in the Atlantic Forest
Reserve, Cotia county, State of São Paulo, Brazil. Mem Inst Oswaldo Cruz.
2000, 95(5):621-4.
Aldridge P, Hughes KT. Regulation of flagellar assembly. Curr. Opin.
Microbiol. 2002, 5:160-5.
Altschul SF, Gish W, Miller W, Myers EW, Lipman DJ. Basic local alignment
search tool. J Mol Biol. 1990;215:403–10.
Asch ES, Bujak DI, Weiss M, Peterson MG, Weinstein A. Lyme disease: an
infectious and post infection syndrome. J Rheumatol. 1994; 21:454-461.
Astrauskiene D, Bernotiene E. New insights into bacterial persistence in
reactive arthritis. Clin Exp Rheumatol. 2007 May-Jun;25(3):470-9.
Babb K, Bykowski T, Riley SP, Miller MC, Demoll E, Stevenson B. Borrelia
burgdorferi EbfC, a novel, chromosomally encoded protein, binds specific
DNA sequences adjacent to erp loci on the spirochete's resident cp32
prophages. J Bacteriol. 2006 Jun;188(12):4331-9.
Balfour A. The infective granule in certain protozoal infections, as illustrated
by the spirochaetosis of Sudanese fowls. BMJ 1911;1:752.
Referências bibliográficas
101
Barbour AG, Hayes SF. Biology of Borrelia species. Microbiol. 1986,
Rev.50:381-400.
Barbour AG, Dai Q, Restrepo BI, Stoenner HG, Frank SA. Pathogen escape
from host immunity by a genome program for antigenic variation. Proc Natl
Acad Sci U S A. 2006 Nov 28;103(48):18290-5.
Barros PJL. Caracterização clínica e laboratorial da doença de Lyme no
Brasil, através de métodos imunológicos e reação e, cadeia de polimerase.
[tese de doutorado], São Paulo: Faculdade de Medicina da Universidade de
São Paulo, FMUSP; 2000.
Barros-Battesti DM, Yoshinari NH, Bonoldi VLN, Gomes AC. Parasitism by
Ixodes didelphidis and I. loricatus (Acari: Ixodidae) on Small Wild Mammals
from an Atlantic Forest in the State of Sao Paulo, Brazil. J Med Entomol
2000; 37 (6): 820-827.
Brorson O, Brorson SH. A rapid method for generating cystic forms of
Borrelia burgdorferi, and their reversal to mobile spirochetes. APMIS. 1998
Dec;106(12):1131-41.
Burgdorfer W, Barbour AG, Hayes SF. Lyme disease: a tick borne
spirochetosis? 1982; Science; 216:1317-1319.
Referências bibliográficas
102
Butler HM, Blakey JL. A review of bacteria in L-phase and their possible
clinical significance. Med J Aust. 1975 Sep 20;2(12):463-7.
Charache P. Cell wall-defective bacterial variants in human disease. Ann N Y
Acad Sci 1970; 174: 903 – 911.
Clarissou J, Song A, Bernede C, Guillemot D, Dinh A, Ader F, Perronne C,
Salomon J. Efficacy of a long-term antibiotic treatment in patients with a
chronic Tick Associated Poly-organic Syndrome (TAPOS). Med Mal Infect.
2009 Feb;39(2):108-15.
Clasener H. Pathogenicity of the L-phase of bacteria. Annu Rev Microbiol.
1972;26:55-84.
Comstock LE, Thomas DD. Penetration of endothelial cell monolayers by
Borrelia burgdorferi. Infect Immun. 1989 May;57(5):1626-8.
Cordova CMM, Cunha RAF. Detecção de Mycoplasma genitalium, M.
fermentans e M. penetrans em pacientes com sintomas de uretrite e em
indivíduos infectados pelo HIV-1 no Brasil. J. Bras. Patol. Med. Lab., 2002
v.38 n.2 .
Costa IP. Pesquisa de anticorpos anti-Borrelia e do agente etiológico em
soro e liquor de pacientes com manifestações clínicas compatíveis com a
Referências bibliográficas
103
Doença de Lyme, no Estado de Mato Grosso do Sul [tese de doutorado],
São Paulo; Faculdade de Medicina da Universidade de São Paulo, FMUSP;
1998.
Costa IP, Bonoldi VLN, Yoshinari NH. Perfil clínico e laboratorial da Doença
de Lyme-símile no Estado de Mato Grosso do Sul: análise de 16 pacientes.
Rev Bras Reumatol 2001;41:142-150.
Costa IP, Bonoldi VLN, Yoshinari NH. Search for Borrelia sp in ticks from
potential reservoir in an urban forest in the State of Mato Grosso do Sul,
Brazil: a short report. Mem Inst Oswaldo Cruz, 2002; 97(5): 631-35.
Derdáková M, Lencáková D. Association of genetic variability within the
Borrelia burgdorferi sensu lato with the ecology, epidemiology of Lyme
borreliosis in Europe. Ann Agric Environ Med. 2005;12(2):165-72.
Denome SA, Elf PK, Henderson TA, Nelson DE, Young KD. Escherichia coli
mutants lacking all possible combinations of eight penicillin binding proteins:
viability, characteristics, and implications for peptidoglycan synthesis. J
Bacteriol, 1999;181(13):3981-93.
Domingue GJ Sr, Woody HB. Bacterial persistence and expression of
disease. Clin Microbiol Rev. 1997 Apr;10(2):320-44.
Referências bibliográficas
104
Dressler F, Whalen JA, Reinhardt BN, Steere AC. Western blotting in the
serodiagnosis of Lyme disease. J Infect Dis. 1993 Feb;167(2):392-400.
Duray PH, Yin SR, Ito Y, Bezrukov L, Cox C, Cho MS, Fitzgerald W, Dorward
D, Zimmerberg J, Margolis L. Invasion of human tissue ex vivo by Borrelia
burgdorferi. J Infect Dis. 2005 May 15;191(10):1747-54.
Feder HM Jr, Johnson BJ, O'Connell S, Shapiro ED, Steere AC, Wormser
GP; et al. A critical appraisal of "chronic Lyme disease". N Engl J Med. 2007
Oct 4;357(14):1422-30.
Fingerle V, Goettner G, Gern L, Wilske B, Schulte-Spechtel U.
Complementation of a Borrelia afzelii OspC mutant highlights the crucial role
of OspC for dissemination of Borrelia afzelii in Ixodes ricinus. Int J Med
Microbiol.. 2007;297(2):97-107.
Artigo .
Fonseca AH, Salles RS, Salles SAN, Madureira RC, Yoshinari NH.
Borreliose de Lyme símile: uma doença emergente e relevante para a
Dermatologia no Brasil. An Bras Dermatol. 2005;80:171-8.
Gauditano G, Bonoldi VLN, Costa IP, Battesti DMB, Barros PJL, Fonseca
AH, et al. Síndrome de Lyme-símile ou complexo infecto-reacional do
carrapato Síndrome de Baggio-Yoshinari. Revista Paulista de
Reumatologia, 2005; 4: 16-17.
Referências bibliográficas
105
Gauditano G, Bonoldi VLN, Hiratsuka RC, Kiss MH, Yoshinari NH. Aspectos
imunológicos comuns entre a Doença de Lyme e a Febre Reumática. Rev
Bras Reumatol. 2000; 40:1-7.
Ge Y, Old IG, Saint Girons I, Charon NW. Molecular characterization of a
large Borrelia burgdorferi motility operon which is initiated by a consensus
σ70 promoter. J Bacteriol. 1997, 179:2289-99.
Georgilis K, Steere AC, Klempner MS. Infectivity of Borrelia burgdorferi
correlates with resistance to elimination by phagocytic cells. J Infect Dis.
1991 Jan;163(1):150-5.
Gilmore RD Jr, Mbow ML, Stevenson B. Analysis of Borrelia burgdorferi gene
expression during life cycle phases of the tick vector Ixodes scapularis.
Microbes Infect, 2001;3(10):799-808.
Grodzicki RL, Steere AC. Comparison of immunoblotting and indirect
enzyme-linked immunosorbent assay using different antigens preparations
for diagnosis of early Lyme disease. J. Infect. Dis. 157: 790-97, 1988.
Guglielmone AA, Beati L, Barros-Battesti DM, Labruna MB, Nava S, Venzal
JM, Mangold AJ, Szabó MP, Martins JR, González-Acuña D, Estrada-Peña
A. Ticks (Ixodidae) on humans in South America. Exp Appl Acarol.
2006;40(2):83-100.
Referências bibliográficas
106
Hamer SA, Tsao JI, Walker ED, Hickling GJ. Invasion of the Lyme Disease
Vector Ixodes scapularis: Implications for Borrelia burgdorferi Endemicity.
Ecohealth. 2010 Mar 13. [Epub ahead of print]
Herxheimer K. Zur Kenntnis der Spirochaeta Pallida. München med
Wochschur. 1905; 53: 310-312.
Hovius JW, van Dam AP, Fikrig E. Tick-host-pathogen interactions in Lyme
borreliosis. Trends Parasitol. 2007;23(9):434-8.
Iyer R, Kalu O, Purser J, Norris S, Stevenson B, Schwartz I. Linear and
circular plasmid content in Borrelia burgdorferi clinical isolates. Infect Immun.
2003;71(7):3699-706.
Kersten A, Poitschek C, Rauch S, Aberer E. Effects of penicillin, ceftriaxone,
and doxycycline on morphology of Borrelia burgdorferi. Antimicrob Agents
Chemother. 1995;39(5):1127-33.
Krupka M, Raska M, Belakova J, Horynova M, Novotny R, Weigl E. Biological
aspects of Lyme disease spirochetes: unique bacteria of the Borrelia
burgdorferi species group. Biomed Pap Med Fac Univ Palacky Olomouc
Czech Repub. 2007 Dec;151(2):175-86.
Referências bibliográficas
107
Lennoff C. Spirochaets in aetiologically obscure diseases. 1949; Acta Derm.
Venereol. 28:295-324.
Lipschultz B. Über eine seltene erythema chronicum migrans. Arch. Derm.
Syph. 1913; 111:349
Logigian EL, Kaplan RF, Steere AC. Chronic neurologic manifestations of
Lyme disease. N Engl J Med 1990;323:1438-44.
LoGiudice K, Ostfeld RS, Schmidt KA, Keesing F.The ecology of infectious
disease: effects of host diversity and community composition on Lyme
disease risk. Proc Natl Acad Sci USA, 2003; 100: 567–571.
Ma Y, Sturrock A, Weis JJ. Intracellular localization of Borrelia burgdorferi
within human endothelial cells. Infect Immun. 1991 Feb;59(2):671-8.
Magnarelli LA. Current status of laboratory diagnosis for Lyme disease. Am J
Med. 1995 Apr 24;98(4A):10S-12S; discussion 12S-14S.
Malawista SE, Montgomery RR, Wang XM, Fu LL, Giles SS. Geographic
clustering of an outer surface protein A mutant of Borrelia burgdorferi.
Possible implications of multiple variants for Lyme disease persistence.
Rheumatology (Oxford). 2000;39(5):537-41.
Referências bibliográficas
108
Mandell H, Steere AC, Reinhardt BN, Yoshinari NH, Munsat TL. Lack of
antibodies to Borrelia burgdorferi in patients with amyotrophic lateral
sclerosis. N Engl J Med. 1989; 320:255-6.
Mantovani E, Costa IP, Gauditano G, Bonoldi VL, Higuchi ML, Yoshinari NH.
Description of Lyme disease-like syndrome in Brazil. Is it a new tick borne
disease or Lyme disease variation? Braz J Med Biol Res. 2007a
Apr;40(4):443-56. Review.
Mantovani E, Gauditano G, Bonoldi VLN, Yoshinari NH. Análise clínica e
sorológica de pacientes com Síndrome Infecto-Reacional Lyme-Símile. Rev
Paulista de Reumatologia 2007b, 6:29.
Masters E, Granter S, Duray P, Cordes P. Physician-diagnosed erythema
migrans and erythema migrans-like rashes following Lone Star tick bites.
Arch Dermatol 1998;134:955-960.
Messmer TO, Skelton SK, Moroney JF, Daugharty H, Fields BS.
Application of a Nested, Multiplex PCR to Psittacosis Outbreaks. J Clin
Microbiol 1997; 35 (8):2043-2046.
Miklossy J, Kasas S, Zurn AD, McCall S, Yu S, McGeer PL. Persisting
atypical and cystic forms of Borrelia burgdorferi and local inflammation in
Lyme neuroborreliosis. J Neuroinflammation. 2008, 25;5:40.
Referências bibliográficas
109
Mladenović J, Cekanac R, Stajković N, Krstić M. Risk of Lyme disease
development after a tick bite. Vojnosanit Pregl. 2010 May;67(5):369-74.
Motaleb MA, Corum L, Bono JL, Elias AF, Rosa P, Samuels DS, Charon NW.
Borrelia burgdorferi periplasmic flagella have both skeletal and motility
functions. PNAS, 2000;97(20):10899-10904.
Motaleb MA, Sal MS, Charon NW. The decrease in FlaA observed in a FlaB
mutant of Borrelia burgdorferi occurs posttranscriptionally. J Bacteriol.
2004;186(12):3703-11.
Murgia R, Cinco M. Induction of cystic forms by different stress conditions in
Borrelia burgdorferi. APMIS. 2004 Jan;112(1):57-62.
Onwuamaegbu ME, Belcher RA, Soare C. Cell wall-deficient bacteria as a
cause of infections: a review of the clinical significance. J Int Med Res. 2005
Jan-Feb;33(1):1-20.
Oschmann P, Dorndorf W, Hornig C, Schafer C, Wellensiek HJ, Pflughaupt
KW. Stages and syndromes of neuroborreliosis. J Neurol 1998; 245:262-72.
Palmer GH, Bankhead T, Lukehart SA. 'Nothing is permanent but change'-
antigenic variation in persistent bacterial pathogens. Cell Microbiol. 2009
Dec;11(12):1697-705.
Referências bibliográficas
110
Perez CA, Almeida AF, Almeida A, Carvalho VH, Balestrin Ddo C,
Guimarães MS, Costa JC, Ramos LA, Arruda-Santos AD, Máximo-Espíndola
CP, Barros-Battesti DM. Ticks of genus Amblyomma (Acari: Ixodidae) and
their relationship with hosts in endemic area for spotted fever in the State of
São Paulo. Rev Bras Parasitol Vet. 2008 Oct-Dec;17(4):210-7.
Pirana S, Yoshinari NH, Silveira AM, Bento RF, Bonoldi VLN. Serum
reactivity for Borrelia burgdorferi, Borrelia afzellii and Borrelia garinii antigens
in patients with peripheral facial paralysis in Brazil. Braz. J. Rheumatol. 2000,
40:55-59
Preac-Mursic V, Wilske B, Schierz G. European Borrelia burgdorferi isolated
from humans and ticks culture conditions and antibiotic susceptibility.
Zentralbl Bakteriol Mikrobiol Hyg A. 1986 Dec;263(1-2):112-8.
Purser JE, Norris SJ. Correlation between plasmid content and infectivity in
Borrelia burgdorferi. PNAS 2000;97(25):13865-13870.
Rich SM, Armstrong PM, Smith RD, Telford SR 3rd. Lone star tick-infecting
borreliae are most closely related to the agent of bovine borreliosis. J Clin
Microbiol. 2001 Feb;39(2):494-7.)
Referências bibliográficas
111
Sadziene A, Barbour AG, Rosa PA, Thomas DD. An OspB mutant of Borrelia
burgdorferi has reduced invasiveness in vitro and reduced infectivity in vivo.
Infect Immun. 1993;61(9):3590-6.
Sal MS, Li C, Motalab MA, Shibata S, Aizawa SI, Charon NW. Borrelia
burgdorferi uniquely regulates its motility genes and has an intricate flagellar
hook basal body structure. J. Bacteriol, 2008; 190(6):1912-21.
Sato MT, SchmittA, Greboge P, Arana J, Moreira ATR, Yoshinari NH.
Neurorretinite associada à ceratite intersticial: relato do primeiro caso de
doença de Lyme no Estado do Paraná. Rev Brás Oftal, 2003;62:275-83.
Shinjo SK, Gauditano G, Marchiori PE, Bonoldi VLN, Costa IP, Mantovani E,
Yoshinari Y. Manifestação neurológica na Síndrome de Baggio-Yoshinari
(Síndrome brasileira semelhante à doença de Lyme). Rev Bras Reumatol,
2009; 49(5)492-505.
Smith RP, Baltch AL, Ritz WJ, Carpenter AN, Halse TA, Bopp LH. In Vitro
Activities of Garenoxacin and Levofloxacin against Chlamydia pneumoniae
Are Not Affected by Presence of Mycoplasma DNA. Antimicrob Agents
Chemother., 2004 , 48(6): 2081–2084.
Referências bibliográficas
112
Spach DH, Liles WC, Campbell GL, Quick RE, Anderson DE Jr, Fritsche TR.
Tick-borne diseases in the United States. N Engl J Med. 1993 Sep
23;329(13):936-47.
Spolidorio MG. Perfil sorológico e molecular de zoonoses transmitidas por
carrapatos em humanos e animais oriundos de seis municípios do estado do
Espírito Santo. [tese de doutorado], São Paulo; Faculdade de Medicina da
Universidade de São Paulo, FMUSP; 2009.
Steere AC, Malawista SE, Snydman DR, Shope RE, Andiman WA, Ross MR,
et al. Lyme arthritis: an epidemic of oligoarticular arthritis in children and
adults in three Connecticut communities. Arthritis Rheum. 1977 Jan-
Feb;20(1):7-17.
Steere AC, Batsford WP, Weinberg M, Alexander J, Berger HJ, Wolfson
SXMSE. Lyme carditis: cardiac abnormalities of Lyme disease. Ann. Intern.
Med. 1980, 93:8-16.
Steere AC, Duray PH, Butcher EC. Spirochetal antigens and lymphoid cell
surface markers in Lyme synovitis: comparison with rheumatoid synovium
and tonsillar lymphoid tissue. Arthritis Rheum 1988;31:487-95.
Steere AC. Lyme disease. N Engl J Med 1989;321:586-96.
Referências bibliográficas
113
Steere AC. Lyme disease. N Engl J Med 2001; 345(2);115-25.
Steere AC, Gross D, Meyer AL, Huber BT. Autoimmune mechanisms in
antibiotic treatment-resistant Lyme arthritis. J Autoimmun. 2001
May;16(3):263-8.
Stewart PE, Byram R, Grimm D, Tilly K, Rosa PA. The plasmids of Borrelia
burgdorferi: essential genetic elements of a pathogen. Plasmid 2005; 53:1-13
Strle F, Nadelman RB, Cimperman J, et al. Comparison of cultureconfirmed
erythema migrans caused by Borrelia burgdorferi sensu stricto in New York
State and by Borrelia afzelii in Slovenia. Ann Intern Med 1999;130:32-6.
Stromdahl EY, Williamson PC, Kollars TM JR., Evans SR, Barry RK, Vince
MA, Dobbs NA. Evidence of Borrelia lonestari DNA in Amblyomma
americanum (Acari: Ixodidae) removed from humans. J Clin Microbiol. 2003
;41(12):5557-62.
Swartz SL, Kraus SJ. Persistent urethral leukocytosis and asymptomatic
chlamydial urethritis. J Infect Dis. 1979 Oct;140(4):614-7.
Referências bibliográficas
114
Szabó MPJ, Cunha M, Santos AP, Vicentini F. Ticks (Acari: Ixodidae)
associated with domestic dogs in Franca region, São Paulo, Brazil.
Experimental andApplied Acarology,2001;. 969 (25):290-293.
Thomas DD, Comstock LE. Interaction of Lyme disease spirochetes with
cultured eucaryotic cells. Infect Immun. 1989 Apr;57(4):1324-6.
Tilly K, Krum JG, Bestor A, Jewett MW, Grimm D, Bueschel D, Byram R,
Dorward D, Vanraden MJ, Stewart P, Rosa P. Borrelia burgdorferi OspC
protein required exclusively in a crucial early stage of mammalian infection.
Infect Immun. 2006 Jun;74(6):3554-64.
Tuuminen T, Varjo S, Ingman H, Weber T, Oksi J, Viljanen M. Prevalence of
Chlamydia pneumoniae and Mycoplasma pneumoniae immunoglobulin G
and A antibodies in a healthy Finnish population as analyzed by quantitative
enzyme immunoassays. Clin Diagn Lab Immunol. 2000 Sep;7(5):734-8.
Varela AS, Luttrell MP, Howerth EW, Moore VA, Davidson WR, Stallknecht
DE, Little SE. First culture isolation of Borrelia lonestari, putative agent of
southern tick-associated rash illness. J Clin Microbiol. 2004 Mar;42(3):1163-
9.
Wang G, Van Dam AP, Schwartz I, Dankert J. Molecular typing of Borrelia
burgdorferi sensu lato: taxonomic, epidemiological, and clinical implications.
Referências bibliográficas
115
Clin Microbiol Rev. 1999;12(4): 633–653.
Yang X, Goldberg MS, Popova TG, Schoeler GB, Wikel SK, Hagman KE,
Norgard MV. Interdependence of environmental factors influencing reciprocal
patterns of gene expression in virulent Borrelia burgdorferi. Mol Microbiol.
2000 Sep;37(6):1470-9.
Yoshinari NH, Steere AC, Cosermelli W. Revisão da borreliose de Lyme.
Rev Assoc Med Brasil, 1989; 35(1):34-8.
Yoshinari NH, Barros PJL, Cruz FCM, Oyafuso LK, Mendonça M, Baggio D,
et al. Clínica e sorologia da doença de Lyme no Brasil. Rev Bras Reumatol
(Supl)1992; 32:57.
Yoshinari NH, Barros PJL, Fonseca AH, Bonoldi VL, Barros-Battesti DM.
Borreliose de Lyme. Zoonose emergente de interesse multidisciplinar.
Newslab. 1995; 12:90-104.
Yoshinari NH, Barros PJL, Bonoldi VLN. Perfil da borreliose de Lyme no
Brasil. Rev Hosp Clin Fac Med S Paulo. 1997a; 52:111-17.
Yoshinari NH, de Barros PJ, Bonoldi VLN, Ishikawa M, Battesti DM, Pirana
S, et al. Outline of Lyme borreliosis in Brazil. Rev Hosp Clin Fac Med São
Paulo 1997b; 52:111-117.
Referências bibliográficas
116
Yoshinari NH, Barros PJL, Gauditano G, Fonseca AH. Report of 57 cases of
Lyme-like disase (LLD) in Brazil. Arthritis Rheum. (Suppl) 1999a; 43:S188.
Yoshinari NH, Bonoldi VLN, Barros-Battesti DM, Schumaker TTS. Doença de
Lyme-símile no Brasil. Rev Bras Reumatol. 1999b; 39(2):57-8.
Yoshinari NH, Abrão MG, Bonoldi VL, Soares CO, Madruga CR, Scofield A,
et al. Coexistence of antibodies to tick-borne agents of babesiosis and Lyme
borreliosis in patients from Cotia county, State of São Paulo, Brazil. Mem Inst
Oswaldo Cruz. 2003 Apr;98(3):311-8.
Yoshinari NH, Spolidorio M, Bonoldi VL, Sotto M. Lyme disease like
syndrome associated lymphocytoma:first case report in Brazil. Clinics (Sao
Paulo), 2007 Aug;62(4):525-6.
Yoshinari NH, Vasconcelos AS, Tiriba AC, Gauditano G, Mantovani E,
Bonoldi VLN. Report n the unusual presence of latent microorganisms in
animals: a risk to research and health of employees? Bras J Rheumatol
2009; 49(5):517-28.
Young KD. Reforming L forms: they need part of a wall after all? J Bacteriol.
2007 Sep;189(18):6509-11.
Referências bibliográficas
117
Yparraguirre LA, Machado-Ferreira E, Ullmann AJ, Piesman J, Zeidner NS,
Soares CA. A hard tick relapsing fever group spirochete in a Brazilian
Rhipicephalus (Boophilus) microplus. Vector Borne Zoonotic Dis.
2007;7(4):717-21.
Artigo .
10. Apêndices
Apêndices
10.1. Comprovante de submissão do artigo para publicação
Apêndices
10.2. Artigo para publicação
Apêndices
Apêndices
Apêndices
Apêndices
Apêndices
Apêndices
Apêndices
Apêndices
Apêndices
Apêndices
Apêndices
Apêndices
Apêndices
Apêndices
Apêndices
Apêndices
Apêndices
Apêndices
Apêndices
Livros Grátis
( http://www.livrosgratis.com.br )
Milhares de Livros para Download:
Baixar livros de Administração
Baixar livros de Agronomia
Baixar livros de Arquitetura
Baixar livros de Artes
Baixar livros de Astronomia
Baixar livros de Biologia Geral
Baixar livros de Ciência da Computação
Baixar livros de Ciência da Informação
Baixar livros de Ciência Política
Baixar livros de Ciências da Saúde
Baixar livros de Comunicação
Baixar livros do Conselho Nacional de Educação - CNE
Baixar livros de Defesa civil
Baixar livros de Direito
Baixar livros de Direitos humanos
Baixar livros de Economia
Baixar livros de Economia Doméstica
Baixar livros de Educação
Baixar livros de Educação - Trânsito
Baixar livros de Educação Física
Baixar livros de Engenharia Aeroespacial
Baixar livros de Farmácia
Baixar livros de Filosofia
Baixar livros de Física
Baixar livros de Geociências
Baixar livros de Geografia
Baixar livros de História
Baixar livros de Línguas
Baixar livros de Literatura
Baixar livros de Literatura de Cordel
Baixar livros de Literatura Infantil
Baixar livros de Matemática
Baixar livros de Medicina
Baixar livros de Medicina Veterinária
Baixar livros de Meio Ambiente
Baixar livros de Meteorologia
Baixar Monografias e TCC
Baixar livros Multidisciplinar
Baixar livros de Música
Baixar livros de Psicologia
Baixar livros de Química
Baixar livros de Saúde Coletiva
Baixar livros de Serviço Social
Baixar livros de Sociologia
Baixar livros de Teologia
Baixar livros de Trabalho
Baixar livros de Turismo