Download PDF
ads:
UNIVERSIDADE FEDERAL DO RIO DE JANEIRO
Instituto de Bioquímica Médica
Laboratório de Química Fisiológica da Contração Muscular
Formação de S-nitrosomiosina sob condições fisiológicas
Cícero Figueiredo Freitas
Rio de Janeiro
2009
ads:
Livros Grátis
http://www.livrosgratis.com.br
Milhares de livros grátis para download.
ii
Cícero Figueiredo Freitas
FORMAÇÃO DE S-NITROSOMIOSINA SOB CONDIÇÕES
FISIOLÓGICAS
Dissertação de Mestrado
apresentada ao Programa de Pós-
Graduação de Química Biológica,
Instituto de Bioquímica Médica,
Universidade Federal do Rio de Janeiro,
como parte dos requisitos necessários à
obtenção do título de Mestre em
Ciências (Química Biológica).
Prof
a
Martha M.Sorenson
Orientadora
Professora Adjunta do Instituto de Bioquímica Médica/ICB/UFRJ
Rio de Janeiro
2009
ads:
iii
FOLHA DE APROVAÇÃO
Cícero Figueiredo Freitas
FORMAÇÃO DE S-NITROSOMIOSINA SOB CONDIÇÕES FISIOLÓGICAS
Rio de Janeiro, _____ de_____________ de 2009
Banca Examinadora:
______________________________________
Martha M.Sorenson
Professora Adjunta do Instituto de Bioquímica Médica/IBqM/UFRJ
Orientadora
______________________________________
Regina Coeli dos Santos Goldenberg
Professora Adjunta do Instituto de Biofísica Carlos Chagas Filho/IBCCF/UFRJ
______________________________________
Paulo César de Carvalho Alves
Professor Associado do Instituto de Bioquímica Médica/IBqM/UFRJ
______________________________________
Antonio Galina Filho
Professor Adjunto do Instituto de Bioquímica Médica/IBqM/UFRJ
______________________________________
Marcus Fernandes de Oliveira
Professor Adjunto do Instituto de Bioquímica Médica/IBqM/UFRJ
Revisor e Suplente Interno
______________________________________
Roberto Takashi Sudo
Professor Titular do Instituto de Ciências Biomédicas/ICB/UFRJ
Suplente Externo
iv
FICHA CATALORÁFICA
FIGUEIREDO-FREITAS, Cícero.
FORMAÇÃO DE S-NITROSOMIOSINA SOB CONDIÇÕES FISIOLÓGICAS. Cícero
Figueiredo Freitas
/ Rio de Janeiro: CCS, UFRJ, 2009
Rio de Janeiro, UFRJ, programa de Pós-Graduação em Química Biológica, 2009
XV fls, 67 fls
Dissertação: Mestrado em Química Biológica
1 – Músculo Esquelético 2- Óxido Nítrico 3 – S-nitrosação
v
Este trabalho foi realizado no Laboratório de Química Fisiológica da Contração
Muscular no Instituto de Bioquímica Médica da Universidade Federal do Rio de Janeiro,
sob a orientação da Professora Martha M. Sorenson, na vigência de uma bolsa cedida
pela CAPES - Coordenação de Aperfeiçoamento de Pessoal de Nível Superior
(CAPES), de auxílios concedidos pela Fundação de Amparo à Pesquisa do Rio de
Janeiro (FAPERJ) e pelo Programa de Núcleos de Excelência (PRONEX).
vi
Dedico esta tese a minha
filha Maria Clara, a minha
esposa Paula e a minha
família.
vii
AGRADECIMENTOS
A Deus por permitir-me chegar até aqui e possibilitar que eu consiga concluir
bem mais um projeto em minha vida. E, também, realizar o maior e mais sublime
experimento que a vida pode proporciona a um ser humano: Maria Clara, “Se
soubesse tudo o que sei agora, erraria tudo exatamente igual”.
A Maria Clara, a Adelina, a Paula Maria, a Carolina, a Denazir e a Martha.
Mulheres que me ajudaram a conquistar essa vitória tão importante em minha vida.
A minha esposa Paula e a minha filha Maria Clara por me ajudarem nesse
momento importante e por superarem mais esse momento.
A meus pais Alcyro e Adelina pela educação e caráter que me passaram por
toda minha vida e me fizeram tornaram um homem mais justo e sensato. A minha
irmã Carolina por ser uma companheira incondicional. A minha Tia/irmã Taís por
companheira.
A Adriana, Arthur e Amanda por serem nossos anjos protetores.
A tia Denazir por ser como uma mãe e por me ajudar a construir minha nova
família.
A tia Márcia e tia Liana por serem pessoas especiais e indispensáveis em
minha vida.
A Martha por sua paciência, dedicação e por me permitir crescer
cientificamente. Em nenhum momento em minha vida, imaginei conhecer alguém tão
justa e sensata como ela.
Ao amigo e orientador Leonardo Nogueira por me ensinar como pensar
cientificamente e como prosseguir com os experimentos e por ser um amigo para
todas as horas.
Aos amigos de laboratório Daniel, Renato, Tiago, José Renato, Jamila, José
Henrique, Marcelo Sant’anna, Luciana, Teresa Raquel, Fábio, Verônica, Gustavo,
Gabriel, Dionísio, Helena e Lidiane de laboratório que dividiram todos os dias de
alegria e tristeza no trabalho. Em especial a Raquel por me receber no laboratório e
me ensinar a dar os primeiros passos no laboratório.
Agradeço ao Marcelo Sant’anna e a Débora “Toquinho da Alegria” que me
ensinaram sobre convivência e amizade.
Agradeço aos amigos Elizandro (Piu), Leonardo Domingos, Daniel Reynaldo,
Leonardo Nogueira e Renato de Paula por serem os irmãos que a vida me deu.
Agradeço aos amigos dos lab`s dos professores Sérgio Ferreira (Jordano,
Teresa Raquel, Adriano Sebolela, Ana Paula), Leopoldo de Méis (Luiza Ketzer),
Robson Monteiro, Russolina Zingali e Vivian Rumjanek (André – técnico), Marcus
viii
Oliveira, Antonio Galina e por tantos empréstimos de materiais em todos os
laboratórios do IBqM.
Agradeço aos amigos da comissão da semana de pós-graduação pelas
reuniões e conversas descontraídas.
Agradeço a algumas pessoas que não estão presentes, mas que ainda zelam
por mim: Tios Sérgio e Darcy.
Gostaria de agradecer, especialmente, a minha filha Maria Clara por me trazer
paz, alegria, sensatez, tranquilidade e me fazer crescer como homem e pai.
ix
ABREVIAÇÕES
AA Ácido ascórbico
BSA Albumina de soro bovino
Biotina-HPDP (N-(6-(Biotinamida)hexil)-3'-(2'-piridilditio)-propionamida
DEANO Dietilamina-NONOato
DTNB 5,5'-Ditio-bis(ácido 2-nitrobenzoico)
DTT Ditiotreitol
GSH Glutationa
EDTA Ácido etilenodiamino tetra-acético
EGTA Ácido etilenoglicol-bis(β-aminoetilester)-N,N,N’,N’-tetra-acético
FKBP12 Fujimicina (FK506) ligada a proteína de 12 KDa
GSSG Dissulfeto de glutationa
GSNO S-nitrosoglutationa
GSNOR S-nitrosoglutationa redutase
HEN HEPES, EDTA e neocuproína
LC Cadeia leve de miosina
LMM Meromiosina leve
LPS Lipopolissacarídeo
MMTS Metilmetanotiosulfonato
NO
Óxido nítrico radical
NO
+
Cátion nitrosônio
NO
-
Ânion nitroxil
NOS Óxido nítrico sintase
ONOO
-
Peroxinitrito
PBS Tampão fosfato
PDZ
Proteina de densidade pós-sináptica (PSD95), Grande disco
supressor tumoral em Drosofila (DlgA), e proteina da zonula de
oclusão-1 (zo-1).
pK
a
Logarítimo negativo da constante de equilíbrio para
protonação
PMSF Fenilmetanosulfonilfluoreto
ROS Espécies reativas de oxigênio
x
RNS Espécies reativas de nitrogênio
RS
.
Radical tiil
RSNO S-nitrosotiol
RyR1 Receptor rianodina muscular esquelético
S1 Subfragmento-1 da miosina
S2 Subfragmento -2 da miosina
SDS-PAGE
Eletroforese em gel de poliacrilamida com duodecil sulfato de
sódio
TBS-T Tampão de amostra Tris-HCl – Tween
xi
LISTA DE FIGURAS E TABELAS
Figura 1 A, B e C..........................................................................................................3
Figura 2 A e B...............................................................................................................5
Figura 3......................................................................................................................22
Figura 4......................................................................................................................23
Figura 5......................................................................................................................27
Figura 6......................................................................................................................28
Figura 7......................................................................................................................30
Figura 8......................................................................................................................32
Figura 9......................................................................................................................37
Figura 10....................................................................................................................38
Figura 11 A, B e C......................................................................................................40
Figura 12 A e B...........................................................................................................42
Figura 13 A e B...........................................................................................................44
Figura 14 A e B...........................................................................................................46
Figura 15 A e B...........................................................................................................47
Figura 16....................................................................................................................48
Figura 17....................................................................................................................51
Tabela 1......................................................................................................................38
Esquema 1...................................................................................................................6
xii
Sumário
I. INTRODUÇÃO..........................................................................................................1
I.1 - Miosina.............................................................................................................2
I.2 – Grupamentos tióis (-SH) da miosina...............................................................7
I.3 – Radicais na biologia celular............................................................................9
I.3.1 - Óxido nítrico no tecido muscular esquelético e exercício...................10
I.4 – S-nitrosotióis de baixo e alto peso molecular................................................13
I.5 – Denitrosação.................................................................................................15
I.6 – Fatores regulatórios de nitrosação e denitrosação.......................................17
II. - OBJETIVOS.........................................................................................................21
II.1 – Objetivo geral...............................................................................................21
II.2 – Objetivos específicos...................................................................................21
III. - MATERIAIS E MÉTODOS..................................................................................22
III.1 – Doadores de NO.........................................................................................22
III.1.1 – S-nitrosoglutationa (GSNO).............................................................22
III.1.2 – DietilaminaNONOato (DEANO) ...........................................................22
III.2 – Purificação de miosina................................................................................24
III.3 – Dosagem de proteína..................................................................................24
III.4 – Atividade Mg
2+
ATPásica da miosina...........................................................25
III.5 – Detecção de S-nitrosotióis por Griess-Saville.............................................26
III.6 – Técnica de troca de resíduo S-nitrosados por tiobiotinilados (Biotin Switch
Technique)............................................................................................................28
xiii
III.7 – Fibras descascadas....................................................................................31
III.8 – S-nitrosação e denitrosação in vitro............................................................32
III.9 – Detecção de estresse nitrosativo no exercício............................................33
III.10 – Eletroforese..............................................................................................34
III.11 – Western blot...................................................................................................34
III.12 – Reagentes......................................................................................................35
III.13 – Análise estatística...........................................................................................35
IV. - RESULTADOS...................................................................................................36
IV.1 – Exercício e estresse nitrosativo..................................................................36
IV.2 – S-nitrosação e denitrosação de miosina.....................................................39
IV.3 – Efeito da S-nitrosação na atividade da miosina sob condições
fisiológicas.............................................................................................................46
V. - DISCUSSÃO........................................................................................................49
VI. - CONCLUSÕES...................................................................................................55
VII. - REFERÊNCIAS.................................................................................................56
xiv
RESUMO
Cícero Figueiredo Freitas. Formação de S-nitrosomiosina sob condições fisiológicas.
Rio de Janeiro, 2009. Dissertação (Mestrado em Ciências Biológicas) – Instituto de
Bioquímica Médica, Universidade Federal do Rio de Janeiro.
Óxido nítrico (NO
) é produzido no músculo esquelético pela enzima NO sintase
neuronal e induz a S-nitrosação (-SNO) de proteínas que alteram a função contrátil,
mas os efeitos em miofibrilas não são conhecidos. Aqui nós investigamos a S-
nitrosação de proteínas sob condições fisiológicas in vitro e in vivo. Ratos Sprague-
Dawley foram submetidos a exercício de natação de baixa e alta intensidade por 30
e 4.7 min, respectivamente, no último caso, com 14% do peso corporal adicionado a
cauda do animal, e o conteúdo de proteína-SNO foi analisado pelo método de
Griess/Saville.em músculo EDL e sóleo. Em ambos os músculos (EDL e sóleo) o
conteúdo de nitrito aumentou e em EDL, a formação de -SNO também aumentou
(P<0.05; n=9) comparada ao controle. As proteínas alvo para formação de –SNO no
músculo em repouso e exercitado foram acessadas usando a técnica do biotin
switch. Miosina foi o principal alvo para formação de –SNO em exercício de alta
intensidade. Para mimetizar nitrosação/denitrosação em miócitos, nós incubamos o
homogenato de músculo sóleo e EDL com S-nitrosoglutationa (GSNO - 40 µM),
seguido ou não por glutationa (GSH – 5 mM). A formação de S-nitrosomiosina
aumentou com GSNO e ocorreu denitrosação parcial com GSH, mostrando que
susceptibilidade a nitrosação/denitrosação varia e que existem populações estáveis
e instáveis de –SNO. Em fibras musculares “descascadas” (sem sarcolema)
incubadas por 30 min com 0-1000 µM GSNO e processadas pela técnica do biotin-
switch, miosina e actina foram os principais alvos para -SNO. Condições favoráveis
para formação de -SNO (baixo pH e baixo Po
2
) são produzidas com exercício de alta
intensidade e foram testadas in vitro utilizando em miosina purificada. GSNO (5 μM,
1 h) inibiu a atividade MgATPásica de miosina isolada independentemente do pH
(pH 6 – 8). O efeito da dietilaminaNONOato (DEANO – um doador de NO
) foi
medido em baixo Po
2
(1%) para mimetizar as condições celulares. A atividade da
miosina foi inibida por DEANO apenas em Po
2
fisiológica (1%); em Po
2
atmosférica
(21%) não foi afetada. Os resultados sugerem que miosina é um importante alvo
para S-nitrosação no músculo esquelético e que formação de –SNO pode inibir a
função contrátil durante estresse nitrosativo.
xv
ABSTRACT
Cícero Figueiredo Freitas. S-nitrosomyosin formation under physiological conditions.
Rio de Janeiro, 2009. Dissertação (Mestrado em Ciências Biológicas) – Instituto de
Bioquímica Médica, Universidade Federal do Rio de Janeiro.
Nitric oxide (NO
) is produced in skeletal muscle by neuronal NO synthase and
induces S-nitrosation (-SNO) in proteins that alter contractile function, but its effect on
myofibrils is not known. Here we investigated protein S-nitrosation in physiological
conditions in vitro and in vivo. Sprague-Dawley rats were subjected to low and high
intensity swimming for 30 min or 4.7 min, respectively in the latter case with 14% of
body weight added to the tail, and protein–SNO content was analyzed by the
Griess/Saville method in EDL and sóleo muscles. In both muscles (EDL and sóleo)
nitrite content increased and in EDL, -SNO formation increased significantly (P<0.05;
n=9) compared to controls. Proteins that were targets of –SNO formation in resting
and exercised muscles were ascertained using the biotin switch. Myosin was the
main target of –SNO formation at high exercise intensity. To mimic
nitrosation/denitrosation in myocytes, we incubated homogenates of EDL and sóleo
muscle with S-nitrosoglutathione (GSNO - 40 µM), followed or not by glutathione
(GSH – 5 mM). S-nitrosomyosin formation increased with GSNO and partial
denitrosation occurred with GSH, showing that susceptibility to
nitrosation/denitrosation varies and that there are stable and unstable populations of
–SNO. In skinned fibers incubated for 30 min with 0-1000 µM GSNO and processed
by the biotin-switch method. Myosin and actin were the main targets for -SNO.
Favorable conditions for -SNO formation, (low pH and low Po
2
) are both produced
with high intensity exercise and here were tested using purified myosin in vitro.
GSNO (5 μM, 1 h) inhibited MgATPase activity of isolated myosin by 50%, regardless
of pH (pH 6 – 8). The effect of diethylamineNONOate (DEANO - an NO
donor) was
measured at low (1%) Po
2
to mimic intracellular conditions. The activity of myosin
was inhibited by DEANO only at physiological Po
2
(1%); at atmospheric Po
2
(21%)
there was no effect. Taken together, these results suggest that myosin is an
important target for S-nitrosation in skeletal muscle and that -SNO formation may
inhibit contractile function during nitrosative stress.
1
I - Introdução
O corpo humano contém três tipos de músculos, o músculo liso que compõe
artérias, veias e intestino; o esquelético, que nos permite movimentar, gesticular e
exercitar-nos; o cardíaco que tem por função principal manter o fluxo sanguíneo
corporal. A partir desse momento, será abordado apenas o tecido muscular
esquelético. Este tecido é distribuído por todo o corpo; existem mais de 600
músculos que são fixados nos 206 ossos do esqueleto humano (Vianna A.L., 1981).
A base estrutural do mecanismo pelo qual o músculo é capaz de desempenhar sua
função foi proposta por H. E. Huxley em 1954, e a teoria dos filamentos deslizantes é
muito bem aceita até hoje (Huxley, 2004). Através das proteínas contráteis a célula
muscular esquelética é capaz de converter energia química (ATP) em energia
mecânica (contração muscular).
O desempenho muscular é modulado por metabólitos produzidos durante a
atividade contrátil; uma parte desses metabólitos são as espécies reativas de
oxigênio (ROS) e nitrogênio (RNS). O aumento na atividade contrátil do músculo
esquelético acarreta em um aumento da produção dessas espécies incluindo uma
variedade de radicais. Radicais são moléculas com um ou mais elétrons
desemparelhados (Halliwell B. & Gutteridge J.M.C., 2007). Nas células, os radicais
sinalizam através de modificações redox reversíveis ou irreversíveis em proteínas,
alterando indiretamente a função celular (Forrester & Stamler, 2007; Hausladen &
Stamler, 1999).
Nas proteínas, um dos principais alvos para modificação redox é o grupamento
sulfidrila. Os radicais são capazes de modular a força, a velocidade de
2
encurtamento, a eficiência do acoplamento excitação-contração e a capacidade de
hidrólise de ATP (Powers & Jackson, 2008; Reid, 1999).
O óxido nítrico (NO
)
é um radical que promove modificação nos grupos
sulfidrila, e uma das modificações provocadas pelo NO
é a S-nitrosação (ligação
covalente de NO a um tiol protéico) que vem emergindo nos últimos 15 anos como
uma das principais vias de modulação das funções celulares (Gaston, 1999; Hess et
al., 2005; Hogg, 2002). Esse radical tem papel importantíssimo na regulação da
contração muscular (Stamler & Meissner, 2001), sendo que a produção de óxido
nítrico é dependente da intensidade de estimulação elétrica do músculo (Silveira et
al., 2003). Os alvos para as modificações redox podem ser protegidos por
antioxidantes não enzimáticos e enzimáticos (Meister & Anderson, 1983; Powers &
Jackson, 2008).
A miosina é uma das proteínas do aparato contrátil do músculo (~55% do
conteúdo celular) e apresenta na sua sequência primária muitos grupos sulfidrila
(Lowey et al., 1969). Segundo dados do nosso laboratório, estes sofrem
modificações redox pelo óxido nítrico, assim alterando a função protéica in vitro
(Nogueira, 2008). Entretanto ainda não foi mostrada a formação de S-nitrosomiosina
ou sua denitrosação sob condições fisiológicas.
I.1 - Miosina
As proteínas contráteis compõem os sarcômeros do músculo esquelético.
Estas estruturas são formadas por filamentos finos (Banda I, composta
principalmente por actina) e filamentos grossos (Banda A, composta principalmente
por miosina) e sua extensão vai de uma linha Z a outra (Vianna A.L., 1981), como
3
mostrado na Figura 1. Será abordada, a partir desse momento, a proteína mais
abundante na célula muscular e que compõe o filamento grosso: a miosina.
A
BandaI BandaA
B
DiscoZ LinhaM DiscoZ
C
Figura 1: Imagem obtida por microscopia eletrônica de transmissão mostrando a
disposição de filamentos no sarcômero. (A) Mostra as bandas I (Isotrópica) e A
(anisotrópica) em um sarcômero estendido e (B) linhas Z (actinina) e M (miomesina)
em um sarcômero encurtado. Em A, a banda I está maior que em B, onde também
há uma aproximação das linhas Z e o tamanho da banda A não foi alterado (é
importante destacar que nenhum filamento tem seu tamanho alterado). Estas
observações forneceram os primeiros indícios que o filamento fino, componente
principal da banda I, deslizava sobre a banda A composta principalmente pelo
filamento grosso (Huxley, 2004). C, Miosina solubilizada em alta força iônica e
visualizada por marcação negativa em microscopia eletrônica. Cada molécula
consiste em duas cabeças, dois pescoços e uma cauda.
O filamento grosso apresenta-se com uma estrutura única ao centro e com
pequenas projeções nas extremidades. Para conhecer melhor o filamento grosso,
Slayter & Lowey (1967) homogeneizaram o músculo de coelho em tampão de alta
força iônica, e após a diluição observaram por microscopia eletrônica de transmissão
4
que a proteína mais abundante (miosina) se apresentava com uma longa cauda,
porém com duas cabeças (Figura 1C).
Para melhor compreender a função da miosina na célula muscular, a proteína
foi fragmentada por incubação com tripsina para ser estudada a função de cada
parte da miosina. O peso molecular do hexamero é de ~520 KDa e a cadeia pesada
subdivide-se em três tipos de fragmento após quimiotripsinização limitada: cabeça
ou S1 (2 unidades do subfragmento-1, 120 KDa), pescoço ou S2 (2 unidades do
subfragmento-2, 40 KDa) e cauda ou LMM (1 unidade de meromiosina leve, 150
KDa) (Slayter & Lowey, 1967). Mais tarde, com a descoberta de outras isoformas, a
miosina do músculo esquelético foi denominada miosina II (por ter duas cabeças)
(Mermall et al., 1998). Há muitos anos sabia-se que o músculo utiliza ATP como
substrato para diversas reações (Engelhardt W.A. & Ljobimowa M.N., 1939). Ficou
estabelecido que a miosina tem um sítio para ligação e clivagem de ATP e outro
para ligação de actina, em posições opostas (Rayment et al., 1993b), como
mostrado na Figura 2.
O S2 ou pescoço tem por função transmitir a mudança conformacional que
ocorre com hidrólise do ATP no sítio catalítico para a cauda, para que haja o
deslizamento entre os filamentos fino e grosso (Blankenfeldt et al., 2006). A cauda,
por ser insolúvel a baixa força iônica, associa-se com outras moléculas de miosina,
formando o filamento grosso, mantendo estável o dímero que compõem as
moléculas de miosina e o conjunto de caudas o filamento grosso (Lowey et al.,
1969).
5
A
Figura 2: A, Subfragmento-1 apresenta um domínio de estrutura globular próximo
ao N-terminal com sítio de ligação para nucleotídeo e outro para actina; e outro
domínio filamentoso, próximo ao C-terminal, ao qual se associam as cadeias leves
(Rayment, 1996). As cores indicam domínios produzidos por tripsinólise (50 KDa
superior e inferior, 25 KDa e 20 KDa). Parte da cauda foi eliminada para resolução
da estrutura tridimensional do S1. B, a ilustração mostra com detalhes as proteínas
que compõem o sarcômero e a disposição do filamento grosso (composto
principalmente por miosina) e do filamento fino (composto principalmente por actina).
As pequenas projeções que emergem do filamento grosso são cabeça e pescoço da
miosina, que interagem com a actina (Sparrow & Schock, 2009).
Domínio de
50 KDa inferio
r
Domínio Conversor
20 KDa
Sítio de
ligação do
nucleotídeo
Domínio de
50 KDa superior
Sítio de
ligação
de actina
Cadeia leve
regulatória
Cadeia leve
essencial
Braço de
alavanca
Switch 2
B
25 KDa
Actina LinhaM DiscoZ
ComplexoTroponinaTropomiosina
BandaI BandaA BandaI
Sarcômero
6
Em cada S1 existem duas cadeias leves (LC): LC-1 e 3 são denominadas
“essenciais”, com peso molecular de 25 KDa e 16 KDa respectivamente, e LC-2 é
denominada “regulatória”, com peso molecular de 20 KDa (Rayment, 1996).
A miosina é capaz de hidrolisar ATP apenas na presença de cofatores iônicos
(cátions mono ou divalentes) que também regulam a velocidade de hidrólise. Na
presença de K
+
ou NH
4
+
, a atividade pode aumentar 20 ou 40 vezes,
respectivamente, em relação à atividade na presença de Mg
2+
(Seidel, 1969a;
Seidel, 1969c). A afinidade da miosina por diferentes nucleotídeos (ATP, ITP, UTP,
GTP e CTP) também é diferente dependendo do cátion complexado ao nucleotídeo
(Hasselbach, 1957). Entretanto, o substrato que simula melhor o sistema celular é o
complexo MgATP
2-
.
AM* AM.ATP AM’.ATP A-M”.ADP.Pi AM’.ADP.Pi AM*ADP AM*
+ATP - A( (+A -Pi -ADP
M'.ATP M”.ADP.Pi
Esquema 1: Ciclo catalítico da miosina (M) na presença de actina (A). ATP se liga à
actomiosina (AM), diminuindo a afinidade entre as proteínas e dissociando a actina.
A clivagem do ATP em ADP e Pi (M.ADP.Pi) ocorre na miosina. Em seguida, a
actomiosina é novamente formada. O passo limitante no ciclo catalítico é a liberação
de Pi do sítio de hidrólise e, em seguida, ocorre à liberação de ADP.
Outro fator que também interfere na atividade da miosina é o pH, sendo que o
pH ótimo para atividade da miosina na presença de Mg
2+
é pH 9.0 (Singher &
Meister, 1945).
A atividade Mg
2+
-ATPásica da miosina é a que melhor representa a condição
fisiológica, porém é menor que a atividade Ca
2+
ou K
+
ATPásica. Na presença de
actina, a atividade Mg
2+
-ATPásica é potencializada em cerca de 50-100x (Sellers &
Goodson, 1995). Em seu ciclo catalítico, a miosina tem forte afinidade para actina na
ausência de ATP e, na presença de ATP, essa afinidade é diminuída. Durante o
7
ciclo catalítico da miosina, a hidrólise de ATP em ADP e Pi tem como passo limitante
a saída de Pi do sítio de hidrólise (Esquema 1). Na presença de actina, esse passo é
acelerado. Após esse passo, a actina volta a ter alta afinidade pela miosina e, para
que haja novamente o ciclo, é necessário que uma nova molécula de ATP se ligue
ao sítio catalítico (Sellers & Goodson, 1995; Vianna A.L., 1981).
O ciclo catalítico da miosina e sua interação com a actina podem ser alterados
por modificações covalentes em cisteínas presentes na miosina. Serão abordados a
seguir alguns efeitos decorrentes dessas modificações.
I.2 - Grupamentos tiol (–SH) da miosina
Muitas proteínas sofrem modificações redox, principalmente, no aminoácido
cisteína, uma vez que este é o único aminoácido que apresenta em sua cadeia
lateral o grupamento tiól ou sulfidrila (-SH), que apresenta um pK
a
em torno de 8,5.
Embora existam resíduos de cisteína com variados valores de pK
a
(Sethuraman M et
al., 2006), essa variação está relacionada à região da proteína em que a cisteína se
encontra e ao compartimento (mitocôndria, retículo sarcoplasmático) no qual a
proteína está localizada, podendo alterar a carga do tiol passando a ânion tiolato
(CysS
-
). Esta forma é mais facilmente oxidada do que um grupo tiol reduzido
(Winterbourn & Metodiewa, 1999). Um grupamento tiol de uma proteína pode sofrer
modificações pós-traducionais como, por exemplo, acilação, S-nitrosação e oxidação
(tiolação ou formação de ácido sulfênico, sulfínico ou sulfônico) (Hess et al., 2005;
Konorev et al., 2000; Roth et al., 2006; Saurin et al., 2004).
A miosina apresenta em sua sequência primária 42 cisteínas (~1% de 3400
aminoácidos). A medida do número de tióis na miosina pode variar dependendo da
8
maneira que é medido, podendo ser encontrado três pontes dissulfeto no caso de
soluções com pequena contaminação de metais e, em soluções livres de metais,
pode-se encontrar os 42 grupos sulfidrila reduzidos (Lowey et al., 1969).
Algumas modificações redox em tióis da miosina são conhecidas por alterar
sua atividade (Seidel, 1969b; Seidel et al., 1970; Saurin et al., 2004). Modificações
químicas em duas cisteínas da miosina por DTNB e N-etilmaleimida modulam a
capacidade de hidrolisar ATP e a afinidade por actina (Kielley & BRADLEY, 1956).
Essas cisteínas denominadas SH1 (Cys707) e –SH2 (Cys697) da miosina têm sido
alvo de muitos estudos, pois estão localizadas em regiões da proteína que se
aproximam e se afastam durante o ciclo catalítico (Kielley & BRADLEY, 1956; Seidel
et al., 1970; Walser et al., 1981). Além disso, existem duas classes de grupamentos
tiois: o grupo S
1
, mais reativo a agentes S-tiolantes e alquilantes; e o grupo S
2
, o
menos reativo. Ambos os grupamentos quando modificados, modulam a atividade
catalítica da miosina.
Os tióis –SH1 e –SH2 têm um importante papel na atividade ATPásica da
miosina. Mudanças conformacionais durante o ciclo de hidrólise de ATP estão
relacionadas aos estados de oxidação desses tióis, devido à sua localização
próxima ao sítio de hidrólise de ATP (Kielley, 1964; Seidel et al., 1970; Seidel, 1972).
Estas cisteínas localizam-se entre o sítio de ligação do ATP e a fenda próxima ao
sítio de ligação com actina (Rayment et al., 1993b). Ainda existem outros
grupamentos sulfidrila em regiões mais acessíveis na superfície. O subfragmento-1
(cabeça) possui 11 cisteínas (Rayment et al., 1993a), que são suscetíveis à
modificação redox como a formação de –SOH (Saurin et al., 2004). Outras espécies
reativas também podem modificar a atividade ATPásica da miosina, como o ONOO
-
9
(Tiago et al., 2006). Entretanto, ainda não foi mostrado como o óxido nítrico e seus
produtos de oxidação reagem com a miosina, e nem se eles modificam a atividade
da miosina em condições fisiológicas.
I.3 - Radicais na biologia celular
O radical é um átomo ou molécula que apresentam um ou mais elétrons
desemparelhados. O uso da palavra “livre” depois de “radical” foi introduzida de
forma desnecessária, pois todo radical é livre (Halliwell B. & Gutteridge J.M.C., 2007;
Koppenol & Traynham, 1996; Koppenol, 1997). A primeira molécula radical
(trifenilmetila) foi descrita pelo russo Moses Gomberg, por volta de 1900 (Augusto,
2006). Com o passar dos anos, vários outros radicais foram descritos como, por
exemplo, o anion superóxido (O
2
-
) e o óxido nítrico (NO
), possuindo o
desemparelhamento nos átomos de oxigênio e nitrogênio, respectivamente.
A primeira evidência que os radicais eram encontrados em materiais biológicos
foi detectada por EPR (espectrometria de ressonância eletrônica paramagnética) em
músculo de coelho (Commoner et al., 1954). Neste mesmo ano, foi mostrado que
radiação ionizante e oxigênio geram danos celulares (Gerschman et al., 1954).
Alguns anos mais tarde, McCord & Fridovich (1969) identificaram a enzima
superóxido dismutase capaz de converter superóxido (O
2
-
) a peróxido de hidrogênio
(H
2
O
2
), detoxificando a célula (McCord & Fridovich, 1969). Anos mais tarde, foram
mostrados outros radicais sendo produzidos em células.
Um radical que ganhou grande importância na área celular foi o óxido nítrico,
que era conhecido apenas por sua toxicidade como um gás, até meados dos anos
80; apesar das evidências benéficas que a nitroglicerina (um potente doador de NO)
10
era utilizada para tratamento de angina (Ignarro, 2002). Em 1985 foi publicado na
revista Proceedings of the National Academy of Sciences que macrófagos de
camundongos produziam nitrito e nitrato em resposta ao tratamento das células com
lipopolissacarídeo (LPS – agente pró-inflamatório) de E. coli; dois anos mais tarde,
foi visto que células endoteliais produziam óxido nítrico (Stuehr & Marletta, 1985;
Palmer et al., 1987).
Em 1990, foi purificada e caracterizada a enzima que produz NO
em células, a
óxido nítrico sintase (Bredt & Snyder, 1990). Hoje é sabido que sua expressão
ocorre em quase todas as células de mamíferos (Alderton et al., 2001), entre elas a
célula muscular esquelética (Kobzik et al., 1994); e que o radical produzido é capaz
de modular a função celular (Eu et al., 2003).
I.3.1 - Óxido nítrico no tecido muscular esquelético e exercício
Os estudos dos efeitos do óxido nítrico no músculo esquelético aumentaram
quando foi detectada a expressão do mRNA da nNOS em células musculares
esqueléticas (Nakane et al., 1993). Mais tarde, foi visto que a enzima óxido nítrico
sintase apresenta três isoformas: neuronal (nNOS) ou tipo 1 (Kobzik et al., 1994),
induzível (iNOS) ou tipo 2 (Liu et al., 1993) e endotelial (eNOS) ou tipo 3 (Bredt,
1999), sendo que as três isoformas são capazes de produzir NO
em velocidades
diferentes, e as duas constitutivas (tipo 1 e 3) são reguladas pelo cálcio. A outra
isoforma (induzível, tipo 2) é independente de cálcio, sendo essa última isoforma
expressa em quase todas as células do corpo humano (Alderton et al., 2001; Nathan
& Xie, 1994).
11
Das três isoformas, a nNOS é localizada no sarcolema, ancorada através do
seu domínio PDZ (Proteina de densidade pós-sináptica (PSD95), Grande disco
supressor tumoral em Drosofila (DlgA), e proteina da zonula de oclusão-1 (zo-1)
(Brenman et al., 1995). Foi observado que no músculo de contração rápida (tipo II) a
isoforma nNOS é mais expressa e capaz de modular a atividade contrátil.
Concomitante ao aumento da atividade contrátil há o aumento da atividade da nNOS
e da eNOS (Balon & Nadler, 1994); sendo assim, a produção de NO
no músculo
pode aumentar durante o exercício. Entretanto, ainda não são conhecidos todos os
alvos do óxido nítrico para modificação redox e alteração da função contrátil.
O óxido nítrico produzido pela enzima NOS é liberado na forma de NO
(óxido
nítrico radical), pois apresenta um elétron desemparelhado no orbital 2p-π* (Halliwell
B. & Gutteridge J.M.C., 2007). A difusão do NO
em condições celulares é pouco
conhecida. Lancaster (1994) fez simulações em um software na tentativa de analisar
o comportamento do NO
em condições celulares e concluiu que a molécula é muito
instável na forma original, tendo um t
½
25 ms. O NO
em soluções aquosas
apresenta uma constante de difusão de 3300 µm
2
/seg, sendo assim, o NO
seria
capaz de se difundir por 10-200 µm a partir do seu ponto de síntese. Entretanto, não
existem dados experimentais que comprovam as simulações de difusão (Lancaster,
Jr., 1994). O que se sabe, experimentalmente, é que o NO
em ambientes
hidrofóbicos de membranas celulares é capaz de reagir, rapidamente, com O
2
-
ou
lipídeos de membrana (Liu et al., 1998; Radi et al., 1991).
Em ambiente celular é pouco provável que o NO
se difunda por distâncias
como as descritas acima, devido aos antioxidantes celulares. Assim, sua ação
ocorre em alvos próximos à enzima produtora. Uma das formas para transmissão do
12
sinal do NO
para locais e compartimentos diferentes nas células pode ser através
da formação de S-nitrosotióis de baixo peso molecular como, por exemplo, o GSNO
(Bryan et al., 2004).
A atividade física induz um aumento na captação de O
2
pelas células e ~1-5%
do O
2
consumido gerar espécies reativas de oxigênio (ROS) e nitrogênio (RNS);
estes podem servir como sinalizadores intracelulares ou levar ao dano celular
(Halliwell B. & Gutteridge J.M.C., 2007). Os mecanismos que causam fadiga são
divididos em central e periférica. A fadiga central está relacionada a fatores de
condução do impulso elétrico para ação muscular, acidose metabólica (H
+
)
sanguínea e disfunção em bombas de troca de íons (Na-K
+
-ATPase) na membrana
plasmática. Os fatores relacionados à fadiga periférica incluem diminuição do
conteúdo de glicogênio muscular, acidose metabólica intracelular (lactato e acidose),
alterações no conteúdo muscular de fosfato inorgânico
muscular, disponibilidade de
O
2
para o tecido muscular e formação de ROS e RNS (Allen et al., 2008; Powers &
Jackson, 2008). As RNS promovem S-nitrosação em proteínas do músculo
esquelético que são capazes de modular a contratilidade (Stamler & Meissner,
2001).
S-nitrosação (p. 2) é uma modificação que tem sido pouco relacionada com a
fadiga muscular. Recentemente, Bellinger et al. (2008), em modelo in vivo,
propuseram a S-nitrosação do receptor rianodina de músculo esquelético (RyR1)
como moduladora da fadiga através da regulação do complexo macromolecular
RyR1/FKBP12. A dissociação da FKBP12 do RyR1 está relacionada a um aumento
no vazamento de cálcio celular devido à FKBP12 estabilizar o RyR1 em uma
conformação fechada (sem vazamento de cálcio). Entretanto, modificações pós-
13
traducionais como fosforilação e S-nitrosação são capazes de dissociar FKBP12 do
RyR1, gerando um vazamento de cálcio. Este vazamento de cálcio do retículo
sarcoplasmático para o citossol, ativa proteases (calpaina) que degradam proteínas
contráteis e, consequentemente, levam à fadiga muscular precoce (Bellinger et al.,
2008). Estes dados sugerem que há uma relação entre fadiga e S-nitrosação
interligada pela modificação do RyR1. Contudo, não é apenas o RyR que é alvo para
S-nitrosação nas células musculares. Há modificações em outras proteínas como
creatina quinase, gliceraldeido 3-fosfato desidrogenase, proteínas da cadeia
respiratória e proteínas contráteis que são conhecidas por sofrerem S-nitrosação
(Cleeter et al., 1994; Mohr et al., 1994; Shi et al., 2008; Wolosker et al., 1996).
Apesar disso, a S-nitrosação dessas proteínas ainda não foi bem relacionada a
modelos de regulação da contratilidade.
Em fibras “descascadas” (sem sarcolema), foi mostrado que altas doses de S-
nitrosoglutationa (GSNO) são capazes de diminuir a sensibilidade ao cálcio, sendo
essas modificações revertidas por ditiotreitol (DTT) (Spencer & Posterino, 2009).
Entretanto, DTT é capaz de reverter S-glutatiolação (modificação induzida também
por GSNO) e não apenas S-nitrosação, portanto não ficou claro se o efeito era
promovido por formação de S-nitrosotióis. Ainda não foram identificadas às proteínas
contráteis alvos para S-nitrosação ou S-glutatiolação em fibras musculares
descascadas; assim, não sabemos quais são os alvos para S-nitrosação que alteram
a sensibilidade ao cálcio, neste modelo.
I.4 – S-nitrosotióis de baixo e alto peso molecular
Óxido nítrico produzido na célula pode, rapidamente, assumir outras formas
químicas como NO
+
, NO
-
, N
2
O
3
e outras, com reatividades diferentes (Stamler et al.,
14
1992). Também, pode formar S-nitrosotióis de baixo peso (GSNO ou CysNO) ou alto
peso molecular (proteína-SNO) (Bryan et al., 2004; Hogg, 2002). O mecanismo
genérico para formação do S-nitrosotiol celular a partir de NO
é mostrado na
equação 1.
2NO
+ ½O
2
N
2
O
3
+ RSH RSNO + 2NO
2
-
+ 2H
+
Eq. 1
A concentração de NO
no músculo cardíaco pode variar de 1-3000 nM (Pinsky
et al., 1997) e o GSNO (principal S-nitrosotiol celular de baixo peso molecular) é
encontrado em concentrações de ~2 µM no cerebelo, 50 µM na aorta e 200 µM na
mitocôndria, dependendo da compartimentalização (Gaston et al., 1993; Kluge et
al., 1997; Ng et al., 2007; Steffen et al., 2001). Sendo assim, o NO
e o GSNO
podem ser encontrados em uma faixa µM em diferentes tecidos e compartimentos
celulares (Bryan et al., 2004), porém não se sabe a concentração de NO
ou GSNO
no tecido muscular esquelético.
A glutationa (GSH) é um onipresente tiol de baixo peso molecular celular capaz
de proteger as proteínas contra modificações redox através da captura dos agentes
oxidantes e nitrosantes ou sendo doador de elétrons de enzimas antioxidantes (por
exemplo: glutaredoxina). Os tióis de baixo peso molecular podem agir como agentes
trans-nitrosantes, doando NO para tióis de alto peso molecular como as proteínas
(Hogg, 2002; Hess et al., 2005; Stamler et al., 1992).
Recentemente, utilizando doadores de NO
, GSNO e soluções saturadas com
NO gás em Po
2
fisiológica intracelular (1% ou 10 µM O
2
ou 10 mmHg), Sun et al.
(2008), mostraram que apenas o GSNO é capaz de modular a atividade do RyR2 in
vitro, conferindo a esse doador um papel fundamental na regulação da função
contrátil do músculo cardíaco (Sun et al., 2008). O metabolismo do GSNO é
15
regulado pela enzima GSNO redutase (GSNOR), que facilita o equilíbrio entre
GSNO e proteína-SNO. Em um camundongo knockout para GSNOR, foi mostrado
que os S-nitrosotióis endógenos são de extrema importância para o funcionamento
do músculo cardíaco (Lima et al., 2009). As evidências experimentais têm indicado
que um potente agente trans-nitrosante é o GSNO.
I.5 - Denitrosação
O antioxidante celular mais abundante é a glutationa, um tripeptídeo (Glu-Cys-
Gly) que é capaz de doar um equivalente redutor (H
+
+ e
-
) para outras moléculas
instáveis. A concentração intracelular de GSH pode variar de 0,5-10 mM (Meister &
Anderson, 1983). Este onipresente anti-oxidante celular é capaz de proteger as
proteínas de modificações redox induzidas por estresse oxidativo (Powers &
Jackson, 2008) e/ou nitrosativo (Foster et al., 2003).
No músculo esquelético os níveis de glutationa podem variar de acordo com o
tipo de fibra muscular. Fibras do tipo I de ratos apresentam de quatro a seis vezes
mais GSH (2–3 mM) comparado com fibras do tipo II (0.5 mM) (Leeuwenburgh et al.,
1997). A manutenção do conteúdo de GSH celular é extremamente importante para
a sobrevivência celular, já que pode participar na redução de proteínas oxidadas ou
S-nitrosadas, como em situações fisiopatológicas de alta produção de NO
(Durham
et al., 2008; Paige et al., 2008).
O mecanismo de denitrosação de tióis de alto peso molecular ainda é pouco
conhecido, comparado com a denitrosação de tióis de baixo peso molecular,
principalmente, o GSNO (Jensen et al., 1998; Liu et al., 2001). Uma vez que o
GSNO é um conhecido RSNO de baixo peso, dados sugerem que essa molécula
16
esteja em equilíbrio com os S-nitrosotióis proteicos: a denitrosação do GSNO é
catalisado pela enzima GSNO redutase (GSNOR) (Liu et al., 2001).
Esta enzima é conservada de bactérias a humanos e está se configurando
como uma das principais vias para denitrosação celular (Foster et al., 2009). Em
casos de desequilíbrio do sistema GSNO/GSH há um aumento na formação de
RSNO de alto peso molecular, acarretando um funcionamento celular prejudicado
(Liu et al. 2004). O mecanismo de denitrosação por GSNOR é mostrado na equação
2:
GSNO + NADH + H
+
GSNHOH + NAD
+
GSNHOH + NADH + H
+
GSNH
2
+ NAD
+
+ H
2
O
GSNH
2
+ GSH GSSG + NH
3
Eq.: 2
Em camundongos, a enzima GSNOR é expressa em vários tecidos como
fígado, rim, baço, timo (Liu et al., 2004), pulmão (Que et al., 2005) e músculo
cardíaco (Lima et al., 2009). Em situações como sepse, asma e isquemia cardíaca, o
GSNO se mostrou extremamente importante na homeostase de S-nitrosotióis de alto
peso molecular e muito importante para recuperação do funcionamento celular
destes tecidos.
A atividade física acarreta um aumento na produção de espécies reativas que
promovem modificações redox em tióis protéicos, contribuindo para a fadiga
muscular (Ferreira & Reid, 2008). Com o intuito de achar uma maneira de retardar o
processo de fadiga muscular, foi administrado N-acetilcisteína (precursor da síntese
de GSH) em humanos e medida a capacidade de execução de movimentos no
músculo tibial anterior. Os indivíduos que fizeram uso de N-acetilcisteína tiveram um
17
menor índice de fadiga. Esse trabalho mostra indícios que o GSH estaria envolvido
na proteção contra modificações redox que possam levar à fadiga (Reid et al., 1994).
Deste modo, o GSH está modulando o mecanismo de regulação de
modificação redox como nitrosação/denitrosação, retardando a fadiga. A partir
desses dados e os de outros trabalhos, há um forte indício da necessidade do
equilíbrio GSH/GSNO intracelular no músculo esquelético.
Existem vias mais específicas para denitrosação como, por exemplo, para
denitrosação de caspase 3, que é mediada pelo receptor FAS, pela tioredoxina e
pela tioredoxina redutase (Benhar et al., 2008; Mannick et al., 1999). Este
mecanismo tem grande importância, pois quando há um aumento da S-nitrosação de
caspase 3, sua atividade é inibida. A tioredoxina promove a denitrosação de
caspase 3, e a tioredoxina redutase reduz a tioredoxina para que esta se mantenha
em um estado ativo, sendo capaz de regular, desta maneira, as vias de apoptose
celular (Holmgren, 2008).
O processo de nitrosação/denitrosação está emergindo como algo semelhante
ao processo de fosforilação/defosforilação (Lane et al., 2001), regulando a função e
a interação das proteínas (Ozawa et al., 2008; Wang et al., 2006) e o tráfico de
proteínas entre compartimentos celulares (Iwakiri et al., 2006). Contudo, pouco se
sabe desse processo no tecido muscular.
I.6 - Fatores regulatórios de nitrosação e denitrosação
Existem diversos fatores que interferem na formação e decomposição de
proteína-SNO, como a produção de NO
, cálcio, GSH/GSSG, Po
2
e pH (Hess et al.,
2005). Nesta parte da tese, serão abordadas apenas as modificações induzidas pelo
18
pH e pela Po
2
, ambas sujeitas a alteração em situações especiais como o exercício
(Allen et al., 2008; Richardson et al., 2006). Ambos são considerados limitantes para
manutenção da atividade contrátil (Allen et al., 2008; Eu et al., 2003; Stary & Hogan,
2000), assim contribuindo para o complexo processo da fadiga muscular.
A Po
2
nas células musculares em repouso pode variar de 23 – 34 mmHg (2 –
5% O
2
ou ~30 µM O
2
). Durante a atividade física, a pressão diminui para 3 – 5
mmHg (Gorczynski & Duling, 1978; Honig & Gayeski, 1993; Richardson et al., 1995;
Richardson et al., 2006). A variação de Po
2
se mostrou importante para formação de
RSNO do ponto de vista celular quando foi visto que a saturação da hemoglobina
com oxigênio está diretamente relacionada a S-nitrosação da hemoglobina, e que
esta modificação poderia modular o estado de relaxamento dos vasos (Jia et al.,
1996; Stamler et al., 1997a). A partir desse momento, cresceram os estudos dos
efeitos da variação da Po
2
como modulador da formação de RSNO e
consequentemente do comportamento celular. Foi visto que a S-nitrosação do
receptor rianodina (RyR1), do receptor NMDA (Eu et al., 2000; Takahashi et al.,
2007) e das proteínas relacionadas ao metabolismo celular (Foster & Stamler, 2004;
Rodriguez-Juarez et al., 2007) é modulada por variações na Po
2
, sendo maior a
baixa Po
2
.
Utilizando músculo intacto, Eu et al. (2003) mostraram que a variação da Po
2
modula a produção de força por um músculo intacto isolado estimulado
eletricamente. O bloqueio desse efeito por inibidores de nNOS (L-NAME), mostrou
que o óxido nítrico em Po
2
fisiológica pode ser um ativador da produção de força e
em Po
2
atmosférica, é um inibidor. Desta maneira, estes experimentos delinearam
um novo campo para regulação do mecanismo contrátil por óxido nítrico em
19
situações fisiológicas. Por outro lado, não podemos atribuir apenas ao RyR1 em Po
2
fisiológica a regulação da contração muscular sem descartar outros alvos que
modulam através do óxido nítrico o mecanismo de contração como, por exemplo, as
proteínas contráteis.
O pH é outro fator muito importante para regulação das modificações redox em
tióis, uma vez que este fator está relacionado com o pK
a
dos tióis (Sethuraman M et
al., 2006; Winterbourn & Metodiewa, 1999; Ziegler, 1985). Durante a atividade física,
há um aumento na liberação de H
+
(produzido, principalmente, pela via glicolítica e
hidrólise de ATP), que acidifica o meio intracelular. Em humanos, o pH intracelular
em repouso é de ~7,05, sendo que, no inicio de uma atividade física, o pH pode
aumentar ~0,1 unidade de pH, mas após exercício intenso pode diminuir para ~6,5 e
o nível de lactato intracelular chegar a 30 mM (Bangsbo et al., 1996; Sahlin et al.,
1976). Em outros casos, o pH pode diminuir para ~6,8 ou 6,9 (Hogan et al., 1999),
mostrando que a fadiga muscular esquelética em humanos não, necessariamente,
está relacionada a grandes diminuições em valores de pH.
A formação de S-nitrosotióis varia com pH (Arnelle & Stamler, 1995) e tem sido
relacionada à fadiga muscular como, por exemplo, em animais submetidos a um
período de treinamento intenso. Estes apresentam aumento na S-nitrosação do
RyR1 (que pode estar relacionado a variações no pH) seguido de um vazamento de
cálcio pelo RyR1 e, consequentemente, de disfunções e danos celulares (Bellinger
et al., 2008).
Ambos os fatores apresentados acima (pH e Po
2
) exercem um importante
papel na modificação pós-transducional de tióis e, principalmente, na formação de
20
RSNO. Deste modo, modificações nesses dois fatores podem promover a S-
nitrosação de proteínas contráteis que, possivelmente, modula a fadiga muscular.
21
II - Objetivos
II.1 - Objetivo Geral
Investigar como parâmetros associados com o exercício influenciam a S-
nitrosação e denitrosação das proteínas contráteis in vitro e in vivo.
II.2 - Objetivos específicos
Analisar a influência do exercício sobre o estresse nitrosativo e na formação de
RSNO em proteínas do músculo esquelético.
Detectar S-nitrosação e denitrosação de proteínas contráteis em homogenato
de músculo de contração rápida (EDL) e em fibras musculares descascadas
incubadas com GSNO in vitro.
Identificar quais as proteínas contráteis são S-nitrosadas no músculo
esquelético com exercício.
Desenvolver um modelo para estudos da influência da Po
2
em S-nitrosação e
denitrosação in vitro.
Detectar efeitos de doadores de NO (GSNO e DEANO) sobre a atividade
Mg
2+
ATPásica da miosina em diferentes condições de pH e de Po
2
.
22
III - Materiais e Métodos
III.1 - Doadores de NO
III.1.1 - S-nitrosoglutationa (GSNO)
O GSNO (Figura 3) foi sintetizado a partir da combinação de concentrações
equimolares de GSH e NaNO
2
em solução acidificada com 0,1 M de HCl, seguido de
1 min de reação a temperatura ambiente e adição de 50 mM de imidazol pH 7,0 para
tamponar a solução (Feelisch & Stamler, 1996). O GSNO apresenta uma meia vida
de ~170 min a 24 ºC em soluções aquosas (Sun et al., 2003).
GSNO
(C
10
H
16
N
4
O
7
S)
Figura 3: Composição química e estrutura química do GSNO.
III.1.2 – DietilaminaNONOato (DEANO)
Os NONOatos ou 1-substituído diazen-1-io-1,2-diolatos são compostos
contendo o grupo funcional [N(O)NO]
-
que são capazes de doar NO
in vitro e in vivo
por simples protonação dos grupamentos NONO e liberação de NO
. A meia vida
dos compostos pode ser de 1 min a 1 dia em solução com pH 7,0 a 37 ºC (Keefer et
al., 1996). Um dos compostos utilizados como doador de NO
foi o DEANO (Figura
4), um composto com t
½
de 2-4 min a 37 ºC e 16 min a 22-25 ºC em pH 7,4. Estes
nonoatos são solúveis em água e estáveis em soluções alcalinas até pH 10,0. O
composto foi solubilizado imediatamente antes do experimento com NaOH 10 mM
(Feelisch & Stamler, 1996).
23
DEANO
(C
7
H
15
N
3
O
4
)
Figura 4: Composição química e estrutura química do DEANO.
III.2 - Purificação de miosina
A miosina foi purificada de músculo longissimus dorsi de coelho conforme
(Bremel & Weber, 1975), com algumas modificações. O animal foi sacrificado por
deslocamento cervical e hipovolemia sanguínea (Comissão de Avaliação da
Utilização de Animais em Pesquisa do Centro de Ciência da Saúde– CAUAP/UFRJ –
IBQM024). Em seguida, foi feita uma incisão na pele da região dorsal do animal para
expor o músculo e a carcaça do animal foi mantida por 30 min sobre o gelo para
resfriamento do músculo. O músculo foi retirado e após a limpeza manual para
retirar tecido conectivo, o músculo foi passado por duas vezes em um moedor de
carne. As etapas seguintes foram feitas a 4 ºC. Para cada 100 g de músculo foi
adicionado 300 mL de solução com alta força iônica (300 mM KCl, 150 mM KH
2
PO
4
,
50 mM K
2
HPO
4
, pH 6,5) e o homogenato foi agitado lentamente na geladeira por 10
min. Em seguida, foi adicionado 1200 mL de H
2
O (Mili-Q) gelada para cada 100 g de
músculo e a mistura foi agitada, vagarosamente, por 15 min para que a miosina
precipite em baixa força iônica. O homogenato foi filtrado em duas camadas de gaze
e a parte retida foi descartada. A seguir, foi adicionado vagarosamente 1800 mL de
H
2
O (Mili-Q) gelada para melhor precipitação da miosina. A solução foi centrifugada
a 30.000 x g por 30 min e o sedimento ressuspenso em alta força iônica (600 mM
KCl), usando 300 mL para cada 100 g de músculo; o sedimento de proteína foi
colocado em um potter e homogeneizado. No momento seguinte, foi adicionado H
2
O
24
(Mili-Q) gelada e novamente centrifugado a 30.000 x g durante 30 min e o
sobrenadante foi filtrado em gaze e ao filtrado foi adicionado 1400 mL H
2
O (Mili-Q)
gelada para cada 100 g de músculo, seguido de centrifugação a 30.000 g x 30 min.
O precipitado foi ressuspenso em alta força iônica. O processo foi repetido três
vezes para eliminar contaminantes, principalmente, actina. Após a precipitação, a
miosina foi ressuspendida em tampão de alta força iônica (600 mM KCl, 50 mM
HEPES, pH 7,0, preparado em 50% de glicerol) e estocada a -20 ºC. Para utilização
da proteína nos ensaios de ATPase verificar item 3.4.
III.3 - Dosagem de proteína
A concentração de proteína das amostras foi dosada por dois métodos distintos
contra uma curva padrão de albumina de soro bovino (BSA), um deles foi o método
de biureto (Gornall et al., 1949), que detecta ligações peptídicas. Para eliminar o
glicerol em que a miosina purificada estava estocada, foi adicionado 13 volumes de
H
2
O a 0.5 mL de miosina e a mistura foi centrifugada a 9000 x g por 25 min. O
sobrenadante foi desprezado e o precipitado foi ressuspenso em 0,6 M KCl, 50 mM
de imidazol pH 7,0 e após foi feita dosagem. A concentração no estoque de miosina
foi normalmente na faixa de 10-15 mg/mL.
Para dosagem de proteína nos experimentos em fibra muscular descascada,
utilizamos o método de Lowry et al (1951), que é um método mais sensível e serve
para concentrações de proteína na faixa de 0,05-2 mg/mL. Foi usada também uma
curva padrão com BSA.
25
III.4 - Atividade Mg
2+
ATPásica da miosina
Para a análise da atividade da miosina purificada, foi utilizado o meio de reação
que melhor simula o fisiológico, com MgATP
2
-
como substrato para miosina. Foi
medida a atividade em diferentes valores de pH (6, 7, 8) e Po
2
fisiológica e
atmosférica (1 - 5% ou ~10 – 50 µM de O
2
e 21% ou ~220 µM de O
2
,
respectivamente), variando a concentração de doadores de NO (GSNO e DEANO),
com intuito de simular fatores que podem variar a nível celular durante o exercício.
A proteína foi pré-incubada a 1 mg/mL (2 µM) na presença de diferentes
valores de pH (6, 7, 8) e 50 mM KCl, 50 mM imidazol, 5 mM MgCl
2
, e diferentes
concentrações de GSNO 0-100 µM (volume final 300 µL) a 30 ºC para induzir a
formação de proteína-SNO. A hidrólise foi iniciada com adição de ATP (3 mM) em
pH 7,0 em um volume de solução 10x, volume em que a proteína foi pré-incubada
(diluindo todos os compostos 10X). Desta maneira, a formação de proteína–SNO
ocorreu em diferentes valores de pH e a atividade foi medida a pH 7,0. Quatro
alíquotas (5, 10, 15, 20 min de hidrólise) de 0,5 mL foram retiradas e misturadas com
um volume equivalente de carvão (25 g/100 mL de ácido perclórico 0,1 N). Os tubos
foram centrifugados a 13.000 x g por 25 min e, em seguida, o sobrenadante foi
retirado e incubado com molibdato ferroso, sendo feita à leitura colorimêtrica a 700
nm para dosagem do Pi (Taussky & Shorr, 1953). Ao final da reação, foi medido o
pH da solução, que se manteve 7,0.
Para o ensaio variando Po
2
, todas as soluções foram equilibradas previamente
para Po
2
fisiológica com uma mistura de gases de 95% N
2
, 4% CO
2
e 1% de O
2
.
Esse procedimento foi feito em um tubo vacutainer com volume final de 4 mL. Foi
adicionado ao tubo, 3 mL com 50 mM KCl, 50 mM imidazol e 5 mM MgCl
2
pH 7,0 e,
26
para equilibrar com O
2
, os tubos foram fechados. Uma cânula de 14 gauge (G) de
aço inox e ao lado uma agulha de insulina de 28 G foram inseridos pela superfície
de borracha (superior). Através da cânula de aço inox foi injetado, durante 25 min, a
mistura gasosa na solução. Para confirmar a concentração de O
2
, foi medida a
concentração de O
2
(óxigrafo 2k) (Oroboros Instruments, Innsbruch Austria) e a
solução se apresentava em uma faixa de 35 - 45 µM de O
2
. O pH se manteve em
7,0. Para que não houvesse alteração da Po
2
, as soluções de DEANO, ATP e
miosina foram preparadas a uma concentração onde seriam adicionados de cada
um 30 µL no máximo. A miosina foi incubada por 1 h com DEANO (doador de NO
) e
a reação de hidrólise foi iniciada por adição de ATP. Os ensaios em Po
2
atmosférica
foram feitos no mesmo sistema utilizado para os ensaios de Po
2
fisiológica. Foram
retiradas alíquotas de 0,5 mL através da cânula de 14 G e o procedimento para
dosagem de Pi foi como descrito acima.
III.5 - Detecção de S-nitrosotióis por Griess-Saville
Este método é o mais comumente usado para detecção de NO
2
-
, sendo um
ensaio colorimétrico. O NO
em soluções aquosas é rapidamente auto-oxidado a
nitrito e nitrato em diferentes taxas dependendo das condições do ambiente; a
sensibilidade da técnica é de ~200 nM. A reação pela qual é detectado o NO
2
-
é
mostrada na Figura 5.
Para detecção de RSNO é adicionado mercúrio (Hg
2+
– 145 mM) às amostras.
Sendo que o Hg
2+
tem alta afinidade por grupamentos tióis, ele é capaz de
decompor RSNO (Saville, 1958). Soluções contaminadas por metais têm
interferência na medida de NO
2
-
.
27
Sulfanilamida
NED
Diazo composto
Figura 5: A reação descrita para detecção de NO
2
-
pelo método de Griess. O nitrito
(NO
2
-
) reage com a sulfanilamida, promovendo diazotização do composto; em
seguida, o N-1-nafitiletilenodiamina (NED) é acoplado ao composto diazo e medido
colorimetricamente a 540 nm.
Uma alíquota de amostra (40 µL) é adicionada a 200 µL de H
2
O com e sem 10
µL de 145 mM HgCl
2
. Após 15 min é adicionada 250 µL de reagente de Griess em
meio ácido (125 µL de 0,1 % [p/v] de N-1-naftiletilenodiamina (NED) em H
2
O e 125
µL de 1,0 % de sulfanilamida em 10% H
3
PO
4
[v/v]). Após 15 min é feita a leitura do
NO
2
-
por absorção da luz a 540 nm contra uma curva de nitrito de sódio de 1 a 8 µM.
28
Figura 6: Decomposição de RSNO por a adição de Hg
2+
como descrito por Saville
(1958). O RSNO é decomposto por adição de HgCl
2
; em seguida o Hg
+
se liga a S
+
,
liberando NO
. Rapidamente, o NO
é auto-oxidado a NO
2
-
que é medido por Griess
como descrito acima.
As amostras de tecido foram homogeneizadas e, em seguida, adicionadas a
um volume de 1 mL do reagente de Griess com e sem HgCl
2
(145 mM). Após 15
min, foi realizada a medida colorimetrica em 540 nm.
A leitura do nitrito formado por decomposição por Hg
2+
é considerada
específica para ligações de NO nas cisteínas protéicas, já que Cys é o único
aminoácido a apresentar grupamento sulfidrila e a afinidade por grupamentos tióis é
muito alta.
III.6 - Técnica de troca de resíduos S-nitrosados por tiobiotinilados (Biotin
Switch Technique)
A técnica mais utilizada para identificação de proteínas S-nitrosadas é o biotin
switch, descrita por Jaffrey et al. (2001). É constituída por três passos: (i) “bloqueio”
ou tiometilação de tióis livres nas proteínas, (ii) redução de S-nitrosotióis com ácido
ascórbico (AA) e (iii) tiobiotinilação dos resíduos reduzidos por biotina-HPDP
29
(Forrester et al., 2007; Forrester et al., 2009a; Jaffrey & Snyder, 2001; Reinartz et al.,
2008).
A técnica foi reproduzida em nosso laboratório com algumas modificações. A
concentração de proteína nas amostras processadas foi ajustada para 1 mg/mL
(tecido ou proteína purificada). Após incubação por 60 min a 50 ºC em tampão HEN
(250 mM Hepes pH 7,7, 1 mM EDTA e 0,1 mM neocuproína) contendo 2,5% de SDS
e 40 mM de metilmetanotiosulfonato (MMTS), em seguida, todas as amostras foram
precipitadas com acetona 70% (v/v) e permaneceram a -20 ºC por 15 min seguida
de centrifugação a 2000 x g por 10 min a 4 ºC. O processo de lavagem foi repetida
por 3 vezes. Após as lavagens, as proteínas foram ressuspensas em tampão HEN
com 1% de SDS e 1 ou 30 mM de AA para proteína purificada e homogenato de
tecido, respectivamente, e 1 mM de (N-(6-(biotinamido)hexil)-3'-(2'-piridilditio)-
propionamida (biotina-HPDP) ou em ausência de AA (controle negativo), reagindo
por 60 min a 37 ºC. Em seguida, as amostras foram lavadas como descrito,
anteriormente, e após o último ciclo de lavagens, as amostras foram ressuspensas
com 1% SDS em tampão HEN diluído 10x. As amostras foram congeladas, para
posterior análise via eletroforese e Western blot com antibiotina (Forrester et al.,
2007), com uma diluição de 1:3.000 para proteína purificada e 1:20.000 para
homogenato de tecido. Todos os passos foram executados na ausência de luz.
30
Figura 7: Método de troca de RSNO por biotina-HPDP descrito por Jaffrey e Snyder
(2001). As amostras em diferentes condições de estresse nitrosativo (A, baixo; B,
médio; C, alto) passam por três etapas na técnica: (i) Tioalquilação (bloqueio de tióis
livres), (ii) redução de RSNO com AA e (iii) biotinilação dos tióis reduzidos por AA e
análise por Western blot (Forrester et al., 2009a).
31
III.7 - Fibras descascadas
Os feixes de fibras do músculo psoas de coelho foram extraídos e
permeabilizados como descrito por (Eastwood et al., 1979), e estocados a –20°C em
50% glicerol (v/v) contendo 152 mM propionato de potássio, 20 mM propionato de
imidazol pH 7,0, 2,5 mM acetato de magnésio, 5 mM EGTA, 2,5 mM ATP e um
coquetel de inibidores de protease (Pinto et al., 2008). O glicerol foi removido antes
do uso.
Feixes de cinquenta miligramas (semiseca) foram incubados por 30 min a 30°C
com 0-1 mM de GSNO em solução de relaxamento (152 mM propionato de potássio,
20 mM propionato de imidazol pH 7,0, 6,4 mM acetato de magnésio, 5 mM EGTA,
4,4 mM ATP). Em seguida, as fibras foram lavadas 3x com solução de relaxamento
para remoção do GSNO excedente e homogeneizadas com potter em 1 mL de
tampão contendo 25 mM HEPES pH 7,7, 4 mM EGTA, 4 mM MgCl
2
, 2 mM ATP, 0,1
mM neocuproína e 0,3 M KCl, na ausência de luz. A detecção de RSNO foi realizada
pela técnica de Griess/Saville e as proteínas foram identificadas por biotin switch
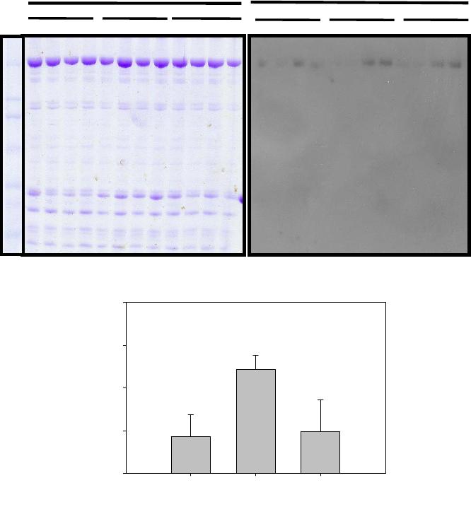
como descrito acima. A Figura 8 mostra o extrato de fibras musculares descascadas
tratadas com diferentes concentração de GSNO.
32
Figura 8: Incubação de fibras descascadas com GSNO (0 – 1 mM) não altera a
extração de proteínas de fibra musculares descascadas mostradas no SDS-PAGE
10%, corado com Coomassie blue. Padrão de peso molecular: Cadeia pesada de
miosina (MHC), α-actinina, actina, Troponina T (TnT), Tropomiosina (TM), Cadeia
leve de miosina 2 (MLC-2), Troponina C (TnC),Cadeia leve de miosina 3 (MLC-3).
III.8 - S-nitrosação e denitrosação in vitro.
Reações de formação dos S-nitrosotióis protéicos in vivo estão em equilíbrio
com a denitrosação, e a manutenção desse equilíbrio é mediada pelo conteúdo de
GSH celular. Para analisar o perfil de denitrosação das proteínas contráteis, o
músculo extensor digitorum longus (EDL) foi homogeneizado em um potter com 10
volumes do tampão HEN, 600 mM KCl, 10 mM ATP, 5 mM MgCl
2
e 2% Triton-X100.
O homogenato total foi centrifugado a 500 x g (10 min) e, em seguida, a
concentração de proteína foi ajustada para 1 mg/mL, após incubação com 40 µM
GSNO por 40 min ou veículo (H
2
O), as proteínas foram precipitadas com 7,5
volumes de tampão HEN e centrifugadas por 2000 x g (10 min), ressuspensas em
tampão HEN e 5 mM de GSH ou veículo por 20 min e precipitadas com tampão
HEN. Após a centrifugação a 2000 x g (10min), as amostras passaram pelo
0 10 100 500 1000
µM GSNO
33
procedimento do biotin switch como descrito acima, sendo todos os passos feitos na
ausência de luz (Forrester et al., 2007; Paige et al., 2008).
III.9 - Detecção de estresse nitrosativo no exercício
Foram utilizados ratos Sprague-Dawley machos (300-350 g) para realização de
exercício de alta e baixa intensidade. Os animais foram introduzidos em uma piscina
para exercício de natação na presença e ausência de uma carga. O exercício de alta
intensidade consistiu de 4,7 min de duração com 14% do peso do animal adicionado
à própria cauda (14 séries de 20 s alternando com 10 s de repouso) totalizando 7
min até o final da atividade. Esse protocolo foi escolhido por ser conhecido como
exercício que produz concentrações de lactato no plasma em torno de 11 mM
(Terada et al., 2001). No exercício de baixa intensidade, o animal foi colocado na
piscina sem adição de carga e permanecia por 30 min em exercício, não
apresentando exaustão. Ambos os tipos de atividade caracterizam-se como
atividade física aguda, sendo o primeiro, anaeróbio, e o segundo, aeróbio. Em
seguida, os animais foram sacrificados usando Na-pentobarbital (50 mg/Kg) e os
músculos sóleo e EDL foram homogeneizados em tampão (1 % Triton-X100, 20 mM
Tris-HCl pH7,7, 2,5 mM pirofosfato, 1 mM NaVO
4
, 0,1 mM neocuproína, 1 mM
EDTA, 1 mM EGTA e 1 mM fenilmetanosulfonilfluoreto (PMSF). Os homogenatos
foram analisados para NO
2
-
e RSNO pelo método de Griess-Saville como descrito
acima.
O protocolo de exercício descrito acima foi repetido com ratos Wistar (na
ausência de ratos Sprague-Dawley) para observação das proteínas alvo para
formação de RSNO no músculo EDL, detectados pela biotin switch. Neste protocolo,
o músculo EDL foi homogeneizado com solução contendo tampão HEN, 600 mM
34
KCl, 10 mM ATP, 5 mM MgCl
2
e 2% Triton-X100 para enriquecer o homogenato com
proteínas contráteis (Barany & Close, 1971).
III.10 - Eletroforese
Para análise do conteúdo de proteínas foi feito SDS-PAGE (eletroforese em gel
de poliacrilamida-duodecil sulfato de sódio), em 8% acrilamida, comparando as
proteínas com o padrão de peso molecular comercializado como Sigma Marker™
Wide Range (M
r
= 6.500 – 205.000). As amostras foram solubilizadas em tampão de
amostra para eletroforese (Laemmli, 1970).
III.11 - Western blot
A técnica de Western blot foi aplicada após separação das proteínas em um gel
de poliacrilamida 8%. O gel foi colocado em contato com uma membrana de
nitrocelulose para transferência, com uma corrente constante de 200 mA, na
geladeira. Em seguida, a membrana foi incubada para 12-18 h com TBS-T (50 mM
Tris-HCl pH 8,0, 300 mM NaCl e 0,1% Tween 20) com 3% de BSA. A membrana foi
lavada 4 x durante 15 min cada vez com TBS-T e incubada com estreptavidina
conjugada a peroxidase de rabanete (estreptavidina-HRP) com diluições de 1:3.000
para miosina isolada e 1:20.000 para homogenato de tecido, por 1 h seguido de 6
lavagens de 15 min com TBS-T. A membrana foi incubada com ECL plus (GE
Helthcare, Brasil) (substrato para peroxidase) e um filme (Kodak T-MAT G/RA 18x24
cm) foi exposto à luminescência da membrana e revelado para identificar proteínas
biotiniladas (nitrosadas) (Forrester et al., 2007; Jaffrey & Snyder, 2001).
35
As intensidades de coloração das proteínas com Coomassie blue R e da
quimioluminescência nos filmes de raios-x foram analisadas usando o software
ImageJ (National Institute of Health, Bethesda, MD, EUA).
III.12 – Reagentes
Ácido ascórbico, GSH, HgCl
2
, ATP (Grade I), EDTA, EGTA, imidazol, HEPES,
Tris, DTT, MgCl
2
, e albumina de soro bovino (BSA) foram comprados da Sigma-
Aldrich (St. Louis, MO), biotina-HPDP foi da Pierce (Rockford, IL), diethylamine nitric
oxide, sodium salt (DEANO) foi da Cayman Chemical (Ann Arbor, Michigan), tubo
vacutainer foi da (Vacuette); mistura do gás foi da (White Martins) e streptavidin-HRP
foi da MP Biomedicals (Irvine, CA). Outros sais foram comprados de empresas
brasileiras.
III.13 – Análise estatística
Foi utilizado o teste-t de Student, pareado ou não, para a análise das
diferenças entre as médias dos valores obtidos em pelo menos três experimentos
distintos, com um nível de significância 0,05. As diferenças significativas estão
indicadas nas legendas ou no texto. As análises foram feitas com o programa
Sigmaplot 10.0.
36
IV - Resultados
IV.1 - Exercício e estresse nitrosativo
Em algumas situações fisiológicas ou fisiopatológicas, como o exercício ou
infecções, ocorre um aumento na produção de óxido nítrico, consequentemente
gerando um estresse nitrosativo (Bellinger et al., 2008; Bellinger et al., 2009; Durham
et al., 2008). Deste modo, nos primeiros experimentos foram testadas condições que
possam aumentar a produção de NO
.
, levando a S-nitrosação das proteínas
contráteis e, consequentemente a uma modificação da sua atividade.
Ratos Sprague-Dawley foram submetidos a exercício de natação de alta e
baixa intensidade como descrito nos Materiais e Métodos (§ 3.8), seguido de análise
do conteúdo de nitrito (NO
2
-
) no homogenato dos músculos EDL (contração rápida) e
sóleo (contração lenta) pela técnica de Griess/Saville (§ 3.5). As Figuras 9 e 10
mostram que ambos os exercícios aumentam o conteúdo de nitrito nos músculos
sóleo e EDL comparado ao controle.
Nas amostras contendo HgCl
2
, composto utilizado para detectar aumento de
nitrito proveniente da decomposição de RSNO, não foi detectado nenhum aumento
na formação de RSNO no músculo sóleo, baseado na relação (NO
2
-
com HgCl
2
-
)/NO
2
-
(Tabela 1). Entretanto, no músculo EDL, o exercício de alta intensidade
promoveu um aumento significativo no conteúdo de RSNO comparado com os
animais controle e com o exercício de baixa intensidade (Tabela 1).
37
0
1
2
3
4
5
6
7
*
*
NO
2
-
NO
2
-
+ HgCl
2
nmol NO
2
-
/mg ptn
*
*
Sed. High Low
Cont Alta Baixa
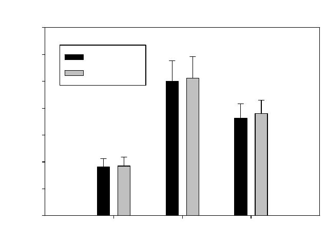
Figura 9: Exercícios de alta e baixa intensidade aumentam o conteúdo de nitrito no
músculo sóleo (contração lenta). Dosagem de nitrito (NO
2
-
) no homogenato do
músculo sóleo na ausência (preto) e presença (cinza) de HgCl
2
(para decomposição
de RSNO), no homogenato do músculo dos animais controle (Cont), exercício de
alta intensidade (Alta) ou de baixa intensidade (Baixa). * diferente dos respectivos
controles (Cont), P 0,05. (média ± e.m.) (n = 9).
38
0,0
0,5
1,0
1,5
2,0
2,5
*
*
NO
2
-
*
NO
2
-
+ HgCl
2
nmol NO
2
-
/mg ptn
*
Figura 10: Exercício de alta intensidade aumenta a formação de nitrito e de RSNO
no músculo EDL (contração rápida). Dosagem de nitrito (NO
2
-
) no homogenato do
músculo EDL sem (preto) e com (cinza) a adição de HgCl
2
(para decomposição de
RSNO), no controle (Cont) e após exercício de alta intensidade (Alta) ou de baixa
intensidade (Baixa). * diferente em relação ao controle (Cont), P 0,05. (média ±
e.m.) (n = 8 - 9).
Músculos
Controle
(Cont)
Exercício
anaeróbio
intenso (alta)
Exercício
aeróbio
leve (baixa)
(nmol NO
2
-
c/ Hg
2+
/ nmol NO
2
-
)/mg ptn
Sóleo
1,01 ± 0,05 0,99 ± 0,03 1,03 ± 0,02
(nmol NO
2
-
c/ Hg
2+
/ nmol NO
2
-
)/mg ptn
EDL
1,04 ± 0,04 1,68 ± 0,28# 0,97 ± 0,08
Tabela 1: Dosagem de nitrito (NO
2
-
) e RSNO (NO
2
-
+ Hg
2+
) no homogenato do
músculo sóleo e EDL no controle e após exercício de alta ou de baixa intensidade. #,
diferente em relação ao controle e exercício de baixa intensidade (baixo), P 0,05.
(média ± e.m.) (n = 9).
Sed High Low
RestHighLow
Cont Alta Baixa
39
IV.2 – S-nitrosação e denitrosação de miosina
A técnica do biotin switch descrita por Jaffrey et al. (2001) (ver Materiais e
Metodos desta dissertação) tem sido utilizada para detecção de proteínas S-
nitrosadas específicas em homogenato de células e de tecido (Whalen et al., 2007).
No passo de troca dos residuos S-nitrosados por tiobiotinilados, é adicionado ácido
ascórbico (AA) para reduzir especificamente RSNO a RS
-
e promover biotinilação do
tiol nascente. Foi mostrado que o aumento na concentração de AA nesse passo
pode aumentar a sensibilidade da técnica (Forrester et al., 2007). Homogenato de
músculo EDL de ratos Wistar em repouso (controle) foi submetido à técnica do biotin
switch na presença de variadas concentrações de AA. Na presença de 30 mM de
AA, ocorreu um aumento na S-nitrosação da banda de 200 kDa (cadeia pesada da
miosina) (Figura 11A). A quantificação do efeito de AA é mostrada na Figura 11B,
levando à conclusão de que há formação de S-nitrosomiosina em condições basais
(músculo em repouso). A técnica foi repetida em músculo sóleo e não foi encontrada
marcação em nenhuma proteína, o que reforça a ausência de um possível falso-
positivo da técnica (Figura 11C). Foi utilizado 30 mM de AA para todos os
experimentos subsequentes em homogenato de tecido.
40
Ascorbato [mM]
011030
Anti-biotina/CB da
banda de 200 KDa
0
2
4
6
8
10
12
14
200 KDa (MHC)
Figura 11: Formação de S-nitrosomiosina em músculo EDL em ratos Wistar em
repouso, detectada pela técnica do biotin switch. A concentração de AA foi variada
(0-30 mM) para otimizar a sensibilidade para detecção de proteínas contráteis S-
nitrosadas. A, O painel da esquerda mostra um exemplo de um SDS-PAGE (8%
EDL
Sóleo
A
PM011030[AA],mM
200 KDa
116 KDa
97 KDa
84 KDa
66 KDa
55 KDa
45 KDa
B
*
C
[AA], mM - 0 1 10 30 100 - 0 1 10 30 100
Coomassie Blue
200 KDa
Antibiotina
41
acrilamida) corado com Coomassie blue R e à direita um Western blot antibiotina das
amostras tratadas com diferentes concentrações de AA. Em B, a quantificação de 4
experimentos mostrando a cadeia pesada de miosina (MHC, 200 KDa) da Figura
11A em todas as concentrações de ascorbato (AA). * diferente das outras amostras
(P 0,05); (média ± e.m.) (n = 4). Em C, painel superior mostra um SDS-PAGE (8%
acrilamida) corado com Coomassie blue e no painel inferior um Western blot
antibiotina das amostras de músculo EDL (contração rápida) e sóleo (contração
lenta), O músculo sóleo não apresentou proteína S-nitrosada. Peso molecular (PM -
KDa), cadeia pesada da miosina (200), β-galactosidase, fosforilase B (97), frutose-6-
fosfato quinase (84), albumina (66), desidrogenase glutamica (55) e ovalbumina (45).
O próximo experimento visou determinar quais proteínas contráteis seriam
alvos para formação de RSNO a nível celular após exercício agudo. Ratos Wistar
foram submetidos a exercício agudo de alta e baixa intensidade e, em seguida,
sacrificados. O músculo EDL foi extraído, homogeneizado para enriquecimento de
proteínas contráteis e processado com o biotin switch. Novamente, os animais
controle apresentaram marcação apenas na banda da cadeia pesada da miosina,
sendo a marcação igual à marcação observada após exercício de baixa intensidade.
Entretanto, o exercício de alta intensidade induziu um aumento na formação de S-
nitrosomiosina comparado ao controle (Figura 12A). Para confirmar a diferença entre
as marcações da Figura 12A, foi feita quantificação da S-nitrosação da banda de
200 KDa (Figura 12B) e foi encontrada uma diferença significativa na marcação do
grupo alta intensidade comparado ao grupo controle (P < 0,05).
42
A
Figura 12: S-nitrosação de miosina in vivo após exercício de alta e baixa
intensidade. Detecção de S-nitrosomiosina em músculo EDL por biotin switch em
controle (controle, em repouso), exercício de alta (Alta) e baixa (Baixa) intensidade.
A, o painel da esquerda mostra um exemplo de SDS-PAGE 8% com amostras de
dois animais para cada grupo (Controle, Alta, Baixa), corado com Coomassie blue.
Cada amostra foi processada pelo biotin switch na ausência (-) e presença (+) de
ácido ascórbico para controle de falso positivo. No painel da direita, Western blot
correspondente do painel da esquerda. B, Quantificação da relação antibiotina/CB
da banda de 200 KDa, * diferente do controle, P 0,05, (média ± e.m.) (n = 4).
Recentemente, foi mostrado que proteínas alvo para S-nitrosação podem
apresentar tióis estáveis e instáveis, sendo que uma das principais rotas celulares
para denitrosação é mediada por GSH (Forrester et al., 2009b; Liu et al., 2001; Paige
B
Controle ighLowH
C
o
n
t
r
o
l
h
e
xer
c
se
w
exer
ci
se
H
i
g i
L
o
Anti-biotina/CB da
banda de 200 KDa
0,0
0,2
0,4
0,6
0,8
*
Control Alta Baixa
Control AltaBaixa
Anti-Biotin
Coomassie blue
ControlAlta Baixa
PM‐‐++‐‐++‐ ‐ ++
‐ ++‐ ‐++‐‐++
200 KDa
116 KDa
97 KDa
84 KDa
66 KDa
55 KDa
45 KDa
43
et al., 2008). No experimento da Figura 13, foi investigado se a miosina-SNO é
suscetível à denitrosação por GSH in vitro. O homogenato do músculo EDL do rato
em repouso, foi incubado com veículo (H
2
O) ou 40 µM de GSNO por 40 min para
promover S-nitrosação das proteínas contráteis. As proteínas contráteis foram
precipitadas com tampão HEN para remover excesso de GSNO não reagido,
seguido de incubação com 5 mM GSH por 20 min e o protocolo do biotin switch para
verificar proteínas S-nitrosadas (Figura 13). A formação de S-nitrosomiosina
aumentou quando o homogenato foi incubado com GSNO e diminuiu quando a
amostra foi incubada, em seguida, com GSH. Isso mostra a suscetibilidade à
denitrosação não-enzimática mediada por GSH, e indica que existem S-nitrosotióis
mais estáveis e menos estáveis a essa intervenção (Forrester et al., 2009b; Paige et
al., 2008).
44
A
CoomassieBlue
Anti-biotina/CB da
banda de 200 KDa
0,0
0,2
0,4
0,6
0,8
1,0
1,2
Figura 13: Denitrosação de miosina in vitro é mediada por GSH. A, mostra um
exemplo de SDS-PAGE (8% de acrilamida) (painel da esquerda) e Western blot com
antibiotina para detecção de S-nitrosomiosina em homogenato de músculo EDL por
biotin switch, após tratamento com GSNO (40 µM) ou GSNO seguido de GSH (5
mM) (painel da direita); B, quantificação da Figura 13A da banda de 200 KDa
(cadeia pesada de miosina) por densitometria (média ± e.m.) (n = 3). AA, ácido
ascórbico, 0 ou 30 mM.
‐ ‐ ‐ ++
‐‐+‐+
030303030
GSNO‐‐ ‐ ++
GSH‐‐+‐+
AA030303030
200 KDa
116 KDa
97 KDa
84 KDa
66 KDa
55 KDa
45 KDa
PM AntiBiotina
B
GSNO
‐‐‐++
GSH
‐‐+‐+
AA030303030
45
Com o objetivo de detectar quais proteínas contráteis são suscetíveis à
modificação nitrosativa, foi realizado um experimento de S-nitrosação in vitro em
fibras musculares descascadas. Neste modelo, as fibras possuem o aparato contrátil
intacto e servem para estudar o mecanismo de contração muscular pela tensão
isométrica desenvolvida. A S-nitrosação de fibras musculares descascadas foi
induzida com GSNO. Deste modo, feixes de fibras musculares foram incubados com
GSNO durante 30 min, homogeneizadas e processadas para os protocolos
Griess/Saville e biotin switch. Após a incubação das fibras com GSNO, foi observado
um aumento em S-nitrosação em proteínas contráteis (Figura 14A). A Figura 14B
mostra que miosina e actina são alvos preferenciais para S-nitrosação em fibras
musculares descascadas.
Modificações redox por RNS em fibras musculares acarretam a diminuição da
sensibilidade ao cálcio (Andrade et al., 1998; Spencer & Posterino, 2009), porém
não são conhecidos os alvos para as modificações redox. Dados preliminares
obtidos em colaboração com Veltri T. em nosso laboratório indicam que o tratamento
com uma dose fisiológica (10 µM) de GSNO em fibras musculares descascadas é
capaz de diminuir a sensibilidade ao cálcio (Figueiredo-Freitas. e Veltri, dados não
mostrados). Nossa intenção é investigar, no futuro próximo, como as modificações
redox são capazes de modular a contratilidade através das proteínas contráteis.
46
B
A
Figura 14: Detecção de S-nitrosação de proteínas contráteis em fibras musculares
“descascadas”. A, mostra formação de proteína-SNO em fibras musculares
“descascadas” tratadas com GSNO e processadas pelo método de Griess/Saville, *
diferente do controle, P 0,05. (média ± e.m.) (n = 4). B, Miosina e actina são alvos
para S-nitrosação em fibras musculares “descascadas”. As fibras foram (i) incubadas
com GSNO, (ii) homogeneizadas e (iii) S-nitrosação foi detectada pelo biotin switch.
Coomassie Blue (CB), controle positivo (CP) e controle negativo (CN).
IV.3 – Efeitos da S-nitrosação na atividade da miosina sob condições
fisiológicas
Nos experimentos a seguir, serão observadas que condições afetam a
atividade Mg
2+
-ATPásica e, consequentemente, a S-nitrosação da miosina. As
condições escolhidas são alteradas durante o exercício e podem contribuir para a
fadiga muscular.
Uma das condições que é alterada durante o exercício é o pH. No experimento
da Figura 15, a miosina purificada foi incubada com variadas concentrações de
GSNO por 1 h a pH 6, 7 e 8. Após o período de incubação, foi adicionado tampão
CB CP CN 0 10 100 500 1000
GSNO, µM
47
pH 7,0 seguido de adição de 3 mM ATP para hidrólise por até 20 min a 30ºC.
Verificamos que o efeito do GSNO na atividade Mg
2+
-ATPásica é dose-dependente e
não pH-dependente (Figura 15A). A miosina é S-nitrosada a pH 7.0 com as doses de
GSNO que inibem a atividade (Figura 15B).
A
Figura 15: S-nitrosação de miosina purificada diminuiu a atividade Mg
2+
ATPásica,
independentemente do pH. A, Mostra o efeito da pré-incubação de miosina com
GSNO em diferentes valores de pH (6, 7 e 8) seguido de dosagem da atividade
Mg
2+
-ATPásica em pH 7,0. (média ± e.m.) (n = 5); B, mostra um exemplo de SDS-
PAGE (8% de acrilamida) e um Western blot antibiotina da S-nitrosação da cadeia
pesada da miosina (200 KDa) após o tratamento com GSNO a pH 7,0.
Outra condição que é alterada durante a transição repouso-exercício é a
redução da Po
2
intracelular. Foi mostrado, anteriormente, que a variação na Po
2
é
capaz de modular a S-nitrosação de proteínas de membrana (Eu et al., 2000; Sun et
al., 2003; Takahashi et al., 2007). No experimento da Figura 16, a miosina foi
incubada em baixa Po
2
(1%) e Po
2
atmosférica (21%) e tratada com doador de NO
200 KDa
Anti Biotina
Coomassie
Blue
5 0 1 5 10 100 µM GSNO
0 1 1 1 1 1 mM AA
B
[GSNO], µM
0 10 20 3060 80 100
Atividade Mg
0
20
40
60
80
100
120
2+
ATPásica
(% controle)
[GSNO], µM
0 1020306080100
[GSNO], µM
pH 6.0
pH 7.0
pH 8.0
0 1020306080100
48
radical (DEANO) e o efeito na atividade Mg
2+
ATPásica da miosina foi verificado. Na
Po
2
atmosférica, a atividade da miosina não sofre efeito após incubação com
DEANO; entretanto, a baixa Po
2
(semelhante aos valores fisiológicos), a miosina tem
sua atividade inibida em torno de 60% por 50 µM DEANO, o que representa em
torno de 75 µM NO
liberado (Figura 16). Esse dado sugere que o radical NO pode
regular a atividade da miosina em condições de Po
2
semelhantes ao exercício físico.
Obviamente, em um futuro próximo, será importante avaliar a S-nitrosação da
miosina em Po
2
fisiológica.
DEANO,µM
Figura 16: NO
modula a atividade Mg
2+
ATPase da miosina quando a pressão
parcial de oxigênio (Po
2
) é baixa, próxima dos níveis fisiológicos alcançados durante
o exercício. As soluções foram pré-equilibradas com a Po
2
de interesse e, em
seguida, foram acrescentadas miosina e DEANO. Após 30 min a 30 ºC, a reação de
hidrólise foi iniciada pela adição de ATP (média ± e.m.) (n = 3).
49
V - Discussão
Modificações químicas em proteínas após o estágio de tradução do mRNA são
capazes de alterar sua função. Um dos principais alvos para essas modificações são
os tióis, que podem sofrer a S-nitrosação (Hess et al., 2005). Situações nas quais há
um aumento da função contrátil, acarretam o aumento da produção de NO
(Silveira
et al., 2003) e esta molécula é capaz de promover S-nitrosação em proteínas do
tecido muscular esquelético e cardíaco (Bellinger et al., 2008; Shi et al., 2008). As
Figuras 10 e 11 mostram que há um aumento de RSNO em músculo EDL (fibras do
tipo II - contração rápida) e não há aumento de RSNO em músculo sóleo (fibras do
tipo I - contração lenta). Este aumento na formação de RSNO pode estar associado
ao fato deste tipo de fibra muscular (tipo II) apresentar maior expressão de nNOS
(Kobzik et al., 1994) ou a uma menor capacidade antioxidante.
Recentemente, foi mostrado em animais e humanos que a S-nitrosação do
RyR1 está relacionada à diminuição da capacidade de fazer exercício (Bellinger et
al., 2008), porém, até agora, não foi excluída a possibilidade de efeitos de S-
nitrosação em outras proteínas. Em condições de repouso, mostramos que dentre as
proteínas contráteis, a miosina é o principal alvo para S-nitrosação endógena (Figura
11), provavelmente, devido sua meia vida (~30 dias) (Kay, 1978) e o grande número
de tióis em sua estrutura primária (Lowey et al., 1969), sugerindo um possível papel
na modulação da contratilidade através da formação de S-nitrosomiosina.
A atividade da nNOS está relacionada a um aumento da atividade contrátil que
é correlacionado com um aumento da produção de NO
(Reiser et al., 1997). Em
animais Knockout para nNOS, a atividade contrátil dependente de NO
não aumenta
(Eu et al., 2003). Em nossos experimentos, observamos um aumento na formação
50
de nitrito após exercício de alta e baixa intensidade. Verificamos que a intensa
atividade contrátil (exercício de alta intensidade) promove um aumento significativo
na formação especificamente de S-nitrosomiosina (Figura 12), dando suporte a idéia
que esta modificação esteja associada à regulação da contratilidade. Nossos dados
não indicam o mecanismo para S-nitrosação da miosina, mas acreditamos que esse
mecanismo esteja relacionado a uma alteração na relação GSH/GSNO. O GSNO é
capaz de promover S-trans-nitrosação, numa reação que é reversível e que ocorre
com uma cinética de segunda ordem (Hogg, 1999).
O mecanismo de S-trans-nitrosação é indicado como proeminente na formação
de S-nitrosoproteínas em condições de estresse nitrosativo (Hogg, 2002). As
proteínas que são alvos para trans-nitrosação apresentam um motif consenso para
tal modificação (Stamler et al., 1997b) que contém aminoácidos vizinhos a cisteína
com cargas positiva (ácidos) e negativa (básicos). A sequência, mais
frequentemente, encontrada em torno de Cys nitrosada
(Lys/Arg/His/Asp/Glu)Cys(Asp/Glu) apresenta carga negativa e positiva próximo a
Cys (Ascenzi et al., 2000). Existem cisteínas na cabeça da miosina (Cys 402, 522 e
540) com esse perfil (Nogueira, 2008). Essas três cisteínas estão localizadas
próximas ao sítio de hidrólise de ATP. A reação de trans-nitrosação é proposta para
nitrosação e denitrosação, catalisada por aminoácidos vizinhos a cisteínas, que
apresentam um motif ácido/Cys/Base, como mostrado na Figura 17 (Stamler et al.,
1997b).
Este mecanismo foi comprovado, experimentalmente, por mutações sítio
dirigidas na enzima metionina adenosiltransferase. Os aminoácidos adjacentes a
cisteína alvo foram modificados, alterando a carga dos aminoácidos que catalisam a
51
reação de transferência do NO do tiol de baixo peso molecular para o tiol de alto
peso molecular (Perez-Mato et al., 1999). A trans-nitrosação não ocorria na
presença das mutações.
Figura 17: Representação esquemática da reação de trans-nitrosação da Cys via
um nitrosotiol (R-S-NO), catalisada por aminoácidos vizinhos His e Asp (atuando
como base e ácido, respectivamente), em um ambiente protéico. Diferentes resíduos
(Glu, Tyr, Lys, Arg) podem atuar como ácido/base na reação (Stamler et al., 1997b).
A denitrosação das proteínas em situações fisiológicas e fisiopatológicas está
relacionada ao equilíbrio de GSNO/GSH mediada pela enzima GSNOR (Durham et
al., 2008; Stamler et al., 2008). Deste modo, observamos que a miosina in vitro é
nitrosada por GSNO e denitrosada por GSH (Figura 13). A miosina apresenta duas
populações distintas de nitrosotióis, uma população estável e outra população
instável; várias proteínas apresentam essas populações de nitrosotióis (Forrester et
52
al., 2009b; Paige et al., 2008). Ainda não é conhecida a função dos nitrosotióis
estáveis, porém na sua tese Nogueira (2008) propôs uma função para os nitrosotióis
protéicos instáveis. A miosina tratada com GSNO foi nitrosada em treze cisteínas,
tendo sua atividade inibida em 25%. Uma extensa lavagem (5x) eliminou a S-
nitrosação de dez cisteínas, junto com a inibição. Deste modo foi proposto que
alguns dos S-nitrosotióis instáveis contribuem para inibição da atividade.
Recentemente, foi mostrado que doses suprafisiológicas de GSNO são
capazes de diminuir a sensibilidade ao cálcio das proteínas contráteis em fibras
descascadas (Spencer & Posterino, 2009). A contraprova (reversão) deste
experimento foi feita com DTT, que é um antioxidante capaz de desfazer não só a
nitrosação mas também a S-tiolação (modificação induzida por concentrações
suprafisiológicas de GSNO ou GSSG), e, portanto, não serve para comprovar a S-
nitrosação. Ao tratar fibras descascadas com GSNO, identificamos miosina e actina
como alvos para S-nitrosação (Figura 14), e observamos, também, que o tratamento
de fibras descascadas com concentrações fisiológicas de GSNO (10 µM) promove
uma diminuição na sensibilidade ao cálcio, sendo este efeito revertido por ascorbato
(decompositor específico de RSNO - Kashiba-Iwatsuki et al., 1997) (dados não
mostrados).
Deste modo, temos um modelo para estudos da alteração de sensibilidade ao
cálcio em fibras musculares esqueléticas e cardíacas, sendo que, em situações que
mimetizam insuficiência cardíaca e outras patologias musculares, podemos estudar
como as proteínas contráteis se comportam e qual o papel da S-nitrosação.
Durante o exercício, ocorrem alterações em dois parâmetros que são capazes
de modular a S-nitrosação de proteínas: o pH e a Po
2
. Foi mostrado que estes dois
53
fatores são capazes de regular a S-nitrosação de algumas proteínas específicas sob
condições fisiológicas (Arnelle & Stamler, 1995; Eu et al., 2000; Takahashi et al.,
2007). O efeito do pH está relacionado ao pK
a
dos tióis, que é de extrema
importância para determinar sua sensibilidade à S-nitrosação. Para compreender
quais condições que favorecem a S-nitrosação da miosina in vitro, incubamos a
miosina com GSNO em diferentes valores de pH e medimos sua atividade em pH
7.0. Entretanto, a sua inibição pelo GSNO não era pH-dependente.
A outra condição que modula a S-nitrosação é a Po
2
(Stamler et al., 1992).
Desenvolvemos um modelo para estudo de S-nitrosação e atividade enzimática em
diferentes pressões parciais de O
2
(Po
2
). A técnica permite manter a Po
2
no decorrer
do experimento e evitar alteração no pH. Realizamos experimentos para medir a
atividade Mg
2+
-ATPásica em Po
2
fisiológica, usando um doador de NO
(DEANO)
para simular a produção de NO
pela nNOS na célula. Alguns tióis protéicos são
reativos ao NO
em soluções aquosas apenas quando o O
2
é excluído da solução
(Stamler et al., 1992). Verificamos que a atividade da miosina é inibida fortemente
pelo NO
em Po
2
fisiológicas e o provável mecanismo de S-nitrosação de tióis
protéicos por NO
é mostrado na equação 1.
Em conjunto, os dados sugerem que a miosina é S-nitrosada in vivo e que o
exercício pode modular a S-nitrosação da miosina, possívelmente, associada com a
variação na Po
2
intracelular. Este mecanismo também se estende para células
cardíacas em situações de isquemia (Bryan et al., 2004; Hare & Stamler, 2005) e
ambientes que têm variações frequentes de Po
2
, por exemplo, a mitocôndria
(Rodriguez-Juarez et al., 2007). O processo para denitrosação é favorecido pelo
GSH, como observado para outras proteínas (Paige et al., 2008). Em fibras
54
descascadas, os alvos para S-nitrosação são: miosina e actina, acarretando na
diminuição da sensibilidade ao cálcio, diminuição da produção de força e, assim,
capaz de modular a contratilidade muscular (Galler et al., 1997; Spencer &
Posterino, 2009) e contribuir para o processo de fadiga muscular (Ferreira & Reid,
2008). A formação de S-nitrosomiosina é uma nova proposta para modulação da
contratilidade muscular.
55
VI - Conclusões
1) No exercício de alta intensidade não houve aumento de RSNO no músculo
sóleo. Entretanto, há aumento de S-nitrosoproteína no músculo EDL (de contração
rápida), consistente com a maior expressão de nNOS.
2) Miosina é S-nitrosada endógenamente em músculo EDL e o nível aumenta com
exercício de alta intensidade.
3) Miosina é suscetível a denitrosação mediada por GSH in vitro, apresentando S-
nitrosotióis estáveis e instáveis.
4) Em fibras musculares permeabilizadas, tanto miosina quanto actina são alvos
preferenciais para a S-nitrosação por GSNO in vitro.
5) O efeito do GSNO na atividade Mg
2+
-ATPásica é dose-dependente e não pH-
dependente.
6) O radical NO só é capaz de promover inibição da atividade da miosina quando
a pressão parcial de oxigênio é baixa, próxima ao valor alcançado durante o
exercício.
56
VII - Referências
1. Alderton, W.K., Cooper, C.E., & Knowles, R.G. (2001). Nitric oxide synthases:
structure, function and inhibition. Biochem. J. 357, 593-615.
2. Allen, D.G., Lamb, G.D., & Westerblad, H. (2008). Skeletal muscle fatigue:
cellular mechanisms. Physiol Rev. 88, 287-332.
3. Andrade, F.H., Reid, M.B., Allen, D.G., & Westerblad, H. (1998). Effect of nitric
oxide on single skeletal muscle fibres from the mouse. J. Physiol. 509 ( Pt 2),
577-586.
4. Arnelle, D.R. & Stamler, J.S. (1995). NO+, NO, and NO- donation by S-
nitrosothiols: implications for regulation of physiological functions by S-
nitrosylation and acceleration of disulfide formation. Arch. Biochem. Biophys.
318, 279-285.
5. Ascenzi, P., Colasanti, M., Persichini, T., Muolo, M., Polticelli, F., Venturini, G.,
Bordo, D., & Bolognesi, M. (2000). Re-evaluation of amino acid sequence and
structural consensus rules for cysteine-nitric oxide reactivity. Biol. Chem. 381,
623-627.
6. Augusto, O. (2006). Radicais livres: Bons, maus e naturais. (São Paulo:Ofina
de textos).
7. Balon, T.W. & Nadler, J.L. (1994). Nitric oxide release is present from incubated
skeletal muscle preparations. J. Appl. Physiol. 77, 2519-2521.
8. Bangsbo, J., Madsen, K., Kiens, B., & Richter, E.A. (1996). Effect of muscle
acidity on muscle metabolism and fatigue during intense exercise in man. J.
Physiol. 495 ( Pt 2), 587-596.
9. Barany, M. & Close, R.I. (1971). The transformation of myosin in cross-
innervated rat muscles. J. Physiol. 213, 455-474.
10. Bellinger, A.M., Reiken, S., Carlson, C., Mongillo, M., Liu, X., Rothman, L.,
Matecki, S., Lacampagne, A., & Marks, A.R. (2009). Hypernitrosylated
ryanodine receptor calcium release channels are leaky in dystrophic muscle.
Nat. Med. 15, 325-330.
11. Bellinger, A.M., Reiken, S., Dura, M., Murphy, P.W., Deng, S.X., Landry, D.W.,
Nieman, D., Lehnart, S.E., Samaru, M., Lacampagne, A., & Marks, A.R. (2008).
Remodeling of ryanodine receptor complex causes "leaky" channels: a
molecular mechanism for decreased exercise capacity. Proc. Natl. Acad. Sci.
U. S. A. 105, 2198-2202.
57
12. Benhar, M., Forrester, M.T., Hess, D.T., & Stamler, J.S. (2008). Regulated
protein denitrosylation by cytosolic and mitochondrial thioredoxins. Science.
320, 1050-1054.
13. Blankenfeldt, W., Thoma, N.H., Wray, J.S., Gautel, M., & Schlichting, I. (2006).
Crystal structures of human cardiac beta-myosin II S2-Delta provide insight into
the functional role of the S2 subfragment. Proc. Natl. Acad. Sci. U. S. A. 103,
17713-17717.
14. Bredt, D.S. (1999). Endogenous nitric oxide synthesis: biological functions and
pathophysiology. Free Radic. Res. 31, 577-596.
15. Bredt, D.S. & Snyder, S.H. (1990). Isolation of nitric oxide synthetase, a
calmodulin-requiring enzyme. Proc. Natl. Acad. Sci. U. S. A. 87, 682-685.
16. Bremel, R.D. & Weber, A. (1975). Calcium binding to rabbit skeletal myosin
under physiological conditions. Biochim. Biophys. Acta. 376, 366-374.
17. Brenman, J.E., Chao, D.S., Xia, H., Aldape, K., & Bredt, D.S. (1995). Nitric
oxide synthase complexed with dystrophin and absent from skeletal muscle
sarcolemma in Duchenne muscular dystrophy. Cell. 82, 743-752.
18. Bryan, N.S., Rassaf, T., Maloney, R.E., Rodriguez, C.M., Saijo, F., Rodriguez,
J.R., & Feelisch, M. (2004). Cellular targets and mechanisms of nitros(yl)ation:
an insight into their nature and kinetics in vivo. Proc. Natl. Acad. Sci. U. S. A.
101, 4308-4313.
19. Cleeter, M.W., Cooper, J.M., Darley-Usmar, V.M., Moncada, S., & Schapira,
A.H. (1994). Reversible inhibition of cytochrome c oxidase, the terminal enzyme
of the mitochondrial respiratory chain, by nitric oxide. Implications for
neurodegenerative diseases. FEBS Lett. 345, 50-54.
20. Commoner, B., Townsend, J., & PAKE, G.E. (1954). Free radicals in biological
materials. Nature. 174, 689-691.
21. Durham, W.J., Aracena-Parks, P., Long, C., Rossi, A.E., Goonasekera, S.A.,
Boncompagni, S., Galvan, D.L., Gilman, C.P., Baker, M.R., Shirokova, N.,
Protasi, F., Dirksen, R., & Hamilton, S.L. (2008). RyR1 S-nitrosylation underlies
environmental heat stroke and sudden death in Y522S RyR1 knockin mice.
Cell. 133, 53-65.
22. Eastwood, A.B., Wood, D.S., Bock, K.L., & Sorenson, M.M. (1979). Chemically
skinned mammalian skeletal muscle. I. The structure of skinned rabbit psoas.
Tissue Cell. 11, 553-566.
23. Engelhardt W.A. & Ljobimowa M.N. (1939). Myosin and
Adenosinetriphosphatase. Nature. 144, 668-669.
24. Eu, J.P., Hare, J.M., Hess, D.T., Skaf, M., Sun, J., Cardenas-Navina, I., Sun,
Q.A., Dewhirst, M., Meissner, G., & Stamler, J.S. (2003). Concerted regulation
58
of skeletal muscle contractility by oxygen tension and endogenous nitric oxide.
Proc. Natl. Acad. Sci. U. S. A. 100, 15229-15234.
25. Eu, J.P., Sun, J., Xu, L., Stamler, J.S., & Meissner, G. (2000). The skeletal
muscle calcium release channel: coupled O2 sensor and NO signaling
functions. Cell. 102, 499-509.
26. Feelisch, M. & Stamler, J.S. (1996). Donors of Nitrogen Oxides. In Methods in
nitric oxide research, Feelisch, M. & Stamler, J.S., eds. (Chichester: John Wiley
and Sons), pp. 71-115.
27. Ferreira, L.F. & Reid, M.B. (2008). Muscle-derived ROS and thiol regulation in
muscle fatigue. J. Appl. Physiol. 104, 853-860.
28. Forrester, M.T., Foster, M.W., Benhar, M., & Stamler, J.S. (2009a). Detection of
protein S-nitrosylation with the biotin-switch technique. Free Radic. Biol. Med.
46, 119-126.
29. Forrester, M.T., Foster, M.W., & Stamler, J.S. (2007). Assessment and
application of the biotin switch technique for examining protein S-nitrosylation
under conditions of pharmacologically induced oxidative stress. J. Biol. Chem.
282, 13977-13983.
30. Forrester, M.T. & Stamler, J.S. (2007). A classification scheme for redox-based
modifications of proteins. Am. J. Respir. Cell Mol. Biol. 36, 135-137.
31. Forrester, M.T., Thompson, J.W., Foster, M.W., Nogueira, L., Moseley, M.A., &
Stamler, J.S. (2009b). Proteomic analysis of S-nitrosylation and denitrosylation
by resin-assisted capture. Nat. Biotechnol. 27, 557-559.
32. Foster, M.W., Liu, L., Zeng, M., Hess, D.T., & Stamler, J.S. (2009). A genetic
analysis of nitrosative stress. Biochemistry. 48, 792-799.
33. Foster, M.W., McMahon, T.J., & Stamler, J.S. (2003). S-nitrosylation in health
and disease. Trends Mol. Med. 9, 160-168.
34. Foster, M.W. & Stamler, J.S. (2004). New insights into protein S-nitrosylation.
Mitochondria as a model system. J. Biol. Chem. 279, 25891-25897.
35. Galler, S., Hilber, K., & Gobesberger, A. (1997). Effects of nitric oxide on force-
generating proteins of skeletal muscle. Pflugers Arch. 434, 242-245.
36. Gaston, B. (1999). Nitric oxide and thiol groups. Biochim. Biophys. Acta.
1411, 323-333.
37. Gaston, B., Reilly, J., Drazen, J.M., Fackler, J., Ramdev, P., Arnelle, D., Mullins,
M.E., Sugarbaker, D.J., Chee, C., Singel, D.J., & . (1993). Endogenous nitrogen
oxides and bronchodilator S-nitrosothiols in human airways. Proc. Natl. Acad.
Sci. U. S. A. 90, 10957-10961.
59
38. Gerschman, R., GILBERT, D.L., Nye, S.W., Dwyer, P., & Fenn, W.O. (1954).
Oxygen poisoning and x-irradiation: a mechanism in common. Science. 119,
623-626.
39. Gorczynski, R.J. & Duling, B.R. (1978). Role of oxygen in arteriolar functional
vasodilation in hamster striated muscle. Am. J. Physiol. 235, H505-H515.
40. Gornall, A.G., Bardawill, C.J., & David, M.M. (1949). Determination of serum
proteins by means of the biuret reaction. J. Biol. Chem. 177, 751-766.
41. Halliwell B. & Gutteridge J.M.C. (2007). Free radicals in biology and medicine.
Oxford University Press).
42. Hare, J.M. & Stamler, J.S. (2005). NO/redox disequilibrium in the failing heart
and cardiovascular system. J. Clin. Invest. 115, 509-517.
43. Hasselbach, W. (1957). Dependence of nucleoside triphosphatase activity of L-
myosin and actomyosin on ionic conditions. Biochim. Biophys. Acta. 25, 365-
375.
44. Hausladen, A. & Stamler, J.S. (1999). Nitrosative stress. Methods Enzymol.
300, 389-395.
45. Hess, D.T., Matsumoto, A., Kim, S.O., Marshall, H.E., & Stamler, J.S. (2005).
Protein S-nitrosylation: purview and parameters. Nat. Rev. Mol. Cell Biol. 6,
150-166.
46. Hogan, M.C., Richardson, R.S., & Haseler, L.J. (1999). Human muscle
performance and PCr hydrolysis with varied inspired oxygen fractions: a 31P-
MRS study. J. Appl. Physiol. 86, 1367-1373.
47. Hogg, N. (1999). The kinetics of S-transnitrosation--a reversible second-order
reaction. Anal. Biochem. 272, 257-262.
48. Hogg, N. (2002). The biochemistry and physiology of S-nitrosothiols. Annu.
Rev. Pharmacol. Toxicol. 42, 585-600.
49. Holmgren, A. (2008). Biochemistry. SNO removal. Science. 320, 1019-1020.
50. Honig, C.R. & Gayeski, T.E. (1993). Resistance to O2 diffusion in anemic red
muscle: roles of flux density and cell PO2. Am. J. Physiol. 265, H868-H875.
51. Huxley, H.E. (2004). Fifty years of muscle and the sliding filament hypothesis.
Eur. J. Biochem. 271, 1403-1415.
52. Ignarro, L.J. (2002). After 130 years, the molecular mechanism of action of
nitroglycerin is revealed. Proc. Natl. Acad. Sci. U. S. A. 99, 7816-7817.
53. Iwakiri, Y., Satoh, A., Chatterjee, S., Toomre, D.K., Chalouni, C.M., Fulton, D.,
Groszmann, R.J., Shah, V.H., & Sessa, W.C. (2006). Nitric oxide synthase
60
generates nitric oxide locally to regulate compartmentalized protein S-
nitrosylation and protein trafficking. Proc. Natl. Acad. Sci. U. S. A. 103, 19777-
19782.
54. Jaffrey, S.R. & Snyder, S.H. (2001). The biotin switch method for the detection
of S-nitrosylated proteins. Sci. STKE. 2001, L1-
55. Jensen, D.E., Belka, G.K., & Du Bois, G.C. (1998). S-Nitrosoglutathione is a
substrate for rat alcohol dehydrogenase class III isoenzyme. Biochem. J. 331 (
Pt 2), 659-668.
56. Jia, L., Bonaventura, C., Bonaventura, J., & Stamler, J.S. (1996). S-
nitrosohaemoglobin: a dynamic activity of blood involved in vascular control.
Nature. 380, 221-226.
57. Kashiba-Iwatsuki, M., Kitoh, K., Kasahara, E., Yu, H., Nisikawa, M., Matsuo, M.,
& Inoue, M. (1997). Ascorbic acid and reducing agents regulate the fates and
functions of S-nitrosothiols. J. Biochem. 122, 1208-1214.
58. Kay, J. (1978). Intracellular protein degradation. Biochem. Soc. Trans. 6, 789-
797.
59. Keefer, L.K., Nims, R.W., Davies, K.M., & Wink, D.A. (1996). "NONOates" (1-
substituted diazen-1-ium-1,2-diolates) as nitric oxide donors: convenient nitric
oxide dosage forms. Methods Enzymol. 268, 281-293.
60. Kielley, W.W. (1964). The biochemistry of muscle. Annu. Rev. Biochem. 33,
403-430.
61. Kielley, W.W. & Bradley, L.B. (1956). The relationship between sulfhydryl
groups and the activation of myosin adenosinetriphosphatase. J. Biol. Chem.
218, 653-659.
62. Kluge, I., Gutteck-Amsler, U., Zollinger, M., & Do, K.Q. (1997). S-
nitrosoglutathione in rat cerebellum: identification and quantification by liquid
chromatography-mass spectrometry. J. Neurochem. 69, 2599-2607.
63. Kobzik, L., Reid, M.B., Bredt, D.S., & Stamler, J.S. (1994). Nitric oxide in
skeletal muscle. Nature. 372, 546-548.
64. Konorev, E.A., Kalyanaraman, B., & Hogg, N. (2000). Modification of creatine
kinase by S-nitrosothiols: S-nitrosation vs. S-thiolation. Free Radic. Biol. Med.
28, 1671-1678.
65. Koppenol, W.H. (1997). The chemistry reactivity of radicals. In Free radical
toxicology, Wallace K.B., ed. Taylor & Francis), pp. 3-14.
66. Koppenol, W.H. & Traynham, J.G. (1996). Say NO to nitric oxide: nomenclature
for nitrogen- and oxygen-containing compounds. Methods Enzymol. 268, 3-7.
61
67. Laemmli, U.K. (1970). Cleavage of structural proteins during the assembly of
the head of bacteriophage T4. Nature. 227, 680-685.
68. Lancaster, J.R., Jr. (1994). Simulation of the diffusion and reaction of
endogenously produced nitric oxide. Proc. Natl. Acad. Sci. U. S. A. 91, 8137-
8141.
69. Lane, P., Hao, G., & Gross, S.S. (2001). S-nitrosylation is emerging as a
specific and fundamental posttranslational protein modification: head-to-head
comparison with O-phosphorylation. Sci. STKE. 2001, RE1-
70. Leeuwenburgh, C., Hollander, J., Leichtweis, S., Griffiths, M., Gore, M., & Ji,
L.L. (1997). Adaptations of glutathione antioxidant system to endurance training
are tissue and muscle fiber specific. Am. J. Physiol. 272, R363-R369.
71. Lima, B., Lam, G.K., Xie, L., Diesen, D.L., Villamizar, N., Nienaber, J., Messina,
E., Bowles, D., Kontos, C.D., Hare, J.M., Stamler, J.S., & Rockman, H.A.
(2009). Endogenous S-nitrosothiols protect against myocardial injury. Proc.
Natl. Acad. Sci. U. S. A. 106, 6297-6302.
72. Liu, L., Hausladen, A., Zeng, M., Que, L., Heitman, J., & Stamler, J.S. (2001). A
metabolic enzyme for S-nitrosothiol conserved from bacteria to humans.
Nature. 410, 490-494.
73. Liu, L., Yan, Y., Zeng, M., Zhang, J., Hanes, M.A., Ahearn, G., McMahon, T.J.,
Dickfeld, T., Marshall, H.E., Que, L.G., & Stamler, J.S. (2004). Essential roles of
S-nitrosothiols in vascular homeostasis and endotoxic shock. Cell. 116, 617-
628.
74. Liu, S., Adcock, I.M., Old, R.W., Barnes, P.J., & Evans, T.W. (1993).
Lipopolysaccharide treatment in vivo induces widespread tissue expression of
inducible nitric oxide synthase mRNA. Biochem. Biophys. Res. Commun.
196, 1208-1213.
75. Liu, X., Miller, M.J., Joshi, M.S., Thomas, D.D., & Lancaster, J.R., Jr. (1998).
Accelerated reaction of nitric oxide with O
2
within the hydrophobic interior of
biological membranes. Proc. Natl. Acad. Sci. U. S. A. 95, 2175-2179.
76. Lowey, S., Slayter, H.S., Weeds, A.G., & Baker, H. (1969). Substructure of the
myosin molecule. I. Subfragments of myosin by enzymic degradation. J. Mol.
Biol. 42, 1-29.
77. Lowry, O.H., ROSEBROUGH, N.J., FARR, A.L., & RANDALL, R.J. (1951).
Protein measurement with the Folin phenol reagent. J. Biol. Chem. 193, 265-
275.
78. Mannick, J.B., Hausladen, A., Liu, L., Hess, D.T., Zeng, M., Miao, Q.X., Kane,
L.S., Gow, A.J., & Stamler, J.S. (1999). Fas-induced caspase denitrosylation.
Science. 284, 651-654.
62
79. McCord, J.M. & Fridovich, I. (1969). Superoxide dismutase. An enzymic function
for erythrocuprein (hemocuprein). J. Biol. Chem. 244, 6049-6055.
80. Meister, A. & Anderson, M.E. (1983). Glutathione. Annu. Rev. Biochem. 52,
711-760.
81. Mermall, V., Post, P.L., & Mooseker, M.S. (1998). Unconventional myosins in
cell movement, membrane traffic, and signal transduction. Science. 279, 527-
533.
82. Mohr, S., Stamler, J.S., & Brune, B. (1994). Mechanism of covalent modification
of glyceraldehyde-3-phosphate dehydrogenase at its active site thiol by nitric
oxide, peroxynitrite and related nitrosating agents. FEBS Lett. 348, 223-227.
83. Nakane, M., Schmidt, H.H., Pollock, J.S., Forstermann, U., & Murad, F. (1993).
Cloned human brain nitric oxide synthase is highly expressed in skeletal
muscle. FEBS Lett. 316, 175-180.
84. Nathan, C. & Xie, Q.W. (1994). Nitric oxide synthases: roles, tolls, and controls.
Cell. 78, 915-918.
85. Ng, E.S., Cheng, Z.J., Ellis, A., Ding, H., Jiang, Y., Li, Y., Hollenberg, M.D., &
Triggle, C.R. (2007). Nitrosothiol stores in vascular tissue: modulation by
ultraviolet light, acetylcholine and ionomycin. Eur. J. Pharmacol. 560, 183-192.
86. Nogueira, L. (2008). Transnitrosação da miosina pela S-nitrosoglutationa
promove uma inibição transiente da atividade ATPásica, afetando uma
população de cisteínas mais acessíveis.Pós graduação em química biolgica,
Instituto de bioquímica médica, Univercidade Federal do Rio de Janeiro.
87. Ozawa, K., Whalen, E.J., Nelson, C.D., Mu, Y., Hess, D.T., Lefkowitz, R.J., &
Stamler, J.S. (2008). S-nitrosylation of beta-arrestin regulates beta-adrenergic
receptor trafficking. Mol. Cell. 31, 395-405.
88. Paige, J.S., Xu, G., Stancevic, B., & Jaffrey, S.R. (2008). Nitrosothiol reactivity
profiling identifies S-nitrosylated proteins with unexpected stability. Chem. Biol.
15, 1307-1316.
89. Palmer, R.M., Ferrige, A.G., & Moncada, S. (1987). Nitric oxide release
accounts for the biological activity of endothelium-derived relaxing factor.
Nature. 327, 524-526.
90. Perez-Mato, I., Castro, C., Ruiz, F.A., Corrales, F.J., & Mato, J.M. (1999).
Methionine adenosyltransferase S-nitrosylation is regulated by the basic and
acidic amino acids surrounding the target thiol. J. Biol. Chem. 274, 17075-
17079.
91. Pinsky, D.J., Patton, S., Mesaros, S., Brovkovych, V., Kubaszewski, E.,
Grunfeld, S., & Malinski, T. (1997). Mechanical transduction of nitric oxide
synthesis in the beating heart. Circ. Res. 81, 372-379.
63
92. Pinto, J.R., Veltri, T., & Sorenson, M.M. (2008). Modulation of troponin C affinity
for the thin filament by different cross-bridge states in skinned skeletal muscle
fibers. Pflugers Arch. 456, 1177-1187.
93. Powers, S.K. & Jackson, M.J. (2008). Exercise-induced oxidative stress: cellular
mechanisms and impact on muscle force production. Physiol Rev. 88, 1243-
1276.
94. Que, L.G., Liu, L., Yan, Y., Whitehead, G.S., Gavett, S.H., Schwartz, D.A., &
Stamler, J.S. (2005). Protection from experimental asthma by an endogenous
bronchodilator. Science. 308, 1618-1621.
95. Radi, R., Beckman, J.S., Bush, K.M., & Freeman, B.A. (1991). Peroxynitrite-
induced membrane lipid peroxidation: the cytotoxic potential of superoxide and
nitric oxide. Arch. Biochem. Biophys. 288, 481-487.
96. Rayment, I. (1996). The structural basis of the myosin ATPase activity. J. Biol.
Chem. 271, 15850-15853.
97. Rayment, I., Holden, H.M., Whittaker, M., Yohn, C.B., Lorenz, M., Holmes, K.C.,
& Milligan, R.A. (1993a). Structure of the actin-myosin complex and its
implications for muscle contraction. Science. 261, 58-65.
98. Rayment, I., Rypniewski, W.R., Schmidt-Base, K., Smith, R., Tomchick, D.R.,
Benning, M.M., Winkelmann, D.A., Wesenberg, G., & Holden, H.M. (1993b).
Three-dimensional structure of myosin subfragment-1: a molecular motor.
Science. 261, 50-58.
99. Reid, M.B. (1999). Redox modulation of skeletal muscle contraction by reactive
oxygen and nitric oxide. In Biochemistry of Exercise X., Hargreaves M &
Thompson M, eds. (Champaign: Human Kinetics), pp. 155-166.
100. Reid, M.B., Stokic, D.S., Koch, S.M., Khawli, F.A., & Leis, A.A. (1994). N-
acetylcysteine inhibits muscle fatigue in humans. J. Clin. Invest. 94, 2468-
2474.
101. Reinartz, M., Ding, Z., Flogel, U., Godecke, A., & Schrader, J. (2008).
Nitrosative stress leads to protein glutathiolation, increased s-nitrosation, and
up-regulation of peroxiredoxins in the heart. J. Biol. Chem. 283, 17440-17449.
102. Reiser, P.J., Kline, W.O., & Vaghy, P.L. (1997). Induction of neuronal type nitric
oxide synthase in skeletal muscle by chronic electrical stimulation in vivo. J.
Appl. Physiol. 82, 1250-1255.
103. Richardson, R.S., Duteil, S., Wary, C., Wray, D.W., Hoff, J., & Carlier, P.G.
(2006). Human skeletal muscle intracellular oxygenation: the impact of ambient
oxygen availability. J. Physiol. 571, 415-424.
64
104. Richardson, R.S., Noyszewski, E.A., Kendrick, K.F., Leigh, J.S., & Wagner, P.D.
(1995). Myoglobin O2 desaturation during exercise. Evidence of limited O2
transport. J. Clin. Invest. 96, 1916-1926.
105. Rodriguez-Juarez, F., Aguirre, E., & Cadenas, S. (2007). Relative sensitivity of
soluble guanylate cyclase and mitochondrial respiration to endogenous nitric
oxide at physiological oxygen concentration. Biochem. J. 405, 223-231.
106. Roth, A.F., Wan, J., Bailey, A.O., Sun, B., Kuchar, J.A., Green, W.N., Phinney,
B.S., Yates, J.R., III, & Davis, N.G. (2006). Global analysis of protein
palmitoylation in yeast. Cell. 125, 1003-1013.
107. Sahlin, K., Harris, R.C., Nylind, B., & Hultman, E. (1976). Lactate content and
pH in muscle obtained after dynamic exercise. Pflugers Arch. 367, 143-149.
108. Saurin, A.T., Neubert, H., Brennan, J.P., & Eaton, P. (2004). Widespread
sulfenic acid formation in tissues in response to hydrogen peroxide. Proc. Natl.
Acad. Sci. U. S. A. 101, 17982-17987.
109. Saville, B. (1958). A Scheme for the Colorimetric Determination of Microgram
Amounts of Thiols. Analyst. 83, 670-672.
110. Seidel, J.C. (1969a). Effects of salts of monovalent ions on the adenosine
triphosphatase activities of myosin. J. Biol. Chem. 244, 1142-1148.
111. Seidel, J.C. (1969b). Similar effects on enzymic activity due to chemical
modification of either of two sulfhydryl groups of myosin. Biochim. Biophys.
Acta. 180, 216-219.
112. Seidel, J.C. (1969c). The effects of monovalent and divalent cations on the
ATPase activity of myosin. Biochim. Biophys. Acta. 189, 162-170.
113. Seidel, J.C. (1972). The effects of nucleotides and Mg 2+ on the electron spin
resonance spectra of myosin spin labeled at the S 2 thiol groups. Arch.
Biochem. Biophys. 152, 839-848.
114. Seidel, J.C., Chopek, M., & Gergely, J. (1970). Effect of nucleotides and
pyrophosphate on spin labels bound to S1 thiol groups of myosin.
Biochemistry. 9, 3265-3272.
115. Sellers, J.R. & Goodson, H.V. (1995). Motor proteins 2: myosin. Protein Profile.
2, 1323-1423.
116. Sethuraman M, McComb M.E., Huang H., Huang S., Heibeck T., Costtelo C.E.,
& Cohen R.A. (2006). ICAT (Isotope - coded affinity tag) Approach to redox
proteomics: identification and quantification of oxidant-sensitive protein thiols. In
Redox proteomics: From protein modifications to celular dysfunction and
disease, Dalle-Donne I., Scaloni A., & Butterfield D.A, eds. (Hoboken, New
Jersey: John Wiley & Sons), pp. 267-285.
65
117. Shi, Q., Feng, J., Qu, H., & Cheng, Y.Y. (2008). A proteomic study of S-
nitrosylation in the rat cardiac proteins in vitro. Biol. Pharm. Bull. 31, 1536-
1540.
118. Silveira, L.R., Pereira-Da-Silva, L., Juel, C., & Hellsten, Y. (2003). Formation of
hydrogen peroxide and nitric oxide in rat skeletal muscle cells during
contractions. Free Radic. Biol. Med. 35, 455-464.
119. Singher, H.O. & Meister, A. (1945). The Adenosinetriphosphatase Activity of
Myosin Preparations. Journal of Biological Chemistry. 159, 491-501.
120. Slayter, H.S. & Lowey, S. (1967). Substructure of the myosin molecule as
visualized by electron microscopy. Proc. Natl. Acad. Sci. U. S. A. 58, 1611-
1618.
121. Sparrow, J.C. & Schock, F. (2009). The initial steps of myofibril assembly:
integrins pave the way. Nat. Rev. Mol. Cell Biol. 10, 293-298.
122. Spencer, T. & Posterino, G.S. (2009). Sequential effects of GSNO and H2O2 on
the Ca2+ sensitivity of the contractile apparatus of fast- and slow-twitch skeletal
muscle fibers from the rat. Am. J. Physiol Cell Physiol. 296, C1015-C1023.
123. Stamler, J.S., Jia, L., Eu, J.P., McMahon, T.J., Demchenko, I.T., Bonaventura,
J., Gernert, K., & Piantadosi, C.A. (1997a). Blood flow regulation by S-
nitrosohemoglobin in the physiological oxygen gradient. Science. 276, 2034-
2037.
124. Stamler, J.S. & Meissner, G. (2001). Physiology of nitric oxide in skeletal
muscle. Physiol Rev. 81, 209-237.
125. Stamler, J.S., Singel, D.J., & Loscalzo, J. (1992). Biochemistry of nitric oxide
and its redox-activated forms. Science. 258, 1898-1902.
126. Stamler, J.S., Sun, Q.A., & Hess, D.T. (2008). A SNO storm in skeletal muscle.
Cell. 133, 33-35.
127. Stamler, J.S., Toone, E.J., Lipton, S.A., & Sucher, N.J. (1997b). (S)NO signals:
translocation, regulation, and a consensus motif. Neuron. 18, 691-696.
128. Stary, C.M. & Hogan, M.C. (2000). Impairment of Ca(2+) release in single
Xenopus muscle fibers fatigued at varied extracellular PO(2). J. Appl. Physiol.
88, 1743-1748.
129. Steffen, M., Sarkela, T.M., Gybina, A.A., Steele, T.W., Trasseth, N.J., Kuehl, D.,
& Giulivi, C. (2001). Metabolism of S-nitrosoglutathione in intact mitochondria.
Biochem. J. 356, 395-402.
130. Stuehr, D.J. & Marletta, M.A. (1985). Mammalian nitrate biosynthesis: mouse
macrophages produce nitrite and nitrate in response to Escherichia coli
lipopolysaccharide. Proc. Natl. Acad. Sci. U. S. A. 82, 7738-7742.
66
131. Sun, J., Xu, L., Eu, J.P., Stamler, J.S., & Meissner, G. (2003). Nitric oxide,
NOC-12, and S-nitrosoglutathione modulate the skeletal muscle calcium release
channel/ryanodine receptor by different mechanisms. An allosteric function for
O2 in S-nitrosylation of the channel. J. Biol. Chem. 278, 8184-8189.
132. Sun, J., Yamaguchi, N., Xu, L., Eu, J.P., Stamler, J.S., & Meissner, G. (2008).
Regulation of the cardiac muscle ryanodine receptor by O(2) tension and S-
nitrosoglutathione. Biochemistry. 47, 13985-13990.
133. Takahashi, H., Shin, Y., Cho, S.J., Zago, W.M., Nakamura, T., Gu, Z., Ma, Y.,
Furukawa, H., Liddington, R., Zhang, D., Tong, G., Chen, H.S., & Lipton, S.A.
(2007). Hypoxia enhances S-nitrosylation-mediated NMDA receptor inhibition
via a thiol oxygen sensor motif. Neuron. 53, 53-64.
134. Taussky, H.H. & SHORR, E. (1953). A microcolorimetric method for the
determination of inorganic phosphorus. J. Biol. Chem. 202, 675-685.
135. Terada, S., Yokozeki, T., Kawanaka, K., Ogawa, K., Higuchi, M., Ezaki, O., &
Tabata, I. (2001). Effects of high-intensity swimming training on GLUT-4 and
glucose transport activity in rat skeletal muscle. J. Appl. Physiol. 90, 2019-
2024.
136. Tiago, T., Ramos, S., Aureliano, M., & Gutierrez-Merino, C. (2006). Peroxynitrite
induces F-actin depolymerization and blockade of myosin ATPase stimulation.
Biochem. Biophys. Res. Commun. 342, 44-49.
137. Vianna A.L. (1981). Contração muscular. In Biofísica, Lacaz-Vieira F. & Malnic
G., eds. (Rio de Janeiro: Guanabara-Koogan), pp. 278-313.
138. Walser, J.T., Watterson, J.G., & Schaub, M.C. (1981). Cyanylation and
cleavage of myosin heavy chains at reactive thiol groups: direct localization of
thiol-1 and thiol-2 groups. Biochemistry. 20, 1169-1175.
139. Wang, G., Moniri, N.H., Ozawa, K., Stamler, J.S., & Daaka, Y. (2006). Nitric
oxide regulates endocytosis by S-nitrosylation of dynamin. Proc. Natl. Acad.
Sci. U. S. A. 103, 1295-1300.
140. Whalen, E.J., Foster, M.W., Matsumoto, A., Ozawa, K., Violin, J.D., Que, L.G.,
Nelson, C.D., Benhar, M., Keys, J.R., Rockman, H.A., Koch, W.J., Daaka, Y.,
Lefkowitz, R.J., & Stamler, J.S. (2007). Regulation of beta-adrenergic receptor
signaling by S-nitrosylation of G-protein-coupled receptor kinase 2. Cell. 129,
511-522.
141. Winterbourn, C.C. & Metodiewa, D. (1999). Reactivity of biologically important
thiol compounds with superoxide and hydrogen peroxide. Free Radic. Biol.
Med. 27, 322-328.
142. Wolosker, H., Panizzutti, R., & Engelender, S. (1996). Inhibition of creatine
kinase by S-nitrosoglutathione. FEBS Lett. 392, 274-276.
67
143. Ziegler, D.M. (1985). Role of reversible oxidation-reduction of enzyme thiols-
disulfides in metabolic regulation. Annu. Rev. Biochem. 54, 305-329.
68
Nome: Cícero Figueiredo Freitas
Nascimento: 18/04/1984
Naturalidade: Rio de Janeiro
¾ Formação Acadêmica
Faculdade de Fisioterapia – Universidade Estácio de Sá, janeiro de 2002 a dezembro de
2005.
Faculdade de Educação Física (Licenciatura Plena) – Universidade Estácio de Sá,
janeiro de 2004 a dezembro de 2005.
¾ Comunicação em Congresso
7 comunicações em congressos nacionais
2 comunicação em congressos internacionais
¾ Publicações
Nogueira L., Figueiredo-Freitas C., Magdesian M.H., Assreuy J. & Sorenson M.M. (2009)
Myosin is reversibly inhibited by S-nitrosylation. Biochem. Journal. 424: 221-231.
Livros Grátis
( http://www.livrosgratis.com.br )
Milhares de Livros para Download:
Baixar livros de Administração
Baixar livros de Agronomia
Baixar livros de Arquitetura
Baixar livros de Artes
Baixar livros de Astronomia
Baixar livros de Biologia Geral
Baixar livros de Ciência da Computação
Baixar livros de Ciência da Informação
Baixar livros de Ciência Política
Baixar livros de Ciências da Saúde
Baixar livros de Comunicação
Baixar livros do Conselho Nacional de Educação - CNE
Baixar livros de Defesa civil
Baixar livros de Direito
Baixar livros de Direitos humanos
Baixar livros de Economia
Baixar livros de Economia Doméstica
Baixar livros de Educação
Baixar livros de Educação - Trânsito
Baixar livros de Educação Física
Baixar livros de Engenharia Aeroespacial
Baixar livros de Farmácia
Baixar livros de Filosofia
Baixar livros de Física
Baixar livros de Geociências
Baixar livros de Geografia
Baixar livros de História
Baixar livros de Línguas
Baixar livros de Literatura
Baixar livros de Literatura de Cordel
Baixar livros de Literatura Infantil
Baixar livros de Matemática
Baixar livros de Medicina
Baixar livros de Medicina Veterinária
Baixar livros de Meio Ambiente
Baixar livros de Meteorologia
Baixar Monografias e TCC
Baixar livros Multidisciplinar
Baixar livros de Música
Baixar livros de Psicologia
Baixar livros de Química
Baixar livros de Saúde Coletiva
Baixar livros de Serviço Social
Baixar livros de Sociologia
Baixar livros de Teologia
Baixar livros de Trabalho
Baixar livros de Turismo