
69
Tabela 8 – Frequências absolutas e relativas das variáveis imunoistoquímicas e
sua relação com a forma clínica segundo o escore SEDESS e p-valor do teste
qui-quadrado
Variável Categoria
Forma Clínica (escore SEDESS)
Qui-
quadrado
p-valor
Leve Moderada Grave
n % n % n %
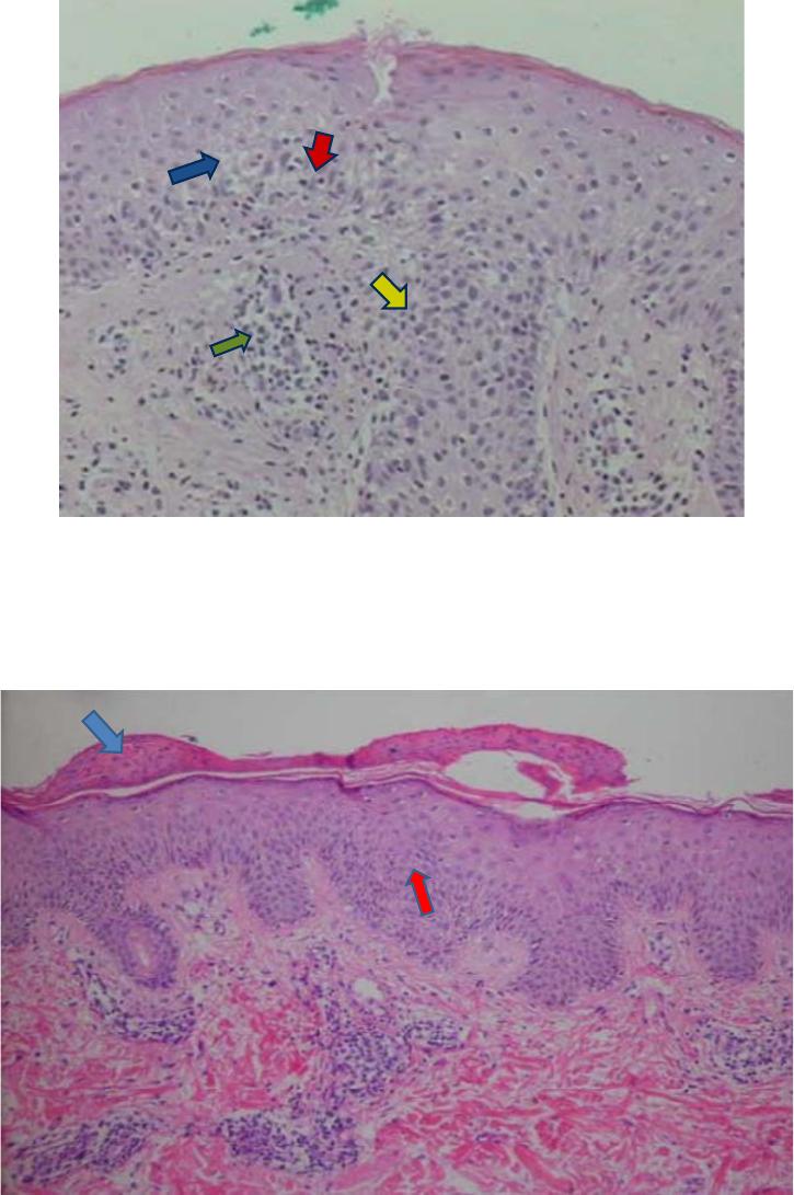
CD4 Ausente 0 0,0 1 11,1 0 0,0 0,4346
Raras 0 0,0 1 11,1 2 50,0
Leve 2 25,0 1 11,1 1 25,0
Moderado 2 25,0 2 22,2 0 0,0
Intenso 4 50,0 4 44,4 1 25,0
Total 8 100,0 9 100,0 4 100,0
CD8 Raras 1 12,5 0 0,0 0 0,0 0,7617
Leve 6 75,0 7 77,8 3 75,0
Moderado 1 12,5 1 11,1 1 25,0
Intenso 0 0,0 1 11,1 0 0,0
Total 8 100,0 9 100,0 4 100,0
CD15 Ausente 2 25,0 2 22,2 1 25,0 0,9964
Raras 2 25,0 3 33,3 1 25,0
Leve 4 50,0 4 44,4 2 50,0
Total 8 100,0 9 100,0 4 100,0
CD20
Ausente 1 12,5 1 11,1 0 0,0
0,0339
Raras 7 87,5 7 77,8 1 25,0
Leve 0 0,0 1 11,1 3 75,0
Total 8 100,0 9 100,0 4 100,0
CD68 Raras 0 0,0 1 11,1 0 0,0 0,6024
Leve 6 75,0 6 66,7 2 50,0
Moderado 1 12,5 1 11,1 2 50,0
Intenso 1 12,5 1 11,1 0 0,0
Total 8 100,0 9 100,0 4 100,0
CD57 Ausente 1 12,5 3 33,3 1 25,0 0,2498
Raras 4 50,0 1 11,1 0 0,0
Leve 3 37,5 5 55,6 3 75,0
Total 8 100,0 9 100,0 4 100,0