
Sistema de implantes cuneiformes 12
1 INTRODUÇÃO
Desde o início de nossa trajetória na Implantodontia, há cerca de 25 anos,
intrigou-nos sempre o fato de normalmente os indivíduos perderem dentes enquanto
jovens e só virem a reabilitar os espaços decorrentes muitos anos depois, quando já
sofreram severas reabsorções ósseas. Tal realidade permanece até os dias atuais,
sendo que as razões são várias: falta de informação, escassez de recursos
financeiros, temores quanto aos resultados, entre outros. Esta situação faz com que
a Implantodontia esteja permanentemente na busca por novas soluções, porquanto,
cada vez mais Cirurgiões-Dentistas recomendam a terapia implantodôntica para
pacientes que requerem reabilitação de espaços edêntulos, ao mesmo tempo em
que os pacientes têm demonstrado expectativas e exigências maiores ante o
tratamento (Cochran, 2006).
Junto à maior demanda por esse tipo de tratamento surge a necessidade
de simplificar a experiência do paciente com respeito a muitos aspectos. Dentre eles,
o tempo envolvido entre começar e terminar a reabilitação, aliado, ao conceito de
mínima invasividade do tratamento. Devido a isso, muitos estudos vêm sendo
conduzidos no intuito de estabelecer tratamentos minimamente invasivos, mas que
sejam seguros e previsíveis ao longo prazo (Campos, 2007).
Carvalho (2001) afirmou que a Implantodontia, muitas vezes, esbarra em
alguns contratempos como, por exemplo, a falta de altura e ou espessura óssea que
em alguns casos pode se traduzir em uma contra-indicação, mesmo que relativa ou
temporária, aos implantes.
Tal condição obriga o especialista a administrar, por um lado, a urgência
do paciente em realizar sua reabilitação e, por outro, a necessidade da execução de
procedimentos cirúrgicos de enxertia óssea que exigem tempo de cicatrização
prolongado (Campos, 2007).
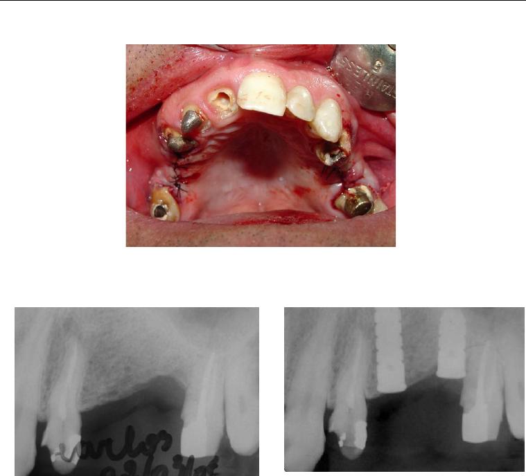
Foi no intuito de transpor estas dificuldades que se idealizou o sistema de
implante inicialmente conhecido como Wedge (figura 1) e que, após dez anos de