Download PDF
ads:
1
UNIVERSIDADE FEDERAL DO RIO GRANDE DO SUL
FACULDADE DE MEDICINA
PROGRAMA DE PÓS-GRADUAÇÃO EM MEDICINA: CIÊNCIAS CIRÚRGICAS
DISSERTAÇÃO DE MESTRADO
RETRAÇÃO E FIBROPLASIA EM PRÓTESE DE POLIPROPILENO
ESTUDO EXPERIMENTAL EM RATOS
Mestrando: LUCIANO ZOGBI DIAS
Orientador: Prof. Dr. MANOEL ROBERTO MACIEL TRINDADE
Porto Alegre, 2009
ads:
Livros Grátis
http://www.livrosgratis.com.br
Milhares de livros grátis para download.
2
UNIVERSIDADE FEDERAL DO RIO GRANDE DO SUL
FACULDADE DE MEDICINA
PROGRAMA DE PÓS-GRADUAÇÃO EM MEDICINA: CIÊNCIAS CIRÚRGICAS
DISSERTAÇÃO DE MESTRADO
RETRAÇÃO E FIBROPLASIA EM PRÓTESE DE POLIPROPILENO
ESTUDO EXPERIMENTAL EM RATOS
Mestrando: LUCIANO ZOGBI DIAS
Orientador: Prof. Dr. MANOEL ROBERTO MACIEL TRINDADE
Porto Alegre, Brasil.
2009
ads:
3
APRESENTAÇÃO
Este trabalho consiste na dissertação de mestrado intitulada RETRAÇÃO E
FIBROPLASIA EM PRÓTESE DE POLIPROPILENO ESTUDO EXPERIMENTAL EM
RATOS, apresentada ao Programa de Pós-Graduação em Medicina: Ciências Cirúrgicas, da
Universidade Federal do Rio Grande do Sul, em 25 de novembro de 2009.
4
BANCA EXAMINADORA
Prof. Dr. Antonio Olívio Valoria Portella, Universidade Federal do Rio Grande - FURG
Prof. Dr. Armando José d’Acampora, Universidade Federal de Santa Catarina - UFSC
Prof. Dr. Cleber Dario Pinto Kruel, Universidade Federal do Rio Grande do Sul - UFRGS
Prof. Dr. Daniel de Carvalho Damin, Universidade Federal do Rio Grande do Sul - UFRGS
5
SUMÁRIO
RESUMO....................................................................................................................................................................... 6
INTRODUÇÃO............................................................................................................................................................. 7
OBJETIVO.................................................................................................................................................................. 10
MÉTODOS.................................................................................................................................................................. 10
LOCAL DE REALIZAÇÃO .................................................................................................................................... 10
AMOSTRA............................................................................................................................................................... 10
GRUPOS DE ESTUDO............................................................................................................................................ 11
IMPLANTE .............................................................................................................................................................. 12
Material protético................................................................................................................................................. 12
Técnica cirúrgica.................................................................................................................................................. 12
PERÍODOS DE OBSERVAÇÃO ............................................................................................................................ 13
NECROPSIA ............................................................................................................................................................ 14
ANÁLISE HISTOLÓGICA ..................................................................................................................................... 15
Variável preditora................................................................................................................................................. 15
Variáveis desfecho................................................................................................................................................ 15
QUESTÕES ÉTICAS............................................................................................................................................... 16
RESULTADOS ........................................................................................................................................................... 16
ANÁLISE MACROSCÓPICA................................................................................................................................. 17
Grupo 1 (dia 7) ..................................................................................................................................................... 17
Grupo 2 (dia 28) ................................................................................................................................................... 18
Grupo 3 (dia 90) ................................................................................................................................................... 19
ANÁLISE MICROSCÓPICA .................................................................................................................................. 21
Neutrófilos ............................................................................................................................................................ 21
Linfócitos .............................................................................................................................................................. 21
Macrófagos........................................................................................................................................................... 23
Células gigantes.................................................................................................................................................... 25
DISCUSSÃO................................................................................................................................................................ 28
A PRÓTESE ............................................................................................................................................................. 28
CICATRIZAÇÃO..................................................................................................................................................... 29
RETRAÇÃO DA PRÓTESE.................................................................................................................................... 31
CONCLUSÕES........................................................................................................................................................... 35
REFERÊNCIAS.......................................................................................................................................................... 36
ARTIGO ORIGINAL................................................................................................................................................. 43
6
RESUMO
Introdução. O tratamento de hérnia, independentemente do sítio anatômico e da técnica
utilizada, geralmente envolve o uso de próteses, que, apesar de sua indiscutível vantagem em
permitir um reforço seguro, podem causar complicações. Um exemplo é a possível retração, que
ocasiona desconforto e recidiva da hérnia. Dentro de muitos biomateriais disponíveis, o
polipropileno permanece sendo o mais utilizado. O objetivo deste estudo é avaliar o grau de
retração da tela de polipropileno, bem como as reações histológicas que acompanham este
fenômeno.
Métodos. Foram inseridas telas de polipropileno (Marlex
R
) anteriormente à aponeurose
abdominal íntegra de 25 ratos Wistar (Ratus novergicus albinus). Os animais foram divididos em
grupos e reintervidos em 7, 28 e 90 dias, para aferição das dimensões das próteses e cálculo da
área final. A análise histológica foi realizada com hematoxilina-eosina para avaliação de
neutrófilos, macrófagos, gigantócitos e linfócitos circundando os fios da tela, em 10 campos
aleatórios de cada lâmina.
Resultados. Em 7 dias da inserção das telas, a taxa média de retração foi de 1,75% (p 0,64); em
28 dias foi de 3,75% (p 0,02) e em 90 dias foi de 2,5% (p 0,01). Quanto à análise histológica,
houve um declínio total de neutrófilos e um aumento progressivo de macrófagos, células gigantes
e linfócitos, proporcional ao tempo pós-implantação da malha (p < 0,05).
Conclusão. Houve retração estatisticamente significativa de 3,75% aos 28 dias e de 2,5% aos 90
dias de inserção da prótese. uma seqüência de eventos celulares bem estabelecidos, tendo
como destino a síntese de um novo tecido conjuntivo de reforço sobre a tela.
Descritores: Hérnia; Telas cirúrgicas; Parede abdominal; Modelos animais; Cicatrização de
feridas.
7
INTRODUÇÃO
A cirurgia da hérnia está entre os procedimentos mais freqüentes na rotina do cirurgião
geral. O detalhado conhecimento de sua anatomia, postulando uma fisiopatogenia aparentemente
simples, traz a falsa idéia de ser uma doença facilmente curável. Tendo em vista a fragilidade do
tecido conjuntivo, seja por alterações ambientais, constitucionais do metabolismo do colágeno,
ou mesmo inerente ao processo de envelhecimento, tornou-se evidente a necessidade de um
material de reforço interposto na zona de correção de uma hérnia, pois reconhecidamente a mera
sutura fascial primária apresentava índices de recidiva acima de 10%.
1-11
Uma ampla diversidade de materiais foi posta em estudo e em uso com este propósito,
sendo o polipropileno o mais difundido no mundo. É também o mais utilizado, tanto para uso
clínico, quanto em grupos controle de experimentos para testar novos biomateriais.
12-23
Introduzido inicialmente por Usher
23-23
e amplamente estudado por Falci
13
e Lichtenstein,
26
suas
malhas são compostas por fios monofilamentados produzidos pela polimerização do
polipropileno, um derivado do gás propano. Estudos demonstram que a força tênsil do
polipropileno implantado em tecido orgânico mantém-se inalterada ao longo do tempo e são
facilmente esterilizáveis em autoclave, sem alterar suas propriedades.
Dispostas em diversas marcas e modelos, as telas desenvolvidas para uso em
hernioplastias são ásperas, semi-rígidas e ligeiramente elásticas. Apresentam uma espessura
aproximada de 0,5mm, trançadas em uma configuração tal que formam múltiplos poros maiores
do que 100 m e permitem elasticidade em ambas as direções.
23-27
8
Figura 1. Fotomicrografia de aumento de tela de polipropileno. Barra de calibração: 1mm (Fonte: Laboratório de
Biologia da Universidade Federal do Rio Grande – FURG).
É através dos poros presentes na tela que se infiltram os fibroblastos, células do tecido
conectivo responsáveis pela deposição de fibras colágenas e conseqüente construção de tecido
conjuntivo denso o modelado, integrando a prótese ao organismo e promovendo uma retração
da mesma tal qual ocorre num processo cicatricial normal. Quanto maior o diâmetro dos poros,
maiores e mais rápidas serão a fibroplasia, a angiogênese e a entrada de células
imunocompetentes, protegendo de germes infectantes.
28-34
Estando entre as cirurgias mais realizadas no mundo, seja pelo acesso
videolaparoscópico ou pela abordagem convencional, as hernioplastias com o uso de próteses,
9
especialmente as de polipropileno, decididamente tornaram-se a forma preferencial de
tratamento, pela sua facilidade, rapidez, baixa morbidade e baixo índice de recidiva.
1, 2, 23-27, 35-43
Todavia, a implantação de amplas malhas sintéticas tem sido associada a algumas
complicações, como a indução de seromas, infecções bacterianas tardias, e retração da tela. Esta
última é um fenômeno bem documentado que costuma ocorrer dentro de 2 meses após a
implantação da prótese. Sua causa é desconhecida, mas sugere-se que ocorra como resultado do
crescimento tecidual no interior da malha e tem sido associado a desconforto, dor e recorrência
da hérnia. Os estudos experimentais que buscam avaliar a contração ou não das malhas
sintéticas, quantificar esta alteração e desvendar o seu exato mecanismo são poucos e com
resultados bastante variáveis. Alguns trabalhos apresentam, inclusive, resultados contraditórios,
referindo paradoxalmente a expansão da tela e de seus poros.
34, 37, 43-49
Saber se uma prótese retrai e em que proporção é de grande valia, para que o cirurgião
deixe margem de segurança adequada de tela, evitando o seu estiramento em demasia, para que a
reconstituição permaneça livre de tensão. Do contrário, uma malha de dimensão
inadequadamente pequena, ao retrair, possibilitaria uma maior chance à recidiva da hérnia. Por
outro lado, margens excessivamente grandes aumentam a quantidade de corpo estranho e
desconforto ao paciente. Assim sendo, é importante ter o conhecimento da taxa de retração do
material.
10
OBJETIVOS
1) Verificar e quantificar a existência de retração da tela e
2) Estudar as alterações celulares durante o processo de fibroplasia.
MÉTODOS
LOCAL DE REALIZAÇÃO
O estudo foi realizado na Unidade de Experimentação Animal (UEA) do Centro de
Pesquisa (CP) do Hospital de Clínicas de Porto Alegre (HCPA), com financiamento do Fundo de
Incentivo à Pesquisa e Eventos (FIPE).
AMOSTRA
Foram utilizados 25 ratos Wistar (Ratus novergicus albinus) do sexo masculino, com 3
meses de idade, pesando em média 324g (DP 28g, IC95% 312-336g), mantidos em condições de
temperatura constante e ciclos dia/noite controlados, manejados em concordância com os
preceitos estabelecidos no Colégio Brasileiro de Experimentação Animal (COBEA).
Os ratos foram mantidos na Unidade de Experimentação Animal (UEA) do Centro de
Pesquisas (CP) do Hospital de Clínicas de Porto Alegre (HCPA), alojados em gaiolas de
plástico, com as dimensões de 40 x 30 x 16 cm, com no máximo 5 ratos em cada unidade,
recebendo ração e água ad libitum e com ciclos de sono de 12h. A sala do referido biotério foi
sempre mantida com fluxo de ar contínuo, livre de barulho, com umidade relativa do ar de 75,0%
e temperatura ambiental de aproximadamente 22°C (fig.2).
11
Fig.2. Fotografia do medidor de temperatura e umidade relativa do ar no alojamento dos ratos.
GRUPOS DE ESTUDO
Os animais (n=25) foram distribuídos em três grupos (fig. 3), de acordo com a data de
aferição e coleta do material: oito no sétimo dia pós-operatório (grupo 1); oito no vigésimo
oitavo (grupo 2); e nove no nonagésimo dia (grupo 3), para avaliação morfológica (macro e
microscópica).
Fig. 3. Organograma representativo dos grupos de estudo.
TOTAL:
25 RATOS
GRUPO 1
7 DIAS
8 RATOS
GRUPO 2
28 DIAS
8 RATOS
GRUPO 3
90 DIAS
9 RATOS
12
IMPLANTE
Material protético
Prótese de polipropileno monofilamentar de alta-densidade.
1
Técnica cirúrgica
Todos os ratos foram operados dentro da seguinte padronização: (a) indução
anestésica com xilazina (7mg/Kg) e cetamina (90mg/Kg) intra-peritoneal; (b) tricotomia com
cortador elétrico na face anterior do abdome; (c) imobilização em decúbito dorsal horizontal, em
prancha cirúrgica para pequenos roedores. (d) Antissepsia da parede abdominal anterior com
povidona-iodo; (e) proteção do campo operatório com pano esterilizado fenestrado; (f)
infiltração de tecido subcutâneo com bupivacaína a 2% com vasoconstritor no local a ser
incisado, localizado à linha média; (g) incisão mediana de pele e tecido subcutâneo, com 2 a 3cm
de extensão; (h) dissecção do tecido subcutâneo da aponeurose, expondo-a o suficiente para (i)
inserção de prótese de polipropileno de 2 x 2cm na face anterior da aponeurose; (h) fixação da
tela com pontos separados de Nylon 4.0, constituídos de 5 semi-nós cada, em seus quatro cantos,
de forma a mantê-la lisa e esticada (fig. 4); (i) fechamento com pontos intra-dérmicos separados,
do mesmo fio, sem curativo. Cada operação foi fotografada detalhadamente, com resolução de
2.816 x 2.112 pixels e função super-macro ativada.
Os princípios de assepsia foram rigorosamente observados, bem como a dissecção
meticulosa dos tecidos. Não foi utilizado eletrocautério, nem antibióticos profiláticos.
1
Marlex
R
(Bard, UK)
13
Fig. 4. Fotografia mostra prótese de polipropileno fixada à fáscia anterior.
PERÍODOS DE OBSERVAÇÃO
O período pós-operatório imediato deu-se em incubadora, com fonte de
aquecimento e água liberadas. Nenhum rato sofreu entubação ou qualquer tipo de acesso venoso.
Após estarem plenamente acordados, retornavam para suas gaiolas originais, com dimensões de
40 x 30 x 16 cm, contendo até 5 ratos em cada unidade, recebendo ração e água ad libitum, com
ciclos de sono de 12h, com fluxo de ar contínuo, livre de barulho, com umidade relativa do ar de
75,0% e temperatura ambiente em torno de 22°C. Todos eram avaliados diariamente em busca de
complicações locais e/ou sistêmicas.
14
NECROPSIA
Os ratos foram submetidos à morte indolor assistida em câmara de CO
2
nas datas pré-
determinadas. Após a constatação do óbito, cada animal foi novamente pesado, submetido à
nova depilação e colocado na mesa cirúrgica.
O ato cirúrgico da necropsia ocorreu da seguinte forma: (a) incisão mediana ampla, com
prolongamentos laterais nas extremidades; (b) dissecção do tecido subcutâneo da tela e da
aponeurose; (c) mensuração das dimensões das arestas verticais e das arestas horizontais da tela;
(d) fotografia digital com resolução de 2.816 x 2.112 pixels em função super-macro ativada; (e)
ressecção da parede abdominal em toda a sua espessura sob a tela, juntamente com a mesma, em
bloco (fig.5); (f) armazenamento da peça em solução de formalina tamponada a 10%, em
recipientes apropriados e devidamente identificados.
Fig.5. Fotografia de prótese integrada à parede abdominal, completamente removida.
15
ANÁLISE HISTOLÓGICA
No laboratório de Patologia do Centro de Pesquisas do mesmo hospital, as peças
foram emblocadas em parafina, cortadas com 4µm de espessura e coradas em Hematoxilina-
Eosina (HE). Utilizando um ensaio do tipo cego, a patologista avaliou todos os espécimes, em
dez campos aleatórios de cada amostra, quantificando os seguintes itens: neutrófilos,
macrófagos, células gigantes e linfócitos. Os macrófagos foram quantificados de acordo com o
número de voltas que os mesmos davam ao redor de cada filamento da tela.
ANÁLISE ESTATÍSTICA
Realizado no serviço de estatística do GPPG do HCPA. Foi realizada com o
programa Statistical Package for Social Sciences (SPSS) 13.0. Para os achados macroscópicos,
dados contínuos paramétricos, foram analisados usando o teste t de Student bicaudal. Entre os
grupos foi utilizada análise de variância (ANOVA) para comparações múltiplas das variáveis
quantitativas (neutrófilos, macrófagos, células gigantes e linfócitos), avaliados com testes
paramétricos (Tukey e Dunnet) e não-paramétricos (Kruskal-Wallis). Todos os dados foram
apresentados como Média e Desvio Padrão (DP). Significância foi aceita com valor de P inferior
a 0,05.
Variável preditora
Uso de prótese de polipropileno na parede abdominal
Variáveis desfecho
Retração das dimensões da prótese, após sua adequada integração ao organismo;
Quantificação e comparação dos tipos celulares em cada período da cicatrização
(neutrófilos, macrófagos, gigantócitos e linfócitos em 10 campos aleatórios de cada tela).
16
QUESTÕES ÉTICAS
Os procedimentos cirúrgicos obedeceram aos critérios, normas técnicas e direitos
internacionais de pesquisa em animais do comitê de ética do Colégio Brasileiro de
Experimentação Animal (COBEA), com aprovação do Conselho de Ética da mesma instituição
(projeto 07-235).
RESULTADOS
Todos os 25 ratos demonstraram favorável evolução pós-operatória, sem evidências de
quaisquer complicações: nenhum apresentou seroma, hematoma ou infecção de sítio cirúrgico.
Não houve óbitos. A média de ganho de peso por grupo apresenta-se expressa na figura 6.
331,375
309,25
331,5555556
340,75
335,25
409,9666667
0
100
200
300
400
500
600
700
800
1 2 3
Group
Final weight (g)
Initial weight (g)
Fig. 6. Gráfico comparativo da média de ganho de peso entre os grupos.
17
ANÁLISE MACROSCÓPICA
Grupo 1 (dia 7)
A medida da aresta vertical variou de 1,95cm a 2,05cm, com uma média, mediana e moda
de 2,00cm; desvio padrão (DP) de 0,026; erro padrão (EP) de 0,009 e intervalo de confiança de
95% (IC95%) situado entre 1,97 e 2,02. A aresta horizontal apresentou variação mais ampla,
estendendo-se de 1,90cm no rato 5 a 2,10cm no rato 6; média e mediana de 2,00 (DP = 0,654; EP
= 0,023; IC 95% = 1,94 a 2,05).
Tabela 1. Medidas das dimensões das telas após 7 dias da intervenção inicial
A área das telas, calculada pelo produto das duas medidas acima descritas, apresentou
média de 3,93cm
2
, com 3,8cm
2
a menor e 4,2cm
2
a maior (DP = 1,136; ER = 0,049 e IC 95% =
3,86 a 4,09). As medidas encontram-se em detalhes na tabela 1 e a variação das dimensões na
figura 7. Para um nível bicaudal de significância, o valor de P foi de 0,647. Desta forma, a
retração apresentada de 1,75% não foi considerada significativa. O ganho médio de peso foi de
9g.
Rato Peso
inicial
(g)
Peso
final
(g)
Aresta vertical
(cm)
Aresta
horizontal
(cm)
Área
(cm
2
)
1 318 328 2,00 1,95 3,90
2 330 348 2,00 2,05 4,10
3 331 341 2,00 2,00 4,00
4 343 355 2,05 2,05 4,01
5 351 362 2,00 1,90 3,80
6 317 334 2,00 2,10 4,20
7 361 354 2,00 2,00 4,00
8 300 304 1,95 1,95 3,80
Média 331 340 2,00 2,00 3,97
18
Grupo 1 - Área das telas
3,6
3,7
3,8
3,9
4
4,1
4,2
4,3
1 2 3 4 5 6 7 8
Área original
Área final
Fig. 7. Gráfico comparativo da área de cada tela antes e 7 dias após o experimento
Grupo 2 (dia 28)
Todos mantiveram seus hábitos normais, apresentando ao 28º dia pós-operatório
cicatrização completa da pele e crescimento dos pêlos recobrindo a cicatriz. Estes ratos
obtiveram uma média de ganho de peso da ordem de 26g, conforme é verificado na tabela 2.
A medida da aresta vertical apresentou média de 1,94cm (DP = 0,03; EP = 0,12; IC 95%
= 1,91 a 1,97). A média da aresta horizontal alterou para 1,98cm (DP = 0,05; EP = 0,02; IC 95%
= 1,93 a 2,02).
A área total da tela (fig.8), por sua vez, demonstrou redução para 3,85cm
2
(DP = 0,13; EP
= 0,04; IC 95% = 3,73 a 3,96), cujo nível de significância bicaudal foi 0,020 (p = 0,02). Houve,
portanto, uma retração estatisticamente significativa de 3,75%.
19
Tabela 2 - Medidas das dimensões das telas após 28 dias da intervenção inicial
Fig. 8. Gráfico comparativo da área de cada tela antes e 28 dias após o experimento.
Grupo 3 (dia 90)
A totalidade dos ratos obteve satisfatória evolução a curto e longo prazo, demonstrando
boa aceitação da prótese. Após 90 dias da inserção da tela, os ratos obtiveram uma média de
ganho de peso da ordem de 79g, conforme é verificado na tabela 3.
Rato Peso
inicial
(g)
Peso
atual
(g)
Aresta vertical Aresta
horizontal
Área
1 298 326 1,95 2,03 3,96
2 294 341 1,90 1,93 3,66
3 325 340 1,90 1,95 3,70
4 362 352 1,95 1,90 3,70
5 255 287 1,98 1,95 3,86
6 360 376 1,95 2,05 3,99
7 270 302 2,00 2,00 4,00
8 310 358 1,93 2,03 3,91
Média 309 335 1,94 1,98 3,85
Grupo 2 - Áreas das telas
3,5
3,6
3,7
3,8
3,9
4
4,1
1 2 3 4 5 6 7 8
Área original
Área final
20
Tabela 3 - Medidas das dimensões das telas após 90 dias da intervenção inicial
A medida da aresta vertical apresentou média de 1,96cm (DP = 0,03; EP = 0,11; IC 95%
= 1,93 a 1,99) e a da aresta horizontal de 1,99cm (DP = 0,03; EP = 0,01; IC 95% = 1,95 a 2,02).
A área total da tela (fig.9), por sua vez, ficou em 3,91cm
2
(DP = 0,08; EP = 0,02; IC 95%
= 3,85 a 3,97), cujo nível de significância bicaudal foi 0,013 (p = 0,01). Houve, portanto, uma
retração estatisticamente significativa de 2,5% após 3 meses da inserção da prótese.
Grupo 3 - Área das telas
3,7
3,75
3,8
3,85
3,9
3,95
4
4,05
1 2 3 4 5 6 7 8 9
Área original
Área final
Fig. 9. Gráfico comparativo da área de cada tela antes e 90 dias após o experimento.
Rato Peso inicial (g) Peso atual (g) Aresta vertical Aresta horizontal Área
1 319 403 2,00 2,00 4,00
2 334 401 1,95 2,00 3,90
3 330 411 1,95 2,00 3,90
4 315 396 1,95 2,05 3,99
5 325 362 1,90 2,00 3,80
6 371 451 2,00 1,90 3,80
7 312 399 2,00 1,98 3,96
8 313 416 1,95 1,98 3,86
9 365 449 2,00 2,00 4,00
Média 331 410 1,96 1,99 3,91
21
ANÁLISE MICROSCÓPICA
O exame de microscopia óptica revelou adequada incorporação da prótese ao
hospedeiro. A contagem celular apresenta-se pormenorizada a seguir:
Neutrófilos
A média de neutrófilos por campo microscópico foi de 2,15 (DP=1,64) aos 7 dias pós-
operatórios, zerando completamente nas avaliações realizadas aos 28 e aos 90 dias (vide análise
estatística detalhada na tabela 4).
Tabela 4: Neutrófilos - Comparações múltiplas dos resultados da avaliação histológica (Teste de Tukey)
Intervalo de confiança 95% Grupo I Grupo J Diferença
média
(I-J)
Erro
Padrão
Sig.
Limite
inferior
Limite
superior
2 2,15
0,4629 0,000 0,987 3,313
1
3 2,15
0,4499 0,000 1,020 3,280
1 -2,15
0,4629 0,000 -3,313 -0,987
2
3 0
0,4499 1,000 -1,130 1,130
1 -2,15
0,4499 0,000 -3,280 -1,020
3
2 0
0,4499 1,000 -1,130 1,130
Linfócitos
Em contrapartida, os demais tipos celulares apresentaram progressivo aumento: A média
de linfócitos foi de 3,42 (DP 1,62), 4,91 (DP 1,59) e 5,37 (DP 0,69) nos dias 7, 28 e 90,
respectivamente (tab. 5, figs. 10 e 11).
22
Tabela 5 – Linfócitos - Comparações múltiplas dos resultados da avaliação histológica (Teste de Tukey)
Intervalo de confiança 95% Grupo I Grupo J Diferença
média
(I-J)
Erro
Padrão
Sig.
Limite
inferior
Limite
superior
2
-1,4875 0,6212 0,064 -3,048 0,073
1
3
-1,9528 0,6037 0,010 -3,469 -0,436
1
-1,4875 0,6212 0,064 -0,073 3,048
2
3
-0,4653 0,6037 0,724 -1,982 1,051
1
1,9528 0,6037 0,010 0,436 3,469
3
2
0,4653 0,6037 0,724 -1,051 1,982
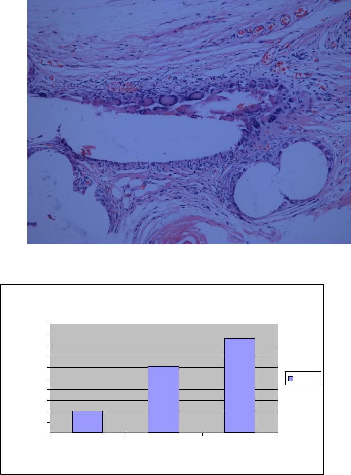
Fig. 10. Fotomicrografia revela completa incorporação da prótese aos 28 dias pós-implante.
São encontrados macrófagos, células gigantes, linfócitos, fibroblastos e colágeno (HE, 100x)
23
Linfócitos
0
1
2
3
4
5
6
1 2 3
Grupos
Média de linfócitos por
campo
Série1
Fig.11. Gráfico comparando a média de linfócitos por campo microscópico nos grupos 1, 2 e 3.
Macrófagos
O número de voltas de macrófagos (figs. 12 e 13) ao redor dos fios da malha teve uma
média de 1,16 (DP 0,48) no dia; 3,43 (DP 0,46) no 28º dia; e 4,01 (DP 0,43) no 90º dia pós-
operatório (tab. 6).
24
Tabela 6 – Macrófagos - Comparações múltiplas dos resultados da avaliação histológica (Teste de Tukey)
Intervalo de confiança 95% Grupo I Grupo J Diferença
média
(I-J)
Erro
Padrão
Sig.
Limite
inferior
Limite
superior
2
-2,2750 0,2308 0,000 -2,855 -1,695
1
3
-2,8486 0,2243 0,000 -3,412 -2,285
1
2,2750 0,2308 0,000 1,695 2,855
2
3
-0,5736 0,2243 0,045 -1,137 -0,010
1
2,8486 0,2243 0,000 2,285 3,412
3
2
0,5736 0,2243 0,045 0,010 1,137
Quantificados pelo número de camadas de células ao redor de cada filamento da tela
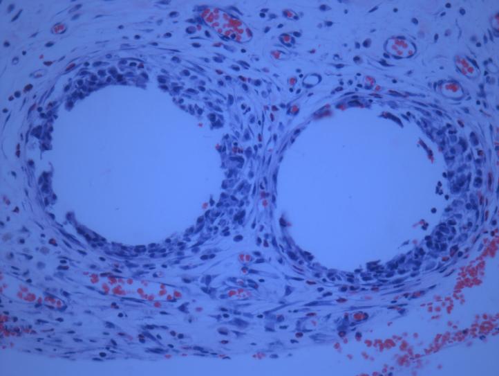
Fig. 12. Fotomicrografia de dois filamentos de polipropileno, envoltos por diversas camadas de
macrófagos, no 7º dia pós-implante (HE, 400x).
25
Camadas de macrófagos
0
0,5
1
1,5
2
2,5
3
3,5
4
4,5
1 2 3
Grupos
Número de camadas
Série1
Fig.13. Gráfico comparando a média de camadas de macrófagos por campo microscópico nos grupos 1, 2 e 3.
Células gigantes
As células gigantes (fig. 14 e 15) apresentaram média de 1,98 (DP 1,45) no dia; 6,14
(DP 1,54) no 28º dia e 8,71 (DP 0,90) no 90º dia (tab. 7).
Tabela 7 – Células gigantes - Comparações múltiplas dos resultados da avaliação histológica (Teste de Tukey)
Intervalo de confiança 95% Grupo I Grupo J Diferença
média
(I-J)
Erro
Padrão
Sig.
Limite
inferior
Limite
superior
2
-4,163 0,657 0,000 -5,810 -2,510
1
3
-6,736 0,639 0,000 -8,340 -5,130
1
4,163 0,657 0,000 2,510 5,810
2
3
-2,574 0,639 0,002 -4,180 -0,970
1
6,736 0,639 0,000 5,130 8,340
3
2
2,574 0,630 0,002 0,970 4,180
26
Fig. 14. Fotomicrografia apresenta células gigantes multinucleadas aos 90 dias pós-implante (HE, 200x)
Gigantócitos
0
1
2
3
4
5
6
7
8
9
10
1 2 3
Grupos
Média de gigantócitos por
campo
Série1
Fig.15. Gráfico da média de células gigantes por campo microscópico nos grupos 1, 2 e 3.
27
Houve um declínio total de neutrófilos e um aumento progressivo de macrófagos, células
gigantes e linfócitos, proporcional ao tempo pós-implantação da malha. Estas diferenças foram
estatisticamente significativas entre os grupos (p<0,05), tanto pelo teste de Tukey quanto por
Kruskal-Wallis. A figura 16 retrata as proporções entre os diferentes tipos celulares em cada
período.
0
1
2
3
4
5
6
7
8
9
10
7 28 90
Day after mesh implantation
M ea n
Neutrophils
Laps of macrophages
Giant Cells
Lymphocytes
Fig. 16. Gráfico com as células estudadas, mostrando a evolução aos 7, 28 e 90 dias da implantação das próteses.
28
DISCUSSÃO
A PRÓTESE
Existem diversos tipos de biomateriais para a cirurgia da hérnia. As qualidades de
biocompatibilidade foram bem estabelecidas por Cumberland
18
e Scales
19
: a prótese ideal não
pode ser alterada em fluídos orgânicos, nem produzir reações de corpo estranho, deve ser
quimicamente inerte, não carcinogênica, não alergênica, capaz de resistir a tensões mecânicas,
atuar como um arcabouço para a síntese de tecido conjuntivo e deposição de colágeno e ser
passível de esterilização sem alterar as suas características físico-químicas, mesmo em autoclave.
Um adequado e conhecido representante dessas características é o polipropileno.
15,48,50
Além
disso, este biomaterial é o mais utilizado no mundo.
48,51-53
Neste estudo as telas de polipropileno
representaram bem as características descritas: os 25 ratos demonstraram favorável evolução pós-
operatória, sem evidências de quaisquer complicações, a despeito do amplo descolamento
aponeurótico e da presença do corpo estranho. Nenhum apresentou seroma, hematoma ou
infecção de sítio cirúrgico. Não houve óbitos. Todos mantiveram seus hábitos normais,
alimentando-se bem, apresentando ganho de peso (fig. 6) e cicatrização adequada.
Na determinação do tamanho da amostra, a quantidade de ratos necessária de forma a
encontrar um resultado significativo, seria de aproximadamente oito por grupo. No grupo 3 (90
dias) foi utilizado um rato a mais, com o objetivo de manter um tamanho amostral adequado até
o último dia, se algum rato apresentasse alguma complicação ou óbito que o excluísse do estudo.
Como todos evoluíram bem, foram todos computados nos resultados (fig. 3), aumentando o nível
de significância.
Um componente crítico na estrutura da tela é o tamanho do seu poro. Conforme
classificara Amid
12
, os poros de telas macroporosas apresentam diâmetro superior a 100 µm e
29
permitem a entrada de células de defesa e células de síntese, destacando-se os neutrófilos,
macrófagos, linfócitos, fibroblastos e neovasos. Desta forma, servem como um alicerce para a
angiogênese e para a deposição de colágeno, construindo ali um tecido conjuntivo similar a uma
nova e resistente aponeurose. Próteses cujos poros têm diâmetro inferior a 75 µm são mais
suscetíveis a infecções e a reações de corpo estranho.
27
Dos poros constituídos pela trama da
malha de Marlex
R
, 21% m um diâmetro de 350 µm, 38% de 440 µm e 41% de 540 µm (fig. 1).
O tamanho médio dos poros é de 460 µm e a porosidade da tela é de 50%. Pesa 95g/m
2
e o
filamento pesa 18,9g/1000m.
34
CICATRIZAÇÃO
A cicatrização é um processo dinâmico organizado em uma progressão de fases que se
superpõem: hemostasia, inflamação, fibroplasia, deposição de colágeno, contração da ferida e
remodelamento.
28,30,54
Uma reação inflamatória no período pós-operatório imediato é requerida
para a adequada incorporação da prótese, pois mediadores envolvidos neste processo
providenciam os elementos necessários para a regulação da defesa local e para a cicatrização.
55
O
exame histológico de telas removidas demonstra que todas elas, independentemente do tipo de
biomaterial, induzem a uma reação inflamatória aguda.
35,43
Esta reação também afeta a integração
das fibras da malha aos tecidos do hospedeiro: quanto mais intensa a reação inicial maior será o
crescimento tecidual e a integração.
17
No presente estudo, embora não houvesse sinais flogísticos
à inspeção externa da ferida operatória, durante a dissecção constatou-se que a malha
apresentava-se firmemente integrada à aponeurose e parcialmente recoberta por tecido cicatricial
aos 7 dias pós-implante. Em geral, vários tipos celulares estão envolvidos na inflamação: o
30
processo inicia no dia 1 com a incursão de neutrófilos e monócitos na ferida, com conseqüente
transformação destes em macrófagos por diversos mediadores.
56
De forma similar, também estudando a reação à tela de polipropileno na parede
abdominal de ratos Wistar, Klinge e cols
34
descrevem a aparência do tecido cicatricial
caracterizada por acúmulo contínuo de tecido colágeno quase puro, com um ápice dos sinais de
inflamação entre os dias 7 e 14 após a implantação. A reação tecidual usualmente inicia com um
pronunciado processo inflamatório através de toda a área da prótese. São observados edema e
necrose do tipo fibrinóide envolvendo os filamentos da malha com um denso infiltrado de
neutrófilos e macrófagos, que são os dois tipos celulares predominantes no início. Linfócitos e
plasmócitos são raros neste primeiro momento. O edema desaparece completamente entre duas
57
a três
34,36
semanas após a implantação. Os macrófagos costumam ter uma elevada taxa de
colonização e muitos deles transformam-se em células gigantes multinucleadas formando
granulomas epitelióides do tipo corpo estranho, enquanto os neutrófilos tendem a diminuir até
seu completo desaparecimento. Mesmo decorridos 90 dias após a implantação, os macrófagos
permanecem como as células inflamatórias dominantes.
34,36,57,58
No presente estudo, foi
encontrada uma média de 2,15 (DP 1,64) neutrófilos por campo microscópico no dia 7, com total
desaparecimento nos períodos subseqüentes (fig. 16). A ausência de neutrófilos nos tecidos
examinados após 28 dias sugere que o processo não estava ativo.
44
Contrastando com os níveis decrescentes de neutrófilos, os macrófagos e as células
gigantes apresentaram um aumento progressivo e significativo (tabs. 6 e 7), conforme o tempo
pós-operatório. Em particular, os macrófagos foram identificados como a maior população
celular associada com a reação inflamatória aos biomateriais e os seus níveis tendem a aumentar
progressivamente, como observado no presente estudo (figs. 13 e 16). Além de sua capacidade de
31
fagocitose, estas células estimulam o recrutamento de outras. A neovascularização e a
proliferação fibroblástica iniciam durante o estágio de ativação dos macrófagos, cerca de 36h
após a injúria.
36
Além dos macrófagos, os linfócitos-T demonstraram interagir com a imunidade
específica e com a resposta inflamatória inespecífica aos biomateriais, estando envolvidos no
recrutamento de macrófagos, na formação de células gigantes e influenciando na sua atividade
fagocitária.
59
O valor médio de linfócitos apresentou um aumento progressivo proporcional ao
tempo pós-implante (figs. 11 e 16). Rosch e cols
60
também descreveram uma resposta persistente
de linfócitos, 90 dias após a implantação da tela de polipropileno em ratos, comparando com o
sétimo dia.
Resumindo a análise histológica, houve um declínio total de neutrófilos e um aumento
progressivo de macrófagos, células gigantes e linfócitos, proporcional ao tempo pós-implantação
da malha. Estas diferenças foram estatisticamente significativas entre os grupos (p<0,05), tanto
pelo teste de Tukey quanto por Kruskal-Wallis, e apresentam-se detalhadas nas tabelas 4 a 7.
RETRAÇÃO DA PRÓTESE
Juntamente com a atividade das células inflamatórias, ocorre a formação do tecido
conjuntivo, através da deposição de colágeno pelos fibroblastos na matriz extracelular da
ferida.
34
A deposição de colágeno é acompanhada da contração de suas fibras e
consequentemente da ferida operatória também. A retração é um aspecto fisiológico e essencial
na cicatrização, pois diminui a área da solução de continuidade, facilitando o fechamento da
ferida.
49
Por outro lado, a retração da cicatriz leva à retração da tela utilizada para cobrir o
defeito herniário. Assim, o enrugamento e a rigidez das telas, conseqüências da fibrose, podem
ser responsáveis por dor crônica após a operação e até à recidiva da hérnia.
61
O grau de retração
32
da tela dependerá da extensão da resposta inflamatória, da formação de cicatriz resultante, do
material utilizado, da sua fixação e do seu tamanho. Ocorre inicialmente por desidratação dos
tecidos moles e depois pela maturação e cruzamento das fibras colágenas.
44
Em casos mais intensos e em que a tela não esteja firmemente fixada, ela pode até
mesmo dobrar sobre si mesma, especialmente quando utilizados biomateriais de pouca
elasticidade e poros pequenos. Taxas de retração podem variar até 50% do tamanho inicial.
40
Todos os estudos descritos a seguir foram realizados utilizando tela de polipropileno de alta
densidade, a mesma utilizada neste. Amid
12
descreveu redução de 20% em 10 meses e Paajanen
63
cita diminuição de 30% do seu tamanho original. Greca
64
encontrou uma redução média de
34,2% (DP 9,38%) na sua área, após 90 dias de sua inserção em cães. González
44
demonstrou
retração entre 15 a 65%, cuja área final ficou em 67% (45-85%) e conclui que haverá maior
integração da prótese quanto maior o tamanho dos seus poros e menos intensa será a sua retração.
Bellón
65
publicou 13,75% (DP 4,22%) de contração da superfície da prótese no 90º dia pós-
operatório em coelhos, cuja contagem de macrófagos foi de 3,82% neste período. Também
pesquisando em coelhos, Novitsky
66
observou uma diminuição de 4,6% (DP 5,1%), variando de 0
a 15,8%, após um ano da implantação. García-Ureña
67
fizeram um estudo comparativo inserindo
as telas em coelhos, em dois sítios diferentes: em um lado anteriormente à aponeurose e no outro,
no espaço pré-peritoneal. O grupo anterior apresentou taxas de retração significantemente
maiores do que o grupo pré-peritoneal. Em contraposição, as medidas de Coda
42
revelam que as
próteses podem tanto retrair, como expandir e a extensão destas alterações varia de 40% a 58,5%.
Este autor acrescentou também o fundamento de que o tamanho dos poros das telas pode ser
afetado por água destilada, solução salina, sangue, formalina, bem como implantação in vivo,
33
concluindo que fatores adicionais, além da contração dos fibrócitos, influenciam a área final do
poro, seja para mais ou para menos.
O presente estudo apresentou contração significativa da prótese (p 0,02) e mais intensa
após o 28º dia pós-operatório, da ordem de 3,75%. Embora significativo, não foi uma taxa tão
expressiva. Nos primeiros sete dias, a taxa de contração não foi significativa (p 0,64) e no 90º dia,
a retração, embora significativa (p 0,01), aparentou ser de menor intensidade do que no dia 28,
por retrair apenas 2,5%. Uma explicação plausível para o fato de haver mais retração em 28 dias
do que em 90 seria a de os ratos terem aumentado substancialmente o diâmetro abdominal com o
ganho de peso ao longo do tempo: a média de aumento de peso em 28 dias foi de 26g,
contrastando com 79g em 90 dias. Como as telas foram adequadamente inseridas e fixadas com
suturas, não houve desprendimento de suas bordas e assim poderiam ter acompanhado o
crescimento do abdome dos ratos. De qualquer forma, no planejamento do estudo foram
utilizados ratos crescidos, do mesmo sexo e idade, visando a evitar interferências nas
diferenças entre os grupos.
9
Provavelmente, se as telas tivessem sido inseridas de forma a ficarem
enrugadas, a taxa de contração teria sido maior do que quando mantidas lisas e esticadas por
suturas nas pontas, como fora realizado no estudo e na prática clínica rotineira dos autores. A
quantidade de nós em cada sutura foi constante, de forma a evitar vieses com relação a
proliferação celular por dentro da rede de nós de cada sutura e; em número de cinco, para evitar o
desprendimento dos nós passível de ocorrer em virtude da alta memória característica do fio de
nylon.
Utilizar telas com amplas margens de segurança pode ser crucial para compensar a
retração e assim evitar a recidiva por perda de cobertura protética do defeito herniário.
68
Por
outro lado, o excesso de corpo estranho presente no biomaterial tem sido implicado como causa
34
de desconforto e dor a longo prazo, motivo que levou ao desenvolvimento das telas de baixa-
densidade.
16,34,36,53,55,64,65,68
Assim como no estudo de Zieren
69
e Gonzalez
70
, esta pesquisa demonstrou uma taxa
muito pequena de contração da prótese. Desta forma, parece seguro implantar próteses com
margens de segurança maiores do que o defeito herniário visando à segurança do reforço, mas
sem exceder em demasia estas margens, visando à comodidade do paciente. Futuros estudos
dirigidos à forma da tela durante a sua inserção poderão ratificar esta questão.
35
CONCLUSÕES
1) Não houve retração significativa aos 7 dias da inserção das telas (1,75%, p 0,64); havendo
retração significativa em 28 dias de 3,75% (p 0,02) e também em 90 dias, de 2,5% (p 0,01).
2) Quanto à análise histológica, houve um declínio total de neutrófilos e um aumento
progressivo de macrófagos, células gigantes e linfócitos, proporcional ao tempo pós-implantação
da malha (p < 0,05).
36
REFERÊNCIAS
1. Franklin R, Lira OB, Filho AM. Introdução ao estudo das hérnias. In: Lira OB, Franklin R.
Hérnias – Texto e Atlas. 1ª ed, Rio de Janeiro, Rubio, 2003, p 1-18.
2. Speranzini MB, Deutsch CR. Biomateriais. In: Tratamento cirúrgico das hérnias das regiões
inguinal e crural. 1ª ed. Atheneu, 2001. Cap 5. p 57-67.
3. Schumpelick V. Special issue – Collagen. Hernia 2006; 10:453.
4. Szczesny W, Cerkaska K, Tretyn A, Dabrowiecki S. Etiology of inguinal hérnia: ultrastructure
of rectus sheath revisited. Hernia 2006; 10: 266-71.
5. Rodrigues Jr AJ, Rodrigues CJ, Cunha ACP, Yoo J. Quantitative analysis of collagen and
elastic fibers in the transversalis fascia in direct and indirect hernia. Rev Hosp Clín Fac Med S
Paulo 2002 57(6): 265-70.
6. Wolwacz JrI, Trindade MRM, Cerski CT. O colágeno em fáscia transversal de pacientes com
hérnia inguinal direta submetidos à videolaparoscopia. Acta Cir Bras 2003; 18(3): 196-202.
7. d’Acampora AJ, Joli FS, Tramonte R. Expanded polytetrafluoroethylene and polypropylene in
the repairing of abdominal wall defects in Wistar rats: comparative study. Acta Cir Bras 2006,
21(6):409-15.
8. Müller-Stich BP, Holzinger F, Kapp T, Klaiber C. Laparoscopic hiatal hernia repair. Long-
term outcome with the focus on the influence of mesh reinforcement. Surg Endosc 2006; 20: 380-
4.
9. Sorensen LT. Effect of lifestyle, gender and age on collagen formation and degradation. Hernia
2006; 10: 456-61.
10. Sorensen LT, Hemmingsen UB, Kirkeby LT, Kallehave F, Jorgensen LN. Smoking is a risk
factor for incisional hernia. Arch Surg 2005; 140(2): 119-23.
37
11. Chan G, Chan CK. A review of incisional hernia repairs: preoperative weight loss and
selective use of the mesh repair. Hernia 2005; 9: 37-41.
12. Amid PK. Classification of biomaterials, their related complications in abdominal wall hernia
surgery. Hernia 1997; 1: 15-21.
13. Falci F. Análise crítica das próteses na região inguinal. In: Silva AL. Hérnias da parede
abdominal. Clin Bras Cir CBC. Rio de Janeiro, Atheneu, 1997 ano III. V.1, p 141-51.
14. Falci F. Utilização das próteses em hérnias da parede abdominal. In: Lira OB, Franklin R.
Hérnias – Texto e Atlas. 1ª ed, Rio de Janeiro, Rubio, 2003, p 199-202.
15. d’Acampora AJ, Kestering DM, Soldi MS, Rossi LF. Experimental study comparing the
tensile strength of different surgical meshes following aponeurotic-muscle deformity synthesis on
Wistar rats. Acta Cir Bras 2007; 22(1): 47-52
16. Earle D, Romanelli J. Prosthetic materials for hernia: what’s new. Contemp Surg 2007;
63(2): 63-9.
17. Marois Y, Cadi R, Gourdon J et al. Biostability, inflammatory response, and healing
characteristics of a fluoropassivated polyester-knit mesh in the repair of experimental abdominal
hernias. Artif Organs 2000; 24: 533-43.
18. Cumberland VH. A preliminary report on the use of prefabricated nylon weave in the repair of
ventral hernia. Med J Aust 1952; 1: 143.
19. Scales JT. Discussion on metals and synthetic material in relation to soft tissues; tissue
reaction to synthetic materials. Proc R Soc Med 1953; 46: 647.
20. Silva HC, Silva AL, Oliveira CM. Peritoneum autogenous graft fibroblast: an experimental
study. Rev Col Bras Cir 2004; 31(2): 83-9.
38
21. Hutchinson RW, Chagnon M, Divilio L. Pre-clinical abdominal adhesion studies with surgical
mesh. Current Issues Technology. Business Briefing: Global Surgery 2004: 29-32.
22. Trabucchi EE, Corsi FR, Meinardi C, Cellerino P, Allevi R, Foschi DA. Tissue response to
polyester mesh for hernia repair: an ultramicroscopic study in man. Hernia 1998; 2: 107-12.
23. Usher FC, Ochsner J, Tuttle LLD Jr. Use of Marlex mesh in the repair of incisional hernias.
Am Surg 1958; 24:969.
24. Usher FC. Further observations on the use of Marlex mesh: a new technique for the repair of
inguinal hernias, Am Surg 1959; 25: 792-795.
25. Usher FC. Hernia repair with Marlex Mesh. An analysis of 541 cases. Arch Surg 1962; 84: 73-
6.
26. Lichtenstein IL, Schulman AG, Amid PK, et al. The tension-free hernioplasty. Am J Surg
1989; 157: 188.
27. Amid PK, et al. Polypropylene prostheses. In Bendavid R, Abrahamson J, Arregui ME,
editors, Abdominal Wall Hernias: Principles and management, New York, Springer-Verlag, 2001:
272-7
28. Lemchen H, Irigaray JH. Ferida pós-operatória: conduta na evolução normal e nas
complicações. In: Pitrez FAB. Pré e pós-operatório em cirurgia geral e especializada. 2ª ed.
Artmed, 2003. Cap. 15. p 130-6.
29. Stevens A, Lowe J. Histologia Humana. 1ª ed. Manole, 2001.
30. Castro CC, Rodrigues SMC. Cicatrização de feridas. In Programa de atualização em cirurgia.
Porto Alegre. Artmed, 2007; 2(4): 35-50.
31. Monaco JL, Lawrence WT. Acute wound healing an overview. Clin Plast Surg. 2003 Jan; 30
(1): 1-12.
39
32. Cohen IK, Diegelmann RF, Yager DR, Wornum IL III, Graham M, Crossland MC. Wound
Care and Wound Healing. In: Schwartz SI, editor. Principles of Surgery. 7a ed. New York: Mc
Graw-Hill; 1999. p. 263-95.
33. Ferrando JM, Vidal J, Armengol M et al. Early imaging of integration response to
polypropylene mesh in abdominal wall by environmental scanning electron microscopy
comparison of two placement techniques and correlation with tensiometric studies. World J Surg
2001; 25: 840-7.
34. Klinge U, Klosterhalfen B, Birkenhauer V, Junge K, Conze J, Schumpelick V. Impact of
polymer pore size on the interface scar formation in a rat model. J Surg Res 2002; 103: 208-14.
35. Klinge U, Klosterhalfen B, Müller M, et al. Foreign body reaction to meshes used for the
repair of abdominal wall hernias. Eur J Surg 1999; 165: 665-73.
36. Junge K, Klinge U, Rosch, Klosterhalfen B, Schumpelick V. Functional and morphologic
properties of a modified mesh for inguinal hernia repair. World J Surg 2002; 26: 1472-80.
37. Klinge U, Klosterhalfen B, Müller M, Öttinger AP, Schumpelick V. Shrinking of
polypropylene mesh in vivo: an experimental study in dogs. Eur J Surg 1998; 164: 965-9.
38. Amid PK. Herniplastia anterior sem tensão de Lichtenstein e sua comparação com as técnicas
laparoscópicas de correção das hérnias inguinais. In: Rev Col Bras Cir 1998; 99: 50-7.
39. Schumpelick W, Klinge U, Rosch R, Junge K. Lightweight meshes in incisional hernia repair.
J Min Access Surg 2006; 2(3): 117-23.
40. Schug-Pass C, Tamme C, Tannapfel A, Kückerling F. A lightweight polypropylene mesh for
laparoscopic intraperitoneal repair of abdominal wall hernias. Surg Endosc 2006; 20(3): 400-9.
41. Somerville NJ. Recent data proves new lightweight polypropylene mesh as strong as heavier
weight products. Ethicon products, Jan 6 2005.
40
42. Coda A, Bendavid R, Botto-Micca F, Bossotti M, Bona A. Structural alterations of prosthetic
meshes in humans. Hernia 2003; 7: 29-34.
43. Melo RS, Goldenberg A, Goldenberg S, Leal AT, Magno A. Effects of polypropylene
prosthesis placed by inguinotomy in the preperitonial space, in dogs: evaluation laparoscopic and
microscopic. Acta Cir Bras 2003; 18(4): 289-96
44. Gonzalez R, Fugate K, McClusky D, Ritter EM, Lederman A, Dillehay D et al. Relashionship
between tissue ingrowth and mesh contraction. World J Surg 2005; 29: 1038-43.
45. Mathews BD, Pratt BL, Pollinger HS, Backus CL, Kercher KW, Sing RF et al. Assessment of
adhesion formation to intra-abdominal polypropylene mesh and polytetrafluoroethilene mesh. J
Surg Res 2003; 114: 126-32.
46. Gianlupi A, Trindade MRM. Comparação entre o uso de fio inabsorvível (polipropileno) e fio
absorvível (poliglactina 910) na fixação da prótese de polipropileno em correção de defeitos
músculo-aponeuróticos da parede abdominal. Estudo experimental em ratos. Acta Cir Bras 2004;
19(2): 94-102.
47. Schumpelick V, Arit G, Schlachetzi A et al. Chronic inguinal pain after transperitoneal mesh
implantation. Case report of mesh shrinkage. Chirurg 1998; 69: 489-91.
48. Gil SM, Polito W, Campos Jr CP, Gil BZ, Centurion LM, Rodrigues LFD. Polypropylene
mesh: study of the effect of sterilization in the structure of a mesh fragment reused in hernia
surgery. Rev Col Bras Cir 2005; 32(4): 188-91.
49. Nien YD, Man YP, Tawil B et al. Fibrinogen inhibits fibroblast-mediated contraction of
colagen. Wound Repair Regen 2003; 11: 380-5.
50. Pandot AS, Henry JA. Design of surgical meshes – an engineering perspective. Technol Health
Care 2004. 12:51.
41
51. Cassar K, Munro A. Surgical treatment of incisional hernia. Br J Surg 2002. 89:534.
52. Mahmoud Uslu HY, Erkek AB, Cakmak A, et al. Incisional hernia treatment with
polypropylene graft: results of 10 years. Hernia 2006; 10: 380-4.
53. Weyle D, Belyaev O, Müller C, Meurer K, Bauer KH, Papapostolou G, Uhl W. Improving
outcomes in hernia repair by the use of light meshes A comparison of different implant
constructions based on a critical appraisal of the literature. World J Surg 2007; 31: 234-44.
54. Steed DL. Wound-healing trajectories. Surg Clin North Am 2003. 83:547.
55. Di Vita G, Milano S, Frazzetta M, et al. Tension-free hernia repair is associated with an
increase in inflammatory response markers against the mesh. Am J Surg 2000; 180:203-7.
56. Lingen MW. Role of leukocytes and endothelial cells in the development of angiogenesis in
inflammation and wound healing. Arch Pathol Lab Med 2001;125:67.
57. Klosterhalfen B, Klinge U, Schumpelick V, et al. Polymers in hernia repair common
polyester vs. polypropylene surgical meshes. J Mat Science 2000; 35: 4769-76.
58. Vaz M, Krebs RK, Trindade EN, Trindade MRM. Fibroplasia after polypropylene mesh
implantation for abdominal wall hernia repair in rats. Acta Cir Bras 2009; 24(1): 19-25.
59. Van Luyn MJ, Khouw IM, van Wachem PB, et al. Modulation of the tissue reaction to
biomaterials. II. The function of T cells in the inflammatory reaction to crosslinked collagen
implanted in T-cell-deficient rats. J Biomed Mater Res 1998; 39:398.
60. Rosch R, Junge K, Schachtrupp U, Klinge B, Klosterhalfen B, Shumpelick V. Mesh implants
in hernia repair. Inflammatory cell response in a rat model. Eur Surg Res 2003; 35: 161-6.
61. Bouillot JL, Servajean S, Berger N, et al. Comment choisir une prothese pour le traitement des
eventrations abdominals? Ann Chir 2004; 129:132.
42
62. Schug-Pass C, Tamme C, Tannapfel A, et al. A lightweight polypropylene mesh for
laparoscopic intraperitoneal repair of abdominal hernias: Comparison of biocompatibility with the
Dualmesh in an experimental study using the porcine model. Surg Endosc 2006; 20: 402.
63. Paajanen TI, Hermunen TI. Long-term pain and recurrence after repair of ventral incisional
hernias by open mesh: clinical and MRT study. Langenbecks Arch Surg 2004; 389(5): 366.
64. Greca FH, Souza-Filho ZA, Giovanini A, Rubin MR, Kuenzer RF, Reese FB, Araujo LM. The
influence of porosity on the integration histology of two polypropylene meshes for the treatment
of abdominal wall defects in dogs. Hernia 2008; 12: 45-9.
65. Bellón JM, Rodríguez M, García-Honduvilla N, et al. Partially absorbable meshes for hernia
repair offer advantages over non-absorbable meshes. Am J Surg 2007; 194: 68-74.
66. Novitsky YW, Harrell AG, Cristiano JA, et al. Comparative evaluation of adhesion formation,
strength of ingrowth, and textile properties of prosthetic meshes after long-term intra-abdominal
implantation in a rabbit. J Surg Res 2007; 140: 6-11.
67. García-Ureña MA, Ruiz VV, Godoy AD, Perea JMB, Gómez LMM, Hernández FJC, García
MAV. Differences in polypropylene shrinkage depending on mesh position in an experimental
study. Am J Surg 2007; 193: 538-42.
68. Klosterhalfen B, Junge K, Klinge U, et al. The lightweight and largo porous mesh concept for
hernia repair. Export Rev Med Devices 2005; 2: 103.
69. Zieren J, Maecker F, Neuss H, et al. Trevira mesh: a promising new implant for the treatment
of abdominal hernias. Langenbecks Arch Surg 2002; 387: 8.
70. Gonzalez R, Ramshaw BJ. Comparison of tissue integration between polyester and
polypropylene prostheses in the preperitonial space. Am Surg 2003; 69: 471.
43
ARTIGO ORIGINAL
Encaminhado para a Revista Hernia
44
RETRACTION AND FIBROPLASIA IN A POLYPROPYLENE PROSTHESIS:
EXPERIMENTAL STUDY IN RATS
ABSTRACT
Purpose and Background. The treatment of hernia, independent of anatomical site and
technique utilized, generally involves using prostheses which may cause complications, despite
their unarguable advantage in allowing safe reinforcement. An example of this is possible
retraction which causes discomfort and hernia recurrence. Polypropylene is still the most used of
the great number of biomaterials available. The purpose of this study is to evaluate the amount of
retraction of the polypropylene mesh, as well as the histological reactions that accompany this
phenomenon.
Methods. Polypropylene meshes (Marlex
R
) were inserted in an anterior position to the whole
abdominal aponeurosis of 25 Wistar rats (Ratus novergicus albinus). The animals were divided
into groups and another intervention was performed 7, 28 and 90 days later to measure the
dimensions of the prostheses and to calculate the final area. Histological analysis was performed
with hematoxylin-eosin to evaluate neutrophils, macrophages, giant cells and lymphocytes
surrounding the mesh threads, in 10 random fields of each slide.
Results. Seven days after the mesh was inserted, the mean rate of retraction was 1.75% (p 0.64);
at 28 days it was 3.75% (p 0.02), and at 90 days, 2.5% (p 0.01). As to the histological analysis,
there was a total decline of neutrophils and a progressive increase of macrophages, giant cells
and lymphocytes, proportional to the post-implant time of the mesh (p < 0.05).
45
Conclusion. There was a statistically significant retraction of 3.75% at 28 days and 2.5% at 90
days after the prosthesis was inserted. There is a well-established sequence of cellular events
which aim at synthesizing new connective tissue to reinforce the mesh.
Keywords. Abdominal wall; Hernia; Prostheses and Implants; Surgical Mesh; Wound Healing
46
INTRODUCTION
Hernioplasties are among the most often performed worldwide, either by
videolaparoscopic access or by conventional approach. These procedures, using prostheses,
especially polypropylene, have definitely become the treatment of choice, due to ease, speed,
low morbidity and low rate of recurrence [1-11,14,15].
However, the implantation of broad synthetic meshes has been associated with some
complication, such as the induction of seromas, late bacterial infections and mesh retraction. The
latter is a well-documented phenomenon which usually occurs within 2 months after prosthesis
implantation. Its cause is unknown, but it is suggested that it occurs as a result of tissue growth
inside the mesh, and it has been associated with discomfort, pain and hernia recurrence. There
are few experimental studies that seek to evaluate contraction or not of synthetic meshes,
quantify this change and find out the precise mechanisms, and their results are very variable. A
few studies indeed present contradictory results, paradoxically referring to the expansion of the
mesh and its pores [8,16,18,21-25].
It is very useful to know whether a prosthesis retracts and to what extent, so that the
surgeon will leave an adequate safety margin of mesh, avoiding overstretching it, so that the
reconstitution will remain tension-free. Otherwise, if the mesh is too small, there would be a
greater chance of hernia recurrence when retraction occurs. On the other hand, excessively large
margins increase the amount of foreign body and patient discomfort. Thus, it is important to
know the retraction rate of the biomaterial.
The purpose of this study is to evaluate the degree of retraction of the polypropylene
mesh and the histological reactions that accompany this phenomenon.
47
METHODS
Place of study
The study was performed in the Animal Experimentation Unit (UEA- Unidade de
Experimentação Animal) of the Research Center (CP- Centro de Pesquisa) at Hospital de
Clínicas de Porto Alegre (HCPA), with funding from FIPE -Fundo de Incentivo à Pesquisa e
Eventos.
Sampling
Twenty-five male Wistar rats (Ratus novergicus albinus) were used, approximately 3
months old, weighing on average 324g (SD 28g, CI95% 312-336g), kept at constant temperature
conditions with controlled light/dark cycles, handled according to the rules established by the
Brazilian College of Animal Experimentation (COBEA) and Council for International
Organization of Medical Sciences (CIOMS) ethical code for animal experimentation.
Prosthetic material
Prosthesis of high-density monofilamentary polypropylene – Marlex ® (Bard, UK)
Surgical technique
The animals were anesthetized with a mixture of Ketamine (8mg/100g) and Xylazine
(0,8mg/100g) administered intraperitoneally (IP). The hair was removed immediately before the
surgical procedure, followed by antisepsis with iodopovidone and covered with sterilized drapes.
Complementing the anesthesia, the animals received bupivacaine 0.5%, with a subcutaneous
48
vasoconstrictor in the abdominal midline. After a median incision of 2 to 3 cm and broad
undermining of the subcutaneous tissue of the anterior abdominal fascia, 2x2cm polypropylene
meshes were inserted there, fixed at the ends with simple 4.0 nylon sutures so that they would
remain stretched and smooth (fig.1). The principles of asepsis were strictly followed, as well as
meticulous tissue dissection. No electrocautery or prophylactic antibiotics were used.
Observation periods
After recovery during the immediate postoperative period in an incubator, the rats
returned to their boxes and were allowed to eat chow and drink water ad libitum. All were
evaluated daily looking for local and/or systemic complications.
Study groups
The animals (n=25) were divided into three groups, according to the date of euthanasia:
eight on the seventh day postoperatively (group 1); eight on the twenty-eighth day (group 2); and
nine on the ninetieth day (group 3), for morphological evaluation (macro and microscopic).
Necropsy and morphological analysis
After euthanasia in a CO
2
chamber on the pre-determined dates, the animals were again
dissected, with wide exposure of the anterior abdominal aponeurosis, to measure the dimensions
of the vertical and horizontal edges of the meshes. Then the prostheses were removed en bloc
with the whole thickness of the abdominal wall affixed to it (fig. 2) and soaked in 10% formalin,
and then in paraffin blocks. Fine sections (4µm) were stained in Hematoxylin-Eosin (HE). Using
a blind trial, a pathologist evaluated all the specimens, in ten random fields of each sample,
49
quantifying the following items: neutrophils, macrophages, giant cells and lymphocytes. The
macrophages were quantified according to the number of times they wrapped around each mesh
filament.
Statistical analysis
Statistical analysis was performed using the Statistical Package for Social Sciences
(SPSS) 13.0. For the macroscopic findings, the continuous parametric data were analyzed using
the bicaudal Student t test. Analysis of variance (ANOVA) was used among the groups for
multiple comparisons of the quantitative variables (neutrophils, macrophages, giant cells and
lymphocytes), evaluated using parametric (Tukey and Dunnet) and non parametric tests (Kruskal-
Wallis). All the data were presented as Mean and Standard Deviation (SD). Significance was
accepted with a P value below 0.05.
RESULTS
All 25 rats developed favorably during the postoperative period, without any evidence
of complications: none presented seromas, hematomas or infection of the surgical site. There
were no deaths. The mean weight gain per groups is shown in figure 3.
Macroscopic analysis
Group 1 (day 7)
The total area of the mesh was calculated as the product of the measures of the
horizontal and vertical edges, presenting a mean of 3.93 cm
2
(SD 1.136; SE 0.049 and CI 95%
3.86 to 4.09). For a bicaudal level of significance, the value of P was 0.647. Thus, the retraction
presented, 1.75% was not considered significant. The mean weight gain was 9g.
50
Group 2 (day 28)
The area of the prosthesis presented a reduction to 3.85 cm
2
(SD 0.13; SE 0.04 and CI
95% 3.73 to 3.96). The bicaudal level of significance was 0.02, and therefore there was a
significant contraction of 3.75%.The mean weight gain was 26 g.
Group 3 (day 90)
With a final area of 3.91 cm
2
(SD 0.08; SE 0.02 and CI 95% 3.85 to 3.97) and a
bicaudal P of 0.01, there was a 2.5% reduction of the mesh surface. The mean weight gain was
79g. .
Microscopic Analysis
The optical microscopy exam showed that the prosthesis had been incorporated
adequately to the host (figures 4, 5 and 6). Figure 7 shows the proportions of the different types
of cells during each period. The cell count is detailed below:
Neutrophils
The mean number of neutrophils per microscopic field was 2.15 (SD=1.64) 7 days
postoperatively, dropping to zero during the evaluations performed after 28 and 90 days (see
detailed statistical analysis in table 1).
Macrophages
Conversely, the other cell types presented a progressive increase (fig. 7). The mean
number of times the macrophages (fig. 5) were wound around the mesh threads was 1.16 (SD
0.48) on the 7th day; 3.43 (SD 0.46) on the 28th day; and 4.01 (SD 0.43) on the 90th day
postoperatively (tab. 2).
51
Giant cells
The giant cells (fig. 6) presented a mean of 1.98 (SD 1.45) on the 7th day; 6.14 (SD 1.54)
on the 28th day and 8.71 (SD 0.90) on the 90th day (tab.3).
Lymphocytes
The mean number of lymphocytes was 3.42 (SD 1.62), 4.91 (SD 1.59) and 5.37 (SD 0.69)
on days 7, 28 and 90, respectively (tab. 4).
There was a total decline of neutrophils and a progressive increase of macrophages, giant
cells and lymphocytes proportional to the post-mesh implant time. These differences were
statistically significant between the groups (p<0.05), both according to the Tukey test and the
Kruskal-Wallis.
52
DISCUSSION
There are different types of biomaterial for hernia surgery. The biocompatibility
qualities were well established by Cumberland [6] and Scales [7]: the ideal prosthesis cannot be
altered in organic fluids, or produce foreign body reactions, it must be chemically inert, non-
carcinogenic, non-allergenic, able to resist mechanical stresses, act as a framework for the
synthesis of connective tissue and collagen deposition, and it must be possible to sterilize without
changing its physicochemical characteristics, even in an autoclave. An adequate and well-known
representative of these characteristics is polypropylene[26]. Besides, this is the most used
biomaterial worldwide [10-12,15].
In this study the polypropylene meshes are good
representatives of the characteristics described: the 25 rats had a favorable postoperative
evolution without any evidence of complications, despite broad aponeurotic undermining and the
presence of the foreign body. None presented seromas, hematomas or infection of the surgical
site. No deaths occurred. All maintained their normal habits, feeding well, gaining weight (fig.4)
and with adequate healing.
In determining the sample size, the number of rats needed to obtain a significant result
would be approximately eight in each group. In group 3 (90 days) one more rat was used in order
to maintain an adequate sample size until the last day, if one of the rats were to present a
complication or die, which would exclude it from the study. Since all did well, all of them were
included in the results, increasing the level of significance.
A critical component of the mesh structure is pore size. As had been classified by Amid
[8,15], the macroporous mesh pores presented a diameter greater than 100 µm and allowed
defense cells and synthesis cells to penetrate, mainly neutrophils, macrophages, lymphocytes,
fibroblasts and neovessels. Thus they provided a foundation for angiogenesis and for collagen
53
deposition, building connective tissue there which is similar to a new, resistant aponeurosis. Of
the pores constituted by thee Marlex ® mesh web, 21% are 350 µm in diameter, 38% 449 µm and
41% 540 µm. The mean size of the pores is 460 µm and the porosity of the mesh is 50%. It
weighs 95g/m
2
and the filament weighs 18.9g/1000m [27].
Healing is a dynamic process organized into a progression of superposed phases:
hemostasis, inflammation, fibroplasia, collagen deposition, wound contraction and remodelling.
An inflammatory reaction during the immediate postoperative period is required for the adequate
incorporation of the prosthesis, since mediators involved in this process provide the necessary
elements to regulate local defense and for healing. The histological examination of meshes
removed shows that all of them, independent of type of biomaterial, induce an acute
inflammatory reaction [16,18,19]. This reaction also affects the integration of the mesh fibers to
the host tissues: the more intense the initial reaction, the greater will be the tissue growth and
integration [28]. In the present study, although there were no phlogistic signs at external
inspection of the surgical wound, during dissection it was found that the mesh was firmly
integrated to the aponeurosis and partially covered by scar tissue 7 days post-implant. In general,
several cell types are involved in inflammation: the process begins on day 1 with the incursion of
neutrophils and monocytes into the wound, and their consequent transformation into
macrophages by several mediators [29].
Similarly, also studying the reaction to the polypropylene mesh in the abdominal wall of
Wistar rats, Klinge et cols [27] describe the appearance of the scar tissue characterized by the
continuous accumulation of almost pure collagen tissue, reaching the highest point of
inflammatory signs between 7 and 14 days post-implant. Tissue reaction usually begins with a
marked inflammatory process throughout the prosthesis area. Edema and fibrinoid type necrosis
54
are observed, enveloping the mesh filaments in a dense infiltrate of neutrophils and macrophages,
which are the two cell types that initially predominate. Lymphocytes and plasmocytes are rate at
this first moment. The edema completely disappears between two [10] to three [17,27] weeks
after implantation. The macrophages usually have a high colonization rate and many of them
become multinucleated giant cells forming foreign body type epithelioid granulomas, while the
neutrophils tend to diminish until they disappear completely. Even 90 days after implanting, the
macrophages continue to be the dominant inflammatory cells [10,17,27,30]. In this study, a mean
of 2.15 (SD 1.64) of neutrophils per microscopic field was found on day 7, disappearing
completely during the subsequent periods (fig. 7). The absence of neutrophils in the tissues
examined after 28 days suggests that the process was not active [23].
Contrasting with the decreasing levels of neutrophils, the macrophages and gian cells
presented a progressive and significant increase (tabs. 2 and 3) according to postoperative time.
The macrophages particularly were identified as the largest cell population associated with the
inflammatory reaction to biomaterials and their levels tend to rise progressively, as seen in the
present study (fig. 5 and 7). Besides their capacity for phagocytosis, these cells stimulate the
recruitment of others. Neovascularization and fibroblast proliferation begin during the
macrophage activation stage, about 36h after injury [17]. Besides the macrophages, the T
lymphocytes showed that they interact with specific immunity and with the non-specific
inflammatory response to biomaterials, and are involved in the recruitment of macrophages, the
formation of giant cells and influencing their phagocytic activity [17]. The mean value of
lymphocytes rose progressively, proportional to the post-implant time (fig. 7). Rosch et cols [31]
also described a persistent response of the lymphocytes, 90 days after the polypropylene mesh is
implanted in rats, compared to the seventh day.
55
Summarizing the histological analysis, there was a total decline of neutrophils and a
progressive increase of macrophages, giant cells and lymphocytes, proportional to the time after
the mesh is implanted. These differences were statistically significant among the groups
(p<0.05), both according to the Tukey test and the Kruskal-Wallis, and are detailed in tables 1 to
4.
Together with the activity of inflammatory cells there is the formation of connective
tissue through collagen deposition by the fibroblasts in the extracellular matrix of the wound
[2].
Collagen deposition is accompanied by the contraction of its fibers and consequently also of the
surgical wound. Retraction is a physiological aspect essential to healing, since it diminishes the
area of interruption, making it easier for the wound to close. On the other hand, scar retraction
leads to the retraction of the mesh used to cover the herniation defect. Thus, wrinkling and
stiffness of the meshes, as consequences of fibrosis, may be responsible for chronic pain after
surgery, and even for hernia recurrence. The degree of mesh retraction will depend on the extent
of the inflammatory response, resulting scar formation and biomaterial used. [8,12,16,20,23].
In more intense cases, and when the mesh is not firmly fixed, it may even turn back on
itself, especially when the biomaterials used do not have much elasticity and the pores are small.
Rates of retraction may vary up to 50% from the initial size [32]. All the studies described below
were performed using high-density polypropylene mesh, the same used in this one. Amid [8]
described a 20% reduction in 10 months and Paajanen [33] cites a 30% reduction in the original
size. Greca [20] found a mean reduction of 34.2% (SD 9.38%) in his area, 90 days after they
were inserted in dogs. González [23] demonstrated a retraction between 15 to 65%, whose final
area was 67% (45-85%) and concluded that the larger the pore size, the greater will be the
prosthesis integration, and the less intense its retraction. Bellón [34] published a 13.75% (SD
56
4.22%) contraction of the prosthesis surface on the 90th day postoperatively in rabbits, whose
macrophage count was 3.82% during this period. Also researching in rabbits, Novitsky [35]
observed a 4.6% reduction (SD 5.1%), varying from 0 to 15.8% one year after the implant was
performed. García-Ureña
[25] performed a comparative study inserting the mesh into rabbits at
two different sites: on the one side before the aponeurosis and on the other side, in the pre-
peritoneal space. As a counterpoint, the measurements by Coda [22] revealed that the prostheses
may both retract and expand, and that the extent of these alterations varies from 40% to 58.5%.
This author also added the fundamental information, that the pore size of the mesh can be
affected by distilled water, saline solution, formalin, and also by in vivo implantation, concluding
that additional factors besides fibrocyte contraction influence the final pore area, be it to become
more or less.
This study showed a significant contraction of the prosthesis (p 0.02), more intense after
the 28th day postoperatively, around 3.75%. Although significant, it was not such a major rate.
During the first seven days the contraction rate was not significant (p 0.64) and on the 90
th
day,
although retraction was significant (p 0.01), it appeared less intense than on day 28, because it
retracted only 2.5%. A plausible explanation for the fact that there is a greater retraction in 28
days than in 90 would be that the abdominal diameter of the rats increased substantially with
weight gain over time: the mean weight gain in 28 days was 26g, as opposed to 79g in 90 days.
Since the meshes were adequately inserted and fixed with sutures, their borders did not come
loose, and thus they may have kept up with the growth of the rat abdomen. Anyhow, grown rats
of the same sex and age were used in planning the study, with a view to avoiding interferences in
the differences between the groups [4] Probably, if the meshes had been inserted in a way that
made them wrinkle, the contraction rate would have been much greater than when kept smooth
57
and stretched out by sutures at the ends, as was done in study and in the routine clinical practice
of the authors.
The use of meshes with wide safety margins can be crucial to compensate for retraction
and thus avoid recurrence due to loss of the prosthetic cover of the herniation defect
[8,12,16,20,23]. On the other hand, the excess foreign body present in the biomaterial has been
involved as a cause of discomfort and pain over the long term, for which reason the low-density
meshes were developed [9,12,17,19,20,27,31,34].
As in the study by Zieren [36] and Gonzalez [37], this research showed a very small rate
of prosthesis contraction. Thus it appears safe to implant prostheses with greater safety margins
than the herniation defect, for safe reinforcement but without going excessively beyond these
margins, so that the patient will not be uncomfortable. Future studies on the mesh shape during
its insertion will be able to confirm this issue.
CONCLUSION
3) There was no significant retraction on the 7th day after mesh insertion (1.75%, p 0.64); there
was a significant retraction of 3.75% in 28 days (p 0.02) and also in 90 days, 2.5% (p 0.01).
4) There was a total decline of neutrophils and a progressive increase in macrophages, giant
cells and lymphocytes, proportional to the post implant time of the mesh (p < 0.05).
58
References
1
. Schumpelick V (2006) Special issue – Collagen. Hernia 10:453
2.
Szczesny W, Cerkaska K, Tretyn A, Dabrowiecki S (2006) Etiology of inguinal hérnia:
ultrastructure of rectus sheath revisited. Hernia 10:266-271
3.
Casanova AB, Trindade EN, Trindade MRM (2009) Collagen in the transversalis fascia of
patients with indirect inguinal hernia: a case-control study. Am J Surg 198(1):1-5
4. Sorensen LT (2006) Effect of lifestyle, gender and age on collagen formation and degradation.
Hernia 10:456-461
5. Chan G, Chan CK (2005) A review of incisional hernia repairs: preoperative weight loss and
selective use of the mesh repair. Hernia 9:37-41
6. Cumberland VH (1952) A preliminary report on the use of prefabricated nylon weave in the
repair of ventral hernia. Med J Aust 1:143
7. Scales JT (1953) Discussion on metals and synthetic material in relation to soft tissues; tissue
reaction to synthetic materials. Proc R Soc Med 46:647
8. Amid PK (1997) Classification of biomaterials, their related complications in abdominal wall
hernia surgery. Hernia 1:15-21
9. Earle D, Romanelli J (2007) Prosthetic materials for hernia: what’s new. Contemporany
Surgery 63(2):63-69
10. Klosterhalfen B, Klinge U, Schumpelick V, Tietze L (2000) Polymers in hernia repair –
common polyester vs. polypropylene surgical meshes. J Mat Science 35: 4769-4776.
11. Mahmoud Uslu HY, Erkek AB, Cakmak A, Sozener U, Soylu L, Turkcapar AG, Kuterdem E
(2006) Incisional hernia treatment with polypropylene graft: results of 10 years. Hernia 10:380-
384
59
12. Weyhe D, Belyaev O, Muller C, Meurer K, Bauer KH, Papapostolou G, Uhl W (2007)
Improving outcomes in hernia repair by the use of light meshes A comparison of different
implant constructions based on a critical appraisal of the literature. World J Surg 31:234-244
13. Usher FC, Ochsner J, Tuttle LLD Jr (1958) Use of Marlex mesh in the repair of incisional
hernias. Am Surg 24:969
14. Lichtenstein IL, Schulman AG, Amid PK et al. (1989) The tension-free hernioplasty. Am J
Surg 157:188
15. Amid PK (2001) Polypropylene prostheses. In Bendavid R, Abrahamson J, Arregui ME,
editors, Abdominal Wall Hernias: Principles and management, New York, Springer-Verlag:272-
277
16. Klinge U, Klosterhalfen B, Müller M et al. (1999) Foreign body reaction to meshes used for
the repair of abdominal wall hernias. Eur J Surg 165:665-673
17. Junge K, Klinge U, Rosch R, Klosterhalfen B, Schumpelick V (2002) Functional and
morphologic properties of a modified mesh for inguinal hernia repair. World J Surg 26:1472-1480.
18. Melo RS, Goldenberg A, Goldenberg S, Leal AT, Magno A (2003) Effects of polypropylene
prosthesis placed by inguinotomy in the preperitonial space, in dogs: evaluation laparoscopic and
microscopic. Acta Cir Bras 18(4):289-296
19. Di Vita G, Milano S, Frazzetta M et al. (2000) Tension-free hernia repair is associated with an
increase in inflammatory response markers against the mesh. Am J Surg 180:203-207
20. Greca FH, Souza-Filho ZA, Giovanini A, Rubin MR, Kuenzer RF, Reese FB, Araujo LM
(2008) The influence of porosity on the integration histology of two polypropylene meshes for
the treatment of abdominal wall defects in dogs. Hernia 12:45
60
21. Klinge U, Klosterhalfen B, Müller M, Öttinger AP, Schumpelick V (1998) Shrinking of
polypropylene mesh in vivo: an experimental study in dogs. Eur J Surg 164:965-969
22. Coda A, Bendavid R, Botto-Micca F, Bossotti M, Bona A (2003) Structural alterations of
prosthetic meshes in humans. Hernia 7:29-34
23. Gonzalez R, Fugate K, McClusky D, Ritter EM, Lederman A, Dillehay D (2005)
Relashionship between tissue ingrowth and mesh contraction. World J Surg 29:1038-1043
24. Mathews BD, Pratt BL, Pollinger HS, Backus CL, Kercher KW, Sing RF (2003) Assessment
of adhesion formation to intra-abdominal polypropylene mesh and polytetrafluoroethilene mesh. J
Surg Res 114:126-132.
25. García-Ureña MA, Ruiz VV, Godoy AD, Perea JMB, Gomez LMM, Hernandez FJC, Garcia
MAV (2007) Differences in polypropylene shrinkage depending on mesh position in an
experimental study. Am J Surg 193:538-542
26. Pandot AS, Henry JA (2004) Design of surgical meshes – an engineering perspective.
Technol Health Care 12:51
27. Klinge U, Klosterhalfen B, Birkenhauer V, Junge K, Conze J, Schumpelick V (2002) Impact
of polymer pore size on the interface scar formation in a rat model. J Surg Res 103:208-214
28. Marois Y, Cadi R, Gourdon J (2000) Biostability, inflammatory response, and healing
characteristics of a fluoropassivated polyester-knit mesh in the repair of experimental abdominal
hernias. Artif Organs 24:533-543
29. Lingen MW (2001) Role of leukocytes and endothelial cells in the development of
angiogenesis in inflammation and wound healing. Arch Pathol Lab Med 125:67
30. Vaz M, Krebs RK, Trindade EN, Trindade MRM (2009) Fibroplasia after polypropylene
mesh implantation for abdominal wall hernia repair in rats. Acta Cir Bras 24(1):19-25
61
31. Rosch R, Junge K, Schachtrupp U, Klinge U, Klosterhalfen B, Schumpelick V (2003) Mesh
implants in hernia repair. Inflammatory cell response in a rat model. Eur Surg Res 35:161-166
32. Schug-Pass C, Tamme C, Tannapfel A (2006) A lightweight polypropylene mesh for
laparoscopic intraperitoneal repair of abdominal hernias: Comparison of biocompatibility with
the Dualmesh in an experimental study using the porcine model. Surg Endosc 20:402
33. Paajanen TI, Hermunen TI (2004) Long-term pain and recurrence after repair of ventral
incisional hernias by open mesh: clinical and MRT study. Langenbecks Arch Surg 389(5):366
34. Bellón JM, Rodríguez M, García-Honduvilla N, Pascual G, Buján J (2007) Partially
absorbable meshes for hernia repair offer advantages over non-absorbable meshes. Am J Surg
194:68-74
35. Novitsky YW, Harrell AG, Cristiano JA, Paton L, Norton J, Peindl RD, Kercher KW,
Heniford T (2007) Comparative evaluation of adhesion formation, strength of ingrowth, and
textile properties of prosthetic meshes after long-term intra-abdominal implantation in a rabbit. J
Surg Res 140:6-11
36. Zieren J, Maecker F, Neuss H (2002) Trevira mesh: a promising new implant for the
treatment of abdominal hernias. Langenbecks Arch Surg 387:8-13
37. Gonzalez R, Ramshaw BJ (2003) Comparison of tissue integration between polyester and
polypropylene prostheses in the preperitonial space. Am Surg 69:471-476
62
FIGURES
Fig. 1. Polypropylene prosthesis fixed to the anterior fascia.
Fig 2. Prosthesis integrated to the abdominal wall removed
63
331,375
309,25
331,5555556
340,75
335,25
409,9666667
0
100
200
300
400
500
600
700
800
1 2 3
Group
Final weight (g)
Initial weight (g)
Fig. 3. Comparison of the mean weight gain among the rats.
Fig. 4. Photomicrograph shows complete incorporation of the prosthesis 28 days post-implant. Macrophages, giant
cells and lymphocytes are found (HE, 100x)
64
Fig. 5. Photomicrograph of two polypropylene filaments wrapped in several layers of macrophages, on the 7
th
day
post implant (HE, 400x).
65
Fig. 6. Presence of multinucleated giant cells 90 days post implant (HE, 200x)
0
1
2
3
4
5
6
7
8
9
10
7 28 90
Day after mesh implantation
Mean
Neutrophils
Laps of macrophages
Giant Cells
Lymphocytes
Fig. 7. Comparison between the cells studied at 7, 28 and 90 days after prosthesis implantation.
66
TABLES
Table 1: Evaluation of histological results – neutrophils
Post Hoc Tests – Multiple comparisons (Tukey Test)
95% Confidence Interval
(I) Group (J) Group Mean
Difference*
(I-J)
Std. Error
Sig.
Lower
Bound
Upper
Bound
2 2,15
0.4629 0.000 0.987 3.313
1
3 2,15
0.4499 0.000 1.020 3.280
1 -2,15
0.4629 0.000 -3.313 -0.987
2
3 0
0.4499 1.000 -1.130 1.130
1 -2,15
0.4499 0.000 -3.280 -1.020
3
2 0
0.4499 1.000 -1.130 1.130
*The mean difference is significative at the 0.05 level
Table 2: Evaluation of histological results – laps of macrophages around each filament of mesh
Post Hoc Tests – Multiple comparisons (Tukey Test)
95% Confidence Interval
(I) Group (J) Group Mean
Difference*
(I-J)
Std. Error
Sig.
Lower
Bound
Upper
Bound
2
-2.2750 0.2308 0.000 -2.855 -1.695
1
3
-2.8486 0.2243 0.000 -3.412 -2.285
1
2.2750 0.2308 0.000 1.695 2.855
2
3
-0.5736 0.2243 0.045 -1.137 -0.010
1
2.8486 0.2243 0.000 2.285 3.412
3
2
0.5736 0.2243 0.045 0.010 1.137
* The mean difference is significative at the 0.05 level
67
Table 3: Evaluation of histological results – Giant cells
Post Hoc Tests – Multiple comparisons (Tukey Test)
95% Confidence Interval
(I) Group (J) Group Mean
Difference*
(I-J)
Std. Error
(SE)
Sig.
Lower
Bound
Upper
Bound
2
-4.163 0.657 0.000 -5.810 -2.510
1
3
-6.736 0.639 0.000 -8.340 -5.130
1
4.163 0.657 0.000 2.510 5.810
2
3
-2.574 0.639 0.002 -4.180 -0.970
1
6.736 0.639 0.000 5.130 8.340
3
2
2.574 0.630 0.002 0.970 4.180
* The mean difference is significative at the 0.05 level
Table 4: Evaluation of histological results – Lymphocytes
Post Hoc Tests – Multiple comparisons (Tukey Test)
95% Confidence Interval
(I) Group (J) Group Mean
Difference*
(I-J)
Std. Error
(SE)
Sig.
Lower
Bound
Upper
Bound
2
-1.4875 0.6212 0.064 -3.048 0.073
1
3
-1.9528 0.6037 0.010 -3.469 -0.436
1
-1.4875 0.6212 0.064 -0.073 3.048
2
3
-0.4653 0.6037 0.724 -1.982 1.051
1
1.9528 0.6037 0.010 0.436 3.469
3
2
0.4653 0.6037 0.724 -1.051 1.982
* The mean difference is significative at the 0.05 level
68
D541r Dias, Luciano Zogbi
Retração e fibroplasia em prótese de polipropileno
estudo experimental em ratos / Luciano Zogbi Dias ; orient.
Manoel Roberto Maciel Trindade. – 2009.
68 f. : il. color.
Dissertação (mestrado) – Universidade Federal do Rio
Grande do Sul. Faculdade de Medicina. Programa de Pós-
Graduação em Medicina: Ciências Cirúrgicas. Porto Alegre,
BR-RS, 2009.
1. Hérnia 2. Telas cirúrgicas 3. Parede abdominal 4.
Modelos animais 5. Cicatrização de feridas I. Trindade,
Manoel Roberto Maciel II. Título.
NLM: WI 950
Catalogação Biblioteca FAMED/HCPA
Livros Grátis
( http://www.livrosgratis.com.br )
Milhares de Livros para Download:
Baixar livros de Administração
Baixar livros de Agronomia
Baixar livros de Arquitetura
Baixar livros de Artes
Baixar livros de Astronomia
Baixar livros de Biologia Geral
Baixar livros de Ciência da Computação
Baixar livros de Ciência da Informação
Baixar livros de Ciência Política
Baixar livros de Ciências da Saúde
Baixar livros de Comunicação
Baixar livros do Conselho Nacional de Educação - CNE
Baixar livros de Defesa civil
Baixar livros de Direito
Baixar livros de Direitos humanos
Baixar livros de Economia
Baixar livros de Economia Doméstica
Baixar livros de Educação
Baixar livros de Educação - Trânsito
Baixar livros de Educação Física
Baixar livros de Engenharia Aeroespacial
Baixar livros de Farmácia
Baixar livros de Filosofia
Baixar livros de Física
Baixar livros de Geociências
Baixar livros de Geografia
Baixar livros de História
Baixar livros de Línguas
Baixar livros de Literatura
Baixar livros de Literatura de Cordel
Baixar livros de Literatura Infantil
Baixar livros de Matemática
Baixar livros de Medicina
Baixar livros de Medicina Veterinária
Baixar livros de Meio Ambiente
Baixar livros de Meteorologia
Baixar Monografias e TCC
Baixar livros Multidisciplinar
Baixar livros de Música
Baixar livros de Psicologia
Baixar livros de Química
Baixar livros de Saúde Coletiva
Baixar livros de Serviço Social
Baixar livros de Sociologia
Baixar livros de Teologia
Baixar livros de Trabalho
Baixar livros de Turismo