Download PDF
ads:
Universidade Federal de Pernambuco
Centro de Ciências da Saúde
Pós-graduação em Medicina Tropical
Jane Mary Alves da Silva
Retinocoroidite toxoplásmica em pacientes
com aids e neurotoxoplasmose
Recife - 2009
ads:
Livros Grátis
http://www.livrosgratis.com.br
Milhares de livros grátis para download.
Jane Mary Alves da Silva
Retinocoroidite toxoplásmica em pacientes
com aids e neurotoxoplasmose
Recife - 2009
Dissertação aprovada pelo Centro de Ciências da
Saúde da Universidade Federal de Pernambuco,
como requisito para obtenção do título de Mestre em
Medicina Tropical
Orientadora: Profª. Drª. Vera Magalhães da Silveira
ads:
Silva, Jane Mary Alves da
Retinocoroidite toxoplásmica em pacientes com
AIDS e neurotoxoplasmose / Jane Mary Alves da Silva
.
– Recife : O Autor, 2009.
90 folhas : il., fig., tab.
Dissertação (mestrado) Univers
idade Federal de
Pernambuco. CCS. Medicina Tropical, 2009.
Inclui bibliografia, anexo e apêndices.
1. Toxoplasmose ocular. 2. AIDS
. 3.
Neurotoxoplasmose. I. Título.
617.73 CDU (2.ed.) UFPE
610.736 77 CDD (21.ed.) BC2009-019
UNIVERSIDADE FEDERAL DE PERNAMBUCO
REITOR
Prof. Dr. Amaro Lins
PRÓ-REITOR PARA ASSUNTOS DE PESQUISA E PÓS-GRADUAÇÃO
Prof. Dr. Anísio Brasileiro
COORDENADOR DO PROGRAMA DE PÓS-GRADUAÇÃO EM MEDICINA
TROPICAL
Prof
a
. Dr
a
. Heloísa Ramos Lacerda de Melo
VICE-COORDENADORA DO PROGRAMA DE PÓS-GRADUAÇÃO EM
MEDICINA TROPICAL
Prof
a
. Dr
a
. Maria Rosângela Cunha Duarte Coêlho
CORPO DOCENTE
Célia Maria Machado Barbosa de Castro
Edmundo Pessoa de Almeida Lopes Neto
Elizabeth Malagueño de Santana
Heloísa Ramos Lacerda de Melo
Luiz Cláudio Arraes de Alencar
Maria Amélia Vieira Maciel
Maria de Fátima Pessoa Militão de Albuquerque
Maria do Amparo Andrade
Maria Rosângela Cunha Duarte Coêlho
Ricardo Arraes de Alencar Ximenes
Sylvia Maria de Lemos Hinrichsen
Valdênia Maria Oliveira de Souza
Vera Magalhães da Silveira
Senhor nosso e nosso Deus!
Tu és digno de receber glória, honra e poder;
Pois criaste todas as coisas;
Por tua vontade elas foram criadas e existem.
Apocalipse 4:11
AGRADECIMENTOS
Ao meu esposo Clodoval Júnior, por todo amor e dedicação nestes 18 anos de
convivência.
Ao meu filho, Paulo Henrique, fonte de toda pureza, alegria e esperança,
obrigada por todas as lições no decorrer desses 12 anos.
Ao meu pai, João Luis, à minha mãe Maria Alves e à minha irmã Marcelly, por
me amarem incondicionalmente.
Ao meu sobrinho, Guilherme, por me fazer sempre sorrir em todos os
momentos.
À minha sogra, Maria de Lourdes, e à minha cunhada, Leila, pelo amor diário e
irrestrito.
A toda minha família, principalmente ao meu tio Valdir e meu cunhado Leandro,
pela confiança que se esconde num sorriso.
Ao meu grande amigo, Dr. Marcus Augusto Gomes de Matos, cuja ajuda
constante, nesses 10 anos de amizade, possibilitou esta pesquisa e meu
crescimento pessoal.
À minha orientadora, Drª. Vera Magalhães, por seu apoio e confiança ao longo
desses quase três anos.
Ao meu Pastor, Alexandre Maia, e a todos os irmãos na fé, pelas inúmeras
orações.
A todos os meus colegas médicos, por me ajudarem nas etapas desse
trabalho, sempre apoiando em todos os momentos.
A todos os funcionários da Universidade Federal de Pernambuco, do Hospital
Correa Picanço e do Hospital Universitário Oswaldo Cruz, pela gentileza e
cuidado tão marcantes nesses últimos dois anos.
E por fim, obrigada a todos os pacientes que me concederam o privilégio de
examiná-los, conversar e compartilhar experiências marcantes e
inesquecíveis, mesmo num momento de tanta dor.
DEDICATÓRIA
Ao meu Deus e Pai, Criador de tudo que existe,
fonte de todo amor e providência.
Ao meu Deus e irmão Jesus Cristo, meu Salvador e
Redentor, amado da minha alma.
Ao meu Deus, Espírito Santo, Consolador e
Auxiliador, Amigo de todas as horas.
Que teria acontecido se o Senhor Deus o
estivesse do nosso lado? Responda, povo de Israel!
Se o Senhor não estivesse do nosso lado, quando os
nossos inimigos nos atacaram, eles nos teriam
engolido vivos; pois, furiosos, se voltaram contra nós.
As águas nos teriam levado para longe, a enchente
nos teria coberto, e teríamos morrido afogados na
correnteza violenta.
Demos Graças a Deus que não deixou que os nossos
inimigos nos destruíssem.
Como o passarinho, nós escapamos da armadilha
do caçador. A armadilha quebrou, e ficamos livres.
O nosso socorro vem do Senhor Deus, que fez o céu
a terra.
Salmo 124
RESUMO
Pouco se tem descrito sobre o envolvimento ocular em pacientes com aids e
neurotoxoplasmose, embora as lesões retinianas sejam mais extensas e possam levar
a importante acometimento da função visual. O objetivo desta pesquisa foi verificar a
ocorrência de retinocoroidite toxoplásmica, típica ou provável, em pacientes com aids,
em curso agudo de neurotoxoplasmose. Esta tese consta de dois artigos, com
resultados de estudo prospectivo tipo série de casos envolvendo 70 pacientes, de
ambos os sexos, com idade variando entre 20 e 63 anos, internados nas enfermarias
de três hospitais públicos da cidade do Recife, Pernambuco, no período de Janeiro a
Outubro de 2008. Os pacientes se caracterizavam por: primeiro episódio de
neurotoxoplasmose em 65 (92,9%) casos e recidiva em 5 (7,1%) casos; contagem
média de linfócitos T CD4 de 139,8 ± 3,04 células/mm
3
e carga viral média igual a
137.080 ± 39.380 cópias/mL. Todos os pacientes foram submetidos a exame
oftalmológico com oftalmoscopia indireta binocular. No primeiro artigo, sob título
Retinocoroidite toxoplásmica em pacientes com aids e neurotoxoplasmose, relatou-se
que 4 (5,7%) pacientes apresentavam lesões cicatriciais de retinocoroidite,
características de toxoplasmose ocular, sendo típica em 3 (75%) pacientes e bilateral
em um, associada a baixa importante da acuidade visual. Não se diagnosticou
qualquer caso de retinocoroidite ativa, típica ou provável, concluindo-se que, lesões
ativas oculares ou cicatriciais devem ser valorizadas em pacientes com aids e
neurotoxoplasmose. No segundo artigo, sob título Achados fundoscópicos em
pacientes com aids e neurotoxoplasmose, foram relatados os diagnósticos de:
exsudatos algodonosos retinianos em 6 (8,6%) pacientes, constricção arteriolar difusa
leve em 6 (8,6%) pacientes, retinocoroidite cicatricial, característica de toxoplasmose
ocular, em 4 (5,7%) pacientes, atrofia do epitélio pigmentar em 2 (2,9%) casos,
descolamento da retina em 2 (2,9%) casos, além de outros achados menos
frequentes. Concluiu-se que pacientes com aids e neurotoxoplasmose podem
apresentar alterações fundoscópicas características de toxoplasmose, relacionadas ao
HIV ou, ainda, a outras doenças oportunistas ou sistêmicas.
Palavras-chave: Toxoplasmose ocular. Aids. Infecções oculares. Fundo de olho.
ABSTRACT
Little has been described on ocular involvement of patients with aids and
neurotoxoplasmosis, although retinal lesions are more extensive and may excite
important visual function disability. The objective of this research was to verify the
occurrence of typical or probable toxoplasmic retinochoroiditis, on patients with aids
and acute course of neurotoxoplasmosis. This thesis consists of two articles, with
results of a prospective study type series of cases involving 70 patients, of both
gender, aging from 20 to 63 years old, interned in infirmaries of three public hospitals at
Recife city, Pernambuco, Brazil, from January to October 2008. Patients were
characterized by: first episode of neurotoxoplasmosis for 65 (92.9%) cases and
recurrence for 5 (7.1%) cases; T CD4+ average counting of 139,8 ± 3,04 cells/mm
3
and
viral load average equal to 137,080 ± 39,380 copies/mL. All patients had been
submitted to ophthalmologic examination including indirect binocular ophthalmoscopy.
In the first article, under heading Toxoplasmic retinochoroiditis in patients with aids and
neurotoxoplasmosis, one reported that 4 (5.7%) patients presented retinochoroiditis
with scars, characteristics of ocular toxoplasmosis, 3 (75%) of them being of typical
type, and one, bilateral, associated to an important decrease on visual acuity. There
was no case of active, typical or probable retinochoroiditis diagnosed, and the
conclusion was that, ocular active lesion or scars of toxoplasmic retinochoroiditis must
be valued in patients with aids and neurotoxoplasmosis. In the second article, under
heading Fundoscopic findings in patients with aids and neurotoxoplasmosis, the
reported diagnosis had been: retinal cotton-wool spots exudates on 6 (8.6%) patients,
diffuse arteriolar constriction on 6 (8.6%) patients, scar of retinochoroiditis,
characteristic of toxoplasmic retinochoroiditis on 4 (5.7%) cases, atrophy of retinal
pigment epithelium on 2 (2.9%) cases, retinal detachment on 2 (2.9%) cases, beyond
other less frequent findings. It was concluded that patient with aids and
neurotoxoplasmosis can present characteristic fundoscopic alterations of
toxoplasmosis, related to the HIV or, even, to other opportunist or sistemic illnesses.
Key-words: Ocular toxoplasmosis. Aids. Ocular infections. Fundoscopy.
LISTA DE FIGURAS
Figura I 1 – Retinocoroidite provável toxoplásmica cicatricial em paciente com aids e
neurotoxoplasmose ............................................................................................... 46
Figura I 2 – Retinocoroidite típica toxoplásmica cicatricial em paciente com aids e
neurotoxoplasmose ............................................................................................... 46
Figura II.1 – Exsudatos retinianos algodonosos em olho direito em paciente com aids e
neurotoxoplasmose ............................................................................................... 61
Figura II.2 – Constricção arteriolar difusa leve em olho esquerdo em paciente com aids e
neurotoxoplasmose ............................................................................................... 61
Figura II.3– Retiinocoroidite periférica cicatricial provável em olho direito em paciente com aids
e neurotoxoplasmose ............................................................................................ 62
Figura II.4– Retinocoroidite cicatricial em paciente com aids e neurotoxoplasmose ................. 62
Figura II.5– Atrofia do epitélio pigmentar da retina, constricção arteriolar e exsudatos retinianos
em olho direito em paciente com aids e neurotoxoplasmose ............................... 63
Figura II.6– Aumento bilateral da escavação papilar em paciente com aids e
neurotoxoplasmose ............................................................................................... 63
Figura II.7– Lesão degenerativa retiniana periférica (lattice) em paciente com aids e
neurotoxoplasmose ............................................................................................... 63
Figura II.8– Macroaneurisma arterial e edema retiniano em olho esquerdo em paciente com
aids e neurotoxoplasmose..................................................................................... 64
Figura II.9– Papiledema bilateral em paciente com aids e neurotoxoplasmose......................... 64
LISTA DE TABELAS
Tabela I.1 – Distribuição das variáveis sócio-demográficas de 70 pacientes com aids e
neurotoxoplasmose – Recife, Janeiro/Outubro 2008............................................ 44
Tabela I.2 – Distribuição das características da aids de 70 pacientes com neurotoxoplasmose –
Recife, Janeiro/Outubro 2008................................................................................ 44
Tabela I.3 – Distribuição dos achados de exame oftalmológico de 70 pacientes com aids e
neurotoxoplasmose – Recife, Janeiro/Outubro 2008............................................ 45
Tabela I.4 – Distribuição da retinocoroidite de 70 pacientes com aids e neurotoxoplasmose –
Recife, Janeiro/Outubro 2008................................................................................ 45
Tabela II.1 – Distribuição das variáveis sócio-demográficas de 70 pacientes com aids e
neurotoxoplasmose – Recife, Janeiro/Outubro 2008............................................ 59
Tabela II.2 – Distribuição das comorbidades sistêmicas de 70 pacientes com aids e
neurotoxoplasmose – Recife, Janeiro/Outubro 2008............................................ 60
Tabela II.3 – Distribuição dos achados fundoscópicos de 70 pacientes com aids e
neurotoxoplasmose – Recife, Janeiro/Outubro 2008............................................ 61
LISTA DE ABREVIATURAS E SIGLAS
Aids – Síndrome da Imunodeficiência Adquirida
CDC Center of Disease Control and Prevention (Centro de Controle e
Prevenção de Doenças)
CLINOPE – Clínica de Olhos de Pernambuco
HAART Highly Active Antiretroviral Therapy (terapia antirretroviral altamente
ativa)
HIV – Vírus da Imunodeficiência Humana
IgA – Imunoglobulina A
IgG – Imunoglobulina G
IgM - Imunoglobulina M
IOR – Instituto de Olhos do Recife
OBI – Oftalmoscópio indireto binocular
MHC – Complexo maior de histocompatibilidade
PCR – Proteína C Reativa
UNAIDS Joint United Nations Programme on HIV/AIDS (Programa do Grupo
das Nações Unidas sobre HIV/AIDS)
SUMÁRIO
APRESENTAÇÃO............................................................................................ 16
REVISÃO DA LITERATURA ............................................................................ 17
PERGUNTA CONDUTORA ............................................................................. 27
OBJETIVOS ..................................................................................................... 28
Geral ............................................................................................................ 28
Específicos................................................................................................... 28
MÉTODOS ....................................................................................................... 29
Desenho do estudo...................................................................................... 29
Local do estudo............................................................................................ 29
População do estudo ................................................................................... 29
Métodos ....................................................................................................... 30
Variáveis ...................................................................................................... 31
Caracterização amostral .......................................................................... 31
Relativas ao exame oftalmológico ........................................................... 32
Operacionalização ....................................................................................... 33
Análise dos dados........................................................................................ 34
Aspectos éticos............................................................................................ 34
Artigo I - Retinocoroidite toxoplásmica em pacientes com aids e
neurotoxoplasmose .......................................................................................... 36
Resumo........................................................................................................ 38
Abstract........................................................................................................ 39
Introdução .................................................................................................... 40
Métodos ....................................................................................................... 41
Resultados ................................................................................................... 43
Discussão..................................................................................................... 46
Referências Bibliográficas............................................................................ 48
Artigo II Achados fundoscópicos em pacientes com aids e
neurotoxoplasmose .......................................................................................... 52
Resumo........................................................................................................ 54
Abstract........................................................................................................ 55
Introdução .................................................................................................... 56
Método ......................................................................................................... 57
Resultados ................................................................................................... 59
Discussão..................................................................................................... 64
Referências Bibliográficas............................................................................ 67
Considerações finais e Recomendação........................................................... 70
Referências Bibliográficas................................................................................ 73
Referências Bibliográficas da Apresentação................................................ 74
Referências Bibliográficas do Referencial Teórico....................................... 74
Referências Bibliográficas das Considerações finais e Recomendação...... 80
Apêndices......................................................................................................... 82
Apêndice A - Termo de Consentimento Livre e Esclarecido ........................ 83
Apêndice B - Ficha de coleta de dados - formulário..................................... 86
Anexo ............................................................................................................... 91
Anexo A – Aprovação do projeto de pesquisa pelo Comitê de Ética ........... 92
APRESENTAÇÃO
A toxoplasmose ocular é a causa mais comum de inflamação retiniana
em pacientes não imunocomprometidos e uma das mais importantes infecções
oculares secundárias em pacientes com aids (Silveira, 2001).
A toxoplasmose cerebral é a causa mais comum de lesão focal em
pacientes com aids e constitui a terceira condição definidora da síndrome
(Colombo et al., 2005). A frequência da toxoplasmose ocular em pacientes com
aids varia de 1% a 2% (Cunningham Jr, Margolis, 1998), mas pode chegar a
10% a 20% quando concomitante com neurotoxoplasmose (Cochereau-Massin
et al., 1992).
A identificação da discrepância entre a freqüência de acometimento
ocular em pacientes com aids e aquela quando este se associava à
toxoplasmose cerebral motivou a escolha do tema da presente pesquisa, a qual
foi reforçada pela constatação de apenas um trabalho realizado no Brasil e com
desenho retrospectivo (Zajdenweber et al., 2005).
A presente tese está composta por dois artigos. No primeiro, sob título:
Retinocoroidite toxoplásmica em pacientes com aids e neurotoxoplasmose,
apresentam-se os resultados da fundoscopia em 70 pacientes, investigados no
período de Janeiro a Outubro de 2008, internados no Hospital das Clínicas da
Universidade Federal de Pernambuco, Hospital Universitário Oswaldo Cruz da
Universidade de Pernambuco e Hospital Correa Picanço, buscando comprovar
em nível local os tipos de lesões retinianas causadas pelo parasita. No
segundo artigo, sob tema:
Achados fundoscópicos em pacientes com aids e
neurotoxoplasmose,
descreveram-se os achados fundoscópicos desses
pacientes, para contribuir com uma caracterização oftalmológica mais
detalhada das lesões que ocorrem na concomitância de aids e
neurotoxoplasmose.
REVISÃO DA LITERATURA
18
A toxoplasmose é causada por um protozoário intracelular obrigatório,
o Toxoplasma gondii, que tem larga distribuição em todo o mundo (Sukthana,
2006), com capacidade de infectar uma grande diversidade de hospedeiros
(Elkins et al., 1994).
A prevalência da toxoplasmose varia de acordo com a área geográfica
e tem sido avaliada por meio da taxa de soropositividade para anticorpos anti-
toxoplasma da classe IgG, com valores entre 16%, em algumas localidades
dos Estados Unidos da América (Dubey, 2004), e 54%, na Alemanha (Gross,
2004).
No Brasil, a taxa de soropositividade para 2001 foi estimada em 59%
(Tenter et al., 2000), a qual também varia segundo áreas geográficas. Pesquisa
realizada em Campos dos Goytacazes, Rio de Janeiro, entre 1997 e 1999,
incluindo 1.436 pessoas, constatou taxas entre 16,9% e 84,8%, segundo o
nível socioeconômico (Bahia-Oliveira et al., 2003). No estudo de Recife, em
2001, a taxa igualou-se a 75% entre 160 doadores de sangue (Coêlho et al.,
2003). Em levantamento realizado em Pelotas, Rio Grande do Sul, no período
de janeiro de 2004 a dezembro de 2005, dentre 305 pacientes submetidos a
pesquisa de anticorpos anti-toxoplasma, a taxa de soropositividade foi 45,57%
(Baccarin, Oliveira, 2007).
Em imunocompetentes, a infecção adquirida geralmente é benigna,
com parasitemia autolimitada. Disso resulta a forma clínica assintomática, na
maioria dos casos, mas em cerca de 20% o sinal mais frequente é a
linfadenomegalia associada a sintomas de febre, fadiga, dor muscular, cefaléia
e odinofagia, além de linfocitose e sintomas oculares (Burnett et al., 1998).
Essa fase pode evoluir para a forma crônica, com cistos teciduais,
controlada pelo sistema imunológico humoral e celular, envolvendo linfócitos T
e macrófagos, que são continuamente estimulados pelos antígenos do
parasita, fato este que protege o hospedeiro contra reinfecção (Wallace,
Stanford, 2008). Como resultado, a multiplicação parasitária é mais ativa e
persistente por longos períodos de tempo em tecidos imunologicamente
privilegiados, como o sistema nervoso central (Darcy, Santoro, 1994) e o olho
(Jones et al., 2006).
19
A invasão primária do rebro e do olho tem sido explicada por dois
mecanismos potenciais, ambos envolvendo a corrente sanguínea: o primeiro
por parasitas movendo-se livremente com o plasma e o segundo, pela
transferência leucocitária. Apesar de o T. gondii ser um parasita intracelular
obrigatório, ele pode se mover e sobreviver em meio contendo soro, por horas,
in vitro. Após atravessar o epitélio intestinal, ocorre a disseminação por entre
os tecidos mais profundos e a passagem através de barreiras biológicas, como
a placenta e a barreira hematoencefálica, o que lhe permite alcançar sítios
imunologicamente privilegiados (Barragan, Sibley, 2003). Nesses locais, o
parasita causa as doenças mais graves, como infecção congênita disseminada
no feto em desenvolvimento, complicações neurológicas graves em indivíduos
imunocomprometidos e doença ocular, em indivíduos saudáveis (Luft et al.,
1993).
Essa passagem de barreira e a invasão das células do hospedeiro são
dirigidas inteiramente pelo parasita, dada sua capacidade de deslizar por entre
os espaços intercelulares, sem ruptura de membrana e sem lesão residual na
célula do hospedeiro. O deslizamento é facilitado por sua forma em crescente,
côncavo-convexa e pela estrutura em espiral de seu citoesqueleto que facultam
uma trajetória helicoidal, em torno do eixo longitudinal da célula, num processo
ativo, realizado com gasto de energia (Black, Boothroyd, 2000). A
subpopulação parasitária virulenta tipo 1 exibe um fenótipo migratório de longa
distância, in vitro, que o é expressado pelos tipos não virulentos II e III
(Barragan, Sibley, 2003), o que pode explicar manifestações clínicas mais
graves nas infecções pelo tipo I, como a congênita e a ocular (Fuentes et al.,
2001, Vallochi et al., 2005).
Quanto à transferência leucocitária, o T. gondii tem a capacidade de
gerar um vacúolo parasitóforo, por meio do qual se protege da acidificação e do
processamento endocítico, bloqueia a apoptose da célula infectada e consegue
formar os cistos nos quais se multiplica no estágio de bradizoíto. Com isso,
dissemina-se via hematogênica para atingir o rebro, o olho e outros órgãos
através de leucócitos e macrófagos circulantes infectados (Dlugonska, 2008,
Laliberté, Carruthers, 2008), mas o olho não é o local mais frequente de
encistamento parasitário (Black, Boothroyd, 2000). No ser humano, cistos na
retina são raros, em imunocompetentes assim como em pacientes com aids
20
(Pecorella et al., 2000). Do exame histopatológico de 270 bulbos oculares
provenientes do banco de olhos de São Paulo, foi identificado que 8,5%
apresentavam lesões sugestivas de toxoplasmose com ausência de cistos
(Muller, 1987). Ao exame tanatoscópico de 11 pacientes com aids e
neurotoxoplasmose, não foi identificado qualquer cisto toxoplásmico nos 22
olhos examinados (Léger et al., 1997).
A doença ocular é autolimitada em indivíduos imunocompetentes e, na
maioria dos casos, as lesões têm resolução em seis a oito semanas,
independente de tratamento. As manifestações clínicas da toxoplasmose ocular
variam de acordo com a faixa etária e incluem, em adolescentes e adultos,
embaçamento da visão, baixa da acuidade visual e miiodopsias. Quando
compromete o segmento anterior do olho, provavelmente por um fenômeno de
hipersensibilidade, somam-se fotofobia, dor e hiperemia (Oréfice, 2000).
Devido a sua localização retiniana, em pacientes imunocompetentes, a
manifestação ocular da infecção por T. gondii é catalogada no grupo da
retinites. No entanto, com o decurso da lesão, ocorre o comprometimento
secundário da coróide e, neste caso, usa-se o termo retinocoroidite, fato este
de fundamental importância para explicar o comprometimento grave do corpo
vítreo. A retinocoroidite aguda necrotizante responde por 20% a 50% dos casos
de uveíte posterior no mundo todo (Holland, 2004).
A retinocoroidite pode ser unilateral ou bilateral, ativa ou cicatricial e
típica ou provável. Na lesão ativa, o primeiro sinal a aparecer é um exsudato
branco-amarelado, ocasionalmente cinza, com limites mal definidos devido ao
edema retiniano circunjacente. A coróide subjacente e, mais raramente, a
esclera estão comprometidas. A lesão tem formato oval ou circular; tamanho
variável; pode ser única, múltipla ou satélite a outra pré-existente, ter
localização periférica ou no pólo posterior retiniano, porém é sempre focal e a
vitreíte é um dado de suma importância no quadro fundoscópico da doença. A
necrose retiniana, embora precoce, se faz patente na evolução da doença
quando os fenômenos inflamatórios regridem e o exsudato diminui,
convergindo para o centro da lesão (Oréfice, 2000). Próximo à área da lesão,
podem ocorrer hemorragias, resultantes da vasculite, que é
predominantemente venular (Dodds et al., 2008).
21
Na lesão cicatricial, as margens são bem delimitadas e vários graus
de hiperplasia do epitélio pigmentar da retina, assim como atrofia
retinocoroidea. Em alguns casos, pode haver áreas de gliose retiniana,
vitreorretinopatia proliferativa, membrana neovascular subretiniana e shunts
vasculares (Tedesco et al., 2004).
As lesões típicas caracterizam-se pela presença de retinocoroidite
cicatrizada ou ativa, satélite a uma ou mais lesões cicatrizadas, enquanto que
as lesões com aspecto provável de toxoplasmose ocular são identificadas pela
presença de retinocoroidite necrosante focal típica, porém isolada (Abreu et al.,
1998).
Além das lesões ativas e cicatriciais, típicas ou prováveis, a
toxoplasmose pode promover o aparecimento de manifestações atípicas como:
toxoplasmose retiniana punctata externa, neurorretinite, neurite óptica, forma
pseudo-múltipla e uveíte anterior (Dodds et al., 2008, Silveira, 2001).
O comportamento da toxoplasmose ocular também varia segundo a
região geográfica, conforme comprovado a partir da comparação do perfil de
anticorpos de pacientes brasileiros e suecos com toxoplasmose ocular ativa, ao
identificar que, exclusivamente em brasileiros, havia: maior concentração de
IgG em humor aquoso, indicando maior freqüência de quebra de barreira
uveovascular, e significante correlação entre a concentração de IgG sérico e do
humor aquoso (Garweg, 2005). Ambas foram atribuídas, pelo menos em parte,
ao estágio em que o parasita é ingerido. No Brasil, a infecção se mais
frequentemente por ingestão de oocistos de alta virulência, presentes em água
ou alimentos contaminados com fezes de gato, enquanto que, na Europa,
predomina a infecção por pseudocistos, habitualmente de baixa virulência,
ingeridos em carnes cruas ou mal cozidas (Garweg, 2005).
As complicações das manifestações oculares da toxoplasmose
incluem: glaucoma, catarata capsular posterior, opacificação do corpo vítreo,
hemorragias vítreas, hemorragia retiniana, descolamento da retina, atrofia
óptica, edema cistóide de mácula, buraco macular, membranas epirretinianas,
membrana neovascular sub-retiniana e oclusões vasculares (Oréfice, 2000).
A retinocoroidite recorrente é uma característica da toxoplasmose.
Apesar de os mecanismos fisiopatológicos e de risco não estarem bem
definidos, tais lesões oculares, primárias ou recorrentes, são de grande
22
importância porque podem acarretar cegueira, quando acometem a região
macular. Essa recorrência pode ter como causas: reativação de cistos
retinianos, lesão derivada da resposta imunológica local, enzimas lisossomais
liberadas por dano celular (Holland, 2003), fatores hormonais, trauma, além de
modificações na relação parasita-hospedeiro em tecidos senis que abrigam os
cistos (Rao, Font, 1977).
Durante muito tempo, admitiu-se que o envolvimento intraocular da
toxoplasmose era raro nas formas adquiridas pós-natais, cuja prevalência
igualava-se a 1% a 3% dos casos (Perkins, 1973). No entanto as pesquisas
subsequentes sugeriram que podia ter havido uma modificação na história
natural da toxoplasmose ao longo do tempo. Identificaram que crianças com
infecção congênita apresentam sintomas oculares nos primeiros dois anos de
vida, com o aparecimento de novas lesões sendo raro após esse período,
enquanto que as lesões novas mais frequentemente estavam sendo
diagnosticadas em pacientes com idade média de 29 anos, o que tornava
pouco provável que tivessem sido infectados no período pré-natal. Calculando
o risco de desenvolvimento de novas lesões, na vida, concluíram que na
infecção pré-natal varia entre 6,4:100.000 a 80:100.000 pessoas, enquanto que
a mesma taxa para a infecção pós-natal, ou seja, adquirida, varia de
30:100.000 até 160:100.000. Com base nesses dados, estimou-se que entre
66% e 86% dos casos de toxoplasmose ocular eram resultado de uma infecção
no período pós-natal, ou seja, mais de dois terços dos pacientes com
retinocoroidite adquirem a infecção no período pós-natal (Gilbert, Stanford,
2000, Holland, 2004, Montoya, Lisenfeld, 2004).
Estudo realizado em um centro de referência na França classificou 425
casos de toxoplasmose ocular, como congênita ou adquirida. A origem
adquirida consistiu em: soropositividade do paciente para IgM,
soronegatividade do paciente antes das manifestações oftalmológicas, mãe
soropositiva antes da gravidez e mãe soronegativa após a gravidez. A origem
congênita consistiu nos casos em que a infecção fetal foi provada antes do
nascimento (por análise do líquido amniótico ou do sangue do cordão fetal) e
infecção infantil provada, detectada após o nascimento por manifestações
clínicas e neurológicas clássicas da toxoplasmose congênita. Diagnosticou
23,5% como adquirida e 14,6% congênita e 61,9% de origem desconhecida,
23
concluindo que as infecções adquiridas o mais frequentes que as congênitas
e que alguns desses casos foram verificados em crianças (Delair et al., 2008).
A importância dessa constatação é referida como a necessidade de
reprogramação da política de saúde pública contra toxoplasmose, voltada para
toda a população, não priorizando apenas as gestantes ou mulheres em idade
fértil. Por outro lado, a identificação definitiva da origem da infecção é
importante para determinação do prognóstico em cada grupo, porque a origem
influencia o risco e a gravidade do envolvimento ocular por esse parasita
(Delair et al., 2008, Holland, 2003).
A identificação, em 1981, da Síndrome da Imunodeficiência Adquirida
(aids) tornou-se um marco na História da humanidade. A epidemia da infecção
pelo Vírus da Imunodeficiência Humana (HIV) e da aids representa um
fenômeno global, dinâmico e instável, cuja forma de ocorrência nas diferentes
regiões do mundo depende, entre outros determinantes, dos comportamentos
individual e coletivo (Brito et al., 2000).
A estimativa, para 2007, de pacientes infectados pelo HIV, no mundo, é
de 33 milhões, com variação de 30 milhões a 36 milhões, sendo que 30,8
milhões são adultos e 15,5 milhões são mulheres. No Brasil, para o mesmo
período, são estimados 730.000 casos, variando de 600.000 a 890.000 casos,
correspondendo a uma prevalência de 0,6%, variando entre 0,5% de 0,8%
(Joint United Nations Programme on HIV/AIDS, 2008).
O diagnóstico definitivo da aids, recomendado pelo Centro de Controle
de Doenças dos Estados Unidos da América (CDC), em 1993, inclui uma
contagem de células CD4+ menor que 200 l/mm
3
ou o aparecimento de
sintomas constitucionais ou doenças oportunistas típicas da doença. Os
pacientes devem realizar testes anti-HIV obedecendo a etapas: a primeira
consiste na realização de ensaio imunoenzimático pelo método ELISA em soro
ou plasma, para detecção de anticorpos anti-HIV-1 e anti-HIV-2. Na segunda
etapa, deve-se proceder a confirmação por meio de um novo teste
imunoenzimático em paralelo ao teste de imunofluorescência para HIV. A
terceira etapa consiste ainda de confirmação sorológica pelo método Western-
Blott (Melo et al., 2004).
A infecção pelo HIV, quando não tratada, é marcada pelo declínio
progressivo das células que compõem o sistema imunológico, especialmente
24
linfócitos T CD4+, fenômeno que leva à morte por falência imune e infecções
oportunistas em um período de tempo variável (Vargas et al., 2007).
Inúmeras são as doenças oportunistas prevalentes em indivíduos com
aids. Na maior parte das vezes, trata-se de infecções latentes que reativam
diante da imunodepressão determinada pelo vírus. Pneumonia por
Pneumocystis jirovesi, retinite por citomegalovírus e encefalite toxoplásmica
encontram-se entre as doenças de maior prevalência em todos os continentes
(Melo et al., 2004), cujo risco aumenta à medida que a imunodeficiência
avança, principalmente quando a contagem de células CD4+ é menor que 100
células/mm
3
de sangue (Melo, Albuquerque, 2004).
Apesar da introdução da terapia antirretrovial altamente potente
(HAART) em pacientes com aids ter reduzido a incidência de toxoplasmose
cerebral, a prevalência ainda é responsável por uma considerável taxa de
mortalidade e morbidade, especialmente em países em desenvolvimento. No
Brasil, toxoplasmose cerebral é a mais comum causa de lesão cerebral focal
em pacientes com aids e constitui a terceira mais frequente condição definidora
da síndrome (Colombo et al., 2005).
A toxoplasmose do sistema nervoso central em pacientes com aids
resulta, na maioria dos casos, da reativação da infecção latente (Ambroise-
Thomas, Pelloux, 1993), diferente do que se tem verificado na toxoplasmose
ocular. Isso sugere que deriva de infecção primária mais do que de reativação,
na maioria dos casos (Banker, 2008, Gagliuso et al., 1990, Holland et al.,
1988).
Em pacientes com aids, as lesões oculares podem aparecer durante a
infecção sistêmica por T. gondii ou mesmo anos após (Copeland, Phillpotts,
2006). Caracterizam-se como áreas amarelo-esbranquiçadas de necrose
retiniana, com bordas mal definidas, mais frequentemente envolvendo o pólo
posterior, particularmente na região macular (Goldberg et al., 2005). Estão
presentes: infiltrado branco e edema retiniano na periferia da lesão, além de
reações celulares no vítreo. No segmento anterior, pode haver uveíte com
precipitados ceráticos e reação do tipo flare (Copeland, Phillpotts, 2006).
Por outro lado, as lesões cicatriciais apresentam pigmentação do
epitélio retiniano significantemente menos intensa que a verificada em
pacientes imunocompetentes. Isto não reflete diferentes formas de aquisição
25
da toxoplasmose, mas pode ser uma manifestação de resposta imunológica ou
inflamatória menos intensa nos pacientes com aids. Essa escassez de
pigmentação deve alertar o oftalmologista para a possibilidade de
comprometimento imunológico de pacientes com lesão ocular como evento
inaugural da aids (Arevalo et al., 1997).
A retinite toxoplásmica em pacientes com aids assemelha-se à retinite
por citomegalovírus, mas a inflamação intraocular é mais grave e as
hemorragias são raras (Banker, 2008). Além disso, diferente do que ocorre em
pacientes imunocompetentes, as lesões o multifocais ou bilaterais
(Cunningham Jr, Margolis, 1998).
Quanto às complicações do acometimento ocular por T. gondii em
pacientes com aids, Bosch-Driessen et al., em 2000, relataram o achado de 6%
de descolamento de retina em 150 pacientes com toxoplasmose ocular no
período entre 1990 e 1997. Arruda et al., em 2004, examinaram 200 pacientes
com aids e destes, 22 apresentaram retinocoroidite toxoplásmica, três
pacientes apresentaram descolamento de retina secundário a toxoplasmose
ocular e um paciente apresentava catarata secundária à uveíte toxoplásmica.
Ewert et al. (2004) descrevem um caso de obstrução venosa de ramo
associada à retinocoroidite em paciente com aids, devido a um bloqueio da
circulação retiniana nos vasos que passam através da lesão ativa ou devido à
presença de vasculite perilesional. Essa obstrução pode produzir graus de
perfusão suficiente para o desenvolvimento de neovascularização
intrarretiniana.
A toxoplasmose ocular é muito sugestiva de uma infecção
concomitante no sistema nervoso central em pacientes com aids, mas poucos
pacientes com neurotoxoplasmose apresentam retinocoroidite coexistente,
sugerindo uma provável extensão da infecção do cérebro para o olho, pelo
nervo óptico (Holland et al., 1988). Ao estudar essa afirmação, Cunningham Jr
e Margolis. (1998) estimaram em 30% a 50% a chance de um paciente com
toxoplasmose ocular apresentar neurotoxoplasmose, enquanto que 10% a 20%
dos pacientes com doença neurológica por toxoplasmose têm chance de
desenvolver o quadro ocular (Figueiredo et al., 1998).
O comportamento das infecções oculares e encefálicas pelo T. gondii
tem intrigado os pesquisadores principalmente porque ambos os ambientes
26
são privilegiados imunologicamente, ou seja, são locais nos quais antígenos
presentes não são seqüestrados, mas o ambiente modifica a indução da
imunidade sistêmica e os materiais antigênicos escapam para a circulação
geral e suprimem a expressão de inflamação imunogênica no local. Dentre as
modificações do ambiente de locais privilegiados, estão: a barreira
hematotecidual, uma ausência relativa ou completa de vasos linfáticos e um
mecanismo que possibilita a drenagem de fluídos teciduais do local
diretamente para a corrente sanguínea (Streilein et al., 1997).
Após levantamento bibliográfico do período de 1992 a 2009, nas bases
de dados Medline, Lilacs, Scielo e Scopus, verificou-se a existência de dois
estudos, ambos retrospectivos, envolvendo a pesquisa do comportamento
ocular em pacientes com aids e neurotoxoplasmose. Assim, todo estudo
prospectivo envolvendo comprometimento ocular por T. gondii tem importância
para contribuir para uma melhor compreensão dos fenômenos que ocorrem
nesse sítio imunologicamente privilegiado.
Por outro lado, especificamente em Recife, esses pacientes não
realizam de forma rotineira o exame oftalmológico. Geralmente são
encaminhados para um serviço de referência apenas quando apresentam
alguma queixa ocular, perdendo-se a oportunidade de diagnosticar alterações
oftalmológicas precocemente e com melhor prognóstico (Sampaio et al., 2000).
27
PERGUNTA CONDUTORA
Qual a ocorrência de retinocoroidite, típica ou provável, causada pelo
Toxoplasma gondii, em pacientes com aids e neurotoxoplasmose?
28
OBJETIVOS
Geral
Verificar a ocorrência de retinocoroidite, típica ou provável, causada
pelo Toxoplasma gondii em pacientes com aids e neurotoxoplasmose em fase
aguda.
Específicos
1. Determinar a ocorrência de retinocoroidite típica ou provável, em
pacientes com aids e neurotoxoplasmose em fase aguda;
2. Descrever as alterações fundoscópicas de pacientes com aids e
neurotoxoplasmose em fase aguda;
29
MÉTODOS
Desenho do estudo
Foi realizado estudo prospectivo, tipo série de casos.
Local do estudo
Foram locais de estudo as enfermarias de três hospitais, na cidade de
Recife, estado de Pernambuco: Hospital das Clínicas da Universidade Federal
de Pernambuco, Hospital Universitário Oswaldo Cruz da Universidade de
Pernambuco e Hospital Correa Picanço, que se caracterizam como públicos,
credenciados ao Sistema Único de Saúde e Referência Estadual para
atendimento a pacientes com aids.
População do estudo
A população-alvo consistiu de 70 pacientes que obedeciam aos
critérios de inclusão: idade mínima de 13 anos, independente de gênero; estar
internado em enfermaria de um dos três hospitais de referência estadual para
atendimento a pacientes com aids no período de janeiro a outubro de 2008, ter
diagnóstico firmado da Síndrome da Imunodeficiência Adquirida; ter diagnóstico
de neurotoxoplasmose, e concordar em participar do estudo por meio da
assinatura do Termo de Consentimento Livre Esclarecido (Anexo A).
Foram considerados critérios de exclusão: presença de câmara anterior
rasa, por ser contra-indicação para dilatação pupilar pelo risco de
30
desencadeamento de glaucoma agudo, e história prévia de alergia a colírios
midriáticos.
Métodos
Foi realizado exame oftalmológico que consistiu em: determinação de
acuidade visual para perto com os optotipos de Jaeger a 33 cm de distância do
globo ocular do paciente; determinação de motilidade ocular extrínseca;
inspeção ocular sob iluminação direta com lanterna; exame fundoscópico por
oftalmoscopia indireta.
Para determinação da acuidade visual para perto, inicialmente
identificou-se o uso de correção óptica pelo paciente e, nesse caso, se exigiu o
uso de lentes corretoras para realização do exame. Após o paciente assumir a
posição sentada, foi determinada a acuidade visual monocular, colocando-se a
tábua de Jaeger a 33 cm de seu globo ocular e solicitando-se a leitura dos
optotipos. O exame foi iniciado pelo olho direito. Foi considerada acuidade
visual aquela correspondente à leitura correta do optotipo de menor tamanho.
Para averiguação da motilidade ocular extrínseca, ainda com o
paciente em posição sentada, foi-lhe solicitado acompanhar com os olhos a
movimentação do foco luminoso de uma lanterna, que apontou para cada uma
oito principais posições do globo ocular, correspondentes aos oito meridianos.
A inspeção ocular desarmada consistiu em direcionar o feixe luminoso
de uma lanterna, paralelamente ao ponto externo de junção palpebral de cada
olho, para: verificar a profundidade da mara anterior, que foi classificada
como ampla, intermediária ou rasa; presença de alterações grosseiras nas
estruturas oculares, que consistiu em posição e conformação de pálpebras,
conjuntiva, transparência corneana, anomalias grosseiras na superfície iriana,
opacificações lenticulares e reflexos direto e indireto da pupila.
O exame de fundo de olho foi realizado com um oftalmoscópio indireto
binocular (OBI), com iluminação halógena elétrica mantida em suporte para
31
cabeça, modelo OHN 3.5 (EYETEC
®
), e uma lente externa de 20 dioptrias
(Volk
®
).
A fundoscopia indireta foi realizada após instilação no saco conjuntival
inferior de cada olho de três gotas de solução aquosa de tropicamida a 1%,
com intervalo de dez minutos entre as gotas. Após posicionamento do suporte
luminoso na cabeça da pesquisadora, fez-se incidir a luz sobre a lente de 20
dioptrias. A luz projetada pelo oftalmoscópio indireto atravessa a lente de 20
dioptrias e a lente de visão e entra no fundo do olho iluminando-o, para
possibilitar a observação de partes extremamente periféricas do fundo do olho.
À medida que a pesquisadora identificava estruturas oculares,
orientava o paciente para que dirigisse o olhar para posições necessárias à
observação visual de toda a área do fundo do olho (Robinett, Kahn, 2008).
Variáveis
Caracterização amostral
Para caracterização amostral, foram empregadas as variáveis
descritivas de idade (variável intervalar, contínua) expressa em anos completos
de vida; gênero (variável nominal), categorizado como masculino e feminino;
procedência (variável nominal), considerada a cidade em que o paciente
declarou ter residência, além de estado civil (variável nominal), categorizado
como solteiro, casado, viúvo, divorciado e outros estados maritais, de acordo
com a declaração verbal do paciente.
Do prontuário do paciente ainda foram obtidas informações sobre
comorbidades não oculares sistêmicas, oportunistas ou não (variável nominal),
e uso de medicação no momento da admissão (variável nominal).
Dentre as comorbidades (variável nominal), foram investigadas:
hipertensão arterial, cardiopatia, diabetes mellitus, herpes, artrite reumatóide,
tuberculose, hanseníase, sífilis, atopia medicamentosa, toxocaríase, rubéola,
espondilite anquilosante, Síndrome de Reiter, psoríase, artrite crônica juvenil,
32
Doença de Behçet, neoplasias, citomegalovirose, criptococose, candidíase,
vasculites, blastomicose, infecção pelo Pneumocystis jerovesi.
Para caracterização da aids, consideraram-se as variáveis descritivas
relativas a: carga viral (variável intervalar, contínua), contagem de células T
CD4+ (variável intervalar, contínua), conforme informações constantes no
prontuário do paciente, como também informação verbal do paciente quanto ao
uso de medicamentos para tratamento da infecção pelo HIV (variável nominal)
e regularidade (variável de razões, discreta). Quanto à carga viral e contagem
de células CD4+, foram consideradas para efeito dessa pesquisa as
determinações mais recentes, realizadas num período de até três meses
anteriores à coleta dos dados.
Relativas ao exame oftalmológico
Foi investigada história prévia de doenças oculares, por meio de
interrogatório sintomatológico e terapêutico, contemplando as variáveis
nominais: uso de lentes corretoras e de colírios, glaucoma, catarata, trauma
ocular, cirurgia ocular, inflamações oculares e reações alérgicas após uso de
colírio para dilatação pupilar.
À inspeção ocular foi investigada a presença de comorbidades
(variáveis nominais) em: pálpebras (ptose, dermatocálase, edema palpebral,
tumor palpebral, xantelasma, triquíase, ectrópio, entrópio), conjuntiva
(hiperemia, quemose, tumores, pigmentação, hemorragia subconjuntival,
secreção ocular), Iris (corectopia e sinéquias), córnea (opacificações), cristalino
(opacificação, afacia e pseudofacia), alterações nos reflexos pupilares. E
profundidade de câmara anterior (variável intervalar, contínua). A motilidade
ocular (variável nominal) foi categorizada como: normal ou alterada
(estrabismos convergente e divergente).
Ao exame fundoscópico, foram investigadas as variáveis nominais
relativas às alterações em: papila (palidez, aumento da escavação,
hiperpigmentação, edema, hiperemia, neovascularização), humor treo
(vitreíte, hemorragia vítrea, hemorragias pré-retinianas, opacificações), retina
(edema, hemorragias, roturas, descolamento, drusas, exsudatos, gliose,
33
estafiloma posterior, pigmentação, alterações vasculares, degeneração
periférica, marcas de laser, tumores, retinite, retinocoroidite, retinosquise,
necrose e snow bank”), mácula (morfologia, coloração, edema, membrana,
hemorragia e drusa) e coróide (nevus e coroidite).
A retinocoroidite foi classificada por dois sistemas: atividade e
tipicidade. Quanto à atividade (variável nominal), a retinocoroidite foi
considerada: cicatricial, na presença de margens bem delimitadas, vários graus
de hiperplasia do epitélio pigmentário e atrofia retinocoroidea; ou ativa, quando
foi possível observar lesão branco-amarelada, ocasionalmente cinza, com
limites mal definidos devido ao edema retiniano circunjacente. Quanto à
tipicidade (variável nominal), a lesão foi classificada como: pica quando
cicatrizada ou ativa, satélite a uma ou mais lesões cicatrizadas ou prováveis,
quando necrosante, focal típica, porém isolada, podendo estar em atividade ou
cicatrizada.
Operacionalização
Para assegurar uma coleta de dados mais abrangente, foi solicitado
aos médicos assistentes e residentes dos três locais de estudo que
mantivessem contato com a pesquisadora quando a internação de um paciente
que cumprisse os critérios de inclusão da pesquisa, para que o exame
oftalmoscópico pudesse ser realizado no menor espaço de tempo.
Explicado o objetivo da pesquisa ao paciente, foi-lhe solicitada a
assinatura do Termo de Consentimento Livre Esclarecido (Apêndice A),
procedendo-se à explicação do exame a que o paciente seria submetido.
A ordem de execução do exame oftalmológico foi: interrogatório
sintomatológico e terapêutico, aferição da acuidade visual, exame da
motilidade ocular, inspeção sob foco luminoso de lanterna e exame
oftalmoscópico indireto. Todas as informações obtidas foram registradas em
protocolo elaborado pela pesquisadora (Apêndice B).
34
Ao final do exame, a pesquisadora buscou no prontuário do paciente as
informações relativas a variáveis sócio-demográficas, contagem de lulas
CD4+, carga viral, uso de medicação e comorbidades sistêmicas não oculares,
mais freqüentes em pacientes com aids.
Os pacientes que apresentaram qualquer alteração no exame do fundo
de olho foram transportados, em ambulância do hospital em que estavam
internados, para a Clínica de Olhos de Pernambuco, sendo submetidos a
retinografia, em retinógrafo digital (Topcon
®
, Japão), analisada com o programa
imagem NET
®
. Esses pacientes receberam atendimento oftalmológico pela
pesquisadora, assim como todos os procedimentos terapêuticos necessários
para uma boa assistência à saúde ocular.
Todos os exames fundoscópicos foram avaliados pela pesquisadora e
por um retinólogo e um uveólogo, para nortear as decisões mais adequadas a
cada caso, no que diz respeito à propedêutica e tratamento específico.
Os resultados dos exames oftalmológicos foram anotados no
prontuário do paciente e disponibilizados para os médicos assistentes.
Análise dos dados
Os dados foram organizados em planilha Excell e analisados por meio
de distribuição de freqüências absolutas e relativas. Para as variáveis
quantitativas, foram calculados: média, desvio padrão e mediana.
Os resultados foram apresentados em tabelas e gráficos, atendendo às
determinações do Instituto Brasileiro de Geografia e Estatística.
Aspectos éticos
Em obediência ao que determina a Declaração de Helsinque, modificada
em Hong-Kong, a Declaração de Nuremberg e a Resolução 196/96 do
Conselho Nacional de Saúde, o projeto da pesquisa foi registrado no SISNEP
35
sob FR-166363 e aprovado pelo Comitê de Ética em Pesquisa com Seres
Humanos da Universidade Federal de Pernambuco, sob nº. 010/2008-
CEP/CCS, e CEP/CCS/UFPE Nº371/07 (Anexo A).
Esta pesquisa não apresenta conflito de interesses.
Artigo I - Retinocoroidite toxoplásmica em pacientes
com aids e neurotoxoplasmose
(Artigo a ser enviado para a Revista da Sociedade Brasileira de Medicina Tropical)
Retinocoroidite toxoplásmica em pacientes com aids e
neurotoxoplasmose
Toxoplasmic retinochoroiditis in patients with aids and
neurotoxoplasmosis
Jane Mary Alves
1
Vera Magalhães
2
Marcus Augusto Gomes de Matos
3
1
Mestranda da Universidade Federal de Pernambuco, Oftalmologista do Instituto de Olhos de
Recife, PE
2
PhD, Professora Titular de Doenças Infecciosas e Parasitárias de Universidade Federal de
Pernambuco
3
MD, Oftalmologista do Real Visão do Hospital Português, Recife, PE
Pesquisa realizada nos Hospitais: Correa Picanço, Hospital das Clínicas da Universidade
Federal de Pernambuco e Hospital Universitário Oswaldo Cruz da Universidade de
Pernambuco – Recife, PE
Autor Responsável por contatos e correspondência
Drª. Jane Mary Alves
Rua Dom Sebastião Leme, 57 apto 202 – Graças
Recife – Pernambuco – Brasil
CEP 52011-160
Fone: 55(81) 3423-9298
Email: janealves.alves@bol.com.br
38
Resumo
A neurotoxoplasmose é a alteração do Sistema Nervoso Central mais frequente
observada em pacientes com aids. A ocorrência de toxoplasmose ocular em
neurotoxoplasmose ainda é pouco estudada. Com o objetivo de investigar a ocorrência
de retinocoroidite típica ou provável, toxoplásmica, em pacientes com aids e
neurotoxoplasmose, foi desenvolvido estudo prospectivo, tipo série de casos incluindo
70 pacientes, de ambos os sexos, com idade variando de 20 a 63 anos, internados
nas enfermarias de três hospitais públicos da cidade do Recife, Pernambuco, com tais
diagnósticos firmados segundo os critérios do CDC (1992), no período de Janeiro a
Outubro de 2008. Os pacientes se caracterizavam por: primeiro episódio de
neurotoxoplasmose (65; 92,9%) ou recidiva (5; 7,1%); desconhecimento de ter aids
(23; 32,9%), contagem média de linfócitos T CD4 de 139,8 ± 3,04 células/mm
3
e carga
viral média igual a 137.080 ± 39.380 cópias/mL. Todos os pacientes foram submetidos
a exame oftalmológico, consistindo de: inspeção ocular; aferição da acuidade visual;
investigação da função muscular extrínseca ocular e fundoscopia, empregando
oftalmoscópio indireto binocular (modelo OHN 3.5 (Eyetec
®
) e lente externa de 20
dioptrias (Volk
®
). Foram diagnosticados 4 (5,7%) pacientes com lesões cicatriciais de
retinocoroidite, características de toxoplasmose ocular, sendo típica em 3 (75%)
pacientes e bilateral em um. Não houve qualquer caso de retinocoroidite ativa, típica
ou provável. Recomenda-se que lesões oculares ativas ou cicatriciais devem ser
valorizadas em pacientes com aids e neurotoxoplasmose.
Descritores: Toxoplasmose ocular. Aids. Olho/Imunologia.
39
Abstract
Neurotoxoplasmosis is the most frequent infection in patients with aids. The frequency
of ocular toxoplasmosis and neurotoxoplasmosis is still little studied. Aiming to
investigate the occurrence of toxoplasmic retinochoroiditis, typical or probable, in
patients with aids and neurotoxoplasmosis, a prospective study, type series of cases
was developed including 70 patients, of both gender, aging from 20 to 63 years old,
interned at the infirmaries of three public hospitals at Recife city, Pernambuco, Brazil,
diagnosed according to CDC criteria (1992), from January to October 2008. The
patients were characterized by: first episode of neurotoxoplasmosis (65; 92.9%) or
recurrence (5; 7,1%); acknowledgement of aids condition (23; 32.9%), TCD4+ counting
average of 139.8 ± 3.04 lymphocytes/mm³, and viral load average equal to 137,080 ±
39,380 copies/mL. All patients had been submitted the ophthalmologic examination,
consisting on: ocular inspection; gauging of visual acuity; inspection of extrinsic ocular
muscle function and fundoscopy, using binocular indirect ophthalmoscope (model OHM
3.5 Eyetec
®
) and external lens of 20 dioptries (Volks
®
). Retinochoroiditis with scars,
characteristic of ocular toxoplasmosis, had been diagnosed on 4 (5.7%) patients, 3
(75%) of them being typical, and one other, bilateral. There was no case of active
retinochoroiditis, typical or probable. One has recommended that ocular lesions, active
and scars, must be valued in patients with aids and neurotoxoplasmosis.
Key words: Ocular toxoplasmosis. Aids. Eye/Immunology.
40
Introdução
A toxoplasmose ocular é a causa mais comum de retinocoroidite em
paciente não imunocomprometido, sendo responsável por 30% a 50% de todas
as uveítes posteriores
1
.
Em pacientes com aids, a toxoplasmose do sistema nervoso central é a
causa mais frequente de lesão cerebral focal
2
, principalmente quando a
contagem de linfócitos T CD4+ é menor que 100 células/mm³
3
,
e a
retinocoroidite toxoplásmica, uma das mais importantes inflamações oculares
secundárias
4
. É a terceira retinopatia infecciosa mais frequente e corresponde
a 1% a 3% das infecções oculares nesses pacientes
5-6
.
Lesões oculares podem ser a primeira manifestação de doença
intracraniana ou disseminada, porém podem ocorrer sem evidências desse
envolvimento
7
. Aproximadamente metade dos casos de pacientes com aids e
toxoplasmose ocular apresenta concomitantemente manifestações de
acometimento neurológico. Em contrapartida, os pacientes com doença
neurológica pela toxoplasmose têm 10% a 20% de chance de apresentar o
quadro ocular
8
.
Na aids, a retinocoroidite toxoplásmica se caracteriza geralmente pela
presença de lesões branco-floconosas, com quase nenhuma inflamação vítrea
ou hemorragia retiniana, sendo as lesões cicatriciais pouco pigmentadas
9-10
.
Apresentações atípicas, comuns em pacientes com aids, imunossupressão
iatrogênica ou idade avançada, podem assumir forma bilateral, extensiva ou
multifocal
11
. Esse aspecto difere da lesão ativa, típica, caracterizada por foco
solitário, exsudativo, necrosante de retinocoroidite, adjacente a uma lesão
cicatricial, acompanhada de reação vítrea inflamatória moderada a severa, dos
pacientes imunocompetentes
12
.
Duas pesquisas retrospectivas, realizadas em unidades terciárias de
referência em doenças oculares e aids, buscaram descrever o comportamento
ocular associado à neurotoxoplasmose. A partir da investigação de 145
prontuários, os pacientes foram subdivididos em dois grupos, segundo tempo
41
decorrido entre o aparecimento das lesões oculares e o tratamento para
neurotoxoplasmose: no grupo A, foram incluídos os casos submetidos a
tratamento há mais de três meses, e, no grupo B, com tempo menor que três
meses. No grupo A, 8% dos pacientes com neurotoxoplasmose tiveram
diagnóstico de retinocoroidite toxoplásmica, enquanto que, no grupo B, esse
percentual igualou-se a 11,1%. Os autores alertaram para a possibilidade de a
incidência de retinocoroidite ser menor em pacientes com aids e
neurotoxoplasmose, por ser o local de pesquisa um centro de referência
9
.
Estudo realizado no Brasil
13
a partir da análise de 118 prontuários
permitiu determinar que em 23% dos casos havia associação entre
toxoplasmose ocular e neurotoxoplasmose.
As evidências apontam para a concomitância de atividade da doença
nas lesões do SNC e da retina, que ambos os tecidos têm a mesma origem
embriológica e são considerados sítios preferenciais de latência do parasita,
mas os dois únicos estudos
9,13
que determinaram essa frequência foram
discrepantes, tiveram caráter retrospectivo e foram realizados em centros de
referência para doença ocular em paciente com aids.
Motivados pela possibilidade de essa frequência ser menor que a
referida por esses autores, quando realizada prospectivamente em centros de
referência para atendimento a pacientes com aids, mas não para doenças
oculares, buscou-se realizar a presente pesquisa.
O objetivo deste estudo é investigar a ocorrência de retinocoroidite
típica ou provável, presumivelmente toxoplásmica, em pacientes com
neurotoxoplasmose e aids, internados em três serviços de referência para
HIV/AIDS.
Métodos
No período de Janeiro a Outubro de 2008, foi desenvolvido estudo
prospectivo tipo rie de casos envolvendo 70 pacientes, com idade igual ou
maior que 13 anos, internados nas enfermarias de três hospitais públicos da
cidade do Recife, Pernambuco (Hospital Correa Picanço, Hospital das Clínicas
42
da Universidade Federal de Pernambuco e Hospital Universitário Oswaldo Cruz
da Universidade de Pernambuco), com diagnóstico de aids e acometimento do
sistema nervoso central pelo Toxoplasma gondii, firmado segundo os critérios
do CDC
14
.
Foram excluídos os pacientes com história de alergia a colírio midriático
ou câmara ocular anterior rasa, pelo risco de crise de glaucoma agudo.
A caracterização dos pacientes foi obtida por meio de consulta ao
prontuário e compreendeu: dados sócio-demográficos, comorbidades oculares,
contagem de linfócitos T CD4 e carga viral em sangue periférico.
Todos os pacientes tinham sorologia positiva para HIV e para
toxoplasmose (IgG).
O diagnóstico do acometimento do sistema nervoso central pelo
Toxoplasma gondii foi realizado com base em manifestações neurológicas
clínicas, achados aos exames de imagem e melhora clínica com o tratamento
específico instituído.
Todos os pacientes foram submetidos ao exame oftalmológico, o qual
consistiu de inspeção ocular com lanterna, dirigindo o feixe luminoso
paralelamente ao ponto de junção palpebral externo, para avaliação da
profundidade da câmara anterior; aferição da acuidade visual para perto de
cada olho, utilizando os optotipos de Jaeger posicionados a 33 cm do globo
ocular; investigação da função muscular extrínseca ocular e fundoscopia, após
instilação no saco conjuntival de cada olho de 1 gota de colírio de tropicamida a
1%, a cada 10 minutos, por três vezes, para promover midríase. Empregou-se
oftalmoscópio indireto binocular (OBI), com iluminação elétrica halógena,
modelo OHN 3.5 (Eyetec
®
), e lente externa de 20 dioptrias (Volk
®
).
Os pacientes com diagnóstico de alterações fundoscópicas foram
submetidos a: retinografia, empregando retinógrafo digital (Topcon
®
, Japão.),
avaliada pelo programa Image NET, para processamento das imagens obtidas,
assim como angiofluoresceinografia, quando indicada, após infusão
endovenosa periférica rápida de 5 mL de solução de fluoresceína sódica a
10%.
Todos os exames fundoscópicos foram avaliados por um retinólogo
uveólogo, o qual acompanhou, juntamente com a pesquisadora, os pacientes
que necessitaram de tratamento oftalmológico. Foram afastados os
43
diagnósticos oculares diferenciais como sífilis e infecção por citomegalovírus e
herpes.
A retinocoroidite foi classificada por dois sistemas: atividade e
tipicidade. Quanto à atividade, a retinocoroidite foi considerada: cicatricial, na
presença de margens bem delimitadas, vários graus de hiperplasia do epitélio
pigmentário e atrofia retinocoroidea; ou ativa, quando foi possível observar
lesão branco-amarelada, ocasionalmente cinza, com limites mal definidos
devido ao edema retiniano circunjacente. Quanto à tipicidade, a lesão foi
classificada como: típica quando cicatrizada ou ativa, satélite a uma ou mais
lesões cicatrizadas, ou provável, quando necrosante, focal, típica, porém
isolada, podendo estar em atividade ou cicatrizada.
Os dados foram organizados com o programa Excell
®
e resumidos por
meio de medidas de posição e de dispersão, apresentados em tabelas.
Resultados
Dentre os 70 pacientes com toxoplasmose do sistema nervoso central,
houve predomínio do gênero masculino (51; 72,9%). A idade variou de 20 a 63
anos. Foram mais frequentes pacientes solteiros (44; 62,9%) e procedência da
cidade de Recife ou de outras da Região Metropolitana (58; 82,9%) (Tabela
I.1).
44
Tabela I.1 Distribuição das variáveis sócio-demográficas de 70 pacientes com aids e
neurotoxoplasmose – Recife, Janeiro/Outubro 2008
Variáveis sócio-demográficas Frequência Percentual
Gênero
Masculino 51 72,9
Feminino 19 27,1
Idade (anos)
20 – 29 25 35,7
30 – 39 32 45,7
40 13 18,6
Estado civil
Solteiro 44 62,9
Casado 22 31,4
Viúvo 3 4,3
Divorciado 1 1,4
Procedência
Recife e Região Metropolitana 58 82,9
Outros municípios 12 17,1
Na Tabela I.2, são apresentadas as variáveis relativas ao uso de
terapêutica medicamentosa, na qual se observa que 16 (22,9%) pacientes
relataram fazer uso de terapia antirretroviral com periodicidade irregular. Dentre
os 70 pacientes, 65 (92,9%) não tinham história prévia de neurotoxoplasmose,
enquanto que para cinco (7,1%), ocorreu como recidiva da doença. Os cinco
pacientes declararam não fazer uso de profilaxia secundária à
neurotoxoplasmose ou fazê-la de forma irregular
Identificou-se também que 23 (32,8%) pacientes tiveram o primeiro
diagnóstico de aids nesse internamento.
Tabela I.2 Distribuição das características da aids de 70 pacientes com
neurotoxoplasmose – Recife, Janeiro/Outubro 2008
Variáveis relativas a uso e periodicidade de terapia medicamentosa Frequência Percentual
Uso de terapia antirretroviral
Sim, de forma irregular 16 22,9
Não 54 77,1
História prévia de neurotoxoplasmose
Sim 5 7,1
Não 65 92,9
A contagem média de linfócitos T CD4 foi de 139,8 ± 3,04 células/mm
3
,
com variação entre 1 célula/mm
3
a 714 células/mm
3
. Dezesseis (22,8%)
pacientes apresentavam menos de 100 células T CD4+/mm
3
. Quanto à carga
viral, esta variou entre 1.110 cópias/mL e 517.000 cópias/mL, com média igual
a 137.080 ± 39.380 cópias/mL.
45
Na Tabela I.3 estão apresentados os achados à ectoscopia, dos quais
alterações de movimentos oculares, estrabismo, ptose palpebral e alterações
dos reflexos pupilares foram pouco freqüentes e referidos pelos pacientes
como de aparecimento recente, exceção feita a dois pacientes com estrabismo
anterior à abertura do quadro neurológico.
Tabela I.3 Distribuição dos achados de exame oftalmológico de 70 pacientes com aids
e neurotoxoplasmose – Recife, Janeiro/Outubro 2008
Variáveis relativas ao exame oftalmológico Frequência Percentual*
Baixa de acuidade visual para perto 24 34,3
Alteração de movimentos oculares 6 8,6
Estrabismo 6 8,6
Ptose palpebral 5 7,1
Opacificação de cristalino 5 7,1
Hiperemia conjuntival 2 2,9
Alteração dos reflexos pupilares 2 2,9
Pseudofacia 1 1,4
NOTA: * - Percentuais calculados com base num total de 70 pacientes
Quatro (5,7%) pacientes apresentavam lesões cicatriciais de
retinocoroidite, características de toxoplasmose ocular (Tabela I.4). Em um
(25%) paciente, a lesão era periférica do tipo provável (Figura I.1). Três (75%)
pacientes apresentavam lesões típicas, múltiplas, cicatriciais, sendo bilateral
em um deles com presença de lesão macular e baixa importante da acuidade
visual (Figura I.2). Não se diagnosticou qualquer caso de retinocoroidite ativa,
fosse ela típica ou provável.
Tabela I.4 Distribuição da retinocoroidite de 70 pacientes com aids e
neurotoxoplasmose – Recife, Janeiro/Outubro 2008
Retinocoroidite Frequência Percentual
Retinocoroidite cicatricial provável
Ausente 69 98,6
Presente 1 1,4
Retinocoroidite cicatricial típica
Ausente 67 95,7
Presente 3 4,3
46
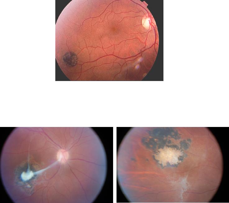
Figura I 1 Retinocoroidite provável toxoplásmica cicatricial em paciente com aids e
neurotoxoplasmose
Legenda: OD: olho direito
FONTE: Foto da Pesquisadora
Figura I 2 Retinocoroidite típica toxoplásmica cicatricial em paciente com aids e
neurotoxoplasmose
Legenda: OD (olho direito): lesão macular, com tração vítreo-retiniana
OE (olho esquerdo): lesão periférica cicatrizada
FONTE: Foto da Pesquisadora
Discussão
No presente estudo, encontrou-se baixa ocorrência de toxoplasmose
ocular em pacientes com aids e neurotoxoplasmose (5,7%). Na verdade,
observaram-se apenas lesões cicatriciais, sem atividade. É possível que os
pacientes tenham apresentado acometimento ocular assintomático ou
OD OE
OD
47
oligossintomático que precedeu à neurotoxoplasmose. Segundo Cochereau-
Massin et al.
8
, a toxoplasmose ocular precede a neurotoxoplasmose em
aproximadamente metade dos casos.
A neurotoxoplasmose em pacientes com aids deve-se à reativação de
um foco cerebral inativo, decorrente da imunodeficiência celular
15
. Pacientes
com um quadro de neurotoxoplasmose e aids não raro apresentam
acometimento de outros sítios, particularmente pulmão, em até 26% dos
casos
16
e coração, em 3% dos pacientes
17,18
. Seria de se esperar o
acometimento ocular, pois existe um tropismo do taquizoíto por essa
estrutura
19
. Por outro lado, sabendo-se que a neurotoxoplasmose decorre de
uma imunodeficiência que acarreta a reativação de cistos inativos no Sistema
Nervoso Central
20
, seria de se esperar que ocorresse reativação também em
sítio ocular. No entanto, no olho de pacientes imunocomprometidos, talvez os
mecanismos de imunidade ocular estejam preservados, com relação ao T.
gondii, mesmo diante da grave imunodeficiência observada na aids.
No ciclo parasitário do toxoplasma, o encistamento é um estágio
essencial para sua manutenção no ambiente, fugindo do aparato celular
endocítico que tende a degradar o material estranho intracelular
21
. O olho não é
um sítio preferencial de encistamento por dispor de dois mecanismos distintos,
complementares, que geram condições inóspitas para o taquizoíta
22
.
Pesquisas experimentais comprovam que a resposta imune no olho de
ratos imunocompetentes consiste em promover melhores condições de
encistamento do taquizoíto, por meio do aumento da síntese de interferon
gama e de fator de necrose tumoral alfa. Ao mesmo tempo, a quebra de
barreira hematocular favorece acesso ao ambiente ocular de linfócitos T CD4+,
T CD8+ e do epitélio pigmentar da retina, com propriedade fagocitária,
aumentando a apoptose de células infectadas pelo aumento da expressão de
MHC classe I, o que reduz a carga parasitária ocular e o aparecimento da lesão
característica em atividade
22
.
Em ratos imunocomprometidos, o processo se inverte. redução da
conversão de taquizoítos para a forma de replicação lenta de bradizoítos, por
inibição da síntese de interferon gama e fator de necrose tumoral alfa, do que
decorre maior carga parasitária na retina. No entanto, associada a esse
fenômeno, a depleção de linfócitos T CD4+ e T CD8+, que atuam no olho
48
promovendo um nível menor de inflamação local e de apoptose, com
consequente surgimento de lesões maiores e cicatriciais
23
.
Esses processos parecem permitir levantar a hipótese ser a
imunodeficiência a possível causa de maior risco de desencadeamento da
neurotoxoplasmose subsequente a uma toxoplasmose ocular, reduzido número
de cistos e de lesões ativas em retina e presença de lesões extensas oculares,
quando estas ocorrem em pacientes com aids.
O percentual de pacientes com aids e neurotoxoplasmose para os
quais foi identificada lesão cicatricial (5,7%) foi menor que o relatado por outros
pesquisadores, mas cumpre notar que ainda não consenso quanto a essa
taxa.
A literatura internacional refere que a toxoplasmose ocular em
pacientes com aids é rara, acometendo 1% a 3% dos casos, no que difere do
acometimento do sistema nervoso central
5,24
, mas essas pesquisas não
contemplam pacientes com aids e neurotoxoplasmose.
Os dois únicos trabalhos
9,13
localizados são retrospectivos e foram
realizados em centro de referência de doenças oculares em pacientes com
aids, portanto podem ter incluído casos pouco usuais, como referem Arevalo et
al.,
9
ao discutirem seus resultados. A explicação da ausência de lesões ativas
dependerá de elucidação posterior no campo da imunologia. Os resultados de
Arevalo et al.
9
e Zajdenweber et al.
13
ainda são motivo de pesquisas.
Diferente de outros autores, na presente pesquisa, não foram
encontradas lesões oculares ativas em pacientes com aids e
neurotoxoplasmose, mas a presença das lesões oculares cicatriciais parece
indicar uma infecção passada por T. gondii, o que deve ser valorizado dado
haver um risco aumentado de neurotoxoplasmose em caso de reativação da
doença.
Referências Bibliográficas
1 - Copeland R, Phillpotts BA. Ocular manifestations of HIV. eMedicine 2006:1-
46.
49
2 - Nussemblatt RB, Belfort Júnior R. Pathogenesis of inflammatory conditions
of the retina: Toxoplasmosis retinochoroiditis. 2
nd
ed. In: Tabanna KF, Hindiuk
R. Infections of the eye. Little Brown. 1996. p. 61-65.
3 - Hoffmann C, Ernst M, Meyer P, Wolf E, Rosenkranz T, Plettenberg A, et al.
Evolving characteristics of toxoplasmosis in patients infected with human
immunodeficiency virus-1: clinical course and Toxoplasma gondii-specific
immune responses. Clin Microbiol Infect 2007;13:510-515.
4 - Silveira C. Toxoplasmose: levantamento bibliográfico de 1997 a 2000. Arq
Bras Oftalmol 2001;64:263-270.
5 - Jabs DA. Ocular manifestations of HIV infection. Trans Am Ophthalmol Soc
1995;93:623-689.
6 - Rodgers CA, Harris JR. Ocular Toxoplasmosis in HIV infection. Int J STD
AIDS 1996;7:307-309.
7 - Holland GN, O'Connor GR, Belfort Jr R, Remington JS. Toxoplasmosis. In:
Pepose JS, Holland GN, Wilhelmus KR. Ocular infection and immunity.
Philadelphia: Mosby. 1995. p. 183-223.
8 - Cochereau-Massin I, LeHoang P, Lautier-Frau M, et al. Ocular
Toxoplasmosis in human immunodeficiency virus-infected patients. Am J
Ophthalmol 1992;144:130-135.
9 - Arevalo JF, Quiceno JI, Garcia RF, Mc Cutchan JP, Nelson JA, Fremann
WR. Retinal findings and characteristics in AIDS patients with systemic
mycobacterium avium intracellular complex and Toxoplasma encephalitis.
Ophthalmic Surg Lasers 1997;1:50-54.
10 - Cunningham Jr ET, Margolis TP. Ocular manifestations of HIV infection. N
Engl J Med 1998;339:236-244.
11 - Moshfeghi DM, Dodds EM, Couto CA, Santos CI, Nicholson DH, Lowder
CY, et al. Diagnostic approaches to severe, atypical toxoplasmosis mimicking
acute retinal necrosis. Ophtalmology 2004;111:716-725.
50
12 - Weiner A, BenEzra D, Clinical patterns and associated conditions in
chronic uveitis. Am J Ophthalmol 1991;112:151–158.
13 - Zajdenweber M, Muccioli C, Belfort Jr R. Ocular involvement in AIDS
patients with central nervous system toxoplasmosis – before and after HAART.
Arq Bras Oftalmol 2005;68:773-775.
14 - CDC. Centers for Disease Control. 1993 revised classification system for
HIV infection and expanded surveillance case definition for AIDS among
adolescents and adults. JAMA 1993;10:729-730.
15 - Montoya JG, Liesenfeld O. Toxoplasmosis. Lancet 2004;363:1965-1976.
16 - Melo HRL, Albuquerque VMG. Toxoplasmose. In: Melo HRL, Brito CAA,
Filho DBM, Souza SG, Henrique APC, Silva OB. Condutas em doenças
infecciosas. cap. 52. Rio de Janeiro: MEDSI. 2004. p. 584-593.
17 - Lanjewar DN, Agale SV, Chitale AR, Joshi SR. Sudden death due to
cardiac toxoplasmosis. JAPI 2006;54:244-245.
18 - Eza DE, Lucas SB. Fulminant toxoplasmosis causing fatal pneumonitis and
myocarditis. British. HIV Association 2006;7:415-420.
19 - Barragan A, Sibley LD. Migration of Toxoplasma gondii across biological
barriers. Trends in Microbiol 2003;11:426.
20 - Hegab SM, Al-Mutawa SA. Immunopathogenesis of toxoplasmosis. Clin
Exp Med 2003;3:84-105.
21 - Black MW, Boothroyd JC. Lytic Cycle of Toxoplasma gondii. Microbiol Mol
Biol Rev 2000;64:607-623.
22 - Wallace GR, Stanford MR. Immunity and toxoplasma retinochoroiditis. Clin
Experimental Immunol 2008;153:309-315.
23 - Jones LA, Alexander J, Roberts CW. Ocular toxoplasmosis: in the store of
the eye. Parasite Immunol 2006;28:635-642.
51
24 - Melamed J, Maestri M, Franco JA. Toxoplasmose ocular na síndrome da
imunodeficiência adquirida. Arq Bras Oftal 1989;52:173-176.
Artigo II – Achados fundoscópicos em pacientes com
aids e neurotoxoplasmose
(Artigo a ser enviado para publicação nos Arquivos Brasileiros de Oftalmologia)
Achados fundoscópicos em pacientes com aids e
neurotoxoplasmose
Fundoscopic findings in patients with aids and neurotoxoplasmosis
Jane Mary Alves
1
Vera Magalhães
2
Marcus Augusto Gomes de Matos
3
1
- Mestranda da Universidade Federal de Pernambuco, Oftalmologista do
Instituto de Olhos de Recife, PE
2
- PhD, Professora Titular de Doenças Infecciosas e Parasitárias de
Universidade Federal de Pernambuco
3
- MD, Oftalmologista do Real Visão do Hospital Português, Recife, PE
Universidade Federal de Pernambuco
Autor Responsável por contatos e correspondência
Drª. Jane Mary Alves
Rua Dom Sebastião Leme, 57 apto 202 – Graças
Recife – Pernambuco – Brasil
CEP 52011-160
Fone: 55(81) 3423-9298
54
Resumo
Objetivo: Descrever os achados fundoscópicos em pacientes com aids e
neurotoxoplasmose em fase ativa. Métodos: Foi desenvolvido estudo
prospectivo tipo série de casos incluindo 70 pacientes, de ambos os sexos,
com idade variando de 20 a 63 anos, internados nas enfermarias de três
hospitais públicos da cidade do Recife, Pernambuco, com diagnósticos de aids
e neurotoxoplasmose firmados segundo os critérios do CDC (1992), no período
de Janeiro a Outubro de 2008.
Os pacientes se caracterizavam por: primeiro
episódio de neurotoxoplasmose (65; 92,9%) ou recidiva (5; 7,1%); desconhecimento
de ter aids (23; 32,9%), contagem média de linfócitos T CD4 de 139,8 ± 3,04
células/mm
3
e carga viral média igual a 137.080 ± 39.380 cópias/mL.
Todos foram
submetidos a exame oftalmológico, consistindo de: inspeção ocular; aferição da
acuidade visual; investigação da função muscular extrínseca ocular e
fundoscopia, empregando oftalmoscópio indireto binocular (modelo OHN 3.5
(Eyetec
®
) e lente externa de 20 dioptrias (Volk
®
). Resultados: Os achados
consistiram em: exsudatos algodonosos retinianos (8,6%), constricção
arteriolar difusa leve (8,6%); lesões de retinocoroidite cicatricial, características
de toxoplasmose ocular (5,7%), atrofia do epitélio pigmentar retiniano (2,9%),
descolamento da retina (2,9%), aumento de escavação papilar (1,4%),
degeneração periférica retiniana (1,4%), macroaneurisma (1,4%), papiledema
bilateral (1,4%), tração vítreo-retiniana (1,4%). Conclusão: Pacientes com aids
e neurotoxoplasmose podem apresentar alterações fundoscópicas
características da toxoplasmose ocular, na forma ativa ou cicatricial,
relacionadas ao HIV ou, ainda, a outras doenças oportunistas ou sistêmicas,
podendo ser de grande auxílio num tratamento holístico do paciente por uma
equipe multiprofissional.
Descritores: Toxoplasmose ocular. Aids. Infecções oculares. Fundo de olho.
55
Abstract
Objective: To describe fundoscopic findings of patients with aids and active
phase of neurotoxoplasmosis. Methods: A prospective study type series of
cases was developed including 70 patients, of both gender, with age varying
from 20 to 63 years, interned in the infirmaries of three public hospitals of Recife
city, Pernambuco, Brazil, with aids and neurotoxoplasmosis diagnosis
determined according to CDC criteria (1992), from January to October 2008.
The patients were characterized by: first episode of neurotoxoplasmosis (65; 92.9%) or
recurrence (5; 7,1%); acknowledgement of having aids (23; 32.9%), T CD4+ counting
average equal to 139,8 ± 3,04 lymphocytes/mm³ and viral load average of 137,080 ±
39,380 copies/mL.
All patients had been submitted the ophthalmologic
examination, consisting on: ocular inspection; gauging of visual acuity;
investigation of ocular extrinsic muscle function, and fundoscopy, using
binocular indirect ophthalmoscopy (model OHM 3.5 Eyetec
®
) and external lens
of 20 dioptries (Volks
®
). Results: The findings were: retinal
cotton-wool spots
exudates (8,6%),
diffuse arteriolar constriction (8.6%); scars of retinochoroiditis,
characteristic of ocular toxoplasmosis (5.7%), atrophy of retinal pigment
epithelium (2.9%), retinal detachment (2.9%), increase of papilar excavation
(1.4%), bilateral retinal peripheral degeneration (1,4%), macroaneurism (1.4%),
papiledema (1.4%), vitreous-retinal traction (1.4%). Conclusion: Patients with
aids and neurotoxoplasmosis can present fundoscopic alterations, characteristic
of ocular toxoplasmosis, either in active or scars form, related to HIV or, even,
to other opportunist or sistemic diseases, which can be of great aid for a holistic
treatment of patients by a multiprofessional team.
Key words: Ocular toxoplasmosis. Aids. Ocular infections. Fundoscopy.
56
Introdução
Desde a descrição dos primeiros casos de aids, a importância do
envolvimento ocular é evidente
1
. Manifestações oculares são comuns na aids;
cerca de 60% dos pacientes desenvolvem tais manifestações em alguma fase
de seu curso
2
.
As manifestações oculares fundoscópicas na aids compreendem:
alterações da microcirculação (exsudatos algonosos, microaneurisma e micro-
hemorragias), infecções oportunistas secundárias (retinopatia por
Citomegalovírus, por toxoplasmose, herpética, sifílica, coroidite pelo
Cryptococcus neoformans e pelo Pneumocistis jirovesi), e distúrbios
neuroftalmológicos, dentre os quais estão o papiledema
3
.
O acometimento ocular na toxoplasmose é potencialmente ameaçador
para a visão, reduzindo a qualidade de vida dos pacientes, principalmente
quando a acuidade visual diminui significativamente
4
. Em pacientes com aids,
as lesões podem ter aparência clínica atípica, seguir um curso incomum e,
comumente, demonstrarem refratariedade ao tratamento convencional
5
. A
freqüência do acometimento ocular na toxoplasmose em pacientes com aids
varia de 21,4% a 95% dos casos, sendo menor em pacientes não
hospitalizados
6-8
.
As alterações do segmento posterior do olho causadas pelo Toxoplasma
gondii podem estar presentes em 2% a 10% dos pacientes com aids, nos
países em desenvolvimento
9
, enquanto que, no Sul do Brasil, acomete 16,7%
dos pacientes
10
. A explicação dessa diferença pode ser a grande ocorrência de
Toxoplasma gondii, chegando a 21% de toxoplasmose ocular na população
geral de Erechin – Rio Grande do Sul
6
.
Na toxoplasmose ocular, nem sempre o acometimento do segmento
posterior do olho resulta em queixas oculares, o que, associado às
manifestações atípicas, pode comprometer o tratamento e acompanhamento
adequado dos pacientes. Este fato pode resultar em subestimação de alguns
achados, que são pouco sintomáticos na fase inicial da doença, mas podem
57
evoluir para complicações graves, como catarata, descolamento de retina e
glaucoma
11
.
O objetivo deste artigo foi descrever os achados fundoscópicos em
pacientes com aids e neurotoxoplasmose em fase ativa, para compreender
melhor a doença na sua totalidade e melhorar a qualidade de vida do paciente,
com intervenções adequadas a cada caso.
Método
No período de Janeiro a Outubro de 2008, foi desenvolvido estudo tipo
série de casos envolvendo 70 pacientes, com idade igual ou maior que 13
anos, internados nas enfermarias de três hospitais públicos da cidade do
Recife, Pernambuco (Hospital Correa Picanço, Hospital das Clínicas da
Universidade Federal de Pernambuco e Hospital Universitário Oswaldo Cruz da
Universidade de Pernambuco), com diagnóstico de aids e acometimento do
sistema nervoso central pelo Toxoplasma gondii, segundo os critérios do
CDC
12
. Foram excluídos os pacientes com história de alergia a colírio midriático
ou câmara ocular anterior rasa, pelo risco de crise de glaucoma agudo.
A caracterização dos pacientes foi obtida por meio de consulta ao
prontuário e compreendeu: dados sócio-demográficos, carga viral, contagem
de linfócitos T CD4 em sangue periférico e comorbidades sistêmicas.
Todos os pacientes tinham sorologia positiva para HIV e para
toxoplasmose (IgG). O diagnóstico da neurotoxoplasmose foi realizado por
infectologista ou neurologista. Baseou-se na presença de cefaléia, alterações
de status mental, febre, sinais neurológicos focais, como fraqueza muscular,
distúrbios de fala, tontura, alterações em pares cranianos e de campo visual,
distúrbios sensitivos, disfunção cerebelar, meningismo, incoordenação motora
e manifestações neuropsiquiátricas, que compõem o quadro clínico. Baseou-se
também nos achados de ressonância magnética ou tomografia
computadorizada, típicos da doença e melhora clínica com o tratamento
instituído.
58
Todos os pacientes foram submetidos ao exame oftalmológico, o qual
consistiu de: inspeção ocular com lanterna, dirigindo o feixe luminoso
paralelamente ao ponto de junção palpebral externo, para avaliação da
profundidade da câmara anterior; aferição da acuidade visual para perto de
cada olho, utilizando os optotipos de Jaeger colocados a 33 cm do globo
ocular; investigação da função muscular extrínseca ocular e fundoscopia, após
instilação no saco conjuntival de cada olho de 1 gota de colírio de tropicamida a
1%, a cada 10 minutos, por três vezes, para promover midríase. Empregou-se
oftalmoscópio indireto binocular (OBI), com iluminação elétrica halógena,
modelo OHN 3.5 (Eyetec
®
), e lente externa de 20 dioptrias (Volk
®
).
Os pacientes com diagnóstico de alterações fundoscópicas foram
submetidos a: retinografia, empregando retinógrafo digital (Topcon
®
, Japão.),
avaliada pelo programa Image NET, para processamento das imagens obtidas,
assim como angiofluoresceinografia, quando indicada, após infusão
endovenosa periférica rápida de 5 mL de fluoresceína sódica a 10%.
Todos os exames fundoscópicos foram avaliados por um retinólogo
uveólogo, o qual acompanhou, juntamente com a pesquisadora, os pacientes
que necessitaram de tratamento oftalmológico. Foram excluídos os
diagnósticos oculares diferenciais como citomegalovírus, sífilis e herpes.
A retinocoroidite foi classificada por dois sistemas: atividade e
tipicidade. Quanto à atividade, a retinocoroidite foi considerada: cicatricial, na
presença de margens bem delimitadas, vários graus de hiperplasia do epitélio
pigmentário e atrofia retinocoroidea; ou ativa, quando foi possível observar
lesão branco-amarelada, ocasionalmente cinza, com limites mal definidos
devido ao edema retiniano circunjacente. Quanto à tipicidade, a lesão foi
classificada como: típica quando cicatrizada ou ativa, satélite a uma ou mais
lesões cicatrizadas, ou provável, quando necrosante, focal típica, porém
isolada, podendo estar em atividade ou cicatrizada.
Os dados foram organizados com o programa Excell
®
e descritos por
meio de medidas de posição e de dispersão, em tabelas e gráficos.
59
Resultados
Dentre os 70 pacientes com toxoplasmose do sistema nervoso central,
houve predomínio do gênero masculino (72,9%). A idade variou de 20 a 63
anos com média de 34,3 ± 1,1 anos, sendo maior entre os pacientes do gênero
masculino (34,9 ± 1,2 anos) do que no feminino (32,6 ± 2,2 anos). Foram mais
frequentes pacientes solteiros (62,9) e procedência da cidade de Recife ou de
outras da região metropolitana (82,9%) (Tabela II.1).
Tabela II.1 Distribuição das variáveis sócio-demográficas de 70 pacientes com aids e
neurotoxoplasmose – Recife, Janeiro/Outubro 2008
Variáveis sócio-demográficas Frequência Percentual
Gênero
Masculino 51 72,9
Feminino 19 27,1
Idade (anos)
20 – 29 25 35,7
30 – 39 32 45,7
40 13 18,6
Estado civil
Solteiro 44 62,9
Casado 22 31,4
Viúvo 3 4,3
Divorciado 1 1,4
Procedência
Recife e Região Metropolitana 58 82,9
Outros municípios 12 17,1
Dos 70 pacientes com acometimento neurológico, 23 (32,9%)
declararam desconhecer o fato de ser portador do HIV e não associaram seus
sintomas à aids.
Na Tabela II.2, estão apresentados as comorbidades sistêmicas dos 70
pacientes. Houve predomínio de candidíase, presente em 30% dos pacientes
pesquisados, seguindo-se: tuberculose, diarréia, hipertensão arterial,
escabiose, com freqüências variando de 17,1% a 7,1%. Três (4,3%) pacientes
eram esquizofrênicos.
60
Tabela II.2 – Distribuição das comorbidades sistêmicas de 70 pacientes com aids e
neurotoxoplasmose – Recife, Janeiro/Outubro 2008
Comorbidades sistêmicas Frequência Percentual*
Candidíase 21 30,0
Tuberculose 12 17,1
Diarréia 8 11,4
Hipertensão arterial 7 10,0
Escabiose 6 8,6
Herpes 5 7,1
Infecção do trato urinário 3 4,3
Esquizofrenia 3 4,3
Diabetes mellitus 1 1,7
Anemia 1 1,4
Condiloma gigante anal 1 1,4
Miocardiopatia 1 1,7
Ascite 1 1,7
Dermatite seborrêica 1 1,7
Edema de membros inferiores 1 1,4
Litíase renal 1 1,4
Otite média externa 1 1,4
Desnutrição 1 1,4
Hemorróidas 1 1,4
Tinea cruris
1 1,4
Gastrite com H. pylori positivo
1 1,4
NOTA: * - Percentuais calculados com base num total de 70 pacientes
Na Tabela II.3, estão expressos os achados fundoscópicos, na qual
pode-se observar que os mais freqüentes foram exsudatos algodonosos
retinianos (Figura II.1) e constricção arteriolar difusa leve (Figura II.2), ambos
acometendo 6 (8,6%) pacientes.
Quatro (5,7%) pacientes apresentavam lesões de retinocoroidite
cicatricial, características de toxoplasmose ocular. Em um (25%) paciente, a
lesão era periférica do tipo provável (Figura II.3); em um (25%) a lesão era
cicatricial típica, no olho direito de localização periférica, e em um (25%) caso,
a lesão era típica, no olho esquerdo, em lo posterior (Figuras II.4 C, D). Um
paciente apresentava lesões típicas, múltiplas, cicatriciais, bilateralmente,
sendo a lesão macular em um olho, resultando em baixa importante da
acuidade visual (Figuras II.4 A, B). Os demais achados oftalmológicos estão
apresentados nas Figuras II.5 a II.9.
Não se diagnosticou qualquer caso de retinocoroidite ativa, fosse ela
típica ou provável.
61
Tabela II.3 Distribuição dos achados fundoscópicos de 70 pacientes com aids e
neurotoxoplasmose – Recife, Janeiro/Outubro 2008
Achados fundoscópicos Frequência Percentual*
Exsudatos algodonosos retinianos 6 8,6
Constricção arteriolar difusa leve 6 8,6
Retinocoroidite cicatricial típica 3 4,3
Atrofia do epitélio pigmentar da retina 2 2,9
Descolamento de retina 2 2,9
Aumento da escavação papilar 1 1,4
Degeneração retiniana periférica (lattice)
1 1,4
Macroaneurismas 1 1,4
Papiledema bilateral 1 1,4
Tração vítreo-retiniana 1 1,4
Retinocoroidite cicatricial provável 1 1,4
NOTA: * - Percentuais calculados com base num total de 70 pacientes
Figura II.1 – Exsudatos retinianos algodonosos em olho direito em paciente com
aids e neurotoxoplasmose
FONTE: Foto da Pesquisadora
Figura II.2 – Constricção arteriolar difusa leve em olho esquerdo em paciente com
aids e neurotoxoplasmose
FONTE: Foto da Pesquisadora
62
Figura II.3– Retiinocoroidite periférica cicatricial provável em olho direito em
paciente com aids e neurotoxoplasmose
FONTE: Foto da Pesquisadora
Figura II.4– Retinocoroidite cicatricial em paciente com aids e neurotoxoplasmose
Legenda: A Retinocoroidite macular, típica, com tração vítreo-retiniana (sinal de
Franceschetti) em olho direito
B – Retinocoroidite cicatricial provável periférica em olho esquerdo
C - Retinocoroidite cicatricial típica periférica em olho direito
D - Retinocoroidite cicatricial típica em polo posterior em olho esquerdo
FONTE: Fotos da Pesquisadora
A
B
C
D
63
Figura II.5– Atrofia do epitélio pigmentar da retina, constricção arteriolar e exsudatos
retinianos em olho direito em paciente com aids e neurotoxoplasmose
FONTE: Foto da Pesquisadora
Figura II.6– Aumento bilateral da escavação papilar em paciente com aids e
neurotoxoplasmose
FONTE: Fotos da Pesquisadora
Figura II.7– Lesão degenerativa retiniana periférica (lattice) em paciente com aids e
neurotoxoplasmose
FONTE: Foto da Pesquisadora
OD
OE
64
Figura II.8– Macroaneurisma arterial e edema retiniano em olho esquerdo em
paciente com aids e neurotoxoplasmose
Legenda: Observar que o marcroaneurisma está circundado por depósitos esbranquiçados
sugestivos de exsudatos, em cujo interior identifica-se um foco hemorrágico retiniano
(seta)
FONTE: Foto da Pesquisadora
Figura II.9– Papiledema bilateral em paciente com aids e neurotoxoplasmose
FONTE: Foto da Pesquisadora
Discussão
O acometimento ocular na aids é potencialmente ameaçador para a
visão, reduzindo a qualidade de vida dos pacientes caso a alteração
encontrada reduza muito a acuidade visual
13
, daí a importância do
conhecimento das lesões fundoscópicas nesses pacientes.
OD OE
65
Considerando as quatro categorias de lesões oculares que acometem
cerca de 60% dos pacientes com aids
14
, os exsudatos algodonosos retinianos,
o macroaneurisma e a constricção arteriolar constituíram as manifestações
decorrentes de alteração da microvasculatura; a retinocoroidite cicatricial
característica da retinocoroidite toxoplásmica e o descolamento de retina que
foi atribuído a uveíte posterior, decorrente de infecção por citomegalovírus,
foram incluídas nas alterações oculares por infecções oportunistas secundárias
à aids; o papiledema constituiu-se em alteração neuroftalmológica, não tendo
sido diagnosticado qualquer caso de tumor.
O predomínio de exsudatos algodonosos retinianos dentre as alterações
fundoscópicas dos pacientes investigados parece refletir o fato dessas
alterações serem as mais frequentes na microvasculopatia da aids. No entanto
a freqüência de 8,6% foi menor que a estimativa de 40% a 100%
13
. Essa
diferença deve ser analisada com precaução porque a estimativa se refere à
presença desses exsudatos em alguma fase da vida do paciente com aids,
característica que esteve ausente na amostra analisada já que 32,9% dos
casos foram examinados à primeira manifestação clínica da aids. Além disso,
os exsudatos algodonosos são efêmeros
15
.
A freqüência de exsudatos algodonosos retinianos foi maior que os 7%
referidos em um estudo envolvendo 445 pacientes com soropositividade para
HIV, dos quais 22% apresentavam neurotoxoplasmose
16
. No entanto foi menor
que os 10% relatados na pesquisa com 1.100 pacientes HIV positivos,
atendidos em regime ambulatorial
15
e os 13% diagnosticados em 77 pacientes
com aids
11
.
A freqüência do presente estudo pode ter como causa um grau de
imunodeficiência mais acentuado e a concomitância com neurotoxoplasmose
em todos os casos, raramente referida em trabalhos que abordam achados
oftalmológicos na aids, porque os autores não restringem a amostra, como no
presente estudo, a pacientes com aids e neurotoxoplasmose. Um único
trabalho retrospectivo, incluindo pesquisa a 142 prontuários, adotou essa
metodologia e referiu taxa de 6,7%, mas não detalhou a época do curso da
neurotoxoplasmose em que o exame fundoscópico foi realizado
17
.
Quanto ao achado de um paciente com macroaneurisma associado a
edema retiniano e hemorragia retiniana, deve-se considerar não se constituir
66
como integrante das manifestações oculares da aids ou da neurotoxoplasmose,
podendo decorrer de hiperviscosidade sanguínea ou de oclusão do ramo da
veia central da retina. Como a investigação de hiperviscosidade sanguínea foi
negativa, admitiu-se a possibilidade de oclusão venosa retiniana.
A constrição arteriolar difusa leve é uma alteração da microvasculatura
retiniana, mas não pôde ser atribuída à aids nesses casos, porque havia
concomitância com hipertensão arterial, embora as alterações fundoscópicas
da aids sejam polimorfas
18
. Esse achado parece indicar a importância de o
oftalmologista investigar na anamnese a presença de comorbidades, para
afastar uma associação espúria de achados fundoscópicos com aids.
Quanto às lesões fundoscópicas secundárias a doenças oportunistas em
pacientes com aids, que se constituem nas lesões de maior impacto na função
visual, os achados coincidiram com a literatura, que as retinocoroidites
provável e típica, com tração vítreo-retiniana (sinal de Franceschetti), na forma
cicatricial, de origem toxoplásmica (5,7%) e o descolamento de retina atribuído
à infecção por citomegalovírus (2,9%) estiveram presentes. Talvez pela
incidência de toxoplasmose no Brasil ser alta, nossos achados contrariam
trabalhos de outros países que relatam porcentagem de 1% de toxoplasmose
ocular e maior de lesões secundárias ao citomegalovírus
19
.
Dentre as lesões neuroftalmológicas, o papiledema bilateral foi
diagnosticado em um paciente, correspondendo a um percentual menor do que
o referido por Zajdenweber et al.
17
. O achado, em nosso estudo, foi atribuído à
neurotoxoplasmose cursando com hipertensão intracraniana
20
.
Outros achados não relacionados à infecção por T. gondii, foram
igualmente importantes, porque permitiram o diagnóstico de alterações
fundoscópicas que comprometem a qualidade de vida do paciente. Nesse
grupo, estão incluídos o aumento da escavação papilar, secundário a glaucoma
crônico de ângulo aberto, e a degeneração retiniana periférica (lattice),
presente em um paciente com miopia de alta dioptria. Ambos os pacientes
foram submetidos a tratamento oftalmológico profilático, com a intenção de
prevenir o descolamento de retina.
Concluiu-se que pacientes com aids e neurotoxoplasmose podem
apresentar alterações fundoscópicas características da toxoplasmose ocular,
seja na forma ativa ou cicatricial, relacionadas ao HIV ou, ainda, a outras
67
doenças oportunistas ou sistêmicas. podendo ser de grande auxílio no
tratamento do paciente.
Referências Bibliográficas
1 - Belfort R. The ophthalmologist and the global impact of the aids epidemic:
LV Edward Jackson Memorial Lecture. Am J Ophthalmol 2000;1:1-8.
2 - Lewallen S, Courtright P. HIV and AIDS and the eye in developing countries.
Arch Ophthalmol 1997;115:1291-1295.
3 - Cochereau-Massin I, LeHoang P, Lautier-Frau M, et al. Ocular
toxoplasmosis in human immunodeficiency virus-infected patients. Am J
Ophthalmol 1992;144:130-135.
4 - Carmo EL, Almeida EF, Bichara CN, Póvoa MM. Pesquisa de anticorpos
anti-Toxoplasma gondii em fluidos intra-oculares (humor vítreo e humor
aquoso) de pacientes com toxoplasmose ocular, na cidade de Belém, PA. Rev
Soc Bras Med Trop 2005;38(1):77-79.
5 - Palella FJ Jr, Delaney KM, Moorman AC, Loveless MO, Fuhrer J, et al.
Declining morbidity and mortality among patients with advanced human
immunodeficiency virus infection. HIV Outpatient Study Investigators. N Engl J
Med 1998;338(13):853-860.
6 - Glasner PD, Silveira C, Moran KD, et al. An unusually high prevalence of
ocular toxoplasmosis in Southern Brazil. Am J Ophthalmol 1992;114:136–144
7 - Humphry RC, Weber JN, Marsh RJ. Ophthalmic findings in a group of
ambulatory patients infected by human immunodeficiency virus (HIV): a
prospective study. Br J Ophthalmol. 1987;71(8):565-569.
8 - Weiner A, BenEzra D, Clinical patterns and associated conditions in chronic
uveitis. Am J Ophthalmol 1991;112:151–158.
68
9 - Auzemery A, Queguiner P, Georges AJ, Di Costanzo B, Georges-Courbot
MC, Vohito MD. Ophthalmologic manifestations of acquired immunodeficiency
syndrome (AIDS) in central Africa. Med Trop 1990;50(4):441-443.
10 - Gerente VM, Spada FR, Santos EM, Rossi EE, Coelho AI. Manifestações
oculares de pacientes HIV positivos atendidos no Serviço de Oftalmologia do
Hospital Regional de São José – SC. Arq Catarinenses Med 2004;33(1):27-32.
11 - Sampaio VL, Lucena AR, Cantanhede TMI, Sampaio TL, Dias S. Achados
oculares em pacientes HIV positivos em Pernambuco, Brasil. Fac Med Univ
Fed Pernamb Recife 2000;45(2):126-130.
12 - CDC. Centers for Disease Control. 1993 revised classification system for
HIV infection and expanded surveillance case definition for AIDS among
adolescents and adults. JAMA 1993;10:729-730.
13 - Vargas MA, Rodrigues MLV, Figueiredo JFC, Souza NV. Condições
oftalmológicas de pacientes com síndrome da imunodeficiência com longo
tempo de seguimento. Arq Bras Oftalmol 2007;70(1):85-89.
14 - Arruda RF, Muccioli C, Belfort Jr R. Achados oftalmológicos em infectados
pelo HIV na era pós-HAART e comparação com série de pacientes avaliados
no período pré-HAART. Rev Assoc Med Bras 2004;50(2):148-152.
15 - Matos KFT, Santos MCM, Muccioli C. Manifestações oculares do paciente
infectado pelo HIV atendido no Departamento de Oftalmologia da Universidade
Federal de São Paulo. Rev Ass Med Brasil 1999;45(4):323-326.
16 - Muccioli C, Belfort nior R, Lottenberg C, Lima J, Santos P, Kim M, et al.
Achados oftalmológicos em AIDS: avaliação de 445 casos atendidos em um
ano. Rev Ass Med Brasil 1994;40(3):155-158.
17 - Zajdenweber M, Muccioli C, Belfort Jr R. Ocular involvement in AIDS
patients with central nervous system toxoplasmosis before and after HAART.
Arq Bras Oftalmol 2005;68(6):773-775.
69
18 - Goldberg DE, Smithen LM, Angelilli A, Freeman WR. HIV-associated
retinopathy in the HAART era. Retina 2005;25:633-649.
19 - Vrabec TR. Posterior segment manifestations of HIV/AIDS. Surv
Ophthalmol 2004;49:131-157.
20 - Oréfice F. Uveíte clínica e cirúrgica. Texto & Atlas. Rio de Janeiro: Cultura
Médica. 2000. v. 1-2. 1182p.
Considerações finais e Recomendação
71
O presente estudo trouxe consigo dois pontos importantes: a
constatação de uma prevalência de lesões retinianas ativas menor que a
referida por outros autores e descrição detalhada dos achados oftalmológicos
em pacientes com aids e neurotoxoplasmose. Paralelamente, suscitou também
o questionamento do valor diagnóstico de lesões retinocoroideas cicatriciais
nesses pacientes.
Quanto à menor prevalência de lesões ativas, uma das críticas feitas a
estudos publicados em periódicos de grande circulação é a escassez de
referência à ausência de achados considerados característicos ou mesmo
patognomônicos de determinadas doenças, no pressuposto errôneo de que tais
estudos são de menor valia (Sutton et al., 2001).
A ausência de lesões retinianas ativas típicas em pacientes com aids e
neurotoxoplasmose pode, num primeiro julgamento precipitado, parecer de
menor importância, dada a possibilidade de lesões cicatriciais refletirem apenas
uma inflamação prévia, resolvida, num período anterior da vida do paciente.
No entanto se tem aventado a hipótese de que a toxoplasmose ocular ocorre
em pacientes com aids em um estágio precoce, quando possivelmente ainda
existia alguma resposta imunológica efetiva (Hegab, Al-Mutawa, 2003).
Cumpre, então, considerar a importância do achado de lesões
retinocoroideas cicatriciais em pacientes com aids. O diagnóstico de
toxoplasmose ocular em pacientes com aids tem sido considerado importante
(Gagliuso et al., 1990), porque, na presença de lesões retinianas atípicas ou
mesmo cicatriciais com pouco pigmento, o paciente tem um risco aumentado
de desenvolvimento de recidivas locais e de neurotoxoplasmose (Figueiredo et
al., 1998). Isto exige um seguimento clínico sistemático, com imagem por
ressonância magnética do encéfalo quando necessário (Vrabec, 2004).
Por outro lado, se o infectologista diagnostica infecção pelo HIV, deve
recomendar avaliação oftalmológica pela possibilidade de haver lesões
retinianas toxoplásmicas, com pouca repercussão na acuidade visual do
paciente, portanto, sem queixa. Nesse caso, mesmo a presença de lesões
atípicas, cicatriciais ou ativas, indica um risco aumentado para
desenvolvimento de neurotoxoplasmose, possibilitando um diagnóstico
precoce, quando da abertura do quadro neurológico franco, mesmo porque o
72
momento de atividade dessas lesões passe despercebido do paciente
imunocomprometido, porque os sintomas de turvação visual são menores
(Muccioli et al., 1994, Figueiredo et al., 1998).
Nessa linha de raciocínio, a literatura é unânime em considerar a
avaliação oftalmológica como prevenção secundária de danos mais graves ao
paciente soropositivo para HIV, como procedimento que deve integrar a
avaliação clínica, como parte do atendimento multidisciplinar (Sampaio et al.,
2000, Muccioli et al., 1994, Moshfeghi et al., 2004). Essa é a recomendação
que este estudo deixa.
Referências Bibliográficas
Referências Bibliográficas da Apresentação
Cochereau-Massin I, LeHoang P, Lautier-Frau M, et al. Ocular toxoplasmosis in
human immunodeficiency virus-infected patients. Am J Ophthalmol
1992;114:130-135.
Colombo FA, Vidal JE, Oliveira ACP, Hernandez AV, Bonasser-Filho F,
Nogueira RS, et al. Diagnosis of cerebral in AIDS patients in Brazil: importance
of molecular and immunological methods using peripheral blood samples. J Clin
Microbiol 2005;43(10):5044-5047.
Cunningham Jr ET, Margolis TP. Ocular manifestations of HIV infection. N Engl
J Med 1998;339(4):236-244.
Silveira C. Toxoplasmose: levantamento bibliográfico de 1997 a 2000. Arq Bras
Oftalmol 2001;64(3):263-270.
Zajdenweber M, Muccioli C, Belfort Jr R. Ocular involvement in AIDS patients
with central nervous system toxoplasmosis – before and after HAART. Arq Bras
Oftalmol 2005;68(6):773-775.
Referências Bibliográficas do Referencial Teórico
Abreu MT, Boni D, Beliort Jr R, Passos A, Garcia AR, Muccioli C, et al. Ocular
toxoplasmosis at Venda Nova do Imigrante, ES, Brasil. Arq Bras Oftal
1998;61(5):540-545.
75
Ambroise-Thomas P, Pelloux H. Toxoplasmosis - congenital and in
immunocompromised patients: a parallel. Parasitol Today 1993;9(2):61-63.
Arevalo JF, Quiceno JI, Garcia RF, Mc Cutchan JP, Nelson JA, Fremann WR.
Retinal findings and characteristics in AIDS patients with systemic
mycobacterium avium intracellulare complex and Toxoplasma Encephalitis.
Ophthalmic Surg Lasers 1997;1(28):50-54.
Arruda RF, Muccioli C, Belfort Jr R. Achados oftalmológicos em infectados pelo
HIV na era pós-HAART e comparação com série de pacientes avaliados no
período pré-HAART. Rev Assoc Med Bras 2004;50(2):148-152.
Baccarin FS, Oliveira TB. Prevalência de toxoplasmose em pacientes atendidos
no Laboratório Oswaldo Cruz em Santo Ângelo – RS. NewsLab 2007:78-88.
Bahia-Oliveira LMG, Jones JL, Azevedo-Silva J, Alves CFC, Oréfice F, Addiss
DG. Highly endemic, waterborne Toxoplasmosis in north Rio de Janeiro State,
Brazil. Emerg Infect Dis 2003;9(1):55-62.
Banker AS. Posterior segment manifestations of human immunodeficiency
virus/acquired immune deficiency syndrome. Indian J Ophthalmol
2008;56(5):377-383.
Barragan A, Sibley LD. Migration of Toxoplasma gondii across biological
barriers. Trends in Microbiol 2003;11(9):426.
Black MW, Boothroyd JC. Lytic Cycle of Toxoplasma gondii. Microbiol Mol Biol
Rev 2000;64(3):607-623.
Bosch-Driessen LH, Karimi S, Stilma JS, Rothova A. Retinal detachment in
ocular Toxoplasmosis. Ophthalmology 2000;107:36-40.
Brito AM, Castilho EA, Szwarcwald CL. AIDS e infecção pelo HIV no Brasil:
uma epidemia multifacetada. Rev Soc Bras Med Trop 2000;34(2):207-217.
Burnett AJ, Shortt SG, Isaac-Renton J, King A, Werker D, Bowie WR. Multiple
cases of acquired Toxoplasmosis retinitis presenting in an outbreak.
Ophthalmology 1998;105:1032-1037.
76
CDC. Centers for Disease Control. 1993 revised classification system for HIV
infection and expanded surveillance case definition for AIDS among
adolescents and adults. JAMA 1993;10:729-730.
Coêlho RAL, Kobayashi M, Carvalho Jr LB. Prevalence of IgG antibodies
specific to Toxoplasma gondii among blood donors in Recife, Northeast Brazil.
Rev Inst Med Trop São Paulo 2003;45(4):229-231.
Colombo FA, Vidal JE, Oliveira ACP, Hernandez AV, Bonasser-Filho F,
Nogueira RS, et al. Diagnosis of cerebral toxoplasmosis in AIDS patients in
Brazil: importance of molecular and immunological methods using peripheral
blood samples. J Clin Microbiol 2005;43(10):5044-5047.
Copeland R, Phillpotts BA. Ocular manifestations of HIV. eMedicine 2006:1-46.
Cunningham Jr ET, Margolis TP. Ocular manifestations of HIV infection. N Engl
J Med 1998;339(4):236-244.
Darcy F, Santoro F. Toxoplasmosis. In: Kierszenbaum F (ed.). Parasitic
infections and the immune system. Academic Press. 1994. p. 163-201.
Delair E, Monnet D, Grabar S, Dupouy-Camet J, Yera H, Brézin AP. Respective
roles of qcquired and congenital infections in presumed ocular toxoplasmosis.
Am J Ophthalmol 2008;146:851-855.
Dlugonska H. Toxoplasma rhoptries: unique secretory organelles and source of
promising vaccine proteins for immunoprevention of toxoplasmosis. J Biomed
Biotechnol 2008;1-7.
Dodds EM, Holland GN, Stanford MR, Yu F, Siu WO, Shah KH, et al.
Intraocular inflammation associated with ocular toxoplasmosis: relationships at
initial examination. Am J Ophthalmol 2008;146;856-865.
Dubey JP. Toxoplasmosis – a waterborne zoonosis. Vet Parasitol 2004;126:57-
72.
77
Elkins BS, Holland GN, Opremcak EM, et al. Ocular toxoplasmosis
misdiagnosed as cytomegalovirus retinopathy in immunocompromised patients.
Ophthalmology 1994;101:499–507.
Ewert V, Finamor LP, Dimantas MA, Muccioli C. Neo vascularização retiniana
secundária a obstrução vascular em retinocoroidite por toxoplasma em
paciente HIV positivo. Relato de caso. Arq Bra Oftalmol São Paulo 2004;67(4).
Figueiredo JFC, Rodrigues MLV, Souza NV, Romão E, Krieger FTS. Aspectos
da AIDS de interesse para o oftalmologista. Med Ribeirão Preto 1998(31):577-
583.
Fuentes I, et al. Genotypic characterization of Toxoplasma gondii strains
associated with human toxoplasmosis in Spain: direct analysis from clinical
samples. J Clin Microbiol 2001;39:1566-1570.
Gagliuso DJ, Teich SA, Friedman AH, Orellana J. Ocular Toxoplasmosis in
AIDS patients. Trans Am Ophthalmol Soc 1990;88:63-88.
Garweg JG. Determinants of immunodiagnostic success in human ocular
toxoplasmosis. Parasite Immunol 2005;27:61-68.
Gilbert RE, Stanford MR. Is ocular toxoplasmosis caused by prenatal or
postnatal infection? Br J Ophthalmol 2000;84:224-226.
Goldberg DE, Smithen LM, Angelilli A, Freeman WR. HIV-associated
retinopathy in the haart era. Retina 2005;25:633-649.
Gross U. Prevalence and public-health aspects of toxoplasmosis.
Bundesgesundheitsblatt Gesundheitsforschung Gesund-heitsschutz
2004;47:692-697.
Holland GN, Engstrom RE, Berger BJ. Ocular toxoplasmosis in patients
acquired immunodeficiency syndrome. Am J Ophthalmol 1988;106:653-667.
Holland GN. Ocular Toxoplasmosis: a global reassessment. Part I:
epidemiology and course of disease. Am J Ophthalmol 2003;136:973-988.
78
Holland GN. Ocular toxoplasmosis: a global reassessment. Part II: disease
manifestations and management. Am J Ophthalmol 2004;1371-1377.
Joint United Nations Programme on HIV/AIDS. 2008. p. 24.
Jones LA, Alexander J, Roberts CW. Ocular Toxoplasmosis: in the store of the
eye. Parasite Immunol 2006;28:635-642.
Laliberté J, Carruthers VB. Host cell manipulation by the human pathogen
Toxoplasma gondii. Cell Mol Life Sci 2008;65:1900-1915.
Léger F, Vital C, Vital A, Morlat P, Ragnaud JM, Dupon M. Pathologic
correlations between ocular and cerebral lesions in 36 AIDS patients. Clin
Neuropathol 1997;16(1):45-48.
Luft BJ, Hafner R, Korzun AH, et al. Toxoplasmic encephalitis in patients with
the acquired immunodeficiency syndrome. Members of the ACTG 077 p/ANRS
009 Study Tean. N Engl J Med 1993;329:995-1000.
Melo HRL, Albuquerque VMG. Toxoplasmose. In: Melo HRL, Brito CAA, Filho
DBM, Souza SG, Henrique APC, Silva OB. Condutas em doenças infecciosas.
cap. 52. Rio de Janeiro: MEDSI. 2004. p. 584-593.
Melo HRL, Brito CA, Miranda Filho DB, Souza SG, Henriques APC, Silva OB.
Condutas em doenças infecciosas. cap 16 e 52. Rio de Janeiro: MEDSI. 2004.
Montoya JG, Liesenfeld O. Toxoplasmosis. Lancet 2004;363:1965-1976.
Muller MEW. Estudo anatomopatológico em coriorretinite em bulbos oculares
de Banco de Olhos. 1987. 33p. Tese (Mestrado) – Escola Paulista de Medicina.
São Paulo.
Oréfice F. Uveíte clínica e cirúrgica. Texto & Atlas. Rio de Janeiro: Cultura
Médica. 2000. v. 1-2. 1182p.
Pecorella I, Giardi A, Garner A, et al. Postmortem histological survey of the
ocular lesions in a British population of AIDS patients. Br J Ophthalmol
2000;84:1275-1281.
79
Perkins ES. Ocular toxoplasmosis. Br J Ophthalmol 1973;57:1-17.
Rao NA, Font RL. Toxoplasmic retinochoroiditis. Electron-microscopic and
immunofluorescence studies of formalin-fixed tissue. Arch Ophtalmol
1977;95:273-277.
Robinett DA, Kahan JH, FACEP. The physical examination of the eye. Emerg
Med Clin N Am 2008;26:1-16.
Sampaio VL, Lucena AR, Cantanhede TMI, Sampaio TL, Dias S. Achados
oculares em pacientes HIV positivos em Pernambuco, Brasil. Fac Med Univ
Fed Pernamb Recife 2000;45(2):126-130.
Silveira C. Toxoplasmose: levantamento bibliográfico de 1997 a 2000. Arq Bras
Oftalmol 2001;64(3):263-270.
Streilein JW, Takeuchi M, Taylor AW. Immune privilege, T-Cell tolerance, and
tissue-restricted autoimmunity. Human Immunol 1997;52:138-143.
Sukthana Y. Toxoplasmosis: beyond animals to humans. TRENDS Parasitol
2006;22(3):137-142.
Tedesco RC, Smith RL, Corte-Real S, Calabrese KS. Ocular Toxoplasmosis:
the role of retinal pigment epithelium migration in infection. Parasitol Res
2004;92:467-472.
Tenter AM, Heckeroth AR, Weiss LM. Erratum to “Toxoplasma gondii: from
animals to humans” (Int J Parasitol 2000;30:1217-1258). Int J Parasitol
2001;31:217-20.
Tenter AM, Heckeroth AR, Weiss LM. Toxoplasma gondii: from animals to
humans. Int J Parasitol 2000;30:1217-1258.
Vallochi AL, Muccioli C, Martins MC, et al. The genotype of Toxoplasma gondii
strains causing ocular toxoplasmosis in humans in Brazil. Am J Ophthalmol
2005;139:350-351.
80
Vargas MA, Rodrigues MLV, Figueiredo JFC, Souza NV. Condições
oftalmológicas de pacientes com síndrome da imunodeficiência com longo
tempo de seguimento. Arq Bras Oftalmol 2007;70(1):85-89.
Wallace GR, Stanford MR. Immunity and toxoplasma retinochoroiditis. Clin
Experimental Immunol 2008;153:309-315.
Referências Bibliográficas das Considerações finais e
Recomendação
Figueiredo JFC, Rodrigues MLV, Souza NV, Romão E, Krieger FTS. Aspectos
da AIDS de interesse para o oftalmologista. Med Ribeirão Preto 1998(31):577-
583.
Gagliuso DJ, Teich SA, Friedman AH, Orellana J. Ocular Toxoplasmosis in
AIDS patients. Trans Am Ophthalmol Soc 1990;88:63-88.
Hegab SM, Al-Mutawa SA. Immunopathogenesis of toxoplasmosis. Clin Exp
Med 2003;3:84-105.
Moshfeghi DM, Dodds EM, Couto CA, Santos CI, Nicholson DH, Lowder CY, et
al. Diagnostic approaches to severe, atypical toxoplasmosis mimicking acute
retinal necrosis. Ophtalmology 2004;111:716-725.
Muccioli C, Belfort Júnior R, Lottenberg C, Lima J, Santos P, Kim M, et al.
Achados oftalmológicos em AIDS: avaliação de 445 casos atendidos em um
ano. Rev Ass Med Brasil 1994;40(3):155-158.
Sampaio VL, Lucena AR, Cantanhede TMI, Sampaio TL, Dias S. Achados
oculares em pacientes HIV positivos em Pernambuco, Brasil. Fac Med Univ
Fed Pernamb Recife 2000;45(2):126-130.
Sutton AJ, Abrams KR, Jones DR. An illustrated guide to the methods of meta-
analysis. J Eval Clin Pract 2001;7(2):135-148.
81
Vrabec TR. Posterior segment manifestations of HIV/AIDS. Surv Ophthalmol
2004;49:131-157.
Apêndices
Apêndice A - Termo de Consentimento Livre e
Esclarecido
Título: Achados fundoscópicos em pacientes com a Síndrome da
Imunodeficiência Adquirida e Encefalite Toxoplásmica
Pesquisador Responsável:
Local do Estudo: Hospital das Clínicas da Universidade Federal e Pernambuco
ou no Hospital Correia Picanço
Telefone para contato: (081).
Nome do voluntário (a):_________________________________
R.G______________ Idade: ________ anos
Responsável legal: ___________________________________
Quero convidá-lo (a) para participar do projeto de pesquisa: Achados
fundoscópicos em pacientes com a Síndrome da Imunodeficiência Adquirida e
Encefalite Toxoplásmica, de responsabilidade da pesquisadora Jane Mary
Alves da Silva. Este termo pode conter palavras que o (a) senhor (a) não
entenda. Por favor, pergunte à equipe de estudo a respeito de quaisquer
palavras ou informações que o (a) senhor (a) não entenda claramente.
Concordo em participar voluntariamente desta pesquisa. Admito ter sido
esclarecido sobre as perguntas feitas e que será necessário dilatar a pupila dos
meus dois olhos para que a médica responsável por esta pesquisa realize o
exame do meu fundo de olho.
Estou ciente que é necessário um pouco do meu tempo para que possa
responder as perguntas feitas pela médica, assim como estou ciente de que ela
terá acesso ao meu prontuário médico caso seja necessário algum
complemento de informações que eu não lembre ou não saiba responder.
Fui bem esclarecido de que os colírios que são usados para dilatar a
minha pupila causam ardor transitório em meus olhos e que por causa destes
colírios eu posso apresentar um quadro de alergia, minha visão ficará
embaçada principalmente para perto até por dois dias e minha pressão do olho
pode subir. Se esse aumento da pressão for muito grande ou eu possuir
84
algum problema no nervo óptico, poderei não ter a dor pelo aumento da
pressão, como também vermelhidão nos meus olhos e minha visão poderá
diminuir ou até posso ficar sem enxergar mesmo depois que o efeito do colírio
passar.
Sei que a médica que vai fazer o exame do fundo de olho é oftalmologista
e que no hospital onde estou internado existe tudo que eu possa precisar se eu
apresentar alergia aos colírios ou aumento da pressão do meu olho.
Estou bem esclarecido de que a razão deste estudo é saber se eu tenho
algum problema no fundo de olho e que saberei o resultado de tudo que for
encontrado neste exame. Sei que não pagarei nada para fazer este exame e
que caso seja encontrada alguma alteração terei como tratá-la seja no Hospital
das Clínicas ou no Instituto de Olhos de Recife ou na Clínica de Olhos de
Pernambuco. Fui informado de que o transporte para estas clínicas não me
custará nada e que as ambulâncias do Hospital das Clínicas, do Hospital
Oswaldo Cruz ou do Hospital Correia Picanço serão o meio de transporte
disponível para me levar para a clínica.
Fui bem informado de que quando da apresentação dos resultados da
pesquisa, não serão associados dados que possam me identificar como
paciente da mesma.
Sei que tenho a liberdade de retirar este consentimento a qualquer
momento se eu vier a desistir de participar deste estudo. Estou bem informado
de que se eu não quiser mais participar, isto não trará nenhum prejuízo para
mim.
Fui esclarecido de que posso entrar em contato com a médica
responsável por este estudo sempre que eu achar que é preciso. Neste
consentimento existe o telefone e o endereço da médica e ela me mostrou
onde estão localizados nesta folha. Sei que ela me informará caso mude de
telefone ou endereço.
Visto que nada tenho contra a pesquisa, concordo em participar da
mesma e assinar este presente termo de consentimento livre e esclarecido.
Li e entendi as informações sobre este projeto e todas as minhas dúvidas
em relação à participação nele foram respondidas satisfatoriamente. Dou
livremente o meu consentimento participar da pesquisa, até que decida pelo
contrário. Assinando este termo de consentimento, concordo com a
85
participação neste estudo e não abro o, na condição de participante de um
estudo de pesquisa, de nenhum dos direitos legais que eu teria de outra forma.
Recife, _______ de __________________________ de 200_____
_______________________________________________________
Nome do investigador da pesquisa (letra de forma)
Assinatura
________________________________________________________
Nome do responsável do paciente (letra de forma)
Assinatura
____________________________________________________________
1- Nome da testemunha (letra de forma)
Assinatura
____________________________________________________________
2-Nome da testemunha (letra de forma)
Assinatura
86
Apêndice B - Ficha de coleta de dados - formulário
Registro: _________ Data: ___/___/___
A - Fatores Relacionados ao Paciente
1. Nome: _______________________________________________________
2. Idade (anos): _______
3. Procedência: _______________________
4. Sexo: 1( ) Masculino 2 ( ) Feminino
5. Estado Civil: 1 ( ) Solteiro 2( ) Casado 3( ) Viúvo 4 ( ) Divorciado 5 ( ) Outros
6. Usa Alguma Medicação: 1 ( ) Sim 2( ) Não
Se Sim, qual? ____________________________________________________
_______________________________________________________________
7. Tem conhecimento de intercorrência durante a sua gestação?
1 ( ) Sim 2( ) Não 3 ( ) Não Sabe.
Se sim, quais?
B - Fatores Relacionados à Comorbidades do Paciente
Comorbidades: Presença de doença sistêmica
Hipertensão Arterial Sistêmica 1 ( ) Sim 2( ) Não
Cardiopatia 1 ( ) Sim 2( ) Não
Diabetes Mellitus 1 ( ) Sim 2( ) Não
Herpes 1 ( ) Sim 2( ) Não
Artrite Reumatóide 1 ( ) Sim 2( ) Não
Tuberculose 1 ( ) Sim 2( ) Não
Hanseníase 1 ( ) Sim 2( ) Não
Sífilis 1 ( ) Sim 2( ) Não
Atopia Medicamentosa 1 ( ) Sim 2( ) Não
Toxoplasmose 1 ( ) Sim 2( ) Não
Toxocaríase 1 ( ) Sim 2( ) Não
Rubéola 1 ( ) Sim 2( ) Não
Espondilite Anquilosante 1 ( ) Sim 2( ) Não
Síndrome de Reiter 1 ( ) Sim 2( ) Não
Psoríase 1 ( ) Sim 2( ) Não
Artrite Crônica Juvenil 1 ( ) Sim 2( ) Não
Doença de Behçet 1 ( ) Sim 2( ) Não
Neoplasias 1 ( ) Sim 2( ) Não
Citomegalovirose 1 ( ) Sim 2( ) Não
Gripe Tococose 1 ( ) Sim 2( ) Não
Candidíase 1 ( ) Sim 2( ) Não
Vasculites 1 ( ) Sim 2( ) Não
Bastomicose 1 ( ) Sim 2( ) Não
Infecção pelo Pneumocystis carrine
1 ( ) Sim 2( ) Não
Outros 1 ( ) Sim 2( ) Não
87
Comorbidades: Presença de Doença e/ou Alterações Oculares
Ptose 1 ( ) Sim 2( ) Não
Proptose 1 ( ) Sim 2( ) Não
Dermatocálase 1 ( ) Sim 2( ) Não
Edema Palpebral 1 ( ) Sim 2( ) Não
Tumor Palpebral 1 ( ) Sim 2( ) Não
Xantelasma 1 ( ) Sim 2( ) Não
Triquíase 1 ( ) Sim 2( ) Não
Ectrópio 1 ( ) Sim 2( ) Não
Entrópio 1 ( ) Sim 2( ) Não
Hiperemia Conjuntival 1 ( ) Sim 2( ) Não
Hemorragia Subconjuntival 1 ( ) Sim 2( ) Não
Tumor de Conjuntiva 1 ( ) Sim 2( ) Não
Pigmentação Conjuntival 1 ( ) Sim 2( ) Não
Secreção Ocular 1 ( ) Sim 2( ) Não
Alterações nos Movimentos Oculares 1 ( ) Sim 2( ) Não
Estrabismo 1 ( ) Sim 2( ) Não
Alterações nos Reflexos Pupilares 1 ( ) Sim 2( ) Não
Opacificações Corneanas 1 ( ) Sim 2( ) Não
Câmara Anterior Rasa 1 ( ) Sim 2( ) Não
Alterações Irianas 1 ( ) Sim 2( ) Não
Opacificação Cristaliniana 1 ( ) Sim 2( ) Não
Corectopia 1 ( ) Sim 2( ) Não
Afacia 1 ( ) Sim 2( ) Não
Pseudofacia 1 ( ) Sim 2( ) Não
Outros 1 ( ) Sim 2( ) Não
C - Fatores Relacionados ao Histórico Ocular do Paciente
Ametropia 1 ( ) Sim 2( ) Não 3 ( ) Não Sabe
Glaucoma 1 ( ) Sim 2( ) Não 3 ( ) Não Sabe
Catarata 1 ( ) Sim 2( ) Não 3 ( ) Não Sabe
Trauma Ocular 1 ( ) Sim 2( ) Não 3 ( ) Não Sabe
Cirurgia Ocular 1 ( ) Sim 2( ) Não 3 ( ) Não Sabe
Inflamações Oculares 1 ( ) Sim 2( ) Não 3 ( ) Não Sabe
Uso de Colírios 1 ( ) Sim 2( ) Não 3 ( ) Não Sabe
Intercorrências com Dilatação Pupilar 1 ( ) Sim 2( ) Não 3 ( ) Não Sabe
Outros 1 ( ) Sim 2( ) Não 3 ( ) Não Sabe
D - Fatores Relacionados à Infecção pelo HIV
1. Tempo, em meses, do diagnóstico da infecção pelo HIV: ___________.
2. Uso de medicamentos para tratamento de infecção pelo HIV:
1 ( ) Sim 2 ( ) Não
Se Não, não responder a 3. e 4.
Se Sim, quais? __________________________________________________
_______________________________________________________________
3. O tempo, em meses, que o paciente utiliza a medicação para controle da
infecção pelo HIV: ____________.
4. Uso regular da medicação: 1 ( ) Sim 2 ( ) Não
88
5. Contagem de células CD4+:------------------------ Data do exame:- --------------
6. Carga viral; -------------------------------------------Data do exame:-----------------
E - Fatores Relacionados aos Achados Fundoscópicos
Palidez Papilar 1 ( ) Sim 2( ) Não
Aumento da Escavação Papilar 1 ( ) Sim 2( ) Não
Hiperpigmetação Peripapilar 1 ( ) Sim 2( ) Não
Edema de Disco Óptico 1 ( ) Sim 2( ) Não
Hiperemia de Disco Óptico 1 ( ) Sim 2( ) Não
Edema Retiniano 1 ( ) Sim 2( ) Não
Vitreíte 1 ( ) Sim 2( ) Não
Hemorragia Vítrea 1 ( ) Sim 2( ) Não
Hemorragias Pré Retinianas 1 ( ) Sim 2( ) Não
Hemorragias Retinianas em Chama de Vela 1 ( ) Sim 2( ) Não
Hemorragias Retinianas Puntiformes 1 ( ) Sim 2( ) Não
Neovascularização retiniana 1 ( ) Sim 2( ) Não
Neovascularização de Disco Óptico 1 ( ) Sim 2( ) Não
Roturas Retinianas 1 ( ) Sim 2( ) Não
Descolamento de Retina 1 ( ) Sim 2( ) Não
Drusas Retinianas 1 ( ) Sim 2( ) Não
Drusas Maculares 1 ( ) Sim 2( ) Não
Exsudatos Algodonosos 1 ( ) Sim 2( ) Não
Exsudatos Duros 1 ( ) Sim 2( ) Não
Membranas Vasculares Sub Retinianas 1 ( ) Sim 2( ) Não
Aumento da Tortuosidade Vascular 1 ( ) Sim 2( ) Não
Cruzamentos Artério Venosos Patológicos 1 ( ) Sim 2( ) Não
Neovascularização da Coróide 1 ( ) Sim 2( ) Não
Gliose 1 ( ) Sim 2( ) Não
Estafiloma Posterior 1 ( ) Sim 2( ) Não
Alteração Coloração da Mácula 1 ( ) Sim 2( ) Não
Edema Macular 1 ( ) Sim 2( ) Não
Edema Macular Cistóide 1 ( ) Sim 2( ) Não
Alteração do Epitélio Pigmentar da Retina 1 ( ) Sim 2( ) Não
Alteração do Epitélio Pigmentar Macular 1 ( ) Sim 2( ) Não
Membrana Macular 1 ( ) Sim 2( ) Não
Hemorragia Mácular 1 ( ) Sim 2( ) Não
Drusa Macular 1 ( ) Sim 2( ) Não
Mácula em Cereja 1 ( ) Sim 2( ) Não
Pigmentação Retiniana 1 ( ) Sim 2( ) Não
Vaso em Fio de Cobre 1 ( ) Sim 2( ) Não
Vaso em Fio de Prata 1 ( ) Sim 2( ) Não
Ensalsichamento Venoso 1 ( ) Sim 2( ) Não
Degeneração Retiniana Periférica 1 ( ) Sim 2( ) Não
Marcas de Laser 1 ( ) Sim 2( ) Não
Tumores Retinianos 1 ( ) Sim 2( ) Não
Nevos de Coróide 1 ( ) Sim 2( ) Não
Tumores do Epitélio Pigmentar da Retina 1 ( ) Sim 2( ) Não
Periflebite Retiniana 1 ( ) Sim 2( ) Não
Coroidite 1 ( ) Sim 2( ) Não
Retinite 1 ( ) Sim 2( ) Não
Retinocoroidite 1 ( ) Sim 2( ) Não
Retinocoroidite Inativa 1 ( ) Sim 2( ) Não
Retinocoroidite em Atividade 1 ( ) Sim 2( ) Não
Retinocoroidite com Pigmentação 1 ( ) Sim 2( ) Não
Retinocoroidite sem Pigmentação 1 ( ) Sim 2( ) Não
Retinocoroidite Múltiplas 1 ( ) Sim 2( ) Não
Granuloma de Retina 1 ( ) Sim 2( ) Não
89
Nódulos Pré-retinianos 1 ( ) Sim 2( ) Não
Retinosquise 1 ( ) Sim 2( ) Não
Proliferação do Epitélio Pigmentar da Retina 1 ( ) Sim 2( ) Não
Telangectasias Retinianas 1 ( ) Sim 2( ) Não
Linha de Demarcação Retiniana 1 ( ) Sim 2( ) Não
Alteração na Coloração da Mácula 1 ( ) Sim 2( ) Não
Alteração na Morfologia da Mácula 1 ( ) Sim 2( ) Não
Microangiopatia Retiniana 1 ( ) Sim 2( ) Não
Descolamento Sensorial Mácular 1 ( ) Sim 2( ) Não
Necrose Retiniana 1 ( ) Sim 2( ) Não
Atrofia Peripapilar do Epitélio Pigmentar da Retina 1 ( ) Sim 2( ) Não
“Snow bank” 1 ( ) Sim 2( ) Não
Vasculites 1 ( ) Sim 2( ) Não
Buraco Mácular 1 ( ) Sim 2( ) Não
Oclusão Venosa Central 1 ( ) Sim 2( ) Não
Oclusão de Ramo da Veia Central da Retina 1 ( ) Sim 2( ) Não
Oclusão da Artéria Central da Retina 1 ( ) Sim 2( ) Não
Oclusão de Ramo da Artéria Central da Retina 1 ( ) Sim 2( ) Não
F- Fatores Relacionados aos Dados Colhidos na Ocasião do
Internamento.
Realização de Punção Liquórica 1 ( ) Sim 2( ) Não
Realização de Tomografia Computadorizada 1 ( ) Sim 2( ) Não
Realização de Ressonância Nuclear Magnética 1 ( ) Sim 2( ) Não
Resultado dos exames que realizou:
G- Possíveis.Medicações Utilizadas no Tratamento da Encefalite
Toxoplásmica
Sulfadiazina 1 ( ) Sim 2( ) Não
Pirimetamina 1 ( ) Sim 2( ) Não
Ácido Folínico 1 ( ) Sim 2( ) Não
Dexametazona 1 ( ) Sim 2( ) Não
Anticonvulsivante 1 ( ) Sim 2( ) Não
Clindamicina 1 ( ) Sim 2( ) Não
Azitromicina 1 ( ) Sim 2( ) Não
Sulfametoxazol/Trimetoprima 1 ( ) Sim 2( ) Não
Outros 1 ( ) Sim 2( ) Não
H- Possíveis.Medicações Utilizadas no Tratamento da Infecção pelo HIV
AZT 1 ( ) Sim 2( ) Não
DDI 1 ( ) Sim 2( ) Não
DDC 1 ( ) Sim 2( ) Não
D4T 1 ( ) Sim 2( ) Não
3TC 1 ( ) Sim 2( ) Não
Efavirenz 1 ( ) Sim 2( ) Não
Nevirapina 1 ( ) Sim 2( ) Não
Indinavir 1 ( ) Sim 2( ) Não
Ritonavir 1 ( ) Sim 2( ) Não
Saquinavi 1 ( ) Sim 2( ) Não
Nelfinavir 1 ( ) Sim 2( ) Não
Amprenavir 1 ( ) Sim 2( ) Não
Outros 1 ( ) Sim 2( ) Não
90
I- Fatores Relacionados a Queixas Oculares
Com Queixa 1 ( ) Sim 2( ) Não
J-Tempo Decorrido entre o Diagnóstico da Encefalite Toxoplásmica e a
Realização do Exame Fundoscópico.
01 Dia ( )
02 Dias ( )
03 Dias ( )
04 Dias ( )
K-Tempo Decorrido entre o Internamento e o Diagnóstico da Encefalite
Toxoplásmica
01 Dia ( )
02 Dias ( )
03 Dias ( )
04 Dias ( )
05 Dias ( )
06 Dias ( )
07 Dias ( )
08 Dias ( )
09 Dias ( )
10 Dias ( )
11 Dias ( )
12 Dias ( )
13 Dias ( )
14 Dias ( )
15 Dias ( )
Anexo
Anexo A Aprovação do projeto de pesquisa pelo
Comitê de Ética
Livros Grátis
( http://www.livrosgratis.com.br )
Milhares de Livros para Download:
Baixar livros de Administração
Baixar livros de Agronomia
Baixar livros de Arquitetura
Baixar livros de Artes
Baixar livros de Astronomia
Baixar livros de Biologia Geral
Baixar livros de Ciência da Computação
Baixar livros de Ciência da Informação
Baixar livros de Ciência Política
Baixar livros de Ciências da Saúde
Baixar livros de Comunicação
Baixar livros do Conselho Nacional de Educação - CNE
Baixar livros de Defesa civil
Baixar livros de Direito
Baixar livros de Direitos humanos
Baixar livros de Economia
Baixar livros de Economia Doméstica
Baixar livros de Educação
Baixar livros de Educação - Trânsito
Baixar livros de Educação Física
Baixar livros de Engenharia Aeroespacial
Baixar livros de Farmácia
Baixar livros de Filosofia
Baixar livros de Física
Baixar livros de Geociências
Baixar livros de Geografia
Baixar livros de História
Baixar livros de Línguas
Baixar livros de Literatura
Baixar livros de Literatura de Cordel
Baixar livros de Literatura Infantil
Baixar livros de Matemática
Baixar livros de Medicina
Baixar livros de Medicina Veterinária
Baixar livros de Meio Ambiente
Baixar livros de Meteorologia
Baixar Monografias e TCC
Baixar livros Multidisciplinar
Baixar livros de Música
Baixar livros de Psicologia
Baixar livros de Química
Baixar livros de Saúde Coletiva
Baixar livros de Serviço Social
Baixar livros de Sociologia
Baixar livros de Teologia
Baixar livros de Trabalho
Baixar livros de Turismo