
J. Phys.: Condens. Matter 20 (2008) 204150 L F Gamarra et al
There are several techniques for performing iron content
quantitative analyses [11, 12], such as that using ferromagnetic
resonance (FMR) which is the electron paramagnetic
resonance (EPR) of small ferromagnetic particles. The only
difference is that the electron spins interact among themselves
in the lattice. This leads to a ferromagnetic or ferrimagnetic
order in the nanoparticles, assumed to be composed of
magnetic monodomains and having nearly spherical shape.
Thus, the total magnetic momentum of each nanoparticle is
precessing over the direction of the total static field, which is
the sum of the external static field, the internal contribution of
the domain magnetization and the anisotropic magnetic field
of the local lattice [13]. The magnetic fluids based on SPION
present physical mechanisms that are essentially the same for
ferromagnetic solids and magnetic suspensions. However,
in the ferrofluids the FMR is affected considerably by two
specific characteristics. The first one stems from the smallness
of the particles, and imparts a fluctuational component to
the magnetic moment motion. The second originates from
mechanical mobility of the particles and results in a change
of their anisotropy axis distribution under the influence of the
external fields [14].
For the molecular imaging purposes, a great deal of
interest has been focused on
CD133 stem cell labeling. This
antigen may be expressed in a variety of tissues including the
kidney, pancreas, placenta, fetal liver [15], skeletal muscles
and human neural tissue. This vast number of tissues suggests
an equal number of possible clinical applications, including,
among other interesting possibilities, the utilization of the
progenitor stem cells
CD133
+
in tissue engineering. The
antigen
CD133 is an integral glycoprotein of a 97 kDa
membrane that belongs to a molecular family of proteins 5-
TM [15, 16]. In the human body, the monoclonal antibodies
AC133 may be bonded together in different epitopes, but they
were originally demonstrated to react with a cellular surface
antigen expressed in human stem cells and in various cellular
progenitors, including those derived from the hematopoietic
system [15].
The aim of the present work is the quantitative analysis of
the SPION (Fe
3
O
4
) concentration by means of FMR, where the
nanoparticles are coupled to a specific monoclonal antibody
(
AC133) expressing the antigenic labeling evidence of the
stem cells
CD133
+
of the human blood and umbilical cord.
The study is completed using the techniques of flow cytometry
and transmission electron microscopy (TEM).
We first carried out a study to determine whether the cells
were actually expressing the trans-membrane glycoprotein
antigen
CD133, selected by affinity chromatography. The
second point was to establish the efficiency of the selection
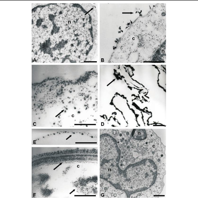
procedure. The TEM analysis was used to detect the presence
of antibodies coupled with SPION attached on the cellular
membrane.
2. Materials and methods
The CD133 cell labeling was achieved by an in vitro
protocol using the monoclonal antibody anti-
CD133 coupled
to magnetic beads composed of SPION—Fe
3
O
4
(Miltenyi
Biotec). These nanoparticles (average diameter of 9
.0 ±
0.3 nm) are found in a colloidal suspension of a ferrofluid, or
magnetic fluid with the iron content of 200
μgml
−1
. Umbilical
cord blood was obtained from volunteer donors (
n = 5)
after the registering of their written consent (CEP-IEPAE
No. 105/02). Mononuclear cells were purified by density
gradient centrifugation (Ficoll-Paque
™ Plus (GE Healthcare)),
according to a modified method published previously [17]. The
CD133
+
cell population was purified using anti-CD133 mAb-
coupled magnetic beads (Miltenyi Biotec) according to the
manufacture’s instructions.
After
CD133
+
cell separation, the cell population
was characterized by flow cytometry using the following
monoclonal antibodies (Becton Dickinson, San Jose, CA, and
Miltenyi Biotec):
CD34 (clone: 581) FITC-conjugated, CD45
(clone: 2D1) PerCP Cy-5.5-conjugated and
CD133/2 (clone:
AC141) APC-conjugated and the respective isotype controls
IgG1 FITC-conjugated, IgG1 PerCP Cy-5.5-conjugated and
IgG1 APC-conjugated.
Cells were incubated with antibodies at 4
◦
C, in the
dark for 30 min, and then washed with PBS and fixed with
1% paraformaldehyde. A total of 105 fluorescent cellular
events were acquired in the FACSARIA flow cytometry (BD
Bioscience) and analyzed using FACSDIVA software. Briefly,
the analysis was performed by gating the cell population
for forward scatter (FSC) versus side scatter (SSC) followed
by gating only the
CD45
+
cells. Within the CD45
+
cell
population, cells were analyzed for expression of
CD34 and
CD133 markers.
After
CD133 cell separation, the cell population was fixed
in 2
.5% glutaraldehyde in 0.2 M cacodylate buffer for 2 h
at 4
◦
C. Later the routine procedure for TEM was carried
out, including washes, post-fixation, contrasting, dehydration
and inclusion in pure resin until complete polymerization
was achieved. Semithin and ultrathin sections were obtained
with the aid of a Porter Blum ultramicrotome. The ultrathin
sections were placed on copper grids and photographed using
a transmission electron microscope, PHILIPS
CM100.
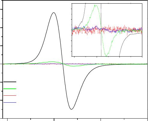
The quantification of the average iron content per cell,
expressed as the average number of SPION per cell, was
attained by means of the technique of FMR. The characteristic
FMR of a ferrofluid compound, containing magnetite particles,
is observed as a broad line at about
g = 2.1. Since the
resonance spectrum is recorded as the derivative of absorption,
the number of resonant spins is proportional to the double
integral of the signal, yielding the area under the absorption
curve, measured over increasing values of the applied magnetic
field, sweeping the complete interval where the resonance
occurs. The constant of proportionality is determined using the
calibration curve, constructed by weighing known amounts of
ferrofluid which are directly correlated with the FMR signal
intensities equal to the areas under the absorption curves,
expressed in arbitrary units.
The calibration curve shown in figure 1 was constructed
using different concentrations of the commercial ferrofluid
Endorem (Endorem
™—Guerbert; earlier trade name AMI-
25, Laboratoire Guerbert, France). The concentrations covered
a range of 2
.6 μM–0.6 mM contained in the volume of 2 μl.
2