Download PDF
ads:
UNIVERSIDADE FEDERAL DO RIO GRANDE DO SUL
FACULDADE DE MEDICINA
PROGRAMA DE PÓS-GRADUAÇÃO EM MEDICINA: CIÊNCIAS MÉDICAS
RESPOSTAS POLARES À INFECÇÃO PELA CROMOBLASTOMICOSE
ANTES E APÓS AS TERAPIAS
TESE DE DOUTORADO
RENAN MINOTTO
PORTO ALEGRE, 2009
ads:
Livros Grátis
http://www.livrosgratis.com.br
Milhares de livros grátis para download.
2
UNIVERSIDADE FEDERAL DO RIO GRANDE DO SUL
FACULDADE DE MEDICINA
PROGRAMA DE PÓS-GRADUAÇÃO EM MEDICINA: CIÊNCIAS MÉDICAS
RESPOSTAS POLARES À INFECÇÃO PELA CROMOBLASTOMICOSE
ANTES E APÓS AS TERAPIAS
RENAN MINOTTO
Orientadora: Prof
a
. Dr
a
. Maria Isabel Albano Edelweiss
Tese de Doutorado
Porto Alegre
Tese de Doutorado com área de
concentração em Dermatologia
apresentada ao Programa de Pós-
Graduação em Medicina: Ciências
Médicas, para obtenção do grau de
Doutor em Medicina.
ads:
3
M666r Minotto, Renan
Respostas polares à infecção pela cromoblastomicose antes e
após as terapias / Renan Minotto ; orient. Maria Isabel Albano
Edelweiss. – 2009.
111 f. : il. color.
Tese (doutorado) – Universidade Federal Rio Grande do Sul.
Faculdade de Medicina. Programa de Pós-Graduação em
Medicina: Ciências Medicas. Porto Alegre, BR-RS, 2009.
1. Cromoblastomicose 2. Granuloma 3. Classificação 4. Pele 5.
Lesões 6. Micoses 7. Terapia I. Edelweiss, Maria Isabel Abano II.
Título.
NLM: WR 300
Catalogação Biblioteca FAMED/HCPA
4
DEDICATÓRIAS
Este estudo é dedicado àqueles que ainda acreditam ser importante para os pacientes o
poder dos bons sentimentos, como um sincero sorriso, um afetuoso abraço, uma palavra
amiga, um elogio por superar uma adversidade, a vibração por uma vitória conquistada, o
alívio quando conseguimos a cura tão desejada, pois estes são valiosos alicerces para que
tenhamos mais fraternidade. Por guiarem-me nesta direção, pela força, carinho, amor e
companheirismo, toda a minha dedicação e o meu muito obrigado a Deus, aos meus pais
Valdir e Hylda, aos meus irmãos Ricardo e Renato, e à minha namorada Rosanie.
5
AGRADECIMENTOS
Ao Programa de Pós-Graduação em Medicina: Ciências Médicas, da Universidade
Federal do Rio Grande do Sul, pela possibilidade de obtenção deste título.
À equipe do Centro de Patologia Experimental do Hospital de Clínicas de Porto
Alegre, pelo suporte para a realização desta pesquisa.
À Prof
a
. Dr
a
. Maria Isabel Albano Edelweiss, pelo aprendizado, por sua dedicada
orientação e interesse científico.
A todos os membros e amigos do Serviço de Dermatologia do Complexo Hospitalar
Santa Casa de Porto Alegre, em especial Dr. Roberto Lopes Gervini, Dr. César Duílio
Varejão Bernardi, Dr. Joel Schwartz, Dr. Ernani Siegmann Duvelius e Dr. Gerson Vetoratto,
pelos ensinamentos, confiança, respeito e consideração.
Ao Dr. Mauro Soilbelman e à Dr
a
. Taís Moreira pela assessoria em Bioestatística e
Epidemiologia.
À Prof
a
. Marybel Rivero, pela revisão da versão em língua inglesa.
Ao Prof. Dr. Clóvis Bopp, in memorian, pelos estudos sobre esta doença.
Aos pacientes, sem os quais este trabalho não seria possível.
6
ABREVIATURAS E SIGLAS
AIDS – Síndrome da Imunodeficiência Adquirida
AnfB – Anfotericina B
CBM – Cromoblastomicose
CHSCPA – Complexo Hospitalar Santa Casa de Porto Alegre
CM – Cromomicose
5 – FC – 5-fluorocitosina
5 – FU – 5 fluorouracil
ELISA – Enzyme-Linked Immunosorbent Assay
GMMO – Granuloma Micótico Misto Organizado
HE – Hematoxilina-Eosina
IgA – Imunoglobulina A
IgG – Imunoglobulina G
IgM – Imunoglobulina M
IL – 4 – interleucina 4
MIC – Concentração Inibitória Mínima
µm – micrômetro
PAS – Ácido Periódico de Shiff
PCR – reação em cadeia da polimerase
rRNA – Ácido ribonucleico ribossomal
Th1 – Linfócito T-auxiliar 1
Th2 – Linfócito T-auxiliar 2
7
LISTA DE FIGURAS
Figura 1: Rhinocladiella aquaspersa.........................................................................................16
Figura 2: Phialophora verrucosa...............................................................................................16
Figura 3: Fonsecaea pedrosoi..................................................................................................17
Figura 4: Fonsecaea pedrosoi..................................................................................................17
Figura 5: Cladophialophora carrionii.........................................................................................17
Figura 6: Cladophialophora carrionii.........................................................................................17
Figura 7: Fonsecaea pedrosoi..................................................................................................17
Figura 8: Mapa fisiográfico do RS............................................................................................21
Figura 9: Raro caso de CBM com lesões planas faciais disseminadas...................................24
Figura 10: Caso incomum de CBM com lesões elevadas e disseminadas no membro
inferior e carcinoma associado (seta).....................................................................25
Figura 11: Caso raro de CBM com lesões elevadas disseminadas recrudescente após
várias terapias..........................................................................................................25
Figura 12: Exemplo de lesão plana (seta)................................................................................25
Figura 13: Exemplos de Lesões elevadas (setas)....................................................................25
Figura 14: Extensa lesão plana (limitada pelas setas).............................................................26
Figura 15: Detalhe de lesão plana (seta)..................................................................................26
Figura 16: Granuloma micótico misto organizado polar com alta intensidade dos elementos
celulares (setas) e fungos (seta azul), em biópsia de lesão elevada. HE 20x.........33
Figura 17: Granuloma micótico misto organizado polar com baixa intensidade dos
elementos celulares e fungos (seta), em biópsia de lesão plana. HE 40x...............34
Figura 18: Imagem de GMMO polar de baixa intensidade em biópsia lesão plana. HE 40x....34
Figura 19: Imagem de gigantócito contendo célula fúngica deteriorada em GMMO polar
de baixa intensidade em biópsia de lesão plana. HE 100x no original...................34
Figura 20: Imagem de GMMO polar de alta intensidade em biópsia de lesão elevada
mostrando eosinófilos, plasmócitos, linfócitos, macrófagos, células gigantes,
neutrófilos e corpos escleróticos. HE 40x no original.............................................34
Figura 21: Imagem de GMMO polar de alta intensidade em biópsia de lesão elevada
mostrando infiltrado linfo-plasmocitário, com macrófagos,presente na
periferia dos granulomas. HE 40x no original.........................................................35
Figura 22: GMMO polar de baixa intensidade em biópsia de lesão plana.
HE 20x no aumento original....................................................................................35
Figura 23: GMMO polar de alta intensidade em biópsia de lesão elevada
com áreas de fibrose e vasculite. HE 10x...............................................................35
Figura 24: Esquema de reação granulomatosa tipo 1 e tipo 2.................................................36
8
RESUMO
Este estudo avaliou pacientes portadores de cromoblastomicose, sendo feita uma
categorização clínica em dois grupos, de acordo com a forma clínica da lesão
dermatológica: o primeiro composto por indivíduos com lesões elevadas e o segundo
formado por casos com lesões planas, com biópsias realizadas antes e depois dos
tratamentos. Através de critérios semiquantitativos, os elementos anatomopatológicos foram
analisados, constatando-se a presença do padrão granulomatoso chamado granuloma
micótico misto organizado, com baixa intensidade em lesões planas e alta em elevadas.
Evidenciou-se que pacientes com lesões planas evoluíram bem clinicamente, com
exames micológicos negativos e sem recidivas (bons respondedores), porém aqueles com
lesões elevadas apresentaram evolução clínica desfavorável, com exames micológicos
positivos e doença recidivante ou recalcitrante, apesar dos tratamentos recebidos (maus
respondedores). E, entre os componentes histopatológicos reacionais à invasão fúngica,
verificou-se associação significativa para fibrose, podendo levar a um pior prognóstico.
Estes achados clínicos e histopatológicos conferem a esta patologia uma idéia de
polaridade, à guisa dos fenômenos das formas polares da hanseníase, da fagocitose, e dos
agentes de baixa virulência. Os autores propõem uma classificação morfológica dos
granulomas da CBM em dois tipos polares: granuloma micótico misto organizado (GMMO)
polar com alta intensidade dos elementos celulares (que corresponderia ao polar não
tuberculóide) e GMMO polar com baixa intensidade (que corresponderia ao polar
tuberculóide).
Palavras-chave: cromoblastomicose, granulomas polares, formas clínicas, patologia
da cromoblastomicose, efeitos/tratamentos.
9
ABSTRACT
Patients with chromoblastomycosis were studied and dichotomized into two groups
according to the clinical lesions: flat and elevated ones which were biopsied before and after
treatments. Histopathological structures underwent through semiquantitatively analisys
evidencing the mixed organized mycotic granuloma with low intensity of histopathological
elements in flat lesions and high in elevated ones.
Flat lesions have improved clinically with negative micological studies (good
responders) while elevated lesions’ patients did not (bad responders). It was found significant
association between evidence of fungus and fibrosis with a poor prognosis.
Clinical and histopathological findings suggest a polarity concept to this disease
based on the fenomenal polar forms of hanseniasis, fagocitosis and the low virulence agents.
The authors proposed a morphological classification of the chromoblastomycosis’
granulomas into two polar types: polar mixed organized mycotic granuloma (MOMG) with
high intensity of the cellular elements (like the polar non tuberculoid type) and the polar
MOMG with low intensity (like the polar tuberculoid type).
Key-words: chromoblastomycosis, polar granulomas, clinical forms, pathology of
chromoblastomycosis, effects/treatments.
10
SUMÁRIO
DEDICATÓRIAS........................................................................................................... IV
AGRADECIMENTOS.................................................................................................... V
ABREVIATURAS E SIGLAS........................................................................................ VI
LISTA DE FIGURAS..................................................................................................... VII
RESUMO....................................................................................................................... VIII
ABSTRACT................................................................................................................... IX
1. INTRODUÇÃO.........................................................................................................11
2. BUSCA DE INFORMAÇÕES.................................................................................. 13
3. REVISÃO DA LITERATURA...................................................................................14
3.1. Aspectos Conceituais........................................................................................ 14
3.2. Agentes Etiológicos........................................................................................... 15
3.3. Aspectos Epidemiológicos................................................................................ 17
3.4. Modos de Aquisição da Moléstia...................................................................... 21
3.5. Respostas Cutâneas (Lesões Macroscópicas) à Infecção pela CBM.............. 22
3.6. Diagnóstico da Doença..................................................................................... 26
3.7. Respostas Histopatológicas (Lesões Microscópicas) à Infecção pela CBM.... 28
3.8. Diagnósticos Diferenciais.................................................................................. 40
3.9. Terapêuticas..................................................................................................... 41
3.10. Prognóstico..................................................................................................... 45
4. OBJETIVOS............................................................................................................ 48
5. REFERÊNCIAS....................................................................................................... 49
6. ARTIGOS................................................................................................................. 63
6.1. Artigo 1. Versão em inglês................................................................................ 63
6.2. Artigo 2. Versão em inglês................................................................................ 83
7. CONSIDERAÇÕES GERAIS E PERSPECTIVAS FUTURAS................................ 109
11
1. INTRODUÇÃO
A cromoblastomicose é uma micose subcutânea, de caráter crônico, presente em
diversas regiões do mundo. São raros estudos que abordem tratar-se de uma doença polar,
com dois padrões de lesões dermatológicas (planas e elevadas), cada qual com distintas
expressividades do granuloma micótico misto organizado (presente na doença), e dos
elementos extracelulares, e que finalmente mostrem as respostas macro e microscópicas à
invasão fúngica e as correlacionem antes e após os tratamentos.
Entre os agentes causadores desta doença, os mais citados são: Fonsecaea
pedrosoi, Fonsecaea compacta, Phialophora verrucosa, Cladisporium carrionii e
Rhinocladiella aquaspersa, os quais se encontram com mais freqüência no solo, em
vegetais, espinhos de plantas, vegetação em decomposição e em madeiras putrefatas, sob
forma saprofítica. A contaminação ocorre, em geral, por inoculação direta do agente, apesar
de existirem alguns estudos sugerindo a inalação e localização pulmonar primária com
posterior disseminação da doença. É comum no ambiente agrícola, acometendo
trabalhadores rurais, porém não se restringe a este âmbito, pois tem distribuição
cosmopolita estando presente em regiões mais urbanizadas.
Ao exame dermatológico, as lesões apresentam formas elevadas (verrucosas,
vegetantes, nodulares, papulosas) ou planas (eritematosas, descamativas, atróficas,
escamosas), únicas ou múltiplas, localizadas ou disseminadas, e os pacientes possuem
predominantemente ou uma ou outra forma. Pode ocorrer disseminação linfática e
hematogênica com comprometimento de órgãos internos ou grande expansão pela
superfície tegumentar. Carcinomas eventualmente desenvolvem-se em lesões
cromoblastomicóticas, além de outras doenças fúngicas e bacterianas coinfectando estes
pacientes. A cromoblastomicose costuma apresentar uma evolução insidiosa, podendo
haver reativação após aparente melhora clínica, tendendo à cronicidade, independente dos
tratamentos realizados, principalmente em lesões elevadas. Outras complicações são
12
linfedema crônico, evolução para elefantíase, associados a quadros de isolamento social,
péssima qualidade de vida e incapacidade para o trabalho.
O exame histopatológico revela que os organismos causadores da doença são
encontrados dentro de células ou livres nos tecidos, como esporos marrom-escuros, de
paredes espessadas, de estrutura complexa, variando de 5 a 15 μm, e a presença de uma
reação inflamatória granulomatosa, com um padrão ainda pouco esclarecido, associada a
outros elementos morfológicos a investigar, por exemplo, fibrose dérmica extensa e
progressiva associada com persistente estímulo antigênico das estruturas fúngicas.
Baseados em idéias e conceitos morfológicos sobre a classificação da inflamação
granulomatosa em granulomas polares, associando-se com os graus de diferenciação e
comportamento da expressividade dos elementos micro e macroscópicos em lesões de
CBM, os autores entenderam que é possível aplicá-los nesta entidade, agregando-se os
conceitos de baixa virulência dos seus agentes causadores e dos mescanismos de
fagocitose variáveis.
Com o intuito de contribuir para o entendimento desta doença, desenvolveu-se esta
pesquisa, aprofundando-se alguns aspectos até então pouco esclarecidos, tais como
estabelecer uma padronização e dicotimização entre os diferentes tipos macroscópicos de
lesões dermatológicas, e seus respectivos elementos microscópicos, em resposta a esta
infecção e suas associações antes e após os tratamentos.
13
2. BUSCA DE INFORMAÇÕES
A revisão bibliográfica foi realizada nas bases de dados da web PUBMED -
MEDLINE – COCHRANE - BVS - LILACS, bem como livros-texto, dissertações, teses e
artigos contidos em suas referências.
Usando o termo “chromoblastomycosis”, foram encontrados 733 artigos na internet.
Restringindo para “clinical of chromoblastomycosis”, achados 126 trabalhos e, para “clinical
forms of chromoblastomycosis”, 5 artigos. Com “histopathology of different cutaneous
lesions of chromoblastomycosis”, “histopathology of diferent dermatological forms of
chromoblastomycosis” ou “histopathology of clinical dermatological forms of
chromoblastomycosis”, encontrado 1 artigo. Para “polar granulomas in
chromoblastomycosis”, nenhum artigo.
14
3. REVISÃO DA LITERATURA
3.1. Aspectos Conceituais:
Afecções por fungos demáceos tiveram várias classificações desde a sua
descoberta, sendo ainda muito polêmica sua taxonomia (1-18). No passado, argumentava-
se contra o nome cromoblastomicose (CBM), pela tese de que o fungo causador da doença
reproduzia-se por septação, ao contrário da blastomicose, onde seria por brotamento (11),
entretanto replicava-se que, por ser produzida por fungos que mantêm formas arredondas
na vida parasitária, adequava-se com o conceito das blastomicoses (18). Porém, defendia-
se que, em pacientes com uma resposta imune alterada, a doença poderia produzir um
quadro sistêmico grave, com metástases viscerais, sendo usada, então, a denominação
cromomicose (CM) (12). Por outro lado, CM seria menos apropriado para especificar a
doença cutânea clássica, uma vez que incluiria uma variedade de afecções por agentes
etiológicos demáceos (como a feohifomicose), sendo mais adequada a denominação
cromoblastomicose (16). McGinnis (15) defende o termo cromoblastomicose e rejeita
cromomicose. Neste estudo, acompanhando o raciocínio de diversos autores
(10,13,15,16,18), usa-se o nome cromoblastomicose.
Classicamente, a ocorrência da CBM é relatada em áreas tropicais, afetando,
principalmente, homens e trabalhadores rurais, nos membros inferiores. É uma afecção
pertencente ao grupo das micoses subcutâneas, com histórico de longa evolução, tendo
como agentes causadores fungos demáceos que vivem como saprófitas no solo ou
materiais orgânicos na natureza, e no reino vegetal (19-22). A lesão inicial ocorre no local de
inoculação, o qual ocorre freqüentemente por implantação traumática, raramente com
invasão sistêmica (23-25). Um dos exemplos utilizados seria o de pessoas que manipulam
madeiras, como os carpinteiros, conforme descrito no caso de um profissional, que após 1
ano, apresentava uma lesão eritematosa na mão (26). Após a implantação do fungo,
15
desenvolve-se uma série de alterações microscópicas na pele, que irão caracterizar a
formação de lesões cutâneas visíveis (18-27).
Os achados em biópsias cutâneas revelam, entre outros, granulomas, fibrose, e
fungos na fase leveduriforme, os quais apresentam um espessamento de sua parede
celular, diferente do observado quando em meios de cultura a 25
o
C ou a 37
o
C. Em
pacientes debilitados os mesmos organismos podem ter morfologia miceliana. (13,29,30).
3.2. Agentes Etiológicos:
Os fungos demáceos causadores da CBM possuem pigmentação escura, devido à
presença de melanina em sua parede celular, formando colônias aveludadas de crescimento
lento que variam de tons marrom e verde escuros, nos meios de cultura (3,14-17). Os
gêneros e espécies são distingüidos uns dos outros e identificados com bases na morfologia
de seus conidióforos e modo pelos quais seus conídios unicelulares são produzidos. As
espécies mais descritas são: Fonsecaea pedrosoi, Fonsecaea compacta, Phialophora
verrucosa, Cladosporium carrionii e Rhinocladiella aquaspersa, as quais são encontradas
em plantas, no solo, na vegetação em decomposição e em madeiras putrefatas, sob forma
saprofítica (18-21,31-34). Fonsecaea pedrosoi é o agente etiológico mais descrito
(19,20,35-37), porém existem relatos de outras espécies, como Fonsecaea monophora uma
nova espécie isolada de Fonsecaea pedrosoi (38) e Taenolella boppii (14).
Os fungos demáceos responsáveis pela CBM são dimórficos: a fase leveduriforme, a
37
o
C em cultura, é a que mais está presente em lesões cutâneas (fase parasítica). A fase de
hifa desenvolve-se nos meios de cultura a 25
o
C (fase saprofítica). O fato de células
leveduriformes serem mais freqüentemente encontradas do que hifas, provavelmente se
deve à ausência de fatores necessários para a morfogênese das hifas ou um efeito inibitório
16
local relacionado com o micro-ambiente cutâneo incluindo os mecanismos de defesa do
hospedeiro (10,13,18,39,40).
F. compacta e F. pedrosoi são polimórficos, isto é, eles podem formar mais do que
um tipo ou arranjo de conídios em uma única cultura. A reprodução é por septação. Na
observação microscópica podem apresentar três tipos de frutificação: a) Cladosporium:
esporulação acrógena e catenulada; b) Phialophora: esporulação semi-endógena; c)
Rhinocladiella: esporulação acropleurógena. F. pedrosoi apresenta os três tipos, sendo o do
tipo Cladosporium o predominante (15,17,18,23).
Os mecanismos pelos quais a fase filamentosa saprofítica transforma-se para a
parasítica no homem não são totalmente entendidos. Nas áreas teciduais afetadas, os
fungos podem apresentar formas esféricas ou ovóides, alguns com filamentação e coloração
acastanhada (15,17,18,34,35), que recebem vários sinônimos: células escleróticas, corpos
escleróticos, corpos Medlar, corpos fumagóides e células muriformes, entre outros. Os
corpos escleróticos são, para alguns autores, uma forma vegetativa intermediária,
interrompida, entre morfologia de levedura e hifa (22,23). Aparecem como leveduras
arredondadas de 5 a 15 μm de diâmetro. Filamentos de hifas são vistos mais comumente do
que células escleróticas quando o organismo metastatiza para outras partes do corpo, como
o cérebro (15,18,41). Mais recentemente, têm sido usados métodos de análise molecular de
rDNA correlacionando com a patogenicidade, virulência e descrição de novas espécies (42).
Exemplos de agentes da CBM:
Figura 1: Rhinocladiella aquaspersa Figura 2: Phialophora verrucosa
17
Figura 3: Fonsecaea pedrosoi Figura 4: Fonsecaea pedrosoi
Figura 5: Cladophialophora carrionii Figura 6: Cladophialophora carrionii
Figura 7: Fonsecaea pedrosoi
Fonte: www.doctorfungus.com
3.3. Aspectos Epidemiológicos:
A primeira publicação sobre esta entidade nosológica foi em 1915 (1) e, desde então,
estudos tem sido realizados em diversas regiões do mundo.
18
É uma doença ubiqüitária, entretanto muitos casos ocorrem em regiões de clima
tropical e subtropical (10,18,21,23,29,32,43,44-50). Existem estudos publicados de CBM em
diversos países nos últimos anos, como mostram alguns exemplos: Sri Lanka (51), Líbia
(52), Tailândia (53) e México (54,55). Casos da doença também foram publicados no Nepal
e, dentre estes, houve diagnósticos iniciais de carcinoma e de psoriase (56). Em Portugal
(26) foram recentemente descritos casos em carpinteiros. Na China (38,57) foi descrita há
poucos meses uma nova espécie, além de novos casos da doença. No Japão (58,59) foram
relatados casos associados com hanseníase e outros casos de lesões em membros
superiores. Na Índia (60) e em Guadalupe (61) também foram relatados casos de
acometimento de membros superiores.
Jayalakshmi e cols. (46), na Malásia, publicaram um estudo de casos de
cromoblastomicose, sendo todas as lesões em membros inferiores. Na maioria dos
pacientes houve uma suspeita clínica inicial de que a lesão fosse de origem maligna.
Bansal e cols. (47), na Jamaica, revisaram 31 casos. A idade média foi de 56 anos, e
a proporção de homens atingidos para mulheres acometidas pela doença foi de 5:1, sendo
mais freqüente nos membros inferiores. Estudo micológico havia sido efetuado em 16 casos
(tendo sido encontrado F. pedrosoi em 14 pacientes).
Kombila e cols. (45), no Gabão, estudaram 64 casos de CBM, sendo grande parte
deles provenientes de zonas rurais. Em 78,5% dos casos, houve acometimento dos
membros inferiores. F. pedrosoi foi a única espécie encontrada.
Esterre e cols. (43), estudaram 1343 casos de cromoblastomicose vistos em
Madagascar. O fungo isolado foi F. pedrosoi em 61,8% dos casos. Duas áreas geográficas
distintas de focos da doença foram identificadas, uma ao norte, com maior precipitação de
chuvas e florestas, com maior número de casos, e outra ao sul, de clima semidesértico, com
vegetações diferentes. Curiosamente, apesar de F. pedrosoi ser o organismo mais isolado
no mundo, na Austrália e na África do Sul C. carrionii é usualmente o principal agente
responsável (50).
19
Diaz Almeida e cols. (49), em Cuba, estudaram 72 casos de CBM, observando uma
proporção de seis homens para cada mulher afetada. Os membros inferiores foram
acometidos em 60% dos casos. Fonsecaea pedrosoi foi evidenciado em 63% dos casos.
Pastrana Fundora e cols. (48), também em Cuba, publicaram mais casos de
cromoblastomicose, e viram que a maioria dos pacientes tinha mais de 40 anos de idade,
sendo que 82,9 % eram do sexo masculino e 77,2% eram provenientes de área rural.
Acometimento de membros inferiores ocorreu em 60% dos casos.
Na Colômbia e Equador, 75% ou mais dos casos envolveram F. pedrosoi, o restante
sendo causado por P. Verrucosa (32,62).
Na Argentina também são descritos casos da moléstia (21). Na Venezuela existem
vários relatos e, recentemente, foram descritos pacientes com lesões planas em membros
superiores (44,63).
No Brasil, a primeira publicação data de 1922 (2). A doença está presente em
diversos estados, sendo a maioria dos casos por F. pedrosoi (10,19,20,31,64-72).
Mello e Silva (66), no estado do Maranhão, estudando casos de cromoblastomicose,
encontraram alta prevalência nos pacientes do sexo masculino, entre 50 e 60 anos de idade,
a maioria de trabalhadores rurais, sendo que 84,6% apresentavam lesões em membros
inferiores. F. pedrosoi foi o agente mais isolado.
Silva e cols. (68), relataram 30 casos de cromoblastomicose, também no Maranhão,
sendo que em dois casos havia associação com Hanseníase.
Talhari e cols. (65), na região amazônica, estudaram casos de CBM. As condições
climáticas encontradas, incluíam a presença de floresta tropical, alta precipitação de chuvas
e temperatura média anual de 26
o
C.
Também na região amazônica brasileira, Silva JP e cols. (67) revelaram 325 casos
da doença. A idade dos pacientes variou de 41 a 70 anos, e 86,1% eram trabalhadores
rurais, sendo 93,2% homens e 80,7% mostravam lesões nos membros inferiores. Em São
20
Paulo, mais estudos sobre a moléstia também foram publicados (73). Há poucos meses, no
Pará, novos relatos feitos sobre forma plana da doença (74).
No Rio Grande do Sul (RS), os primeiros relatos de CBM na literatura datam de 1938
feitos por Pereira e cols. (4), em pacientes originários de zonas rurais, com história crônica
de ferimentos nos membros inferiores. Sucessivamente, houve o relato de mais casos da
doença por Pereira filho (8) e Neves da Silva e cols. (9). Bopp (10), em um referencial
estudo, ressaltou vários aspectos desta moléstia no Rio Grande do Sul, havendo predomínio
geográfico na metade norte do estado. Bopp e Bernardi (69) estudaram, no RS, novos
casos da doença verificando predominância de zonas rurais, acometendo trabalhadores do
campo. Os autores verificaram que o clima e elementos do solo, os quais variam de acordo
com as regiões do Rio Grande do Sul, são significativos no que concerne à sobrevida dos
referidos fungos. Neste estudo, constataram sua ocorrência habitualmente junto aos vales
dos cursos de água do triângulo norte do estado, onde se combinavam os índices favoráveis
de umidade e calor com a grande fertilidade dos solos.
Londero e Ramos (64,70) relataram seus estudos sobre casos de
cromoblastomicose vistos no interior do Rio Grande do Sul. Lesões foram encontradas na
face e em membros superiores. Havia uma maior proporção de homens afetados. O agente
isolado foi F. pedrosoi. Matte e cols. (71), publicaram novos casos de cromoblastomicose
diagnosticados no interior do Rio Grande do Sul.
Minotto e cols. (19,20) ressaltaram os aspectos clínicos e evolutivos em vários casos
de CBM no Rio Grande do Sul, verificando que F. Pedrosoi era o agente causador em 96%
dos pacientes. Foram constatadas localizações atípicas das lesões e associações com
outras doenças nos mesmos sítios de CBM.
Novos casos sobre esta patologia têm sido divulgados a cada ano no RS (19).
21
Distribuição de uma população de portadores de CBM de acordo com as regiões fisiográficas no estado do RS:
Figura 8: Mapa fisiográfico do RS.
Fonte: Minotto R, et al. Chromoblastomycosis: A review of 100 cases
in the state of Rio Grande do Sul , Brazil. J Am Acad Dermatol 2001; 44: 585-92.
3.4. Modos de Aquisição da Moléstia:
O contágio ocorre mais freqüentemente por inoculação percutânea do fungo, através
de traumatismos cutâneos produzidos por elementos onde ele esteja presente, tais como
vegetais, espinhos, fragmentos de madeira, troncos, ou folhas contaminadas (19,20,26,27).
Elementos fúngicos pigmentados foram encontrados em lascas de madeira, em
associação com reação inflamatória granulomatosa, contidas em biópsias de pacientes que
sofreram traumatismos com gravetos de árvores, os quais continham os mesmos
organismos, desenvolvendo CBM causada por F. pedrosoi depois do trauma
(10,15,26,27,69).
Regiões Fisiográficas do Rio Grande do Sul:
Missões e Alto Uruguai (A) – 25 casos
Planalto Médio (B) – 14 casos
Encostas Superior e Inferior do Nordeste (C) – 24 casos
Serra e Encosta do Sudeste (D) – 5 casos
Depressão Central (E) – 21 casos
Campanha (F) –nenhum caso
Campos de Cima da Serra (G) –7 casos
Litoral (H) – 4 casos
URUGUAI
A
RGENTINA
S
ANTA
CATARINA
O
CEANO
ATLÂNTICO
A
E
F
G
C
B D
H
22
Ocorre que nem sempre há o episódio de trauma, sugerindo-se que as lesões
cutâneas da CBM possam surgir a partir da inalação do agente, pela descrição de foco
pulmonar primário silencioso inicial, com posterior disseminação hematogênica da doença,
devido à ausência de uma reação cancriforme característica. A obtenção de culturas de F.
pedrosoi a partir do material proveniente de lavado brônquico de pacientes portadores de
lesões cutâneas de CBM comprova essa possibilidade, principalmente em casos de
localização cerebral. Este ponto de vista é suportado também por relatos ocasionais de
disseminação hematogênica e pela observação de múltiplas áreas de calcificação no raio-x
de tórax de pacientes com CBM (11,72,75-84).
A propagação do fungo, após sua penetração na pele, dá-se por via linfática. Pela via
sangüínea, em casos graves, a doença pode propagar-se por todo o organismo. Em geral, a
disseminação orgânica ocorre em casos sob uso prolongado de corticosteróides,
imunossupressores ou na vigência da associação com doença grave ou doenças onde
ocorra imunodepressão como a AIDS (24,77,78,80). No Japão e no Brasil relataram-se
casos de pacientes com hanseníase que tiveram CBM (58,68). Recentemente foram
verificados casos de CBM detectados por métodos moleculares de seqüência de rRNA, em
pacientes com transplante de rins (85).
Tem sido sugerido que os organismos implantados possam permanecer quiescentes
por longos períodos de tempo (18). É possível que traumas repetidos e danos teciduais ao
local sejam requeridos antes dos organismos estarem capazes de iniciar o processo da
doença, originando as lesões cutâneas (27).
3.5. Respostas Cutâneas (Lesões Macroscópicas) à Infecção pela CBM:
A CBM é geralmente confinada às superfícies cutâneas e, no ponto de inoculação,
costuma surgir, inicialmente, uma diminuta lesão, com raro prurido ou dor (55). Vários
23
meses após, no local de implantação do fungo, visualizam-se as lesões dermatológicas,
descritas com diferentes morfologias: nodulares, verrucosas, papulosas, hiperceratóticas e
vegetantes (19,20,37,52,54,74,79,86). Relatam-se, também, lesões eritematosas,
descamativas, escamosas, eritêmato-descamativas, eczematosas, psoriasiformes e
atróficas (19,20,55,59,67,73,79,87). Costumam ser lesões bem circunscritas e de
crescimento lento. Ao exame clínico, as lesões assumem aspectos e tamanhos variados
com diferentes diâmetros, podendo serem de pequenas ou grandes dimensões, nem
sempre de fácil reconhecimento, simulando outras doenças (59,86,87).
Além disso, o quadro dermatológico revela aspectos localizados ou acometendo
vários segmentos topográficos, talvez por auto-inoculação ou por via linfática, surgindo
novas lesões de mesmo padrão, que chegam a atingir grandes extensões (63). Às vezes
tendem a ulceração, surgindo odor desagradável em conseqüência da maceração dos
tecidos e infecção secundária (19).
As lesões, então, podem ser planas ou elevadas e, nestes casos, chegam a ter
relevâncias com mais de 3 cm acima da superfície cutânea (18). Essas vegetações,
nodulosidades e verrucosidades, irregulares e pedunculadas, lembram o aspecto de couve-
flor (18). A doença é usualmente confinada aos pés e pernas, mas o envolvimento das
mãos, nádegas, orelhas, tórax, face, abdômen, e outras superfícies têm sido relatado,
algumas vezes podendo representar disseminação linfática e/ou hematogênica (19,20).
Portanto, nos últimos anos, várias outras topografias, além dos membros inferiores,
foram descritas (19,20,26,52,55,59,63,74,88-90). A face é raramente infectada, como
aconteceu em uma garota de 16 anos, na Líbia, sem associação com trauma, recorrente
após seis anos do primeiro tratamento (52). É também incomum a disseminação com
formação de lesões cutâneas generalizadas, por contigüidade, lesões linfangíticas ou
hematogênicas (19,20), e casos de abscessos cerebrais onde se isolou F. pedrosoi (77).
CBM ocorrendo em outros sítios que não a pele são raros (18,50,77,81), exemplos:
alterações nas unhas com melanoníquia estriada longitudinal (91), ósseas com sinovite e
24
osteomielite (92) e quadros oftalmológicos com ceratite fúngica (88), devidos à Fonsecaea
pedrosoi.
Uma pesquisa procurou associar, em casos de CBM, os achados de histopatologia
com as formas clínicas da doença, em 19 pacientes sem tratamentos, sendo observados
dois tipos de reações teciduais: dos 15 que apresentavam lesões verrucosas, observou-se
uma reação granulomatosa supurativa, rica em fungos, e dos 4 casos com lesões
eritematosas ou atróficas, viu-se uma reação granulomatosa menos supurativa, com poucos
fungos (73).
A CBM evolui lentamente, produzindo fibrose tecidual que prejudicará a circulação
linfática, com aumento do volume da parte acometida e conseqüente elefantíase, com perda
total ou parcial da capacidade funcional do membro atingido (10,18-20,22,44,72).
Carcinomas eventualmente surgem a partir de lesões cromoblastomicóticas, mascarando o
diagnóstico e complicando ainda mais o prognóstico, os quais desenvolvem-se
vagarosamente, similares àqueles que surgem a partir de queimaduras, úlceras fagedênicas
tropicais e úlceras hansênicas crônicas (79). Outras complicações são linfedema com
evolução para elefantíase, lesões inestéticas, quadros de isolamento social levando muitas
vezes ao abandono dos tratamentos, péssima qualidade de vida, incapacidade para o
trabalho e cronicidade da doença (19,20,39,68,81).
Exemplos de lesões clínicas de CBM:
Figura 9: Raro caso de CBM com lesões planas faciais disseminadas.
25
Figura 10: Caso incomum de CBM com lesões Figura 11: Caso raro de CBM com lesões
elevadas e disseminadas no membro inferior elevadas disseminadas recrudescente
e carcinoma associado (seta). após várias terapias.
.
Figura 12: Exemplo de lesão plana (seta).
Figura 13: Exemplos de Lesões elevadas (setas).
26
Figura 14: Extensa lesão plana (limitada pelas setas). Figura 15: Detalhe de lesão plana (seta).
Fonte: Fototeca do Serviço de Dermatologia do CHSCPA.
3.6. Diagnóstico da Doença:
O diagnóstico é feito através dos aspectos clínicos e laboratoriais. O aspecto clínico
das lesões cutâneas é, na maioria das vezes, sugestivo para o diagnóstico. A confirmação
laboratorial é feita através de exame micológico direto e cultural e exame histopatológico
(10,12,15,18,19).
Com relação ao exame micológico direto, o material das lesões é examinado entre
lâmina e lamínula, previamente tratado com hidróxido de potássio, possibilitando a
demonstração do fungo, observando-se células arredondadas, de contornos nítidos,
acastanhadas e, por cultura, estabelece o diagnóstico do agente. Algumas dessas células
apresentam septações, às vezes, em mais de um plano. O diagnóstico laboratorial pelo
exame direto é relativamente fácil, mas deve sempre ser confirmado por cultura. Isto é
importante na avaliação prognóstica, pois algumas espécies podem disseminar-se para o
cérebro e outros órgãos. Uma vez que os agentes da CBM não são inibidos pela
27
cicloheximida ou cloranfenicol, meios seletivos usando estes antibióticos devem ser usados.
O cultivo do material em meios apropriados possibilitará o crescimento do fungo, podendo
ser necessário, no mínimo, 6 semanas para que isso ocorra. Em contraste com espécies
saprofíticas do solo, a maioria dos agentes, comumente isolados da CBM, cresce
lentamente. As colônias são escuras e iniciam-se por pequenos pontos na superfície dos
meios de cultura. O exame microscópico das colônias evidencia variações morfológicas do
seu aparelho reprodutor (conidióforo), o que serve para a identificação dos diferentes
agentes causadores da CBM (18,34,72,93,94).
O exame histopatológico da biópsia mostrará o fungo, o qual pode ser observado em
meio a diversas estruturas morfológicas ou, mais freqüentemente, no interior de células
gigantes, sob a forma de células arredondadas, com nítida membrana, acastanhada, sendo
a hematoxilina-eosina, o PAS, o Gomori-Grocott e o Ziehl, modificado por Fite-Faraco, as
principais colorações utilizadas para melhor visualizá-lo (93).
Parece afetar predominantemente o homem, havendo descrições de uma doença
fúngica semelhante em anfíbios (15,17,18). Infecção natural em animais com os organismos
que causam CBM ocorrem, mas é raramente relatada. Poucos casos têm sido encontrados
em cães, gatos, cavalos e sapos, como relatado em um estudo, onde detectou-se afecção
cutânea causada por Fonsecaea pedrosoi em um cachorro (95). Com relação à inoculação
em animais para estudos diagnósticos, utiliza-se o material proveniente do doente ou
suspensão salina da cultura do fungo para ser injetado, por via endovenosa, intratesticular
ou intraperitonial, em ratos, obtendo-se a formação de um granuloma, rico em parasitos, o
qual é observado ao exame microscópico dos tecidos (96). Através de outros modelos
experimentais realizados, ao se injetar suspensão de cultura de F. pedrosoi em
camundongos previamente submetidos a injeções endovenosas de cortisona, verificaram-se
lesões nodulares, localizadas na pele, em tecido conjuntivo, no cérebro e em outros órgãos,
cujo exame micológico das lesões cutâneas revelou a presença de células muriformes
28
idênticas às encontradas na CBM humana, enquanto as lesões cerebrais evidenciaram
somente hifas (10,15,17,18,31,69).
Com relação aos testes sorológicos, eles não são utilizados rotineiramente, pela falta
de sensibilidade e de especificidade do antígeno, sendo freqüentes as reações cruzadas
entre os demais fungos demáceos (72,96). Entretanto, estudos foram feitos para detecção
da resposta imune celular tipo hipersensibilidade retardada a antígenos metabólicos de F
pedrosoi (cromomicina) em testes cutâneos, sugerindo que este antígeno pode ser usado
como auxiliar no diagnóstico da doença e em estudos epidemiológicos para determinação
da prevalência da doença em áreas endêmicas (97,98).
Os fungos demáceos são usualmente identificados por estudos morfológicos, porém
um estudo (99) desenvolveu um teste diagnóstico com reação em cadeia da polimerase
(PCR) marcando o DNA ribossomal para uma identificação mais rápida e específica do
gênero Fonsecaea, principalmente para cepas que são difíceis de identificar pelos métodos
morfológicos. Então, para identificar o agente causal, pode-se usar a PCR em análise
seqüencial direta, em complemento aos métodos usuais que incluem microscopia com
hidróxido de potássio a 20%, confirmação histopatológica das células escleróticas, cultura
em Sabouraud, método de cultura de lâmina e microscopia eletrônica (58).
3.7. Respostas Histopatológicas (Lesões Microscópicas) à Infecção pela CBM:
As doenças granulomatosas estão presentes em uma vasta literatura e,
historicamente, a sarcoidose foi o paradigma que desencadeou vários destes estudos, tanto
que em várias conferências e artigos são encontrados títulos como: “sarcoidose e outras
doenças granulomatosas”. Todavia, é importante lembrar que patologias infecciosas são a
causa mais comum de entidades nosológicas granulomatosas em todo o mundo, e que nos
granulomas cutâneos causados por microorganismos, além dos elementos celulares, são
29
observadas uma miríade de outras estruturas, tais como proliferação vascular, vasculite,
ulceração, fibrose e hiperplasia pseudoepiteliomatosa (100).
De um modo geral, uma das primeiras manifestações na formação de uma resposta
inflamatória granulomatosa qualquer é o agrupamento de células mononucleares, como
resultado da persistência de algum produto não degradável e de hipersensibilidade ativa,
medidas estas as quais tentam conter a molécula estimulatória, envolvendo-a. O processo
inflamatório inicial é acompanhado pela organização do granuloma, uma estrutura altamente
dinâmica e compacta feita por um grupamento central de fagócitos mononucleares e seus
descendentes (células epitelióides e multinucleadas) geralmente rodeadas por um anel de
linfócitos, além de outras células (50,100-106).
Um granuloma se forma, então, por uma série de etapas e eventos, sendo o
resultado final de um intercâmbio complexo entre organismo invasor, antígeno, substância
química, droga ou outro irritante, antigenemia prolongada, atividades de macrófagos,
complexos imunes circulantes, enfim, uma vasta série de mediadores biológicos. Áreas de
reatividade inflamatória ou imunológica atraem macrófagos, os quais podem se fundir para
formar células gigantes multinucleadas, além de transformação celular de macrófagos em
células epitelióides. O granuloma é um sítio ativo de numerosas enzimas e citoquinas e,
com o tempo, agregam-se fibronectina e numerosos fatores de progressão. O resultado final
é o granuloma epitelióide que progride sob o impacto de fatores de crescimento
transformador e derivado de plaquetas em direção à fibrose (100,101,104).
Em processos onde há inflamação crônica granulomatosa, ocorrem novos capilares
formados e, ao redor, fibroblastos, histiócitos e tecido conjuntivo fibroso. Sempre associados
estão os tipos usuais de células inflamatórias, isto é, leucócitos polimorfonucleares,
linfócitos, plasmócitos e eosinófilos, entre outros (100,101,103,104).
O infiltrado celular de todas as dermatoses inflamatórias simples consiste,
predominantemente, de células que chegam à pele da corrente sangüínea ou de seus
modificadores: leucócitos polimorfonucleares neutrófilos e eosinófilos, linfócitos e
30
plasmócitos. Esses podem desaparecer sem deixar traços, por morte celular, absorção ou
por migração para outras partes, tais como linfonodos. Histiócitos presentes no tecido
podem ser estimulados a tornarem-se macrófagos ativados e podem permanecer como
evidência de inflamação passada (100-103).
Uma vez reconhecido o quadro histológico em uma biópsia como sendo de
inflamação crônica granulomatosa é conveniente colocá-lo em uma de duas amplas classes.
Uma delas compreende processos que consistem quase exclusivamente de linfócitos,
células epitelióides e células gigantes multinucleadas. Neste grupo estão a sífilis,
tuberculose, hanseníase, sarcoidose, leishmaniose, histoplasmose e alguns granulomas de
corpo estranho. A outra classe é caracterizada por um infiltrado misto no qual leucócitos,
neutrófilos e eosinofilos são acrescidos aos linfócitos e elementos histiociticos. Neste grupo
estão a maioria das infecções fúngicas profundas (100-106).
Resgatando o conceito e classificação da inflamação granulomatosa, encontramos
relatado em várias doenças infecciosas, principalmente e inicialmente na hanseníase, uma
visão interessante sobre as formas de granulomas: o de granulomas polares. Neste estudo
(107), também se revela que existe uma confusão sobre definições de tipos de granulomas
em várias doenças granulomatosas, e que estas diferenças e nuances entre os granulomas
não tem sido muito detalhadas pela maioria dos patologistas. Então, baseando-se em
estudos sobre a inflamação granulomatosa na hanseníase, foi proposta uma classificação
morfológica dos granulomas em tipos polares: tuberculóide e não tuberculóide,
correspondendo a dois extremos da lesão. O tipo polar tuberculóide acompanha a lei de
Jadassohn-Lewandowsky, seu agente etiológico é ausente ou escasso (fagocitose
completa). O tipo polar não tuberculóide não acompanha a lei de Jadassohn-Lewandowsky,
seu agente etiológico é sempre presente ou abundante (fagocitose incompleta). Parece que
esta proposta de definição dos granulomas combina morfologia com atividade funcional de
macrófagos, facilmente observados em exames histopatológicos de rotina com microscópio
31
óptico. E a natureza do agente etiológico e sua virulência e resposta Th1/Th2 também
devem ser avaliadas (107).
Baseados nestes conceitos de morfologia e de classificação, em um outro estudo
(108), sobre granulomas polares e hanseníase, concluiu-se que o comportamento “benigno”
ou “maligno” da hanseníase depende dos graus de diferenciação tuberculóide das lesões.
Se a lesão é histologicamente bem diferenciada em direção a um granuloma tuberculóide
polar (hanseníase tuberculóide), ela terá um comportamento “benigno”. Ao contrário, se esta
diferenciação é ausente (hanseníase virchowiana) ou pobre (hanseníase borderline
interpolar) o comportamento da lesão será “maligno”.
Em um estudo sobre esquistossomose (109), uma doença com reação fibrosante e
granulomatosa, a forma severa da doença com lesões mais intensas foi associada com
citoquinas pró-inflamatórias tipo Th2 persistentemente elevadas, enquanto formas mais
leves da patologia estavam presentes quando as citoquinas Th1 dominavam. A definição de
perfis imunes distintos associados com formas polares de esquistossomose abre
oportunidades para estudos comparativos com indivíduos que sofram de outras doenças
granulomatosas severas.
O padrão Th1/Th2 é importante na determinação do tipo de resposta granulomatosa
e na regulação do processo de formação de fibrose no local. Observa-se, em lesões
granulomatosas, hiperplasia de fibroblastos, havendo uma ligação com padrão Th2 com
liberação de IL-4, a citoquina que é um fator quimiotático para fibroblastos, capaz de
estimular a produção de proteínas de matriz extracelular (100).
Tendo como foco os elementos anatomopatológicos existentes em lesões de CBM,
têm-se descrito, ao longo dos anos, a presença de abscessos miliares, abscessos
neutrofílicos intraepidérmicos, dérmicos e nódulos granulomatosos, pobremente definidos
com feixes de numerosos neutrófilos nos centros dos granulomas (5-7,10,13,18,50,110). A
literatura ora relata predominância de granuloma supurativo, ora de histiocitário e, por outro
lado, também cita que os granulomas são na maioria do tipo tuberculóide. Encontram-se
32
afirmações de que existem formas histológicas distintas, com diferentes predominâncias
(supurativas, tuberculóides e histiocitárias), porém há contestações a este respeito e, ainda,
relatos de que estas formas podem coexistir em um mesmo paciente (5-7,10,22,50). A
epiderme mostra hiperqueratose, paraqueratose, hiperplasia pseudo-epiteliomatosa e
acantose irregular. O derma contém um infiltrado inflamatório granulomatoso denso,
composto predominantemente de células mononucleares (histiócitos, linfócitos,
plasmócitos), células epitelioides, células gigantes e polimorfonucleares (22,33,62,101,111).
Lê-se, também, que as aparências histológicas da CBM são similares às da
esporotricose, com hiperqueratose, hiperplasia pseudoepiteliomatosa e granulomas na
derme superior e média, e que os granulomas na CBM são na maioria do tipo tuberculóide,
embora poucos granulomas supurativos estejam presentes, além de microabscessos
intraepidérmicos freqüentemente presentes, mas não tão numerosos quanto na
esporotricose (50).
Na CBM, a estrutura formativa do arranjo granulomatoso deve ser estudada com
maior profundidade, através de uma análise histopatológica mais minuciosamente detalhada
(100,102,110,112-114). Apenas um trabalho, de 16 biópsias, sem tratamentos, observou
que, na CBM, neutrófilos, macrófagos e infiltrado linfoplasmocitário organizavam-se
concentricamente ao redor do fungo e iniciavam a formação de um granuloma micótico
misto organizado, um granuloma modificado pela presença de neutrófilos
polimorfonucleares. Os grupos de neutrófilos predominavam nos centros dos granulomas.
Células gigantes de corpo estranho estavam presentes, bem como linfócitos, plasmócitos, e
outras células da reação inflamatória crônica. O aspecto histológico seria aquele de um
granuloma de corpo estranho entremeado com microabscessos. Outros achados foram
fibrose dérmica extensa, associada ao persistente estímulo antigênico fúngico, em pacientes
que apresentam CBM com longos anos de evolução, além de uma reação granulomatosa
crônica, e um extenso infiltrado dérmico, associado a uma hiperplasia pseudoepiteliomatosa
da epiderme (23).
33
Na CBM, a inabilidade do tecido fibrótico de ser remodelado parece estar
correlacionado com a natureza e organização dos componentes da matriz, porém os fatores
que disparam os eventos fibrogênicos iniciais permanecem ainda a serem caracterizados
(104,110,115,116). Pesquisadores analisaram 11 casos de CBM, sem históricos de
tratamentos, e evidenciaram que a dificuldade no tratamento poderia estar relacionada à
extensa fibrose dérmica, com persistência dos fungos in situ, viáveis, e numerosos
mastócitos (110,117).
Em um outro estudo, através de uma análise microscópica semiquantitativa, foi
associado, os achados de histopatologia e imunohistoquímica com as formas clínicas de
CBM em 19 pacientes sem tratamentos. Os resultados mostraram 15 indivíduos com lesões
verrucosas, os quais apresentavam reação granulomatosa com granuloma supurativo, com
muitos fungos e com uma resposta imunológica tipo Th2, e 4 casos com lesões atróficas e
eritematosas, que apresentaram uma reação granulomatosa com granuloma menos
supurativo, lembrando tuberculóide, com poucos fungos e com uma resposta tipo Th1 (73).
Exemplos de lesões histopatológicas de CBM:
Figura 16: Granuloma micótico misto organizado polar com alta intensidade
dos elementos celulares (setas) e fungos (seta azul), em biópsia de lesão elevada. HE 20x.
34
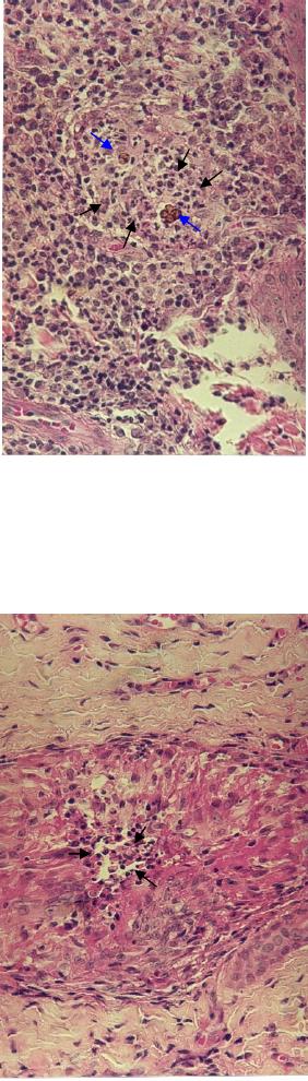
Figura 17: Granuloma micótico misto organizado polar com baixa intensidade
dos elementos celulares e fungos (seta), em biópsia de lesão plana. HE 40x.
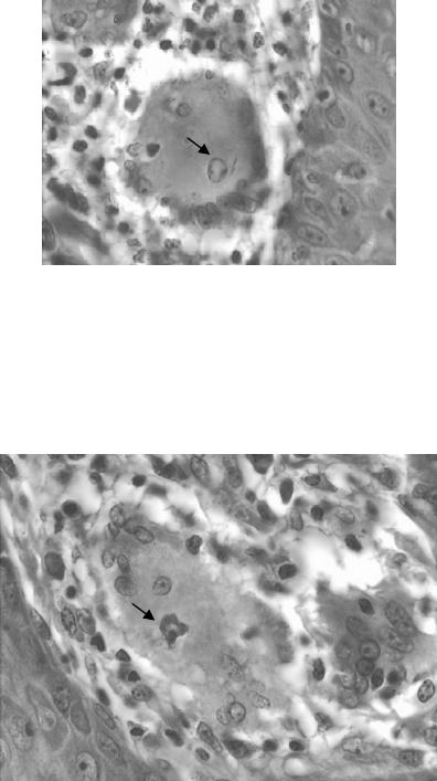
Figura 18: Imagem de GMMO polar de baixa intensidade Figura 19: Imagem de gigantócito contendo célula fúngica
em biópsia lesão plana. HE 40x. deteriorada em GMMO polar de baixa intensidade em
biópsia de lesão plana. HE 100x no original.
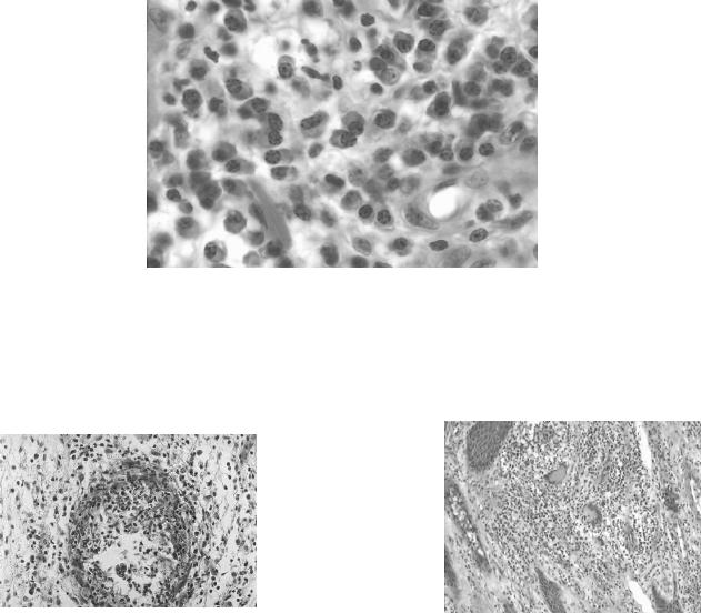
Figura 20: Imagem de GMMO polar de alta intensidade em biópsia de lesão elevada mostrando
eosinófilos, plasmócitos, linfócitos, macrófagos, células gigantes, neutrófilos e corpos escleróticos. HE 40x no original.
35
Figura 21: Imagem de GMMO polar de alta intensidade em biópsia de lesão elevada mostrando
infiltrado linfo-plasmocitário, com macrófagos, presente na periferia dos granulomas. HE 40x no original.
Figura 22: GMMO polar de baixa intensidade em biópsia de lesão plana. Figura 23: GMMO polar de alta intensidade em biópsia
HE 20x no aumento original. de lesão elevada com áreas de fibrose e vasculite. HE 10x.
Fonte: Fototeca do Serviço de Dermatologia do CHSCPA.
Todos os granulomas podem ser considerados como estruturas dinâmicas,
compostos de múltiplos tipos de células e compartilhando, em comum, a presença de um
acúmulo central de células mononucleares circundadas por células T ativadas e liberadoras
de uma quantidade de citoquinas. Dependendo do antígeno envolvido na formação do
granuloma, a resposta inflamatória granulomatosa é associada a um padrão de produção de
citoquinas predominantemente tipo Th1 ou Th2, explicando os aspectos histopatológicos
específicos nos granulomas resultantes (100).
36
Figura 24: Esquema de reação granulomatosa tipo 1 e tipo 2.
Fonte: James & Zumla. The Granulomatous Diseases. Cambridge University Press, 2003.
Com relação aos aspectos dos agentes causadores da CBM nas biópsias, observa-
se uma única ou múltiplas estruturas leveduriformes, dourado-amarronzadas,
amarronzadas, ou marrom-escuras, de paredes espessadas, freqüentemente septadas ou
multisseptadas, arredondadas, chamadas células escleróticas, podendo estarem localizadas
dentro de células gigantes, livres nos tecidos ou em microabscessos (28,76,93,114). Os
diâmetros das células fúngicas variam de 5 a 15 μm (13,118,119). As formas infectivas são,
usualmente, células conídias e pequenos fragmentos de hifas. In vivo, lesões iniciantes
apresentam uma mistura de células escleróticas e hifas enquanto lesões antigas
apresentam células escleróticas como tipo morfológico predominante. Corpos escleróticos
costumam ser encontrados em lesões de CBM diagnosticadas inicialmente como um
carcinoma epidermóide ou outro tumor e, em cortes histológicos, a lesão não-ulcerada que
não é infectada secundariamente, mostra uma hiperplasia pseudoepiteliomatosa de grau
muito alto ou acantose extrema, podendo simular outras patologias. (18,39,117-119).
37
A observação de formas parasíticas de F pedrosoi em lesões cutâneas humanas
demonstrou que na camada hiperceratótica superficial da pele formava um arranjo composto
por hifas septadas ramificadas e células escleróticas. Foi observado que estes elementos
participavam de uma estrutura chamada tubo germinativo. Constatou-se, então, que a
epiderme seria capaz de eliminar alguns dos organismos das lesões cutâneas, com o
epitélio desempenhando um importante papel na chamada eliminação transepitelial do
fungo. A acantose extrema, a hiperplasia pseudoepiteliomatosa, existente na CBM, parece
ser uma resposta celular aos fungos contidos em microabscessos (23,28).
Ao se examinarem cortes histológicos de lesões de cromoblastomicose, observaram
o fenômeno da eliminação transepitelial, que consiste na expulsão, através da epiderme, de
tecido degenerado ou de qualquer outro material depositado na intimidade da derme e
considerado estranho ao organismo. As estruturas fúngicas aparecem rodeadas por
proliferações epidérmicas, migrando para cima, dentro de microabscessos intraepidérmicos,
e expelidas para a superfície da pele. A presença de material estranho na derme pode
provocar reações teciduais variáveis e distintas, incluindo necrose e formação
granulomatosa. Tais materiais, se presentes na derme superficial, podem eventualmente ser
removidos através de ulceração e destruição da epiderme que o recobre (23,28,117).
Doenças em que ocorre eliminação transepitelial de elementos de lesões não
cromoblastomicóticas, incluem calcinosis cutis, osteoma perforans, granuloma anular,
elastose perfurante serpiginosa, colagenose perfurante reativa, foliculite perfurante e
necrobiose lipóidica diabeticorum. Os mecanismos precisos e fatores responsáveis pela
indução da eliminação transepitelial não são totalmente conhecidos. Parecem estar
intimamente relacionados ao processo de hiperplasia pseudoepiteliomatosa, cujo estímulo
para seu surgimento também não é bem esclarecido.(28,117-119)
Estudos sobre fungos sugerem que vários fatores determinam sua patogenicidade,
entre estes citam-se melanina, estruturas lipídicas e polissacarídeos de parede celular
(25,112-114). Na CBM, pouco é conhecido a cerca desses componentes em seus agentes,
38
o que talvez elucidasse, por exemplo, relatos de que macrófagos não teriam nenhuma
atividade fungicida ou fungistática contra F. pedrosoi, e que horas após o início da interação,
os macrófagos seriam completamente destruídos pelos fungos (23,75,113,117,120).
Em
estudos sobre a reação tecidual e as mudanças morfológicas dos fungos na CBM, viu-se
que a maioria dos elementos fúngicos aparecia com a parede celular mostrando uma
aparência irregular aparentando ser continuadamente atacada por neutrófilos
polimorfonucleares (119). Todas as mudanças morfológicas da derme e epiderme seriam
referentes a reações de defesa contra o fungo existente nas lesões cutâneas (112-114).
Do ponto de vista imunológico, a reação de hipersensibilidade tardia é mais
associada com infecção fúngica do que a imediata, conforme relatos de testes cutâneos
para diagnóstico imunológico de micoses (98). Hipersensibilidade tardia tem sido
demonstrada em pacientes com CBM, a qual diminui depois da cura clínica. Como
freqüentemente ocorre reativação da doença após esta aparente cura, talvez exista alguma
relação da diminuição deste tipo de hipersensibilidade com a recorrência da infecção
(35,40).
Os mecanismos de defesa do hospedeiro na CBM não foram ainda de todo
investigados. Tem sido sugerido que a imunidade mediada por células em pacientes com
CBM de longa duração apresenta falhas. Como resultado, estes indivíduos tornam-se
incapazes de desenvolver uma reação imune eficiente. Sugere-se que existam mecanismos
que controlam a resposta de celulas T e influenciam seu papel no desenvolvimento da CBM
(87,89,121-123).
Alguns estudos têm se focado na interação entre hospedeiro e fungo, mostrando
uma resposta predominantemente imune celular, com ativação de macrófagos envolvidos na
fagocitose do fungo (86,87,89). Existe o mecanismo de fagocitose, entretanto a morte de
células fúngicas foi raramente observada (97). A habilidade de Fonsecaea pedrosoi em
produzir componentes semelhantes à melanina, secretados ou associados à parede celular
39
fúngica, protege-o contra a destruição pelas células imunológicas do hospedeiro (114,121-
125).
Até o momento, a resposta imune mediada por células T na CBM é indefinida. Em
pacientes com formas mais severas da doença, há uma proliferação ineficiente de células T
e, ao contrário, em pacientes com formas mais leves da doença, foi observada uma
proliferação eficiente de celulas T (121). Outros estudos apontam que monócitos de
pacientes com diferentes formas clínicas de CBM apresentam perfis funcionais e fenotípicos
distintos, pois F pedrosoi induziria diferenciação no papel dos monócitos de pacientes com
formas leves e graves de CBM (87,89).
Com o propósito de estudar a imunidade natural nesta doença, foi realizada uma
avaliação de amostras seqüênciais de sangue obtidas antes, durante e ao final dos
tratamentos. Os pacientes com formas mais severas da doença, com múltiplas lesões,
apresentaram altos títulos de imunoglobulinas específicas, comparados com pacientes com
lesões localizadas. Altos níveis de IgM foram detectados, podendo ser uma conseqüência
de constante estímulo antigênico pelo continuado e lento processo de persistência fúngica,
enquanto a imunoglobulina A representou um potencial marcador de status imune. Os níveis
séricos de IgG correlacionaram-se com a cronicidade e extensão das lesões (29).
O papel da imunidade natural contra a maioria dos fungos patogênicos é incerto,
especialmente a participação dos anticorpos. Em áreas endêmicas, uma parte da população
que tem sido exposta aos fungos causadores da CBM provavelmente irá desenvolver uma
resposta humoral específica, com um nível significante de anticorpos circulantes, mas não a
doença (29,34,80,98).
Anticorpos precipitados têm sido detectados em vários estudos sorológicos em
pacientes com CBM, mas o papel destes fatores humorais no mecanismo de defesa do
hospedeiro contra fungos demáceos permanece não esclarecido, suscitando novos estudos
sobre a relação parasita-hospedeiro na CBM e para determinar se a persistência e
40
multiplicação de leveduras nesta doença é relacionada a forma do fungo e/ou a uma
resposta imune mediada por células inadequada do hospedeiro (13,80,112-114,98).
Usando anticorpos monoclonais contra neutrófilos polimorfonucleares, macrófagos e
linfócitos, células endoteliais e fibroblastos, avaliou-se a reação imune mediada por células
na CBM. O padrão de distribuição dos neutrófilos e macrófagos sugere que a persistência in
situ do fungo é o fator principal na patogênese e progressão da doença (80,112,114,117).
A persistência fúngica na CBM pode estar relacionada ao padrão de infiltração de
células imunes e o envolvimento de macrófagos (122). A CBM é uma micose crônica
subcutânea caracterizada por uma resposta inflamatória granulomatosa, entretanto, pouco é
conhecido a respeito do padrão dos subtipos de linfócitos e dos modos de recrutamento dos
mesmos em associação com persistência dos fungos nos locais nos infiltrados celulares das
lesões de CBM (86,89,122).
Embora os mecanismos imunes envolvidos no controle do fungo pareçam ser de
origem celular, alguns auto-anticorpos podem estar ligados com a cronicidade e a extensão
das lesões nesta patologia. Muitos fatores relevantes à suscetibilidade ou mecanismos de
resistência em humanos ainda são desconhecidos. A imunidade natural na CBM não é bem
entendida porém, não tem efeito protetor, tendo a doença um padrão de evolução debilitante
e crônico (73,112-114).
3.8. Diagnósticos Diferenciais:
Os achados anatomopatológicos encontrados na esporotricose e na
paracoccidioidomicose podem revelar granulomas mistos e eliminação transepidérmica dos
agentes etiológicos e, na feohifomicose, embora existam granulomas mistos, não há
eliminação transepitelial. Por outro lado, outras micoses, tais como histoplasmose e doença
de Jorge Lobo (Lacaziose), tem granulomas que não são modificados por neutrófilos, nem
apresentam eliminação transepitelial. (23). Na Lacaziose a expressão clínica da
41
enfermidade não é monomorfa, sendo propostos dois grupos polares: hiperérgico (máculas
e gomas) e hipoérgico (queloidiforme) (126).
A esporotricose, assim com a CBM, é uma micose subcutânea e excepcionalmente
profunda (127), cujos fungos causadores também são encontrados em vegetais em
decomposição, espinhos e no solo, ocorrendo infecção usualmente por inoculação do
organismo, sendo a maioria das lesões em membros superiores e face (128), podendo
haver formas de disseminação sistêmica em casos de etilistas, imunossupressão e AIDS
(129). O aspecto clínico, para diagnóstico diferencial, seria a forma cutânea fixa (128).
As lesões iniciais da CBM, quando mostram crescimento centrífugo, lembram
aquelas da blastomicose, porém usualmente não têm as bordas elevadas bem formadas, e
múltiplas pequeninas pústulas que estão presentes nesta (10,72).
Algumas doenças classicamente deverão ser consideradas no diagnóstico diferencial
da CBM, entre elas a pinta, framboesa, sífilis terciária, tuberculose cutânea verrucosa,
micetoma, candidíase, carcinomas, leishmaniose verrucosa, micetoma, esporotricose
verrucosa, paracoccidioidomicose, lobomicose, piodermite vegetante, lupus vulgar, lupus
eritematoso, hanseníase e outras. Linfedema, em estágios avançados da doença,
assemelha-se ao pé musgoso tropical. (10,17-20,72,81,82).
3.9. Terapêuticas:
A CBM é uma infecção fúngica que induz lesões de pele de difícil tratamento, pois
em muitos casos não são obtidas respostas satisfatórias e muito freqüentemente recidiva,
portanto os tratamentos ainda não são de eficácia absoluta, e numerosas tentativas são
relatadas, com pobre efetividade e sérios efeitos colaterais (74,61,123). Métodos antigos
incluíram iodeto de sódio endovenoso, iodeto de potássio e a vitamina D2 (calciferol) por via
oral, além de iontoforese e radioterapia (10,72).
42
Medidas terapêuticas, algumas associadas ou não, incluem drogas como 5-
fluorocitosina (5FC) oral, a qual como monoterapia, seria de eficácia questionável,
associando-se então, para efeito sinérgico, ao tiabendazol, entretanto este também é citado
sozinho (72). Relatavam-se associações de 5FC tópico com o uso endovenoso da
anfotericina B (AnfB) e calciferol via oral (72,130). O uso de anfB endovenoso, associado
com 5FC via oral, teria bons resultados (130). Em pequenas lesões, existem descrições de
anfB intralesional, combinado com 5FC oral, entretanto, foi relatado ineficácia, pelos baixos
níveis séricos obtidos, comparando com os valores de concentração inibitória mínima
obtidos em laboratório (15,131).
Cetoconazol foi relatado com bom resultado, quando associado ao uso de 5-
fluorocitosina, em casos onde havia sido ineficaz como monoterapia, pois avaliações in vitro
mostraram que as drogas atuam de modo sinérgico (36,132).
Um artigo abordando pacientes portadores de lesões planas descreve tratamentos
com 5-fluorouracil (5-FU a 1% em creme) tópico, ajoene (0.5% em gel) tópico,
eletrodessecação e/ou fulguração e, em casos onde não houve resposta satisfatória, foi
acrescido itraconazol (100 mg/dia por 1 mês) (63).
Itraconazol, mesmo sendo usado por mais de um ano, não resultaria em melhora do
quadro clínico, segundo relatos e, além disso, foi demonstrado que a sua eficácia estaria
diminuída em casos de lesões extensas. Entretanto, a combinação de itraconazol para
reduzir o tamanho das lesões, com tratamento subseqüente das lesões remanescentes com
criocirurgia, representaria uma boa alternativa terapêutica (36,72,81,131,133). Entretanto,
em outro relato, um paciente que apresentava uma pequena lesão elevada, foi tratado
somente com 200mg por dia de itraconazol por 6 meses, com uma boa resposta e cura
clínica (26).
Em outra revisão, Itraconazol 200mg por dia por 6 a 9 meses foi usado com
regressão das lesões planas (74). Em casos de formas clínicas graves, extensas,
43
recomenda-se associar anfotericina B e itraconazol (61), ou associar itraconazol com glucan
intramuscular (90).
Estudos sobre o uso de saperconazol mostraram regressão das lesões após vários
meses de tratamento (36). Testes com voriconazol e com itraconazol mostraram MICs
semelhantes, em testes de atividade in vitro (134).
Bons resultados podem ser obtidos com criocirurgia para pequenas lesões, e, para
as lesões maiores, itraconazol e, em alguns casos, a combinação dos dois tratamentos,
entretanto em uma série de casos com estas terapêuticas, viu-se que em 31% houve cura,
em 57% ocorreu recrudescência e em 12% não houve melhora alguma (54). Em uma placa
bem pequena eritematosa e descamativa de 1,5 cm de diâmetro o tratamento envolveu
excisão cirúrgica da lesão com margens de 5 mm e o follow up três anos mais tarde não
revelou nenhuma recorrência (59).
A realização de cirurgia, indicada por autores em lesões pequenas e iniciais, com
excisão larga e profunda, acompanhada de enxertia, foi referida com bons resultados,
complementando-se com medicação antifúngica, preferencialmente itraconazol
(55,61,115,130). Além de tratamento com excisão cirúrgica da área afetada e agentes
antimicóticos, modalidades físicas como manipulação da temperatura ou combinações
destes também são citadas (37). Dependendo das dimensões e da localização da lesão, o
tratamento cirúrgico, com pequena margem, pode não necessitar de enxertia, associando a
antifúngicos orais, termoterapia ou combinações destes (59).
A termoterapia, já relatada, tem sua ação pelo potencial efeito fungicida ou
fungistático do calor, ou pela estimulação dos mecanismos de defesa através do maior fluxo
sangüíneo e estímulo da fagocitose, no tratamento de pequenas lesões (72).
A eletrofulguração e a curetagem poderiam ser usadas em casos de lesões recentes
e pequenas, mas observações sobre estes métodos alertaram sobre disseminação do fungo
localmente ou através dos linfáticos (15). Os raros relatos de uso de laser de CO2,
revelaram-se eficazes (72).
44
Utilizando somente nitrogênio líquido, o acompanhamento posterior à terapia
evidenciou melhora clínica em pacientes (15,133).
Na esporotricose cutânea, forma fixa, em lesões que lembravam a CBM, o
itraconazol mostra-se eficaz, em esquema de pulsos, 400 mg por dia por uma semana, com
parada de três semanas, com exames laboratoriais de base e após mensalmente. A droga
foi administrada em pulsos até a cura clínica e micológica. Obteve-se bons resultados
clínicos em 80% dos casos, com um número médio de pulsos de 3,5 sendo efetivo no
tratamento da esporotricose cutânea, e pode ser considerada uma nova escolha de
tratamento que pode levar a uma importante redução na dose total de uso de medicação
(127).
Sobre a terbinafina, pacientes infectados com F. pedrosoi tratados por vários meses,
tiveram cura micológica e clínica significativas, com atividade in vitro mais fungicida que a do
itraconazol (135-137). Além disso, a distribuição do colágeno tipo 1 foi caracterizada por
imunohistoquímica com marcadores anti-metaloproteinases 1 e 9, em lesões de pele de
CBM antes e após tratamento com terbinafina e, após 1 ano de terapia, houve decréscimo
da síntese de colágeno tipo 1 com parcial melhora da lesão fibrótica, independentemente da
cura da infecção fúngica (138).
Relatou-se baixos níveis de resistência das cepas ao fluconazol, entretanto outros
estudos demonstraram altos valores de MICs (131,139).
Baseados nas dificuldades experimentadas no sucesso do tratamento da CBM,
foram testadas a suscetibilidade in vitro de 12 isolamentos humanos primários de F.
pedrosoi a vários antifúngicos. Uma proporção significativa dos isolados testados foi
resistente aos antifúngicos experimentados, como revelaram os altos valores de MIC.
Assim, 33% dos isolados foram resistentes à anfotericina B; 58,3% à fluorocitosina e 66,7%
ao fluconazol e nenhum resistente ao itraconazol. As determinações de concentração letal
mínima revelaram que grande proporção dos isolados não foi morta nem pela anfotericina B
(91,7%), fluorocitosina (91,7%), fluconazol (100%) ou ainda, pelo itraconazol (41,7%) (139).
45
Muitas formas de doenças causadas por fungos demáceos requerem ambos
tratamentos, cirúrgicos e medicamentosos. Desenvolvimento de novos agentes antifúngicos
e terapêuticas combinadas podem ajudar no combate à infecção (83). Citam-se
posaconazol, (85) e também quimioterapia regional com melfalan e actinomicina D em
casos extremos (140). Novas drogas incluindo micafungina e anidulafungina necessitam de
maiores testes para que possam ser utilizados com segurança nesta doença (141).
Em muitos casos de CBM, as terapêuticas são usadas de modo simultâneo,
combinadas, como relatado em dois pacientes que usaram combinação de terapia com
itraconazol e terbinafina durante os estágios iniciais de tratamento e foram completamente
curados em um curso de tratamento relativamente curto (38). Em outro relato, a
combinação dos efeitos da terbinafina, itraconazol e anfotericina B contra agentes da CBM
foram avaliados in vitro, e foi visto sinergismo e nenhum antagonismo com a combinação
entre terbinafina e itraconazole. Quando anfotericina B foi combinada com terbinafina ou
itraconazol, nenhum sinergismo ou antagonismo foi notado (57).
São necessárias maiores investigações sobre esta patologia antes que se possam
considerar novas armas terapêuticas, como testes in vitro e estudos experimentais com
modelos animais, com a finalidade de se escolher o regime terapêutico mais efetivo, em
função dos históricos de recidivas freqüentes mesmo com tratamentos adequados
(30,131,137,139,142,143).
3.10. Prognóstico:
Existe consenso em relação à grande dificuldade na obtenção da cura desta doença,
descrita como uma enfermidade rebelde, pois várias tentativas terapêuticas, isoladas ou em
associações medicamentosas, parecem falhar a medida que transcorre o follow-up do
paciente (10,15,18,19,44).
46
Os fungos demáceos, incluindo os causadores da cromoblastomicose, estão
largamente distribuídos no meio-ambiente, com a maioria dos casos ocorrendo em
indivíduos imunocompetentes. Podem ser uma importante causa de sinusite invasiva e
sinusite fúngica alérgica, apontando-se que a infecção pode seguir-se à inalação. Quadros
de infecção disseminada são incomuns, mas sua incidência está crescendo, particularmente
entre indivíduos imunocomprometidos (83,84).
A identificação da espécie do agente etiológico é importante na avaliação
prognóstica, juntamente com a realização de testes de suscetibilidade in vitro, devido ao
curso crônico e progressivo da CBM, e pelo fato de algumas espécies disseminarem-se para
o cérebro e outros órgãos (12,15,17,18,96).
O prognóstico torna-se, então, reservado nos casos de metástases sistêmicas e na
existência de lesões cutâneas disseminadas. O estado elefantiásico, o edema, e as
ulcerações do membro atingido são responsáveis pela incapacitação funcional, prejudicando
as atividades normais e o trabalho do paciente. Em ulcerações ou cicatrizes antigas,
poderão ocorrer carcinomas (15,19,20,72,79).
Em 2007, no Nepal, foram publicadas séries de casos, entre os quais haviam
diagnósticos iniciais de carcinoma de células escamosas e outros de psoríase, sendo
ressaltada a necessidade de acurácia na realização de um diagnóstico mais precoce para
que se tenha um melhor prognóstico (56). Estudo publicado em 2005 na Tailândia
demonstrou que F pedrosoi é o agente mais encontrado, requerendo tratamento de longa
duração, cujo resultado depende do status imune do paciente (53).
Em 2006, na Venezuela, casos foram relatados em uma região semi-árida,
endêmica, com lesões predominantemente nos membros superiores, eritematosas e
escamosas (77.27% dos pacientes). 54,55% tinham parentes próximos com CBM e 86,36%
eram homens. Novamente enfatiza-se a importância do diagnóstico precoce em doenças
micóticas de difícil manejo, como a CBM, pois assim as respostas terapêuticas podem ser
mais favoráveis, evitando-se a evolução para a cronicidade, com manifestações clínicas
47
deformantes e incapacitantes associadas a esta patologia, destacando-se que, com
intervenções precoces, pode-se empregar tratamentos com menores possibilidades de
efeitos adversos e adquirindo-se um alto percentual de respostas terapêuticas favoráveis.
(63).
Por conseguinte, a Cromoblastomicose tem sido caracterizada como uma doença
crônica, com persistência dos fungos in situ, com ausência de bons resultados clínicos
apesar dos tratamentos realizados, o que leva a pensar que vários aspectos estão inter-
relacionados nos mecanismos envolvidos na resposta granulomatosa, os quais devem ser
mais detalhados e estudados com maior profundidade, incluindo o detalhamento da
composição da reação inflamatória em estudos mais avançados e aprofundados sobre os
elementos anatomopatológicos e padrões de polaridade, verificando-se influências do tipo
clínico de lesão e abordagens terapêuticas, além de outras questões como aspectos da
resposta imune e a complexidade da parede celular fúngica
(53,56,63,73,83,84,110,124,125,142,143). A CBM ainda é uma doença órfã, com
questionamentos médicos persistentes, abordando a taxonomia e ecoepidemiologia dos
agentes etiológicos, conhecimentos básicos da patogênese das lesões, o processso
fibrótico, resposta imunológica, polimorfismo genético de isolados selvagens ou em
desenvolvimento em modelos experimentais, e investigações clínico-histopatológicas mais
aprofundadas para o desenvolvimento de ferramentas diagnósticas e terapêuticas (143).
48
4. OBJETIVOS
4.1. Objetivo Geral:
4.1.1. Estudar a estrutura anatomopatológica da cromoblastomicose associando
com o aspecto clínico das lesões dermatológicas antes e depois dos tratamentos.
4.2. Objetivos Específicos:
4.2.1. Estabelecer uma classificação dos tipos macroscópicos e dos aspectos
microscópicos de lesões de cromoblastomicose.
4.2.2. Avaliar os graus de intensidade dos elementos histopatológicos em lesões de
cromoblastomicose.
4.2.3. Verificar o comportamento das lesões quanto à ocorrência de polaridade na
cromoblastomicose tanto clínica como histologicamente.
4.2.4. Comparar as respostas macroscópicas e microscópicas à infecção antes e
após os tratamentos.
49
5. REFERÊNCIAS
1. Lane CG. A cutaneous lesion caused by a new fungus (Phialophora
verrucosa). The Journal of Cut Dis 1915; 33: 840-846.
2. Terra F, Torres M, Fonseca Filho O, Arêa Leão AE. Novo tipo de dermatite
verrucosa: micose por Acrotheca com associação de leishmaniose. Brasil Med 1922;
36:363-68.
3. Fonseca O, Leão AEA. As chromoblastomycoses. Rev Med Cir Bras 1930; 38:
216-36.
4. Pereira OB. Cromoblastomicose: identificação dos dois primeiros casos
autochtones do Rio Grande do Sul [Tese]. Porto Alegre (RS): Faculdade de Medicina
de Porto Alegre; 1938. p. 120.
5. Pedroso A, Gomes JM. Sobre quatro casos de dermatite verrucosa produzida
pela Phialophora Verrucosa. Trabalho do Laboratório Anátomo-patológico e da 4
a
.
Enfermaria de Medicina da Santa Casa de S. Paulo; 1939; São Paulo, Brasil.
6. Tibiriçá PQT. Anatomia Patológica da Dermatite Verrucosa Cromomicótica
[Tese]. São Paulo (SP): Universidade de São Paulo; 1939. p. 90.
7. Azulay RD. Histopatologia da Cromoblastomicose. Anais da 2
a
. Reunião da
Associação de Dermatologia e Sifilografia; 1947; São Paulo, Brasil. p. 205-210.
8. Pereira Filho MJ. O pé musgoso de Thomas e a cromoblastomicose no Rio
Grande do Sul e Santa Catarina. Rev Med R G Sul 1949; 5: 66-99.
9. Neves da Silva N. Cromoblastomicose no Rio Grande do Sul. Rev Bras Derm
Sifilogr 1949; 24: 131-142.
10. Bopp C. Cromoblastomicose: Contribuições ao Estudo de alguns de seus
aspectos [tese]. Porto Alegre (RS): Universidade do Rio Grande do Sul; 1959. p. 290.
11. Vollum DI. Chromomycosis: a review . Br J Dermatol 1977; 96: 454-458.
12. Zaias N. Chromomycosis. J Cutan Pathol 1978; 5: 155-164.
50
13. Walter P, Garin Y, Richardd-Lenoble D. Chromoblastomycosis. Virchows Arch
Pathol Anat 1982; 397: 203-214.
14. Bopp C , Vetoratto E, Borelli D. Cromoblastomicose causada por nova
espécie: Taenolella boppii . Med Cut I L A 1983 ; 11: 221-226 .
15. McGinnis MR. Chromoblastomycosis and phaeohyphomycosis: new concepts,
diagnosis and mycology. J Am Acad Dermatol 1983; 8: 1-16.
16. Matsumoto T, Matsuda T. Chromoblastomycosis and phaeohyphomycosis.
Semin Dermatol 1985; 4: 240-251.
17. Lacaz CS, Porto E, Martins JEC. Cromomicose. In: Lacaz CS, Porto E, Martins
JEC, eds. Micologia Medica. 8
a
.ed. São Paulo: Sarvier; 1991. p. 373-86.
18. Rippon JW. Chromoblastomycosis. In: Rippon JW. Medical Mycology. 3
rd
ed.
Philadelphia: WB Saunders Company; 1998. p. 276-96.
19. Minotto R, et al. Chromoblastomycosis: A review of 100 cases in the state of
Rio Grande do Sul , Brazil. J Am Acad Dermatol 2001; 44: 585-92.
20. Minotto R. Cromoblastomicose no Rio Grande do Sul: aspectos
epidemiológicos e histopatológicos. Dissertação de Mestrado em Clínica Médica com
ênfase em Dermatologia. UFRGS. 2003. 181 p.
21. Romano MS. Histopatologia de las micosis profundas de mayor frecuencia en
el Noroeste Argentino. Arch Argent Dermatol 1996; 46: 175-182.
22. Chandler FW, Kaplan W, Ajello L. Chromoblastomycosis. In: Chandler FW,
Kaplan W, Ajello L. Histopathology of Mycotic Diseases. Atlanta: Wolfe Medical
Publications; 1998. p. 42-9.
23. Fabio-Uribe J, Zuliaga AI, Leon W, Restrepo A. Histopathology of
chromoblastomycosis. Mycopathologia 1989; 105: 1-6.
24. Drommer F, Dupont B. The increasing problem of fungal infections in the
imunocompromised host. J Mycol Med 1996; 6: 1-6.
51
25. Celio LS, Erizlerian M. Granulomatous reactions induced by lipids extracted
from F. pedrosoi, F. compactum, Cladosporium carrioni and P. verrucosa. J Gen
Microbiol 1985; 131:187-194.
26. Menezes N, Varela P, Furtado A, Couceiro A, et al. Chromoblastomycosis
associated with Fonsecaea pedrosoi in a carpenter handling exotic woods. Dermatol
Online J 2008; 14: 5-9.
27. Rubin HA, Bruce S, Rosen T, Mollie M. Evidence for percutaneous inoculation
as the mode of transmission for chromoblastomycosis. J Am Acad Dermatol 1991;
25: 951-4.
28. Batres E, Wolf J, Rudolph AH, Knox JM. Transepitelial elimination of cutaneous
chromomycosis. Arch Dermatol 1978; 114: 1231-1232.
29. Esterre P, Jahevitra M, Andriantsimahavandy A. Humoral imune response in
chromoblastomycosis during and after therapy. Clin Diagn Lab Immunol 2000; 7:
497-500.
30. Esterre P, Ravisse P, Peyrol S, Pradinaud R, Sainte-Marie D, Dupont B,
Grimaud JA. Immunopathologie de la lesion cutane de chromomicose. J Mycol Med
1991; I: 201-207.
31. Barros TF. Obtenção e caracterização parcial química e imunológica de
antígenos de agentes da cromoblastomicose [dissertação]. Belo Horizonte (MG):
Universidade Federal de Minas Gerais; 1992. p. 80.
32. Celi S, Gamboa P, Molina N, Montoya C, Rodriguez D. Estudio sobre la
sensibilidad cutánea a antígenos de chromoblastomycosis en Medellín y Sahún.
Barranquilla (Colombia), 1986. Salud Uninorte 1988; 4: 37-44.
33. Sánchez-Mirt A, Pérez-Blanco M, Caleiras E, Rangel O. Histopatologia y
Ultraestructrura de la cromomicosis causada por Cladosporium carrionii. Invest Clin
1995; 36: 173-182.
52
34. Martini JP, Costa HC, Souza LCF. Crescimento rápido da cromomicose
utilizando eucalipto como meio de cultivo. Salusvita 1986; 5: 72-82.
35. Ibrahim-Granet O, Biévre C, Jendouibi M. Immunochemical characterisation of
antigens and growth inhibition of f pedrosoi by species-specif IgG. J Med Microbiol
1988; 26: 217-222.
36. Cardona-Castro N, Agudelo-florez P, Restrepo-Molina R.
Chromoblastomycosis Murine Model and in vitro test to evaluate the sensitivity of F.
pedrosoi to ketoconazol, itraconazole and saperconazole. Mem Inst Oswaldo Cruz
1996; 91: 779-784.
37. Milam CP, Fenske NA. Chromoblastomycosis. Dermatol Clin. 1989;7:219-25.
38. Zhang J, Xi L, Lu C, Li X, Xie T, Zhang H, Xie Z, Sybren DH. Successful
treatment for chromoblastomycosis caused by Fonsecaea monophora: a report of
three cases in Guangdong, China. Mycoses. 2008 ; 21: 124-127.
39. Binford CH, Dooley JR. Chromomycosis. In: Binford CH, Connor V, editors.
Pathology of tropical and extraordinary diseases. New York: Institute of Pathology;
1976. p. 178-214.
40. Iwatsu T, Miyaji M, Taguchi H, Okamoto S, Kurita N. Skin test-active substance
prepared from culture filtrate of Fonsecaea pedrosoi. Mycopathologia 1979; 67: 101-
105.
41. Carrión AL. Chromoblastomycosis and related infections. Int J Dermatol 1975;
14: 27-32.
42. de Hoog GS, Nishikaku AS, Fernandez-Zeppenfeldt G, Padín-González C,
Burger E, Badali H, Richard-Yegres N, van den Ende AH. Molecular analysis and
pathogenicity of the Cladophialophora carrionii complex, with the description of a
novel species. Stud Mycol. 2007; 58:219-34.
53
43. Esterre P, Andriantsimahavandy A, Ramarcerl ER. Forty years of
chromoblastomycosis in Madagascar: a review. Am J Trop Med Hyg 1996; 55: 45-47.
44. Goihman-Yahk M, Benjamim Loker D. Afecciones Cutáneas Granulomatosas
tropicales. Caracas Venezuela. Archivos del Hopital Vargas 1998; 30: 9-14.
45. Kombila M. Chromoblastomycosis in Gabon. Study of 64 cases. Sante 1995; 5:
235-244.
46. Jayalakshmi P, Looi LM, Soo-Hoo TS. Chromoblastomycosis in Malaysia.
Mycopathologia 1990; 109: 27-31.
47. Bansal AS, Prabhakar P. Chromomycosis: a twenty-year analysis of
histologically confirmed cases in Jamaica. Trop Geogr Med 1989; 41: 222-226.
48. Pastrana Fundora F. Chromomycosis: 15 years incidence. Rev Cuba Hig
Epidemiol 1989; 27: 285-292.
49. Diaz Almeida JG, Gonzalez MT, Dube AD. Cromoblastomicosis en Cuba,
estudio retrospectivo clínico y epidémico de 72 enfermos. Rev Cub Med Trop 1978;
30: 95-108.
50. Strutton G. The granulomatous reaction pattern. In: Weedon D. The skin. 3
rd
ed. London: Churchill Livingstone; 1992. p. 181-207.
51. Attapattu MC. Chromoblastomycosis—a clinical and mycological study of 71
cases from Sri Lanka. Mycopathologia. 1997;137:145-51.
52. Siala E, Gastli M, Ben Abdallah R, Barbouche R, Zallaga N, Bouratbine A,
Aoun K. Recurrent chromomycosis of the face and extremities: first case report from
Iibya. Med Trop. 2007;67:69-71.
53. Ungpakorn R. Mycoses in Thailand: current concerns. Nippon Ishinkin Gakkai
Zasshi. 2005;46:81-6.
54. Bonifaz A, Carrasco-Gerard E, Saúl A. Chromoblastomycosis: clinical and
mycologic experience of 51 cases. Mycoses. 2001;44:1-7.
54
55. López Martínez R, Méndez Tovar LJ. Chromoblastomycosis. Clin Dermatol.
2007;25:188-94.
56. Pradhan SV et al. Chromoblastomycosis in Nepal: a study of 13 cases. Indian J
Dermatol Venereol Leprol. 2007 ;73:176-8
57. Yu J, Li R, Zhang M, Liu L, Wan Z. In vitro interaction of terbinafine with
itraconazole and amphotericin B against fungi causing chromoblastomycosis in
China. Med Mycol. 2008; 4:1-3.
58. Miyagi H, Yamamoto Y, Kanamori S, Taira K, Asato Y, Myint CK, Kayo S,
Hosokawa A, Hagiwara K, Uezato H. A case of chromoblastomycosis appearing in an
Okinawa patient with a medical history of Hansen’s disease. J Dermatol. 2008; 35:
354-61.
59. Kikuchi Y, Kondo M, Yaguchi H, Hiruma M, Ikeda S. A case of chromomycosis
caused by Fonsecaea pedrosoi presenting as a small plaque on the left upper arm: a
review of reported cases of dematiaceous fungal infection in Japan. Nippon Ishinkin
Gakkai Zasshi. 2007;48:85-9.
60. Paniz-Mondolfi AE, Colella MT, Negrín DC, Aranzazu N, Oliver M, Reyes-
Jaimes O, Pérez-Alvarez AM. Extensive chromoblastomycosis caused by Fonsecaea
pedrosoi successfully treated with a combination of amphotericin B and itraconazole.
Med Mycol. 2008;46:179-84.
61. Levang J, Muller P, Marreel A, Nicolas M, Puzenat E, Aubin F, Humbert P.
Chromomycosis in Guadeloupe. Ann Dermatol Venereol. 2008;135:111-5.
62. Uribe F, Leon W, Velasquez JP. Modificaciones tisulares a nivel de la piel en
algunas micosis. Acta Médica Colombiana 1982; 7: 171-179.
63. Pérez-Blanco M, Hernández Valles R, García-Humbría L, Yegres F.
Chromoblastomycosis in children and adolescents in the endemic area of the Falcón
State, Venezuela. Med Mycol. 2006 ;44: 467-71.
55
64. Londero AT, Ramos CD. Chromomycosis: a clinical and mycologic study of
thirty-five cases observed in the hinterland of Rio Grande do Sul, Brazil. Am J Trop
Med Hyg 1976; 25: 132-35.
65. Talhari S, Cunhas MGS, Schettini APM. Deep mycosis in Amazon region. Int J
Dermatol 1988; 27: 481-84.
66. Mello e Silva AC. Chromoblastomycosis in the state of Maranhão. Rev Soc
Bras Med Trop 1992; 25: 37-44.
67. Silva JP, Souza W, Rozental S. Chromoblastomycosis: a retrospective study of
325 cases on Amazonic Region (Brazil). Mycopathologia 1999; 143: 171-175.
68. Silva CMP, Silva ACM, Marques SC, et al. Associação de cromoblastomicose
e hanseníase: relato de dois casos. Rev Soc Bras Med Trop 1994; 27: 241-244.
69. Bopp C, Bernardi C. Geopatologia da Cromoblastomicose no Rio Grande do
Sul. Med Cut 1973; 7: 1-8.
70. Londero AT , Ramos CD . Cromoblastomicose no interior do Rio Grande
do Sul. An Bras Dermatol 1989; 64: 155-158.
71. Matte SMW e cols. Cromoblastomicose no Rio Grande do Sul : relato de
12 casos . Rev Soc Bras Med Trop 1997; 30: 309-311.
72. Trindade Filho J. Cromicose. In: Talhari S, Garrido Neves R. Dermatologia
Tropical. São Paulo: MEDSI editora; 1995. p. 219-231.
73. D’Avila SC, Pagliari C, Duarte MI. The cell-mediated immune reaction in the
cutaneous lesion of chromoblastomycosis and their correlaction with different clinical
forms of the disease. Mycopathologia 2003; 156: 51-60.
74. Salgado CG, da Silva MB, Yamano SS, Salgado UI, Diniz JA, da Silva JP.
Cutaneous localized annular chromoblastomycosis. J Cutan Pathol. 2008; 24:142-47.
75. Rozental S, Alviano CS, Souza W. The in vitro susceptibilidade of f pedrosoi to
activated macrophages. Mycopathologia 1994; 126: 85-91.
56
76. Lever WF. Fungal Diseases. In: Lever WF. Histopathology of the skin. 8
th
ed.
Philadelphia: Lippincott Raven; 1998. p. 517-51.
77. Salem FA, Kannangara DW, Naschum R. Cerebral Chromomycosis. Arch
Neurol 1983; 40: 173-4.
78. Duggan JM, Wolf MD, Kaufmann CA. P. Verrucosa infection in an AIDS
patient. Mycoses 1995; 38: 215-218.
79. Esterre P, Pecarrere JL, Raharisolo C, Huerre M. Squamous cell carcinoma
arising from chromomycosis. Ann Pathol 1999; 19: 516-20.
80. Diamond RD. Immune response to fungal infection. Rev Infet Dis 1989; 11:
1600-1604.
81. Paul C, Dupont B, Pialoux G. Auril MF, Pradunaud R. Chromoblastomycosis
with maliganat transformation and cutaneous-synovial secondary localization. The
potential therapeutic role of itraconazole. J Med Vet Mycol 1991; 29: 313-316.
82. Londero AT, Ramos CD, Fischman O . Cromoblastomicose primária do nariz.
O hospital 1968; 74: 323-328.
83. Brandt ME, Warnock DW. Epidemiology, clinical manifestations, and therapy of
infections caused by dematiaceous fungi. J Chemother. 2003;15:36-47.
84. Silveira F, Nucci M. Emergence of black moulds in fungal disease:
epidemiology and therapy. Curr Opin Infect Dis. 2001;14:679-84.
85. Chowdhary A, Guarro J, Randhawa HS, Gené J, Cano J, Jain RK, Kumar S,
Khanna G. A rare case of chromoblastomycosis in a renal transplant. Med Mycol.
2008 Mar;46(2):163-6.
86. Mazo Fávero Gimenes V, Da Glória de Souza M, Ferreira KS, Marques SG,
Gonçalves AG, Vagner de Castro Lima Santos D, Pedroso e Silva Cde M, Almeida
SR. Cytokines and lymphocyte proliferation in patients with different clinical forms of
chromoblastomycosis. Microbes Infect. 2005 ;7:708-13.
57
87. Sousa MG, Azevedo CD, Nascimento RC, Ghosn EE, Santiago KL, Noal V,
Bomfim GF, Marques SG, Gonçalves AG, Santos DW, Almeida SR. Fonsecaea
pedrosoi infection induces differential modulation of costimulatory molecules and
cytokines in monocytes from patients with severe and mild forms of
chromoblastomycosis. J Leukoc Biol. 2008; 18:87-93.
88. Höfling-Lima AL, Guarro J, Freitas D, Godoy P, Gené J, Souza LB, Zaror L,
Romano AC. Clinical treatment of corneal infection due to Fonsecaea pedrosoi-case
report. Arq Bras Oftalmol. 2005;68:270-2.
89. Sousa MG, Azevedo Cde M, Nascimento RC, Ghosn EE, Santiago KL, Noal V,
Bomfim GF, Marques SG, Gonçalves AG, Santos DW, Almeida SR. Fonsecaea
pedrosoi infection induces differential modulation of costimulatory molecules and
cytokines in monocytes from patients with severe and mild forms of
chromoblastomycosis. J Leukoc Biol. 2008;84:864-70.
90. Silva Azevedo CD, Marques SG, Resende MA, Gonçalves AG, de Castro
Lima Santos DV, da Silva RR, de Sousa MD, de Almeida SR. The use of glucan as
immunostimulant in the treatment of a severe case of chromoblastomycosis.
Mycoses. 2008 ; 26: 89-93.
91. Sarti HM, Vega-Memije ME, Domínguez-Cherit J, Arenas R. Longitudinal
melanonychia secondary to chromoblastomycosis due to Fonsecaea pedrosoi. Int J
Dermatol. 2008;47:764-5.
92. Sharma NL, Sharma VC, Mahajan V, Shanker V, Sarin S.
Chromoblastomycosis with underlying osteolytic lesion. Mycoses. 2007;50:517-9.
93. Beçak W e Paulete J. Técnicas de Citologia e Histologia. In: Beçak W.
Técnicas de Coloração. 2
a
. ed. Rio de Janeiro (RJ): RJ Livros Técnicos e Científicos;
1976. p. 1-67.
94. Rosen T, Gyorkey F, Joseph LM, Batres E. Ultrastructural Features of
Chromoblastomycosis. Int J Dermat 1980; 19: 461-468.
58
95. Rajeev S, Clifton G, Watson C, Miller D. Fonsecaea pedrosoi skin infection in a
dog. J Vet Diagn Invest. 2008 ;20:379-81.
96. Ahrens J, Graybill JR, Abishawl A, Tio FO, Rinaldi MG. Experimental murine
chromomycosis mimicking chronic progressive human disease. Am J Med Hyg 1989;
40: 651-658.
97. Garcia Marques S, Pedroso E Silva Cde M, Aparecida Resende M, Moura
Silva AA, Mendes Caldas Ade J, Lopes Costa JM. Detection of delayed
hypersensitivity to Fonsecaea pedrosoi metabolic antigen (chromomycin). Nippon
Ishinkin Gakkai Zasshi. 2008;49:95-101.
98. Esterre P, Jahevitra M, Ramarcel E. Evaluation of the ELISA technique for the
diagnosis and the seroepidemiology of chromoblastomycosis. J Micol Med 1997; 7:
137-141.
99. de Andrade TS, Cury AE, de Castro LG, Hirata MH, Hirata RD. Rapid
identification of Fonsecaea by duplex polymerase chain reaction in isolates from
patients with chromoblastomycosis. Diagn Microbiol Infect Dis. 2007;57:267-72.
100. Copra S, Veja-lópez F. Skin granulomas in clinical practice. In: Geraint James
D, Zumla A. The granulomatous disorders. 1
st
ed. Cambridge: Cambridge University;
2003. p. 485-527.
101. Epstein WL. Granulomatous inflammations in the skin. In: Epstein WL.
Pathology of Granulomas. New York: Raven Press; 1993. p. 221-60.
102. Pinkus E, Mehregan AH. Mixed cell granulomas. In: Pinkus E, Mehregan AH.
Pinkus’ guide to dermatohistopathology. 4
th
ed. Connecticut: Appleton-century-crofts;
1986. p. 277-298.
103. Boros DL. Granulomatous Inflammations. In: Boros DL. Granulomatous
inflammations. 3
rd
. ed. Detroit: Press; 1995. p. 191-95.
104. Reis LF, Ventura TG, Souza SO, Arana-Pino A, et al. Quantitative and
qualitative interferences of pentoxifillyne on hepatic Schistosoma mansoni
59
granulomas: effects on extracellular matrix and eosinophil population. Mem Inst
Oswaldo Cruz 2001; 96: 107-12.
105. Adams D. The biology of the granuloma. In: Ioachin HL, editor. Pathology of
granuloma. New York: Raven Press; 1983. p. 1-20.
106. Hirsch BC, Johnson WC. Pathology of granulomatous diseases. Mixed
inflammatory granuloma. Int J Dermatol 1984; 23: 585-97.
107. Michalany J, Michalany NS. A new morphological concept and classification of
granulomatous inflammation: the polar granulomas. International Journal of
Dermatology. 2008; 16: 574 – 579.
108. Michalany J, Michalany NS. Histogenic differentiation of polar tuberculoid
granuloma and the “benign” or “malignant” behaviour of hanseniasis. Hansenol
Int. 1989;14:83-6.
109. Stadecker MJ, Asahi H, Finger E, Hernandez HJ, Rutitzky LI, Sun J. The
immunobiology of Th1 polarization in high-pathology schistosomiasis. Immunol
Rev. 2004;201:168-79
110. Esterre P, Peyrol S, Guerret S, Saint-Maire D, Pradinaud R, Grimaud JA. Cell-
matrix Patterns in the Cutaneous Lesion of Chromomycosis. Path Res Pract 1992;
188: 894-900.
111. Ricard-Blum S, Hartmann DJ, Esterre P. Monitoring of extracellular matrix
metabolism and cross-linking in tissue, serum and urine of patients with
chromoblastomyosis, a chronic skin fibrosis. Eur J Clin Invest 1998; 28: 748-54.
112. Sotto MN, T. De Brito T, Silva AMG, Vidal M, et al. Antigen distribution and
antigen-presenting cells in skin biopsies of human chromoblastomycosis. J Cutan
Pathol 2004; 31: 14–18.
113. Bocca AL, Brito PPMS, Figueiredo F, et al. Inhibition of nitric oxide production
by macrophages in chromoblastomycosis: a role for Fonsecaea pedrosoi melanin.
Mycopathologia 2006; 161: 195–203.
60
114. Pereira da Silva J, Batista da Silva M, Salgado UI, Diniz JAP, et al.
Phagocytosis of Fonsecaea pedrosoi conidia,but not sclerotic cells caused by
Langerhans cells, inhibitsCD40 and B7-2 expression. FEMS Immunol Med Microbiol
2007; 50: 104–111.
115. Bayerl C, Fuhrmann E, Coelho CC, Lauk LJ, Moll I, Jung EG. Chromomycosis.
Mycoses 1998; 41: 447-52.
116. Ricard-Blum S, Hartmann DJ, Esterre P. Monitoring of extracellular matrix
metabolism and cross-linking in tissue, serum and urine of patients with
chromoblastomyosis, a chronic skin fibrosis. Eur J Clin Invest 1998; 28: 748-54.
117. Esterre P, Peyrol S, Sainte-Marie D. Granulomatous reaction and tissue
remodeling in the cutaneous lesion of chromomycosis. Virchows Arch A Pathol
Anat 1993; 422: 285-91.
118. Harada S, Kusunoki T. Scanning electron microscopic observation of the
parasitic forms of the F. pedrosoi in a human skin lesion. Micopathologia 1983; 82:
33-7.
119. Okuda C, Ito M, Oka K. Relationship between tissue reactions and
morphological changes of the fungi in chromoblastomycosis: morphometry and
electron microscopy. Arch Dermatol Res 1992; 284: 95-9.
120. Stevens R.L. and Austen K F. Recent advances in the cellular and molecular
biology of mast cells. Immunology Today 1989; 10: 381-386.
121. Mazo Fávero Gimenes V, Da Glória de Souza M, Ferreira KS, Marques SG,
Gonçalves AG, Vagner de Castro Lima Santos D, Pedroso e Silva Cde M, Almeida
SR. Cytokines and lymphocyte proliferation in patients with different clinical forms of
chromoblastomycosis. Microbes Infect. 2005;7:708-13.
122. Sá VC, Silva TA, Reis CM, Cunha FQ, Figueiredo F, Bocca AL. The pattern
of immune cell infiltration in chromoblastomycosis: involvement of macrophage
61
inflammatory protein-1 alpha/CCL3 and fungi persistence. Rev Inst Med Trop Sao
Paulo. 2007;49:49-53.
123. Santos AL, Palmeira VF, Rozental S, Kneipp LF, Nimrichter L, Alviano DS,
Rodrigues ML, Alviano CS. Biology and pathogenesis of Fonsecaea pedrosoi, the
major etiologic agent of chromoblastomycosis. FEMS Microbiol Rev. 2007;31:570-91.
124. Gómez BL, Nosanchuk JD. Melanin and fungi. Curr Opin Infect Dis. 2003
Apr;16(2):91-6 .
125. Alviano DS, et al. Melanin from Fonsecaea pedrosoi induces production of
human antifungal antibodies and enhances the antimicrobial efficacy of phagocytes.
Infect Immun. 2004 Jan;72(1):229-37.
126. de Brito AC; Quaresma JAS. Lacaziose (doença de Jorge Lobo): revisão e
atualização. An. Bras. Dermatol. 2007; 82: 187-92.
127. Bonifaz A, Fierro L, Saúl A, Ponce RM. Cutaneous sporotrichosis. Intermittent
treatment (pulses) with itraconazole. Eur J Dermatol. 2008 ;18:61-4.
128. Bonifaz A, Saúl A, Paredes-Solis V, Fierro L, Rosales A, Palacios C, Araiza J.
Sporotrichosis in childhood: clinical and therapeutic experience in 25 patients. Pediatr
Dermatol. 2007;24:369-72.
129. Kauffman CA, Hajjeh R, Chapman SW. Practice guidelines for the
management of patients with sporotrichosis. For the Mycoses Study Group. Infectious
Diseases Society of America. Clin Infect Dis. 2000;30:684-7.
130. Restrepo A. Treatment of tropical mycosis. J Am Acad Dermatol 1994; 31: 91-
102.
131. Caligiorne RB, Resende MA, Melillo PHC, Peluso CP, Carmo FHS, Azevedo
V. In vitro susceptibility of chromoblastomycosis and phaeohyphomycosis agents to
antifungal drugs. Medical Mycology 1999; 37: 405-409.
132. Silber JG, Gombert ME, Green KM, Shalita AR. Treatment of chromomycosis
with ketoconazole and 5-fluorocytosine. J Am Acad Dermatol 1983; 8: 236-238.
62
133. Kullavanijakya P, Rojanevamich V. Successful treatment of
chromoblastomycosis due to F. pedrosoi by the combination of itraconazole and
criotherapy. Int J Dermatol 1995; 34: 804-7.
134. McGinnis MR, Pasarell L, Sutton DA, Fothergill AW, Cooper CR, Rinaldi MG.
In vitro activity of voriconazole against selected fungi. Medical Mycology 1998; 36:
239-242.
135. Esterre P, Inzank K, Ramarcel E. Treatment of chromoblastomycosis with
terbinafine. Br J Dermatol 1996; 134: 33-36.
136. Hay RJ. Therapeutic potencial of terbinafine in subcutaneous and systemic
mycoses. B J Dermatol 1999; 141: 36-40.
137. McGinnis MR, Pasarell L. In vitro evaluation of terbinafine and itraconazole
against dematiaceous fungi. Medical Mycology 1998; 36: 243-246.
138. Esterre P, Risteli L, Ricard-Blum S. Immunohistochemical study of type I
collagen turn-over and of matrix metalloproteinases in chromoblastomycosis before
and after treatment by terbinafine. Pathol Res Pract. 1998;194 :847-53.
139. Bedout C, Gómez BI, Restrepo A. In vitro susceptibility testing of F. pedrosoi
to antifungals . Rev Inst Med Trop S Paulo 1997; 39: 145-148.
140. Damian DL, Barnetson RS, Thompson JF. Treatment of refractory
chromomycosis by isolated limb infusion with melphalan and actinomycin D. J Cutan
Med Surg. 2006;10:48-51.
141. Scheinfeld N. A review of the new antifungals: posaconazole, micafungin, and
anidulafungin. J Drugs Dermatol. 2007 ;6:1249-51.
142. Silva CL, Fazioli RA. Role of the fungal cell wall in the granulomatous
response of mice to the agents of chromomycosis. J Med Microbiol 1985; 20: 299-
305.
143. Esterre P, Queiroz-Telles F. Management of chromoblastomycosis: novel
perspectives. Curr Opin Infect Dis. 2006 ;19(2):148-52.
63
6. ARTIGOS CIENTÍFICOS
6.1. Primeiro Artigo (Versão em Inglês):
PATTERN ANALYSIS OF CUTANEOUS CHROMOBLASTOMYCOSIS INFECTION:
EVIDENCE OF A POLARITY CONCEPT IN CLINICAL AND HISTOPATHOLOGICAL
LESIONS
Renan Minotto
1,4*
; Maria Lúcia Scroferneker
3,4
;Maria Isabel Albano Edelweiss
2,4,5
.
1
Preceptor, Dermatology Service, Complexo Hospitalar Santa Casa de Porto Alegre, Brazil;
2
Professor, Department of Pathology, Faculdade de Medicina, and Programa de Pós-
Graduação em Medicina – Ciências Médicas, Universidade Federal do Rio Grande do Sul,
Porto Alegre, Brazil;
3
Professor, Department of Microbiology, Instituto de Biociências, and Programa de Pós-
Graduação em Medicina – Ciências Médicas, Universidade Federal do Rio Grande do Sul,
Porto Alegre, Brazil;
4
Student of Post-Graduate Course in Medicine – Medical Sciences, Doctorate Degree,
Emphasis in Dermatology, Faculdade de Medicina, Universidade Federal do Rio Grande do
Sul, Porto Alegre, Brazil;
5
Preceptor, Pathology Service, Hospital de Clínicas de Porto Alegre, Brazil
*
Correspondence to: Dr. Renan Minotto - Rua Comendador Rheingantz, 750 apto. 701.
Bairro Bela Vista - CEP 90450-020 - Porto Alegre, RS - Brasil. E-mail: [email protected]
64
ABSTRACT
Histopathological findings of cutaneous biopsies from 79 patients with untreated
chromoblastomycosis infection were studied and associated with type of macroscopic
dermatological lesions. The authors described the granuloma present in this disease and
showed the concept of polarity in clinical lesions and histopathological aspects. The mixed
organized mycotic granuloma was analysed through a semi-quantification of its components
(grouped concentrically around fungi as mononuclears, lymphoplasmocytic infiltrate and
polymorphonuclears influx mainly by neutrophils), which have the probability of been more
intense (OR=14,06 and p<0,001) in elevated lesions (55 patients) with 76% of high intensity
(++ to +++) than in flat lesions (24 patients) which had 67% of low intensity of these
components (0 to +). Fungus had the probability (OR=18,53 and p<0,001) to be more intense
in elevated lesions and fibrosis had OR=32,29 with p<0,001. Pseudoepitheliomatous
hyperplasia, transepithelial elimination, vasculitis, ulceration and vascular neoformation were
also analysed by the same method and associated with clinical aspect of the lesion and we
found significative association where had high intensity of fungi with the presence of high
intensity of the others structures in elevated lesions.
Key words: chromoblastomycosis, clinical forms of chromoblastomycosis,
chromoblastomycotic granuloma, histopathology, pathology of granulomas, polar
granulomas.
65
INTRODUCTION
Chromoblastomycosis (CBM) is a deep fungal infection associated with a specific
granulomatous reaction. The causative agents of CBM are found intracellularly or free in
tissues as thick-walled dark brown spores measuring 5 to 15μ in diameter. In literature, there
are different histopathological descriptions of the granuloma in CBM (like suppurative,
tuberculoid and histiocytic), but few papers have focused its definition on a consensus and
related it with clinical aspects of lesions (1-24).
Pinkus (13) described that a mixed granuloma is the result from the proliferation of
mononuclear cells, showing both phagocytic and secretory activity. Uribe (16) reported that
the mixed organized mycotic granuloma (MOMG) is a mononuclear granuloma modified by
the influx of neutrophils, giving rise to a suppurative neutrophilic infiltrate. D’Avila (25)
associated the histopathology and cell-mediated immune reaction in the cutaneous lesion
with different clinical forms of the disease. Re-examining the concept of polar granulomas
(12,39-41), based principally on studies of hanseniasis, and by observing and comparing
cases of CBM in our service, we decided to approfundate the analisys and studies about this
fungal infection, because it could be possible that in CBM exits a particular kind of polarity
either in macroscopic or in microscopic lesions.
The present study intends to clarify some aspects of this disease through an
evaluation of all cellular and morphological elements of the skin biopsies of CBM lesions in a
detailed histopathological structural analysis, showing the descriptive morphological aspects
involved and their association with the type of dermatological lesion.
66
PATIENTS AND METHODS
This is a cross-sectional study with 79 CBM patients, whose diagnosis were
confirmed by direct mycological examination, culture and histopathology, from the
Dermatology Service (DS) of Complexo Hospitalar Santa Casa de Porto Alegre, state of Rio
Grande do Sul, Brazil, a historical reference service of CBM stablished by Clovis Bopp (11)
with standardized protocols and rich archives of several published cases. The new cases
included here were untreated (incident cases at the DS), in a sample of demand, seen at the
latest years, and included 27 from another survey underwent by us (4) of 100 cases.
Inclusion criteria were all patients with positive direct mycological examination and
cultural with identification of the agent and sclerotic cells at the histopathology in cases
without treatments. Exclusion ones were patients already using therapies at the first
consultation, negative mycological and histopathological studies and/or insufficient tissue in
paraffin blocks. This study was approved by local ethics committee and identifying data from
patients were not revealed.
New slides with hematoxylin-eosin (HE) and Groccot’s methenamine silver (GMS)
were made and re-examined by two researchers (MIE and RM), blinded to the clinical data,
in consensus to the histopathological findings, which were studied semiquantitatively through
models already stablished by Bopp (11), Minotto (1), Uribe (16), and D’Ávila (25), adapted for
this study, by counting ten high-power fields (400x) and their presences were coded in
degrees of intensity and classified in two categories, as low intensity (LI) when the intensity
was from 0 (absent) to + (paucity), and as high intensity (HI) when the intensity was from ++
(frequent) to +++ (multiplicity).
Histopathological variables observed in slides were multinucleated giant cells,
neutrophils, macrophages, eosinophils, lymphocytes, plasma cells, fungi,
pseudoepitheliomatous hyperplasia, transepithelial elimination, fibrosis (identified under
polarized light microscopy), vasculitis, ulceration and vascular neoformation. The cells that
67
constitute the granulomas were standartized, as authors choice, into three larger categories:
Group A - mononuclear phagocytic system: macrophages and multinucleated giant cells;
Group B - polymorphonuclear phagocytic system: neutrophils and eosinophils; Group C -
lymphoplasmocytic infiltrate: lymphocytes and plasma cells.
Clinical variables obtained in the patients’ files of DS were gender, race, age, local of
lesion and clinical appearance of biopsied lesion. The type of the biopsied dermatological
lesion was divided into two categories: elevated lesion (when it was papulous, nodular,
verrucous or vegetant), and flat lesion (when it was atrophic, erythematous, desquamative or
squamous).
Descriptive statistics was used for the analysis of quantitative variables (means) and
qualitative variables (n (%)). The associations of interest were analyzed through the bi-
variate analysis by using Qui-Square and Exact Fisher’s Tests (Yates correction when
necessary) and were presented Odds Ratio (OR) with respective confidence interval (CI
95%), using a significance level of 5%. The Epi Info program version 3.5.1 and the SPSS
program version 16.0 was used for the statistical analysis.
RESULTS
Figure 1 shows the sequence in the MOMG pattern formation towards in the two
poles.
Samples from the 24 flat lesions and from the 55 elevated lesions which were
biopsied are shown in Figures 2 and 3, respectively.
All the 79 lesions were caused by F pedrosoi.
Clinical and epidemiological data from the 79 studied patients are seen on Table 1.
Table 2 shows the degrees of intensity of the histopathological findings associating
with the type of dermatological lesion.
68
All the 79 patients had MOMG at the histopathology, but we found two poles of
intensity of the microscopic components, according to the type of dermatological lesion: the
probability of to exist higher intensity of the elements (cells from groups A, B and C) of the
MOMG in the elevated lesions was 14,06 (p<0,001) when compared to the flat lesions
(elevated lesions had 76% of HI and the flat lesions had 67% of LI). These two distinct
histopathological aspects of the MOMG (HI and LI, the two poles) are shown on figures 4
and 5, respectively. The probability of fungus to be higher in elevated lesions was 18,53
(p<0,001) when compared to flat lesions. Fibrosis and pseudoepitheliomatous hyperplasia
had OR of 32,29 and 30,06, respectively (p<0,001). Transepithelial elimination showed
OR=0,26 (p<0,001) indicating a protective effect of the elevated lesions. The mean for
structural elements were also analysed and we found 67% of LI in flat lesions and 76% of HI
in elevated lesions (OR=14,06 and p<0,001). Others results are seen on table 2.
As seen in Table 1, the disease was more prevalent in Caucasians. Concerning to
the time of disease evolution and the histopathological findings, as well patients’ age and
gender, the authors did not found statistical significance.
Table 3 shows a significance threshold (p<0,001) by way of Fisher’s exact test
revealed more probability of to have higher intensity of cellular elements (groups A,B,C) and
structural components (fibrosis, transepithelial elimination, ulcerations,
pseudoepitheliomatous hyperplasia, vascular proliferation, and vasculitis) when high
intensity of fungus were observed at the elevated dermatological lesions, highlighting the
polimorphonuclear group (OR=35,66) confirming that this group particularize the type of
granuloma in CBM. We found OR=32,73 for fibrosis, OR=29,12 for pseudoepitheliomatous
hyperplasia and OR=0,13 for transepithelial elimination (denoting protection). The others
elements are seen on table 3.
69
DISCUSSION
The causative agents of subcutaneous and systemic mycoses lead to the influx of
mononuclear phagocytic cells at the wounded sites, thus producing a granulomatous
reaction, but in CBM, fungi simultaneously induce a response of the polymorphonuclear
system, giving rise to a inflammatory infiltrate with persistent influx of neutrophils (figure 1).
This influx particularize and characterizes the granuloma in CBM, producing the called
MOMG, and in this work we found different patterns of intensity of its microscopic elements
associated with the type of the macroscopic lesion (13,16,19,23).
We dissected the granulomatous formation observed in CBM (12,13,16) to analyze the
elements of the cellular infiltrate, first in isolation, and afterwards, combined in order to
understand their structure. Thus, the cellular composition of the infiltrate revealed that three
large groups of cells were present and concentrically organized around the fungal agent,
forming the MOMG (16), with the continuous recruiting of neutrophils originating the
suppurative component of the granuloma in CBM. The morphological aspects of the mixed
organized mycotic granuloma formation, step by step, with central neutrophil exudation, can
be seen in figure 1, as idealizated by the authors.
The dermatological appearance of the lesion (figures 2 and 3) had a correspondent
expression in MOMG and structural components. The type of granuloma is the same
(MOMG), but the expression of their components (polarity) varies according to the
macroscopic lesion (HI in elevated and LI in flat), showing our new polarity concept, and the
same occurs with the majority of the others morphological elements (table 2), which are more
expressive in the elevated lesions than in the flat.
There are few review studies that focus on histopathological response to CBM and
different clinical aspects of this disease. As the studies on this pathology have not been
conclusive, and it is presented worldwide, we decided to study the primary tissue
modification triggered by the fungal agent and its associations related to lesions. New
70
approaches are necessary to show how the inflammatory reaction occurs in CBM according
to different clinical aspects of the lesions (26-38).
Table 3 shows that in elevated lesions where HI of fungi were presented existed
significant association with HI to the majority of the cell elements and structures analyzed
indicating that an elevated lesion may be proned to difficult therapeutical management, more
difficult prognostics and a “malignant behaviour” (table 2) while a flat lesion may present a
better clinical evolution due to its low intensity of pathological elements.
Considering clinical-epidemiological data presented in table 1, a significant number of
patients were female (40,51%) and that a expressive number of individuals presented lesions
in other parts of the body (67,09%) comparing to patients presented lesions on the lower
limbs( 32,91%). Based on semiological descriptions, the greater number of individuals
presented isolated little flat lesions or little elevated lesions in groups. Flat lesions were found
predominantly on upper limbs and elevated lesions were found in other parts of the body,
and the average evolution time of the disease was 4,9 years. Comparing to previous studies
about this disease in the world, it is possible that is occurring changes or they may indicate
different geographical characteristics or a sort of change in the epidemiological profile in
recent years, including a shorter period of evolution until diagnosis (4,26-38).
Another characteristic of CBM is a rare phenomenon called transepithelial elimination,
on which the epithelium covering the lesions plays a role in the elimination of the fungus,
where paths for fungal elimination are observed (8,16,24). The precise pathogenic pathway
is not clearly understood yet, but we found a significant association between fungi, fibrosis,
transepithelial elimination and type of lesion (p<0,001). Fungi and fibrosis were more intense
in elevated lesions, but despite the association of pseudoepitheliomatous hiperplasya and
transepithelial elimination of the fungi described on the literature, it is possible that the
fibrosis may difficult the transepithelial elimination of fungus, and we found a protective effect
between elevated lesion and transepithelial elimination (OR=0,26 comparing with flat lesions
and OR=0,13 when associated with high intensity of fungus in elevated lesions). On the other
71
hand, fibrosis was less intense in flat lesions and the transepithelial elimination of the fungi
could be easier.
The mixed organized mycotic granulomas present in CBM have a distinct pattern
from those of others mycoses, because they are modified by the persistent presence of
neutrophilic polymorphonuclear components caused by persistence of fungi, and the MOMG
in CBM have a distinct polarity according to the clinical type of lesion. The other
morphological elements studied may also be subject to new research because there have
been interesting features in their expressions, according to type of clinical lesion, not related
in other granulomatous fungal infections, for example, in elevated lesions when a higher
intensity of fungus was present, we found a significant and positive association with
expressive dermal fibrosis, and this fibrotic tissue can be a barrier and impair the diffusion of
antifungal drugs and the transepithelial elimination of the etiologic agent. This fibrotic
mechanism in CBM (20-22) could be a model for studies which to try explain the
etiopathogenesis of other obscures fibrotic diseases. And the abundant
pseudoepitheliomatous hyperplasia, ulcerations, vascular proliferation and vasculitis noted in
CBM lesions should be also better investigated.
A morphological concept and classification of granulomatous inflammation have been
idealized: the polar-granulomas. Introducing this theme, in a study (39), the authors also
have revealed the confusion concerning the definition of the type of granulomas in several
granulomatous diseases, and that differences between granulomas were overlooked by the
majority of pathologists. And, based on studies about granulomatous inflammation in leprosy,
a morphological classification of granulomas into polar types, tuberculoid and non
tuberculoid, was proposed. The polar tuberculoid type follows the Jadassohn- Lewandowsky
law, its etiologic agent is absent or scarce (complete phagocytosis). The polar non
tuberculoid type does not follow the Jadassohn- Lewandowsky law, its etiologic agent is
always present or copious (incomplete phagocytosis). It seems that this proposed definition
of granulomas combines morphology with functional activity of macrophages, easily
72
observed in routine histopathological examination by optical microscopy. And the nature of
the etiologic agent and its virulence, and Th1/Th2 response may also be investigated to
understand the molecular effectors of this immunologic reaction.
Based on these morphological concept and classification, in another study (40) of
polar granulomas and hanseniasis, the authors concluded that the “benign” or “malignant”
behaviour of hanseniasis depends on the degree of tuberculoid differentiation of the lesions.
If the lesion is histologically well differentiated toward a polar tuberculoid granuloma
(tuberculoid hanseniasis) it will have a “benign” behaviour. On the contrary, if this
differentiation is absent (virchowian hanseniasis) or poor (interpolar borderline hanseniasis)
the behaviour of the lesion will be “malignant”.
In a study (41) of schistosomiasis, a granulomatous and fibrosing reaction disease,
the severe form of disease with more intense lesions was associated with persistently
elevated pro-inflammatory T-helper-2 (Th2)-type cytokines, whereas milder pathology is
present when Th1 cytokines dominate. The definition of distinctive immune profiles
associated with polar forms of schistosomiasis opens opportunities for comparative studies
with individuals suffering from others severe granulomatous diseases.
In another study focused on CBM (25) the authors observed 15 cases of elevated
lesions where a Th2 response was found and 4 flat lesions’ cases where a Th1 response
was found in 19 untreated patients.
According to these studies, once again we have evidences that in CBM is possible a
polarity concept, in both clinical and histopathological aspects, because the association of a
flat macroscopic lesion with low intensity of the microscopic elements (with a “benign
behavior”) and a elevated macroscopic lesion with high intensity of the microscopic elements
(with a “malignant behavior”) had significant clinical and statistical findings. The authors of
this research have detailed and proposed to refresh the name of the granuloma in CBM:
mixed organized micotyc granuloma, with high intensity or low intensity of their components,
73
which could follow the concept of classification for those types already described: the non
tuberculoid and tuberculoid polar forms, respectively.
Finally, the two kinds of dermatological lesions, flat and elevated, in CBM, are an
interesting model to study the different intensities of the histopathological elements on mixed
organized mycotic granuloma formation according to clinical lesion, not only because the
fungus is easily observed in histological sections, but also because the course of infection is
chronic and the lesions are generally limited to the subcutaneous tissue and skin (4,24-
30,32,34,35), so we may infer from a macroscopic viewpoint what are the microscopic
findings in a skin lesion in terms of clinical-therapeutical association.
Further studies on focus the immunological pattern based in immunomarkers in tissue
for the inflammatory infiltrate and serous immunological expression of these markers will be
our next step in this topic.
ACKNOWLEDGMENTS
We thank to Prof. Dr. Roberto Gervini, head of the Dermatology Service, and Prof. Dr.
Mauro Soibelman, head of the Division of Research, Complexo Hospitalar Santa Casa de
Porto Alegre and to Center for Experimental Research of Hospital de Clínicas de Porto
Alegre.
74
REFERENCES
1. Minotto R. Cromoblastomicose no Rio Grande do Sul: aspectos epidemiológicos e
histopatológicos. Dissertação de Mestrado em Clínica Médica com ênfase em
Dermatologia. UFRGS. 2003. 181 p.
2. Epstein WL. Granulomatous inflammations in the skin. In: Ioachin HL, ed. Pathology
of Granulomas. Raven Press, New York 1998; 221-60.
3. Lever WF. Fungal Diseases. In: Lewer WF. Histopathology of the skin. 8a. ed.
Lippincott Raven, Philadelphia 1998; 517-51.
4. Minotto R, et al. Chromoblastomycosis: A review of 100 cases in the state of Rio
Grande do Sul , Brazil. J Am Acad Dermatol 2001; 44: 585-92.
5. Carrión AL Chromoblastomycosis and related infections. Int J Dermatol 1975; 14: 27-
32.
6. Chandler FW, Kaplan W, Ajello L. Chromoblastomycosis. In: Chandler FW, Kaplan
W, Ajello L. Histopathology of Mycotic Diseases. Wolfe Medical Publications, Atlanta
1998; 42-9.
7. McGinnis MR Chromoblastomycosis and phaeohyphomycosis: new concepts,
diagnosis and mycology. J Am Acad Dermatol 1983; 8: 1-16.
8. Rippon JW. Chromoblastomycosis. In: Rippon JW. Medical Mycology. 3a. ed. WB
Saunders Company, Philadelphia 1998; 276-96.
9. Sánchez-Mirt A, Pérez-Blanco M, Caleiras E, Rangel O Histopatología y
Ultraestructura de la cromomicosis causada por Cladosporium carrionii. Invest Clin
1995; 36: 173-182.
10. Azulay RD Histopatologia da Cromoblastomicose. An. 2
a
. Reunião Ass Derm Sífil
Brasil 1947; 205-210, Anais SBD.
11. Bopp C. Cromoblastomicose: Contribuições ao Estudo de alguns de seus aspectos
(Tese). Porto Alegre (RS): URGS 1959; 290.
75
12. Copra S, Veja-lópez F Skin granulomas in clinical practice. In: Geraint James D,
Zumla A. The granulomatous disorders. 1
st
ed. Cambridge University, Cambridge
2003; 485-527.
13. Pinkus E, Mehregan AH. Mixed cell granulomas. In: Pinkus E, Mehregan AH. Pinkus’
Guide to Dermatohistopathology. 4
th
ed. Appleton-century-crofts, Connecticut 1986;
pp 277-298.
14. Strutton G. The granulomatous reaction pattern. In: Weedon D. The skin. 3
rd
ed.
Churchill Livingstone, London 1992; pp 181-207.
15. Tibiriçá PQT. Anatomia Patológica da Dermatite Verrucosa Cromomicótica. Tese.
Fac Méd Univ S Paulo 1939; pp 190.
16. Uribe F, Zuluaga AI, Leon W, Restrepo A. Histopathology of chromoblastomycosis.
Mycopathologia 1989; 105: 1-6.
17. Boros DL. Granulomatous Inflammations. 3a. ed. Detroit 1995: pp 191-95.
18. Romano MS. Histopatología de las micosis profundas de mayor frecuencia en el
Noroeste Argentino. Arch Argent Dermatol 1996; 46: 175-182.
19. Hirsch BC, Johnson WC. Pathology of granulomatous diseases. Mixed inflammatory
granuloma. Int J Dermatol 1984; 23: 585-97.
20. Esterre P, Peyrol S, Guerret S, Saint-Maire D, Pradinaud R, Grimaud JA. Cell-matrix
Patterns in the Cutaneous Lesion of Chromomycosis. Path Res Pract 1992; 188: 894-
900.
21. Esterre P, Peyrol S, Sainte-Marie D. Granulomatous reaction and tissue remodeling
in the cutaneous lesion of chromomycosis. Virchows Archiv A Pathol Anat 1993; 422:
285-91.
22. Ricard-Blum S, Hartmann DJ, Esterre P. Monitoring of extracellular matrix
metabolism and cross-linking in tissue, serum and urine of patients with
chromoblastomycosis, a chronic skin fibrosis. Eur J Clin Invest 1998; 28:748-54.
76
23. Uribe F, Leon W, Velasquez JP. Modificaciones tisulares a nivel de la piel en algunas
micosis. Acta Med Colomb 1982; 7: 171-179.
24. Walter P, Garin Y, Richardd-Lenoble D. Chromoblastomycosis. Virchows Arch Pathol
Anat 1982; 397: 203-214.
25. D’Avila SC, Pagliari C, Duarte MI. The cell-mediated immune reaction in the
cutaneous lesion of chromoblastomycosis and their correlation with different clinical
forms of the disease. Mycopathologia 2003; 156: 51-61.
26. Pérez-Blanco M et al. Chromoblastomycosis in children and adolescents in the
endemic area of the Falcón State, Venezuela. Med Mycol 2006; 44:467-71.
27. Pradhan SV et al. Chromoblastomycosis in Nepal: a study of 13 cases. Indian J
Dermatol Venereol Leprol 2007; 73:176-8.
28. Ungpakorn R. Mycoses in Thailand: current concerns. Nippon Ishinkin Gakkai Zasshi
2005; 46:81-6.
29. Siala E, Gastli M, Ben Abdallah R, Barbouche R, Zallaga N, Bouratbine A, Aoun K.
Recurrent chromomycosis of the face and extremities: first case report from Iibya.
Med Trop 2007; 67:69-71.
30. López Martínez R, Méndez Tovar LJ. Chromoblastomycosis. Clin Dermatol 2007;
25:188-94.
31. Milan CP, Fenske NA. Chromoblastomycosis. Dermatol Clin 1989; 7:219-25.
32. Bonifaz A, Carrasco-Gerard E, Saúl A. Chromoblastomycosis: clinical and
mycologic experience of 51 cases. Mycoses 2001; 44:1-7.
33. Attapattu MC. Chromoblastomycosis—a clinical and mycological study of 71 cases
from Sri Lanka. Mycopathologia 1997; 137:145-51.
34. Silva JP, de Souza W, Rozental S. Chromoblastomycosis: a retrospective study of
325 cases on Amazonic Region (Brazil). Mycopathologia 1999; 143:171-5.
77
35. Kikuchi Y, Kondo M, Yaguchi H, Hiruma M, Ikeda S. A case of chromomycosis
caused by Fonsecaea pedrosoi presenting as a small plaque on the left upper arm: a
review of reported cases of dematiaceous fungal infection in Japan. Nippon Ishinkin
Gakkai Zasshi 2007; 48:85-9.
36. Sousa MG, Azevedo Cde M, Nascimento RC, Ghosn EE, Santiago KL, Noal V,
Bomfim GF, Marques SG, Gonçalves AG, Santos DW, Almeida SR. Fonsecaea
pedrosoi infection induces differential modulation of costimulatory molecules and
cytokines in monocytes from patients with severe and mild forms of
chromoblastomycosis. J Leukoc Biol 2008; 84:864-70.
37. Mazo Fávero Gimenes V, Da Glória de Souza M, Ferreira KS, Marques SG,
Gonçalves AG, Vagner de Castro Lima Santos D, Pedroso e Silva Cde M, Almeida
SR. Cytokines and lymphocyte proliferation in patients with different clinical forms of
chromoblastomycosis. Microbes Infect 2005; 7:708-13.
38. Salgado CG, da Silva MB, Yamano SS, Salgado UI, Diniz JA, da Silva JP. Cutaneous
localized annular chromoblastomycosis. J Cutan Pathol 2008; 104:108.
39. Michalany J, Michalany NS. A new morphological concept and classification of
granulomatous inflammation: the polar granulomas. International Journal of
Dermatology 2008; 16: 574 – 579.
40. Michalany J, Michalany NS. Histogenic differentiation of polar tuberculoid granuloma
and the "benign" or "malignant" behaviour of hanseniasis. Hansenol Int 1989; 14:83-
6.
41. Stadecker MJ, Asahi H, Finger E, Hernandez HJ, Rutitzky LI, Sun J. The
immunobiology of Th1 polarization in high-pathology schistosomiasis. Immunol Rev
2004; 201:168-79.
78
Table 1 – Clinical and epidemiological data on 79 patients with CBM treated at
Dermatology Service, Complexo Hospitalar Santa Casa de Porto Alegre.
CHARACTERISTICS VALUES
Patient’s average age (years)* 46,3
Average time of evolution of the disease
(years)*
4,9
Gender
Male 47 (59%)
Female 32 (41%)
Ethnics
Caucasian 58 (73%)
African-american 17 (22%)
Not specified
4 (5%)
Type of biopsied lesion
Flat 24 (30%)
Elevated 55 (70%)
Anatomic regions
Head or neck 11 (14%)
Shoulders or chest 14 (18%)
Abdomen or buttocks 11 (14%)
Upper limbs 17 (22%)
Lower limbs 26 (33%)
* Characteristics presented as means, the other characteristics were presented in n (%)
79
Table 2 – Association between skin lesion and the expressivity of respective histopatological findings
in 79 patients diagnosed with CBM: the polarity concept.
Dermatological lesion (N=79)
Elevated (N=55)
Flat (N=24)
Histopathological findings
HI
“malignant
behaviour”
LI
“benignal
behaviour”
HI
“malignant
behaviour”
LI
“benignal
behaviour”
P
OR
CI95%
- Cells:
- group A cells (phagocitic mononuclear system)
41 (75%)
14 (25%)
8 (33%)
16 (67%)
<0,001
11,88
9,57-17,59
- group B cells (phagocitic polimorfonuclear
system)
45 (82%)
10 (18%)
9 (38%)
15 (62%)
<0.001
16,90
12,68-19,50
- group C cells (lymphoplasmocytic infiltrate)
40 (73%)
15 (27%)
7 (29%)
17 (71%)
<0,001
11,48
9,01-17,70
- MOMG (A+B+C)
42 (76%)
13 (24%)
8 (33%)
16 (67%)
<0,001
14,06
12,02-16,42
- Pathogenical agents:
- fungi
44 (80%)
11 (20%)
8 (33%)
16 (67%)
<0,001
18,53
13,70-21,27
- Structural elements:
- fibrosis
51 (93%)
4 (7%)
7 (29%)
17 (71%)
<0,001
32,29
19,90-40,77
- transepithelial elimination
19 (35%)
36 (65%)
16 (67%)
8 (33%)
<0,001
0,26
0,09-0,41
- ulceration
45 (82%)
10 (18%)
6 (25%)
18 (75%)
<0,001
13,50
8,78-15,23
- pseudoepitheliomatous hyperplasia
50 (91%)
5 (9%)
7 (29%)
17 (71%)
<0,001
30,06
16,95-42,67
- vascular neoformation
46 (84%)
9 (16%)
6 (25%)
18 (75%)
<0,001
15,33
10,20-19,72
- vasculitis
40 (73%)
15 (27%)
6 (25%)
18 (75%)
<0,001
12,13
8,86-18,17
- MEAN (structural elements)
42 (76%)
13 (24%)
8 (33%)
16 (67%)
<0,001
14,06
12,02-16,42
HI (high intensity on histopathological findings ++ to +++); LI (Low intensity on histopathological findings 0 to +); Group A (giant cells and
macrophages); Group B (eosinophils and neutrophils); Group C (lymphocytes and plasma cells).
Table 3 – Association between HI of cellular and structural findings and HI of fungi in elevated lesions.
Fungi Cellular and Structural
elements
p OR CI95%
Group A <0,001 23,72 18,76-27,99
Group B <0,001 35,66 23,76-45,11
Group C <0,001 19,98 16,77-30,98
Fibrosis <0,001 32,73 20,29-43,17
Transepithelial elimination <0,001 0,13 0,06-0,31
Ulcerations <0,001 13,87 9,04-19,21
Pseudoepitheliomatous
hyperplasia
<0,001
29,12
16,52-38,79
Vascular proliferation <0,001 18,88 15,51-27,52
Vasculitis <0,001 19,09 15,73-29,23
Group A (phagocitic mononuclear system); Group B (phagocitic polimorfonuclear system); Group C (lymphoplasmocytic infiltrate).
80
Basic pathogenetic mechanism of chromoblastomicotic granuloma formation
and evolution in polar aspects
STEP
A
a
b
a-epidermis
b-dermis
1-implantation of fungus
STEP
B
Mononuclear cells grouped
around fungus
2-giant cells
3-macrophages
STEP
C
Ring of lymphoplasmocytic
infiltrate: (4-lymphocytes 5-
plasma cells)
6-eosinophils
7-neutrophils influx
STEP
D
Persistence of fungus (1) with
continuous and central
neutrophilus influx (7) and
exsudation
(basic MOMG formation pattern)
Evolution in two polar forms with
LI in flat lesions and HI in
elevated lesions
Figure 1 – MOMG formation and evolution through polarity concepts as idealized by authors
3
7
5
5
4
4
5
1
3
2
3
7
6
6
7
2
74
6
2
7
7
7
7
7
7
7
7
7
7
7
3
7
5
5
4
4
5
1
3
2
3
7
6
6
7
2
7
4
6
3
3
3
2
2
2
1
2
1
81
Figure 2 – Flat CBM lesion on the elbow.
Figure 3 – Elevated CBM lesion on the trunk.
82
Figure 4 – MOMG. Biopsy of case from figure 3. HI of components.
Neutrophilus influx (black arrows) and fungus (blue arrows). HE 20x.
Figure 5 – MOMG. Biopsy of case from figure 2. LI of components including
sparse neutrophils (arrows) and absence of fungus in this field (fagocited?). HE 40x.
83
6.2. Segundo Artigo (Versão em Inglês):
A MORPHOLOGICAL STUDY ON EVOLUTION OF CUTANEOUS
CHROMOBLASTOMICOTIC INFECTION BEFORE AND AFTER THERAPIES
Renan Minotto
1,4*
; Maria Lúcia Scroferneker
3,4
; Maria Isabel Albano Edelweiss
2,4,5
.
1
Preceptor, Dermatology Service, Complexo Hospitalar Santa Casa de Porto Alegre, Brazil;
2
Professor, Department of Pathology, Faculdade de Medicina, and Programa de Pós-
Graduação em Medicina – Ciências Médicas, Universidade Federal do Rio Grande do Sul,
Porto Alegre, Brazil;
3
Professor, Department of Microbiology, Instituto de Biociências, and Programa de Pós-
Graduação em Medicina – Ciências Médicas, Universidade Federal do Rio Grande do Sul,
Porto Alegre, Brazil;
4
Student of Post-Graduate Course in Medicine – Medical Sciences, Doctorate Degree,
Emphasis in Dermatology, Faculdade de Medicina, Universidade Federal do Rio Grande do
Sul, Porto Alegre, Brazil;
5
Preceptor, Pathology Service, Hospital de Clínicas de Porto Alegre, Brazil
*
Correspondence to: Dr. Renan Minotto - Rua Comendador Rheingantz, 750 apto. 701.
Bairro Bela Vista - CEP 90450-020 - Porto Alegre, RS - Brasil. E-mail: [email protected]
84
ABSTRACT
This study compared 39 patients with elevated lesions of chromoblastomycosis and
22 patients with flat lesions evaluating the morphological components of biopsies in cases
with regular follow-up before and after treatments. Patients with elevated lesions had
persistence of high intensity of the histopathological findings (with not signicant statistical
analysis trough odds ratio and p=0,1) associated with a unsatisfactory response to therapy
and those with flat lesions showed more decreasing of the intensity of this findings (with
signicant statistical analisys to all elements through odds ratio and p=0,01) with a satisfactory
response to therapies. After treatments the relative risk of high intensity of these components
in the elevated lesions were higher than those of flat lesions (p<0,001). The high and low
intensity of the histopathological elements in association with the type of lesion denoted the
presence of polarity of the granulomas in this disease either before or after therapies.
Key words: histopathology, chromoblastomycosis, effect of therapies, macroscopic
lesions, subcutaneous mycosis, polar granulomas.
INTRODUCTION
Chromoblastomycosis (CBM) is a fungal infection inducing skin lesions of hard
treatment and frequent recurrence with granulomatous lesions associated with various
histopathological elements, mainly fibrosis, and presence of dematiaceous fungal agents
found intracellular or free in tissues as characteristic thick-walled dark brown spores,
measuring 5 to 15μ in diameter (1-9).
There are different descriptions of granulomas in CBM (10-19), but until now, few
authors, like Pinkus (16), and Uribe (14) have described, as characteristic of this fungal
85
infection, a mixed organized mycotic granuloma (MOMG), a kind of mononuclear granuloma
modified by the persistent influx of neutrophils.
The low especificity and some confusions about descriptions of the granulomatous
pattern in CBM reported in the literature and the observations of the polar granulomas like
that of hanseniasis sugest a concept of polarity in CBM through a in deep analysis and
comparing with others diseases where this polarity was reported (4,10,14,16-19,26).
CBM is an infectious disease with a chronic, usually insidious and often debilitating
character. It presents a slowly but progressively growing process, not responding to the
usual treatments and quite often recurrent (3,4,27,36-38), with few studies in literature about
the relationships between type of clinical lesion and microscopical aspects (26,28,30,39-44).
Based on these facts, the present study aims to compare the histopathological responses of
flat and elevated lesions before therapies and after in bad and good responders.
PATIENTS AND METHODS
This is a historical cohort study with before and after type of analysis without control
group. Population included CBM patients at the Dermatology Service, Complexo Hospitalar
Santa Casa de Porto Alegre, Brazil, which have a historical research in this pathology by
Clovis Bopp (2). The 67 cases seen in the latest years were studied in a sample of demand
and included 19 cases from another study underwent by us (3) with 100 individuals. All had
positive direct mycological examination, culture and histopathology realized at the first
consultation, without treatments, and submitted to a second mycological and biopsy studies
after therapies. The study was approved by local ethics committee and identifying data from
patients were not revealed.
Inclusion criterions were untreated patients with a first biopsy and mycological studies
who underwent to usual therapies described in literature for CBM and followed at least for 6
86
months with a second biopsy and mycological study for control and the exclusion ones were
interruption of treatments, insufficient material in the paraffin blocks of biopsies, absent of
mycological studies and individuals not followed with regularity.
The macroscopic aspect of the biopsied dermatological lesion, before and after
treatment, was classified into two types: flat (for erythematous, scaly, squamous,
desquamation and atrophic) and elevated (for verrucous, vegetant, nodular and papulous).
The microscopic aspects were studied in slides, staining with hematoxylin-eosin (HE)
and Groccot’s methenamine silver (GMS) and examined by two observers (RM and MIE)
blinded to the clinical data, and the analysis consisted of a semiquantitative analysis of the
cell subsets and morphological elements of extracellular matrix in the inflammatory infiltrates
(seen on tables 1, 2 and 3) that was performed by counting ten high-power fields (400x), in
consensus by the two examiners,
and the presence of each component were coded in
degrees of intensity by a model of semiquantitative analisys already established in the past
by Bopp (2), Uribe (14), Minotto (4) and D’Ávila (26) and adapted to this study, and classified
as high intensity (HI), when show an intensity of ++ (frequent) to +++ (multiplicity), and as low
intensity (LI) when the intensity was 0 (absent) to + (paucity). These findings were associated
with the type of dermatological lesion biopsied before and after therapies.
All the patients were treated with combined strategies preconized in the literature for
CBM (systemic antifungal drugs like terbinafine, itraconazole, amphotericin B, fluconazole,
and more invasive methods like intralesional antifungals, surgery and cryosurgery).
The average time length between the first biopsy taken before and the second one
taken after therapies was 7.1 months (ranging from 6 to 9 months). The second biopsy was
taken in order to verify the histological pattern when it comes to clinical improvement or not
besides the mycological tests, according to protocols of the Dermatology Service.
The authors selected patients who had biopsies before and after treatments, and direct
and cultural mycological studies before and after treatments. Based on protocols established
in the past by Bopp (2) and the recordings in the patients’ files in the latest years, the authors
87
standardize the evolutional pattern of the disease and create a denomination, with the
patients been dichotomized in two categories: “bad responders” to therapy and “good
responders” to therapy. A “bad response” to therapy was observed when the dermatological
lesion did not improved and there were persistence of fungi at mycological studies after
therapies. A “good response” to therapy was observed when the dermatological lesion
improved and there were not persistence of fungi at mycological studies after therapies. The
authors decided to analyse this cases in the flat and elevated type of lesions (diagram 1)
according to this classification, and in cases with regular follow up the biopsies were
analyzed for detecting intensities of all the histological elements, and compared them before
and after therapies to detect differences that reflected these responses.
Analysis were realized with Qui-square test and Fisher’s exact test with Yates
correction and test of McNemar, with Odds Ratio (OR) and Relative Risk (RR) with
confidence interval of 95% (CI 95%). A significance level of 5% was used. The Epi Info
program version 3.5.1 and the SPSS program version 16.0 were used for the statistical
analysis.
RESULTS
The fungal agent encountered in all cases was F pedrosoi.
Results of macroscopic analysis on skin lesions have shown that patients should be
divided in two groups: the ones who present flat lesions and those who present elevated
lesions. Macro and microscopic analysis of the lesions have shown evidence that CBM is a
polar disease, either before or after treatment. There are distinctive predominance of flat or
elevated lesions on each patient and histological types showing predominance on
microscopic components either with low or high intensity, respectively.
88
The study included 67 patients who were divided into two groups, according to the
clinical course of disease and to the type of dermatological lesion (diagram 1): 24 (36%) of
them had flat and 43 (64%) had elevated lesions, biopsied before and after therapies. “Bad
responders” ’ cases were found in 61% and out of these, 5% were flat lesions and 95% were
elevated lesions. “Good responders” ’ cases were 39%, with 85% of flat lesions and 15% of
elevated lesions. Flat lesions had “bad response” to therapy in 8% and “good response” in
92%. Elevated lesions were “bad responders” in 91% and “good responders” in 9% after
therapies (diagram 1). According to the inclusion and exclusion criterions, 61 patients (22 flat
lesions and 39 elevated lesions) had their biopsies analysed histopathologically before and
after treatments, performing a total of 122 biopsies studied (tables 1, 2 and 3).
Table 1 shows these flat lesions before and after therapies and several elements
such as mixed organized mycotic granuloma and many others components including fungi
and fibrosis were analysed morphologically and their intensity were numbered and their
percentage described (n (%)) with odds ratio and 95% confident interval. To this cited
elements, we found a high intensity in 32%, 36% and 36%, before and after treatment they
showed 14%, 5% and 5%, respectively. The probability (OR) of this components to be higher
before therapies were 6,71, 11,80 and 11,80.
Table 2 shows those elevated lesions before and after treatments with the same
elements analysed but no statistical significances were found.
Table 3 presents the elevated and flat lesions after treatments. Here, the relative risk
(RR) of MOMG to have higher intensity in elevated lesions was 30,31. The risk of fungi to be
higher in elevated lesions was 55,60 and the risk of fibrosis to be more intensity in these
elevated lesions was 58,36. As seen on tables 1 and 3, flat lesions (considered “good
responders” cases), despites the negative mycological examination, had 5% of HI for fungus
on biopsies.
Macroscopical lesions of CBM before treatment are seen in figures 1 (elevated) and 3
(flat), and after treatment in figures 2 (elevated) and 4 (flat). Microscopical aspects of
89
biopsied lesions before treatments can be seen in figures 5 (elevated) and 7 (flat), and after
therapies in figures 6 (elevated) and 8 (flat).
After treatment, elevated lesions’ cases had persistence or recrudescence of the
disease (“bad responders” to therapy), some of them developed de novo lesion in the same
site of the apparent cured lesion, and another biopsy was taken in this same recrudescent
site. Another group of flat lesions’ patients biopsied after therapies had no persistence or
recrudescence (“good responders”). Results of microscopic analysis before and after
treatment on “good” (flat lesions) and “bad” (elevated lesions) responders are shown on
tables 1 and 2 and on table 3 we compares the two groups after treatments. Despites that, 2
cases of flat lesions were “bad responders” and 4 cases of elevated lesions were “good
responders” (diagram 1).
DISCUSSION
CBM is a fungal disease whose pathogenic events may be better understood and its
histopathology findings better associated with clinical aspects. The treatment shows poor
effectiveness and serious side effects. The disease is epidemiologically important in several
geographic regions, which has triggered studies focused on the biology and pathogenic
mechanisms during the interaction of fungi with different hosts' elements
(20,24,25,32,35,39,44). CBM is difficult to treat, frequently recurrent, frequently resistant and
refractory to multiple systemic and local treatments, and advanced disease may impair
individual’s quality of life (3,4,21-23,30,31,33,34,37). However, little is known regarding the
pattern of histopathological aspects in flat and elevated lesions before and after therapies.
In recent literature (26), in a survey of 19 patients, without treatment, it was observed
two types of tissue reaction in biopsies according to type of lesion: the cutaneous lesion
presenting as a verrucous plaque (15 cases of elevated lesions) had a granulomatous
90
reaction with a suppurative granuloma (MOMG with high intensity of the elements) with
several fungi cells. It was suggested that patients with this type of lesion have a type Th2
immunological response (“bad response” to therapy), while in erythematous atrophic plaque
(4 cases of flat lesions) had a granulomatous reaction less supurative resembling a
tuberculoid granuloma (MOMG with low intensity of the elements) with few fungi cells and a
type Th1 response (“good response” to therapy). These findings confirm the hypotheses that
CBM is a polar disease relating either to polar granuloma or polar lesions respectively.
Authors (18) had classified the granulomas in type 1 and type 2. The type 1
granuloma had Th1-type T-cell, epithelioid cells, macrophages and giant cells as we
observed in flat lesions. The Type 2 granuloma had Th2-type T-cell, mast cells, eosinophils
and macrophages as we observed in elevated lesions.
Besides that, the host defense mechanism in CBM has also not been thoroughly
extensively investigated, and the cell-mediated immunity in patients with long-standing
chromoblastomycosis is somehow impaired, with monocytes from patients with different
clinical forms of chromoblastomycosis present distinct phenotypic and functional profiles
(44). In another study (39), focused on fungus-host interaction, although phagocytosis did
occur, death of fungal cells was rarely observed, maybe by the ability of Fonsecaea pedrosoi
to produce secreted or cell wall-associated melanin-like components, protecting against
destruction by host immune cells in vitro. Until now, according to these studies, the T cell
immune response in chromoblastomycosis is undefined, and in the patients with the severe
form of the disease (elevated lesions), an inefficient T cell proliferation were induced. In
contrast, in patients with a mild form of the disease (flat lesions), an efficient T cell
proliferation was observed.
As seen on table 1 (flat lesions), before treatments, the entire elements available have
showed low intensity, with exception of transepithelial elimination (TE) with 68% and after we
observed more decrease of all them, in contrast of TE (45%). On table 2 (elevated lesions),
TE was 36% and the others components were higher and after therapies, this same pattern
91
persists. In “bad responders” cases (elevated dermatological lesions), we observed low
intensity of transepithelial elimination and noted important aspects of fibrosis like prominent
thickness and a high intensity of fungus, different from “good responders” cases (flat
dermatological lesions), where there was a major prominent of transepithelial elimination with
lower intensity of fungus and fibrosis. Statistical analysis revealed RR=0,58 (table 3)
denoting a “protective” aspect of the elevated lesions (maybe by fibrosis) on the elimination
of the fungi. The fibrosis is an important aspect in CBM (45-48) that can be associated with
“bad response” to the therapy because it may impair the diffusion of antifungal drugs in
affected tissues and prevent its access from destroying fungal structures, leading to a poor
prognostic due to a persistent and expressive dermal fibrosis in elevated lesions and we
have noted many mast cells surrounded fibrosis. This relationship of fibrosis, mast cells and
fungus is not totally understood in CBM, and the use of antifibrotic drugs combined with
antifungal drugs in “bad responders” ’ cases could be tried. A study (36) has evaluated the
distribution of collagen type 1 characterized by immunohistochemical with
antimetaloproteinases 1 and 9 on CBM lesions before and after being treated with
terbinafine. After one year of therapy there was a decrease of collagen type 1 synthesis and
partial improvement of fibrosis unrelated to the cure of the fungal infection.
CBM was recalcitrant in 61% of the cases (diagram 1) with the elevated lesions
corresponding to 95% of these cases, and the flat 5% showing an important prognostic value
for the type of macroscopic dermatological lesion in this disease. Thus, in CBM, the kind of
macroscopic lesion allows to infer a prognosis provided that there was evidence that 91% of
elevated dermatological lesions were recalcitrant and 8% of flat lesions were also
recalcitrant, despites the therapies. We observed “bad responses” in 2 flat lesions and we
observed “good responses” in 5 elevated lesions, but this cases had an irregular follow up.
Of the 67 patients of this study, 61 have had long follow-ups, and the “bad
responders” ’ cases have had new courses of treatment, and periodic biopsies to be explored
in another survey.
92
Recent studies have shown that both elevated and flat lesions have been presented
in smaller dimensions maybe due to the diagnosis at earlier stages of the disease.
Comparing to the literature (41), the incidence of other surrounding sites of infection had
increased like upper extremities, face, neck, and buttocks, and when compared to reports in
the past (30,37,39-41,43,44,48), cases affecting the lower extremities had decreased (figure
9 and 12), whilst cases involving others sites had increased (figures 10 and 11).
A recent report (41) of a woman with a very small, erythematous and scaly lesion of
CBM on the superior limb confirms all these aspects. When the patient presents this type of
lesion, the treatment could be surgical excision of the lesion with margins, with a major
possibility of a follow up with no recurrence. Overall, the treatment for this kind of CBM lesion
could be either by oral administration of antifungal agents, excision, or a combination of
these methods.
Another recent paper (30) describes cases of chromoblastomycosis (CBM) in children
and adolescents all resided in a CBM endemic area in the semi-arid zone of the Venezuela.
Lesions consisted of erythematous, desquamation or squamous plaques located primarily on
the upper limbs. In this report, another alternative of treatment could be with topical 5-
fluorouracil and electrodessication and/or fulguration, and in bad responder’s cases
associated with oral itraconazole. These cases emphasize the importance of early diagnosis
in difficult-to-treat mycotic diseases such as CBM. By early intervention we were able to
employ topical treatment with a minimum of adverse effects to achieve a high percentage of
favorable therapeutic responses. Thus, the patients are able to avoid the evolution of the
chronic, deforming and incapacitation clinical manifestations associated with CBM.
In a CBM case (43) of a healthy man with a solitary and small elevated lesion located
on the right thigh, the patient was treated with oral itraconazole, with a good response and
clinical cure in 6 months that left only an atrophic scar. It seems that lesions located on the
upper limbs respond to treatment more effectively than the lesions located on the lower
93
limbs. However, solitary and recent small lesions, either elevated or flat on lower limbs
appears respond positively to the treatment as well.
We have observed in the patients’ files of our Dermatology Service good results with
cryosurgery in association with 200 mg/day of itraconazole for flat lesions and for elevated
lesions surgical excision and 200mg of itraconozole in both cases for a period of time at least
for six months.
Comparing to other fungal diseases, sporotrichosis is another subcutaneous mycosis
with different clinical forms like cutaneous lymphangitic form and fixed cutaneous form,
where itraconazole leading to good results (49,50). In a survey (49), it was used orally 400
mg/day for one week with a 3-week break (pulses); thereafter the drug was administered as
pulses until clinical and mycological cure was achieved. No patient had side effects and no
laboratory test abnormalities occurred. Intermittent or pulsed itraconazole was effective in
treating cutaneous sporotrichosis. We suggest that it may be considered as a new treatment
choice and maybe useful in small CBM lesions.
Despites the “good response” to therapy, with negative mycological tests, when the
slides were reexamined, we found a case of flat lesion with HI of fungi. Based on this fact,
the authors concluded that either in flat or elevated lesions fungi may be hidden in regions of
more fibrosis, difficult to access on scraping for mycological examination, and this
observation reveals the importance of biopsy for control of treatments.
Patients who had “good response”, though microscopic study presenting LI of fungus
(almost all absent) have shown mostly destroyed fungi with clinical and mycological
remission of the disease, whereas patients had “bad response” on the treatment, presenting
HI with several and not destroyed fungi. We have perceived in the follow up that a
macroscopic lesion hasn’t changed its original characteristics either they were flat or
elevated. During the clinical evolution after treatment, flat lesions improved the
dermatological characteristics and cosmetic patterns better than an elevated lesion. Some
elevated lesions have improved by being less relief, maybe to the surgical proceedings,
94
better in clinical and cosmetic patterns, but still presented hardness and elevations due to
fibrosis and pseudoepitheliomatous hyperplasia with lesser significant results than flat
lesions.
ACKNOWLEDGMENTS
We thank to Prof. Dr. Roberto Gervini, head of the Dermatology Service and to Prof. Dr.
Mauro Soibelman, head of Division for Research, both of Santa Casa de Porto Alegre, and
the staff of Center for Experimental Research at Hospital de Clínicas de Porto Alegre.
REFERENCES
1. Walter P, Garin Y, Richardd-Lenoble D. Chromoblastomycosis. Virchows Arch Pathol
Anat 1982; 397: 203-214.
2. Bopp C. Cromoblastomicose: Contribuições ao Estudo de alguns de seus aspectos
(Tese). Porto Alegre (RS): URGS 1959; p. 290.
3. Minotto R, et al. Chromoblastomycosis: A review of 100 cases in the state of Rio
Grande do Sul , Brazil. J Am Acad Dermatol 2001; 44: 585-92.
4. Minotto R. Cromoblastomicose no Rio Grande do Sul: aspectos epidemiológicos e
histopatológicos. Dissertação de Mestrado em Clínica Médica com ênfase em
Dermatologia. UFRGS. 2003; p. 181.
5. McGinnis MR. Chromoblastomycosis and phaeohyphomycosis: new concepts,
diagnosis and mycology. J Am Acad Dermatol 1983; 8: 1-16.
6. Romano MS. Histopatología de las micosis profundas de mayor frecuencia en el
Noroeste Argentino. Arch Argent Dermatol 1996; 46: 175-182.
95
7. Uribe F, Leon W, Velasquez JP. Modificaciones tisulares a nivel de la piel en algunas
micosis. Acta Med Colomb 1982; 7: 171-179.
8. Sánchez-Mirt A, Pérez-Blanco M, Caleiras E, Rangel O. Histopatología y
Ultraestructura de la cromomicosis causada por Cladosporium carrionii. Invest Clin
1995; 36: 173-182.
9. Carrión AL. Chromoblastomycosis and related infections. Int J Dermatol 1975; 14: 27-
32.
10. Reis LF, Ventura TG, Souza SO, Arana-Pino A, et al. Quantitative and qualitative
interferences of pentoxifillyne on hepatic Schistosoma mansoni granulomas: effects
on extracellular matrix and eosinophil population. Mem Inst Oswaldo Cruz 2001; 96:
107-1.
11. Esterre P, Peyrol S, Sainte-Marie D. Granulomatous reaction and tissue remodeling
in the cutaneous lesion of chromomycosis. Virchows Archiv A Pathol Anat 1993; 422:
285-91.
12. Boros DL. Granulomatous Inflammations. 3a. ed. Detroit 1995; pp. 191-95.
13. Esterre P, Peyrol S, Guerret S, Saint-Maire D, Pradinaud R, Grimaud JA. Cell-matrix
Patterns in the Cutaneous Lesion of Chromomycosis. Path Res Pract 1992; 188: 894-
900.
14. Uribe F, Zuluaga AI, Leon W, Restrepo A. Histopathology of chromoblastomycosis
1989; Mycopathologia 105: 1-6.
15. Hirsch BC, Johnson WC. Pathology of granulomatous diseases. Mixed inflammatory
granuloma. Int J Dermatol 1984; 23: 585-97.
16. Pinkus E, Mehregan AH. Mixed cell granulomas. In: Pinkus E, Mehregan AH. Pinkus’
Guide to Dermatohistopathology. 4
th
ed. Appleton-century-crofts, Connecticut 1986;
pp. 277-298.
17. Strutton G. The granulomatous reaction pattern. In: Weedon D. The skin. 3
rd
ed.
Churchill Livingstone, London 1992; pp. 181-207.
96
18. Copra S, Veja-lópez F. Skin granulomas in clinical practice. In: Geraint James D,
Zumla A. The granulomatous disorders. 1
st
ed. Cambridge University, Cambridge
2003; pp. 485-527.
19. Ricard-Blum S, Hartmann DJ, Esterre P. Monitoring of extracellular matrix
metabolism and cross-linking in tissue, serum and urine of patients with
chromoblastomycosis, a chronic skin fibrosis. Eur J Clin Invest 1998; 28:748-54.
20. Silva CL, Fazioli RA. Role of the fungal cell wall in the granulomatous response of
mice to the agents of chromomycosis. J Med Microbiol 1985; 20: 299-305.
21. Caligiorne RB, Resende MA, Melillo PHC, Peluso CP, Carmo FHS, Azevedo V. In
vitro susceptibility of chromoblastomycosis and phaeohyphomycosis agents to
antifungal drugs. Medical Mycology 1999; 37: 405-409.
22. Bedout C, Gómez BI, Restrepo A. In vitro susceptibility testing of F. pedrosoi to
antifungals . Rev Inst Med Trop S Paulo 1997; 39: 145-148.
23. Restrepo A. Treatment of tropical mycosis. J Am Acad Dermatol 1994; 31: 91-102.
24. Bocca AL, Brito PPMS, Figueiredo F, et al. Inhibition of nitric oxide production by
macrophages in chromoblastomycosis: a role for Fonsecaea pedrosoi melanin.
Mycopathologia 2006; 161: 195–203.
25. Sotto MN, T. De Brito T, Silva AMG, Vidal M, et al. Antigen distribution and antigen-
presenting cells in skin biopsies of human chromoblastomycosis. J Cutan Pathol
2004; 31: 14–18.
26. D’Avila SC, Pagliari C, Duarte MI. The cell-mediated immune reaction in the
cutaneous lesion of chromoblastomycosis and their correlation with different clinical
forms of the disease. Mycopathologia 2003; 156: 51-61.
27. Pereira da Silva J, Batista da Silva M, Salgado UI, Diniz JAP, et al. Phagocytosis of
Fonsecaea pedrosoi conidia,but not sclerotic cells caused by Langerhans cells,
inhibitsCD40 and B7-2 expression. FEMS Immunol Med Microbiol 2007; 50: 104–
111.
97
28. Pradhan SV et al. Chromoblastomycosis in Nepal: a study of 13 cases. Indian J
Dermatol Venereol Leprol. 2007 ;73:176-8
29. Pérez-Blanco M et al. Chromoblastomycosis in children and adolescents in the
endemic area of the Falcón State, Venezuela. Med Mycol. 2006; 44:467-71.
30. Esterre P, Queiroz-Telles F. Management of chromoblastomycosis: novel
perspectives. Curr Opin Infect Dis. 2006; 19:148-52.
31. Ungpakorn R. Mycoses in Thailand: current concerns. Nippon Ishinkin Gakkai Zasshi.
2005; 46:81-6.
32. Gómez BL, Nosanchuk JD. Melanin and fungi. Curr Opin Infect Dis. 2003; 16: 91-6.
33. Silveira F, Nucci M. Emergence of black moulds in fungal disease: epidemiology and
therapy. Curr Opin Infect Dis. 2001; 14: 679-84.
34. Brandt ME, Warnock DW. Epidemiology, clinical manifestations, and therapy of
infections caused by dematiaceous fungi. J Chemother. 2003; 15: 36-47.
35. Alviano DS, et al. Melanin from Fonsecaea pedrosoi induces production of human
antifungal antibodies and enhances the antimicrobial efficacy of phagocytes. Infect
Immun. 2004; 72: 229-37.
36. Esterre P, Risteli L, Ricard-Blum S. Immunohistochemical study of type I collagen
turn-over and of matrix metalloproteinases in chromoblastomycosis before and after
treatment by terbinafine. Pathol Res Pract 1998; 194: 847-53.
37. Siala E, Gastli M, Ben Abdallah R, Barbouche R, Zallaga N, Bouratbine A, Aoun K.
Recurrent chromomycosis of the face and extremities: first case report from Iibya.
Med Trop 2007; 67: 69-71.
38. Silva JP, de Souza W, Rozental S. Chromoblastomycosis: a retrospective study of
325 cases on Amazonic Region (Brazil). Mycopathologia 1999; 143: 171-5.
39. Mazo Fávero Gimenes V, Da Glória de Souza M, Ferreira KS, Marques SG,
Gonçalves AG, Vagner de Castro Lima Santos D, Pedroso e Silva Cde M, Almeida
98
SR. Cytokines and lymphocyte proliferation in patients with different clinical forms of
chromoblastomycosis. Microbes Infect 2005; 7:708-13.
40. Salgado CG, da Silva MB, Yamano SS, Salgado UI, Diniz JA, da Silva JP. Cutaneous
localized annular chromoblastomycosis. J Cutan Pathol 2008; 104:108.
41. Kikuchi Y, Kondo M, Yaguchi H, Hiruma M, Ikeda S. A case of chromomycosis
caused by Fonsecaea pedrosoi presenting as a small plaque on the left upper arm: a
review of reported cases of dematiaceous fungal infection in Japan. Nippon Ishinkin
Gakkai Zasshi 2007; 48:85-9.
42. Pérez-Blanco M, Hernández Valles R, García-Humbría L, Yegres F.
Chromoblastomycosis in children and adolescents in the endemic area of the Falcón
State, Venezuela. Med Mycol 2006; 44:467-71.
43. Menezes N, Varela P, Furtado A, Couceiro A, Calheiros 3 I, Rosado 4 L, Mota G,
Baptista A. Chromoblastomycosis associated with Fonsecaea pedrosoi in a carpenter
handling exotic woods. Dermatol Online J 2008; 14:9.
44. Sousa MG, Azevedo Cde M, Nascimento RC, Ghosn EE, Santiago KL, Noal V,
Bomfim GF, Marques SG, Gonçalves AG, Santos DW, Almeida SR. Fonsecaea
pedrosoi infection induces differential modulation of costimulatory molecules and
cytokines in monocytes from patients with severe and mild forms of
chromoblastomycosis. J Leukoc Biol 2008; 84:864-70.
45. Attapattu MC. Chromoblastomycosis—a clinical and mycological study of 71 cases
from Sri Lanka. Mycopathologia 1997; 137:145-51.
46. Bonifaz A, Carrasco-Gerard E, Saúl A. Chromoblastomycosis: clinical and mycologic
experience of 51 cases. Mycoses 2001; 44:1-7.
47. Milam CP, Fenske NA. Chromoblastomycosis. Dermatol Clin 1989; 7:219-25.
48. López Martínez R, Méndez Tovar LJ. Chromoblastomycosis. Clin Dermatol 2007;
25:188-94.
99
49. Bonifaz A, Fierro L, Saúl A, Ponce RM. Cutaneous sporotrichosis. Intermittent
treatment (pulses) with itraconazole. Eur J Dermatol 2008; 18:61-4.
50. Bonifaz A, Saúl A, Paredes-Solis V, Fierro L, Rosales A, Palacios C, Araiza J.
Sporotrichosis in childhood: clinical and therapeutic experience in 25 patients. Pediatr
Dermatol 2007; 24:369-72.
Diagram 1. Skin lesion and therapeutical responses in 67 cases of CBM
(p<0,001) (p<0,001)
A B C D A C B D
A = cases with interruption of treatments and irregular follow up
B = positive mycological studies and regular follow up and underwent to histopathological analysis
C = negative mycological studies and regular follow up and underwent to histopathological analisys
D = cases with an irregular follow up
clinical course and kind of lesion on 67 CBM lesions
N (%)
Clinical course of disease independent of lesion Kind of macroscopic biopsied lesion (N=79)
Bad response Good response Flat elevated
41 (61%) 26 (39%) 24 (36%) 43 (64%)
Clinical course of disease according to type of dermatological lesion
N (%)
Bad response (N=41) Good response (N=26)
Flat elevated Flat elevated
2 (5%) 39 (95%) 22 (85%) 4 (15%)
Kind of lesion according to clinical evolution of CBM
N (%)
Flat (N=24) Elevated (N=43)
Bad
response
Good
response
Bad
response
Good
response
2 (8%) 22 (92%) 39 (91%) 4 (9%)
100
Table 1 – Frequencies of intensity of morphological elements in skin biopsies of CBM from 22 patients
with flat lesions, before and after therapies.
BEFORE AFTER
N (%) N (%)
KIND OF
MICROSCOPIC
COMPONENTS
HI LI HI LI
p
OR
CI95%
Cells
Group A cells 7 (32%) 15 (68%) 3 (14%) 19 (86%) 0,01 6,71 4,89-10,30
Group B cells 8 (36%) 14 (64%) 4 (18%) 18 (82%) 0,01 5,37 3,57-8,70
Group C cells 7 (32%) 15 (68%) 3 (14%) 19 (86%) 0,01 6,71 4,89-10,30
MOMG (A+B+C) 7 (32%) 15 (68%) 3 (14%) 19 (86%) 0,01 6,71 4,89-10,30
Pathogenical agents
Fungi 8 (36%) 14 (64%) 1 (5%) 21 (95%) 0,01 11,80 7,98-17,26
Structural elements
Fibrosis 8 (36%) 14 (64%) 1 (5%) 21 (95%) 0,01 11,80 7,98-17,26
Transepithelial
elimination
15 (68%) 7 (32%) 10 (45%) 12 (55%) 0,01 7,71 5,32-14,40
Ulceration 5 (23%) 17 (77%) 3 (14%) 19 (86%) 0,01 3.94 2,92-7,47
Pseudoepitheliomatous
hyperplasia
8 (36%) 14 (64%) 1 (5%) 21 (95%) 0,01 11,80 7,98-17,26
Vascular neoformation 5 (23%) 17 (77%) 3 (14%) 19 (86%) 0,01 3.94 2,92-7,47
Vasculitis 5 (23%) 17 (77%) 3 (14%) 19 (86%) 0,01 3,94 2,92-7,47
MEAN (structural elements) 8 (36%) 14 (64%) 4 (18%) 18 (82%) 0,01 5,37 3,57-8,70
HI (high intensity of histopathological findings ++ to +++); LI (Low intensity of histopathological findings 0 to +); MOMG (mixed organized mycotic
granuloma); Group A cells (Giant cells and Macrophages); Group B cells (Neutrophils and Eosinophils); Group C cells (Lymphocytes and plasma
cells).
101
Table 2 – Frequencies of intensity of morphological elements in skin biopsies of CBM from 39 patients
with elevated lesions before and after therapies.
BEFORE AFTER
N (%) N (%)
KIND OF
MICROSCOPIC
COMPONENTS
HI LI HI LI
p
OR
CI95%
Cells
Group A cells 30 (76%) 9 (24%) 26 (67%) 13 (33%) 0,1 2,08 0,56-6,29
Group B cells 32 (83%) 7 (17%) 31 (80%) 8 (20%) 0,1 1,28 0,37-3,37
Group C cells 29 (74%) 10 (26%) 26 (67%) 13 (33%) 0,1 2,02 0,50-5,91
MOMG (A+B+C) 30 (76%) 9 (24%) 28 (72%) 11 (28%) 0,1 2,05 0,52-6,01
Pathogenical agents
Fungi 31 (80%) 8 (20%) 26 (67%) 13 (33%) 0,1 2,77 0,81-7,69
Structural elements
Fibrosis 35 (91%) 4 (9%) 30 (76%) 9 (24%) 0,1 2,88 0,92-8,12
Transepithelial
elimination
14 (36%) 25 (64%) 9 (24%) 30 (76%) 0,1 0,56 0,11-1,68
Ulceration 32 (83%) 7 (17%) 30 (76%) 9 (24%) 0,1 2,03 0,51-5,93
Pseudoepitheliomatous
hyperplasia
36 (93%) 3 (7%) 31 (80%) 8 (20%) 0,1 2,79 0,89-7,85
Vascular neoformation 33 (85%) 6 (15%) 29 (74%) 10 (26%) 0,1 2,28 0,66-6,92
Vasculitis 29 (74%) 10 (26%) 25 (64%) 14 (36%) 0,1 2,21 0,62-6,88
MEAN (structural elements) 30 (76%) 9 (24%) 26 (67%) 13 (33%) 0,1 2,19 0,60-6,79
HI (high intensity of histopathological findings ++ to +++); LI (Low intensity of histopathological findings 0 to +); MOMG (mixed organized mycotic
granuloma); Group A cells (Giant cells and Macrophages; Group B cells (Neutrophils and Eosinophils); Group C cells (Lymphocytes and plasma
cells).
102
Table 3 – Frequencies of intensity of morphological elements in skin biopsies of CBM, according to the
39 patients with elevated lesions and the 22 with flat lesions, after treatments.
ELEVATED FLAT
N (%) N (%)
KIND OF
MICROSCOPIC
COMPONENTS
HI LI HI LI
p
RR
CI95%
Cells
Group A cells 26 (67%) 13 (33%) 3 (14%) 19 (86%) <0,001 26,07 16,59-37,95
Group B cells 31 (80%) 8 (20%) 4 (18%) 18 (82%)
<0,001
38,58 26,05-49,34
Group C cells 26 (67%) 13 (33%) 3 (14%) 19 (86%)
<0,001
26,07 16,59-37,95
MOMG (A+B+C) 28 (72%) 11 (28%) 3 (14%) 19 (86%)
<0,001
30,31 21,50-41,67
Pathogenical agents
Fungi 26 (67%) 13 (33%) 1 (5%) 21 (95%)
<0,001
55,50 42,42-66,88
Structural elements
Fibrosis 30 (76%) 9 (24%) 1 (5%) 21 (95%)
<0,001
58,36 45,81-68,53
Transepithelial
elimination
9 (24%) 30 (76%) 10 (45%) 12 (55%)
<0,001
0,58 0,42-0,69
Ulceration 30 (76%) 9 (24%) 3 (14%) 19 (86%)
<0,001
36,33 23,69-44,23
Pseudoepitheliomatous
hyperplasia
31 (80%) 8 (20%) 1 (5%) 21 (95%)
<0,001
57,11 42,38-67,35
Vascular neoformation 29 (74%) 10 (26%) 3 (14%) 19 (86%)
<0,001
36,75 23,48-44,42
Vasculitis 25 (64%) 14 (36%) 3 (14%) 19 (86%)
<0,001
36,11 23,01-44,15
MEAN (structural elements) 26 (67%) 13 (33%) 4 (18%) 18 (82%)
<0,001
34,28 29,60-49,97
HI (high intensity of histopathological findings ++ to +++); LI (Low intensity of histopathological findings 0 to +); MOMG (mixed organized mycotic
granuloma); Group A cells (Giant cells and Macrophages; Group B cells (Neutrophils and Eosinophils); Group C cells (Lymphocytes and plasma
cells).
103
Figure 1 – CBM elevated lesions (arrows) on inferior limb before treatment.
Figure 2 – CBM elevated lesions (arrows) on inferior limb after treatment.
104
Figure 3. CBM flat and extensive lesion on hand and wrist (arrows showing lesions’ borders) before treatment.
Figure 4. CBM flat and extensive lesion on hand and wrist (arrows showing lesions’ borders) after treatment.
105
Figure 5 – The case of figure 1, biopsied before treatment. Fungi (arrow).
HE 40x magnification in the original.
Figure 6 – The case of figure 2, biopsied after treatment. CBM recalcitrant case.
Fungus intact (arrow). HE 40x magnification in the original.
106
Figure 7. The case of figure 3. Biopsy of flat lesion before treatments showing
intact fumagoid corp inside a giant cell cell. HE 100x in the original.
Figure 8. The case of figure 4. Biopsy of flat lesion after treatments showing
destroyed fumagoid corp. HE 100x in the original.
107
Figure 9. Flat CBM lesion (Arrow).
Figure 10. Flat CBM lesion (arrow).
108
Figure 11. Elevated CBM lesion (arrow).
Figure 12. Flat and ulcerated CBM lesion (arrow).
Figure 13. Elevated CBM lesions (arrow).
109
7. CONSIDERAÇÕES GERAIS E PERSPECTIVAS FUTURAS
Na CBM existe uma formação granulomatosa muito singular, também com expressão
em dois pólos, fechando com os conceitos de polaridade de granulomas. Provavelmente,
devido ao fato de seu agente causador ter uma estrutura altamente complexa, além de
dimensões muito maiores que outros organismos infectivos, muitos outros fatores, inclusive
imunológicos também devem estar envolvidos nesta dicotimização, pelo permanente
estímulo antigênico de estruturas fúngicas, mesmo daqueles não totalmente destruídos.
Por isto que, ao analisar todos os elementos anatomo-patológicos, percebeu-se que
o granuloma existente na CBM apresenta um paralelo com aquele da hanseníase, que seria
o modelo para estudo de granulomas polares. Na CBM, a polaridade é detectada pelas
nuances de expressividade das estruturas histológicas, que variam de acordo com o tipo
plano ou elevado de lesão.
Baseados em idéias e conceitos morfológicos sobre a classificação da inflamação
granulomatosa que tratam sobre granulomas polares e as relações entre os graus de
diferenciação e comportamento da expressividade dos elementos micro e macroscópicos
em lesões de CBM, os autores concluíram que a boa resposta aos tratamentos (melhora
clínica e laboratório negativo para fungos: micológico direto, cultural e histologia) em lesões
planas e a má resposta (não melhora e positividade do laboratório) em lesões elevadas
depende destes graus de diferenciação das lesões. De modo similar com a hanseníase, se
a lesão é histologicamente bem diferenciada em direção a um granuloma tuberculóide polar,
ela teria um comportamento mais “benigno” (GMMO com baixa intensidade). Ao contrário,
se sua diferenciação é ausente ou pobre, o comportamento da lesão seria mais “maligno”
(GMMO com alta intensidade). E, de acordo com estes conceitos, o fato dos agentes da
CBM serem de baixa virulência, com mecanismos de fagocitose variáveis (completo, com
lise ou incompleto, sem lise), reforçam a idéia de dois grupos polares distintos (novamente a
110
idéia de tuberculóides polares e não tuberculóides polares). Por conseguinte, é possível que
possamos aplicar estes mesmos princípios gerais de comportamento de polaridade para a
CBM.
Existe a necessidade de um maior esclarecimento sobre a expressividade dos
elementos que fazem parte da reação inflamatória cromoblastomicótica, verificando que tipo
de estrutura eles formam, e fatores que possam levar a possíveis nuances histológicas
apresentadas (como associação com o tipo clínico de lesão), e estabelecer associações
com estes diferentes aspectos (como o conceito de polaridade). Além disso, há a
curiosidade de conhecer se os diferentes graus de invasão fúngica podem influenciar sobre
a freqüência da reação fibrótica do tecido conjuntivo nesta doença, e escassez de estudos
em nosso meio avaliando as possíveis relações existentes entre vasculite, proliferação
vascular, erosão, ulceração, eliminação transepitelial, hiperplasia pseudoepiteliomatosa e a
presença de fungos, em lesões cromoblastomicóticas. É importante ressaltar que existem
zonas endêmicas desta doença no Brasil e em outros países, sendo importante verificar
novas contribuições que auxiliem em um melhor entendimento, manejo clínico e
perspectivas prognósticas. Esta doença tem assumido um caráter crônico, progressivo e
recalcitrante, mesmo face à terapêutica vigente, o que torna relevante o estudo dos
fenômenos morfológicos vistos em grupo de pacientes.
Com relação às constatações acima, esta pesquisa suscitou alguns
equacionamentos, discutidos nos artigos científicos e levantou outras questões para serem
estudadas.
Não é conhecida a prevalência, nem a incidência desta doença em nosso estado,
pois não é notificada. Tem sido considerada uma doença rara, mas para tal conceito estes
dados deveriam ser sabidos. A doença pode estar sendo diagnosticada mais precocemente,
ou tratada presuntivamente, ainda nas localidades de origem, sem chegar aos grandes
centros urbanos, porém sem uma notificação.
111
Recentes relatos tratam de outras áreas acometidas além dos membros inferiores.
Talvez o fungo, saprófita do solo, vegetais, etc, pode estar presente em outros elementos de
manuseio em pessoas com risco de exposição.
Reação fibrosante está presente e é severa nesta doença, em lesões elevadas, mais
do que na maioria das outras doenças fúngicas. E por quê? Tem-se visto inúmeros
mastócitos nestas lesões. Sabe-se de vários estudos que associam mastócitos à fibrose.
Sabe-se que a parede celular destes fungos é altamente antigênica, composta de inúmeras
substâncias, entre elas melanina. Poderia haver um mecanismo: fungo -> melanina ->
mastócitos -> fibrose? Além disso, como os fungos ficam persistentes, in situ, haveria um
circuito persistente de antigenicidade perpetuando este processo (fibrose dificultando
difusão dos fármacos?)?
Vimos que existe uma associação de tipo de forma clínica com expressividade do
granuloma, denotando polaridade na cromoblastomicose. O granuloma presente é o
micótico misto organizado, com expressividade variável de acordo com a forma clínica. São
necessários mais estudos para ver a resposta Th1 e Th2 e sua associação com estes
aspectos: lesão tipo plana –> formação granulomatosa menos supurativa –> resposta Th1.
Lesão tipo elevada –> formação mais supurativa –> resposta Th2.
Várias outras questões foram suscitadas. Poderia haver associação com HLA? Que
terapêutica associar? Anti-fibrótica? Existem umas espécies mais patogênicas do que
outras? Há variações na composição gênica do parasita conforme sua distribuição
geográfica e epidemiológica? Conforme a espécie o tratamento é mais difícil? Enfim, esta
entidade nosológica continua presente no mundo todo como um desafio, instigando a
realização de novos estudos que também possam, inclusive, serem aplicados em outras
doenças com padrões reacionais semelhantes.
Livros Grátis
( http://www.livrosgratis.com.br )
Milhares de Livros para Download:
Baixar livros de Administração
Baixar livros de Agronomia
Baixar livros de Arquitetura
Baixar livros de Artes
Baixar livros de Astronomia
Baixar livros de Biologia Geral
Baixar livros de Ciência da Computação
Baixar livros de Ciência da Informação
Baixar livros de Ciência Política
Baixar livros de Ciências da Saúde
Baixar livros de Comunicação
Baixar livros do Conselho Nacional de Educação - CNE
Baixar livros de Defesa civil
Baixar livros de Direito
Baixar livros de Direitos humanos
Baixar livros de Economia
Baixar livros de Economia Doméstica
Baixar livros de Educação
Baixar livros de Educação - Trânsito
Baixar livros de Educação Física
Baixar livros de Engenharia Aeroespacial
Baixar livros de Farmácia
Baixar livros de Filosofia
Baixar livros de Física
Baixar livros de Geociências
Baixar livros de Geografia
Baixar livros de História
Baixar livros de Línguas
Baixar livros de Literatura
Baixar livros de Literatura de Cordel
Baixar livros de Literatura Infantil
Baixar livros de Matemática
Baixar livros de Medicina
Baixar livros de Medicina Veterinária
Baixar livros de Meio Ambiente
Baixar livros de Meteorologia
Baixar Monografias e TCC
Baixar livros Multidisciplinar
Baixar livros de Música
Baixar livros de Psicologia
Baixar livros de Química
Baixar livros de Saúde Coletiva
Baixar livros de Serviço Social
Baixar livros de Sociologia
Baixar livros de Teologia
Baixar livros de Trabalho
Baixar livros de Turismo