Download PDF
ads:
Thaís da Silveira Rodrigues
Avaliação da dinâmica do
Processo de Reparo
Alveolar utilizando
fluorocromos
ads:
Livros Grátis
http://www.livrosgratis.com.br
Milhares de livros grátis para download.
Thaís da Silveira Rodrigues
Avaliação da dinâmica do processo
de reparo alveolar utilizando
fluorocromos
Dissertação apresentada à Faculdade de
Odontologia do Câmpus de Araçatuba
Unesp, para a obtenção do Grau de
“Mestre em Odontologia” Área de
Cirurgia e Traumatologia Buco-Maxilo-
Facial.
Orientador: Prof. Dr. Wilson Roberto Poi
Co-orientadora: Profa. Dra. Roberta Okamoto
ARAÇATUBA – SP
- 2005 -
ads:
Dados Curriculares
NASCIMENTO........ : 07.06.1979 – Goiânia/GO
FILIAÇÃO ............ : João Rodrigues Filho
Maria Luzia da Silveira Rodrigues
1999/2002 .......... : Curso de Graduação na Faculdade de
Odontologia de Araçatuba -UNESP
2003...................: Aluna Especial do Mestrado na Faculdade
de Odontologia de Araçatuba –UNESP
2004/2005 .......... : Curso de Pós-Graduação em Odontologia,
Área de Cirurgia e Traumatologia Buco-
Maxilo-Facial, nível de Mestrado, na
Faculdade de Odontologia de Araçatuba
UNESP
Dedicatória
Dedicatória
A Deus, por me permitir chegar aqui ao lado dos que amo.
À minha mãe, Maria Luzia, porto seguro nos momentos de
tormenta e calmaria. Pelo seu exemplo, dedicação, esforço e
confiança, sempre acreditando em meus sonhos, por mais absurdos que
fossem. Esta conquista também é sua.
Aos meus irmãos, Alexksander e Lara, dos quais me orgulho muito.
Crescer ao lado de vocês foi maravilhoso. Obrigada pelo apoio
incondicional.
Ao meu orientador, Wilson Roberto Poi, pelos grandes exemplos de
perseverança na busca de um ideal, pela orientação segura e pela
amizade sincera. Obrigada pela presença constante, pelos grandes
ensinamentos de vida, os conselhos nas horas certas e principalmente
pelo carinho com que me acolheu. E MUITO obrigada por acreditar em
mim!
À Isabel Cristina Lui Poi, alavanca que me impulsionou a
prosseguir. Obrigada pela amizade e convivência.
Agradecimentos Especiais
Agradecimentos Especiais
À minha co-orientadora, Roberta Okamoto, exemplo de dedicação
ao trabalho. Obrigada pelo companheirismo nesta jornada... Sua
presença foi imprescindível.
Ao Professor Idelmo Rangel Garcia Júnior, exemplo de liderança
tranqüila. Obrigada pela base sólida que contribuiu, não apenas para a
minha formação profissional, mas também me ensinou a ser uma pessoa
melhor.
Ao Professor Osvaldo Magro Filho, pela amizade, convivência e
oportunidade de aprendizado.
À Professora Ana Maria Pires Soubhia, pelo exemplo de coragem e
trabalho. Obrigada pelos ensinamentos e companheirismo demonstrados
durante todo o nosso convívio.
Aos professores da Clínica Integrada: Celso Koogi Sonoda, Sônia
Regina Panzarini Barioni, Denise Pedrini, José Carlos Monteiro de Castro
e Daniela Brandini que com sabedoria e disposição para o ensino,
contribuíram marcantemente na minha formação.
Aos meus amigos do coração Flávia, Melaine, Joãozinho, Leandro,
Aline e Helen pelo apoio, companheirismo e incentivo indispensáveis
durante todos esses anos.
Agradecimentos
Agradecimentos
Ao Programa de Pós-Graduação em Odontologia, Área de Cirurgia e
Traumatologia Buco-Maxilo-Facial.
Aos colegas do Curso de pós-graduação pela amizade e
companheirismo durante esta jornada: André Dotto Sottovia, Paulo Almeida
Júnior, Thais Mara Manfrin, Jordan Lima da Silva, Fernando Esgaib Kayatt,
Natasha Magro Érnica, José Luiz Rodrigues Leles, Fábio Tanaka, Vinícius
Canavarros Palma, Carolina Chiantelli Cláudio, Cristiano Gaujac, Eduardo
Francisco Faco, Marcelo Kayatt Lacoski, Eleonor Álvaro Garbin Júnior, Paulo
Domingos Ribeiro Júnior, Liliane Scheidegger da Silva Zanetti, Camila Benez
Ricieri, Francisley Ávila Souza, Jéssica Lemos Gulinelli e Thallita Pereira
Queiroz.
Aos funcionários da Biblioteca da Faculdade de Odontologia do
Câmpus de Araçatuba Unesp: Helena, Ana Cláudia, Isabel, Izamar, Cláudio,
Ivone, Cláudia, Luzia, Maria Cláudia, Marina, Alexandra e Jéssica pela atenção
com que nos atendem e, em especial, pela revisão bibliográfica realizada pela
Isabel e Ana Cláudia.
Aos funcionários do Departamento de Cirurgia e Clínica Integrada da
Faculdade de Odontologia de Araçatuba UNESP, Lourdes Soares Traficante,
Glauco José de Carvalho, Maria Dirce C. Boatto, Gilmar Martins de Oliveira,
Bernadete Maria Nunes Kimura, Ana Claúdia Macedo e Antônia.
Às funcionárias da Seção de Pós-Graduação da Faculdade de
Odontologia do Câmpus de Araçatuba Unesp: Marina e Valéria, que sempre
nos auxiliam com boa vontade.
Aos funcionários do Departamento de Patologia da Faculdade de
Odontologia de Araçatuba UNESP: Marcelo, Cida, Luzia, Elaine e Mirian, pela
ajuda constante.
Ao Departamento de Cirurgia e Traumatologia Buco-Maxilo-Facial e
Periodontia da Faculdade de Odontologia de Ribeirão Preto USP, pela
disponibilidade e apoio para a realização deste trabalho.
Aos funcionários da Oficina da Faculdade de Odontologia de
Araçatuba – UNESP, que permitiram a utilização de equipamentos necessários à
pesquisa.
À Capes (Coordenação de Aperfeiçoamento de Pessoal de Ensino
Superior), pelo auxílio financeiro que viabilizou a realização desse trabalho de
pesquisa.
A todas as pessoas que, direta ou indiretamente, colaboraram com
este trabalho, meus sinceros agradecimentos.
Epígrafe
Epígrafe
"Pros erros há perdão;
pros fracassos, chance;
pros amores impossíveis, tempo.
De nada adianta cercar um coração vazio ou economizar alma.
O romance cujo fim é instantâneo ou indolor não é romance.
Não deixe que a saudade sufoque,
que a rotina acomode,
que o medo impeça de tentar.
Desconfie do destino e acredite em você.
Gaste mais horas realizando que sonhando,
fazendo que planejando,
vivendo que esperando,
porque embora quem quase morre esteja vivo, quem quase vive
morreu."
Luís Fernando Veríssimo
Sumário
Lista de Figuras 13
Introdução Geral 17
Capítulo 1 - Avaliação da dinâmica do processo de reparo em
feridas de extração dental em ratos utilizando fluorocromos. 21
Resumo 23
Abstract 25
1. Introdução 27
2. Proposição 31
3. Material e Método 33
4. Resultado 38
5. Discussão 41
6. Conclusão 45
7. Referências 47
Capítulo 2 - Avaliação da dinâmica do processo de reparo
alveolar após o uso da pasta de metronidazol a 10% e lidocaína a
2% utilizando fluorocromos. 52
Resumo 54
Abstract 56
1. Introdução 58
2. Proposição 62
3. Material e Método 64
4. Resultado 70
5. Discussão 78
6. Conclusão 83
7. Referências 85
Anexos 93
13
Lista de Figuras
Capítulo 1
Figura 1 - Osso neoformado aos 6 dias, representado pela calceína
predominantemente na parede lingual do alvéolo. 50
Figura 2 - Osso neoformado aos 15 dias, representado pela
alizarina, ocupando grande parte do terço médio do
alvéolo. 50
Figura 3 - Osso neoformado aos 21 dias, representado pela
oxitetraciclina, observando-se uma menor quantidade
de tecido ósseo formado, quando comparado à
marcação da alizarina. 50
Figura 4 - A sobreposição das imagens possibilita evidenciar o
tecido ósseo formado em cada período. 50
Capítulo 2
Figura 1 Grupo I - Calceína, 6 dias. 89
Figura 2 Grupo I - H E, 6 dias. 89
Figura 3 Grupo I - Alizarina, 15 dias. 89
Figura 4 Grupo I - H E, 15 dias. 89
Figura 5 Grupo I - Oxitetraciclina, 21 dias. 89
Figura 6 Grupo I - H E, 21 dias. 89
Figura 7 Grupo I - Sobreposição das imagens. 89
Figura 8 Grupo II - Calceína, 6 dias. 90
Figura 9 Grupo II - H E, 6 dias. 90
Figura 10 Grupo II - Alizarina, 15 dias. 90
Figura 11 Grupo II - H E, 15 dias. 90
Figura 12 Grupo II - Oxitetraciclina, 21 dias. 90
Figura 13 Grupo II - H E, 21 dias. 90
14
Figura 14 Grupo II - Sobreposição das imagens. 90
Figura 15 Grupo III - Calceína, 6 dias. 91
Figura 16 Grupo III - H E, 6 dias. 91
Figura 17 Grupo III - Alizarina, 15 dias. 91
Figura 18 Grupo III - H E, 15 dias. 91
Figura 19 Grupo III - Oxitetraciclina, 21 dias. 91
Figura 20 Grupo III - H E, 21 dias. 91
Figura 21 Grupo III - Sobreposição das imagens. 91
Anexos
Figura 1 Anestesia. 94
Figura 2 Sindesmotomia. 94
Figura 3 Luxação. 94
Figura 4 Extração. 94
Figura 5 Cone de papel com adrenalina. 94
Figura 6 Alvéolo após isquemia. 94
Figura 7 Alvéolo com pasta. 94
Figura 8 Sutura. 94
Figura 9 Oxitetraciclina. 95
Figura 10 Primeira fase da injeção. 95
Figura 11 Andamento da injeção. 95
Figura 12 Final da injeção. 95
Figura 13 Peça incluída. 96
Figura 14 Calceína. 96
Figura 15 Alizarina. 96
Figura 16 Oxitetraciclina. 96
15
Figura 17 Esmeril utilizado para o desgaste das peças. 96
Figura 18 Ferramenta “arquivo” e abertura de uma nova imagem
com os dados originais das imagens previamente
capturadas. 97
Figura 19 Ferramenta “arquivo” e abertura das três imagens
originais.
97
Figura 20 Ferramenta “mover” para selecionar e arrastar a
imagem da oxitetraciclina para o novo arquivo. 98
Figura 21 Ferramenta “mover” para selecionar e arrastar a
imagem da alizarina para sobrepô-la a imagem da
oxitetraciclina. 98
Figura 22 Utilização da ferramenta varinha mágica” para
selecionar as áreas da imagem não coradas pelo
fluorocromo alizarina. 99
Figura 23 Ferramenta “delete” para eliminação da área
selecionada. 99
Figura 24 Ferramenta “mover” para selecionar e arrastar a
imagem da calceína para sobrepô-la às duas imagens. 100
Figura 25 Utilização da ferramenta varinha mágica” para
selecionar as áreas da imagem não coradas pelo
fluorocromo calceína. 100
Figura 26 Ferramenta “delete” para a eliminação da área
selecionada e obtenção da imagem sobreposta. 101
Introdução Geral
17
Introdução Geral
processo de reparo alveolar em feridas de extração
dental é definido como o conjunto de reações
teciduais desencadeadas no interior do alvéolo seguida
à exodontia. Desta forma, é importante o conhecimento não dos
mecanismos envolvidos no processo de reparo, como também de seus
fatores predisponentes.
Entre os fatores de ordem local que interferem no processo de
reparo alveolar estão: (1) as complicações ou traumas provenientes da
técnica cirúrgica, como a fratura dental, a fratura de tábua óssea ou de
cristas alveolares; (2) as alveolectomias; (3) a utilização de brocas e
cinzéis; (4) os cuidados pós-exodônticos, como a curetagem abusiva ou
inadequada e a irrigação excessiva com soro fisiológico; (5) os efeitos
proporcionados pela irrigação alveolar com anestésicos locais e/ou
infiltração em seus tecidos adjacentes e (6) as condições periodontais e
infecções.
Diversas metodologias têm sido empregadas no estudo do processo
de reparo alveolar, sendo que as pesquisas têm utilizado como
metodologia principal a análise de cortes histológicos obtidos em
parafina e corados por hematoxilina e eosina.
Entretanto, tem-se observado a utilização de novas metodologias
que permitem a obtenção de respostas cada vez mais específicas,
O
EO
18
buscando-se um melhor entendimento dos processos que envolvam a
biologia óssea dentro do processo de reparo alveolar. Metodologias como
imunocitoquímica, PCR, hibridização in situ têm sido cada vez mais
utilizadas dentro da odontologia com intuito de se obter respostas cada
vez mais voltadas para aspectos celulares.
Uma ferramenta metodológica que tem sido bastante solicitada é
a injeção de fluorocromos em períodos diferentes, buscando-se uma
visão integrada da dinâmica do tecido ósseo formado em diferentes
momentos. Tem sido utilizada principalmente em trabalhos que analisam
o processo de osseointegração, uma vez que evidenciam o período em
que houve o processo de neoformação óssea formado em contato com os
implantes.
Em função das respostas proporcionadas por esta metodologia
consideramos de alto grau de interesse utilizá-la para analisar o processo
de reparo alveolar em ratos, buscando um enfoque para o processo da
dinâmica do tecido ósseo, possibilitada pela injeção dos diferentes
fluorocromos em diferentes períodos.
Considerando que o processo de reparo alveolar e a sua cronologia
estejam bem definidos histologicamente, neste trabalho realizamos
apenas a análise do tecido ósseo formado e marcado por cada
fluorocromo utilizado.
Sendo assim, este trabalho foi desenvolvido em dois capítulos, nos
quais se enfocaram os parâmetros acima mencionados.
19
O primeiro capítulo, “Avaliação da dinâmica do processo de
reparo em feridas de extração dental em ratos utilizando
fluorocromos”, apresenta uma metodologia que possibilita a utilização
dos fluorocromos como forma de análise do processo de reparo alveolar.
O segundo capítulo, “Avaliação da dinâmica do processo de
reparo alveolar após o uso da pasta de metronidazol a 10% e
lidocaína a 2% utilizando fluorocromos”, refere-se à utilização desta
metodologia para analisar qualitativamente a interferência de fatores
locais que poderiam alterar a cronologia do processo de reparo alveolar.
Vale destacar que os fatores locais analisados foram a isquemia do
alvéolo, bem como a interferência da aplicação da pasta de
metronidazol a 10% e lidocaína a 2% no interior do alvéolo, tomando por
basa e orientação estudos realizados anteriormente.
Capítulo 1
21
Capítulo 1
Avaliação da dinâmica do processo de
reparo em feridas de extração dental
em ratos utilizando fluorocromos
Resumo
23
Resumo
Resumo
Rodrigues TS. Avaliação da dinâmica do processo de reparo em feridas de
extração dental em ratos utilizando fluorocromos. Araçatuba, 2005.
101p. Dissertação (Mestrado em Cirurgia e Traumatologia Buco-Maxilo-
Facial) – Faculdade de Odontologia, Universidade Estadual Paulista.
Diversas metodologias têm sido empregadas no estudo do processo de
reparo alveolar. Em razão disso, o propósito deste trabalho é apresentar
uma metodologia que possibilite a utilização dos fluorocromos como
forma de análise do processo de reparo alveolar. Para tanto, 5 ratos
tiveram o incisivo central superior direito extraído. Aos 6 dias foi
injetada a calceína, aos 15 dias a alizarina e aos 21 dias a
oxitetraciclina. Após 35 dias esses animais foram sacrificados. Obtidas as
peças, foi analisado o terço médio do alvéolo. Observou-se
predominância de calceína junto à parede lingual, grande quantidade de
marcação com alizarina e a marcação da oxitetraciclina em menor
quantidade, mostrando que houve menor taxa de mineralização óssea.
Este trabalho foi capaz de mostrar a dinâmica do processo de reparo
alveolar de forma clara e bastante ilustrativa, além de ser de fácil
reprodução e apresentar um custo relativamente baixo.
Palavras-chave: Reparo alveolar, Processo alveolar, Corantes
fluorescentes.
Abstract
25
Abstract
Abstract
Rodrigues TS. Dynamic evaluation of the repair process in dental
extraction wounds in rats, using fluorochromes. Araçatuba, 2005. 101p.
Thesis (Master's Degree in Oromaxillofacial Surgery and Traumatology)
Dental School, Paulista State University.
Several methods have been employed in the study of the alveolar repair
process. For this reason, the aim of this study is to present a
methodology that allows the use of fluorochromes in the analysis of this
process. Thus, 5 rats had their upper right central incisors extracted. At
day 6 calcein was injected, at day 15 alizarin was injected, and at day
21, oxytetracycline was injected. After 35 days the animals were
euthanized. After the samples were obtained, the middle third of the
socket was analyzed. Predominance of calcein was observed next to the
lingual wall. A great amount of alizarin staining and a smaller amount of
oxytetracycline staining were also observed, showing that there was a
smaller rate of bone mineralization. This study was able to show the
dynamics of the socket repair process in a clear and illustrative manner,
besides being easy to reproduce and relatively inexpensive.
Keywords: Alveolar repair, Alveolar process, Fluorescents colours.
Introdução
27
1 Introdução
mbora a Odontologia Preventiva tenha adquirido
elevada importância nos últimos anos, a extração
dental ainda está entre os procedimentos cirúrgicos mais realizados na
cavidade bucal.
1
Por isso, torna-se importante o conhecimento das
alterações celulares ocorridas no interior do alvéolo, sobretudo, o
conhecimento da biologia e fisiologia dos tecidos e células para que o
procedimento cirúrgico possa ser exercido corretamente, garantindo
solidez à sua execução.
Vários animais são utilizados para o estudo do processo de reparo
alveolar.
2
No entanto, o rato,
1,3-7
o cão
8
e o macaco
9
são os mais
pesquisados. Apesar das variações cronológicas entre eles, os eventos
são muito semelhantes, sendo possível definir as principais
características comuns da histogênese do reparo.
3,9,10
A sequência da reparação alveolar pode ser descrita, em linhas
gerais, como se segue: (1) formação do coágulo; (2) substituição do
coágulo por tecido de granulação; (3) substituição do tecido de
granulação por tecido conjuntivo; (4) surgimento do tecido osteóide; (5)
amadurecimento gradativo da matriz óssea e; (6) epitelização da ferida
cirúrgica.
4,10-12
De acordo com Carvalho e Okamoto (1987),
13
a reparação alveolar
será considerada completa quando o alvéolo estiver preenchido por
E
O
28
tecido ósseo neoformado e a crista alveolar remodelada, havendo, assim,
um equilíbrio dinâmico osteoclástico-osteoblástico e o novo osso em
condições de suportar estímulos. Isso pode ser observado em rato por
volta do 21° dia após a exodontia,
5,14
em cão, no 48° dia,
15
no macaco,
no 56° dia
9
e no homem após o 64° dia.
10,13,16
Diversas metodologias têm sido empregadas para o estudo do
processo de reparo alveolar, tais como: imunocitoquímica,
17
, PCR,
hibridização in situ, histológica,
13,18,19
, histométrica,
18-20
apresentando-
se relevantes na maioria dos trabalhos, sejam associadas ou não a outros
métodos de estudo.
A injeção de fluorocromos é uma metodologia que está sendo
bastante utilizada em Odontologia, especialmente, na área de
Implantodontia, pois permite a visualização da dinâmica da
osseointegração.
Ottoni e Chopard (2004)
21
avaliaram a quantidade de osso
neoformado em fêmurs de ratos diabéticos, utilizando os fluorocromos
calceína, alizarina e oxitetraciclina.
Papalexiou e cols (2004)
22
observaram a influência da
microestrutura do implante na dinâmica do processo de reparo ósseo ao
redor de implantes imediatos inseridos em sítios periodontalmente
infectados. Foram utilizados como fluorocromos a calceína, a alizarina e
a tetraciclina e a visualização dos cortes foi feita em microscópio
confocal.
29
Dessa forma, em razão da ausência de estudos utilizando
fluorocromos para a avaliação do processo de reparo alveolar tornou-se
viável a realização deste estudo.
Proposição
31
2 Proposição
2. Proposição
ste trabalho tem o propósito de apresentar uma
metodologia que possibilite a utilização dos
fluorocromos como forma de análise do processo de reparo alveolar.
E
Material e Método
33
3 Material e Método
3. Material e Método
pós aprovação da Comissão de Ética na
Experimentação Animal (CEEA) da Universidade
Estadual Paulista “Júlio de Mesquita Filho”, Câmpus
Araçatuba, foram utilizados, neste experimento, 5 ratos (Rattus
norevegicus albicans, Wistar) machos, com idade variando entre 70 a 90
dias, pesando aproximadamente 250 a 300 gramas.
Procedentes do Biotério Central da Faculdade de Odontologia de
Araçatuba, os animais foram transportados ao Biotério do Departamento
de Cirurgia e Clínica Integrada e mantidos em gaiolas comuns. Os animais
apresentavam-se, clinicamente, livres de qualquer entidade patológica.
Antes e durante a fase experimental, os animais receberam ração
sólida (Ração Ativada Produtor-Anderson & Clayton S. A.), com exceção
das primeiras 24 horas pós-cirurgia, na qual essa alimentação foi
triturada. Durante todo o período experimental todos os animais
receberam água à vontade.
Os animais foram anestesiados com Cloridrato de Quetamina
(Vetaset - Fort Dodge) e Xilazina (Coopazine Coopers Brasil Ltda),
mediante injeção intramuscular, na dosagem de 0,2 e 0,1 mL para cada
250 gramas de peso corpóreo, respectivamente. Após anti-sepsia da área
cirúrgica com Dermoidine (Gessy Lever Indústria Farmacêutica Ltda.), o
incisivo superior de cada animal foi extraído de acordo com a técnica
descrita por Okamoto e Russo (1973).
5
A
O
34
As bordas dos alvéolos de todos os animais foram coaptadas por
meio de sutura com fio de seda 4.0 (Ethicon), com o objetivo de evitar o
deslocamento do coágulo.
Após seis dias foram iniciadas as injeções dos fluorocromos
(20mg/Kg de peso corporal) por via intramuscular, para posterior análise
em microscopia de fluorescência das camadas de tecido ósseo. Aos 6 dias
foi injetada a calceína (Sigma Chemical St. Louis, MO, USA), aos 15 dias
a alizarina (Sigma Chemical St. Louis, MO, USA) e aos 21 dias a
oxitetraciclina (Sigma Chemical St. Louis, MO, USA). A eutanásia dos
animais foi realizada após 35 dias por injeção excessiva de anestésico.
As peças obtidas foram fixadas em solução de formalina
tamponada a 10% (Reagentes Analíticos - Dinâmica). Após a fixação, as
peças passaram pela etapa de desidratação a partir da seqüência
crescente de álcoois (70, 80, 90 e 100), com troca de solução a cada 3
dias, sendo agitadas (Agitador orbital, Kline CT-150, Cientec
equipamentos para laboratório) todos os dias, durante 4 horas.
Ao término da desidratação as peças foram imersas em acetona
(Synth) por 24 horas e, na seqüência, iniciaram-se os banhos em
monômero metil metacrilato (JET - Artigos Odontológicos Clássico Ltda,
Indústria Brasileira), sendo que o primeiro e o segundo banhos tiveram a
duração de 24 horas cada. Para a realização do terceiro banho, foi
acrescentado ao monômero um catalizador, o peróxido de benzoila
(Riedel – De Haën AG, Seelze – Hannover) na concentração de 1%.
Em seguida, as peças foram colocadas individualmente em tubos
35
de ensaio com tampa e permaneceram imersas neste terceiro banho até
que o monômero polimerizasse. Este processo durou aproximadamente
72 horas à temperatura ambiente.
Após a polimerização, os blocos com as peças foram desgastados
em esmeril. Em seguida, estes cortes chegaram a espessura de 100µm,
através do desgaste manual em lixas d’água (3M).
Os cortes obtidos foram colocados em lâmina de vidro e as
lamínulas foram montadas utilizando o nujol (Schering- Plough) como
meio de montagem. Após a fixação das lamínulas, as bordas foram
isoladas com esmalte cosmético para evitar o ressecamento dos cortes.
Para análise qualitativa foi utilizado um microscópio de
epifluorescência (Axiophot, Carl Zeiss, Oberkochen, Germany), com
filtros específicos para cada fluorocromo, ou seja, filtro com
fotomultiplicador no valor de 488 para a calceína, 594 para a alizarina e
luz ultavioleta com fotomultiplicador no valor de 368 para a
oxitetraciclina, correspondentes ao comprimento de onda excitado por
cada fluorocromo.
Para aquisição das imagens utilizou-se uma câmera digital
acoplada a um microscópio de epifluorescência (Axiophot, Carl Zeiss,
Oberkochen, Germany) e conectada ao computador. Para padronização
da análise capturou-se a região de terço médio de todos os alvéolos.
Para ilustração da dinâmica do processo de reparo alveolar foi
realizada a sobreposição das imagens obtidas a partir de cada
fluorocromo utilizado. Para a sobreposição das imagens foi utilizado o
36
aplicativo Adobe Photoshop 7.0.1 (Adobe Systems Incorporated). Os
passos foram os seguintes: (1) ferramenta “arquivo” e abertura de uma
nova imagem com fundo transparente, 150dpis de resolução e tamanho
22,01 X 17,2cm, respeitando os dados originais das imagens previamente
capturadas; (2) ferramenta “arquivo” e abertura das 3 imagens originais;
(3) ferramenta “mover” para selecionar e arrastar a imagem da
oxitetracilcina para o novo arquivo; (4) ferramenta “mover para
selecionar e arrastar a imagem da alizarina para sobrepô-la a imagem da
oxitetraciclina; (5) utilização da ferramenta “varinha mágica” com
tolerância 10 e suavização de serilhado para selecionar as áreas da
imagem não coradas pelo fluorocromo alizarina; (6) ferramenta “delete”
para eliminação da área selecionada; (7) ferramenta “mover” para
selecionar e arrastar a imagem da calceína para sobrepô-la às outras
duas imagens; (7) utilização da ferramenta “varinha mágica” para
selecionar as áreas da imagem não corados pelo fluorocromo calceína;
(8) ferramenta “delete” para a eliminação da área selecionada e
obtenção da imagem sobreposta.
Resultado
38
4 Resultado
4. Resultado
ara a descrição dos resultados foi realizada uma análise
qualitativa dos períodos pós-operatórios, considerando
as ocorrências verificadas no terço médio do alvéolo dental.
A exposição dos achados aponta a dinâmica do processo de reparo
alveolar, através das marcações com fluorocromos, que apresentam-se
como faixas representativas do tecido ósseo formado no dia da injeção.
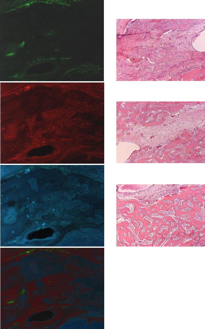
Aos 6 dias, o osso neoformado é representado pela calceína,
visualizada na cor verde. Observa-se marcação predominante deste
fluorocromo junto à parede lingual, mostrando que houve formação de
tecido ósseo na região do terço analisado (Figura 1).
Aos 15 dias, a injeção de alizarina, promoveu a marcação em
vermelho do tecido ósseo formado. Observa-se que esta marcação
apresenta-se ocupando grande parte do terço médio do alvéolo,
evidenciando a quantidade de tecido ósseo formado neste período
(Figura 2).
Aos 21 dias, a injeção de oxitetraciclina, possibilita observar
tecido ósseo marcado em azul (Figura 3). Observa-se uma menor
quantidade de tecido ósseo formado neste período, quando comparado à
marcação da alizarina no período de 15 dias.
P
39
A sobreposição das imagens possibilita evidenciar o tecido ósseo
formado em cada período, portanto, é possível observar a predominância
da calceína (6 dias) junto à parede lingual, bem como a grande
quantidade de marcação da alizarina (15 dias) em todo o terço médio
analisado e a marcação da oxitetraciclina (21 dias) em menor quantidade
que a alizarina, mostrando que neste último período houve menor taxa
de neoformação óssea (Figura 4).
Discussão
41
5 Discussão
5. Discussão
metodologia empregada, no tocante à utilização do alvéolo
dentário do rato, foi baseada no trabalho de OKAMOTO &
RUSSO, 1973, que deu origem a um expressivo número de pesquisas ao
longo desse tempo, destacando a análise de cortes histológicos corados
por hematoxilina e eosina. Neste modelo experimental é possível,
guardadas as proporções de resistência do animal e cronologia do
processo de reparo alveolar, simular as situações que poderiam ocorrer
em seres humanos.
A utilização de fluorocromos para análise do processo de
reparação em feridas de extração dentária em ratos, justifica-se pelo
pequeno número de trabalhos publicados. Em contrapartida, esta
metodologia é encontrada em muitas pesquisas relacionadas à
osseointegração
21-26
para a visualização da dinâmica do processo de
neoformação óssea, que possibilita a evidência conjunta e/ou
individualizada do tecido ósseo formado em cada período analisado.
Desta forma, as grandes vantagens da utilização desta técnica são:
a diminuição da amostra, em função das injeções dos fluorocromos
serem realizadas no mesmo animal e a análise dos períodos do processo
de reparo no mesmo animal, o que diminui a variabilidade. Outra
característica desta metodologia é que não se evidenciam células,
A
42
apenas as faixas fluorescentes, que mostram o processo de neoformação
óssea.
Considerando que o osso sofre constante processo de reabsorção-
aposição, vale lembrar que a menor quantidade de calceína está
relacionada, também, ao processo de reabsorção do tecido ósseo que
ocorreu durante o processo de reparo que, provavelmente, uma
predominância da oxitetraciclina no terço cervical do alvéolo, uma vez
que, a reparação é centrípeta.
Houve uma grande dificuldade para o desenvolvimento deste
trabalho em função das dimensões do alvéolo do rato. A literatura
mostra que quando se utiliza esta técnica os cortes são obtidos em
micrótomo específico para tecido duro. Entretanto, uma dificuldade
muito grande em se obter o corte exatamente no centro do alvéolo.
Portanto, considerou-se que o desgaste do corte possibilitaria um melhor
controle para obtenção de uma peça mais ilustrativa. Assim, o primeiro
desgaste foi realizado com o esmeril e, posteriormente, foi realizado o
desgaste manual com as lixas de várias espessuras.
Essa é a grande diferença da metodologia clássica apresentada na
literatura. No entanto, como os resultados foram semelhantes aos
achados histológicos, pode-se inferir que o método foi bem sucedido.
Além disso, vale considerar que os custos foram bem menores, que a sua
reprodutibilidade não exige equipamentos sofisticados e é relativamente
fácil.
Alguns aspectos importantes foram observados, tais como: (1) o
43
início da ossificação a partir do ligamento periodontal, marcado pela
calceína; (2) o período intermediário da injeção (15 dias), com
predomínio de alizarina no terço médio do alvéolo, confirmando-se que o
período de maior deposição óssea é a segunda semana e (3) o caráter
predominante da oxitetraciclina (21 dias) no terço cervical do alvéolo,
demonstrando que o processo de reparo ocorre, realmente, da periferia
para o centro do alvéolo, uma vez que esta foi a última injeção
realizada. Com o objetivo de estabelecer uma padronização na análise
dos resultados de trabalhos futuros, o terço avaliado foi o médio.
Os resultados obtidos mostram que a metodologia está bem
indicada para o modelo experimental utilizado e abre a perspectiva para
a realização de várias outras pesquisas.
Conclusão
45
6 Conclusão
6. Conclusão
utilização dos fluorocromos foi capaz de mostrar a
dinâmica do processo de reparo alveolar de forma
clara e bastante ilustrativa, além de ser de fácil
reprodução e apresentar um custo relativamente baixo.
A
Referências
47
1. As referências no texto estão de acordo com as normas da revista Oral Surgery, Oral Medicine,
Oral Pathology, Oral Radiology and Endodontology, para a qual o trabalho será enviado.
7 Referências
7. Referências Bibliográficas
1
Johansen JR. Repair of the post-extraction alveolus in the Wistar
rat: a histologic and autoradiographic study. Acta Odontol Scand,
1970; 28:441-61.
2
Sanches MG, Okamoto T, Carvalho AC. Processo de reparo em
feridas de extração dental após implante de “osso anorgânico”:
estudo histológico em ratos. Rev Fac Odontol Araçatuba,1972;1:83-
90.
3
Huebsch RF, Coleman RD, Frandsen AM, Becks H. The healing
process following molar extraction: I. Normal male rats. J Oral Surg,
1952;5:864-76.
4
Boyne PJ. Osseous repair of the postextraction alveolus in man. Oral
Surg Oral Med Oral Pathol, 1966;21:805-13.
5
Okamoto T, de Russo MC. Wound healing following tooth extraction:
histochemical study in rats. Rev Fac Odontol Araçatuba, 1973;2:153-
69.
6
Smith NA. Comparative histological and radiographic study of
extraction socket healing in the rat. Aust Dent J, 1974;19:250-4.
7
Carvalho TLL, Bombonato KF, Brentegani LG. Histometric analysis of
rat alveolar wound healing. Braz Dent J, 1997;8:9-12.
8
Caflin RS. Healing of disturbed and undisturbed extraction wounds.
J Am Dent Assoc, 1936;23:945-59.
9
Simpson HE. The healing of extraction wounds. Br Dent J,
1969;126:550-7.
10
Amler MH. The time sequence of the tissue regeneration in human
extraction wounds. Oral Surg Oral Med Oral Pathol, 1969;27:309-18.
11
Amler MH, Johnson PL, Salman I. Histological and histochemical
investigation of human alveolar socket healing in undisturbed
extraction wounds. J Am Dent Assoc, 1960;61:32-44.
48
extraction wounds. J Am Dent Assoc, 1960;61:32-44.
12
Amler MH. Age factor in human alveolar bone repair. J Oral
Implantol, 1993;19:138-42.
13
Carvalho ACP, Okamoto T. Cirurgia bucal: fundamentos
experimentais aplicados à clínica. São Paulo: dica Panamericana,
1987. 139p.
14
Carvalho A, Castro AL, Santos-Pinto R, Santos-Pinto MC.
Mineralização no processo de reparo em feridas de extração dental
em ratos: contribuição ao estudo densitométrico. Ars Curandi
Odontol, 1980;7:304-12.
15
Huebsch RF, Hansen LS. A histopathologic study of extraction wounds
in gogs. Oral Surg Oral Med Oral Pathol, 1969;28:187-96.
16
Gregori C, Santos-Pinto R. Processo de reparo em feridas de extração
dentária – IV aula. Ars Cvrandi Odontol, 1978; 5:52-9.
17
Shirakura M, Fujii N, Ohnishi H, Taguchi Y, Ohshima H, Nomura S,
Maeda T. Tissue response to titanium implantation in the rat maxilla,
with special reference to the effects of surface conditions on bone
formation. Clin Oral Implants Res, 2003; 4:687-96.
18
Poi WR Carvalho PSP, Okamoto T, Andrade ED, Panzarini SR.
Influência da pasta à base de metronidazol a 10 por cento e lidocaína
a 2 por cento sobre o processo de reparo em alvéolo dental
infectado: análise histológica e histométrica em ratos. Rev Odontol
UNESP, 1998; 27:53-72.
19
Poi WR, Carvalho PSP, Andrade ED. Nova pasta para o tratamento da
alveolite: estudo histológico do comportamento do tecido conjuntivo
subcutâneo de ratos ao implante de uma pasta à base de
metronidazol a 10 por cento e lidocaína a 2 por cento. RGO (Porto
Alegre), 1999;47:102-4.
20
Isaka J, Ohazama A, Kobayashi M, Nagashima C, Takiguchi T,
Kawasaki H, Tachikawa T, Hasegawa K. Participation of periodontal
49
Kawasaki H, Tachikawa T, Hasegawa K. Participation of periodontal
ligament cells with regeneration of alveolar bone. J Periodontol,
2001;72:314-23.
21
Ottoni CE, Chopard RP. Histomorphometric evaluation of new bone
formation in diabetic rats submitted to insertion of temporary
implants. Braz Dent J, 2004;15:87-92.
22
Papalexiou V, Novaes AB Jr, Grisi MF, Souza SS, Taba M Jr, Kajiwara
JK. Influence of implant microstructure o the dynamics of bone
healing around immediate implants placed into periodontally
infected sites. A confocal laser scanning microscopic study. J Clin
Oral Implants Res, 2004;15: 44-53.
23 Koo S, Konig B Jr, Yoshimoto M, Carbonari MJ, Mitri-Luiz F. Titanium
implant osseointegration with calcium pyrophosphate in rabbits. J
Biomed Mater Res B Appl Biomater, 2005;23.
24
Xiropaidis AV, Oahash M, Lim WH, Shanaman RH, Rohrer MD, Wikesjo
UM, Hall J. Bone-implant contact at calcium phosphate-coated and
porous titanium oxide (TiUnite)-modified oral implants. Clin Oral
Implants Res 2005;16:532-9.
25
Tanaka M, Ejiri S, Toyooka E, Kohno S, Osawa H. Effects of
ovariectomy on trabecular structures of rat alveolar bone. J
Periodont Res 2002;37:161-5.
26
Iyama S, Takeshita F, Ayukawa Y, Kido MA, Suetsugu T, Tanaka T. A
study of the regional distribution of bone formed around
hydroxyapatite implants in the tibiae of streptozotocin-induced
diabetic rats using multiple fluorescent labeling and confocal laser
scanning microscopy. J Periodontol, 1997; 68:1169-75.
50
ILUSTRAÇÕES E LEGENDAS
Figura 1 - Osso neoformado aos 6 dias,
representado pela calceína na parede
lingual do alvéolo.
Figura 2 - Osso neoformado aos 15 dias,
representado pela alizarina, ocupando
grande parte do terço médio do alvéolo.
Figura 3 - Osso neoformado aos 21 dias,
representado pela oxitetraciclina,
observando-se uma menor quantidade de
tecido ósseo formado, quando comparado à
marcação da alizarina.
Figura 4 - A sobreposição das imagens
possibilita evidenciar o tecido ósseo
formado em cada período.
Capítulo 2
52
Capítulo 2
Avaliação da dinâmica do processo
de reparo alveolar, após o uso da pasta
de metronidazol a 10% e lidocaína a 2%,
utilizando fluorocromos
Resumo
54
Resumo
Resumo
Rodrigues TS. Avaliação da dinâmica do processo de reparo alveolar após
o uso da pasta de metronidazol a 10% e lidocaína a 2%, utilizando
fluorocromos. Araçatuba, 2005. 101p. Dissertação (Mestrado em Cirurgia
e Traumatologia Buco-Maxilo-Facial). Faculdade de Odontologia,
Universidade Estadual Paulista.
Pesquisas mostram que várias substâncias foram testadas no interior do
alvéolo para evitar a instalação da alveolite. O propósito deste trabalho
é avaliar o processo de reparo em alvéolos dentários, após a aplicação
de uma pasta à base de metronidazol a 10%, lidocaína a 2%, utilizando
fluorocromos. Sessenta animais tiveram o incisivo central superior direito
extraído e constituíram os seguintes grupos: I controle; II isquemia
provocada pela aplicação de adrenalina a 1:1000 e preenchimento do
alvéolo com a pasta; III – preenchimento com a pasta. Aos 6, 15 e 21 dias
foram realizadas as injeções de calceína, alizarina e oxitetraciclina. Aos
35 dias foi realizado o sacrifício destes animais. A eutanásia dos outros
45 ratos foi realizada nos períodos de 6, 15 e 21 dias, para análise em
microscopia de luz. O Grupo I mostrou melhores resultados quando
comparado aos Grupos II e III. A pasta pode ser utilizada nos casos com
insuficiente suprimento sangüíneo.
Palavras-chave: Reparo alveolar, Processo alveolar, Corantes
fluorescentes.
Abstract
56
Abstract
Abstract
Rodrigues TS. Dynamic evaluation using fluorochromes of the alveolar
repair process after the use of a 10% metronidazole and 2% lidocaine
ointment. Araçatuba, 2005. 101p. Thesis (Master's Degree in
Oromaxillofacial Surgery and Traumatology) Dental School, Paulista
State University.
Research has shown that several substances have been tested inside the
socket to avoid the onset of alveolitis. The aim of this study is to
evaluate, with the use of fluorochromes, the process of repair in tooth
sockets, after the application of an ointment with 10% metronidazole
and 2% lidocaine. Sixty animals had their upper right central incisors
extracted and were distributed to the following groups: I control; II
ischemia provoked by the application of 1:1000 adrenaline and filling
the socket with the ointment; III filling the socket with the ointment.
Five animals of each group were injected via intramuscular with calcein
on day 6, with alizarin on day 15, and with oxytetracycline on day 21. On
day 35 these animals were euthanized. The euthanasia of the other 45
rats was carried out at 6, 15 and 21 days (5 animals of each group at
each time interval) for analysis under a light microscope. Group I showed
the best results when compared to Groups II and III. The ointment was
able to prevent the onset of alveolitis after ischemia.
Keywords: Alveolar repair, Alveolar process, Fluorescents colours.
Introdução
58
1 Introdução
processo de reparo alveolar tem sido amplamente
estudado tanto em humanos
1
como em animais,
2
e as
pesquisas mostram que as várias substâncias testadas em seu interior
levam a um atraso desse processo, porém, em algumas situações, essas
substâncias podem evitar a instalação de patologias como a alveolite,
caracterizada pela desintegração do coágulo com infecção das paredes
alveolares e extremamente dolorido.
2
Suas causas são: (1) insuficiente suprimento sangüíneo no alvéolo;
(2) aumento da atividade fibrinolítica no coágulo sangüíneo; (3) presença
de infecção durante ou após a extração; e (4) trauma do osso alveolar
durante o ato operatório.
3-5
Vários são, também, os seus fatores
predisponentes, tais como a quantidade de microrganismos presentes na
cavidade bucal,
3
idade,
5
uso de contraceptivos orais,
6
local de extração e
tipo de dente extraído
4
e tabaco.
7
Nos últimos anos, a presença de microrganismos anaeróbios tem
sido apontada como um dos principais fatores responsáveis pela
instalação desta patologia. Tal fato despertou o interesse de vários
pesquisadores, instituindo tratamentos que visam ao controle específico
de tais agentes.
8-11
Dentre eles, o metronidazol destaca-se pelo fato de
eliminar os microrganismos patogênicos anaeróbios e não alterar a flora
aeróbia comensal,
8
além de mostrar-se pouco irritante ao tecido
O
O
59
conjuntivo subcutâneo de rato
12
e apresentar compatibilidade biológica
quando em contato com o alvéolo dental infectado de rato.
10,11
O metronidazol, um composto antiparasitário e antibacteriano, é
uma das drogas mais utilizadas no mundo.
13
Em odontologia, além da via
sistêmica de administração, muitos estudos foram realizados com a
aplicação tópica da droga no tratamento das periodontopatias,
14,15
associada ou não à raspagem e alisamento dentário,
16
e no tratamento
das alveolites.
10,11
A pasta com metronidazol a 10%, lidocaína a 2%, menta e lanolina
como veículo foi utilizada apenas em alvéolos infectados,
10-12
fato que
sugere uma aplicação em lojas livres de infecção instalada, simulando
uma situação clínica em que haja algum fator predisponente envolvido,
apesar do aparente estado de normalidade das paredes alveolares.
Um procedimento experimental que tem sido utilizado para um
estudo mais refinado, direcionado a formação de tecido ósseo durante o
processo de reparação, é a injeção de fluorocromos em vários períodos
diferentes para a visualização das camadas de tecido neoformado. A
utilização de fluorocromos diferentes e análise do material utilizando
diferentes filtros no microscópio de fluorescência possibilitam a
visualização das camadas de tecido ósseo neoformado a cada período em
que foi injetado o marcador.
Iyama e cols (1997)
17
evidenciaram as diferentes fases de tecido
ósseo neoformado em ratos diabéticos que receberam implantes de
hidroxiapatita na tíbia. Foram utilizados como fluorocromos a calceína, a
60
alizarina e a oxitetraciclina e a visualização dos cortes foi feita em
microscópio confocal, utilizando filtros para fluoresceína (FITC) ou
rodamina (TRITC).
Lee e cols (2003)
18
utilizaram também fluorocromos no processo
de reparação, quantificando microlesões com a mensuração de massa
óssea. Foram utilizados como fluorocromos oxitetraciclina, alizarina,
calceína e xilenol.
Tiling e cols (2004)
19
demonstraram, em experimentos feitos em
roedores infectados com Streptococcus pneumoniae tipo 3, o local e
tempo em que ocorre o início da deposição óssea, através da injeção de
fluorocromos – calceína, xilenol, oxitetraciclina e alizarina.
Em razão da série de pesquisas realizadas em osseointegração
utilizando a injeção de fluorocromos, demonstrando a importância da
dinâmica do processo de reparo ósseo, torna-se oportuna a realização
deste trabalho.
Proposição
62
2 Proposição
2. Proposição
ste trabalho tem como propósito avaliar o processo de
reparo em alvéolos dentários isquêmicos e não-
infectados de ratos, após a aplicação de uma pasta à base de
metronidazol a 10%, lidocaína a 2%, lanolina como veículo e menta como
aromatizante, utilizando a injeção de fluorocromos.
E
Material e Método
64
3 Material e Método
3. Material e Método
pós a aprovação obtida junto á Comissão de Ética na
Experimentação Animal (CEEA) da Universidade
Estadual Paulista “Júlio de Mesquita Filho”, Câmpus
Araçatuba, foram utilizados, neste experimento, 60 ratos (Rattus
norevegicus albicans, Wistar) machos, com idade variando entre 70 a 90
dias, pesando aproximadamente 250 a 300 gramas.
Procedentes do Biotério Central da Faculdade de Odontologia de
Araçatuba, os animais foram transportados ao Biotério do Departamento
de Cirurgia e Clínica Integrada e mantidos em gaiolas comuns, contendo
cinco animais cada. Os animais apresentavam-se, clinicamente, livres de
qualquer entidade patológica.
Antes e durante a fase experimental, os animais receberam ração
sólida (Ração Ativada Produtor-Anderson & Clayton S. A.), com exceção
das primeiras 24 horas pós-cirurgia, na qual essa ração foi triturada.
Durante todo o período experimental todos os animais receberam água à
vontade.
Os animais foram anestesiados com Cloridrato de Quetamina
(Vetaset - Fort Dodge) e Xilazina (Coopazine Coopers Brasil Ltda),
mediante injeção intramuscular, na dosagem de 0,2 e 0,1 ml para cada
250 gramas de peso corpóreo, respectivamente. Após anti-sepsia da área
cirúrgica com Dermoidine (Gessy Lever Indústria Farmacêutica Ltda.), o
A
O
65
incisivo superior direito de cada animal foi extraído de acordo com a
técnica descrita por Okamoto & Russo (1973).
2
A partir daí, três grupos experimentais foram constituídos, com 20
ratos em cada um, ou seja:
Grupo I: reparação normal;
Grupo II: isquemia provocada pela inserção de cone de papel
absorvente embebido em solução de adrenalina 1:1000, por um minuto;
e preenchimento do alvéolo com a pasta à base de metronidazol a 10%
(Flagyl, Rhodia Pharma S. A.), lidocaína a 2% (Merrel-Lepetit, Indústrias
Farmacêuticas Ltda), lanolina (Purifarma Distribuidora Química e
Farmcêutica Ltda) como veículo e menta (Botica Ao Veado D’ouro) como
aromatizante;
Grupo III: o alvéolo foi preenchido com a pasta à base de
metronidazol a 10% (Flagyl, Rhodia Pharma S. A.) e lidocaína a 2%
(Merrel-Lepetit, Indústrias Farmacêuticas Ltda), utilizando lanolina
(Purifarma Distribuidora Química e Farmacêutica Ltda.) como veículo e
menta (Botica Ao Veado D’ouro) como aromatizante.
Essa pasta foi introduzida no interior do alvéolo com o auxílio de
seringa Luer plástica descartável (Becton Dickinson Indústrias Cirúrgicas
Ltda), com agulhas previamente preparadas para a melhor adaptação ao
formato alveolar.
As bordas dos alvéolos de todos os animais foram coaptadas por
meio de sutura com fio de seda 4.0 (Ethicon), com o objetivo de evitar o
deslocamento do coágulo (Grupo I) e da pasta empregada (Grupos II e
66
III).
Após seis dias foram iniciadas as injeções dos fluorocromos
(20mg/Kg de peso corporal) em 15 ratos (5 animais de cada grupo), por
via intramuscular, para posterior análise em microscopia de
fluorescência das camadas de tecido ósseo. Aos 6 dias foi injetada a
calceína (Sigma Chemical St. Louis, MO, USA), aos 15 dias a alizarina
(Sigma Chemical St. Louis, MO, USA) e aos 21 dias a oxitetraciclina
(Sigma Chemical St. Louis, MO, USA). Após 35 dias esses animais foram
sacrificados por injeção excessiva de anestésico.
A eutanásia dos 45 animais restantes, divididos em 15 ratos por
grupo, foi realizada nos períodos de 6, 15 e 21 dias após as extrações,
também por injeção excessiva de anestésico. Estas peças seguiram o
procedimento convencional para coloração com hematoxilina-eosina,
sendo analisadas no microscópio óptico binocular JENAMED 2 (Carl-Zeis),
com objetiva de aumento 63X.
Os cortes obtidos dos animais em que foram injetados os
fluorocromos foram fixadas em solução de formalina tamponada a 10%
(Reagentes Analíticos - Dinâmica). Após a fixação, as peças passaram
pela etapa de desidratação a partir da seqüência crescente de álcoois
(70, 80, 90 e 100), com troca de solução a cada 3 dias, sendo agitadas
(Agitador orbital, Kline CT-150, Cientec – equipamentos para laboratório)
todos os dias, durante 4 horas.
Ao término da desidratação as peças foram imersas em acetona
(Synth) por 24 horas e, na seqüência, iniciaram-se os banhos em
67
monômero metil metacrilato (JET - Artigos Odontológicos Clássico Ltda,
Indústria Brasileira), sendo que o primeiro e o segundo banhos tiveram a
duração de 24 horas cada. Para a realização do terceiro banho, foi
acrescentado ao monômero um catalizador, no caso, o peróxido de
benzoila (Riedel De Haën AG, Seelze Hannover) na concentração de
1%.
Em seguida, as peças foram colocadas individualmente em tubos
de ensaio com tampa e permaneceram imersas neste terceiro banho até
que o monômero polimerizasse. Este processo durou aproximadamente
72 horas à temperatura ambiente.
Após a polimerização, os blocos com as peças foram desgastados
em esmeril. Em seguida, estes cortes chegaram a espessura de 100µm,
através do desgaste manual em lixas d’água (3M).
Obtidos os cortes, estes foram colocados em lâmina de vidro e as
lamínulas foram montadas utilizando o nujol (Schering- Plough) como
meio de montagem. Após a fixação das lamínulas, as bordas foram
isoladas com esmalte cosmético para evitar o ressecamento dos cortes.
Para análise qualitativa foi utilizado um microscópio de
epifluorescência (Axiophot, Carl Zeiss, Oberkohen, Germany), com filtros
específicos para cada fluorocromo, ou seja, filtro com fotomultiplicador
no valor de 488 para a calceína, 594 para a alizarina e luz ultavioleta
com fotomultiplicador no valor de 368 para a oxitetraciclina,
correspondentes ao comprimento de onda excitado por cada
fluorocromo.
68
Para aquisição das imagens utilizou-se uma câmera digital
acoplada a um microscópio de fluorescência e conectada ao computador.
Para padronização da análise capturou-se a região de terço médio de
todos os alvéolos.
Para ilustração da dinâmica do processo de reparo alveolar foi
realizada a sobreposição das imagens obtidas a partir de cada
fluorocromo utilizado. Para a sobreposição das imagens foi utilizado o
aplicativo Adobe Photoshop 7.0.1 (Adobe Systems Incorporated). Os
passos foram os seguintes: (1) ferramenta “arquivo” e abertura de uma
nova imagem com fundo transparente, 150dpis de resolução e tamanho
22,01 X 17,2cm, respeitando os dados originais das imagens previamente
capturadas; (2) ferramenta “arquivo” e abertura das 3 imagens originais;
(3) ferramenta “mover” para selecionar e arrastar a imagem da
oxitetracilcina para o novo arquivo; (4) ferramenta “mover para
selecionar e arrastar a imagem da alizarina para sobrepô-la a imagem da
oxitetraciclina; (5) utilizaçâo da ferramenta “varinha mágica” com
tolerância 10 e suavização de serrilhado para selecionar as áreas da
imagem não coradas pelo fluorocromo alizarina; (6) ferramenta “delete”
para eliminação da área selecionada; (7) ferramenta “mover” para
selecionar e arrastar a imagem da calceína para sobrepô-la às outras
duas imagens; (7) utilização da ferramenta “varinha mágica” para
selecionar as áreas da imagem não corados pelo fluorocromo calceína;
(8) ferramenta “delete” para a eliminação da área selecionada e
obtenção da imagem sobreposta.
Resultado
70
4 Resultado
5. Resultado
ara a descrição dos resultados foi realizada uma análise
qualitativa dos períodos pós-operatórios, considerando-
se as ocorrências verificada no terço médio do alvéolo dental.
A exposição dos achados aponta a dinâmica do processo de reparo
alveolar, através das marcações com fluorocromos, que apresentam-se
como faixas representativas do tecido ósseo formado no dia da injeção,
e os fenômenos histológicos encontrados, através da coloração com
hematoxilina-eosina.
Grupo I – Controle - 6 dias
Calceína
O osso neoformado é representado pela calceína, visualizada na
cor verde. Observa-se marcação predominante deste fluorocromo junto à
parede lingual, mostrando que houve formação de tecido ósseo na região
do terço analisado (Figura 1).
Hematoxilina-eosina
O tecido conjuntivo mostra-se organizado com nítida proliferação
de vasos sangüíneos em torno de uma área central ainda ocupada por
coágulo. A organização do tecido permite observar, em pequeno
número, delgadas trabéculas ósseas neoformadas nas proximidades das
paredes alveolares (Figura 2).
P
71
Grupo I – Controle - 15 dias
Alizarina
A injeção de alizarina promoveu a marcação em vermelho do
tecido ósseo formado. Observa-se que esta marcação apresenta-se
ocupando grande parte do terço médio do alvéolo, evidenciando a
quantidade de tecido ósseo formado neste período (Figura 3).
Hematoxilina-eosina
O tecido conjuntivo mostra-se bastante organizado com menor
quantidade de vasos sangüíneos. As trabéculas ósseas apresentam-se
ainda delgadas, porém em grande quantidade, principalmente a partir
da parede lingual, e se encaminham para a área central do alvéolo
(Figura 4).
Grupo I – Controle -21 dias
Oxitetraciclina
A injeção de oxitetraciclina possibilita observar o tecido ósseo
marcado em azul (Figura 5). Observa-se uma menor quantidade de
tecido ósseo formado neste período, quando comparado à marcação da
alizarina no período de 15 dias.
Hematoxilina-eosina
O tecido conjuntivo mostra-se bastante organizado com menor
quantidade de vasos sangüíneos. As trabéculas ósseas neoformadas
apresentam-se espessas e em grande quantidade, com espaços
medulares definidos, ocupando quase toda a superfície do terço
72
analisado, inclusive a porção central do alvéolo (Figura 6).
Grupo I – Sobreposição de imagens
A sobreposição das imagens possibilita evidenciar o tecido ósseo
formado em cada período, portanto, é possível observar a predominância
da calceína (6 dias) junto à parede lingual, bem como a grande
quantidade de marcação da alizarina (15 dias) em todo o terço médio
analisado e a presença de marcação da oxitetraciclina (21 dias) em
menor quantidade que a alizarina, mostrando que neste último período
houve menor taxa de neoformação óssea (Figura 7).
Grupo II – Isquemia e pasta - 6 dias
Calceína
O osso neoformado representado pela calceína (coloração verde) é
observado, predominantemente, na parede vestibular do alvéolo e,
discretamente, na parede lingual (Figura 8).
Hematoxilina-eosina
O tecido conjuntivo mostra-se organizado com grande quantidade
de vasos sangüíneos ocupando toda a extensão do terço analisado.
Observam-se delgadas trabéculas ósseas neoformadas em número
bastante discreto (Figura 9).
Grupo II - Isquemia e pasta - 15 dias
73
Alizarina
A injeção de alizarina, representada pela marcação em vermelho
do tecido ósseo neoformado, apresenta-se ocupando grande parte do
terço médio do alvéolo, evidenciando a quantidade de tecido ósseo
formado neste período (Figura 10).
Hematoxilina-eosina
O tecido conjuntivo mostra-se bastante organizado com grande
quantidade de vasos sangüíneos. As trabéculas ósseas neoformadas
apresentam-se ainda delgadas, porém em grande quantidade e se
encaminham para a área central do alvéolo (Figura 11).
Grupo II - Isquemia e pasta - 21dias
Oxitetraciclina
A injeção de oxitetraciclina, representada em azul (Figura 12),
mostra uma quantidade de tecido ósseo neoformado semelhante ao
período representado pela marcação com a alizarina (15 dias).
Hematoxilina-eosina
O tecido conjuntivo, apesar de organizado, mostra ainda grande
quantidade de vasos sangüíneos. As trabéculas ósseas neoformadas
apresentam-se ainda delgadas e em grande quantidade, ocupando
principalmente as proximidades da parede lingual do alvéolo e em
direção a área central. Os espaços medulares ainda não estão definidos
(Figura 13).
Grupo II – Sobreposição de imagens
74
A sobreposição das imagens, possibilita evidenciar a taxa de
mineralização óssea deste grupo em cada período, mostrando que
uma predominância da calceína (6 dias) na parede vestibular do alvéolo,
como também uma quantidade semelhante de tecido ósseo neoformado
marcado por alizarina (15 dias) e oxitetraciclina (21 dias) (Figura 14).
Grupo III – Pasta - 6 dias
Calceína
A injeção da calceína, representada em verde, mostra a
predominância da marcação na parede vestibular e lingual do alvéolo,
mostrando que houve formação de tecido ósseo na região do terço
analisado (Figura 15).
Hematoxilina-eosina
O tecido conjuntivo mostra-se organizado com nítida proliferação
de vasos sangüíneos em torno de uma área central ainda ocupada por
coágulo. Delgadas trabéculas ósseas neoformadas, nas proximidades da
parede lingual do alvéolo, podem ser observadas em quantidade muito
pequena (Figura 16).
Grupo III - Pasta - 15 dias
Alizarina
O osso neoformado, possibilita observar tecido ósseo marcado em
vermelho. Observa-se que esta marcação apresenta-se ocupando parte
do terço médio do alvéolo, a partir da parede lingual e vestibular deste,
75
evidenciando a quantidade de tecido ósseo formado neste período
(Figura 17).
Hematoxilina-eosina
O tecido conjuntivo mostra-se organizado com grande quantidade
de vasos sangüíneos. As trabéculas ósseas neoformadas apresentam-se
ainda delgadas, porém em grande quantidade, principalmente a partir
da parede lingual, e se encaminham para a área central do alvéolo,
ocupando grande porção do terço analisado (Figura 18).
Grupo III - Pasta - 21 dias
Oxitetraciclina
A injeção de oxitetraciclina, representada pela cor azul (Figura
19), permite observar quantidade de tecido ósseo neoformado
semelhante a marcação com a alizarina (15 dias).
Hematoxilina-eosina
O tecido conjuntivo mostra-se bastante organizado com menor
quantidade de vasos sangüíneos. As trabéculas ósseas neoformadas
apresentam-se ainda delgadas e em grande quantidade, ocupando quase
toda a superfície do terço analisado, inclusive a porção central do
alvéolo. Os espaços medulares, porém, ainda não estão bem definidos
(Figura 20).
Grupo III – Sobreposição de imagens
A sobreposição das imagens, mostra a quantidade de tecido ósseo
76
neoformado em cada período em que foi injetado o fluorocromo. Assim,
observa-se predominância da marcação com calceína (6 dias) na parede
vestibular e lingual do alvéolo, bem como uma quantidade semelhante
de tecido ósseo neoformado marcado por alizarina (15 dias) e
oxitetraciclina (21 dias) (Figura 21).
Discussão
78
5 Discussão
5. Discussão
ualquer material, por mais biocompatível que seja,
quando colocado no interior do alvéolo logo após a
extração dentária, provoca, invariavelmente, um
atraso no processo de reparação alveolar. Dessa forma, o melhor
preenchimento da ferida após a extração é mesmo o coágulo sangüíneo.
Essa afirmativa, porém, permite ainda alguma discussão, de tal sorte
que alguns trabalhos defendem a aplicação de algum composto
objetivando a prevenção de complicações pós-exodônticas,
20-24
ao
mesmo tempo em que a sua condenação também pode ser observada.
25
A atitude supostamente preventiva, ou seja, o uso indiscriminado
de materiais para a proteção do alvéolo cruento não deve ser difundido
entre os clínicos, principalmente entre aqueles que trabalham em
pequenos centros com ambientes não ideais para a prática de
intervenções cirúrgicas. No entanto, diante daqueles casos que
apresentam alguns fatores predisponentes que possam favorecer a
instalação das alveolites, essas medidas podem estar indicadas.
Essas complicações pós-operatórias, particularmente as alveolites,
ainda despertam grande interesse dos pesquisadores,
26
originando vários
estudos,
20,22,23,27-33
sempre em busca de um composto que seja capaz de
aliviar a dor e, ao mesmo tempo, que exerça pouca influência sobre a
cronologia normal de reparação alveolar.
O uso da pasta constituída por metronidazol a 10%, lidocaína a 2%,
Q
EQ
79
lanolina como veículo e menta como aromatizante, parece justificado
em razão dos bons resultados histológicos encontrados quando da sua
utilização em alvéolos dentais de ratos,
10
além de ter um veículo
referendado por pesquisa.
34
Quanto ao outro componente da pasta, a
lidocaína, também existem estudos com a sua utilização tópica em
substituição à anestesia infiltrativa,
26,35,36
e que avaliam a sua
biocompatibilidade quando em contato com tecido conjuntivo
subcutâneo de ratos.
12
.
As informações obtidas pela marcação dos fluorocromos no grupo
tratado com a pasta, mostram a predominância dos marcadores alizarina
e oxitetraciclina, confirmando-se que os períodos de maior deposição
óssea estão na 2
a
e 3
a
semanas, fato semelhante aos achados
histológicos, em que podem ser observadas grandes quantidades de
trabéculas ósseas, porém ainda delgadas. A quantidade pequena de
calceína demonstrou que no período de 6 dias houve maior reabsorção
que aposição óssea, sendo este fato comprovado histologicamente, uma
vez que, as trabéculas ósseas apresentam-se ainda em pequeno número.
Analisando ainda os dados encontrados nesta pesquisa, observa-se
que os achados histológicos do grupo controle, reparo normal, estão em
concordância com os relatados em outros trabalhos sobre reparação
alveolar em ratos.
2,10
Com relação às informações adquiridas pela coloração com
fluorocromos, no grupo controle, nota-se que o marcador alizarina
produziu o resultado mais pronunciado, seguido pela calceína e
80
oxitetracilcina. Pela análise qualitativa confirmou-se que o período de
maior deposição óssea iniciou-se na 2
a
semana. Em contrapartida, o
depósito pequeno de calceína e oxitetraciclina, levou a conclusão de que
uma pequena deposição ocorreu no início (6 dias) e fim (21 dias) do
estudo. Este fato é confirmado pelos dados histológicos, uma vez que o
período de 15 dias é o que apresenta maior substituição de tecido
conjuntivo por tecido ósseo.
A isquemia provocada pela inserção de cone de papel absorvente
embebido em adrenalina 1:1000, por um minuto, foi capaz de provocar
um atraso na cronologia de reparação notado, principalmente, quando
analisados os cortes histológicos aos 21 dias. Quando analisados os cortes
corados pelos fluorocromos, ainda no grupo isquemia e pasta, observa-se
predominância dos marcadores alizarina e oxitetraciclina, seguida da
calceína, o que caracteriza osso imaturo ainda no fim do estudo.
Muito embora, em nenhum dos espécimes observados, tenha sido
detectada a presença de complicações pós-exodônticas, vale lembrar
que, a isquemia produzida pela mesma técnica sem, contudo, a posterior
proteção das paredes alveolares, foi capaz de provocar alveolite
experimental em ratos.
10,11
Esse achado levanta a hipótese de que,
mesmo diante da deficiência de irrigação sangüínea, a pasta foi capaz de
prevenir a instalação da patologia, provocando, apenas, um atraso no
reparo sem provocar reação inflamatória severa. Atraso esse esperado
em razão da presença do material no interior da loja cirúrgica e da
isquemia previamente provocada.
81
Essa situação experimental com isquemia prévia pode ser
transferida para a prática clínica e ilustrada por uma condição na qual se
constata a presença de insuficiente suprimento sangüíneo no alvéolo, um
dos fatores etiológicos relatados por BIRN, 1973.
5
Esse exemplo, aliado
àqueles com a presença dos demais fatores etiológicos e/ou
predisponentes, teria a indicação precisa para o preenchimento do
alvéolo comprometido com uma pasta protetora, no caso em questão a
composta por metronidazol a 10% e lidocaína a 2%. Essa iniciativa
promove conforto pós-operatório ao paciente, tranqüilidade ao cirurgião
e não provoca danos significativos à cronologia da reparação alveolar,
comprovada pela análise em microscopia óptica e de fluorescência.
Conclusão
83
6 Conclusão
6. Conclusão
pasta constituída por metronidazol a 10%, lidocaína
a 2%, lanolina como veículo e menta como
aromatizante pode ser utilizada nos alvéolos com
insuficiente suprimento sangüíneo.
A
Referências
85
1. As referências no texto estão de acordo com as normas da revista Oral Surgery, Oral Medicine,
Oral Pathology, Oral Radiology and Endodontology, para a qual o trabalho será enviado.
7 Referências
7. Referências Bibliográficas
1 Amler MH, Johnson PL, Salman I. Histological and histochemical
investigation of human alveolar socket healing in undisturbed extraction
wounds. J Am Dent Assoc, 1960; 61:32-44.
2 Okamoto T, Russo MC. Wound healing following tooth extraction.
Histochemical study in rats. Rev Fac Odontol Araçatuba, 1973;2:153-64.
3 Birn H. Bacteria and fibrinolytic activity in “dry socket”. Acta Odontol
Scand, 1970; 28:773-83.
4 Birn H. Fibrinolytic activity of alveolar bone in “dry socket”. Acta Odontol
Scand, 1972; 30:23-32.
5 Birn H. Etiology and pathogenesis of fibrinolytic alveolitis (“dry socket”).
Int J Oral Surg, 1973; 2:211-63.
6 Garcia AG, Grana PM, Sampedro FG, Diago MP, Rey JM. Does oral
contraceptive use affect the incidence of complications after extraction of
a mandibular third molar? Br Dent J, 2003;194:453-5.
7 Al-Belasy FA. The relationship of "shisha" (water pipe) smoking to
postextraction dry socket. J Oral Maxillofac Surg, 2004;62:10-4.
8 Mitchell DA. Metronidazole: its use in clinical dentistry. J Clin Periodontol,
1984;11:145-58.
9 Mitchell L. Topical metronidazole in the treatment of “dry socket”. Br Dent
J, 1984; 56:132-4.
10 Poi WR, Carvalho PSP, Okamoto T, Andrade ED, Panzarini SR. Influência da
pasta à base de metronidazol a 10 por cento e lidocaína a 2 por cento
sobre o processo de reparo em alvéolo dental infectado: análise histológica
e histométrica em ratos. Rev Odontol UNESP, 1998; 27:53-72.
11 Poi WR, Carvalho PSP, Panzarini SR, Dezan Júnior E, Trevisan CL, Souza, G.
Estudo da pasta de metronidazol, lidocaína e ascorbosilane C sobre o
processo de reparo de alvéolos dentais infectados em ratos BCI, 2000;
7:22-8.
86
12 Poi WR, Carvalho PSP, Andrade ED. Nova pasta para o tratamento da
alveolite: estudo histológico do comportamento do tecido conjuntivo
subcutâneo de ratos ao implante de uma pasta à base de metronidazol a 10
por cento e lidocaína a 2 por cento. RGO (Porto Alegre), 1999; 47:102-4.
13 Bendesky A, Menendez D, Ostrosky-Wegman P. Is metronidazole
carcinogenic? Mutat Res, 2002; 511:133-44.
14 Griffiths GS, Smart GJ, Bulman JS, Weiss G, Shrowder J, Newman NH.
Comparison of clinical outcomes following treatment of chronic adult
periodontitis with subgingival scaling or subgingival scaling plus
metronidazole gel. J Clin Periodontol, 2000; 27:910-7.
15 Varshosaz J, Tavakoli N, Saidian S. Development and physical
characterization of a periodontal bioadhesive gel of metronidazole. Drug
Deliv, 2002; 9:127-33.
16 Stelzel M, Flores-de-Jacoby L. Topical metronidazole application as an
adjunct to scaling and root planing. J Clin Periodontol, 2000; 27: 447-52.
17 Iyama S, Takeshita F, Ayukawa Y, Kido MA, Suetsugu T, Tanaka T. A study
of the regional distribution of bone formed around hidroxyapatite implants
in the tibiae of streptozotocin-induced diabetic rats using mutiple
fluorescent labeling and cofocal laser scanning microscopy. J Periodontal,
1997; 68:1169-75.
18 Lee TC, Mohsin S, Taylor D, Parkesh R, Gunnlaugsson T, O’Brien FJ, Giehe
M, Gowin W. Detecting microdamage in bone. J Anatomy, 2003; 203:161-
72.
19 Tinling SP, Colton J, Brodie HA. Location and timing of initial osteid
deposition in postmeningitec labyrinthitis ossificans determined by multiple
fluorescent label. Laryngoscope, 2004; 114:675-80.
20 Bloomer CR. Alveolar osteitis prevention by immediate placement of
medicated packing. Oral Surg Oral Med Oral Pathol Oral Radiol Endod,
2000; 90:282-4.
21 Vezeau PJ. Dental extraction wound management: medicating
postextraction sockets. J Oral Maxillofal Surg, 2000;58:531-7.
22 Poor MR, Hall JE, Poor AS. Reduction in the incidence of alveolar osteitis in
patients treated with the SaliCept patch, containing Acemannan hydrogel.
87
patients treated with the SaliCept patch, containing Acemannan hydrogel.
J Oral Maxillofac Surg, 2002; 60:374-9.
23 Oginni FO, Fatusi OA, Alagbe AO. A clinical evaluation of dry socket in a
nigerian teaching hospital. J Oral Maxillofac Surg 2003; 61:871-6.
24 Sanchis JM, Saez U, Penarrocha M, Gay C. Tetracycline compound
placement to prevent dry socket: a postoperative study of 200 impacted
mandibular third molars. J Oral Maxillofac Surg 2004; 62:587-91.
25 Alexander RE. Dental extraction wound management: a case against
medicating postextraction sockets. J Oral Maxillofac Surg, 2000; 58:538-51.
26 Betts NJ, Makowski G, Shen YH, Hersh EY. Evaluation of topical viscous 2%
lidocaine jelly as an adjunct during the management of alveolar osteitis. J
Oral Maxillofac Surg, 1995; 53:1140-4.
27 Jaafar N, Nor GM. The prevalence of post-extraction complications in an
outpatient dental clinic in Kuala Lumpur Malaysia-a retrospective survey.
Singapore Dent J 2000; 23:24-8.
28 Melo Junior EJ de, Raposo MJ, Lisboa Neto JÁ, Diniz MF, Marcelino Júnior
AC, Sant’Ana AE . Medicinal plants in the healing of dry socket in rats:
microbiological and microscopic analysis. Phytomedicine 2002; 9:109-16.
29 Yoshii T, Hamamoto Y, Muraoka S, Furudoi S, Komori T. Differences in
postoperative morbidity rates, including infection and dry socket, and
differences in the healing process after mandibular third molar surgery in
patients receiving 1-day or 3-day prophylaxis with lenampicillin. J Infect
Chemother 2002;8:87-93.
30 Halberstein RA, Abrahmsohn GM. Clinical management and control of
alveolalgia ("dry socket") with vitamin C. Am J Dent 2003;16:152-4.
31 Benediktsdottir IS, Wenzel A, Petersen JK, Hintze H. Mandibular third
molar removal: risk indicators for extended operation time, postoperative
pain, and complications. Oral Surg Oral Med Oral Pathol Oral Radiol Endod
2004; 97:438-46.
32
Neugebauer J, Jozsa M, Kubler A. Antimicrobial photodynamic therapy for
prevention of alveolar osteitis and post-extraction pain. Mund Kiefer
Gesichtschir, 2004; 8:350-5.
88
Gesichtschir, 2004; 8:350-5.
33
Poeschl PW, Eckel D, Poeschl E. Postoperative prophylactic antibiotic
treatment in third molar surgery--a necessity? J Oral Maxillofac Surg 2004;
62:3-8.
34
Fischmeister I, Hellgren L, Vincent J. Infrared spectroscopy for tracing of
topically applied ointment vehicles and active substances on healthy skin.
Arch Dermatol Res 1975; 253:63-9.
35
Jeffcoat MK, Geurs NC, Magnusson I, MacNeill SR, Mickels N, Roberts F,
Robinson P, Salamati A, Yukna R. Intrapocket anesthesia for scaling and
root planing: results of a double-blind multicenter trial using lidocaine
prilocaine dental gel. J Periodontol 2001; 72:895-900.
36
Friskopp J, Nilsson M, Isacsson G. The anesthetic onset and duration of a
new lidocaine/prilocaine gel intra-pocket anesthetic (oraqix) for
periodontal scaling/root planing. J Clin Periodontol 2001; 28:453-8.
89
ILUSTRAÇÕES E LEGENDAS
Grupo I - Controle
FIGURA 1 - Calceína, 6 dias;
FIGURA 2 - H. E., 6 dias;
FIGURA 3 - Alizarina, 15 dias;
FIGURA 4 - H. E., 15 dias;
FIGURA 5 - Oxitetraciclina, 21 dias;
FIGURA 6 - H. E., 21 dias;
FIGURA 7 - Sobreposição de 1, 3 e 5.
1
2
3
4
5
6
7
90
Grupo II - Isquemia e Pasta
FIGURA 8 - Calceína, 6 dias;
FIGURA 9 - H. E., 6 dias;
FIGURA 10 - Alizarina, 15 dias;
FIGURA 11 - H. E., 15 dias;
FIGURA 12 - Tetraciclina, 21 dias;
FIGURA 13- H. E., 21 dias;
FIGURA 14 - Sobreposição de 8, 10 e 11.
8
9
10
11
12
13
14
91
Grupo III - Pasta
FIGURA 15 - Calceína, 6 dias;
FIGURA 16 - H. E., 6 dias;
FIGURA 17 - Alizarina, 15 dias;
FIGURA 18 - H. E., 15 dias;
FIGURA 19 - Tetraciclina, 21 dias;
FIGURA 20 - H. E., 21 dias;
FIGURA 21 - Sobreposição de 15, 17 e 19.
15
16
17
18
19
20
21
Anexos
93
ANEXO A - Certificado do Comitê de Ética na Experimentação Animal (CEEA)
94
ANEXO B – Ilustrações da fase cirúrgica da metodologia experimental
FIGURA 1 – Anestesia. FIGURA 2 – Sindesmotomia.
FIGURA 3 – Luxação. FIGURA 4 – Extração.
FIGURA 5 –Cone de papel com adrenalina. FIGURA 6 – Alvéolo após isquemia.
FIGURA 7 – Alvéolo com pasta. FIGURA 8 – Sutura.
95
FIGURA 9 – Oxitetraciclina. FIGURA 10 – Primeira fase da injeção.
FIGURA 11 – Andamento da injeção. FIGURA 12 – Final da injeção.
96
ANEXO C – Ilustrações da fase laboratorial da metodologia experimental
FIGURA 13 – Peça incluída. FIGURA 14 – Calceína. FIGURA 15 – Alizarina.
FIGURA 16 – Oxitetraciclina. FIGURA 17 – Esmeril utilizado para o desgaste das
peças.
97
ANEXO D Ilustrações da seqüência utilizada para a sobreposição das
imagens obtidas
FIGURA 18 - Ferramenta “arquivo” e abertura de uma nova
imagem com os dados originais das imagens
previamente capturadas.
FIGURA 19 - Ferramenta “arquivo e abertura das três imagens
originais.
98
FIGURA 20 - Ferramenta “mover” para selecionar e arrastar a
imagem da oxitetraciclina para o novo arquivo.
FIGURA 21 - Ferramenta “mover” para selecionar e arrastar a
imagem da alizarina para sobrepô-la a imagem da
oxitetraciclina.
99
FIGURA 22 - Utilização da ferramenta “varinha mágica” para
selecionar as áreas da imagem não coradas pelo
fluorocromo alizarina.
FIGURA 23 - Ferramenta “delete” para eliminação da área
selecionada.
100
FIGURA 24 - Ferramenta “mover” para selecionar e arrastar a
imagem da calceína para sobrepô-la às duas
imagens.
FIGURA 25 - Utilização da ferramenta “varinha mágica” para
selecionar as áreas da imagem não coradas pelo
fluorocromo calceína.
101
FIGURA 26 - Ferramenta “delete” para a eliminação da área
selecionada e obtenção da imagem sobreposta.
Autorizo a reprodução deste trabalho.
Araçatuba, 12 de dezembro de 2005.
Thaís da Silveira Rodrigues
Livros Grátis
( http://www.livrosgratis.com.br )
Milhares de Livros para Download:
Baixar livros de Administração
Baixar livros de Agronomia
Baixar livros de Arquitetura
Baixar livros de Artes
Baixar livros de Astronomia
Baixar livros de Biologia Geral
Baixar livros de Ciência da Computação
Baixar livros de Ciência da Informação
Baixar livros de Ciência Política
Baixar livros de Ciências da Saúde
Baixar livros de Comunicação
Baixar livros do Conselho Nacional de Educação - CNE
Baixar livros de Defesa civil
Baixar livros de Direito
Baixar livros de Direitos humanos
Baixar livros de Economia
Baixar livros de Economia Doméstica
Baixar livros de Educação
Baixar livros de Educação - Trânsito
Baixar livros de Educação Física
Baixar livros de Engenharia Aeroespacial
Baixar livros de Farmácia
Baixar livros de Filosofia
Baixar livros de Física
Baixar livros de Geociências
Baixar livros de Geografia
Baixar livros de História
Baixar livros de Línguas
Baixar livros de Literatura
Baixar livros de Literatura de Cordel
Baixar livros de Literatura Infantil
Baixar livros de Matemática
Baixar livros de Medicina
Baixar livros de Medicina Veterinária
Baixar livros de Meio Ambiente
Baixar livros de Meteorologia
Baixar Monografias e TCC
Baixar livros Multidisciplinar
Baixar livros de Música
Baixar livros de Psicologia
Baixar livros de Química
Baixar livros de Saúde Coletiva
Baixar livros de Serviço Social
Baixar livros de Sociologia
Baixar livros de Teologia
Baixar livros de Trabalho
Baixar livros de Turismo